Early Enteral Feeding in Preterm Infants: A Narrative Review of the Nutritional, Metabolic, and Developmental Benefits
Abstract
:1. Introduction
2. Review of the Literature
2.1. Enteral Nutrient Provision
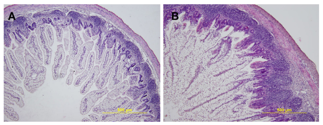
2.2. Gastrointestinal Development
2.3. Development of the Intestinal Microbiome
2.4. Inflammatory Response and Clinical Comorbidities
2.5. Neurodevelopment
2.6. Barriers to Early Life Enteral Feedings
3. Conclusions
Author Contributions
Funding
Institutional Review Board Statement
Informed Consent Statement
Conflicts of Interest
References
- Ehrenkranz, R.; Dusick, A.; Vohr, B.; Wright, L.; Wrage, L.; Poole, W. Growth in the Neonatal Intensive Care Unit Influences Neurodevelopmental and Growth Outcomes of Extremely Low Birth Weight Infants. J. Pediatr. 2006, 117, 1253–1261. [Google Scholar] [CrossRef] [PubMed] [Green Version]
 - Stephens, B.E.; Walden, R.V.; Gargus, R.A.; Tucker, R.; McKinley, L.; Mance, M.; Nye, J.; Vohr, B.R. First-Week Protein and Energy Intakes are Associated with 18-Month Developmental Outcomes in Extremely Low Birth Weight Infants. Pediatrics 2009, 123, 1337–1343. [Google Scholar] [CrossRef] [PubMed]
 - Fang, J.L.; Sorita, A.; Carey, W.A.; Colby, C.E.; Murad, M.H.; Alahdab, F. Interventions to Prevent Retinopathy of Prematurity: A Meta-Analysis. Pediatrics 2016, 137, e20153387. [Google Scholar] [CrossRef] [PubMed] [Green Version]
 - Stoltz, S.; Lundgren, P.; Öhlund, I.; Holmström, G.; Hellström, A.; Domellöf, M. Low Energy Intake during the First 4 weeks of Life Increases the Risk for Severe Retinopathy of Prematurity in Extremely Preterm Infants. Archives of Disease in Childhood. Fetal Neonatal Ed. 2015, 102, F108–F113. [Google Scholar] [CrossRef] [Green Version]
 - Klevebro, S.; Westin, V.; Stoltz Sjostrom, E.; Norman, M.; Domellof, M.; Edstedt Bonamy, A.K.; Hallberg, B. Early Energy and Protein Intakes and Associations with Growth, BPD, and ROP in Extremely Preterm Infants. Clin. Nutr. 2019, 38, 1289–1295. [Google Scholar] [CrossRef] [Green Version]
 - Eidelman, A.I.; Schanler, R.J. Section on Breastfeeding. Breastfeeding and the use of Human Milk. Pediatrics 2012, 129, e827–e841. [Google Scholar]
 - Miller, J.; Tonkin, E.; Damarell, R.A.; McPhee, A.J.; Suganuma, M.; Suganuma, H.; Middleton, P.F.; Makrides, M.; Collins, C.T. A Systematic Review and Meta-Analysis of Human Milk Feeding and Morbidity in very Low Birth Weight Infants. Nutrients 2018, 10, 707. [Google Scholar] [CrossRef] [Green Version]
 - Villamor-Martinez, E.; Pierro, M.; Cavallaro, G.; Mosca, F.; Kramer, B.W.; Villamor, E. Donor Human Milk Protects Against Bronchopulmonary Dysplasia: A Systematic Review and Meta-Analysis. Nutrients 2018, 10, 238. [Google Scholar] [CrossRef] [Green Version]
 - Villamor-Martinez, E.; Pierro, M.; Cavallaro, G.; Mosca, F.; Villamor, E. Mother’s Own Milk and Bronchopulmonary Dysplasia: A Systematic Review and Meta-Analysis. Front. Pediatr. 2019, 7, 224. [Google Scholar] [CrossRef]
 - Morgan, J.; Young, L.; McGuire, W. Delayed Introduction of Progressive Enteral Feeds to Prevent Necrotising Enterocolitis in very Low Birth Weight Infants. Cochrane Database Syst. Rev. 2014, 12, CD001970. [Google Scholar] [CrossRef]
