Pilot Study to Demonstrate Improvement in Skin Tone and Texture by Treatment with a 1064 nm Q-Switched Neodymium-Doped Yttrium Aluminum Garnet Laser
Abstract
1. Introduction
2. Methods
2.1. Population
2.2. Treatment
2.3. Assessments of Outcomes
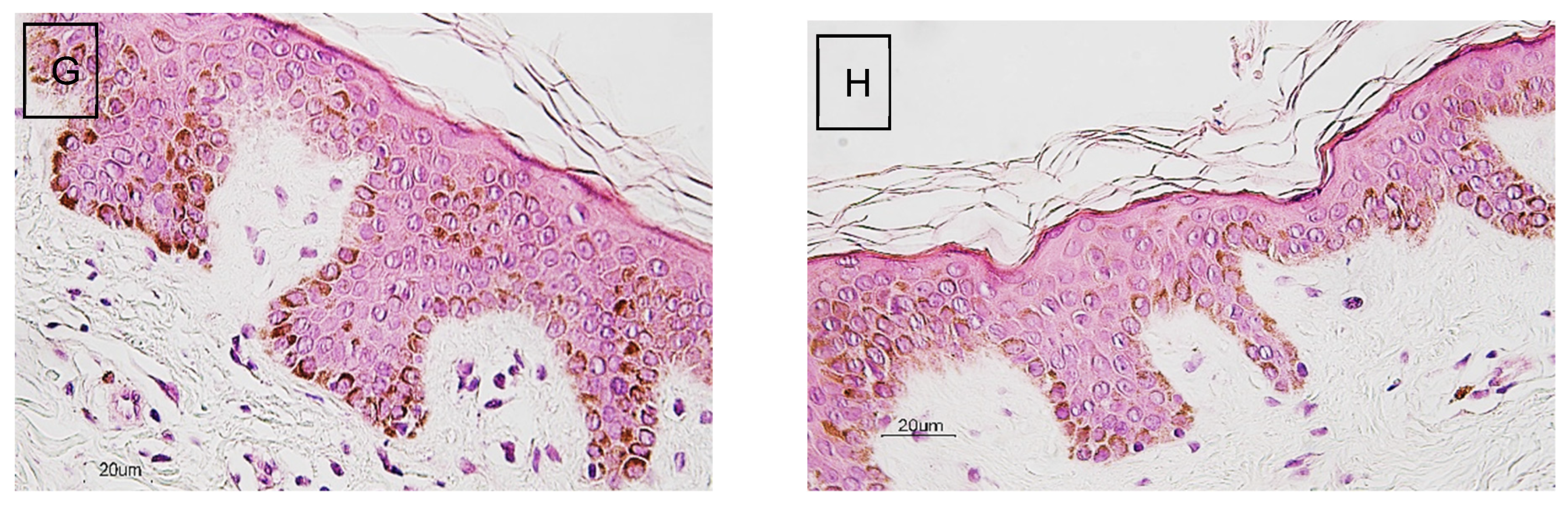
2.4. Histological Analyses
3. Results
3.1. Skin Improvement
3.2. Histology
3.3. Safety
4. Discussion
Author Contributions
Funding
Institutional Review Board Statement
Informed Consent Statement
Data Availability Statement
Conflicts of Interest
References
- Goldberg, D.J. Laser treatment of pigmented lesions. Dermatol. Clin. 1997, 15, 397–407. [Google Scholar] [CrossRef] [PubMed]
- Manstein, D.; Herron, G.S.; Sink, R.K.; Tanner, H.; Anderson, R.R. Fractional photothermolysis: A new concept for cutaneous remodeling using microscopic patterns of thermal injury. Lasers Surg. Med. 2004, 34, 426–438. [Google Scholar] [CrossRef] [PubMed]
- Laubach, H.J.; Tannous, Z.; Anderson, R.R.; Manstein, D. Skin responses to fractional photothermolysis. Lasers Surg. Med. 2006, 38, 142–149. [Google Scholar] [CrossRef]
- Kauvar, A.N. Successful treatment of melasma using a combination of microdermabrasion and Q-switched Nd:YAG lasers. Lasers Surg. Med. 2012, 44, 117–124. [Google Scholar] [CrossRef] [PubMed]
- Schmults, C.D.; Phelps, R.; Goldberg, D.J. Nonablative Facial Remodeling: Erythema Reduction and Histologic Evidence of New Collagen Formation Using a 300-Microsecond 1064-nm Nd:YAG Laser. Arch. Dermatol. 2004, 140, 1373–1376. [Google Scholar] [CrossRef] [PubMed]
- Alster, T.S. Manual of Cutaneous Laser Techniques; Lippincott-Raven: Philadelphia, PA, USA, 1997. [Google Scholar]
- Lee, M.C.; Hu, S.; Chen, M.C.; Shih, Y.C.; Huang, Y.L.; Lee, S.H. Skin rejuvenation with 1064-nm Q-switched Nd:YAG laser in Asian patients. Dermatol. Surg. 2009, 35, 929–932. [Google Scholar] [CrossRef]
- Arora, P.; Sarkar, R.; Garg, V.K.; Arya, L. Lasers for treatment of melasma and post-inflammatory hyperpigmentation. J. Cutan. Aesthet. Surg. 2012, 5, 93–103. [Google Scholar]
- Yang, Z.; Xiang, H.; Duan, X.; Liu, J.; He, X.; He, Y.; Hu, S.; He, L. Q-switched 1064-nm dymium-doped yttrium aluminum garnet laser irradiation induces skin collagen synthesis by stimulating MAPKs pathway. Lasers Med. Sci. 2019, 34, 963–971. [Google Scholar] [CrossRef]
- Yang, Z.; Duan, X.; Wang, X.; Xu, Q.; Guo, B.; Xiang, S.; Jia, X.; He, L. The effect of Q-switched 1064-nm Nd: YAG laser on skin barrier and collagen synthesis via miR-663a to regulate TGFbeta1/smad3/p38MAPK pathway. Photodermatol. Photoimmunol. Photomed. 2021, 37, 412–421. [Google Scholar] [CrossRef]
- Yang, Z.; Duan, X.; Wang, X.; Li, D.; Xu, Q.; Xiang, S.; Guo, B.; He, L. The effect of Q-switched 1064-nm dymium-doped yttrium aluminum garnet laser on the skin barrier and collagen synthesis through miR-24-3p. Lasers Med. Sci. 2022, 37, 205–214. [Google Scholar] [CrossRef]
- Wang, X.; Yang, Z.; Xiong, Y.; Wan, P.; He, L.; Chen, Y.; Jiang, S.; Su, H.; Zhang, Y.Q.; Du, Y.F. The Effects of Different Fluences of 1064 nm Q-Switched Nd:YAG Laser on Skin Repair and Skin Barrier Dysfunction in Mice. Photomed. Laser Surg. 2016, 34, 76–81. [Google Scholar] [CrossRef]
