Phytochemical Analysis, Antioxidant Activities In Vitro and In Vivo, and Theoretical Calculation of Different Extracts of Euphorbia fischeriana
Abstract
1. Introduction
2. Results and Discussion
2.1. Qualitative Phytochemical Analysis
2.2. Yields
2.3. Quantitative Phytochemical Analysis
2.3.1. Total Carbohydrate Content (TCC)
2.3.2. Total Protein Content (TProC)
2.3.3. Total Triterpenoid Content (TTriC)
2.3.4. Total Phenolic Content (TPheC)
2.3.5. Total Flavonoid Content (TFC)
2.3.6. Total Tannin Content (TTanC), Gallotannin Content (GC), and Condensed Tannin Content (CTC)
2.3.7. Total Alkaloid Content (TAC)
2.4. Antioxidant Activity In Vitro
2.4.1. DPPH and ABTS
2.4.2. Hydroxyl Radicals and Superoxide Radicals
2.4.3. FRAP and CUPRAC
2.4.4. Metal Chelating
2.4.5. Hydrogen Peroxide (H2O2)
2.4.6. β-Carotene Bleaching
2.4.7. Singlet Oxygen
2.4.8. Hypochlorous Acid (HClO)
2.4.9. Nitric Oxide (NO)
2.5. UHPLC-MS Analysis
2.6. Molecular Electrostatic Potential (MEP) Surface Map
2.7. Frontier Molecular Orbital
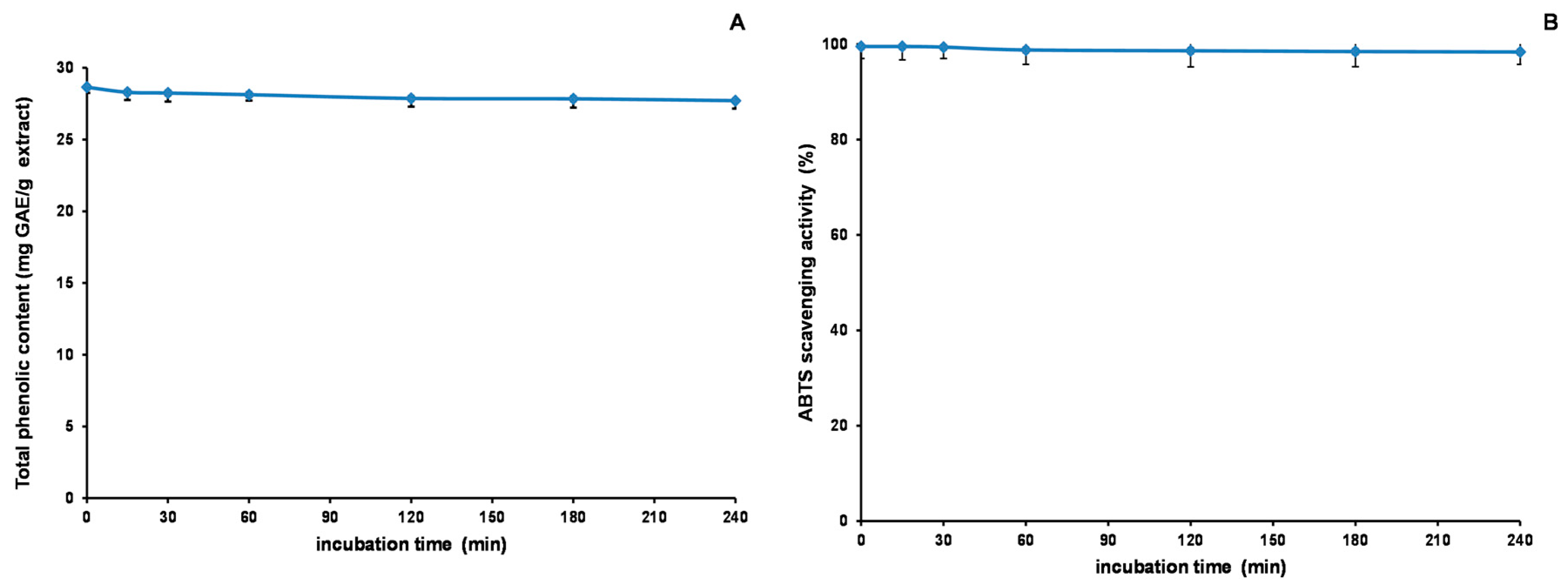
2.8. Stability Studies of Acetone Extract
2.9. Cell Viability
2.10. Oral Acute Toxicity Study
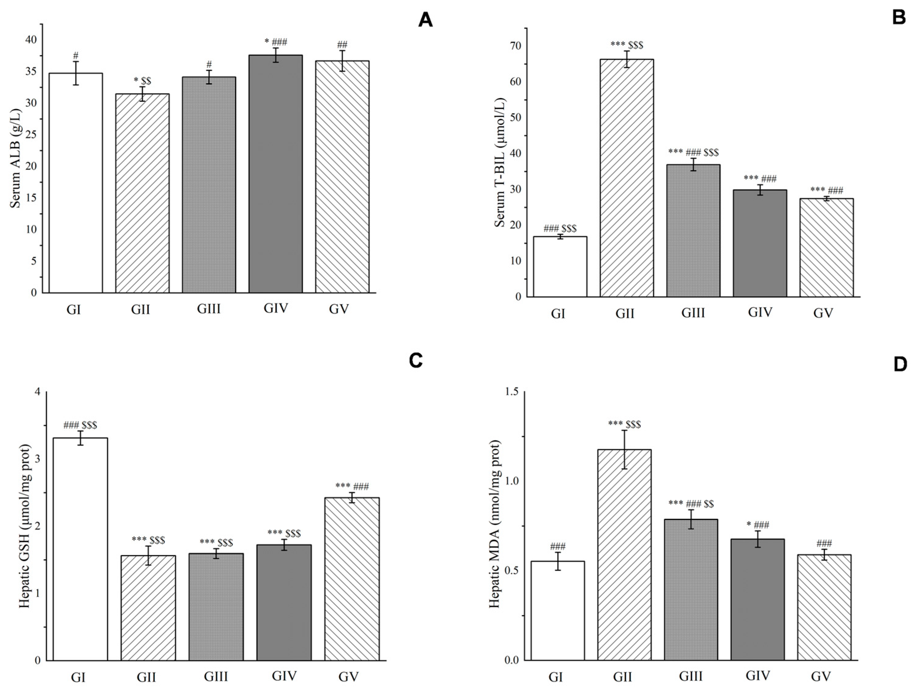
2.11. Hepatoprotective Activity
3. Materials and Methods
3.1. Reagents and Chemicals
3.2. Materials
3.3. Qualitative Phytochemical Analysis
3.4. Quantitative Phytochemical Analysis
3.5. Antioxidant Activity Assays
3.6. UHPLC-MS
3.7. Computational Methods
3.8. Cell-Viability Assay
3.9. Oral Acute Toxicity Study
3.10. Hepatoprotective Experiments
3.11. Statistical Analysis
4. Conclusions
Supplementary Materials
Author Contributions
Funding
Institutional Review Board Statement
Informed Consent Statement
Data Availability Statement
Acknowledgments
Conflicts of Interest
Sample Availability
References
- Flora of China editorial Committee of Chinese Academy of Sciences. The Flora of China; Science Press: Beijing, China, 1997; Volume 44, pp. 26–35. [Google Scholar]
- Kemboi, D.; Peter, X.; Langat, M.; Tembu, J. A review of the ethnomedicinal uses, biological activities, and triterpenoids of Euphorbia species. Molecules 2020, 25, 4019. [Google Scholar] [CrossRef]
- Shi, Q.W.; Su, X.H.; Kiyota, H. Chemical and pharmacological research of the plants in genus Euphorbia. Chem. Rev. 2008, 108, 4295–4327. [Google Scholar] [CrossRef]
- Yu, J.L.; Hu, Y.W.; Zhang, L.Q.; Sun, R.S.; Xiao, J.L.; Jia, A.L. Color Atlas of Medicinal Plants in Jilin Province; Science and Technology Press: Jilin, China, 2016; Volume 1, p. 507. [Google Scholar]
- Sun, C.P.; Chang, Y.B.; Wang, C.; Lv, X.; Zhou, W.Y.; Tian, X.G.; Zhao, W.Y.; Ma, X.C. Bisfischoids A and B, dimeric ent-abietane-type diterpenoids with anti-inflammatory potential from Euphorbia fischeriana Steud. Bioorg. Chem. 2021, 116, 105356. [Google Scholar] [CrossRef]
- Du, K.; Yang, X.; Li, J.; Meng, D. Antiproliferative diterpenoids and acetophenone glycoside from the roots of Euphorbia fischeriana. Phytochemistry 2020, 177, 112437. [Google Scholar] [CrossRef]
- Wang, L.; Duan, H.; Wang, Y.; Liu, K.; Jiang, P.; Qu, Z.; Yagasaki, K.; Zhang, G. Inhibitory effects of lang-du extract on the in vitro and in vivo growth of melanoma cells and its molecular mechanisms of action. Cytotechnology 2010, 62, 357–366. [Google Scholar] [CrossRef]
- Dong, M.H.; Zhang, Q.; Wang, Y.Y.; Zhou, B.S.; Sun, Y.F.; Fu, Q. Euphorbia fifischeriana Steud inhibits malignant melanoma via modulation of the phosphoinositide-3-kinase/Akt signaling pathway. Exp. Ther. Med. 2016, 11, 1475–1480. [Google Scholar] [CrossRef]
- Sun, Y.X.; Liu, J.C. Chemical constituents and biological activities of Euphorbia fischeriana Steud. Chem. Biodivers. 2011, 8, 1205–1214. [Google Scholar] [CrossRef]
- Jian, B.; Zhang, H.; Han, C.; Liu, J. Anti-cancer activities of diterpenoids derived from Euphorbia fischeriana Steud. Molecules 2018, 23, 387. [Google Scholar] [CrossRef]
- Shen, L.; Zhang, S.Q.; Liu, L.; Sun, Y.; Wu, Y.X.; Xie, L.P.; Liu, J.C. Jolkinolide A and jolkinolide B inhibit proliferation of A549 cells and activity of human umbilical vein endothelial cells. Med. Sci. Monit. 2017, 23, 223–237. [Google Scholar] [CrossRef]
- Gao, X.; Han, H. Jolkinolide B inhibits glycolysis by downregulating hexokinase 2 expression through inactivating the Akt/mTOR pathway in non-small cell lung cancer cells. J. Cell. Biochem. 2018, 119, 4967–4974. [Google Scholar] [CrossRef]
- Wang, J.H.; Zhang, K.; Niu, H.Y.; Shu, L.H.; Yue, D.M.; Li, D.; He, P. Jolkinolide B from Euphorbia fischeriana Steud induces in human leukemic cells apoptosis via JAK2/STAT3 pathways. Int. J. Clin. Pharmacol. Ther. 2013, 51, 170–178. [Google Scholar] [CrossRef]
