Boerhaave Syndrome—Narrative Review
Abstract
1. Introduction
2. Objectives
- -
- In two cases, the resolution was strictly gastroenterological (stenting) combined with sustained intensive care support.
- -
- In other two cases, surgical esophagectomy was necessary, followed by esophageal reconstruction.
- -
- In the fifth case, a combined approach was used—endoscopical (stenting) and surgical (thoraco-laparoscopic) interventions performed in the same therapeutic session, a so-called “rendez-vous” procedure.
- -
- In the sixth case, the patient was known to have eosinophilic esophagitis, and stenting, PEG placement and antibiotic therapy were given.
3. Search Strategy
4. Incidence
5. Pathophysiology of Esophageal Rupture
- Thinning of the esophageal muscular layer at this level
- Weak points where neurovascular structures penetrate the distal esophageal wall, creating vulnerable zones prone to intraluminal hyperpressure
- Lack of support from neighboring structures
- The anterior curvature of the esophagus at the level of the left diaphragmatic crus [18].
- In BS, the lesion typically affects the left margin of the distal esophagus (in 90% of cases) and involves the full thickness of the esophageal wall;
- In contrast, in Mallory-Weiss syndrome, the laceration occurs at the level of the cardia and does not extend beyond the submucosa [4].
- In Mallory-Weiss syndrome, the damage results from repetitive vomiting episodes affecting primarily the cardiac portion of the stomach, including the esophagogastric junction;
- In BS, the rupture is full-thickness and occurs at the weakest point of the esophageal wall, typically beginning with a muscular layer tear, preceding mucosal rupture [41];
- Mallory-Weiss syndrome is characterized by mild pain and massive hematemesis, whereas BS presents with severe pain and mild hematemesis [7]
6. Mediastinitis and Sepsis Syndrome
7. Diagnosis
8. Paraclinical Investigations
- It depends on the availability of qualified, experienced personnel, who may not always be accessible overnight;
- Patient transport to the radiology department, patient cooperation (related to their level of consciousness), correct positioning during the procedure, and swallowing ability are all factors influencing the accuracy of the examination and can be compromised in critically ill patients;
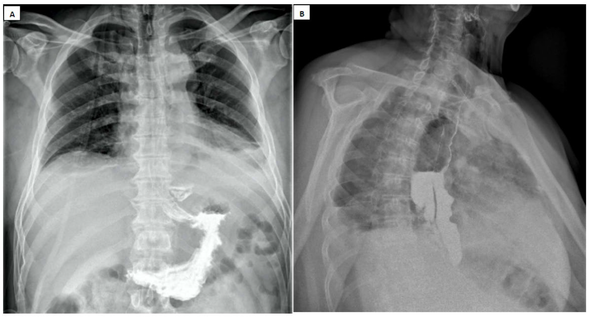
- Barium swallow studies carry a risk of aspiration and pulmonary edema, and residual contrast material in the esophagus may compromise the quality of subsequent upper digestive endoscopy [89].
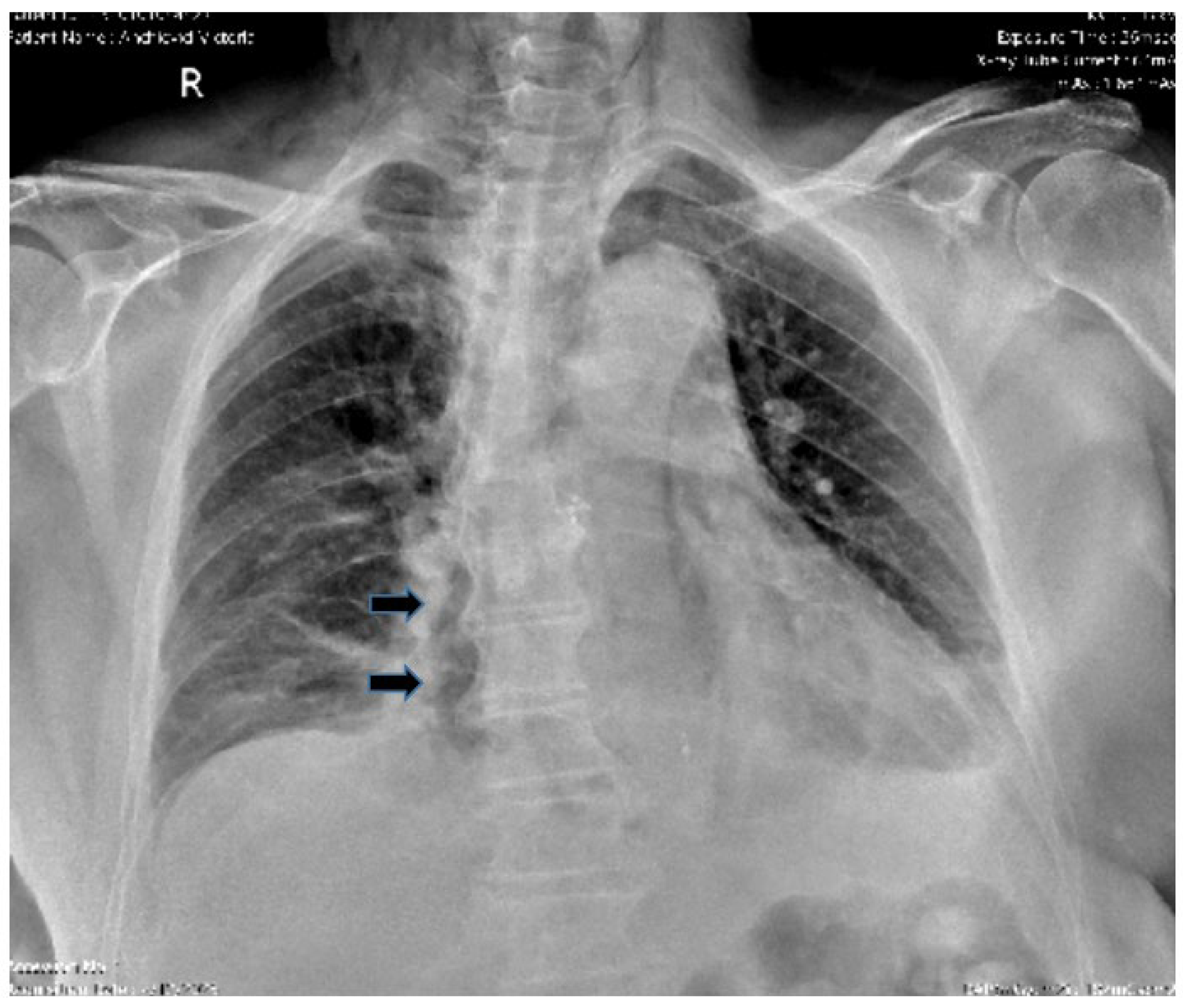
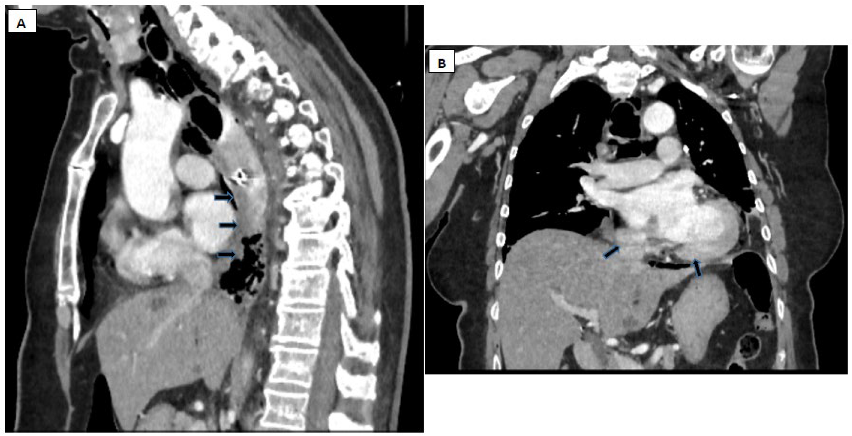
- Pneumomediastinum
- Pneumothorax (especially left-sided)
- Pleural effusion (especially left-sided)
- Localized periaortic gas
- Mediastinal fluid collections
- Thickened esophageal wall
- Gas within thoracic soft tissues, neck, or around major vessels
- Gas in the epidural space
- Pneumoperitoneum
- Gas in the retroperitoneal space
- Oral contrast extravasation from the esophageal lumen [10].
