Sign in to use this feature.

Years

Between: -

Article Types

Countries / Regions

remove_circle_outline
remove_circle_outline
remove_circle_outline
remove_circle_outline
remove_circle_outline
remove_circle_outline
remove_circle_outline
remove_circle_outline
remove_circle_outline
remove_circle_outline
remove_circle_outline
remove_circle_outline

Search Results (35,482)

Search Parameters:
Journal = Cancers

Order results
Result details
Results per page
Select all
Export citation of selected articles as:
14 pages, 1340 KB  
Systematic Review
Cardiovascular Risk in Pancreatic Cancer: A Meta-Analysis of 197 Studies
by Jázmin Németh, Jimin Lee, Orsolya Eperjesi, Endre Botond Gagyi, Zoltán Bánfalvi, Veronika Lillik, Ioana Creanga-Murariu, Réka Tóth, Eszter Ágnes Szalai, Mahmoud Obeidat, Szilárd Váncsa, Stefania Bunduc and Péter Hegyi
Cancers 2026, 18(7), 1108; https://doi.org/10.3390/cancers18071108 (registering DOI) - 29 Mar 2026
Abstract
Background/Objectives: Cardiovascular diseases (CVDs) frequently limit the feasibility and effectiveness of cancer treatment. However, CVD burden has not been comprehensively described in pancreatic cancer. In our systematic review and meta-analysis, we evaluated the prevalence and incidence of CVDs in pancreatic ductal adenocarcinoma [...] Read more.
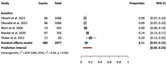
Background/Objectives: Cardiovascular diseases (CVDs) frequently limit the feasibility and effectiveness of cancer treatment. However, CVD burden has not been comprehensively described in pancreatic cancer. In our systematic review and meta-analysis, we evaluated the prevalence and incidence of CVDs in pancreatic ductal adenocarcinoma (PDAC). Methods: We conducted the systematic search in PubMed, EMBASE, and CENTRAL on 5 February 2024. Studies reporting the prevalence or incidence of CVDs in PDAC were included. Subgroup analyses were performed based on cancer stage and treatment type. Pooled proportions with the 95% confidence interval (CI) were calculated using a random-effects model. (PROSPERO: CRD42023482295). Results: We included 197 articles. At PDAC diagnosis, non-thrombotic cardiovascular diseases (NT-CVDs) were as prevalent as in the general population: hypertension in 33% (CI: 27–40%), ischemic heart disease in 6% (CI: 3–12%), and heart failure, arrhythmia, and stroke each in 2–3%. Their incidence during treatment remained low (1–10%). Thrombotic events, excluding pulmonary embolism, were present in 11% (CI: 7–15%) at diagnosis, with an incidence of 8–10% regardless of stage or treatment. Pulmonary embolism affected 3% at diagnosis and occurred at a similar rate during treatment. Conclusions: Thromboembolic events are common in PDAC and occur both at diagnosis and during follow-up. Their incidence remains stable across treatment modalities and disease stages, suggesting that the tumor itself is the primary driver of thrombotic risk. The prevalence of NT-CVDs in PDAC is comparable to that in the general population and shows minimal variation across cancer stages or treatment modalities. Full article
Show Figures

Figure 1

21 pages, 3731 KB  
Article
Prognostic Potential of the NRF2 Transcription Factor in Canine Mammary Neoplasms
by Vitor de Moraes Pina de Carvalho, Anna Hielm-Björkman, Karine Araújo Damasceno, Thanielle Novaes Fontes, Carlos Humberto da Costa Vieira-Filho, Simone Nunes, Diego Carlos dos Reis, Robin Moore, Stella Maria Barrouin-Melo, Geovanni Dantas Cassali and Alessandra Estrela-Lima
Cancers 2026, 18(7), 1107; https://doi.org/10.3390/cancers18071107 (registering DOI) - 29 Mar 2026
Abstract
Research based on the similarities between canine and human mammary tumors should extend beyond clinical, pathophysiological, epidemiological, and histopathological characteristics to include applicable molecular markers with prognostic significance. However, despite shared similarities, important differences must also be considered in comparative and translational studies. [...] Read more.
Research based on the similarities between canine and human mammary tumors should extend beyond clinical, pathophysiological, epidemiological, and histopathological characteristics to include applicable molecular markers with prognostic significance. However, despite shared similarities, important differences must also be considered in comparative and translational studies. The nuclear erythroid 2-related factor (NRF2), a nuclear transcription factor that regulates the expression of antioxidant proteins, is pathologically activated during carcinogenesis. The role of NRF2 in human breast cancer is well established, making it a potential prognostic marker. Objectives: This study aimed to evaluate NRF2 tissue expression in mammary neoplasms of female dogs and its association with tumor progression, other prognostic factors, and survival. Methods: A group of 57 female dogs was studied. Tissue samples of mammary glands from 10 healthy dogs and 47 dogs with mammary neoplasms (39 malignant tumors and 8 benign tumors) were examined for NRF2 immunoexpression. Clinicopathological data and immunohistochemical expression, assessed by histochemical score (H-score), were correlated. Results: NRF2 tissue expression showed a predominantly cytoplasmic distribution and a lower H-score in tumors with higher malignancy grading. Dogs with higher NRF2 H-scores had improved survival rates (p = 0.0036). Univariate analysis revealed significant associations between H-scores < 135 and behavior (p = 0.007), tumor size (p = 0.001), and Ki-67 index (p = 0.018). Conclusions: These results suggest that NRF2 also holds prognostic value in the evaluation of canine mammary tumors. Full article
(This article belongs to the Special Issue Transcription Factors in Breast Cancer)
Show Figures

