Therapeutic Effect of Low Doses of Acenocoumarol in the Course of Ischemia/Reperfusion-Induced Acute Pancreatitis in Rats
Abstract
:1. Introduction
2. Results
2.1. International Normalized Ratio (INR) Value
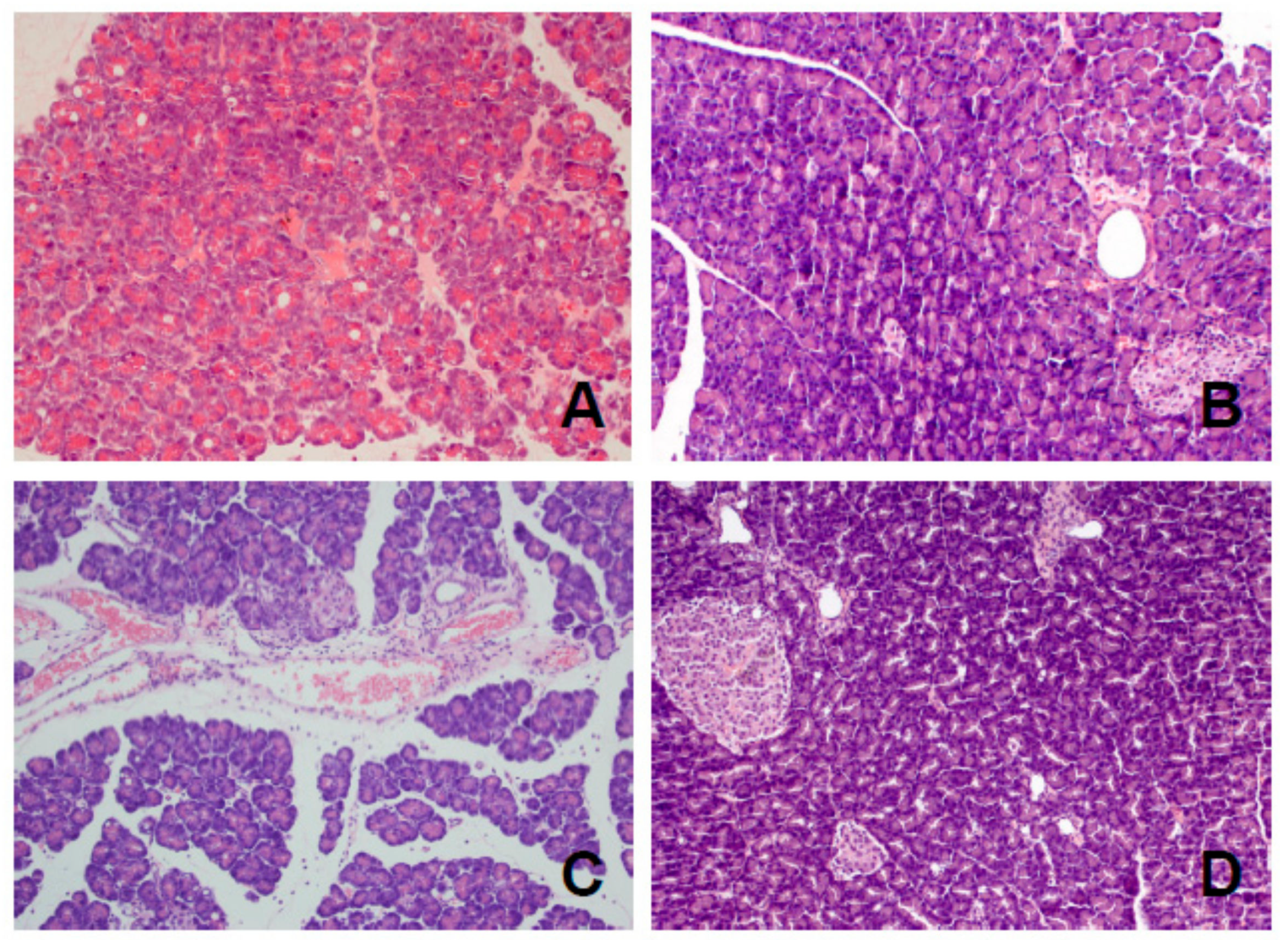
2.2. Histological Examination
2.3. Pancreatic Blood Flow
2.4. Serum Level of Amylase and Lipase
2.5. Serum Concentration of Interleukin-1β
2.6. Pancreatic DNA Synthesis
2.7. Plasma d-Dimer Concentration
3. Discussion
4. Materials and Methods
4.1. Animals and Treatment
4.2. Determination of Pancreatic Blood Flow
4.3. Biochemical Analysis
4.4. Determination of Pancreatic DNA Synthesis
4.5. Histological Examination of Pancreatic Damage
- pancreatic edema (0—no edema, 1—interlobar edema, 2—interlobar and moderate intralobular edema, 3—severe interlobula and intralobular edema);
- leukocyte inflammatory infiltration (0—Absent, 1—scarce perivascular infiltration, 2—moderate perivascular and scarce diffuse infiltration, 3—abundant diffuse infiltration);
- vacuolization of acinar cells (0—absent, 1—involving less than 25% of acinar cells, 2—involving from 25% to 50% acinar cells, 3—involving more than 50% of acinar cells);
- necrosis of acinar cells (0—absent, 1—involving less than 15% of acinar cells, 2—involving from 15% to 35% acinar cells, 3—involving more than 35% of acinar cells);
- hemorrhage (0—absent, 1—from 1 to 2 foci per slide, 2—from 3 to 5 foci per slide, 3—more than 5 foci per slide).
4.6. Statistical Analysis
5. Conclusions
Acknowledgments
Author Contributions
Conflicts of Interest
References
- Levi, M.; van der Poll, T.; Schultz, M. New insights into pathways that determine the link between infection and thrombosis. Neth. J. Med. 2012, 70, 114–120. [Google Scholar] [PubMed]
- Danckwardt, S.; Hentze, M.W.; Kulozik, A.E. Pathologies at the nexus of blood coagulation and inflammation: Thrombin in hemostasis, cancer, and beyond. J. Mol. Med. (Berl.) 2013, 91, 1257–1271. [Google Scholar] [CrossRef] [PubMed]
- Esmon, C.T. The interaction between inflammation and coagulation. Br. J. Haematol. 2005, 131, 417–430. [Google Scholar] [CrossRef] [PubMed]
- Esmon, C.T. Crosstalk between inflammation and thrombosis. Maturitas 2008, 61, 122–131. [Google Scholar] [CrossRef] [PubMed]
- Levi, M.; Keller, T.T.; van Gorp, E.; ten Cate, H. Infection and inflammation and the coagulation system. Cardiovasc. Res. 2003, 60, 26–39. [Google Scholar] [CrossRef]
- Esmon, C.T. Possible involvement of cytokines in diffuse intravascular coagulation and thrombosis. Baillieres Best Pract. Res. Clin. Haematol. 1999, 12, 343–359. [Google Scholar] [CrossRef] [PubMed]