- De Filippis, A.; Perfetto, B.; Guerrera, L.P.; Oliviero, G.; Baroni, A. Q-switched 1064 nm Nd-Yag nanosecond laser effects on skin barrier function and on molecular rejuvenation markers in keratinocyte-fibroblasts interaction. Lasers Med. Sci. 2019, 34, 595–605. [Google Scholar] [CrossRef]
- Clarys, P.; Alewaeters, K.; Lambrecht, R.; Barel, A.O. Skin color measurements: Comparison between three instruments: The Chromameter(R), the DermaSpectrometer(R) and the Mexameter(R). Skin Res. Technol. 2000, 6, 230–238. [Google Scholar] [CrossRef]
- Sethuraman, G.; Sharma, V.K.; Sreenivas, V. Melanin Index. in Assessing the Treatment Efficacy of 1064 nm Q Switched Nd-Yag Laser in Nevus of Ota. J. Cutan. Aesthet. Surg. 2013, 6, 189–193. [Google Scholar] [CrossRef]
- Goh, S.H. The treatment of visible signs of senescence: The Asian experience. Br. J. Dermatol. 1990, 122 (Suppl. 35), 105–109. [Google Scholar] [CrossRef] [PubMed]
- Chung, J.H.; Lee, S.H.; Youn, C.S.; Park, B.J.; Kim, K.H.; Park, K.C.; Cho, K.H.; Eun, H.C. Cutaneous photodamage in Koreans: Influence of sex, sun exposure, smoking, and skin color. Arch. Dermatol. 2001, 137, 1043–1051. [Google Scholar] [PubMed]
- Chan, N.P.; Ho, S.G.; Shek, S.Y.; Yeung, C.K.; Chan, H.H. A case series of facial depigmentation associated with low fluence Q-switched 1,064 nm Nd:YAG laser for skin rejuvenation and melasma. Lasers Surg. Med. 2010, 42, 712–719. [Google Scholar] [CrossRef] [PubMed]
- Won, K.H.; Lee, S.H.; Lee, M.H.; Rhee, D.Y.; Yeo, U.C.; Chang, S.E. A prospective, split-face, double-blinded, randomized study of the efficacy and safety of a fractional 1064-nm Q-switched Nd:YAG laser for photoaging-associated mottled pigmentation in Asian skin. J. Cosmet. Laser Ther. 2016, 18, 381–386. [Google Scholar] [CrossRef] [PubMed]
- Agarwal, M.; Velaskar, S. Laser Skin. Rejuvenation with Fractional 1064 Q-switched Nd:YAG In 252 Patients: An Indian Experience. J. Cosmet. Dermatol. 2020, 19, 382–387. [Google Scholar] [CrossRef] [PubMed]
- Luebberding, S.; Alexiades-Armenakas, M.R. Fractional, nonablative Q-switched 1,064-nm neodymium YAG laser to rejuvenate photoaged skin: A pilot case series. J. Drugs Dermatol. 2012, 11, 1300–1304. [Google Scholar] [PubMed]
- Urdiales-Galvez, F.; Trelles, M.A.; Martin-Sanchez, S.; Maiz-Jimenez, M. Face and neck rejuvenation using an improved non-ablative fractional high power 1064-nm Q-switched Nd:YAG Laser: Clinical results in 16 women. J. Cosmet. Laser Ther. 2020, 22, 70–76. [Google Scholar] [CrossRef] [PubMed]
- Yongqian, C.; Li, L.; Jianhai, B.; Ran, H.; Li, G.; Hao, W.; Xining, W.; Shigang, X.; Yibing, W. A split-face comparison of Q-switched Nd:YAG 1064-nm laser for facial rejuvenation in Nevus of Ota patients. Lasers Med. Sci. 2017, 32, 765–769. [Google Scholar] [CrossRef]
- Wong, Y.; Lee, S.S.; Goh, C.L. Hypopigmentation Induced by Frequent Low-Fluence, Large-Spot-Size QS Nd:YAG Laser Treatments. Ann. Dermatol. 2015, 27, 751–755. [Google Scholar] [CrossRef] [PubMed]
- Wattanakrai, P.; Mornchan, R.; Eimpunth, S. Low-fluence Q-switched neodymium-doped yttrium aluminum garnet (1064 nm) laser for the treatment of facial melasma in Asians. Dermatol. Surg. 2010, 36, 76–87. [Google Scholar] [CrossRef]