 - Fallon, E.M.; Nehra, D.; Potemkin, A.K.; Gura, K.M.; Simpser, E.; Compher, C. American Society for Parenteral and Enteral Nutrition (A.S.P.E.N.) Board of Directors; Puder, M. A.S.P.E.N. Clinical Guidelines: Nutrition Support of Neonatal Patients at Risk for Necrotizing Enterocolitis. JPEN J. Parenter. Enteral Nutr. 2012, 36, 506–523. [Google Scholar] [CrossRef]
 - Underwood, M.A.; Gilbert, W.M.; Sherman, M.P. Amniotic Fluid: Not just Fetal Urine Anymore. J. Perinatol. 2005, 25, 341–348. [Google Scholar] [CrossRef] [Green Version]
 - Wildhaber, B.E.; Yang, H.; Spencer, A.U.; Drongowski, R.A.; Teitelbaum, D.H. Lack of Enteral Nutrition—Effects on the Intestinal Immune System. J. Surg. Res. 2005, 123, 8–16. [Google Scholar] [CrossRef]
 - Buchman, A.L.; Moukarzel, A.A.; Bhuta, S.; Belle, M.; Ament, M.E.; Eckhert, C.D.; Hollander, D.; Gornbein, J.; Kopple, J.D.; Vijayaroghavan, S.R. Parenteral Nutrition is Associated with Intestinal Morphologic and Functional Changes in Humans. JPEN J. Parenter. Enteral Nutr. 1995, 19, 453–460. [Google Scholar] [CrossRef]
 - Shulman, R.J.; Schanler, R.J.; Lau, C.; Heitkemper, M.; Ou, C.N.; Smith, E.O. Early Feeding, Antenatal Glucocorticoids, and Human Milk Decrease Intestinal Permeability in Preterm Infants. Pediatr. Res. 1998, 44, 519–523. [Google Scholar] [CrossRef]
 - Dahlgren, A.F.; Pan, A.; Lam, V.; Gouthro, K.C.; Simpson, P.M.; Salzman, N.H.; Nghiem-Rao, T.H. Longitudinal Changes in the Gut Microbiome of Infants on Total Parenteral Nutrition. Pediatr. Res. 2019, 86, 107–114. [Google Scholar] [CrossRef]
 - Konnikova, Y.; Zaman, M.M.; Makda, M.; D’Onofrio, D.; Freedman, S.D.; Martin, C.R. Late Enteral Feedings are Associated with Intestinal Inflammation and Adverse Neonatal Outcomes. PLoS ONE 2015, 10, e0132924. [Google Scholar] [CrossRef] [Green Version]
 - Dutta, S.; Singh, B.; Chessell, L.; Wilson, J.; Janes, M.; McDonald, K.; Shahid, S.; Gardner, V.A.; Hjartarson, A.; Purcha, M.; et al. Guidelines for Feeding very Low Birth Weight Infants. Nutrients 2015, 7, 423–442. [Google Scholar] [CrossRef] [Green Version]
 - McClave, S.A.; Martindale, R.G.; Vanek, V.W.; McCarthy, M.; Roberts, P.; Taylor, B.; Ochoa, J.B.; Napolitano, L.; Cresci, G.; Gervasio, J.M.; et al. Guidelines for the Provision and Assessment of Nutrition Support Therapy in the Adult Critically Ill Patient: Society of Critical Care Medicine (SCCM) and American Society for Parenteral and Enteral Nutrition (A.S.P.E.N.). JPEN J. Parenter. Enteral Nutr. 2009, 33, 277–316. [Google Scholar] [CrossRef]
 - Berseth, C.L.; Nordyke, C. Enteral Nutrients Promote Postnatal Maturation of Intestinal Motor Activity in Preterm Infants. Am. J. Physiol. 1993, 264, G1046–G1051. [Google Scholar] [CrossRef]
 - Berseth, C.L. Effect of Early Feeding on Maturation of the Preterm Infant’s Small Intestine. J. Pediatr. 1992, 120, 947–953. [Google Scholar] [CrossRef]
 - Shanahan, K.H.; Yu, X.; Miller, L.G.; Freedman, S.D.; Martin, C.R. Early Serum Gut Hormone Concentrations Associated with Time to Full Enteral Feedings in Preterm Infants. J. Pediatr. Gastroenterol. Nutr. 2018, 67, 97–102. [Google Scholar] [CrossRef]
 - Oddie, S.J.; Young, L.; McGuire, W. Slow Advancement of Enteral Feed Volumes to Prevent Necrotising Enterocolitis in very Low Birth Weight Infants. Cochrane Database Syst. Rev. 2017, 8, CD001241. [Google Scholar] [CrossRef]
