Sign in to use this feature.

Years

Between: -

Subjects

remove_circle_outline
remove_circle_outline
remove_circle_outline
remove_circle_outline

Journals

Article Types

Countries / Regions

Search Results (4)

Search Parameters:
Authors = Naisheng Bai

Order results
Result details
Results per page
Select all
Export citation of selected articles as:
22 pages, 10795 KB  
Article
Gut Microbiota Combined with Serum Metabolomics to Investigate the Hypoglycemic Effect of Actinidia arguta Leaves
by Yufei Hou, Lu Bai, Xin Wang, Shanshan Zhang, Shaojing Liu, Jiabing Hu, Jing Gao, Sen Guo, Chi-Tang Ho and Naisheng Bai
Nutrients 2023, 15(19), 4115; https://doi.org/10.3390/nu15194115 - 23 Sep 2023
Cited by 7 | Viewed by 2856
Abstract
Actinidia arguta leaves (AAL) are an excellent source of bioactive components for the food industry and possess many functional properties. However, the hypoglycemic effect and mechanism of AAL remain unclear. The aim of this work was to investigate the potential hypoglycemic effect of [...] Read more.
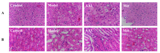
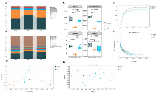
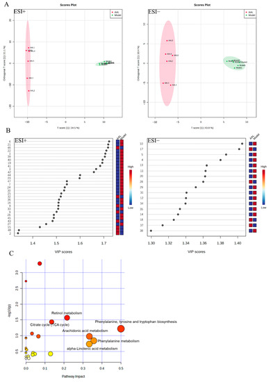
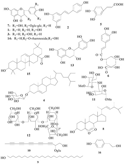
Actinidia arguta leaves (AAL) are an excellent source of bioactive components for the food industry and possess many functional properties. However, the hypoglycemic effect and mechanism of AAL remain unclear. The aim of this work was to investigate the potential hypoglycemic effect of AAL and explore its possible mechanism using 16S rRNA sequencing and serum metabolomics in diabetic mice induced by high-fat feeding in combination with streptozotocin injection. A total of 25 flavonoids from AAL were isolated and characterized, and the contents of the extract from the AAL ranged from 0.14 mg/g DW to 8.97 mg/g DW. The compound quercetin (2) had the highest content of 8.97 ± 0.09 mg/g DW, and the compound kaempferol-3-O-(2′-O-D-glucopyl)-β-D-rutinoside (12) had the lowest content of 0.14 ± 0.01 mg/g DW. In vivo experimental studies showed that AAL reduced blood glucose and cholesterol levels, improved insulin sensitivity, and ameliorated oxidative stress and liver and kidney pathological damage. In addition, gut microbiota analysis found that AAL significantly reduced the F/B ratio, enriched the beneficial bacteria Bacteroides and Bifidobacterium, and inhibited the harmful bacteria Lactobacillus and Desulfovibrio, thereby playing an active role in intestinal imbalance. In addition, metabolomics analysis showed that AAL could improve amino acid metabolism and arachidonic acid metabolism, thereby exerting a hypoglycemic effect. This study confirmed that AAL can alleviate type 2 diabetes mellitus (T2DM) by regulating intestinal flora and interfering with related metabolic pathways, providing a scientific basis for its use as a dietary supplement and for further exploration of the mechanism of AAL against T2DM. Full article
(This article belongs to the Section Prebiotics, Probiotics and Postbiotics)
Show Figures

Figure 1

15 pages, 2134 KB  
Article
Mitigation of DSS-Induced Colitis Potentially via Th1/Th2 Cytokine and Immunological Function Balance Induced by Phenolic-Enriched Buckwheat (Fagopyrum esculentum Moench) Bee Pollen Extract
by Sinan Chen, Yifei Xu, Ni Cheng, Feng Li, Haoan Zhao, Naisheng Bai, Hesham R. El-Seedi and Wei Cao
Foods 2022, 11(9), 1293; https://doi.org/10.3390/foods11091293 - 29 Apr 2022
Cited by 10 | Viewed by 3563
Abstract
Colitis is an inflammatory disease that results from the overactivation of effector immune cells, producing a high quantity of pro-inflammatory cytokines. Our study aimed to explore whether buckwheat (F. esculentum) bee pollen extract (FBPE) could inhibit the progression of dextran sulfate [...] Read more.
Colitis is an inflammatory disease that results from the overactivation of effector immune cells, producing a high quantity of pro-inflammatory cytokines. Our study aimed to explore whether buckwheat (F. esculentum) bee pollen extract (FBPE) could inhibit the progression of dextran sulfate sodium (DSS)-induced colitis via regulating immune function. We isolated and identified six main phenolic compounds of FBPE such as luteolin (9.46 mg/g) by column chromatography, HPLC-DAD, ESI-MS and NMR spectroscopy, then assessed their effects on colonic mucosal injury by clinical symptoms, histomorphology and immunohistochemistry examinations. The results showed that FBPE at 25.2 g/kg body weight (g/kg BW) changed the clinical symptoms of colitis, the ICAM-1 expression in colon, the activity of related inflammatory mediators in colon tissue and helped restore the immune system. Compared with the model group (40.28%), the CD4 positivity was significantly reduced in the HD (High-dose group: 25.2 g FBPE/kg BW/day) group (20.45%). Administration of 25.2 g/kg BW of FBPE decreased the IFN-γ, TNF-α and IL-4 levels, while enhancing the IL-10 level, and significantly inhibited the abnormally decreased IgG (Model: 13.25 mg/mL, HD: 14.06 mg/mL), showing a reversal effect on the Th1/Th2 levels in colitis. These findings suggested that FBPE at 25.2 g/kg BW had the effects of alleviating colitis and immunomodulation, which can help in the development of safe and effective immune therapy. Full article
(This article belongs to the Section Food Nutrition)
Show Figures