- Polnikorn, N.; Tanrattanakorn, S.; Goldberg, D.J. Treatment of Hori’s Nevus with the Q-Switched Nd:YAG Laser. Dermatol. Surg. 2000, 26, 477–480. [Google Scholar] [CrossRef]
- Chen, Y.T.; Chang, C.C.; Hsu, C.R.; Shen, J.H.; Shih, C.J.; Lin, B.S. Combined vitamin C sonophoresis and neodymium-doped yttrium aluminum garnet (NdYAG) laser for facial hyperpigmentation: An outcome observation study in Asian patients. Indian J. Dermatol. Venereol. Leprol. 2016, 82, 587. [Google Scholar]
- Hu, S.; Atmakuri, M.; Rosenberg, J. Adverse Events of Nonablative Lasers and Energy-Based Therapies in Subjects with Fitzpatrick Skin Phototypes IV to VI: A Systematic Review and Meta-Analysis. Aesthet. Surg. J. 2022, 42, 537–547. [Google Scholar] [CrossRef]
- Polnikorn, N. Treatment of refractory dermal melasma with the MedLite C6 Q-switched Nd:YAG laser: Two case reports. J. Cosmet. Laser Ther. 2008, 10, 167–173. [Google Scholar] [CrossRef]
- Kim, M.J.; Kim, J.S.; Cho, S.B. Punctate leucoderma after melasma treatment using 1064-nm Q-switched Nd:YAG laser with low pulse energy. J. Eur. Acad. Dermatol. Venereol. 2009, 23, 960–962. [Google Scholar] [CrossRef] [PubMed]
- Vachiramon, V.; Sahawatwong, S.; Sirithanabadeekul, P. Treatment of melasma in men with low-fluence Q-switched neodymium-doped yttrium-aluminum-garnet laser versus combined laser and glycolic acid peeling. Dermatol. Surg. 2015, 41, 457–465. [Google Scholar] [CrossRef] [PubMed]









Disclaimer/Publisher’s Note: The statements, opinions and data contained in all publications are solely those of the individual author(s) and contributor(s) and not of MDPI and/or the editor(s). MDPI and/or the editor(s) disclaim responsibility for any injury to people or property resulting from any ideas, methods, instructions or products referred to in the content. |
© 2024 by the authors. Licensee MDPI, Basel, Switzerland. This article is an open access article distributed under the terms and conditions of the Creative Commons Attribution (CC BY) license (https://creativecommons.org/licenses/by/4.0/).
Share and Cite
Munavalli, G.S.; Leight-Dunn, H.M. Pilot Study to Demonstrate Improvement in Skin Tone and Texture by Treatment with a 1064 nm Q-Switched Neodymium-Doped Yttrium Aluminum Garnet Laser. J. Clin. Med. 2024, 13, 1380. https://doi.org/10.3390/jcm13051380
Munavalli GS, Leight-Dunn HM. Pilot Study to Demonstrate Improvement in Skin Tone and Texture by Treatment with a 1064 nm Q-Switched Neodymium-Doped Yttrium Aluminum Garnet Laser. Journal of Clinical Medicine. 2024; 13(5):1380. https://doi.org/10.3390/jcm13051380
Chicago/Turabian StyleMunavalli, Girish S., and Hayley M. Leight-Dunn. 2024. "Pilot Study to Demonstrate Improvement in Skin Tone and Texture by Treatment with a 1064 nm Q-Switched Neodymium-Doped Yttrium Aluminum Garnet Laser" Journal of Clinical Medicine 13, no. 5: 1380. https://doi.org/10.3390/jcm13051380
APA StyleMunavalli, G. S., & Leight-Dunn, H. M. (2024). Pilot Study to Demonstrate Improvement in Skin Tone and Texture by Treatment with a 1064 nm Q-Switched Neodymium-Doped Yttrium Aluminum Garnet Laser. Journal of Clinical Medicine, 13(5), 1380. https://doi.org/10.3390/jcm13051380