 - Thoene, M.K.; Lyden, E.; Anderson-Berry, A. Improving Nutrition Outcomes for Infants < 1500 Grams with a Progressive, Evidenced-Based Enteral Feeding Protocol. Nutr. Clin. Pract. 2018, 5, 647–655. [Google Scholar]
 - Viswanathan, S.; McNelis, K.; Super, D.; Einstadter, D.; Groh-Wargo, S.; Collin, M. Standardized Slow Enteral Feeding Protocol and the Incidence of Necrotizing Enterocolitis in Extremely Low Birth Weight Infants. JPEN J. Parenter. Enteral Nutr. 2015, 39, 644–654. [Google Scholar] [CrossRef] [Green Version]
 - Viswanathan, S.; Merheb, R.; Wen, X.; Collin, M.; Groh-Wargo, S. Standardized Slow Enteral Feeding Protocol Reduces Necrotizing Enterocolitis in Micropremies. J. Neonatal Perinatal Med. 2017, 10, 171–180. [Google Scholar] [CrossRef]
 - Salas, A.A.; Kabani, N.; Travers, C.P.; Phillips, V.; Ambalavanan, N.; Carlo, W.A. Short Versus Extended Duration of Trophic Feeding to Reduce Time to Achieve Full Enteral Feeding in Extremely Preterm Infants: An Observational Study. Neonatology 2017, 112, 211–216. [Google Scholar] [CrossRef]
 - Koletzko, B.; Poindexter, B.; Uauy, R. Nutritional Care of Preterm Infants: Scientific Basis and Practical Guidelines; Karger: Basel, Switzerland, 2014. [Google Scholar]
 - Tottman, A.C.; Bloomfield, F.H.; Cormack, B.E.; Harding, J.E.; Taylor, J.; Alsweiler, J.M. Sex-Specific Relationships between Early Nutrition and Neurodevelopment in Preterm Infants. Pediatr. Res. 2019, 5, 872–878. [Google Scholar] [CrossRef]
 - Coviello, C.; Keunen, K.; Kersbergen, K.J.; Groenendaal, F.; Leemans, A.; Peels, B.; Isgum, I.; Viergever, M.A.; de Vries, L.S.; Buonocore, G.; et al. Effects of Early Nutrition and Growth on Brain Volumes, White Matter Microstructure, and Neurodevelopmental Outcome in Preterm Newborns. Pediatr. Res. 2018, 83, 102–110. [Google Scholar] [CrossRef] [Green Version]
 - Wemhoner, A.; Ortner, D.; Tschirch, E.; Strasak, A.; Rudiger, M. Nutrition of Preterm Infants in Relation to Bronchopulmonary Dysplasia. BMC Pulm. Med. 2011, 11, 7. [Google Scholar] [CrossRef] [Green Version]
 - Shah, S.D.; Dereddy, N.; Jones, T.L.; Dhanireddy, R.; Talati, A.J. Early Versus Delayed Human Milk Fortification in very Low Birth Weight Infants-A Randomized Controlled Trial. J. Pediatr. 2016, 174, 126–131.e1. [Google Scholar] [CrossRef] [PubMed]
 - Tillman, S.; Brandon, D.H.; Silva, S.G. Evaluation of Human Milk Fortification from the Time of the First Feeding: Effects on Infants of Less than 31 Weeks Gestational Age. J. Perinatol. 2012, 32, 525–531. [Google Scholar] [CrossRef] [Green Version]
 - Miller, M.; Vaidya, R.; Rastogi, D.; Bhutada, A.; Rastogi, S. From Parenteral to Enteral Nutrition: A Nutrition-Based Approach for Evaluating Postnatal Growth Failure in Preterm Infants. JPEN J. Parenter. Enteral Nutr. 2014, 38, 489–497. [Google Scholar] [CrossRef] [PubMed]
 - Donovan, R.; Kelly, S.G.; Prazad, P.; Talaty, P.N.; Lefaiver, C.; Hastings, M.L.; Everly, D.N. The Effects of Human Milk Fortification on Nutrients and Milk Properties. J. Perinatol. 2017, 37, 42–48. [Google Scholar] [CrossRef] [PubMed]
 - Institute of Medicine of the National Academies. Dietary Reference Intakes: The Essential Guide to Nutrient Requirements; National Academies Press: Washington, DC, USA, 2006; p. 541. [Google Scholar]