- Lasson, A.; Ohlsson, K. Consumptive coagulopathy, fibrinolysis and protease-antiprotease interactions during acute human pancreatitis. Thromb. Res. 1986, 41, 167–183. [Google Scholar] [CrossRef]
- Agarwal, N.; Pitchumoni, C.S. Acute pancreatitis: A multisystem disease. Gastroenterologist 1993, 1, 115–128. [Google Scholar] [PubMed]
- Salomone, T.; Tosi, P.; Palareti, G.; Tomassetti, P.; Migliori, M.; Guariento, A.; Saieva, C.; Raiti, C.; Romboli, M.; Gullo, L. Coagulative disorders in human acute pancreatitis: Role for the d-dimer. Pancreas 2003, 26, 111–116. [Google Scholar] [CrossRef] [PubMed]
- Maeda, K.; Hirota, M.; Ichihara, A.; Ohmuraya, M.; Hashimoto, D.; Sugita, H.; Takamori, H.; Kanemitsu, K.; Baba, H. Applicability of disseminated intravascular coagulation parameters in the assessment of the severity of acute pancreatitis. Pancreas 2006, 32, 87–92. [Google Scholar] [CrossRef] [PubMed]
- Gabryelewicz, A.; Niewiarowski, S.; Prokopowicz, J.; Chlebowski, J. Heparin and protease inhibitors in the prevention of experimental acute pancreatic necrosis in dogs. Digestion 1969, 2, 7–16. [Google Scholar] [CrossRef] [PubMed]
- Ceranowicz, P.; Dembinski, A.; Warzecha, Z.; Dembinski, M.; Cieszkowski, J.; Rembisz, K.; Konturek, S.J.; Kusnierz-Cabala, B.; Tomaszewska, R.; Pawlik, W.W. Protective and therapeutic effect of heparin in acute pancreatitis. J. Physiol. Pharmacol. 2008, 59, 103–125. [Google Scholar] [PubMed]
- Ceranowicz, P.; Dembiński, M.; Warzecha, Z.; Cieszkowski, J.; Kuśnierz-Cabala, B.; Tomaszewska, R.; Dembiński, A. Healing effect of heparin in the course of edematous, cerulein-induced acute pancreatitis. Przeglad. Gastroenterol. 2009, 4, 199–205. [Google Scholar]
- Rabenstein, T.; Roggenbuck, S.; Framke, B.; Martus, P.; Fischer, B.; Nusko, G.; Muehldorfer, S.; Hochberger, J.; Ell, C.; Hahn, E.G.; et al. Complications of endoscopic sphincterotomy: Can heparin prevent acute pancreatitis after ERCP? Gastrointest. Endosc. 2002, 55, 476–483. [Google Scholar] [CrossRef] [PubMed]
- Alagözlü, H.; Cindoruk, M.; Karakan, T.; Unal, S. Heparin and insulin in the treatment of hypertriglyceridemia-induced severe acute pancreatitis. Dig. Dis. Sci. 2006, 51, 931–933. [Google Scholar] [CrossRef] [PubMed]
- Kyriakidis, A.V.; Raitsiou, B.; Sakagianni, A.; Harisopoulou, V.; Pyrgioti, M.; Panagopoulou, A.; Vasilakis, N.; Lambropoulos, S. Management of acute severe hyperlipidemic pancreatitis. Digestion 2006, 73, 259–264. [Google Scholar] [CrossRef] [PubMed]
- Lu, X.S.; Qiu, F.; Li, Y.X.; Li, J.Q.; Fan, Q.Q.; Zhou, R.G. Effect of lower-molecular weight heparin in the prevention of pancreatic encephalopathy in the patient with severe acute pancreatitis. Pancreas 2010, 39, 516–519. [Google Scholar] [CrossRef] [PubMed]