Figure 1

14 pages, 3698 KB  
Review
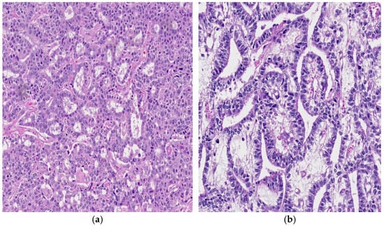
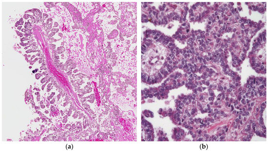
The Morphologic Spectrum of Mediastinal Yolk Sac Tumors: Diagnostic Challenges and Pitfalls
by Doaa Alqaidy and Cesar A. Moran
Cancers 2026, 18(7), 1105; https://doi.org/10.3390/cancers18071105 (registering DOI) - 29 Mar 2026
Abstract
Pure mediastinal yolk sac tumor is an uncommon and aggressive malignant germ cell neoplasm that presents considerable diagnostic difficulties owing to its pronounced clinical and morphological variability. Mediastinal yolk sac tumors, in contrast to their gonadal equivalents, typically occur at later stages, are [...] Read more.
Pure mediastinal yolk sac tumor is an uncommon and aggressive malignant germ cell neoplasm that presents considerable diagnostic difficulties owing to its pronounced clinical and morphological variability. Mediastinal yolk sac tumors, in contrast to their gonadal equivalents, typically occur at later stages, are typically associated with mixed germ cell components, and have a diverse array of histologic patterns that may resemble both germ cell and somatic malignancies. Accurate identification of these types of cancer is essential since diagnostic misclassification may significantly impact treatment and prognosis. This review provides a comprehensive overview of the morphologic spectrum of mediastinal yolk sac tumor, with emphasis on both classic and variant histologic patterns, including reticular, solid, glandular, papillary, hepatoid, and other less common growth forms. The immunohistochemical correlations of these patterns and their role in resolving diagnostic dilemmas are discussed, along with key differential diagnoses encountered in small mediastinal biopsy specimens. Particular attention is given to the limitations of limited tissue sampling, the impact of post-chemotherapy morphologic changes, and the potential for misinterpretation in this challenging anatomic site. By integrating morphologic features with clinical, radiologic, and laboratory findings, this review aims to enhance diagnostic accuracy and improve recognition of mediastinal yolk sac tumor across its diverse presentations. Full article
(This article belongs to the Special Issue The Mediastinum—Pandora’s Box)
Show Figures