 - Hanson, C.; Thoene, M.; Wagner, J.; Collier, D.; Lecci, K.; Anderson-Berry, A. Parenteral Nutrition Additive Shortages: The Short-Term, Long-Term and Potential Epigenetic Implications in Premature and Hospitalized Infants. Nutrients 2012, 4, 1977–1988. [Google Scholar] [CrossRef] [PubMed] [Green Version]
 - Bronsky, J.; Campoy, C.; Braegger, C. ESPGHAN/ESPEN/ESPR/CSPEN working group on pediatric parenteral nutrition. ESPGHAN/ESPEN/ESPR/CSPEN Guidelines on Pediatric Parenteral Nutrition: Vitamins. Clin. Nutr. 2018, 37, 2366–2378. [Google Scholar] [CrossRef] [PubMed] [Green Version]
 - Pohlandt, F.; Abrams, S.; Cooke, R. Calcium, Magnesium, Phosphorus, and Vitamin D. In Nutrition of the Preterm Infant: Scientific Basis and Practical Guidelines, 2nd ed.; Tsang, R.C., Uauy, R., Koletzko, B., Zlotkin, S.H., Eds.; Digital Educational Publishing, Inc.: Cincinnati, OH, USA, 2005; p. 245. [Google Scholar]
 - Quigley, M.; Embleton, N.D.; McGuire, W. Formula Versus Donor Breast Milk for Feeding Preterm or Low Birth Weight Infants. Cochrane Database Syst. Rev. 2018, 6, CD002971. [Google Scholar] [CrossRef] [PubMed]
 - Henderson, G.; Anthony, M.Y.; McGuire, W. Formula Milk Versus Maternal Breast Milk for Feeding Preterm or Low Birth Weight Infants. Cochrane Database Syst. Rev. 2007, 4, CD002972. [Google Scholar] [CrossRef]
 - McGuire, W.; Anthony, M.Y. Formula Milk Versus Preterm Human Milk for Feeding Preterm Or Low Birth Weight Infants. Cochrane Database Syst. Rev. 2001, 3, CD002972. [Google Scholar]
 - Mills, R.J.; Davies, M.W. Enteral Iron Supplementation in Preterm and Low Birth Weight Infants. Cochrane Database Syst. Rev. 2012, 3, CD005095. [Google Scholar] [CrossRef] [Green Version]
 - Georgieff, M.K. The Role of Iron in Neurodevelopment: Fetal Iron Deficiency and the Developing Hippocampus. Biochem. Soc. Trans. 2008, 36, 1267–1271. [Google Scholar] [CrossRef] [Green Version]
 - Arnon, S.; Shiff, Y.; Litmanovitz, I.; Regev, R.H.; Bauer, S.; Shainkin-Kestenbaum, R.; Bental, Y.; Dolfin, T. The Efficacy and Safety of Early Supplementation of Iron Polymaltose Complex in Preterm Infants. Am. J. Perinatol. 2007, 24, 95–100. [Google Scholar] [CrossRef]
 - Lundstrom, U.; Siimes, M.A.; Dallman, P.R. At what Age does Iron Supplementation Become Necessary in Low-Birth-Weight Infants? J. Pediatr. 1977, 91, 878–883. [Google Scholar] [CrossRef]
 - Loskutova, E.; Nolan, J.; Howard, A.; Beatty, S. Macular Pigment and its Contribution to Vision. Nutrients 2013, 5, 1962–1969. [Google Scholar] [CrossRef]
 - Vishwanathan, R.; Kuchan, M.J.; Sen, S.; Johnson, E.J. Lutein and Preterm Infants with Decreased Concentrations of Brain Carotenoids. J. Pediatr. Gastroenterol. Nutr. 2014, 59, 659–665. [Google Scholar] [CrossRef]
 - Rubin, L.P.; Chan, G.M.; Barrett-Reis, B.M.; Fulton, A.B.; Hansen, R.M.; Ashmeade, T.L.; Oliver, J.S.; Mackey, A.D.; Dimmit, R.A.; Hartmann, E.E.; et al. Effect of Carotenoid Supplementation on Plasma Carotenoids, Inflammation and Visual Development in Preterm Infants. J. Perinatol. 2012, 32, 418–424. [Google Scholar] [CrossRef] [Green Version]
 - Stringham, J.M.; Johnson, E.J.; Hammond, B.R. Lutein Across the Lifespan: From Childhood Cognitive Performance to the Aging Eye and Brain. Curr. Dev. Nutr. 2019, 3, nzz066. [Google Scholar] [CrossRef] [Green Version]