- Wang, J.H.; Zhou, Y.J.; Bai, X.; He, P. Jolkinolide B from Euphorbia fischeriana Steud induces apoptosis in human leukemic U937 cells through PI3K/Akt and XIAP pathways. Mol. Cells 2011, 32, 451–457. [Google Scholar] [CrossRef]
- Wang, Y.; Shen, S.Y.; Liu, L.; Zhang, X.D.; Liu, D.Y.; Liu, N.; Liu, B.H.; Shen, L. Jolkinolide B inhibits proliferation or migration and promotes apoptosis of MCF-7 or BT-474 breast cancer cells by downregulating the PI3K-Akt pathway. J. Ethnopharmacol. 2022, 282, 114581. [Google Scholar] [CrossRef]
- Dong, L.; Liu, F.; Liu, D.; Kang, S.; Yang, X.; Wang, J. Jolkinolide B attenuates laryngeal cancer cell growth and induces apoptosis via PTEN/PI3K/Akt signaling pathway. Vitr. Cell. Dev. Biol. Anim. 2021, 5, 786–794. [Google Scholar] [CrossRef]
- Zhang, J.; Wang, Y.; Zhou, Y.; He, Q.Y. Jolkinolide B induces apoptosis of colorectal carcinoma through ROS-ER stress-Ca2+-mitochondria dependent pathway. Oncotarget 2017, 8, 91223–91237. [Google Scholar] [CrossRef]
- Li, Y.N.; He, J.; Zhang, J.; Shi, Y.X.; Guo, L.B.; Peng, Z.C.; Yang, T.; Ding, K.; Zhang, W.K.; Xu, J.K. Existing knowledge on Euphorbia fischeriana Steud. (Euphorbiaceae): Traditional uses, clinical applications, phytochemistry, pharmacology and toxicology. J. Ethnopharmacol. 2021, 275, 114095. [Google Scholar] [CrossRef]
- Cui, J.; Yang, X.; Dong, A.J.; Cheng, D.Y.; Wang, J.; Zhao, H.T.; Xu, R.B.; Wang, P.; Li, W.J. Chemical composition and antioxidant activity of Euphorbia fischeriana essential oil from China. J. Med. Plants Res. 2011, 5, 4794–4798. [Google Scholar]
- Jiang, H.; Qin, X.; Wang, Q.; Xu, Q.; Wang, J.; Wu, Y.; Chen, W.; Wang, C.; Zhang, T.; Xing, D.; et al. Application of carbohydrates in approved small molecule drugs: A review. Eur. J. Med. Chem. 2021, 223, 113633. [Google Scholar] [CrossRef]
- Huang, S.S.; Li, P.; Zhang, B.J.; Deng, S.; Zhang, H.L.; Sun, C.P.; Huo, X.K.; Tian, X.G.; Ma, X.C.; Wang, C. Acetophenone glycosides from the roots of Euphorbia fischeriana and their inhibitory effects against mycobacterium smegmatis. Phytochem. Lett. 2017, 19, 151–155. [Google Scholar] [CrossRef]
- Fang, L.; Zhang, R.X.; Wei, Y.; Ling, K.; Lu, L.; Wang, J.; Pan, X.C.; Cai, M.Y. Anti-fatigue effects of fermented soybean protein peptides in mice. J. Sci. Food Agric. 2022, 102, 2693–2703. [Google Scholar] [CrossRef]
- Chen, M.H.; He, X.; Sun, H.; Sun, Y.; Li, L.; Zhu, J.Y.; Xia, G.Q.; Guo, X.; Zang, H. Phytochemical analysis, UPLC-ESI-Orbitrap-MS analysis, biological activity, and toxicity of extracts from Tripleurospermum limosum (Maxim.) Pobed. Arab. J. Chem. 2022, 15, 103797. [Google Scholar] [CrossRef]
- Hill, R.A.; Connolly, J.D. Triterpenoids. Nat. Prod. Rep. 2020, 37, 962–998. [Google Scholar] [CrossRef]
- Fraga, C.G.; Croft, K.D.; Kennedy, D.O.; Tomás-Barberán, F.A. The effects of polyphenols and other bioactives on human health. Food Funct. 2019, 10, 514–528. [Google Scholar] [CrossRef]
- de Lima Cherubim, D.J.; Buzanello Martins, C.V.; Oliveira Fariña, L.; da Silva de Lucca, R.A. Polyphenols as natural antioxidants in cosmetics applications. J. Cosmet. Dermatol. 2020, 19, 33–37. [Google Scholar] [CrossRef]
- Wen, K.; Fang, X.; Yang, J.; Yao, Y.; Nandakumar, K.S.; Salem, M.L.; Cheng, K. Recent research on flavonoids and their biomedical applications. Curr. Med. Chem. 2021, 28, 1042–1066. [Google Scholar] [CrossRef]
- Tong, Z.; He, W.; Fan, X.; Guo, A. Biological function of plant tannin and its application in animal health. Front. Vet. Sci. 2022, 8, 803657. [Google Scholar] [CrossRef]
- Mi, L.; Li, Y.C.; Sun, M.R.; Zhang, P.L.; Li, Y.; Yang, H. A systematic review of pharmacological activities, toxicological mechanisms and pharmacokinetic studies on Aconitum alkaloids. Chin. J. Nat. Med. 2021, 19, 505–520. [Google Scholar] [CrossRef]
- Gulcin, İ. Antioxidants and antioxidant methods: An updated overview. Arch. Toxicol. 2020, 94, 651–715. [Google Scholar] [CrossRef]
- Wang, A.; Gao, X.; Huo, X.; Huang, S.; Feng, L.; Sun, C.; Zhang, B.; Ma, X.; Jia, J.; Wang, C. Antioxidant acetophenone glycosides from the roots of Euphorbia ebracteolata Hayata. Nat. Prod. Res. 2018, 32, 2187–2192. [Google Scholar] [CrossRef]
- de Araújo, K.M.; de Lima, A.; Silva Jdo, N.; Rodrigues, L.L.; Amorim, A.G.; Quelemes, P.V.; Dos Santos, R.C.; Rocha, J.A.; de Andrades, É.O.; Leite, J.R.; et al. Identification of phenolic compounds and evaluation of antioxidant and antimicrobial properties of Euphorbia Tirucalli L. Antioxidants 2014, 3, 159–175. [Google Scholar] [CrossRef]