Figure 1

16 pages, 1450 KB  
Article
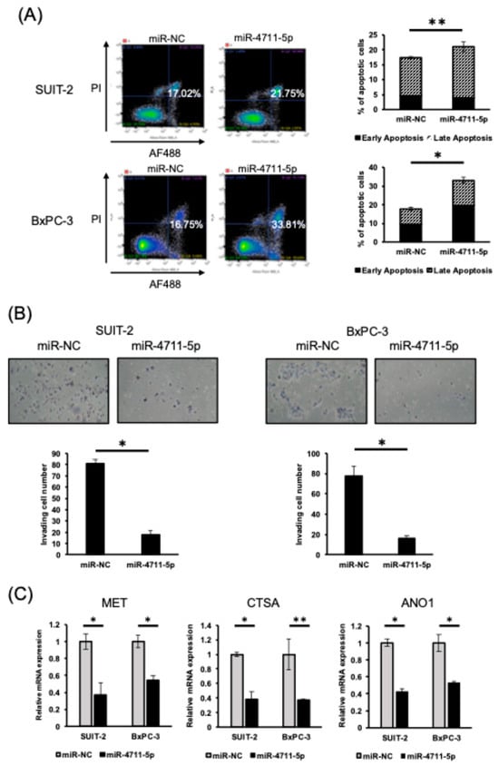
Therapeutic Potential of miR-4711-5p in Pancreatic Cancer: Antitumor Activity and Mechanistic Insights
by Yuhki Yokoyama, Yoshihiro Morimoto, Hiroyuki Yamamoto, Shihori Kouda, Shiho Kawanami, Ruijia Yang, Yingjue Zhang, Manami Tsujimoto, Nanami Nagata, Yuki Shimomura, Kana Nishida, Tsuyoshi Hata, Akira Inoue, Satoshi Shibata, Hirofumi Yamamoto and Masaki Mori
Cancers 2026, 18(7), 1104; https://doi.org/10.3390/cancers18071104 (registering DOI) - 29 Mar 2026
Abstract
Background/Aim: Pancreatic cancer remains one of the most lethal malignancies, with limited therapeutic options and an extremely poor prognosis. MicroRNAs (miRNAs), which regulate gene expression at the post-transcriptional level, have emerged as promising candidates for next-generation cancer therapeutics. The purpose of this study [...] Read more.
Background/Aim: Pancreatic cancer remains one of the most lethal malignancies, with limited therapeutic options and an extremely poor prognosis. MicroRNAs (miRNAs), which regulate gene expression at the post-transcriptional level, have emerged as promising candidates for next-generation cancer therapeutics. The purpose of this study is to clarify the feasibility of miR-4711 as a potential therapeutic option against pancreatic cancer. Materials and Methods: The effects of miR-4711-5p were examined in pancreatic cancer cell lines with respect to cell proliferation, apoptosis, cancer stemness, cell cycle progression, and invasive capacity. RNA sequencing and in silico analyses were performed to identify potential target genes of miR-4711-5p. For in vivo safety evaluation, miR-4711-5p was formulated with super carbonate apatite, a delivery vehicle that is already amenable to large-scale production, and administered to cynomolgus monkeys. A nucleic acid dose equivalent to 10 times the effective dose observed in prior mouse efficacy studies was used. General clinical conditions, body weight, food consumption, ophthalmologic findings, electrocardiography, blood pressure, hematological and biochemical parameters, and histopathological changes were systematically assessed. Results: miR-4711-5p significantly suppressed cancer stemness, cell proliferation, and invasion, while inducing apoptosis and delaying cell cycle progression in pancreatic cancer cells. RNA sequencing and bioinformatic analyses identified MET, CTSA, and ANO1 as potential target genes of miR-4711-5p. In the cynomolgus monkey study, administration of miR-4711-5p formulated with super carbonate apatite resulted in no apparent differences compared with the control group in body weight, clinical observations, laboratory parameters, or histopathological findings, indicating the absence of treatment-related adverse effects even at a supra-therapeutic dose. Conclusions: These findings demonstrate that miR-4711-5p exerts potent antitumor effects against pancreatic cancer cells while exhibiting a favorable safety profile in a non-human primate model. Collectively, this study provides strong preclinical evidence supporting miR-4711-5p as a novel and safe therapeutic strategy for pancreatic cancer and represents an important step toward clinical application. Full article
(This article belongs to the Special Issue Feature Papers in the Section “Cancer Therapy” in 2025-2026)
Show Figures

Figure 1

17 pages, 1311 KB  
Article
Clinicopathologic Determinants of Overall Survival in Adrenocortical Carcinoma: A SEER-Based Population Study
by Anıl Yıldız and Oguzcan Kınıkoğlu
Cancers 2026, 18(7), 1103; https://doi.org/10.3390/cancers18071103 (registering DOI) - 28 Mar 2026
Abstract
Background: Adrenocortical carcinoma (ACC) is a rare and aggressive endocrine malignancy, for which population-level evidence regarding prognostic factors and survival conditions is limited. The available data mostly represent single-institution series, limiting their applicability. This study, therefore, assesses clinicopathological features and determines independent predictive [...] Read more.
Background: Adrenocortical carcinoma (ACC) is a rare and aggressive endocrine malignancy, for which population-level evidence regarding prognostic factors and survival conditions is limited. The available data mostly represent single-institution series, limiting their applicability. This study, therefore, assesses clinicopathological features and determines independent predictive variables of overall survival (OS) in patients with ACC using a population-based cohort. Methods: This retrospective observational cohort study used data from the Surveillance, Epidemiology, and End Results (SEER) Program between 2000 and 2022, initially identifying 1176 patients with ACC. Adult patients (≥18 years) with histologically confirmed ACC were identified using ICD-O-3 histology code 8370/3 and primary site code C74.0. Cases with zero-month survival, missing survival data, or identified only through autopsy or death certificate were excluded. To ensure dataset harmonization, patients with missing or indeterminate tumor grade and unknown stage were also excluded. After applying these inclusion and exclusion criteria, the final analytic cohort consisted of 267 patients. Data on demographic factors, stage of the disease, and treatment (surgery, chemotherapy, radiotherapy) were extracted. OS was evaluated using the Kaplan–Meier method, and independent prognostic factors were identified using Cox proportional hazards regression analysis. Results: The median OS was 54 months [95% confidence intervals (CI): 36–85]. The estimated 1-, 3-, and 5-year OS rates were 77%, 57%, and 48%, respectively. Survival differed significantly according to tumor grade, stage, and surgical treatment. In multivariable Cox regression analysis, increasing age [Hazard ratio (HR): 1.03, 95% CI: 1.02–1.04; p < 0.001], high tumor grade (HR: 2.21, 95% CI: 1.43–3.41; p < 0.001), and distant-stage disease (HR: 3.24, 95% CI: 1.95–5.38; p < 0.001) were independently associated with an increased risk of mortality, whereas surgical treatment was associated with improved survival (HR 0.53, 95% CI 0.30–0.93; p = 0.028). Chemotherapy and radiotherapy were not significantly associated with mortality. Conclusion: In this SEER-based cohort of patients with adrenocortical carcinoma, older age, high tumor grade, and distant-stage disease were independently associated with worse OS, whereas documented receipt of surgery was associated with longer OS. Treatment-related associations should be interpreted cautiously in view of the inherent limitations of registry-based data. Further prospective multicenter studies are needed to confirm these findings. Full article
(This article belongs to the Section Cancer Pathophysiology)
12 pages, 1315 KB  
Article
Feasibility of TP53-Mutated ctDNA Monitoring in High-Grade Endometrial Cancer Using Routine NGS
by Regine Marlin, Mehdi Jean-Laurent, Clarisse Joachim, Alexis Vallard, Sabrina Pennont, Valerie Suez-Panama, Mickaelle Rose, Sylviane Ulric-Gervaise, Sylvie Lusbec, Odile Bera, Aude Aline-Fardin and Coralie Ebring
Cancers 2026, 18(7), 1102; https://doi.org/10.3390/cancers18071102 (registering DOI) - 28 Mar 2026
Abstract
Background/Objectives: High-grade endometrial cancer (EC) is associated with poor outcomes, particularly in populations with a high burden of aggressive histologies. There is a critical need for accessible biomarkers to improve prognostic assessment and guide clinical management. Methods: In this study, we evaluated the [...] Read more.
Background/Objectives: High-grade endometrial cancer (EC) is associated with poor outcomes, particularly in populations with a high burden of aggressive histologies. There is a critical need for accessible biomarkers to improve prognostic assessment and guide clinical management. Methods: In this study, we evaluated the feasibility and clinical relevance of monitoring circulating tumor DNA (ctDNA) by tracking somatic TP53 mutations using a routine next-generation sequencing (NGS) assay already implemented in diagnostic practice. Results: Among 21 patients with high-grade EC carrying TP53 mutations in the primary tumor, ctDNA was detectable in over 75% during follow-up. Baseline ctDNA detection strongly correlated with advanced disease: none of the FIGO I tumors were ctDNA-positive at diagnosis, whereas 73% of FIGO > I tumors showed detectable ctDNA. Patients with ctDNA detected at baseline had significantly poorer outcomes, with a 2-year recurrence-free survival (RFS) of 18% versus 60% and a 2-year overall survival (OS) of 40% versus 78%. Longitudinal monitoring revealed that postoperative persistence or reappearance of ctDNA was consistently associated with disease progression, often preceding radiological relapse. Conversely, early ctDNA clearance (at M4–M8) was associated with more favorable clinical trajectories. Conclusions: These findings highlight the potential role of ctDNA as a real-time molecular marker of minimal residual disease and tumor dynamics. Our results demonstrate that TP53-based ctDNA tracking using a standard NGS panel is feasible, sensitive, and clinically informative in high-grade EC. This approach may contribute to improving prognostic stratification and enabling more personalized, responsive clinical management, particularly in high-risk populations. Full article
(This article belongs to the Section Cancer Biomarkers)
Show Figures