 - Splichalova, A.; Slavikova, V.; Splichalova, Z.; Splichal, I. Preterm Life in Sterile Conditions: A Study on Preterm, Germ-Free Piglets. Front. Immunol. 2018, 9, 220. [Google Scholar] [CrossRef] [Green Version]
 - Jain, A.K.; Stoll, B.; Burrin, D.G.; Holst, J.J.; Moore, D.D. Enteral Bile Acid Treatment Improves Parenteral Nutrition-Related Liver Disease and Intestinal Mucosal Atrophy in Neonatal Pigs. Am. J. Physiol. Gastrointest. Liver Physiol. 2012, 302, G218–G224. [Google Scholar] [CrossRef] [Green Version]
 - Yeo, K.T.; Kong, J.Y.; Sasi, A.; Tan, K.; Lai, N.M.; Schindler, T. Stopping Enteral Feeds for Prevention of Transfusion-Associated Necrotising Enterocolitis in Preterm Infants. Cochrane Database Syst. Rev. 2019, 2019, CD012888. [Google Scholar] [CrossRef]
 - Abiramalatha, T.; Thanigainathan, S.; Ninan, B. Routine Monitoring of Gastric Residual for Prevention of Necrotising Enterocolitis in Preterm Infants. Cochrane Database Syst. Rev. 2019, 7, CD012937. [Google Scholar] [CrossRef]
 - Clyman, R.; Wickremasinghe, A.; Jhaveri, N.; Hassinger, D.C.; Attridge, J.T.; Sanocka, U.; Polin, R.; Gillam-Krakauer, M.; Reese, J.; Mammel, M.; et al. Enteral Feeding during Indomethacin and Ibuprofen Treatment of a Patent Ductus Arteriosus. J. Pediatr. 2013, 163, 406–411. [Google Scholar] [CrossRef] [Green Version]
 - Louis, D.; Torgalkar, R.; Shah, J.; Shah, P.S.; Jain, A. Enteral Feeding during Indomethacin Treatment for Patent Ductus Arteriosus: Association with Gastrointestinal Outcomes. J. Perinatol. 2016, 36, 544–548. [Google Scholar] [CrossRef]
 - Hansen, C.F.; Thymann, T.; Andersen, A.D.; Holst, J.J.; Hartmann, B.; Hilsted, L.; Langhorn, L.; Jelsing, J.; Sangild, P.T. Rapid Gut Growth but Persistent Delay in Digestive Function in the Postnatal Period of Preterm Pigs. Am. J. Physiol. Gastrointest. Liver Physiol. 2016, 310, G550–G560. [Google Scholar] [CrossRef] [Green Version]
 - Zanella, A.; Silveira, R.C.; Roesch, L.F.W.; Corso, A.L.; Dobbler, P.T.; Mai, V.; Procianoy, R.S. Influence of Own Mother’s Milk and Different Proportions of Formula on Intestinal Microbiota of very Preterm Newborns. PLoS ONE 2019, 14, e0217296. [Google Scholar] [CrossRef]
 - Parra-Llorca, A.; Gormaz, M.; Alcantara, C.; Cernada, M.; Nunez-Ramiro, A.; Vento, M.; Collado, M.C. Preterm Gut Microbiome Depending on Feeding Type: Significance of Donor Human Milk. Front. Microbiol. 2018, 9, 1376. [Google Scholar] [CrossRef]
 - Ford, S.L.; Lohmann, P.; Preidis, G.A.; Gordon, P.S.; O’Donnell, A.; Hagan, J.; Venkatachalam, A.; Balderas, M.; Luna, R.A.; Hair, A.B. Improved Feeding Tolerance and Growth are Linked to Increased Gut Microbial Community Diversity in very-Low-Birth-Weight Infants Fed Mother’s Own Milk Compared with Donor Breast Milk. Am. J. Clin. Nutr. 2019, 109, 1088–1097. [Google Scholar] [CrossRef]
 - Gregory, K.E.; Samuel, B.S.; Houghteling, P.; Shan, G.; Ausubel, F.M.; Sadreyev, R.I.; Walker, W.A. Influence of Maternal Breast Milk Ingestion on Acquisition of the Intestinal Microbiome in Preterm Infants. Microbiome 2016, 4, 68. [Google Scholar] [CrossRef] [Green Version]
