Pericapsular Nerve Group (PENG) Block versus Supra-Inguinal Fascia Iliaca Compartment Block for Total Hip Arthroplasty: A Randomized Clinical Trial
Abstract
:1. Introduction
2. Materials and Methods
2.1. Study Population
2.2. Study Design
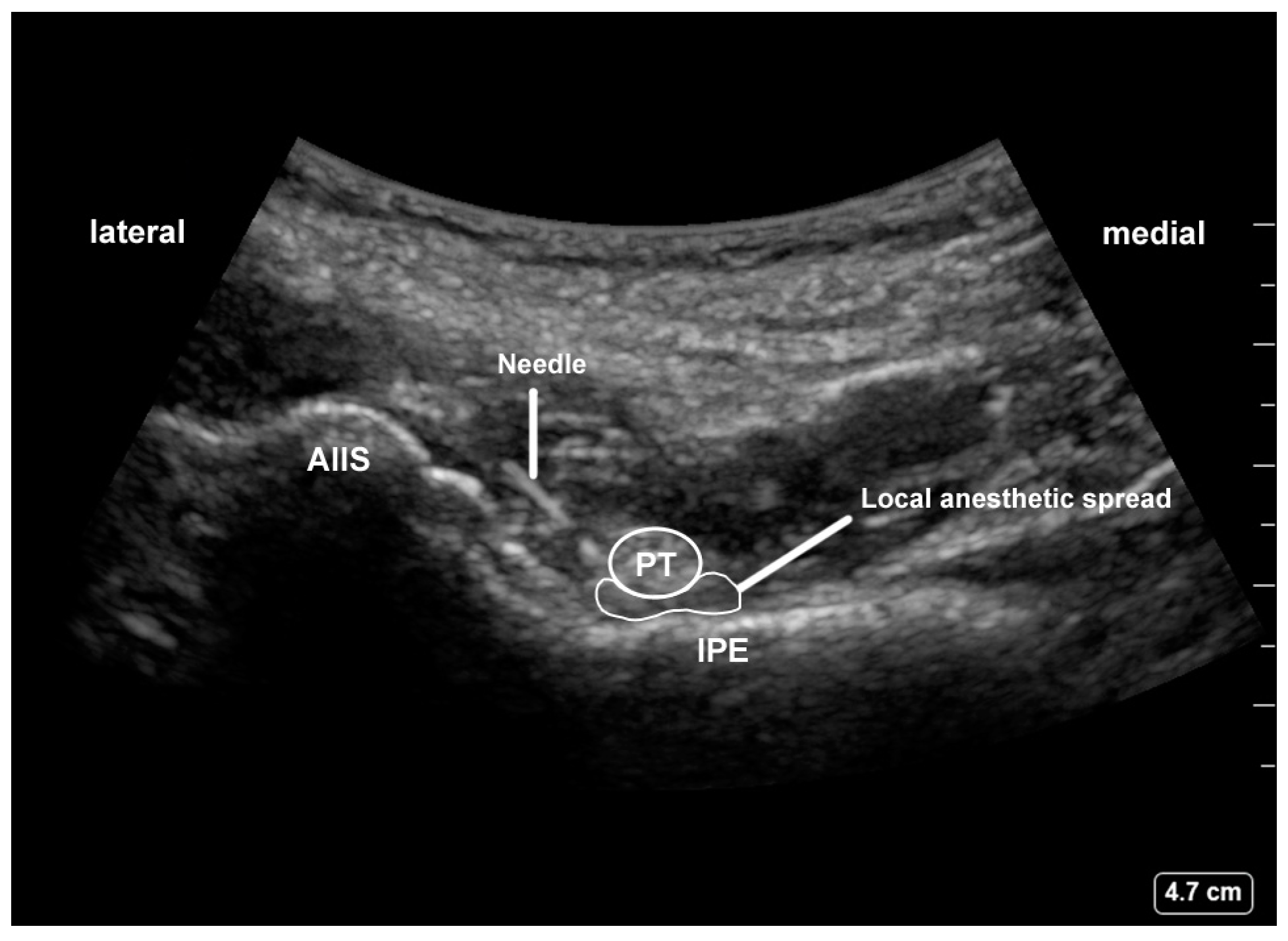
2.3. Interventions
2.4. Perioperative Management
2.5. Outcome Assessments
2.6. Statistical Analysis
3. Results
3.1. Patient and Operation Characteristics
3.2. Pain Outcomes
3.3. Quadriceps Strength
3.4. Intraoperative Anesthesia-Relevant Data and Postoperative Hospital Course
4. Discussion
5. Conclusions
Author Contributions
Funding
Institutional Review Board Statement
Informed Consent Statement
Data Availability Statement
Acknowledgments
Conflicts of Interest
References
- Hojer Karlsen, A.P.; Geisler, A.; Petersen, P.L.; Mathiesen, O.; Dahl, J.B. Postoperative pain treatment after total hip arthroplasty: A systematic review. Pain 2015, 156, 8–30. [Google Scholar] [CrossRef]
- Pepper, A.M.; Mercuri, J.J.; Behery, O.A.; Vigdorchik, J.M. Total Hip and Knee Arthroplasty Perioperative Pain Management: What Should Be in the Cocktail. JBJS Rev. 2018, 6, e5. [Google Scholar] [CrossRef] [PubMed]
- Bugada, D.; Bellini, V.; Lorini, L.F.; Mariano, E.R. Update on Selective Regional Analgesia for Hip Surgery Patients. Anesthesiol. Clin. 2018, 36, 403–415. [Google Scholar] [CrossRef] [PubMed]
- Shariat, A.N.; Hadzic, A.; Xu, D.; Shastri, U.; Kwofie, K.; Gandhi, K.; McCally, C.M.; Gratenstein, K.; Vandepitte, C.; Gadsden, J.; et al. Fascia lliaca block for analgesia after hip arthroplasty: A randomized double-blind, placebo-controlled trial. Reg. Anesth. Pain Med. 2013, 38, 201–205. [Google Scholar] [CrossRef] [PubMed]
- Hebbard, P.; Ivanusic, J.; Sha, S. Ultrasound-guided supra-inguinal fascia iliaca block: A cadaveric evaluation of a novel approach. Anaesthesia 2011, 66, 300–305. [Google Scholar] [CrossRef]
- Vermeylen, K.; Soetens, F.; Leunen, I.; Hadzic, A.; Van Boxtael, S.; Pomés, J.; Prats Galino, A.; Van de Velde, M.; Neyrinck, A.; Sala Blanch, X. The effect of the volume of supra-inguinal injected solution on the spread of the injectate under the fascia iliaca: A preliminary study. J. Anesth. 2018, 32, 908–913. [Google Scholar] [CrossRef] [PubMed]