- Eguchi, T.; Tsuji, Y.; Yamashita, H.; Fukuchi, T.; Kanamori, A.; Matsumoto, K.; Hasegawa, T.; Koizumi, A.; Kitada, R.; Tsujimae, M.; et al. Efficacy of recombinant human soluble thrombomodulin in preventing walled-off necrosis in severe acute pancreatitis patients. Pancreatology 2015, 15, 485–490. [Google Scholar] [CrossRef] [PubMed]
- Warzecha, Z.; Sendur, P.; Ceranowicz, P.; Dembinski, M.; Cieszkowski, J.; Kusnierz-Cabala, B.; Tomaszewska, R.; Dembinski, A. Pretreatment with low doses of acenocoumarol inhibits the development of acute ischemia/reperfusion-induced pancreatitis. J. Physiol. Pharmacol. 2015, 66, 731–740. [Google Scholar] [PubMed]
- Warzecha, Z.; Sendur, P.; Ceranowicz, P.; Dembiński, M.; Cieszkowski, J.; Kuśnierz-Cabala, B.; Olszanecki, R.; Tomaszewska, R.; Ambroży, T.; Dembiński, A. Protective effect of pretreatment with acenocoumarol in cerulein-induced acute pancreatitis. Int. J. Mol. Sci. 2016, 17, 1709. [Google Scholar] [CrossRef] [PubMed]
- Dronov, O.I.; Koval’s’ka, I.O.; Burmich, K.S.; Tsymbaliuk, R.S.; Uvarov, V.I.; Lubenets, T.V. Hemocoagulation disorders in patients with acute pancreatitis. Lik. Sprava. 2010, 7–8, 38–44. [Google Scholar]
- Norman, J.G.; Fink, G.W.; Denham, W.; Yang, J.; Carter, G.; Sexton, C.; Falkner, J.; Gower, W.R.; Franz, M.G. Tissue-specific cytokine production during experimental acute pancreatitis. A probable mechanism for distant organ dysfunction. Dig. Dis. Sci. 1997, 42, 1783–1788. [Google Scholar] [CrossRef] [PubMed]
- Frossard, J.L.; Past, C.M. Experimental acute pancreatitis: New insight into the pathophysiology. Front. Biosci. 2002, 7, d275–d287. [Google Scholar] [CrossRef] [PubMed]
- Dinarello, C.A. Interleukin-1 and interleukin-1 antagonism. Blood 1991, 77, 1627–1652. [Google Scholar] [PubMed]
- Kingsnorth, A. Role of cytokines and their inhibitors in acute pancreatitis. Gut 1997, 40, 1–4. [Google Scholar] [CrossRef] [PubMed]
- Norman, J.; Franz, M.; Messina, J.; Riker, A.; Fabri, P.J.; Rosemurgy, A.S.; Gower, W.R., Jr. Interleukin-1 receptor antagonist decreases severity of experimental acute pancreatitis. Surgery 1995, 117, 648–655. [Google Scholar] [CrossRef]
- Bukowczan, J.; Warzecha, Z.; Ceranowicz, P.; Kusnierz-Cabala, B.; Tomaszewska, R.; Dembinski, A. Therapeutic effect of ghrelin in the course of ischemia/reperfusion-induced acute pancreatitis. Curr. Pharm. Des. 2015, 21, 2284–2290. [Google Scholar] [CrossRef] [PubMed]
- Dervenis, C.; Johnson, C.D.; Bassi, C.; Bradley, E.; Imrie, C.W.; McMahon, M.J.; Modlin, I. Diagnosis, objective assessment of severity, and management of acute pancreatitis. Santorini consensus conference. Int. J. Pancreatol. 1999, 25, 195–210. [Google Scholar] [PubMed]