- Battu, G.R.; Ethadi, S.R.; Veda Priya, G.; Swathi Priya, K.; Chandrika, K.; Venkateswara, R.A.; Reddy, S.O. Evaluation of antioxidant and anti-inflammatory activity of Euphorbia heyneana Spreng. Asian Pac. J. Trop. Biomed. 2011, 1, S191–S194. [Google Scholar] [CrossRef]
- Mouffouk, S.; Gómez-Ruiz, S.; Benkhaled, M.; Carralero, S.; Haba, H. Phytochemical composition, antioxidant and antibacterial activities of crude extracts from the species Euphorbia atlantica Coss. Pharm. Chem. J. 2019, 53, 831–837. [Google Scholar] [CrossRef]
- Jakubczyk, K.; Dec, K.; Kałduńska, J.; Kawczuga, D.; Kochman, J.; Janda, K. Reactive oxygen species—Sources, functions, oxidative damage. Pol. Merkur. Lek. 2020, 48, 124–127. [Google Scholar]
- Munteanu, I.G.; Apetrei, C. Analytical methods used in determining antioxidant activity: A review. Int. J. Mol. Sci. 2021, 22, 3380. [Google Scholar] [CrossRef]
- Mahomoodally, M.F.; Dall’Acqua, S.; Sinan, K.I.; Sut, S.; Ferrarese, I.; Etienne, O.K.; Sadeer, N.B.; Ak, G.; Zengin, G. Phenolic compounds analysis of three Euphorbia species by LC-DAD-MSn and their biological properties. J. Pharm. Biomed. Anal. 2020, 189, 113477. [Google Scholar] [CrossRef]
- Kim, J.J.; Kim, Y.S.; Kumar, V. Heavy metal toxicity: An update of chelating therapeutic strategies. J. Trace Elem. Med. Biol. 2019, 54, 226–231. [Google Scholar] [CrossRef]
- Chaudhary, P.; Janmeda, P. Quantification of phytochemicals and in vitro antioxidant activities from various parts of Euphorbia neriifolia Linn. J. Appl. Biol. Biotechnol. 2022, 10, 133–145. [Google Scholar] [CrossRef]
- Murphy, E.C.; Friedman, A.J. Hydrogen peroxide and cutaneous biology: Translational applications, benefits, and risks. J. Am. Acad. Dermatol. 2019, 81, 1379–1386. [Google Scholar] [CrossRef]
- Marcelino, G.; Machate, D.J.; Freitas, K.C.; Hiane, P.A.; Maldonade, I.R.; Pott, A.; Asato, M.A.; Candido, C.J.; Guimarães, R.C.A. β-Carotene: Preventive role for type 2 diabetes mellitus and obesity: A review. Molecules 2020, 25, 5803. [Google Scholar] [CrossRef]
- Bruni, R.; Muzzoli, M.; Ballero, M.; Loi, M.C.; Fantin, G.; Poli, F.; Sacchetti, G. Tocopherols, fatty acids and sterols in seeds of four Sardinian wild Euphorbia species. Fitoterapia 2004, 75, 50–61. [Google Scholar] [CrossRef]
- Ertas, A.; Yilmaz, M.A.; Firat, M. Chemical profile by LC-MS/MS, GC/MS and antioxidant activities of the essential oils and crude extracts of two Euphorbia species. Nat. Prod. Res. 2015, 29, 529–534. [Google Scholar] [CrossRef] [PubMed]
- Ahmad, R.; Ahsan, H. Singlet oxygen species and systemic lupus erythematosus: A brief review. J. Immunoass. Immunochem. 2019, 40, 343–349. [Google Scholar] [CrossRef] [PubMed]
- Block, M.S.; Rowan, B.G. Hypochlorous acid: A review. J. Oral. Maxillofac. Surg. 2020, 78, 1461–1466. [Google Scholar] [CrossRef]
- Swapna, B.; Harisha, R.; Kotha, S.; Rao, M.R.; Setty, S.R. Pharmacognostic evaluation of aerial parts of Euphorbia tirucalli. Phcog. Res. 2020, 12, 409–415. [Google Scholar] [CrossRef]
- Li, Q.S.; Wu, Q.C. Study on chemical constituents of Euphorbia fischeriana. Her. Med. 2014, 33, 1319–1320. [Google Scholar]
- Pan, L.L.; Fang, P.L.; Zhang, X.J.; Ni, W.; Li, L.; Yang, L.M.; Chen, C.X.; Zheng, Y.T.; Li, C.T.; Hao, X.J.; et al. Tigliane-type diterpenoid glycosides from Euphorbia fischeriana. J. Nat. Prod. 2011, 74, 1508–1512. [Google Scholar] [CrossRef]
- Ma, L.; Wang, H.; Wang, J.L.; Zhao, M.; Zhang, S.J. Study on chemical constituents from fresh aerial part of Euphorbia fischeriana. J. Qiqihar Univ. 2012, 28, 27–29. [Google Scholar]
- Yu, M.H.; Hou, A.J. Anti-HBV constituents from Euphorbia fischeriana. China J. Chin. Mater. Med. 2010, 35, 3002–3005. [Google Scholar]
- Wang, B.; Zhao, H.M.; Lu, H. Euphorbia fischeriana Steud. on killing oncomelania snails and miracidiums of schistosoma. Anhui Agri. Sci. Bull. 2010, 16, 46–48. [Google Scholar] [CrossRef]
- Wei, Y.L.; Yu, Z.L.; Huo, X.K.; Tian, X.G.; Feng, L.; Huang, S.S.; Deng, S.; Ma, X.C.; Jia, J.M.; Wang, C. Diterpenoids from the roots of Euphorbia fischeriana and their inhibitory effects on alpha-glucosidase. J. Asian Nat. Prod. Res. 2018, 20, 977–984. [Google Scholar] [CrossRef]
- Yan, X.L.; Zhang, J.S.; Huang, J.L.; Zhang, Y.; Chen, J.Q.; Tang, G.H.; Yin, S. Euphonoids A-G, cytotoxic diterpenoids from Euphorbia fischeriana. Phytochemistry 2019, 166, 112064. [Google Scholar] [CrossRef] [PubMed]
- Liu, W.Z.; He, F.L.; Ruan, Z.Y.; Gu, X.F.; Wu, X.Y.; Qin, G.W. Studies on chemical constituents from Euphorbia fischeriana Steud. China J. Chin. Mater. Med. 2001, 26, 180–181. [Google Scholar]