 - Butcher, J.; Unger, S.; Li, J.; Bando, N.; Romain, G.; Francis, J.; Mottawea, W.; Mack, D.; Stintzi, A.; O’Connor, D.L. Independent of Birth Mode or Gestational Age, very-Low-Birth-Weight Infants Fed their Mothers’ Milk Rapidly Develop Personalized Microbiotas Low in Bifidobacterium. J. Nutr. 2018, 148, 326–335. [Google Scholar] [CrossRef]
 - Cong, X.; Judge, M.; Xu, W.; Diallo, A.; Janton, S.; Brownell, E.A.; Maas, K.; Graf, J. Influence of Feeding Type on Gut Microbiome Development in Hospitalized Preterm Infants. Nurs. Res. 2017, 66, 123–133. [Google Scholar] [CrossRef]
 - Rutayisire, E.; Huang, K.; Liu, Y.; Tao, F. The Mode of Delivery Affects the Diversity and Colonization Pattern of the Gut Microbiota during the First Year of Infants’ Life: A Systematic Review. BMC Gastroenterol. 2016, 16, 86. [Google Scholar] [CrossRef] [PubMed] [Green Version]
 - Montoya-Williams, D.; Lemas, D.J.; Spiryda, L.; Patel, K.; Carney, O.O.; Neu, J.; Carson, T.L. The Neonatal Microbiome and its Partial Role in Mediating the Association between Birth by Cesarean Section and Adverse Pediatric Outcomes. Neonatology 2018, 114, 103–111. [Google Scholar] [CrossRef] [PubMed]
 - Fjalstad, J.W.; Esaiassen, E.; Juvet, L.K.; van den Anker, J.N.; Klingenberg, C. Antibiotic Therapy in Neonates and Impact on Gut Microbiota and Antibiotic Resistance Development: A Systematic Review. J. Antimicrob. Chemother. 2018, 73, 569–580. [Google Scholar] [CrossRef] [PubMed] [Green Version]
 - Zou, Z.H.; Liu, D.; Li, H.D.; Zhu, D.P.; He, Y.; Hou, T.; Yu, J.L. Prenatal and Postnatal Antibiotic Exposure Influences the Gut Microbiota of Preterm Infants in Neonatal Intensive Care Units. Ann. Clin. Microbiol. Antimicrob. 2018, 17, 9. [Google Scholar] [CrossRef] [Green Version]
 - Pammi, M.; Cope, J.; Tarr, P.I.; Warner, B.B.; Morrow, A.L.; Mai, V.; Gregory, K.E.; Kroll, J.S.; McMurtry, V.; Ferris, M.J.; et al. Intestinal Dysbiosis in Preterm Infants Preceding Necrotizing Enterocolitis: A Systematic Review and Meta-Analysis. Microbiome 2017, 5, 31. [Google Scholar] [CrossRef] [Green Version]
 - Stiemsma, L.T.; Michels, K.B. The Role of the Microbiome in the Developmental Origins of Health and Disease. Pediatrics 2018, 141, e20172437. [Google Scholar] [CrossRef] [Green Version]
 - AlFaleh, K.; Anabrees, J. Probiotics for Prevention of Necrotizing Enterocolitis in Preterm Infants. Cochrane Database Syst. Rev. 2014, 4, CD005496. [Google Scholar]
 - van den Akker, C.H.P.; van Goudoever, J.B.; Shamir, R.; Domellöf, M.; Embleton, N.D.; Hojsak, I.; Lapillonne, A.; Mihatsch, W.A.; Berni Canani, R.; Bronsky, J.; et al. Probiotics and Preterm Infants: A Position Paper by the European Society for Paediatric Gastroenterology Hepatology and Nutrition Committee on Nutrition and the European Society for Paediatric Gastroenterology Hepatology and Nutrition Working Group for Probiotics and Prebiotics. J. Pediatr. Gastroenterol. Nutr. 2020, 70, 664–680. [Google Scholar]
 - Hanson, C.; Sundermeier, J.; Dugick, L.; Lyden, E.; Anderson-Berry, A.L. Implementation, Process, and Outcomes of Nutrition Best Practices for Infants < 1500 g. Nutr. Clin. Pract. 2011, 26, 614–624. [Google Scholar]
 - Ibrahim, T.; Li Wei, C.; Bautista, D.; Sriram, B.; Xiangzhen Fay, L.; Rajadurai, V.S. Saline Enemas Versus Glycerin Suppositories to Promote Enteral Feeding in Premature Infants: A Pilot Randomized Controlled Trial. Neonatology 2017, 112, 347–353. [Google Scholar] [CrossRef]