- Fabre, A.; Boulogne, O.; Gaudart, J.; Mas, E.; Olives, J.P.; Sarles, J. Evaluation of serum lipase as predictor of severity of acute pancreatitis in children. J. Pediatr. Gastroenterol. Nutr. 2014, 58, e41–e42. [Google Scholar] [CrossRef] [PubMed]
- Keck, T.; Friebe, V.; Warshaw, A.L.; Antoniu, B.A.; Waneck, G.; Benz, S.; Hopt, U.T.; Fernández-del-Castillo, C. Pancreatic proteases in serum induce leukocyte-endothelial adhesion and pancreatic microcirculatory failure. Pancreatology 2005, 5, 241–250. [Google Scholar] [CrossRef] [PubMed]
- Gullo, L.; Cavicchi, L.; Tomassetti, P.; Spagnolo, C.; Freyrie, A.; D’Addato, M. Effects of ischemia on the human pancreas. Gastroenterology 1996, 111, 1033–1038. [Google Scholar] [CrossRef]
- Lonardo, A.; Grisendi, A.; Bonilauri, S.; Rambaldi, M.; Selmi, I.; Tondelli, E. Ischemic necrotizing pancreatitis after cardiac surgery. A case report and review of the literature. Ital. J. Gastroenterol. Hepatol. 1999, 31, 872–875. [Google Scholar] [PubMed]
- Klar, E.; Messmer, K.; Warshaw, A.L.; Herfarth, C. Pancreatic ischemia in experimental acute pancreatitis: Mechanism, significance and therapy. Br. J.Surg. 1990, 77, 1205–1210. [Google Scholar] [CrossRef] [PubMed]
- Vollmar, B.; Menger, M.D. Microcirculatory dysfunction in acute pancreatitis. A new concept of pathogenesis involving vasomotion-associated arteriolar constriction and dilation. Pancreatology 2003, 3, 181–190. [Google Scholar] [CrossRef] [PubMed]
- Kusterer, K.; Enghofer, M.; Zendler, S.; Blöchle, C.; Usadel, K.H. Microcirculatory changes in sodium taurocholate-induced pancreatitis in rats. Am. J. Physiol. 1991, 260, G346–G351. [Google Scholar] [PubMed]
- Gress, T.M.; Arnold, R.; Adler, G. Structural alterations of pancreatic microvasculature in cerulein-induced pancreatitis in the rat. Res. Exp. Med. (Berl.) 1990, 190, 401–412. [Google Scholar] [CrossRef]
- Warzecha, Z.; Dembiński, A.; Ceranowicz, P.; Konturek, P.C.; Stachura, J.; Konturek, S.J.; Niemiec, J. Protective effect of calcitonin gene-related peptide against caerulein-induced pancreatitis in rats. J. Physiol. Pharmacol. 1997, 48, 775–787. [Google Scholar] [PubMed]
- Hernández-Barbáchano, E.; San Román, J.I.; López, M.A.; Coveñas, R.; López-Novoa, J.M.; Calvo, J.J. Beneficial effects of vasodilators in preventing severe acute pancreatitis shock. Pancreas 2006, 32, 335–342. [Google Scholar] [CrossRef] [PubMed]