- Shi, Y.X.; He, J.; Zhang, J.; Guo, L.B.; Gao, H.M.; Li, D.; Zhang, W.K.; Xu, J.K. Chemical constituents of Euphorbia fischeriana. Chin. Tradit. Herb. Drugs 2020, 51, 2107–2111. [Google Scholar]
- Zhao, K.J.; Liu, S.L.; Li, H.M. Inhibiting effects of different extracts and constituents from Euphorbia fischeriana on tuberculous bacillus. China Pharm. 2007, 10, 1063–1065. [Google Scholar]
- Xu, H.Y.; Pan, Y.M.; Chen, Z.W.; Lin, Y.; Wang, L.H.; Chen, Y.H.; Jie, T.T.; Lu, Y.Y.; Liu, J.C. 12-Deoxyphorbol 13-palmitate inhibit VEGF-induced angiogenesis via suppression of VEGFR-2-signaling pathway. J. Ethnopharmacol. 2013, 146, 724–733. [Google Scholar] [CrossRef] [PubMed]
- Wang, C.J.; Yan, Q.L.; Ma, Y.F.; Sun, C.P.; Chen, C.M.; Tian, X.G.; Han, X.Y.; Wang, C.; Deng, S.; Ma, X.C. Ent-abietane and tigliane diterpenoids from the roots of Euphorbia fischeriana and their inhibitory effects against mycobacterium smegmatis. J. Nat. Prod. 2017, 80, 1248–1254. [Google Scholar] [CrossRef]
- Qin, G.W.; Xu, R.S. Recent advances on bioactive natural products from Chinese medicinal plants. Med. Res. Rev. 1998, 18, 375–382. [Google Scholar] [CrossRef]
- Wang, M.; Wang, Q.; Wei, Q.; Li, J.; Guo, C.; Yang, B.; Kuang, H. Two new entatisanes from the root of Euphorbia fischeriana Steud. Nat. Prod. Res. 2016, 30, 144–149. [Google Scholar] [CrossRef]
- Pang, L.W.; Ding, L.J.; Jian, L.; Zhang, Q.C. Isolation and identification of the diterpenoids from ultrasound-assisted ethyl acetate extract of Euphorbia fischeriana. J. Inn. Mong. Agric. Univ. Nat. Sci. Ed. 2012, 33, 236–239. [Google Scholar] [CrossRef]
- Wang, H.B.; Chen, W.; Zhang, Y.Y.; Wang, X.Y.; Liu, L.P.; Tong, L.J.; Chen, Y. Four new diterpenoids from the roots of Euphorbia fischeriana. Fitoterapia 2013, 91, 211–216. [Google Scholar] [CrossRef]
- Lee, J.W.; Lee, C.; Jin, Q.; Jang, H.; Lee, D.; Lee, H.J.; Shin, J.W.; Han, S.B.; Hong, J.T.; Kim, Y.; et al. Diterpenoids from the roots of Euphorbia fischeriana with inhibitory effects on nitric oxide production. J. Nat. Prod. 2016, 79, 126–131. [Google Scholar] [CrossRef] [PubMed]
- Li, M.; He, F.; Zhou, Y.; Wang, M.; Tao, P.; Tu, Q.; Lv, G.; Chen, X. Three new entabietane diterpenoids from the roots of Euphorbia fischeriana and their cytotoxicity in human tumor cell lines. Arch. Pharm. Res. 2019, 42, 512–518. [Google Scholar] [CrossRef] [PubMed]
- Wu, Q.C.; Tang, Y.P.; Ding, A.W.; You, F.Q.; Duan, J.A. Diterpenes and triterpenes from the roots of Euphorbia fischeriana. Chin. J. Nat. Med. 2010, 8, 101–103. [Google Scholar] [CrossRef]
- Zhang, J.; He, J.; Wang, X.X.; Shi, Y.X.; Zhang, N.; Ma, B.Z.; Zhang, W.K.; Xu, J.K. Ent-abietane diterpenoids and their probable biogenetic precursors from the roots of Euphorbia fischeriana. RSC Adv. 2017, 7, 55859–55865. [Google Scholar] [CrossRef]
- Wang, Y.B.; Huang, R.; Wang, H.B.; Jin, H.Z.; Lou, L.G.; Qin, G.W. Diterpenoids from the roots of Euphorbia fischeriana. J. Nat. Prod. 2006, 69, 967–970. [Google Scholar] [CrossRef] [PubMed]
- Liu, G.F.; Fu, Y.Q.; Yang, Z.Q.; Zhao, H.Q.; Fan, X.M. Isolation and identification of antitumor constituents of diterpenoids lactone in Euphorbia fischeriana Steud. Bull. Chin. Mater. Med. 1988, 13, 35–36, 63. [Google Scholar]
- Li, Y.N.; Yang, H.; He, J.; Zhang, J.; Shi, Y.X.; Guo, L.B.; Shi, Y.J.; Zhang, W.K.; Xu, J.K. Chemical constituents and biological activities of Euphorbia fischeriana Steud. Chin. Pharm. J. 2022, 57, 1419–1424. [Google Scholar]
- Li, J.; He, J.; Yang, C.; Yan, X.; Yin, Z. Cytotoxic lathyrane diterpenoids from the roots of Euphorbia fischeriana. Rec. Nat. Prod. 2020, 14, 286–291. [Google Scholar] [CrossRef]
- He, J.; Xu, J.K.; Zhang, J.; Bai, H.J.; Ma, B.Z.; Cheng, Y.C.; Zhang, W.K. Fischeriana A, a meroterpenoid with an unusual 6/6/5/5/5/6/6 heptacyclic carbon skeleton from the roots of Euphorbia fischeriana. Org. Biomol. Chem. 2019, 17, 2721–2724. [Google Scholar] [CrossRef]
- Yang, K.; Zhang, J.L.; Huang, Q.; Wang, Y.S. Effect of aqueous extract of Euphorbia fischeriana Steud on apoptosis of human A549 lung cancer cells. Pract. Clin. J. Integr. Tradit. Chin. West. Med. 2011, 11, 88. [Google Scholar] [CrossRef]
- Zhang, J.; He, J.; Cheng, Y.C.; Zhang, P.C.; Yan, Y.; Zhang, H.J.; Zhang, W.K.; Xu, J.K. Fischernolides A–D, four novel diterpene-based meroterpenoid scaffolds with antitumor activities from Euphorbia fischeriana. Org. Chem. Front. 2019, 6, 2312–2318. [Google Scholar] [CrossRef]
- Kuang, X.; Li, W.; Kanno, Y.; Yamashita, N.; Kikkawa, S.; Azumaya, I.; Nemoto, K.; Asada, Y.; Koike, K. Euphorins A–H: Bioactive diterpenoids from Euphorbia fischeriana. J. Nat. Med. 2016, 70, 412–422. [Google Scholar] [CrossRef] [PubMed]