- Air confined to the anterior mediastinum
- Presence of pulmonary emphysema
- Absence of pleural effusion
- Absence of pneumoperitoneum [89].
Alternative Diagnosis Clues
- Methylene blue test—When oral methylene blue administered to the patient appears through a pleural drainage tube, the diagnosis of esophageal perforation is confirmed.
- Thoracocentesis findings—Suzuki et al. report a case of Boerhaave’s syndrome diagnosed by thoracocentesis, revealing bloody fluid and food debris, confirming the diagnosis beyond doubt [94].
- Other thoracocentesis clues—A high level of amylase and pleural fluid pH < 6 are also considered suggestive for esophageal perforation [71].
9. Treatment
- (1)
- Supportive care, usually provided in the Intensive Care Unit (ICU), which includes vital function support, broad-spectrum antibiotic therapy, proton pump inhibitors (PPI), parenteral nutrition;
- (2)
- Definitive management of the esophageal wall breach, aimed at closing the esophageal perforation.
9.1. Conservative Treatment
9.2. Antimicrobial and Antifungal Therapy
9.3. Clip Placement
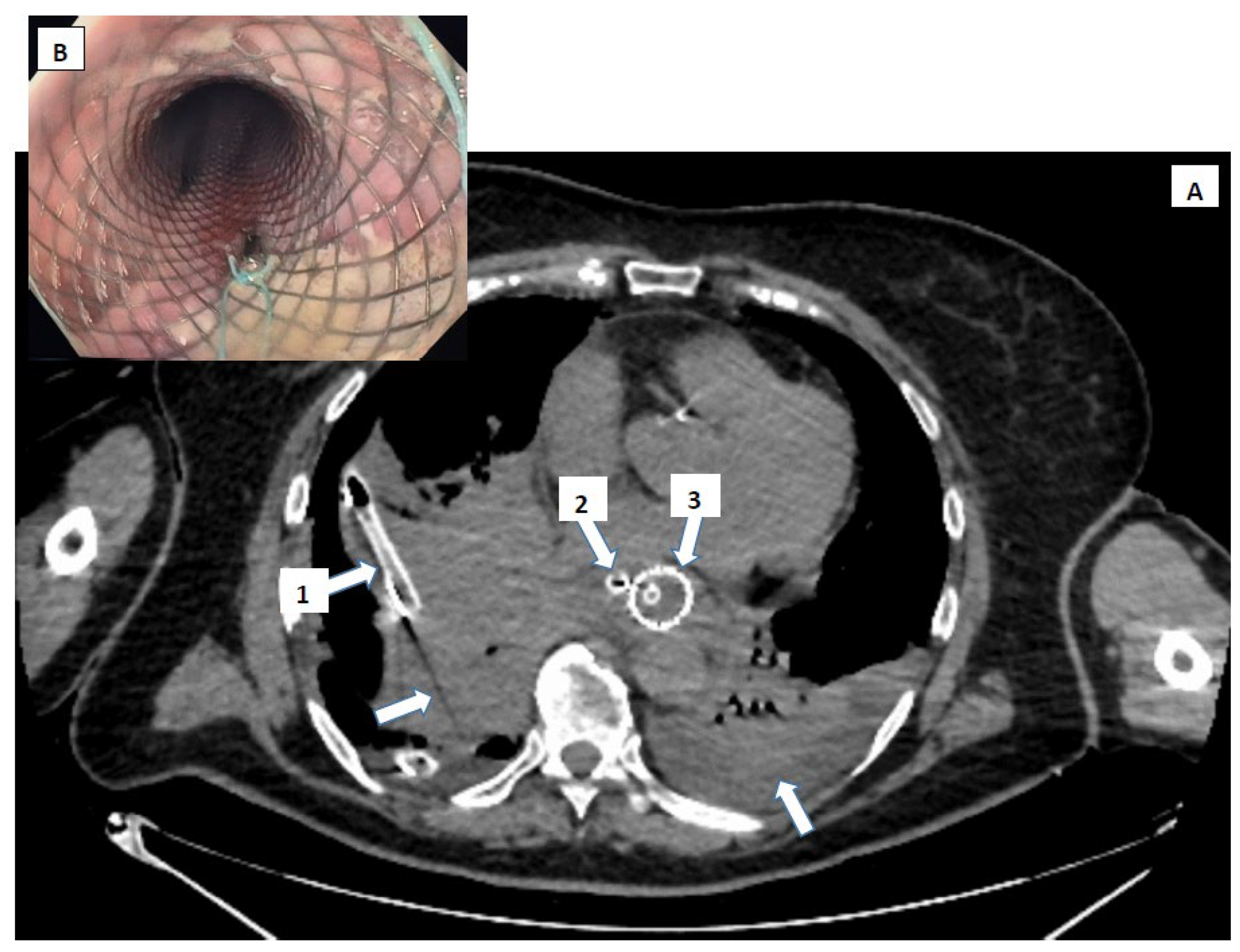
9.4. Stent Placement
9.5. Combined Vacuum-Stent Therapy
10. Surgical Management
Esophageal Diversion (Exclusion)
11. Discussions
12. Conclusions
Author Contributions
Funding
Institutional Review Board Statement
Informed Consent Statement
Data Availability Statement
Acknowledgments
Conflicts of Interest
References
- Chirica, M.; Champault, A.; Dray, X.; Sulpice, L.; Munoz-Bongrand, N.; Sarfati, E.; Cattan, P. Esophageal perforations. J. Visc. Surg. 2010, 147, e117–e128. [Google Scholar] [CrossRef] [PubMed]
- Cuccì, M.; Caputo, F.; Fraternali Orcioni, G.; Roncallo, A.; Ventura, F. Transition of a Mallory-Weiss syndrome to a Boerhaave syndrome confirmed by anamnestic, necroscopic, and autopsy data: A case report. Medicine 2018, 97, e13191. [Google Scholar] [CrossRef] [PubMed] [PubMed Central]
- Derbes, V.J.; Mitchell, R.E., Jr. Hermann Boerhaave’s Atrocis, nec descripti prius, morbi historia, the first translation of the classic case report of rupture of the esophagus, with annotations. Bull. Med. Libr. Assoc. 1955, 43, 217–240. [Google Scholar] [PubMed] [PubMed Central]
- Haba, Y.; Yano, S.; Akizuki, H.; Hashimoto, T.; Naito, T.; Hashiguchi, N. Boerhaave syndrome due to excessive alcohol consumption: Two case reports. Int. J. Emerg. Med. 2020, 13, 56. [Google Scholar] [CrossRef] [PubMed] [PubMed Central]
- Tellechea, J.I.; Gonzalez, J.M.; Miranda-García, P.; Culetto, A.; D’Journo, X.B.; Thomas, P.A.; Barthet, M. Role of Endoscopy in the Management of Boerhaave Syndrome. Clin. Endosc. 2018, 51, 186–191. [Google Scholar] [CrossRef] [PubMed] [PubMed Central]
- Wiggins, B.; Banno, F.; Knight, K.T.; Fladie, I.; Miller, J. Boerhaave Syndrome: An Unexpected Complication of Diabetic Ketoacidosis. Cureus 2022, 14, e25279. [Google Scholar] [CrossRef] [PubMed] [PubMed Central]
- Kwiatkowska, N.M.; Kaminska, A.; Sielewicz, M.; Kasprzyk, M.; Piwkowski, C. Boerhaave syndrome complicated by subsequent esophageal stenosis and esophageal fistula. Kardiochir. Torakochirurgia Pol. 2023, 20, 274–276. [Google Scholar] [CrossRef] [PubMed] [PubMed Central]
- Horrocks, R. Boerhaave syndrome, a rare oesophageal rupture: A case report. Br. Paramed. J. 2021, 5, 49–53. [Google Scholar] [CrossRef] [PubMed] [PubMed Central]
- Kortli, S.; Andrianjafy, H. Mediastinitis and septic shock complicating spontaneous esophageal rupture “Boerhaave’s syndrome”: A case report. Int. J. Emerg. Med. 2024, 17, 62. [Google Scholar] [CrossRef] [PubMed] [PubMed Central]
- Tzioti, M.K.; Marinou, A.; Sidiropoulos, T.; Karachaliou, A.; Danias, N. Nonoperative Management of Boerhaave Syndrome: A Case Study. Cureus 2024, 16, e72573. [Google Scholar] [CrossRef] [PubMed] [PubMed Central]
- Khaitan, P.G.; Famiglietti, A.; Watson, T.J. The Etiology, Diagnosis, and Management of Esophageal Perforation. J. Gastrointest. Surg. 2022, 26, 2606–2615. [Google Scholar] [CrossRef] [PubMed]