Figure 1

24 pages, 4334 KB  
Systematic Review
Tuberculosis Preceding Lung Cancer: A Contemporary Meta-Analysis Revealing a Critical Gap in Post-2020 Evidence
by Cristina Cioti, Irina Tica, Miruna Gherase-Cristian, Gabriela Fricatel and Oana Cristina Arghir
Cancers 2026, 18(7), 1097; https://doi.org/10.3390/cancers18071097 (registering DOI) - 28 Mar 2026
Abstract
Background: Tuberculosis (TB) has long been suspected to contribute to lung carcinogenesis through chronic inflammation and immune dysregulation. However, contemporary controlled evidence quantifying this association remains limited. We aimed to systematically evaluate the relationship between prior TB and subsequent lung malignancy, using recent [...] Read more.
Background: Tuberculosis (TB) has long been suspected to contribute to lung carcinogenesis through chronic inflammation and immune dysregulation. However, contemporary controlled evidence quantifying this association remains limited. We aimed to systematically evaluate the relationship between prior TB and subsequent lung malignancy, using recent observational studies and complementary case reports. Methods: A systematic review and random-effects meta-analysis were conducted, including controlled cohort and case–control studies published from 2020 onward. Adjusted effect estimates were converted to the logarithmic scale for pooling. Heterogeneity and small-study effects were assessed using standard meta-analytic techniques. Additionally, published case reports were descriptively analyzed to explore clinicopathological patterns. Results: Across eligible studies, prior TB was consistently associated with an increased risk of subsequent lung cancer (LC). The pooled estimate demonstrated a statistically significant positive association, despite moderate heterogeneity. Larger nationwide cohorts contributed greater statistical weight, while smaller studies showed wider variability. Case reports revealed heterogeneous temporal patterns, including long-latency scar-associated carcinoma and concurrent inflammatory–malignant presentations. Conclusions: Contemporary controlled evidence supports an association between prior tuberculosis and increased risk of subsequent lung malignancy. However, despite strong biological plausibility and the abundant literature on cancer-associated tuberculosis, modern longitudinal studies specifically evaluating tuberculosis as a preceding independent risk factor remain limited. The small number of eligible post-2020 investigations identified in this meta-analysis highlights a significant contemporary research gap and underlines the need for well-designed prospective studies to clarify causality and guide surveillance strategies in TB-exposed populations. Full article
Show Figures