- Wang, Y.B.; Yao, G.M.; Wang, H.B.; Qin, G.W. A novel diterpenoid from Euphorbia fischeriana. Chem. Lett. 2005, 34, 1160–1161. [Google Scholar] [CrossRef]
- Milenković, D.; Avdović, E.; Dimić, D.; Sudha, S.; Ramarajan, D.; Milanović, Z.; Trifunović, S.; Marković, Z.S. Vibrational and Hirshfeld surface analyses, quantum chemical calculations, and molecular docking studies of coumarin derivative 3-(1-m-toluidinoethylidene)-chromane-2,4-dione and its corresponding palladium(II) complex. J. Mol. Struct. 2020, 1209, 127935. [Google Scholar] [CrossRef]
- Petrović, Z.D.; Dorović, J.; Simijonović, D.; Petrović, V.P.; Marković, Z. Experimental and theoretical study of antioxidative properties of some salicylaldehyde and vanillic Schiff bases. RSC Adv. 2015, 5, 24094–24100. [Google Scholar] [CrossRef]
- Kateris, N.; Jayaraman, A.S.; Wang, H. HOMO-LUMO gaps of large polycyclic aromatic hydrocarbons and their implication on the quantum confinement behavior of flame-formed carbon nanoparticles. Proc. Combust. Inst. 2023, 39, 1069–1077. [Google Scholar] [CrossRef]
- Anju, V.; Priya, S.; Baby, S.; Rameshkumar, K.B. Chemical Constituents and Cytotoxicity of Euphorbia vajravelui. Lett. Org. Chem. 2019, 16, 643–646. [Google Scholar] [CrossRef]
- Teng, Y.N.; Wang, Y.; Hsu, P.L.; Xin, G.; Zhang, Y.; Morris-Natschke, S.L.; Goto, M.; Lee, K.H. Mechanism of action of cytotoxic compounds from the seeds of Euphorbia lathyris. Phytomedicine 2018, 41, 62–66. [Google Scholar] [CrossRef]
- Anusuya, N.; Raju, K.; Manian, S. Hepatoprotective and toxicological assessment of an ethnomedicinal plant Euphorbia fusiformis Buch.-Ham.ex D. Don. J. Ethnopharmacol. 2010, 127, 463–467. [Google Scholar] [CrossRef]
- Yuet Ping, K.; Darah, I.; Chen, Y.; Sreeramanan, S.; Sasidharan, S. Acute and subchronic toxicity study of Euphorbia hirta L. methanol extract in rats. Biomed. Res. Int. 2013, 2013, 182064. [Google Scholar] [CrossRef]
- Mahmoud, M.F.; Hamdan, D.I.; Wink, M.; El-Shazly, A.M. Hepatoprotective effect of limonin, a natural limonoid from the seed of Citrus aurantium var. bigaradia, on D-galactosamine-induced liver injury in rats. Naunyn-Schmiedebergs Arch. Pharm. 2014, 387, 251–261. [Google Scholar] [CrossRef]
- Jyothi, T.M.; Prabhu, K.; Jayachandran, E.; Lakshminarasu, S.; Setty, S.R. Hepatoprotective and antioxidant activity of Euphorbia antiquorum. Pharmacogn. Mag. 2008, 4, S127–S133. [Google Scholar]
- Grimme, S.; Antony, J.; Ehrlich, S.; Krieg, H. A consistent and accurate ab initio parametrization of density functional dispersion correction (DFT-D) for the 94 elements H-Pu. J. Chem. Phys. 2010, 132, 154104. [Google Scholar] [CrossRef] [PubMed]
- Frisch, M.J.; Trucks, G.W.; Schlegel, H.B.; Scuseria, G.E.; Robb, M.A.; Cheeseman, J.R.; Scalmani, G.B.; Arone, V.M.; Ennucci, B.; Petersson, G.A.; et al. Gaussian09, Revision D.01; Gaussian, Inc.: Wallingford, CT, USA, 2009. [Google Scholar]
- Clark, T.; Chandrasekhar, J.; Spitznagel, G.W.; Schleyer, P.V.R. Efficient diffuse function-augmented basis sets for anion calculations. III. The 3-21+G basis set for first-row elements, Li–F. J. Comput. Chem. 1983, 4, 294–301. [Google Scholar] [CrossRef]
- Krishnan, R.; Binkley, J.S.; Seeger, R.; Pople, J.A. Self–consistent molecular orbital methods. XX. A basis set for correlated wave functions. J. Chem. Phys. 1980, 72, 650–654. [Google Scholar] [CrossRef]
- Gill, P.M.W.; Johnson, B.G.; Pople, J.A.; Frisch, M.J. The performance of the Becke—Lee—Yang—Parr (B—LYP) density functional theory with various basis sets. Chem. Phys. Lett. 1992, 197, 499–505. [Google Scholar] [CrossRef]
- Lu, T.; Chen, F. Multiwfn: A multifunctional wavefunction analyzer. J. Comput. Chem. 2012, 33, 580–592. [Google Scholar] [CrossRef]
- Smith, D.G.A.; Burns, L.A.; Patkowski, K.; Sherrill, C.D. Revised damping parameters for the D3 dispersion correction to density functional theory. J. Phys. Chem. Lett. 2016, 7, 2197–2203. [Google Scholar] [CrossRef]
- Humphrey, W.; Dalke, A.; Schulten, K. VMD: Visual molecular dynamics. J. Mol. Graph. 1996, 14, 33–38. [Google Scholar] [CrossRef]
- Sun, H.; Chen, M.H.; He, X.; Sun, Y.; Feng, J.X.; Guo, X.; Li, L.; Zhu, J.Y.; Xia, G.Q.; Zang, H. Phytochemical analysis and in vitro and in vivo antioxidant properties of Plagiorhegma dubia Maxim as a medicinal crop for diabetes treatment. Arab. J. Chem. 2023, 16, 104788. [Google Scholar] [CrossRef]


















| Phytochemicals | Type of Tests | Sample Solution | ||
|---|---|---|---|---|
| Water | Methanol | Petroleum Ether | ||