- Nehra, D.; Beynon, J.; Pye, J.K. Spontaneous rupture of the oesophagus (Boerhaave’s syndrome). Postgrad. Med. J. 1993, 69, 214–216. [Google Scholar] [CrossRef] [PubMed] [PubMed Central]
- Canelas Mendes, C.; Duarte, L.; Madeira Lopes, J. Boerhaave’s Syndrome: An Unusual Geriatric Presentation. Cureus 2023, 15, e46212. [Google Scholar] [CrossRef] [PubMed] [PubMed Central]
- Khan, A.Z.; Strauss, D.; Mason, R.C. Boerhaave’s syndrome: Diagnosis and surgical management. Surgeon 2007, 5, 39–44. [Google Scholar] [CrossRef] [PubMed]
- Kuwano, H.; Yokobori, T.; Kumakura, Y.; Ogata, K.; Yoshida, T.; Kuriyama, K.; Sakai, M.; Sohda, M.; Miyazaki, T.; Saeki, H.; et al. Pathophysiology of Vomiting and Esophageal Perforation in Boerhaave’s Syndrome. Dig. Dis. Sci. 2020, 65, 3253–3259. [Google Scholar] [CrossRef] [PubMed]
- Mackler, S.A. Spontaneous rupture of the esophagus; an experimental and clinical study. Surg. Gynecol. Obstet. 1952, 95, 345–356. [Google Scholar] [PubMed]
- Pezzetta, E.; Kokudo, T.; Uldry, E.; Yamaguchi, T.; Kudo, H.; Ris, H.B.; Christodoulou, M.; Vuilleumier, H.; Halkic, N. The surgical management of spontaneous esophageal perforation (Boerhaave’s syndrome)—20 years of experience. Biosci. Trends 2016, 10, 120–124. [Google Scholar] [CrossRef] [PubMed]
- Jagminas, L.; Silverman, R.A. Boerhaave’s syndrome presenting with abdominal pain and right hydropneumothorax. Am. J. Emerg. Med. 1996, 14, 53–56. [Google Scholar] [CrossRef]
- Ehrlein, H.J. Retroperistaltism and duodenogastric reflux in dogs. Scand. J. Gastroenterol. Suppl. 1981, 67, 29–32. [Google Scholar]
- Weisbrodt, N.W.; Christensen, J. Electrical activity of the cat duodenum in fasting and vomiting. Gastroenterology 1972, 63, 1004–1010. [Google Scholar] [CrossRef] [PubMed]
- Akwari, O.E. The gastrointestinal tract in chemotherapy induced emesis. A final common pathway. Drugs 1983, 25, 18–34. [Google Scholar] [CrossRef]
- Lee, K.Y.; Park, H.J.; Chey, W.Y. Studies on mechanism of retching and vomiting in dogs. Effect of peripheral dopamine blocker on myoelectric changes in antrum and upper small intestine. Dig. Dis. Sci. 1985, 30, 22–28. [Google Scholar] [CrossRef]
- Lang, I.M.; Sarna, S.K.; Condon, R.E. Gastrointestinal motor correlates of vomiting in the dog: Quantification and characterization as an independent phenomenon. Gastroenterology 1986, 90, 40–47. [Google Scholar] [CrossRef]
- Shepherd, H.A.; Harvey, J.; Jackson, A.; Colin-Jones, D.G. Recurrent retching with gastric mucosal prolapse. A proposed prolapse gastropathy syndrome. Dig Dis Sci. 1984, 29, 121–128. [Google Scholar] [CrossRef]
- Triantafyllou, T.; Lamb, P.; Skipworth, R.; Couper, G.; Deans, C. Surgical treatment of Boerhaave syndrome in the past, present and future: Updated results of a specialised surgical unit. Ann. R. Coll. Surg. Engl. 2024, 106, 509–514. [Google Scholar] [CrossRef] [PubMed] [PubMed Central]
- Martínez-García, A.; Pérez-García, K.; Pérez-Palenzuela, J.; Sosa-Esquivel, G.; Díaz-Calderín, J.M. Boerhaave syndrome with double esophageal perforation. About a case. Cir. Y Cir. 2021, 89, 97–101. [Google Scholar] [CrossRef] [PubMed]
- Willems, S.; Daemen, J.H.T.; Hulsewé, K.W.E.; Belgers, E.H.J.; Sosef, M.N.; Soufidi, K.; Vissers, Y.L.J.; de Loos, E.R. Outcomes after hybrid minimally invasive treatment of Boerhaave syndrome: A single-institution experience. Acta Chir. Belg. 2023, 123, 369–374. [Google Scholar] [CrossRef] [PubMed]
- Wang, S.C.; Scott, W.W. Recurrent spontaneous esophageal rupture managed with esophageal stenting. Ann. Thorac. Surg. 2016, 102, e5–e6. [Google Scholar] [CrossRef] [PubMed]
- Reeder, L.B.; Warren, S.E.; Ferguson, M.K. Recurrent spontaneous perforation of the esophagus. Ann. Thorac. Surg. 1995, 59, 221–222. [Google Scholar] [CrossRef]
- Naitoh, H.; Fukuchi, M.; Kiriyama, S.; Fukasawa, T.; Tabe, Y.; Yamauchi, H.; Yoshida, T.; Saito, K.; Hagiwara, K.; Kuwano, H. Recurrent, spontaneous esophageal ruptures associated with antiphospholipid antibody syndrome: Report of a case. Int. Surg. 2014, 99, 842–845. [Google Scholar] [CrossRef]