Figure 1

14 pages, 1604 KB  
Article
Reassessment of Lymphovascular Invasion and Its Subtypes as Predictors of Prognosis and Recurrence in Gastric Cancer Using an Enhanced Detection Method
by Jingdong Liu, Changle Yang, Bosen Li, Zhaodong Sun, Dan Liu, Xinyou Liu, Hao Chen, Jie Sun, Haojie Li, Yihong Sun, Junjie Zhao and Xuefei Wang
Cancers 2026, 18(7), 1101; https://doi.org/10.3390/cancers18071101 (registering DOI) - 28 Mar 2026
Abstract
Background and Aim: Lymphovascular invasion (LVI) is a negative prognostic factor for gastric cancer, but detection limitations hinder its clinical utility and subtype analysis. This study aimed to explore the predictive value of LVI and its subtypes in the prognosis and recurrence patterns [...] Read more.
Background and Aim: Lymphovascular invasion (LVI) is a negative prognostic factor for gastric cancer, but detection limitations hinder its clinical utility and subtype analysis. This study aimed to explore the predictive value of LVI and its subtypes in the prognosis and recurrence patterns of gastric cancer using our enhanced detection method. Methods: We reviewed 2057 patients who underwent gastrectomy in 2018, of whom 1073 met the inclusion criteria. Propensity score matching (PSM) was performed to balance baseline clinicopathological characteristics. Results: After PSM, 311 patients were assigned to the LVI+ group and 311 to the LVI- group. The LVI+ group demonstrated a poorer prognosis. Subtype analysis revealed that lymphatic invasion (LI), but not venous invasion (VI), was associated with poor prognosis in the matched cohort. Stratified by pathological tumor-node-metastasis (TNM) stage, LVI+ and LI+ patients had worse prognosis in Stages I and III, while VI+ patients had worse prognosis in Stage III. Stratified by lymph node status, LVI+ predicted poorer prognosis in both node-negative (N0) and node-positive (N+) patients, and LI+ was also associated with worse prognosis among N+ patients, whereas VI+ was not significantly associated with prognosis in either subgroup. Recurrence analysis indicated that LVI+ was associated with distant and peritoneal metastases, whereas LI+ was associated with local recurrence, distant and peritoneal metastases. Conclusions: Lymphovascular invasion was associated with adverse prognosis in resectable gastric cancer, with lymphatic invasion showing a stronger prognostic impact than venous invasion. These findings indicate that refined assessment of lymphovascular invasion may complement conventional TNM staging in postoperative risk stratification. Full article
(This article belongs to the Section Clinical Research of Cancer)
Show Figures