Graphical abstract

19 pages, 2234 KB  
Article
Anti-Obesity and Gut Microbiota Modulation Effect of Secoiridoid-Enriched Extract from Fraxinus mandshurica Seeds on High-Fat Diet-Fed Mice
by Sen Guo, Haoan Zhao, Zhongxiao Ma, Shanshan Zhang, Mingrou Li, Zhaojing Zheng, Xiameng Ren, Chi-Tang Ho and Naisheng Bai
Molecules 2020, 25(17), 4001; https://doi.org/10.3390/molecules25174001 - 2 Sep 2020
Cited by 32 | Viewed by 4504
Abstract
Previously we conducted a phytochemical study on the seeds of Fraxinus excelsior and isolated nine secoiridoid compounds with adipocyte differentiation inhibitory activity and peroxisome proliferator activated receptor alpha (PPARα) activation effects. However, the bioactive constituents and functions of Fraxinus mandshurica seeds have not [...] Read more.
Previously we conducted a phytochemical study on the seeds of Fraxinus excelsior and isolated nine secoiridoid compounds with adipocyte differentiation inhibitory activity and peroxisome proliferator activated receptor alpha (PPARα) activation effects. However, the bioactive constituents and functions of Fraxinus mandshurica seeds have not been studied. In the present study, we investigated the secoiridoid compounds in F. mandshurica seed extract (FM) using column chromatography, 1H-NMR, 13C-NMR and HPLC-DAD methods. The pancreatic lipase inhibitory activities of isolated compounds were evaluated in vitro. Additionally, the anti-obesity and gut microbiota modulation effect of FM on high-fat diet-induced obesity in C57BL/6 mice were also studied in vivo. The results showed that 19 secoiridoids were isolated from FM and identified. The total content of secoiridoids in FM reached 181.35 mg/g and the highest content was nuzhenide (88.21 mg/g). All these secoiridoid compounds exhibited good pancreatic lipase inhibitory activity with inhibition rate ranged from 33.77% to 70.25% at the concentration of 100 μM. After obese mice were administrated with FM at 400 mg/kg.bw for 8 weeks, body weight was decreased by 15.81%. Moreover, FM could attenuate the lipid accumulation in serum and liver, relieve the damage in liver and kidney, and extenuate oxidative stress injury and inflammation caused by obesity in mice. FM could also modulate the structural alteration of gut microbiota in obese mice, increasing the proportion of anti-obesity gut microbiota (Bacteroidetes, Bacteroidia, S24-7 and Allobaculum), and reducing the proportion of obesogenic gut microbiota (Firmicutes and Dorea). This study suggests that F. mandshurica seeds or their secoiridoids may have potential for use as a dietary supplement for obesity management. Full article
(This article belongs to the Special Issue Anti-obesity Effects of Natural Compounds)
Show Figures

Figure 1

15 pages, 1438 KB  
Article
Bioactive Constituents of F. esculentum Bee Pollen and Quantitative Analysis of Samples Collected from Seven Areas by HPLC
by Feng Li, Sen Guo, Shanshan Zhang, Sainan Peng, Wei Cao, Chi-Tang Ho and Naisheng Bai
Molecules 2019, 24(15), 2705; https://doi.org/10.3390/molecules24152705 - 25 Jul 2019
Cited by 26 | Viewed by 4113
Abstract
Bee pollen contains all the essential amino acids needed by humans. China is the largest producer of bee pollen in the world. In the present study, we identified 11 fatty acids in F. esculentum bee pollen oil by GC-MS analysis, and 16 compounds [...] Read more.
Bee pollen contains all the essential amino acids needed by humans. China is the largest producer of bee pollen in the world. In the present study, we identified 11 fatty acids in F. esculentum bee pollen oil by GC-MS analysis, and 16 compounds were isolated from F. esculentum bee pollen by column chromatography and identified. A high-performance liquid chromatography-diode array detector (HPLC-DAD) method was established for the quality control of F. esculentum bee pollen. A validated HPLC-DAD method was successfully applied to the simultaneous characterization and quantification of nine main constituents in seven samples collected from seven different areas in China. The results showed that all standard calibration curves exhibited good linearity (R2 > 0.999) in HPLC-DAD analysis with excellent precision, repeatability and stability. The total amount in the samples from the seven regions ranged from 23.50 to 46.05 mg/g. In addition, seven compounds were studied for their bioactivity using enzymic methods, whereby kaempferol (3) showed high α-glucosidase inhibitory activity (IC50: 80.35 μg/mL), ergosterol peroxide (8) showed high tyrosinase inhibitory activity (IC50: 202.37 μg/mL), and luteolin (1) had strong acetylcholinesterase inhibitory activity (IC50: 476.25 μg/mL). All results indicated that F. esculentum bee pollen could be a nutritious health food. Full article
(This article belongs to the Section Analytical Chemistry)
Show Figures

Figure 1

Back to TopTop