- Vermeylen, K.; Desmet, M.; Leunen, I.; Soetens, F.; Neyrinck, A.; Carens, D.; Caerts, B.; Seynaeve, P.; Hadzic, A.; Van de Velde, M. Supra-inguinal injection for fascia iliaca compartment block results in more consistent spread towards the lumbar plexus than an infra-inguinal injection: A volunteer study. Reg. Anesth. Pain Med. 2019, 44, 483–491. [Google Scholar] [CrossRef]
- Desmet, M.; Vermeylen, K.; Van Herreweghe, I.; Carlier, L.; Soetens, F.; Lambrecht, S.; Croes, K.; Pottel, H.; Van de Velde, M. A Longitudinal Supra-Inguinal Fascia Iliaca Compartment Block Reduces Morphine Consumption After Total Hip Arthroplasty. Reg. Anesth. Pain Med. 2017, 42, 327–333. [Google Scholar] [CrossRef]
- Birnbaum, K.; Prescher, A.; Hessler, S.; Heller, K.D. The sensory innervation of the hip joint--an anatomical study. Surgical and radiologic anatomy. SRA 1997, 19, 371–375. [Google Scholar] [CrossRef]
- Short, A.J.; Barnett, J.J.G.; Gofeld, M.; Baig, E.; Lam, K.; Agur, A.M.R.; Peng, P.W.H. Anatomic Study of Innervation of the Anterior Hip Capsule: Implication for Image-Guided Intervention. Reg. Anesth. Pain Med. 2018, 43, 186–192. [Google Scholar] [CrossRef]
- Girón Arango, L.; Peng, P.W.H.; Chin, K.J.; Brull, R.; Perlas, A. Pericapsular Nerve Group (PENG) Block for Hip Fracture. Reg. Anesth. Pain Med. 2018, 43, 859–863. [Google Scholar] [CrossRef] [PubMed]
- Shin, S.; Min, K.T.; Shin, Y.S.; Joo, H.M.; Yoo, Y.C. Finding the ‘ideal’ regimen for fentanyl-based intravenous patient-controlled analgesia: How to give and what to mix? Yonsei Med. J. 2014, 55, 800–806. [Google Scholar] [CrossRef] [PubMed] [Green Version]
- Nielsen, S.; Degenhardt, L.; Hoban, B.; Gisev, N. A synthesis of oral morphine equivalents (OME) for opioid utilisation studies. Pharmacoepidemiol. Drug Saf. 2016, 25, 733–737. [Google Scholar] [CrossRef] [PubMed]
- Maffiuletti, N.A. Assessment of hip and knee muscle function in orthopaedic practice and research. J. Bone Jt. Surg. Am. Vol. 2010, 92, 220–229. [Google Scholar] [CrossRef] [PubMed]
- Gasanova, I.; Alexander, J.C.; Estrera, K.; Wells, J.; Sunna, M.; Minhajuddin, A.; Joshi, G.P. Ultrasound-guided suprainguinal fascia iliaca compartment block versus periarticular infiltration for pain management after total hip arthroplasty: A randomized controlled trial. Reg. Anesth. Pain Med. 2019, 44, 206–211. [Google Scholar] [CrossRef]