Figure 1

12 pages, 241 KB  
Article
Interleukin-18 as a Potential Biomarker for Radiotherapy-Related Pain in Breast Cancer: Implications for Personalized Pain Management
by Alexandra N. McMahon, Juan Pablo de Rivero Vaccari, Isildinha M. Reis, Cristiane Takita, Jean L. Wright, Yan Guo and Jennifer J. Hu
Cancers 2026, 18(7), 1100; https://doi.org/10.3390/cancers18071100 (registering DOI) - 28 Mar 2026
Abstract
Background: Adjuvant RT remains a standard therapy for breast cancer, reducing recurrence risk and improving survival; however, it can also induce side effects, including pain. Inflammasome-related biomarkers, such as interleukin-18 (IL-18), play a role in inflammation-mediated pain, and we hypothesize that IL-18 may [...] Read more.
Background: Adjuvant RT remains a standard therapy for breast cancer, reducing recurrence risk and improving survival; however, it can also induce side effects, including pain. Inflammasome-related biomarkers, such as interleukin-18 (IL-18), play a role in inflammation-mediated pain, and we hypothesize that IL-18 may serve as a potential biomarker for breast cancer RT-induced pain. Methods: The association between IL-18 and pain was assessed among breast cancer patients receiving adjuvant RT. Plasma IL-18 protein concentration was quantified before and after RT using Ella SimplePlex technology (Biotechne). Clinically relevant pain outcomes included pre-RT pain (pain score ≥ 4), post-RT pain (pain score ≥ 4), and RT-related pain (increase in pain from <4 pre-RT to ≥4 post-RT). Multivariable logistic regression assessed the association between IL-18 and pain outcomes, adjusting for demographic and treatment-related factors. The joint effect of IL-18 and obesity on pain were also explored. Results: Patients in the highest pre-RT IL-18 quartile experienced higher odds of both post-RT pain (OR = 2.36, 95% CI: 1.15–4.87) and RT-related pain (OR = 2.73, 95% CI: 1.20–6.26). IL-18 levels increased from pre-RT to post-RT with a mean change of 0.07 (SD = 0.35). In addition, patients with elevated pre-RT IL-18 levels and obesity experienced the highest odds of post-RT pain (OR = 3.97, 95% CI: 1.98–7.98) and RT-related pain (OR = 2.84, 95% CI: 1.32–6.09), suggesting a potential combined effect. Conclusions: Elevated pre-RT IL-18 levels were associated with an increased risk of pain following adjuvant RT, particularly in breast cancer patients with obesity. Thus, IL-18 may serve as a potential biomarker for identifying patients at increased risk for RT-related pain and informing treatment decision. Full article
22 pages, 14705 KB  
Article
The NKp44-1 Isoform Is an Activating Receptor for PDGF-DD Expressed on Natural Killer Cells
by Alexander J. Sedgwick, Md Abdullah Al Kamran Khan, Stephanie Thuy Duong Pham, Melissa A. Edeling, Alexandra J. Corbett, Julian P. Vivian, Yaseelan Palarasah and Alexander D. Barrow
Cancers 2026, 18(7), 1099; https://doi.org/10.3390/cancers18071099 (registering DOI) - 28 Mar 2026
Abstract
Background/Objectives: Natural killer (NK) cells are key innate lymphoid cells that restrict tumour progression by secreting proinflammatory cytokines and directly lysing malignant cells, with their activity tightly regulated by a balance of activating and inhibitory surface receptors. The natural cytotoxicity receptor NKp44 is [...] Read more.
Background/Objectives: Natural killer (NK) cells are key innate lymphoid cells that restrict tumour progression by secreting proinflammatory cytokines and directly lysing malignant cells, with their activity tightly regulated by a balance of activating and inhibitory surface receptors. The natural cytotoxicity receptor NKp44 is induced on NK cells following stimulation with IL-2 or IL-15 and recognizes platelet-derived growth factor D (PDGF-DD) as a ligand. Mechanistic interpretation of NKp44 signalling upon PDGF-DD engagement is confounded by the existence of three distinct NKp44 isoforms (NKp44-1, -2, and -3), each capable of initiating divergent intracellular signalling cascades. Unlike NKp44-2 and -3, NKp44-1 encodes a cytoplasmic tyrosine residue (Y238) that conforms to a putative immunoreceptor tyrosine-based inhibition motif (ITIM) and has been reported to suppress NK cell effector functions in some contexts. However, it remains unclear whether the NKp44 isoforms are translated and expressed in NK cells, and formal evidence defining NKp44-1 signalling in response to engagement by PDGF-DD is lacking. Methods: In this study, we used C-terminal targeting monoclonal antibodies (mAbs) and a NFAT-GFP reporter system to define the expression and signalling properties of NKp44 isoforms in response to PDGF-DD. Results: We demonstrate protein expression of NKp44-1 and NKp44-2-/3 receptors in IL-2 expanded NK cells. We further show that NKp44-1 transduces activating rather than inhibitory signals when engaged by PDGF-DD ligand, albeit weaker than NKp44-3. Intriguingly, we find that Y238 is dispensable for NKp44-1 activating signalling and instead functions as a YXXΦ internalisation motif. Conclusions: Collectively, these findings provide the first evidence that the NKp44-1 and NKp44-2/3 isoforms are expressed in NK cells and establish that PDGF-DD activates signalling through NKp44-1 independently of Y238. This work lays the foundations for future studies investigating how PDGF-DD sensing by the different NKp44 isoforms shapes immune functions in different physiological and pathological contexts. Full article
(This article belongs to the Section Cancer Immunology and Immunotherapy)
Show Figures

Figure 1

18 pages, 1984 KB  
Article
Chemoprevention of 4-NQO-Induced Oral Cancer by the Combination of Resveratrol and EGCG: In Vivo, In Silico and In Vitro Studies
by Adeoluwa Adeluola, Lukmon M. Raji, Saroj Sigdel, Abu Syed Md Anisuzzaman, Md. Shamim Hossain and A. R. M. Ruhul Amin
Cancers 2026, 18(7), 1098; https://doi.org/10.3390/cancers18071098 (registering DOI) - 28 Mar 2026
Abstract
Background: Squamous cell carcinoma of head and neck (SCCHN) is a devastating disease with high morbidity and mortality and the 6th most common cancer worldwide. The 5-year relative survival for advanced-stage disease is below 50%, stressing the need for chemoprevention. In the current [...] Read more.
Background: Squamous cell carcinoma of head and neck (SCCHN) is a devastating disease with high morbidity and mortality and the 6th most common cancer worldwide. The 5-year relative survival for advanced-stage disease is below 50%, stressing the need for chemoprevention. In the current study, we investigated the chemopreventive efficacy of the combination of resveratrol and epigallocatechin gallate (EGCG). Methods: We used the 4-Nitroquinoline 1-oxide (4-NQO)-induced oral carcinogenesis model. C57BL/6 mice were exposed to drinking water containing 4-NQO for 10 weeks. From week 11, mice were treated with vehicle, resveratrol, EGCG and their combination until week 22. RNASeq, qPCR and in silico analysis were performed identifying differentially expressed genes and enriched pathways. Results: Resveratrol alone and in combination with EGCG significantly inhibited the number of visible lesions, whereas the number of microscopic lesions and lesion areas were significantly inhibited only by the combination. The expression of Ki-67 was also significantly inhibited in resveratrol and combination groups. Growth differentiation factor 15 (GDF15), Activation transcription factor 3 (ATF3) and several other genes associated with xenobiotic metabolism as significantly upregulated genes, with GDF15 being the most upregulated one. Furthermore, hallmarks of xenobiotic metabolism and several other anticancer pathways were enriched after treatment with resveratrol and the combination. Conclusions: Our data strongly demonstrate the chemopreventive potential of the combination of resveratrol and EGCG and pave the way for further clinical developments. Full article
(This article belongs to the Section Cancer Drug Development)
Show Figures