| Proteins/amino acids | 1. Ninhydrin tests | + | ○ | ○ |
| 2. Biuret tests | + | ○ | ○ | |
| Carbohydrates | 1. Fehling’s tests | + | ○ | ○ |
| 2. Benedict’s tests | + | ○ | ○ | |
| 3. Molisch’s tests | + | ○ | ○ | |
| 4. Iodine tests | + | ○ | ○ | |
| Phenols | 1. FeCl3 tests | + | ○ | ○ |
| 2. FeCl3-K3[Fe(CN)6] tests | + | ○ | ○ | |
| 3. Diazotization tests | + | ○ | ○ | |
| Organic acids | 1. pH tests | + | ○ | ○ |
| 2. Blue litmus paper tests | + | ○ | ○ | |
| 3. Bromocresol green tests | + | ○ | ○ | |
| Tannins | 1. FeCl3 tests | + | ○ | ○ |
| 2. Bromine water tests | + | ○ | ○ | |
| 3. Lead acetate tests | + | ○ | ○ | |
| 4. Lime water tests | + | ○ | ○ | |
| 5. Gelatin tests | + | ○ | ○ | |
| Flavonoids | 1. Shinoda tests | ○ | − | ○ |
| 2. Alkaline reagent tests | ○ | − | ○ | |
| 3. AlCl3 tests | ○ | + | ○ | |
| 4. Lead acetate tests | ○ | + | ○ | |
| Saponins | 1. Foam tests | − | ○ | ○ |
| Steroids and triterpenoids | 1. Liebermann–Burchard tests | ○ | + | ○ |
| 2. Salkowski tests | ○ | + | ○ | |
| Terpenoids | 1. CHCl3-H2SO4 tests | ○ | + | ○ |
| 2. Vanillin-H2SO4 tests | ○ | ○ | + | |
| Alkaloids | 1. Bertrad’s reagent | ○ | + | ○ |
| 2. Dragendorff’s reagent | ○ | + | ○ | |
| 3. Mayer’s reagent | ○ | + | ○ | |
| Anthraquinones | 1. Borntrager’s tests | ○ | − | ○ |
| 2. Magnesium acetate tests | ○ | − | ○ | |
| Coumarins and lactones | 1. Hydroxamic acid iron tests | + | ○ | ○ |
| 2. Diazotization tests | + | ○ | ○ | |
| 3. Fluorescence tests | ○ | + | ○ | |
| Volatile oils and fats | 1. Phosphomolybdic acid tests | ○ | + | ○ |
| 2. Vanillin-H2SO4 tests | ○ | + | ○ | |
| 3. Sudan tests | ○ | + | ○ | |
| Cardiac glycosides | 1. Kedde tests | ○ | − | ○ |
| 2. Raymond tests | ○ | − | ○ | |
| 3. Legal tests | ○ | − | ○ | |
| Cyanogenic glycosides | 1. Prussian blue tests | − | ○ | ○ |
| Extracting Solvents | Yields (%, w/w) |
|---|---|
| Water | 33.4 ± 0.4 a |
| Methanol | 25.1 ± 0.6 b |
| Ethanol | 20.4 ± 0.4 c |
| Acetone | 13.3 ± 0.1 d |
| Ethyl acetate | 12.3 ± 0.2 e |
| Ethyl ether | 10.2 ± 0.1 f |
| Dichloromethane | 8.0 ± 0.1 g |
| Hexane | 8.1 ± 0.4 g |
| Extracting Solvents | TCC (mg GE/g Extract) | TProC (mg BSAE/g Extract) | TTriC (mg GRE/g Extract) | TPheC (mg GAE/g Extract) | TFC (mg QE/g Extract) | TTanC (mg TAE/g Extract) | GC (mg GAE/g Extract) | CTC (mg GAE/g Extract) | TAC (mg BHE/g Extract) |
|---|---|---|---|---|---|---|---|---|---|
| Water | 537.8 ± 19.6 a | 643.2 ± 12.5 a | NONE | 37.3 ± 2.3 a | 1.4 ± 0.1 c | 36.9 ± 1.2 a | 30.4 ± 1.4 d | 23.0 ± 0.5 c | 1.9 ± 0.0 b |
| Methanol | 263.9 ± 8.1 c | 110.5 ± 2.6 d | 362.5 ± 15.5 d | 11.6 ± 0.3 c | 2.4 ± 0.3 b | 11.2 ± 0.2 d | 97.5 ± 2.1 b | 18.6 ± 0.2 d | 2.4 ± 0.0 a |
| Ethanol | 501.9 ± 8.7 b | 489.7 ± 3.1 b | NONE | 29.7 ± 1.2 b | 3.2 ± 0.1 a | 28.5 ± 0.4 c | 113.3 ± 3.3 a | 27.1 ± 0.1 b | 1.9 ± 0.0 a |
| Acetone | 76.2 ± 1.6 e | 441.1 ± 5.8 c | 870.5 ± 49.8 a | 38.6 ± 2.2 a | 2.7 ± 0.2 b | 32.7 ± 1.3 b | 115.9 ± 5.1 a | 35.1 ± 0.4 a | 1.8 ± 0.0 a |
| Ethyl acetate | 101.9 ± 4.8 d | NONE | 632.9 ± 30.2 b | 5.7 ± 0.3 d | 2.1 ± 0.1 c | 5.3 ± 0.1 e | 47.5 ± 1.7 c | 8.7 ± 0.1 e | 1.7 ± 0.0 c |
| Ethyl ether | 0.4 ± 0.0 f | NONE | NONE | NONE | 1.5 ± 0.0 c | 0.3 ± 0.0 f | 10.3 ± 0.5 e | 2.1 ± 0.1 f | 1.7 ± 0.1 a |
| Dichloromethane | NONE | NONE | 499.0 ± 28.0 c | 0.3 ± 0.0 e | 1.6 ± 0.0 c | 0.6 ± 0.0 f | 10.9 ± 0.5 e | 1.8 ± 0.1 f | 1.6 ± 0.0 a |
| Hexane | 2.3 ± 0.1 f | NONE | 529.0 ± 15.0 c | NONE | 1.4 ± 0.0 c | NONE | 7.6 ± 0.2 e | 0.7 ± 0.0 g | 1.7 ± 0.0 c |
Extracting Solvents | DPPH (mg TE/g Extract) | ABTS (mg TE/g Extract) | Hydroxyl Radicals (mg TE/g Extract) | Superoxide Radicals (%, 2143 μg/mL) |
|---|---|---|---|---|
| Water | 51.1 ± 1.6 e | 119.2 ± 4.4 c | 75.1 ± 3.1 e | 25.1 ± 1.0 d |
| Methanol | 391.2 ± 11.7 a | 98.2 ± 3.7 d | 184.2 ± 6.4 c | 28.1 ± 1.1 d |
| Ethanol | 334.7 ± 13.4 b | 173.3 ± 8.1 b | 283.4 ± 11.0 b | 28.1 ± 1.0 d |
| Acetone | 264.2± 10.6 c | 240.2 ± 10.1 a | 321.1 ± 12.9 c | 12.3 ± 0.3 f |
| Ethyl acetate | 109.1 ± 4.5 d | 80.4 ± 3.0 e | 97.4 ± 3.8 d | 22.9 ± 0.8 e |
| Ethyl ether | 28.2 ± 1.0 f | 28.4 ± 0.8 f | <44.1 f | 44.5 ± 1.6 b |
| Dichloromethane | 20.2 ± 0.7 f | 32.4 ± 1.1 f | 76.6 ± 3.6 e | 47.5 ± 1.8 b |
| Hexane | 15.1 ± 0.5 f | 8.1 ± 0.3 g | <44.1 f | 39.0 ± 1.4 c |
| Curcumin * | N.T. | N.T. | N.T. | 60.3 ± 1.0 a |
| Extracting Solvents | FRAP (mg TE/g Extract) | CUPRAC (mg TE/g Extract) | Iron Chelating (mg EDTAE/g Extract) | Copper Chelating (mg EDTAE/g Extract) |
|---|---|---|---|---|
| Water | 458.3 ± 13.1 b | 60.2 ± 1.8 e | <1.1 d | 88.0 ± 2.7 a |