- Johnson, R.L.; Amundson, A.W.; Abdel, M.P.; Sviggum, H.P.; Mabry, T.M.; Mantilla, C.B.; Schroeder, D.R.; Pagnano, M.W.; Kopp, S.L. Continuous Posterior Lumbar Plexus Nerve Block Versus Periarticular Injection with Ropivacaine or Liposomal Bupivacaine for Total Hip Arthroplasty: A Three-Arm Randomized Clinical Trial. J. Bone Jt. Surg. Am. Vol. 2017, 99, 1836–1845. [Google Scholar] [CrossRef]
- Rowbotham, M.C. What is a “clinically meaningful” reduction in pain? Pain 2001, 94, 131–132. [Google Scholar] [CrossRef]
- Lin, D.Y.; Morrison, C.; Brown, B.; Saies, A.A.; Pawar, R.; Vermeulen, M.; Anderson, S.R.; Lee, T.S.; Doornberg, J.; Kroon, H.M.; et al. Pericapsular nerve group (PENG) block provides improved short-term analgesia compared with the femoral nerve block in hip fracture surgery: A single-center double-blinded randomized comparative trial. Reg. Anesth. Pain Med. 2021, 46, 398–403. [Google Scholar] [CrossRef]
- Pascarella, G.; Costa, F.; Del Buono, R.; Pulitano, R.; Strumia, A.; Piliego, C.; De Quattro, E.; Cataldo, R.; Agro, F.E.; Carassiti, M.; et al. Impact of the pericapsular nerve group (PENG) block on postoperative analgesia and functional recovery following total hip arthroplasty: A randomised, observer-masked, controlled trial. Anaesthesia 2021, 76, 1492–1498. [Google Scholar] [CrossRef]
- Aliste, J.; Layera, S.; Bravo, D.; Jara, A.; Munoz, G.; Barrientos, C.; Wulf, R.; Branez, J.; Finlayson, R.J.; Tran, Q. Randomized comparison between pericapsular nerve group (PENG) block and suprainguinal fascia iliaca block for total hip arthroplasty. Reg. Anesth. Pain Med. 2021, 46, 874–878. [Google Scholar] [CrossRef]
- Gerhardt, M.; Johnson, K.; Atkinson, R.; Snow, B.; Shaw, C.; Brown, A.; Vangsness, C.T., Jr. Characterisation and classification of the neural anatomy in the human hip joint. Hip Int. J. Clin. Exp. Res. Hip Pathol. Ther. 2012, 22, 75–81. [Google Scholar] [CrossRef] [PubMed]
- Tran, J.; Agur, A.; Peng, P. Is pericapsular nerve group (PENG) block a true pericapsular block? Reg. Anesth. Pain Med. 2019, 44, 257. [Google Scholar] [CrossRef]
- Panzenbeck, P.; von Keudell, A.; Joshi, G.P.; Xu, C.X.; Vlassakov, K.; Schreiber, K.L.; Rathmell, J.P.; Lirk, P. Procedure-specific acute pain trajectory after elective total hip arthroplasty: Systematic review and data synthesis. Br. J. Anaesth. 2021, 127, 110–132. [Google Scholar] [CrossRef] [PubMed]
- Yu, H.C.; Moser, J.J.; Chu, A.Y.; Montgomery, S.H.; Brown, N.; Endersby, R.V.W. Inadvertent quadriceps weakness following the pericapsular nerve group (PENG) block. Reg. Anesth. Pain Med. 2019, 44, 611–613. [Google Scholar] [CrossRef]