Figure 1

12 pages, 276 KB  
Article
Development of an Enomogram to Predict the Rate of Loco-Regional Control After Radio-Chemotherapy and Interventional Radiotherapy in Cervical Cancer
by Valentina Lancellotta, Maria Concetta La Milia, Rosa Autorino, Enrico Rosa, Bruno Fionda, Pierpaolo Dragonetti, Leonardo Bannoni, Raffaella Michela Rinaldi, Viola De Luca, Gerardina Stimato, Angeles Rovirosa, Alessio Giuseppe Morganti, Gabriella Macchia, Benedetta Gui, Nicolò Bizzarri, Anna Fagotti, Luca Tagliaferri and Maria Antonietta Gambacorta
Cancers 2026, 18(7), 1096; https://doi.org/10.3390/cancers18071096 - 27 Mar 2026
Abstract
Objective: This study aimed to explore the association between magnetic resonance imaging (MRI)-derived volumetric parameters and oncological outcomes, and to develop an exploratory predictive model based on these variables in patients treated with radio-chemotherapy followed by interventional radiotherapy (modern brachytherapy). Methods: [...] Read more.
Objective: This study aimed to explore the association between magnetic resonance imaging (MRI)-derived volumetric parameters and oncological outcomes, and to develop an exploratory predictive model based on these variables in patients treated with radio-chemotherapy followed by interventional radiotherapy (modern brachytherapy). Methods: Between 2021 and 2024, 300 patients with cervical cancer were included. Treatment was pelvic external beam radiotherapy with platinum-based chemotherapy followed by interventional radiotherapy boost. Volumetric MRI variables for each patient were collected. Time-to-event analyses were performed using Cox proportional hazards regression models. Model performance was assessed using Harrell’s concordance index (C-index). Internal validation was performed using bootstrap resampling. Based on the final multivariable Cox models, an interactive web-based nomogram was developed as an exploratory tool to visualize model-derived associations. Results: Median tumor volume decreased from 69.4 cm3 at diagnosis to 2.2 cm3 at the time of pre-interventional radiotherapy MRI, with a median reduction rate of 96.5%. Tumor volume at diagnosis, pre-interventional radiotherapy residual tumor volume, and tumor volume reduction rate were significantly associated with loco-regional relapse and distant metastases in Cox regression analyses. These findings were consistent across univariate and multivariable models. Internal validation confirmed the stability of the model estimates. Conclusions: MRI-derived volumetric parameters are associated with oncological outcomes in patients with locally advanced cervical cancer and may contribute to early risk stratification. The proposed model should be considered exploratory and hypothesis-generating and requires external validation before any potential clinical application. Full article
(This article belongs to the Special Issue Brachytherapy in the Treatment of Gynaecological Malignancies)
Show Figures