- Dembiński, A.; Warzecha, Z.; Ceranowicz, P.; Dembiński, M.; Cieszkowski, J.; Pawlik, W.W.; Tomaszewska, R.; Konturek, S.J.; Konturek, P.C. Effect of ischemic preconditioning on pancreatic regeneration and pancreatic expression of vascular endothelial growth factor and platelet-derived growth factor-A in ischemia/reperfusion-induced pancreatitis. J. Physiol. Pharmacol. 2006, 57, 39–58. [Google Scholar] [PubMed]
- Dembiński, A.; Warzecha, Z.; Ceranowicz, P.; Stachura, J.; Tomaszewska, R.; Konturek, S.J.; Sendur, R.; Dembiński, M.; Pawlik, W.W. Pancreatic damage and regeneration in the course of ischemia-reperfusion induced pancreatitis in rats. J. Physiol. Pharmacol. 2001, 52, 221–235. [Google Scholar] [PubMed]
- Warzecha, Z.; Ceranowicz, P.; Dembinski, A.; Cieszkowski, J.; Kusnierz-Cabala, B.; Tomaszewska, R.; Kuwahara, A.; Kato, I. Therapeutic effect of ghrelin in the course of cerulein-induced acute pancreatitis in rats. J. Physiol. Pharmacol. 2010, 61, 419–427. [Google Scholar] [PubMed]
- Ralls, P.W.; Jeffrey, R.B., Jr.; Kane, R.A.; Robbin, M.L. Diagnostic sonography. In Textbook of Gastroenterology, 5th ed.; Yamada, T., Alpers, D.H., Kalloo, A.N., Kaplowitz, N., Owyang, C., Powell, D.W., Eds.; Wiley-Blackwell: Oxford, UK, 2009; Volume 2, pp. 3083–3112. [Google Scholar]
- Ceranowicz, P.; Cieszkowski, J.; Warzecha, Z.; Dembiński, A. Experimental models of acute pancreatitis. Postep. Hig. Med. Dosw. (Online) 2015, 69, 264–269. [Google Scholar] [CrossRef] [PubMed]
- Baczyńska, A. Doustne leki przeciwkrzepliwe w różnych stanach klinicznych—Praktyczny poradnik. Chor. Serca Naczyn 2004, 1, 27–36. [Google Scholar]
- Konturek, S.J.; Szlachcic, A.; Dembinski, A.; Warzecha, Z.; Jaworek, J.; Stachura, J. Nitric oxide in pancreatic secretion and hormone-induced pancreatitis in rats. Int. J. Pancreatol. 1994, 15, 19–28. [Google Scholar] [PubMed]
- Bukowczan, J.; Warzecha, Z.; Ceranowicz, P.; Kuśnierz-Cabala, B.; Tomaszewska, R. Obestatin accelerates the recovery in the course of ischemia/reperfusion-induced acute pancreatitis in rats. PLoS ONE 2015, 10, e0134380. [Google Scholar] [CrossRef] [PubMed]
- Warzecha, Z.; Ceranowicz, P.; Dembinski, M.; Cieszkowski, J.; Ginter, G.; Ptak-Belowska, A.; Dembinski, A. Involvement of cyclooxygenase-1 and cyclooxygenase-2 activity in the therapeutic effect of ghrelin in the course of ethanol-induced gastric ulcers in rats. J. Physiol. Pharmacol. 2014, 65, 95–106. [Google Scholar] [PubMed]
- Tomaszewska, R.; Dembiński, A.; Warzecha, Z.; Ceranowicz, P.; Stachura, J. Morphological changes and morphological-functional correlations in acute experimental ischemia/reperfusion pancreatitis in rats. Pol. J. Pathol. 2000, 51, 179–184. [Google Scholar] [PubMed]










| Experimental Groups | Edema (0–3) | Inflammatory Infiltration (0–3) | Vacuolization (0–3) | Necrosis (0–3) | Hemorrhages (0–3) | |