- Khan, O.A.; Barlow, C.W.; Weeden, D.F.; Amer, K.M. Recurrent spontaneous esophageal rupture. Eur. J. Cardio-Thorac. Surg. 2005, 28, 178–179. [Google Scholar] [CrossRef]
- Zeyara, A.; Jeremiasen, M.; Åkesson, O.; Falkenback, D.; Hermansson, M.; Johansson, J. Third time recurrent Boerhaave’s syndrome: A case report. J. Med. Case Rep. 2021, 15, 223. [Google Scholar] [CrossRef] [PubMed] [PubMed Central]
- Anand, R.; Puckett, Y.; Ronaghan, C.A. Above and Below the Diaphragm: A Previously Undescribed Case of Recurrent Boerhaave Syndrome Diagnosed with Computerized Tomography Esophagram. Cureus 2022, 14, e24015. [Google Scholar] [CrossRef] [PubMed] [PubMed Central]
- Small, A.B.; Ellis, P.R. Laceration of the distal esophagus due to vomiting (the Mallory-Weiss syndrome): Report of a case with massive hemorrhage and recovery after repair of the laceration. N. Engl. J. Med. 1958, 258, 285–286. [Google Scholar] [CrossRef]
- Wessely, J.Y.; Lemee, J.; Breil, P.; Fekete, F. Mallory-Weiss syndrome, Boerhaave syndrome. A possible association. Nouv. Presse Med. 1981, 10, 175–176. [Google Scholar]
- Zikria, B.A.; Rosenthal, A.D.; Potter, R.T.; Ferrer, J.M., Jr. Mallory-Weiss syndrome and emetogenic (spontaneous) rupture of the esophagus. Ann. Surg. 1965, 162, 151–155. [Google Scholar] [CrossRef] [PubMed]
- Thopson, N.W.; Calvin, B.E.; William, J.F. The spectrum of emetogenic injury to the esophagus and stomach. Am. J. Surg. 1967, 113, 13–26. [Google Scholar] [CrossRef] [PubMed]
- Kiyama, T.; Sasajima, K.; Hayashi, H.; Tei, J.; Yamashita, K.; Onda, M. A case of idiopathic esophageal rupture complicated with Mallory-Weiss syndrome. Gastroenterol. Endosc. 1988, 30, 730–733. [Google Scholar]
- Nonomura, O.; Tanaka, S.; Ito, T.; Matsumura, K.; Takekoshi, T.; Sakai, N.; Oshita, H.; Kato, M. A case report of Mallory-Weiss syndrome with the rupture of the esophagus. Jpn. J. Gastroenterol. Surg. 1986, 9, 1807–1811. [Google Scholar]
- Yankov, G.; Alexieva, M.; Makshutova, Z.; Vladimirov, B.; Kovacheva-Slavova, M. A Case of a Successfully Treated Patient with a Delayed Diagnosis of Boerhaave’s Syndrome and Severe Complications. Cureus 2024, 16, e74018. [Google Scholar] [CrossRef] [PubMed] [PubMed Central]
- Yūsuke, I.; Nobuko, M.; Kenji, O.; Yūko, I.; Keisuke, K.; Hirotaka, S.; Yasuyuki, H. Spontaneous esophageal rupture: Review of 14 cases. Jpn. J. Acute Care Surg. 2018, 8, 173–178. [Google Scholar]
- Kahrilas, P.J. Functional anatomy and physiology of the esophagus. In The Esophagus; Castell, O., Ed.; Little, Brown & Company: Boston, MA, USA, 1992; pp. 1–27. [Google Scholar]
- Jamieson, G.G.; Duranceau, A.C. Oesophagectomy; oesophagomyotomy; oesophageal bypass: The anatomy of the thoracic oesophagus and mediastinurn. In Anatomy of General Surgical Operations; Jamieson, G.G., Ed.; Churchill Livingstone: New York, NY, USA, 1992. [Google Scholar]
- Pearl, K.p. Anatomy of the esophagus and the posterior mediastinum. In Mastery of Surgery; Nyhus, L.M., Baker, R.J., Eds.; Little, Brown & Company: Boston, MA, USA, 1992. [Google Scholar]
- Patti, M.G.; Gantert, W.; Way, L.W. Surgery of the esophagus. Anatomy and physiology. Surg. Clin. N. Am. 1997, 77, 959–970. [Google Scholar] [CrossRef] [PubMed]
- MaMarques, J.G.; Silva, M.E.C.M.; de Me Bellei, D.G.; Pereira, G.M.V.; Lima, G.L.; Nunes, J.F.; de Filho, W.O. Síndrome de boerhaave e choque séptico refratário por mediastinite: Relato de caso e revisão de literatura. Rev. Fisio Ter. 2024, 29, 59–60. [Google Scholar] [CrossRef]
- Daniel, M.; Bedoui, Y.; Vagner, D.; Raffray, L.; Ah-Pine, F.; Doray, B.; Gasque, P. Pathophysiology of Sepsis and Genesis of Septic Shock: The Critical Role of Mesenchymal Stem Cells (MSCs). Int. J. Mol. Sci. 2022, 23, 9274. [Google Scholar] [CrossRef]
- Kumar, H.; Bot, A. In this issue: Innate immunity and infectious diseases-An update. Int. Rev. Immunol. 2017, 36, 55–56. [Google Scholar] [CrossRef]
- Ohno, K.; Takada, T.; Terada, M.; Satoh, M.; Suzuki, E.; Wada, K.; Hirono, T.; Arakawa, M. Recovery from descending necrotizing mediastinitis and multiple organic failure after seven months of mechanical ventilation. Jpn. J. Thorac. Dis. 1996, 34, 1021–1029. [Google Scholar] [CrossRef]