- Giron-Arango, L.; Tran, J.; Peng, P.W. Reply to Aydin et al.: A Novel Indication of Pericapsular Nerve Group Block: Surgical Anesthesia for Vein Ligation and Stripping. J. Cardiothorac. Vasc. Anesth. 2020, 34, 845–846. [Google Scholar] [CrossRef] [PubMed] [Green Version]
- Anger, M.; Valovska, T.; Beloeil, H.; Lirk, P.; Joshi, G.P.; Van de Velde, M.; Raeder, J.; the PROSPECT Working Group; the European Society of Regional Anaesthesia and Pain Therapy. PROSPECT guideline for total hip arthroplasty: A systematic review and procedure-specific postoperative pain management recommendations. Anaesthesia 2021, 76, 1082–1097. [Google Scholar] [CrossRef]
- Abdallah, F.W.; McCartney, C.J.L. Recommendations for total hip arthroplasty pain management: What’s old, what’s new and what continues to be missing? Anaesthesia 2021, 76, 1018–1020. [Google Scholar] [CrossRef]
- Alakkad, H.; Naeeni, A.; Chan, V.W.; Abbas, S.; Oh, J.; Ami, N.; Ng, J.; Gardam, M.; Brull, R. Infection related to ultrasound-guided single-injection peripheral nerve blockade: A decade of experience at toronto Western hospital. Reg. Anesth. Pain Med. 2015, 40, 82–84. [Google Scholar] [CrossRef]
- Jimenez-Almonte, J.H.; Wyles, C.C.; Wyles, S.P.; Norambuena-Morales, G.A.; Baez, P.J.; Murad, M.H.; Sierra, R.J. Is Local Infiltration Analgesia Superior to Peripheral Nerve Blockade for Pain Management After THA: A Network Meta-analysis. Clin. Orthop. Relat. Res. 2016, 474, 495–516. [Google Scholar] [CrossRef] [Green Version]



| PENG (n = 27) | FICB (n = 27) | ASD | |
|---|---|---|---|
| Female | 13 (48.1) | 11 (40.7) | 0.150 |
| Age (years) | 61.0 (48.5–72.0) | 63.0 (52.0–71.0) | 0.179 |
| BMI (kg/m2) | 25.8 ± 3.0 | 25.0 ± 3.9 | 0.244 |
| ASA physical status | |||
| I | 5 (18.5) | 2 (7.4) | 0.335 |
| II | 15 (55.6) | 22 (81.5) | 0.581 |
| III | 7 (25.9) | 3 (11.1) | 0.389 |
| Diabetes mellitus | 7 (25.9) | 2 (7.4) | 0.513 |
| Preoperative NSAIDs use | 15 (55.6) | 12 (44.4) | 0.224 |
| Chronic opiate use | 11 (40.7) | 7 (25.9) | 0.318 |
| Diagnosis | |||
| Osteoarthritis | 9 (33.3) | 10 (37.0) | 0.078 |
| Avascular osteonecrosis | 17 (63.0) | 15 (55.6) | 0.151 |
| Implant loosening | 1 (3.7) | 2 (7.4) | 0.162 |
| Surgical side (right) | 12 (44.4) | 7 (25.9) | 0.395 |
| Operation time (min) | 69.0 (57.0–78.0) | 71.0 (60.0–80.5) | 0.318 |