 - McPherson, C. Sedation and Analgesia in Mechanically Ventilated Preterm Neonates: Continue Standard of Care or Experiment? J. Pediatr. Pharmacol. Ther. 2012, 17, 351–364. [Google Scholar] [CrossRef] [Green Version]
 - Priyadarshia, A.; Hindera, M.; Badawib, N.; Luiga, M.; Tracy, M. Continuous Positive Airway Pressure Belly Syndrome: Challenges of a Changing Paradigm. Int. J. Clin. Pediatr. 2020, 9, 9–15. [Google Scholar] [CrossRef]
 - Jaile, J.C.; Levin, T.; Wung, J.T.; Abramson, S.J.; Ruzal-Shapiro, C.; Berdon, W.E. Benign Gaseous Distension of the Bowel in Premature Infants Treated with Nasal Continuous Airway Pressure: A Study of Contributing Factors. AJR Am. J. Roentgenol. 1992, 158, 125–127. [Google Scholar] [CrossRef] [Green Version]
 - Eichenwald, E.C.; Committee on Fetus and Newborn. Diagnosis and Management of Gastroesophageal Reflux in Preterm Infants. Pediatrics 2018, 142, e20181061. [Google Scholar] [CrossRef] [Green Version]
 - Watson, J.; McGuire, W. Transpyloric Versus Gastric Tube Feeding for Preterm Infants. Cochrane Database Syst. Rev. 2013, 2013, CD003487. [Google Scholar] [CrossRef] [Green Version]
 - Rodrigues, C.; Severo, M.; Zeitlin, J.; Barros, H.; Portuguese EPICE (Effective Perinatal Intensive Care in Europe) Network. The Type of Feeding at Discharge of very Preterm Infants: Neonatal Intensive Care Units Policies and Practices make a Difference. Breastfeed Med. 2018, 13, 50–59. [Google Scholar] [CrossRef]
 - Thoene, M.K.; Anderson-Berry, A.L. A Review of Best Evidenced-Based Enteral and Parenteral Nutrition Support Practices for Preterm Infants Born <1500 Grams. Pediatr. Med. 2018, 1. [Google Scholar] [CrossRef]
 - Senterre, T. Practice of Enteral Nutrition in very Low Birth Weight and Extremely Low Birth Weight Infants. World Rev. Nutr. Diet. 2014, 110, 201–214. [Google Scholar]
 - Goldberg, D.L.; Becker, P.J.; Brigham, K.; Carlson, S.; Fleck, L.; Gollins, L.; Sandrock, M.; Fullmer, M.; Van Poots, H.A. Identifying Malnutrition in Preterm and Neonatal Populations: Recommended Indicators. J. Acad. Nutr. Diet. 2018, 118, 1571–1582. [Google Scholar] [CrossRef]
 - Horbar, J.D.; Ehrenkranz, R.A.; Badger, G.J.; Edwards, E.M.; Morrow, K.A.; Soll, R.F.; Buzas, J.S.; Bertino, E.; Gagliardi, L.; Bellu, R. Weight Growth Velocity and Postnatal Growth Failure in Infants 501 to 1500 Grams: 2000–2013. Pediatrics 2015, 136, e84–e92. [Google Scholar] [CrossRef] [Green Version]
 - Liotto, N.; Amato, O.; Piemontese, P.; Menis, C.; Orsi, A.; Corti, M.G.; Colnaghi, M.; Cecchetti, V.; Pugni, L.; Mosca, F.; et al. Protein Intakes during Weaning from Parenteral Nutrition Drive Growth Gain and Body Composition in very Low Birth Weight Preterm Infants. Nutrients 2020, 12, 1298. [Google Scholar] [CrossRef]
 - Brennan, A.M.; Kiely, M.E.; Fenton, S.; Murphy, B.P. Standardized Parenteral Nutrition for the Transition Phase in Preterm Infants: A Bag that Fits. Nutrients 2018, 10, 170. [Google Scholar] [CrossRef] [Green Version]
 - American Academy of Nutrition and Dietetics. Pediatric Nutrition Care Manual: Preterm and High-Risk Infants Nutrition Support. Available online: https://www.nutritioncaremanual.org (accessed on 20 May 2021).