- Oshima, K.; Sugano, Y.; Yoshida, A.; Uegami, W.; Kobayashi, T.; Eguchi, T. Mediastinal Abscess and Bacteremia Caused by Streptococcus dysgalactiae Complicated by Aortic Esophageal Fistula Led to Death with Massive Bleeding in a 70-Year-Old Japanese Man with Gastric Cancer. IDCases 2024, 38, e02078. [Google Scholar] [CrossRef]
- Gallastegi, A.D.; Gebran, A.; Gaitanidis, A.; Naar, L.; Hwabejire, J.O.; Parks, J.; Lee, J.; Kaafarani, H.M.A.; Velmahos, G.C.; Mendoza, A.E. Early versus late enteral nutrition in critically ill patients receiving vasopressor support. J. Parenter. Enter. Nutr. 2021, 46, 130–140. [Google Scholar] [CrossRef] [PubMed]
- Oviedo-Boyso, J.; Bravo-Patiño, A.; Baizabal-Aguirre, V.M. Collaborative Action of Toll-Like and Nod-Like Receptors as Modulators of the Inflammatory Response to Pathogenic Bacteria. Mediat. Inflamm. 2014, 2014, 1–16. [Google Scholar] [CrossRef]
- Crouser, E.; Exline, M.; Knoell, D.; Wewers, M.D. Sepsis: Links between pathogen sensing and organ damage. Curr. Pharm. Des. 2008, 14, 1840–1852. [Google Scholar] [CrossRef] [PubMed] [PubMed Central]
- Vollmar, B. Pathophysiological basis of surgery-linked sepsis. Der Chir. 2011, 82, 199–207. [Google Scholar] [CrossRef]
- Martino, N.; Ramos, R.B.; Chuy, D.; Tomaszek, L.; Adam, A.P. SOCS3 limits TNF and endotoxin-induced endothelial dysfunction by blocking a required autocrine interleukin 6 signal in human endothelial cells. Am. J. Physiol. Physiol. 2022, 323, C556–C569. [Google Scholar] [CrossRef]
- Liang, Y.; Li, X.; Zhang, X.; Li, Z.; Wang, L.; Sun, Y.; Liu, Z.; Ma, X. Elevated levels of plasma TNF-α are associated with microvascular endothelial dysfunction in patients with sepsis through activating the NF-κB and p38 mitogen-activated protein kinase in endothelial cells. Shock 2014, 41, 275–281. [Google Scholar] [CrossRef] [PubMed]
- Levi, M. The Coagulation System in Sepsis; Springer: Berlin/Heidelberg, Germany, 2018. [Google Scholar] [CrossRef]
- Walley, K.R. Deeper understanding of mechanisms contributing to sepsis-induced myocardial dysfunction. Crit. Care 2014, 18, 1–2. [Google Scholar] [CrossRef] [PubMed]
- Algallie, H.; Banerjee, S.; Kumar, A.; Rubab, U.I.; Agarwal, A.K.; Nahid, S.; Shaikh, N.; Rahman, M.A. Septic Shock and Myocardial Dysfunction; IntechOpen: London, UK, 2024. [Google Scholar] [CrossRef]
- Guarracino, F.; Baldassarri, R.; Pinsky, M.R.; Pinsky, M.R. Pathophysiological Determinants of Cardiovascular Dysfunction in Septic Shock; Springer: Berlin/Heidelberg, Germany, 2016. [Google Scholar] [CrossRef]
- Jasper, I.; Rachid, E.F.; Yeqi, N.; Eskandari, S.K.; Rodríguez, C.; Anju, V.T.; Abdallah, E.A. Reviewer #2 (Public Review): NAD+ prevents septic shock-induced death by non-canonical inflammasome blockade and IL-10 cytokine production in macrophages. eLife 2023, 12, RP88686. [Google Scholar] [CrossRef]
- Randow, F.; Syrbe, U.; Meisel, C.; Krausch, D.; Zuckermann, H.; Platzer, C.; Volk, H.-D. Mechanism of endotoxin desensitization: Involvement of interleukin 10 and transforming growth factor β. J. Exp. Med. 1995, 181, 1887–1892. [Google Scholar] [CrossRef]
- Luo, J.; Zhang, C.; Chen, D.; Chang, T.; Chen, S.; Lin, Z.; Yi, C.; Tang, Z. Tim-3 pathway dysregulation and targeting in sepsis-induced immunosuppression. Eur. J. Med. Res. 2024, 29, 1–13. [Google Scholar] [CrossRef] [PubMed]
- Venet, F.; Lepape, A.; Monneret, G. Monitoring Immune Dysfunction in Septic Patients: Toward Tailored Immunotherapy; Springer: Berlin/Heidelberg, Germany, 2009. [Google Scholar] [CrossRef]
- Ribeiro, T.A.; Cordoval, L.T.D.C.; Neto, E.D.M.V.; Ribeiro, M.A.; Motta, E.G.P.C. Boerhaave’s syndrome: A differential diagnosis of chest and abdominal pain. Radiol. Bras. 2018, 51, 124–125. [Google Scholar] [CrossRef]
- Schweigert, M.; Sousa, H.S.; Solymosi, N.; Yankulov, A.; Fernández, M.J.; Beattie, R.; Dubecz, A.; Rabl, C.; Law, S.; Tong, D.; et al. Spotlight on esophageal perforation: A multinational study using the Pittsburgh esophageal perforation severity scoring system. J. Thorac. Cardiovasc. Surg. 2016, 151, 1002–1009. [Google Scholar] [CrossRef]