| PENG (n = 27) | FICB (n = 27) | Difference (95% CI) | pGroup×Time * | Adjusted p † | |
|---|---|---|---|---|---|
| NRS pain scores at rest | 0.079 | ||||
| Preoperative | 2.6 (0.4) | 2.8 (0.5) | −0.2 (−1.2 to 0.8) | >0.999 | |
| At PACU | 5.6 (0.4) | 5.5 (0.5) | 0.1 (−1.0 to 1.2) | >0.999 | |
| 6 h after surgery | 3.4 (0.3) | 5.1 (0.5) | −1.7 (−2.7 to −0.7) | 0.004 | |
| 24 h after surgery | 2.5 (0.3) | 3.7 (0.5) | −1.2 (−2.0 to −0.4) | 0.022 | |
| 36 h after surgery | 2.1 (0.3) | 2.7 (0.4) | −0.6 (−1.5 to 0.3) | >0.999 | |
| 48 h after surgery | 1.7 (0.3) | 2.5 (0.4) | −0.7 (−1.5 to 0.0) | 0.298 | |
| NRS pain scores during movement ‡ | 0.323 | ||||
| Preoperative | 5.7 (0.3) | 6.0 (0.5) | −0.4 (−1.3 to 0.6) | >0.999 | |
| 6 h after surgery | 5.8 (0.3) | 7.0 (0.5) | −1.2 (−2.2 to −0.1) | 0.159 | |
| 24 h after surgery | 5.0 (0.3) | 6.0 (0.5) | −1.1 (−2.0 to −0.2) | 0.116 | |
| 36 h after surgery | 5.0 (0.3) | 5.1 (0.6) | −0.3 (−1.4 to 0.7) | >0.999 | |
| 48 h after surgery | 4.3 (0.4) | 4.5 (0.5) | −0.2 (−1.1 to 0.7) | >0.999 | |
| Opioid consumption (mg) § | 0.728 | ||||
| 0–6 h after surgery | 29.0 (2.9) | 34.2 (5.1) | −5.2 (−13.3 to 2.8) | 0.615 | |
| 6–24 h after surgery | 31.1 (2.6) | 39.1 (5.1) | −8.0 (−16.4 to 0.5) | 0.195 | |
| 24–48 h after surgery | 32.4 (2.9) | 41.0 (5.4) | −8.5 (−18.7 to 1.8) | 0.313 | |
| Cumulative opioid consumption (mg) § | 0.265 | ||||
| 6 h after surgery | 32.1 (5.6) | 38.3 (9.2) | −6.2 (−17.6 to 5.2) | 0.864 | |
| 24 h after surgery | 59.5 (5.0) | 71.8 (9.5) | −12.3 (−26.7 to 2.1) | 0.282 | |
| 48 h after surgery | 88.1 (5.0) | 107.1 (10.6) | −19.0 (−38.8 to 0.8) | 0.180 |
| PENG (n = 27) | FICB (n = 27) | Difference (95% CI) | pGroup×Time * | Adjusted p † | |
|---|---|---|---|---|---|
| Operative leg (kgf) | 0.513 | ||||
| Preoperative | 10.6 (0.7) | 11.3 (1.4) | −0.7 (−2.9 to 1.4) | >0.999 | |
| 6 h after surgery | 5.7 (1.0) | 4.9 (1.3) | 0.9 (−1.8 to 3.5) | >0.999 | |
| 24 h after surgery | 7.0 (0.7) | 7.3 (1.3) | −0.2 (−2.1 to 1.6) | >0.999 | |
| 36 h after surgery | 7.7 (0.8) | 7.1 (1.2) | 0.6 (−1.4 to 2.6) | >0.999 | |
| Nonoperative leg (kgf) | 0.523 | ||||
| Preoperative | 12.2 (1.0) | 12.9 (1.6) | −0.8 (−2.9 to 1.4) | >0.999 | |
| 6 h after surgery | 9.9 (1.1) | 11.8 (1.5) | −2.0 (−4.8 to 0.9) | 0.709 | |
| 24 h after surgery | 10.5 (1.2) | 12.1 (1.6) | −1.5 (−4.2 to 1.1) | >0.999 | |