|---|---|---|---|---|---|---|
| Control | 0 | 0 | 0 | 0 | 0 | |
| I/R (6 h) | 2–3 | 1–2 | 1 | 1 | 1–2 | |
| I/R (1 day) | 2–3 | 3 | 1–2 | 1–2 | 2 | |
| I/R (2 days) | Saline | 2 | 3 | 1 | 1–2 | 2 |
| ACN 50 | 2 | 3 | 1 | 1 | 2 | |
| ACN 100 | 2 | 2–3 | 1 | 0–1 | 1–2 | |
| ACN 150 | 2 | 2–3 | 1 | 0–1 | 1–2 | |
| I/R (5 days) | Saline | 1–2 | 2 | 1 | 1 | 0–1 |
| ACN 50 | 1–2 | 2 | 1 | 1 | 0–1 | |
| ACN 100 | 1 | 1–2 | 1 | 1 | 0–1 | |
| ACN 150 | 1 | 1–2 | 1 | 1 | 0–1 | |
| I/R (9 days) | Saline | 1 | 2 | 0–1 | 0 | 0–1 |
| ACN 50 | 0–1 | 1–2 | 0–1 | 0 | 0 | |
| ACN 100 | 0–1 | 1 | 0 | 0 | 0 | |
| ACN 150 | 1 | 2 | 0 | 0 | 1 | |
| I/R (14 days) | Saline | 1 | 1 | 0–1 | 0 | 0 |
| ACN 50 | 0 | 0–1 | 0 | 0 | 0 | |
| ACN 100 | 0 | 0–1 | 0 | 0 | 0 | |
| ACN 150 | 1 | 1 | 0 | 0 | 0–1 | |
© 2017 by the authors. Licensee MDPI, Basel, Switzerland. This article is an open access article distributed under the terms and conditions of the Creative Commons Attribution (CC BY) license (http://creativecommons.org/licenses/by/4.0/).
Share and Cite
Warzecha, Z.; Sendur, P.; Ceranowicz, P.; Cieszkowski, J.; Dembiński, M.; Sendur, R.; Bonior, J.; Jaworek, J.; Ambroży, T.; Olszanecki, R.; et al. Therapeutic Effect of Low Doses of Acenocoumarol in the Course of Ischemia/Reperfusion-Induced Acute Pancreatitis in Rats. Int. J. Mol. Sci. 2017, 18, 882. https://doi.org/10.3390/ijms18040882
Warzecha Z, Sendur P, Ceranowicz P, Cieszkowski J, Dembiński M, Sendur R, Bonior J, Jaworek J, Ambroży T, Olszanecki R, et al. Therapeutic Effect of Low Doses of Acenocoumarol in the Course of Ischemia/Reperfusion-Induced Acute Pancreatitis in Rats. International Journal of Molecular Sciences. 2017; 18(4):882. https://doi.org/10.3390/ijms18040882
Chicago/Turabian StyleWarzecha, Zygmunt, Paweł Sendur, Piotr Ceranowicz, Jakub Cieszkowski, Marcin Dembiński, Ryszard Sendur, Joanna Bonior, Jolanta Jaworek, Tadeusz Ambroży, Rafał Olszanecki, and et al. 2017. "Therapeutic Effect of Low Doses of Acenocoumarol in the Course of Ischemia/Reperfusion-Induced Acute Pancreatitis in Rats" International Journal of Molecular Sciences 18, no. 4: 882. https://doi.org/10.3390/ijms18040882
APA StyleWarzecha, Z., Sendur, P., Ceranowicz, P., Cieszkowski, J., Dembiński, M., Sendur, R., Bonior, J., Jaworek, J., Ambroży, T., Olszanecki, R., Kuśnierz-Cabala, B., Tomasz, K., Tomaszewska, R., & Dembiński, A. (2017). Therapeutic Effect of Low Doses of Acenocoumarol in the Course of Ischemia/Reperfusion-Induced Acute Pancreatitis in Rats. International Journal of Molecular Sciences, 18(4), 882. https://doi.org/10.3390/ijms18040882