- Nabili, S.; Murdoch, J.R. A case of Boerhaave’s syndrome associated with raised intraocular pressure. Br. J. Ophthalmol. 2003, 87, 650–651. [Google Scholar] [CrossRef][Green Version]
- Spapen, J.; De Regt, J.; Nieboer, K.; Verfaillie, G.; Honoré, P.M.; Spapen, H. Boerhaave’s syndrome: Still a diagnostic and therapeutic challenge in the 21st century. Case Rep. Crit. Care 2013, 2013, 1–4. [Google Scholar] [CrossRef]
- Allaway, M.G.R.; Morris, P.D.; BSinclair, J.L.; Richardson, A.J.; Johnston, E.S.; Hollands, M.J. Management of Boerhaave syndrome in Australasia: A retrospective case series and systematic review of the Australasian literature. ANZ J. Surg. 2021, 91, 1376–1384. [Google Scholar] [CrossRef] [PubMed]
- Schalet, R.; Carro Cruz, F.; Berezowski, I.; Adams-Mardi, C.; Haile, H.; Schueler, S.A.; Borum, M.L. Boerhaave Syndrome Mimicking Acute Coronary Syndrome. ACG Case Rep. J. 2024, 11, e01453. [Google Scholar] [CrossRef] [PubMed] [PubMed Central]
- Simões, J.; Lázaro, A. Transhiatal esophagectomy in Boerhaave syndrome—Case report and literature review. Int. J. Surg. Case Rep. 2021, 89, 106583. [Google Scholar] [CrossRef] [PubMed] [PubMed Central]
- Felipe, N.; King, S.A.; Salerno, A. ‘Diagnosis of Boerhaave’s Syndrome with Aid of Bedside Ultrasound. J. Emerg. Med. 2021, 61, 568–573. [Google Scholar] [CrossRef] [PubMed]
- Turner, A.R.; Turner, S.D. Boerhaave Syndrome. StatPearls; 2 March 2020. Available online: https://www.ncbi.nlm.nih.gov/books/NBK430808/ (accessed on 15 November 2020).
- Rigger, W.; Mai, R.; Maddux, P.T.; Cavalieri, S.; Calkins, J. Esophageal rupture presenting with ST segment elevation and junctional rhythm mimicking acute myocardial infarction. Case Rep. Crit. Care 2021, 2021, 8843477. [Google Scholar] [CrossRef]
- Beshai, R.; Bulik, P.; Shaikh, H. ST-segment elevation secondary to spontaneous pneumomediastinum in the setting of COVID-19 infection: A case report and literature review. Cureus 2022, 14, e25399. [Google Scholar] [CrossRef]
- Redan, J.A.; Croteau, T.; Gaughan, C. Boerhaave’s Syndrome Presenting in the Setting of Third-Degree Heart Block. CRSLS 2024, 11, e2023.00052. [Google Scholar] [CrossRef] [PubMed] [PubMed Central]
- Zachariah, S.; Gharahbaghian, L.; Perera, P.; Joshi, N. Spontaneous pneumomediastinum on bedside ultrasound: Case report and review of the literature. West. J. Emerg. Med. 2015, 16, 321–324. [Google Scholar] [CrossRef] [PubMed]
- Anwar, J.; Maqsood, R.; Soomro, S. Multimodality imaging approach for the early diagnosis Boerhaave syndrome. J. Ayub Med. Coll. Ab-Bottabad 2017, 29, 157–158. [Google Scholar]
- Beason, H.F.; Markowitz, J.E. Pneumomediastinum diagnosed on ultrasound in the emergency department: A case report. Perm. J. 2015, 19, e122–e124. [Google Scholar] [CrossRef]
- Tonolini, M.; Bianco, R. Spontaneous esophageal perforation (Boerhaave syndrome): Diagnosis with CT-esophagography. J. Emerg. Trauma. Shock. 2013, 6, 58–60. [Google Scholar] [CrossRef]
- Ali, D. Abrupt severe chest pain and vomiting: Remember to think of a Ruptured Oesophagus (Boerhaave Syndrome). Eur. J. Case Rep. Intern. Med. 2019, 6, 001265. [Google Scholar] [CrossRef]
- Radhika, T. Boerhaave’s syndrome—A case report & literature review. Indian J. Thorac. Cardiovasc. Surg. 2004, 20, 111–112. [Google Scholar]
- Turner, A.R.; Collier, S.A.; Turner, S.D. Boerhaave Syndrome. 4 December 2023. In StatPearls; StatPearls Publishing: Treasure Island, FL, USA, 2025. [Google Scholar] [PubMed]
- Caceres, M.; Ali, S.Z.; Braud, R.; Weiman, D.; Garrett, H.E., Jr. Spontaneous pneumomediastinum: A comparative study and review of the literature. Ann. Thorac. Surg. 2008, 86, 962–966. [Google Scholar] [CrossRef] [PubMed]
- American College of Radiology Website. ACR Practice Parameter for the Performance of Esophagrams and Upper Gastrointestinal Examinations in Adults. Available online: https://gravitas.acr.org/PPTS/DownloadPreviewDocument?DocId=46 (accessed on 20 October 2019).