 - Bruckner, M.; Khan, Z.; Binder, C.; Morris, N.; Windisch, B.; Holasek, S.; Urlesberger, B. Extremely Preterm Infants have a Higher Fat Mass Percentage in Comparison to very Preterm Infants at Term-Equivalent Age. Front. Pediatr. 2020, 8, 61. [Google Scholar] [CrossRef]
 - Johnson, M.J.; Wootton, S.A.; Leaf, A.A.; Jackson, A.A. Preterm Birth and Body Composition at Term Equivalent Age: A Systematic Review and Meta-Analysis. Pediatrics 2012, 130, e640–e649. [Google Scholar] [CrossRef] [Green Version]
 - Fenton, T.R.; Kim, J.H. A Systematic Review and Meta-Analysis to Revise the Fenton Growth Chart for Preterm Infants. BMC Pediatr. 2013, 13, 59. [Google Scholar] [CrossRef] [Green Version]
 - Olsen, I.E.; Lawson, M.L.; Ferguson, A.N.; Cantrell, R.; Grabich, S.C.; Zemel, B.S.; Clark, R.H. BMI Curves for Preterm Infants. Pediatrics 2015, 135, 572–581. [Google Scholar] [CrossRef] [Green Version]
 - Chou, J. PediTools: Clinical Tools for Pediatric Providers. 2020. Available online: https://peditools.org (accessed on 22 January 2020).
 - Chou, J.H.; Roumiantsev, S.; Singh, R. PediTools Electronic Growth Chart Calculators: Applications in Clinical Care, Research, and Quality Improvement. J. Med. Internet Res. 2020, 22, e16204. [Google Scholar] [CrossRef] [PubMed]
 - Andrews, E.T.; Beattie, R.M.; Johnson, M.J. Measuring Body Composition in the Preterm Infant: Evidence Base and Practicalities. Clin. Nutr. 2019, 38, 2521–2530. [Google Scholar] [CrossRef]
 - Cuestas, E.; Aguilera, B.; Cerutti, M.; Rizzotti, A. Sustained Neonatal Inflammation is Associated with Poor Growth in Infants Born very Preterm during the First Year of Life. J. Pediatr. 2019, 205, 91–97. [Google Scholar] [CrossRef]
 - Twilhaar, E.S.; Wade, R.M.; de Kieviet, J.F.; van Goudoever, J.B.; van Elburg, R.M.; Oosterlaan, J. Cognitive Outcomes of Children Born Extremely or very Preterm since the 1990s and Associated Risk Factors: A Meta-Analysis and Meta-Regression. JAMA Pediatr. 2018, 172, 361–367. [Google Scholar] [CrossRef]
 - Linafelter, A.; Cuna, A.; Liu, C.; Quigley, A.; Truog, W.E.; Sampath, V.; Oschman, A. Extended Course of Prednisolone in Infants with Severe Bronchopulmonary Dysplasia. Early Hum. Dev. 2019, 136, 1–6. [Google Scholar] [CrossRef] [PubMed]
 





| Enteral Feeding Practice | Benefits | Risks | 
|---|---|---|
  | ||
  | 
  | |
  | 
  | |
  | 
  | 
| Barriers | Strategies to Address Barriers | 
|---|---|
  | 
  | 
  | |
  | |
  | 
  | 
  | 
  | 
Publisher’s Note: MDPI stays neutral with regard to jurisdictional claims in published maps and institutional affiliations.  | 
© 2021 by the authors. Licensee MDPI, Basel, Switzerland. This article is an open access article distributed under the terms and conditions of the Creative Commons Attribution (CC BY) license (https://creativecommons.org/licenses/by/4.0/).
Share and Cite
Thoene, M.; Anderson-Berry, A. Early Enteral Feeding in Preterm Infants: A Narrative Review of the Nutritional, Metabolic, and Developmental Benefits. Nutrients 2021, 13, 2289. https://doi.org/10.3390/nu13072289
Thoene M, Anderson-Berry A. Early Enteral Feeding in Preterm Infants: A Narrative Review of the Nutritional, Metabolic, and Developmental Benefits. Nutrients. 2021; 13(7):2289. https://doi.org/10.3390/nu13072289
Chicago/Turabian StyleThoene, Melissa, and Ann Anderson-Berry. 2021. "Early Enteral Feeding in Preterm Infants: A Narrative Review of the Nutritional, Metabolic, and Developmental Benefits" Nutrients 13, no. 7: 2289. https://doi.org/10.3390/nu13072289
APA StyleThoene, M., & Anderson-Berry, A. (2021). Early Enteral Feeding in Preterm Infants: A Narrative Review of the Nutritional, Metabolic, and Developmental Benefits. Nutrients, 13(7), 2289. https://doi.org/10.3390/nu13072289
        
                                                