| 36 h after surgery | 10.7 (1.1) | 12.0 (1.6) | −1.4 (−4.1 to 1.3) | >0.999 |
| PENG (n = 27) | FICB (n = 27) | p | |
|---|---|---|---|
| Intraoperative | |||
| Total dose of fentanyl (μg/kg) | 0.8 ± 0.1 | 0.7 ± 0.2 | 0.857 |
| Total dose of remifentanil (μg/kg) | 5.4 (4.4–6.3) | 5.2 (4.4–7.0) | 0.580 |
| Blood loss (mL) | 100.0 (100.0–200.0) | 100.0 (100.0–200.0) | 0.858 |
| Anesthesia time (min) | 105.0 (90.0–130.0) | 110.0 (97.5–125.0) | 0.340 |
| Postoperative | |||
| PACU stay (min) | 40.0 (30.0–48.0) | 44.0 (31.5–52.0) | 0.625 |
| Nausea | 7 (25.9) | 5 (18.5) | 0.743 |
| Urinary retention | 2 (7.4) | 1 (3.7) | 0.999 |
| Time to ambulation (h) | 21.1 (17.8–24.1) | 23.5 (20.2–29.0) | 0.085 |
| Length of hospital stay (day) | 4.0 (4.0–4.0) | 4.0 (4.0–4.0) | 0.475 |
| Patient satisfaction score | 8.0 (6.0–8.0) | 7.0 (5.0–8.0) | 0.509 |
Publisher’s Note: MDPI stays neutral with regard to jurisdictional claims in published maps and institutional affiliations. |
© 2022 by the authors. Licensee MDPI, Basel, Switzerland. This article is an open access article distributed under the terms and conditions of the Creative Commons Attribution (CC BY) license (https://creativecommons.org/licenses/by/4.0/).
Share and Cite
Choi, Y.S.; Park, K.K.; Lee, B.; Nam, W.S.; Kim, D.-H. Pericapsular Nerve Group (PENG) Block versus Supra-Inguinal Fascia Iliaca Compartment Block for Total Hip Arthroplasty: A Randomized Clinical Trial. J. Pers. Med. 2022, 12, 408. https://doi.org/10.3390/jpm12030408
Choi YS, Park KK, Lee B, Nam WS, Kim D-H. Pericapsular Nerve Group (PENG) Block versus Supra-Inguinal Fascia Iliaca Compartment Block for Total Hip Arthroplasty: A Randomized Clinical Trial. Journal of Personalized Medicine. 2022; 12(3):408. https://doi.org/10.3390/jpm12030408
Chicago/Turabian StyleChoi, Yong Seon, Kwan Kyu Park, Bora Lee, Won Seok Nam, and Do-Hyeong Kim. 2022. "Pericapsular Nerve Group (PENG) Block versus Supra-Inguinal Fascia Iliaca Compartment Block for Total Hip Arthroplasty: A Randomized Clinical Trial" Journal of Personalized Medicine 12, no. 3: 408. https://doi.org/10.3390/jpm12030408
APA StyleChoi, Y. S., Park, K. K., Lee, B., Nam, W. S., & Kim, D.-H. (2022). Pericapsular Nerve Group (PENG) Block versus Supra-Inguinal Fascia Iliaca Compartment Block for Total Hip Arthroplasty: A Randomized Clinical Trial. Journal of Personalized Medicine, 12(3), 408. https://doi.org/10.3390/jpm12030408