- Madan, R.; Bair, R.J.; Chick, J.F. Complex iatrogenic esophageal injuries: An imaging spectrum. AJR 2015, 204, W116–W125. [Google Scholar] [CrossRef] [PubMed]
- Wu, C.H.; Chen, C.M.; Chen, C.C.; Wong, Y.C.; Wang, C.J.; Lo, W.C.; Wang, L.J. Esophagography after pneumomediastinum without CT findings of esophageal perforation: Is it necessary? AJR 2013, 201, 977–984. [Google Scholar] [CrossRef] [PubMed]
- Swanson, J.O.; Levine, M.S.; Redfern, R.O.; Rubesin, S.E. Usefulness of high-density barium for detection of leaks after esophagogastrectomy, total gastrectomy, and total laryngectomy. AJR 2003, 181, 415–420. [Google Scholar] [CrossRef]
- Wei, C.J.; Levenson, R.B.; Lee, K.S. Diagnostic Utility of CT and Fluoroscopic Esophagography for Suspected Esophageal Perforation in the Emergency Department. AJR Am. J. Roentgenol. 2020, 215, 631–638. [Google Scholar] [CrossRef] [PubMed]
- Wang, C.T.; Jiang, H.; Walline, J.; Li, Y.; Wang, J.; Xu, J.; Zhu, H.D. Tension hydropneumothorax in a Boerhaave syndrome patient: A case report. World J. Emerg. Med. 2021, 12, 235–237. [Google Scholar] [CrossRef] [PubMed] [PubMed Central]
- Iteen, A.J.; Bianchi, W.; Sharman, T. Pneumomediastinum; StatPearls Publishing: Treasure Island, FL, USA, 2023. [Google Scholar]
- Han, D.; Huang, Z.; Xiang, J.; Li, H.; Hang, J. The role of operation in the treatment of Boerhaave’s syndrome. BioMed Res. Int. 2018, 2018, 8483401. [Google Scholar] [CrossRef] [PubMed]
- Garas, G.; Zarogoulidis, P.; Efthymiou Athanasiou, T.; Tsakiridis, K.; Mpaka, S.; Zacharakis, E. Spontaneous esophageal rupture as the underlying cause of pneumothorax: Early recognition is crucial. J. Thorac. Dis. 2014, 6, 1655–1658. [Google Scholar]
- Suzuki, M.; Sato, N.; Matsuda, J.; Niwa, N.; Murai, K.; Yamamoto, T.; Takeda, S.; Shigehara, K.; Nomura, T.; Gamma, A.; et al. A case of rapid diagnosis of Boerhaave syndrome by thoracic drainage. J. Emerg. Med. 2012, 43, e419–e423. [Google Scholar] [CrossRef]
- Sohda, M.; Saeki, H.; Kuwano, H.; Sakai, M.; Sano, A.; Yokobori, T.; Miyazaki, T.; Kakeji, Y.; Toh, Y.; Doki, Y.; et al. Current status of surgical treatment of Boerhaave’s syndrome. Esophagus 2022, 19, 175–181. [Google Scholar] [CrossRef] [PubMed]
- Cutuli, S.L.; Cascarano, L.; Lazzaro, P.; Tanzarella, E.S.; Pintaudi, G.; Grieco, D.; Pascale, G.D.; Antonelli, M. Antimicrobial Exposure in Critically Ill Patients with Sepsis-Associated Multi-Organ Dysfunction Requiring Extracorporeal Organ Support: A Narrative Review. Microorganisms 2023, 11, 473. [Google Scholar] [CrossRef]
- Dickinson, K.J.; Buttar, N.; Song, L.M.W.K.; Gostout, C.J.; Cassivi, S.D.; Allen, M.S.; Nichols, F.C.; Shen, K.R.; Wigle, D.A.; Blackmon, S.H. Utility of endoscopic therapy in the management of Boerhaave syndrome. Endosc. Int. Open 2016, 4, E1146–E1150. [Google Scholar] [CrossRef]
- Dickinson, K.J.; Blackmon, S.H. Endoscopic Techniques for the Management of Esophageal Perforation. Oper. Tech. Thorac. Cardiovasc. Surg. 2015, 20, 251–278. [Google Scholar] [CrossRef][Green Version]
- Gurwara, S.; Clayton, S. Esophageal perforations: An endoscopic approach to management. Curr. Gastroenterol. Rep. 2019, 21, 57. [Google Scholar] [CrossRef]
- Cortázar, E.V.; Aguirre, P.A. Endoscopic management of Boerhaave’s syndrome. Rev. Esp. De Enfermedades Dig. 2019, 111, 493. [Google Scholar] [CrossRef]
- JEstorninho, J.; Pimentel, R.; Gravito-Soares, M.; Gravito-Soares, E.; Amaro, P.; Figueiredo, P. Successful Endoscopic Closure of Esophageal Perforation in Boerhaave Syndrome Using the Over-the-Scope Clip. GE-Port. J. Gastroenterol. 2022, 30, 444–450. [Google Scholar] [CrossRef] [PubMed]
- Musala, C.; Eisendrath, P.; Brasseur, A.; Vincent, J.-L.; Cappeliez, S.; Moine, O.; Devière, J.; Lemmers, A. Successful treatment of Boerhaave syndrome with an over-the-scope clip. Endoscopy 2015, 47, E24–E25. [Google Scholar] [CrossRef]
- González-Haba, M.; Ferguson, M.K.; Gelrud, A. Spontaneous esophageal perforation Boerhaave syndrome successfully treated with an over-the-scope clip and fully covered metal stent. Gastrointest. Endosc. 2015, 83, 650. [Google Scholar] [CrossRef] [PubMed]
- Nasa, M.; Sharma, Z.D.; Choudhary, N.S.; Puri, R.; Sud, R. Removable self-expanding metal stents insertion for the treatment of perforations and postoperative leaks of the esophagus. Indian J. Gastroenterol. 2016, 35, 101–105. [Google Scholar] [CrossRef] [PubMed]
- Kopelman, Y.; Abu Baker, F.; Troiza, A.; Hebron, D. Boerhaave syndrome in an elderly man successfully treated with 3-month indwelling esophageal stent. Radiol. Case Rep. 2018, 13, 1084–1086. [Google Scholar] [CrossRef]
- Margaris, I.; Triantafyllou, T.; Sidiropoulos, T.A.; Sideris, G.; Theodorou, D.; Arkadopoulos, N.; Michalopoulos, N.V. Efficacy of esophageal stents as a primary therapeutic option in spontaneous esophageal perforations: A systematic review and meta-analysis of observational studies. Ann. Gastroenterol. 2024, 37, 156–171. [Google Scholar] [CrossRef]
- Fawwaz, B.A.B.; Gerges, P.; Singh, G.; Rahman, S.H.; Al-Dwairy, A.; Mian, A.; Khan, N.; Syndrome, A.F.B. A Report of Two Cases and Literature Review. Cureus 2022, 14, e25241. [Google Scholar] [CrossRef] [PubMed]
- Dasari, B.V.; Neely, D.; Kennedy, A.; Spence, G.; Rice, P.; Mackle, E.; Epanomeritakis, E. The role of esophageal stents in the management of esophageal anastomotic leaks and benign esophageal perforations. Ann. Surg. 2014, 259, 852–860. [Google Scholar] [CrossRef]