| Methanol | 750.0 ± 20.5 a | 313.3 ± 10.9 c | 4.2 ± 0.1 a | 29.1 ± 0.9 d |
| Ethanol | 750.0 ± 19.8 a | 349.4 ± 10.5 b | <1.1 d | 61.7 ± 1.9 c |
| Acetone | 750.0 ± 19.4 a | 373.5 ± 11.3 a | 1.6 ± 0.0 c | 49.7 ± 1.3 b |
| Ethyl acetate | 458.3 ± 13.4 b | 132.5 ± 4.0 d | 4.3 ± 0.1 a | 150.6 ± 4.6 e |
| Ethyl ether | 333.3 ± 11.9 c | NONE | 1.9 ± 0.1 b | <10.40 f |
| Dichloromethane | 333.3 ± 12.1 c | NONE | <1.1 d | <10.40 f |
| Hexane | 333.3 ± 12.4 c | NONE | <1.1 d | <10.40 f |
| Extracting Solvents | H2O2 (mg GAE/g Extract) | β-Carotene Bleaching AAC | Singlet Oxygen (%, 2000 μg/mL) | HClO (mg TE/g Extract) |
|---|---|---|---|---|
| Water | 18.1 ± 0.5 b | 662.6 ± 24.4 c | 18.7 ± 0.6 g | 93.1 ± 3.4 a |
| Methanol | 12.1 ± 0.4 c | 894.7 ± 38.4 a | 30.6 ± 0.9 b | 24.2 ± 0.7 d |
| Ethanol | 9.2 ± 0.3 d | 863.9 ± 38.4 a | 22.1 ± 0.8 e | 47.2 ± 1.9 c |
| Acetone | 53.1 ± 1.7 a | 864.3 ± 42.0 a | 25.4 ± 0.7 c | 53.1 ± 2.3 b |
| Ethyl acetate | <6.0 e | 748.5 ± 34.8 b | 23.9 ± 1.5 d | 16.1 ± 0.4 e |
| Ethyl ether | <6.0 e | 513.2 ± 26.9 d | 23.8 ± 0.9 d | <12.8 f |
| Dichloromethane | <6.0 e | 668.0 ± 32.3 c | 28.3 ± 0.8 b | <12.8 f |
| Hexane | <6.0 e | 733. 3 ± 30.1 b | 19.1 ± 0.6 f | <12.8 f |
| BHT * | N.T. | 908.4 ± 46.5 a | N.T. | N.T. |
| BHA * | N.T. | 901.9 ± 45.0 a | N.T. | N.T. |
| Ferulic acid * | N.T. | N.T. | 95.3 ± 3.2 a | N.T. |
| Peak No. | RT (min) | Identification | Molecular Formula | Selective Ion | Full Scan MS (m/z) | Error (ppm) | MS/MS Fragments (m/z) | |
|---|---|---|---|---|---|---|---|---|
| Theory | Measured | |||||||
| 1 | 1.53 | Sucrose | C12H22O11 | [M + Na]+ | 365.1060 | 365.1062 | −0.5 | 162.1125 |
| 2 | 16.04 | Phorbol-13-acetate-20-O-β-d-glucopyranoside | C28H40O12 | [M + H]+ | 569.2598 | 569.2595 | 0.5 | 311.1644, 293.1538 |
| 3 | 16.77 | 6-Hydroxy-2-methoxy acetophenone-4-O-β-d-xylopyranosyl-(1→6)-β-d-glucopyranoside | C20H28O13 | [M + H]+ | 477.1608 | 477.1616 | −1.7 | 345.1189, 183.0654 |
| 4 | 17.38 | 6-Hydroxy-2-methoxy acetophenone-4-O-α-L-arabinofuranosyl-(1→6)-β-d-glucopyranoside | C20H28O13 | [M + H]+ | 477.1608 | 477.1617 | −1.9 | 345.1196, 183.0660, 165.0551 |
| 5 | 17.79 | 2,4-Dihydroxy-6-methoxy-3-methylacetophenone-4-O-α-L-arabinofuranosyl-(1→6)-β-d-glucopyranoside | C21H30O13 | [M + H]+ | 491.1765 | 491.1761 | 0.8 | 345.1188, 183.0654 |
| 6 | 18.10 | Scopoletin/Isoscopoletin | C10H8O4 | [M + H]+ | 193.0501 | 193.0497 | 2.1 | 121.0289 |
| 7 | 18.43 | 2, 4-Dihydroxy-6-methoxyacetyl benzene | C9H10O4 | [M + H]+ | 183.0657 | 183.0654 | 1.6 | 165.0550, 153.0184 |
| 8 | 19.48 | 4β,9α,20-Trihydroxy-13,15-secotiglia-1,6-diene-3,13-dione 20-O-β-d-glucopyranoside | C26H38O10 | [M + Na]+ | 533.2363 | 533.2365 | −0.4 | 295.1694 |
| 9 | 19.87 | Euphonoid B | C20H24O4 | [M + H]+ | 329.1753 | 329.1756 | −0.9 | 313.1725 |
| 10 | 20.57 | 2,4-Dihydroxy-6-methoxy-3-methyl acetophenone | C10H12O4 | [M + H]+ | 197.0814 | 197.0813 | 0.5 | 179.0705, 165.0542, 153.0189 |
| 11 | 20.93 | Fraxidin | C11H10O5 | [M + H]+ | 223.0606 | 223.0601 | 2.2 | 208.0361, 179.0701 |
| 12 | 21.05 | 2,4-Dihydroxy-6-methoxyl-3-methyl-acetophenone-4-O-β-d-glucopyranoside | C16H22O9 | [M + H]+ | 359.1342 | 359.1340 | 0.6 | 315.0715, 197.0809, 179.0703 |
| 13 | 22.60 | Phorbol-13-acetate-20-O-β-d-glucopyranoside | C28H40O12 | [M + H]+ | 569.2598 | 569.2597 | 0.2 | 591.2413, 511.1779 |
| 14 | 29.35 | Prostratin 20-O-β-d-glucopyranoside | C28H40O11 | [M + H]+ | 553.2649 | 553.2663 | −2.5 | 277.1587 |
| 15 | 30.80 | 19-O-β-d-Glucopyranosyl-ent-atis-16-ene-3,14-dione | C26H38O8 | [M + Na]+ | 501.2464 | 501.2465 | −0.2 | 317.2113, 299.2002 |
| 16 | 31.29 | 20-O-(4′-Galloyl)-β-d-glucopyranoside/20-O-(3′-Galloyl)-β-d-glucopyranoside | C35H44O15 | [M + H]+ | 705.2758 | 705.2777 | −2.7 | 1426.5730, 153.0185 |
| 17 | 32.45 | Langduin B | C20H28O6 | [M + H]+ | 365.1964 | 365.1961 | 0.8 | 347.1861, 329.1754 |
| 18 | 32.88 | 3S,16S,17-Trihydroxy-2-one-ent-kaurane | C20H32O4 | [M + H]+ | 337.2379 | 337.2381 | −0.6 | 359.2201, 319.2276, 277.1590 |
| 19 | 34.75 | Morinda officinalis B/Yuexiandajisu E/Yuexiandajisu D | C20H30O5 | [M + Na]+ | 373.1991 | 373.2025 | −9.11 | 295.1702 |
| 20 | 36.59 | Unknown | 364.2483 | 148.0756, 131.0492, 105.0697 | ||||
| 21 | 38.20 | Fischerianoid A | C20H30O4 | [M + H]+ | 335.2222 | 335.2217 | 1.5 | 357.2050, 317.2116, |
| 22 | 38.80 | Ent-(13S)-13-hydroxyatis-16-ene-3,14-dione | C20H28O3 | [M + H]+ | 317.2117 | 317.2112 | 1.6 | 339.1936, 289.2167, 261.1852 |
| 23 | 39.44 | Ent-kaurane-3-oxo-16α,17-diol/Ent-kaurane-3-oxo-16β,17-diol | C20H32O3 | [M + Na]+ | 343.2249 | 343.2254 | −1.5 | 321.2433, 303.2327 |