Graphical abstract

19 pages, 1270 KB  
Article
Evaluating the Translation Value of Two In Vivo Models for Breast Cancer Brain Metastases
by Sigrid Cold, Maria Zeiler Alfsen, Brandur Halgirsson, Mads Neergaard Jorgensen, Jacob Hald, Carsten Haagen Nielsen, Andreas Kjaer, Lotte Kellemann Kristensen and Trine Bjornbo Engel
Cancers 2026, 18(7), 1095; https://doi.org/10.3390/cancers18071095 - 27 Mar 2026
Abstract
Background: Breast cancer brain metastases (BCBM) lack effective treatments, contributing to breast cancer-related morbidity and mortality. Integrating translational animal models and advanced non-invasive imaging can accelerate the development of urgently needed therapies. Method: In this study, we developed an intracarotid method mimicking BCBM [...] Read more.
Background: Breast cancer brain metastases (BCBM) lack effective treatments, contributing to breast cancer-related morbidity and mortality. Integrating translational animal models and advanced non-invasive imaging can accelerate the development of urgently needed therapies. Method: In this study, we developed an intracarotid method mimicking BCBM and compared it to the stereotactic model in terms of animal welfare, tumour establishment, and blood–brain barrier (BBB) permeability. BCBM was established through intracarotid or stereotactic inoculation of BT474 and MDA-MB-231.Luc2 cells in NMRI nude mice. We utilised magnetic resonance imaging (MRI) and bioluminescence imaging (BLI) to monitor tumour growth and BBB permeability, supported by fluorescent immunohistochemistry for validation. Finally, light sheet microscopy (LSM) was employed to visualise tumour establishment in intact brains. Results: Both inoculation methods achieved a survival rate >70%, with animals recovering within a week post-surgery. MRI and BLI effectively visualised tumour growth with stereotactic implantation, resulting in single tumours, while intracarotid inoculation led to micro-seeding of up to seven tumours in one brain. Tumour growth was rapid and homogenous in the stereotactic model, whereas the intracarotid model exhibited slower, heterogenous growth. Notably, BBB permeability was significantly higher in small tumours in the stereotactic model when compared to the intracarotid model (p = 0.003). Ex vivo analyses validated these findings with the identification of multiple metastasis in the intracarotid model and single tumours in the stereotactic model. Conclusion: We developed an animal model that closely mimics BCBM, highlighting extravasation and micro-seeding while maintaining animal welfare. Our established imaging protocols enable longitudinal evaluations of BBB permeability and treatment response, creating a translational platform for testing novel anti-cancer therapies. Full article
(This article belongs to the Section Cancer Metastasis)
20 pages, 3723 KB  
Article
Clinical Utility of Belay Summit™ Cerebrospinal Fluid Test to Inform Diagnosis and Management of Central Nervous System Cancer—A Single Institution Case Series
by Michael Youssef, Alexandra Larson, Vindhya Udhane, Zhixin Jiang, Daniel Lim, Jennifer N. Adams, Rakshitha Jagadish, Anthony Acevedo, Brett A. Domagala, Samantha A. Vo, Tarin Peltier, Daniel Sanchez, Viriya Keo, Julianna Ernst, Kala F. Schilter, Qian Nie and Honey V. Reddi
Cancers 2026, 18(7), 1094; https://doi.org/10.3390/cancers18071094 - 27 Mar 2026
Abstract
Background: Cytology from cerebrospinal fluid (CSF) is standard-of-care to detect central nervous system (CNS) cancers but suffers from low-sensitivity and lacks associated molecular information, often requiring brain biopsy or resection to obtain. Belay Diagnostics offers analytically and clinically validated CSF-based tests to support [...] Read more.
Background: Cytology from cerebrospinal fluid (CSF) is standard-of-care to detect central nervous system (CNS) cancers but suffers from low-sensitivity and lacks associated molecular information, often requiring brain biopsy or resection to obtain. Belay Diagnostics offers analytically and clinically validated CSF-based tests to support the diagnosis and management of primary and secondary CNS cancers. However, the clinical utility (CU) of these assays has not been previously evaluated. Methods: This retrospective study presents a real-world, single institution experience of using the Belay Summit liquid biopsy test for all orders received (n = 123) between October 2024 and September 2025. Clinical information was reviewed for demographics, provisional diagnosis, oncology history, CSF cytology results, and tumor genomic profiling results. The primary endpoint of this study was to evaluate the impact of Belay CSF-based assays on physician diagnosis and treatment decisions. Secondary endpoints included evaluating the clinical performance of the Belay Summit test verses cytology in CNS malignancy detection (sensitivity, specificity, and accuracy). Results: The cohort included 120 patients with suspected or previously diagnosed primary (n = 40) or metastatic (n = 80) CNS tumors; three patients completed longitudinal testing for a total of 123 specimens and test orders. Summit showed higher sensitivity for CNS malignancy (90%) over CSF cytology (12%). The Belay CSF liquid biopsy test demonstrated strong clinical utility and was essential to clinical course pursued in 93% (114/123) of specimens, informing treatment and management decisions. Conclusions: The Belay Summit test provides clinically meaningful information to support physician decision-making for the diagnosis and management of primary and secondary CNS tumors, especially in cases where tissue sampling is infeasible. Full article
(This article belongs to the Section Molecular Cancer Biology)
Show Figures

Figure 1

11 pages, 939 KB  
Article
Serial Determinations of Molecular Aberrations in Patients with Acute Myeloid Leukemia During Treatment with Oral Decitabine/Cedazuridine
by Klaus Geissler, Gabriele Benetka, Maximilian Prinz-Wohlgenannt and Wolfgang R. Sperr
Cancers 2026, 18(7), 1093; https://doi.org/10.3390/cancers18071093 - 27 Mar 2026
Abstract
Recently, oral decitabine/cedazuridine has been approved for the treatment of AML patients who are not eligible for intensive chemotherapy. Although efficacy data on phenotypic features and the prognostic impact of molecular aberrations at diagnosis were reported in the registration study, serial determinations of [...] Read more.
Recently, oral decitabine/cedazuridine has been approved for the treatment of AML patients who are not eligible for intensive chemotherapy. Although efficacy data on phenotypic features and the prognostic impact of molecular aberrations at diagnosis were reported in the registration study, serial determinations of the mutational landscape during therapy were not reported. In this study, we present data on a subset of five patients in whom molecular markers were monitored during treatment with oral decitabine/cedazuridine within the registration study. The following observations were made in individual patients. Regarding the changes in the molecular landscape during therapy in four/five patients, there was no major (>50%) reduction in mutated AML clones. There was only one patient with CRi and more than 50% reduction in the VAF of clones with molecular aberrations, including RAS pathway mutations. We observed a marked drop of blast cells (>50%) in two other patients without changes in the molecular profile. The overall survival was significantly longer in patients with CRi and PR, respectively, as compared to patients with no response. Finally, four/five (80%) of patients had druggable molecular aberrations at diagnosis, including mutations in IDH2 (2/5), NPM1 (2/5), and FLT3 (1/5). Our results show that in the majority of patients, changes in the genetic profiles are not seen despite decreases in blast cells in some patients. Disease-modifying activity with decreases in mutated clones is rare. Although the exact mechanism behind our findings remains undetermined, they are in line with the proposed effects of HMA on epigenetics in leukemia cells. Full article
Show Figures

Figure 1

Back to TopTop