| 24 | 40.69 | Fischeriabietane E | C21H30O6 | [M + H]+ | 379.2121 | 379.2120 | 0.3 | 361.2024, 333.2067,319.2278 |
| 25 | 41.67 | Araucarone | C20H30O3 | [M + H]+ | 319.2273 | 319.2265 | 2.5 | 181.1018 |
| 26 | 42.79 | 7β,11β,12β-Trihydroxy-ent abieta-8(14),13(15)-dien-16,12-olide | C20H28O5 | [M + H]+ | 349.2015 | 349.2011 | 1.1 | 367.1529, 313.1809, 331.1913 |
| 27 | 43.68 | Jolkinol A | C29H36O6 | [M + Na]+ | 503.2410 | 503.2412 | −0.4 | 481.2593, 463.2489, 131.0492 |
| 28 | 45.44 | 17-Hydroxyjolkinolide B | C20H26O5 | [M + Na]+ | 369.1678 | 369.1675 | 0.8 | — |
| 29 | 46.65 | 13β-Hydroxy-7-oxobiet-8(14)-en-19,6β-olide | C20H28O4 | [M + H]+ | 333.2066 | 333.2070 | −1.2 | 315.1961, 287.2374 |
| 30 | 46.88 | Jolkinol B | C29H36O5 | [M + Na]+ | 487.2460 | 487.2457 | 0.6 | 447.2540, 419.2247 |
| 31 | 47.36 | Fischeriana A | C27H30O8 | [M + Na]+ | 505.1838 | 505.1839 | −0.2 | 483.2018, 331.1813 |
| 32 | 48.16 | Jolkinolide B | C20H26O4 | [M + Na]+ | 353.1729 | 353.1726 | 0.8 | 331.1912, 303.2324 |
| 33 | 49.29 | Ent-13-hydroxyatis-16-ene-3,14-dione | C20H28O3 | [M + H]+ | 317.2117 | 317.2117 | 0.0 | 339.1935, 299.2013 |
| 34 | 49.95 | Ent-atis-16(17)-ene-3,14-dione/Ent-atis-16-ene-3,14-dione | C20H28O2 | [M + H]+ | 301.2168 | 301.2162 | 2.0 | 285.2216, 271.2425 |
| 35 | 50.24 | Fischernolide D | C29H32O8 | [M + H]+ | 509.2175 | 509.2170 | 1.0 | 491.2072, 463.2122 |
| 36 | 50.80 | Unknown | 331.1913 | 317.2119, 299.2029, 277.2163 | ||||
| 37 | 51.78 | Ent-10α-hydroxy-rosa-1,15-dien-3-one | C20H30O2 | [M + H]+ | 303.2324 | 303.2318 | 2.0 | 285.2221, 257.2264, |
| 38 | 52.11 | Euphonoid A | C21H30O4 | [M + H]+ | 347.2222 | 347.2222 | 0.0 | 298.1891, 269.1904 |
| 39 | 52.91 | Landuin D | C29H32O9 | [M + H]+ | 525.2125 | 525.2126 | −0.2 | 481.2230 |
| Peak No. | Compound No. | Identification |
|---|---|---|
| 14 | 1 | Prostratin 20-O-β-d-glucopyranoside |
| 19 | 2 | Morinda officinalis B |
| 3 | Yuexiandajisu E | |
| 4 | Yuexiandajisu D | |
| 27 | 5 | Jolkinol A |
| 28 | 6 | 17-Hydroxyjolkinolide B |
| 38 | 7 | Fischeriabietane B |
| 8 | Euphonoid A | |
| 4 | 9 | 6-Hydroxy-2-methoxy 4-O-α-L-arabinofuranosyl(1→6)-β-d-glucopyranoside |
| 7 | 10 | 2,4-Dihydroxy-6-methoxyacetyl benzene |
| 23 | 11 | Ent-kaurane-3-oxo-16α,17-diol |
| 12 | Ent-kaurane-3-oxo-16β,17-diol | |
| 32 | 13 | Jolkinolide B |
| 16 | 14 | 20-O-(4′-Galloyl)-β-d-glucopyranoside |
| 15 | 20-O-(3′-Galloyl)-β-d-glucopyranoside |
| Acetone Extract (μg/mL) | Cell Survival Rate of TM3 Cells (%) | |
|---|---|---|
| 24 h | 48 h | |
| 0 | 100.00 ± 2.41 a | 100.00 ± 2.34 b |
| 25 | 102.29 ± 1.73 a | 116.94 ± 3.25 a |
| 50 | 102.98 ± 2.35 a | 118.65 ± 4.30 a |
| 100 | 86.95 ± 1.49 b | 86.67 ± 1.99 c |
| 200 | 75.25 ± 2.30 c | 37.11 ± 1.34 d |
Disclaimer/Publisher’s Note: The statements, opinions and data contained in all publications are solely those of the individual author(s) and contributor(s) and not of MDPI and/or the editor(s). MDPI and/or the editor(s) disclaim responsibility for any injury to people or property resulting from any ideas, methods, instructions or products referred to in the content. |
© 2023 by the authors. Licensee MDPI, Basel, Switzerland. This article is an open access article distributed under the terms and conditions of the Creative Commons Attribution (CC BY) license (https://creativecommons.org/licenses/by/4.0/).
Share and Cite
Sun, Y.; Feng, J.-X.; Wei, Z.-B.; Sun, H.; Li, L.; Zhu, J.-Y.; Xia, G.-Q.; Zang, H. Phytochemical Analysis, Antioxidant Activities In Vitro and In Vivo, and Theoretical Calculation of Different Extracts of Euphorbia fischeriana. Molecules 2023, 28, 5172. https://doi.org/10.3390/molecules28135172
Sun Y, Feng J-X, Wei Z-B, Sun H, Li L, Zhu J-Y, Xia G-Q, Zang H. Phytochemical Analysis, Antioxidant Activities In Vitro and In Vivo, and Theoretical Calculation of Different Extracts of Euphorbia fischeriana. Molecules. 2023; 28(13):5172. https://doi.org/10.3390/molecules28135172
Chicago/Turabian StyleSun, Yue, Jia-Xin Feng, Zhong-Bao Wei, Hui Sun, Li Li, Jun-Yi Zhu, Guang-Qing Xia, and Hao Zang. 2023. "Phytochemical Analysis, Antioxidant Activities In Vitro and In Vivo, and Theoretical Calculation of Different Extracts of Euphorbia fischeriana" Molecules 28, no. 13: 5172. https://doi.org/10.3390/molecules28135172
APA StyleSun, Y., Feng, J.-X., Wei, Z.-B., Sun, H., Li, L., Zhu, J.-Y., Xia, G.-Q., & Zang, H. (2023). Phytochemical Analysis, Antioxidant Activities In Vitro and In Vivo, and Theoretical Calculation of Different Extracts of Euphorbia fischeriana. Molecules, 28(13), 5172. https://doi.org/10.3390/molecules28135172