- Talbot, M.; Yee, G.; Saxena, P. Endoscopic modalities for upper gastrointestinal leaks, fistulae and perforations. ANZ J. Surg. 2017, 87, 171–176. [Google Scholar] [CrossRef]
- Hauge, T.; Kleven, O.C.; Johnson, E.; Hofstad, B.; Johannessen, H.-O. Outcome after stenting and débridement for spontaneous esophageal rupture. Scand. J. Gastroenterol. 2018, 53, 398–402. [Google Scholar] [CrossRef]
- Chirica, M.; Kelly, M.D.; Siboni, S.; Aiolfi, A.; Riva, C.G.; Asti, E.; Ferrari, D.; Leppäniemi, A.; Broek, R.P.G.T.; Brichon, P.Y.; et al. Esophageal emergencies: WSES guidelines. World J. Emerg. Surg. 2019, 14, 1–15. [Google Scholar] [CrossRef]
- Ong, G.K.; Freeman, R.K. Endoscopic management of esophageal leaks. J. Thorac. Dis. 2017, 9, S135–S145. [Google Scholar] [CrossRef]
- Bludevich, B.M.; Palleiko, B.A.; Reddington, H.; Navarro, M.; Uy, S.A.Q.; Maxfield, M.W.; Emmerick, I.; Lou, F.; Uy, K.F.L. Safety of long-term esophageal stent use for multiple indications. J. Thorac. Dis. 2024, 16, 4208–4216. [Google Scholar] [CrossRef]
- Loske, G.; Schorsch, T. Endoscopic vacuum therapy for Boerhaave’s syndrome. Der Chir. 2016, 87, 676–682. [Google Scholar] [CrossRef]
- Zimmer, V. Salvage Intraluminal Endoscopic Vacuum Therapy for Stent Failure in Late-Presenting Boerhaave Syndrome. Clin. Gastroenterol. Hepatol. 2021, 19, A32. [Google Scholar] [CrossRef] [PubMed]
- Pattynama, L.M.D.; Eshuis, W.J.; van Berge Henegouwen, M.I.; Bergman, J.J.G.H.M.; Pouw, R.E. Vacuum-stent: A combination of endoscopic vacuum therapy and an intraluminal stent for treatment of esophageal transmural defects. Front. Surg. 2023, 10, 1145984. [Google Scholar] [CrossRef]
- Rubicondo, C.; Lovece, A.; Pinelli, D.; Indriolo, A.; Lucianetti, A.; Colledan, M. Endoluminal vacuum-assisted closure (E-Vac) therapy for postoperative esophageal fistula: Successful case series and literature review. World J. Surg. Oncol. 2020, 18, 301. [Google Scholar] [CrossRef]
- Lange, J.; Dormann, A.; Bulian, D.R.; Hügle, U.; Eisenberger, C.F.; Heiss, M.M. VACStent: Combining the benefits of endoscopic vacuum therapy and covered stents for upper gastrointestinal tract leakage. Endosc. Int. Open 2021, 9, E971–E976. [Google Scholar] [CrossRef] [PubMed]
- Still, S.; Mencio, M.; Ontiveros, E.; Burdick, J.; Leeds, S.G. Primary and rescue endoluminal vacuum therapy in the management of esophageal perforations and leaks. Ann. Thorac. Cardiovasc. Surg. 2018, 24, 173–179. [Google Scholar] [CrossRef]
- Klose, M.A.; Walldorf, J.; Damm, M.; Krug, S.; Klose, J.; Ronellenfitsch, U.; Kleeff, J.; Michl, P.; Rosendahl, J. Treatment of esophageal leakages with the Microtech®-VAC-Stent: A monocentric early experience of three cases. Ther. Adv. Gastrointest. Endosc. 2023, 16, 1–7. [Google Scholar] [CrossRef] [PubMed]
- Dell’anna, G.; Fanti, L.; Fanizza, J.; Barà, R.; Barchi, A.; Fasulo, E.; Elmore, U.; Rosati, R.; Annese, V.; Laterza, L.; et al. VAC-Stent in the Treatment of Post-Esophagectomy Anastomotic Leaks: A New “Kid on the Block” Who Marries the Best of Old Techniques-A Review. J. Clin. Med. 2024, 13, 3805. [Google Scholar] [CrossRef]
- Papaefthymiou, A.; Norton, B.; Telese, A.; Murray, C.; Murino, A.; Johnson, G.; Tsiopoulos, F.; Simons-Linares, R.; Seghal, V.; Haidry, R. Endoscopic suturing and clipping devices for defects in the GI tract. Best Pr. Res. Clin. Gastroenterol. 2024, 70, 101915. [Google Scholar] [CrossRef]
- Scheppach, M.W.; Nagl, S.; Muzalyova, A.; Classen, J.; Messmann, H.; Ebigbo, A. Feasibility of a new endoscopic suturing device: A first Western experience. Gastrointest. Endosc. 2024, 101, 207–212. [Google Scholar] [CrossRef] [PubMed]
- Barrett, N.R. Report of a case of spontaneous perforation of the esophagus successfully treated by operation. Br. J. Surg. 1947, 35, 216–218. [Google Scholar] [CrossRef]
- Bufkin, B.L.; Miller, J.I., Jr.; Mansour, K.A. Esophageal perforation: Emphasis on management. Ann. Thorac. Surg. 1996, 61, 1447–1451. [Google Scholar] [CrossRef]
- Sulpice, L.; Dileon, S.; Rayar, M.; Badic, B.; Boudjema, K.; Bail, J.; Meunier, B. Conservative surgical management of Boerhaave’s syndrome: Experience of two tertiary referral centers. Int. J. Surg. 2013, 11, 64–67. [Google Scholar] [CrossRef]
- Brinster, C.J.; Singhal, S.; Lee, L.; Marshall, M.B.; Kaiser, L.R.; Kucharczuk, J.C. Evolving options in the management of esophageal perforation. Ann. Thorac. Surg. 2004, 77, 1475–1483. [Google Scholar] [CrossRef]
- Yan, X.L.; Jing, L.; Guo, L.J.; Huo, Y.K.; Zhang, Y.C.; Yan, X.W.; Deng, Y.Z. Surgical management of Boerhaave’s syndrome with early and delayed diagnosis in adults: A retrospective study of 88 patients. Rev. Esp. Enferm. Dig. 2020, 112, 669–674. [Google Scholar] [CrossRef] [PubMed]
- Mathisen, D.J.; Grillo, H.C.; Vlahakes, G.J.; Dagget, W.M. The omentum in the management of complicated cardiothoracic problems. J. Thorac. Cardiovasc. Surg. 1988, 95, 677–684. [Google Scholar] [CrossRef]
- Sakamoto, Y.; Tanaka, N.; Furuya, T.; Ueno, T.; Okamoto, H.; Nagai, M.; Murakawa, T.; Takayama, T.; Mafune, K.; Makuuchi, M.; et al. Surgical management of late esophageal perforation. Thorac. Cardiovasc. Surg. 1997, 45, 269–272. [Google Scholar] [CrossRef] [PubMed]
- Kotsis, L.; Kostic, S.; Zubovitis, K. Multimodality treatment of esophageal disruptions. Chest 1997, 112, 1304–1309. [Google Scholar] [CrossRef]
- Okamoto, H.; Onodera, K.; Kamba, R.; Taniyama, Y.; Sakurai, T.; Heishi, T.; Teshima, J.; Hikage, M.; Sato, C.; Maruyama, S.; et al. Treatment of spontaneous esophageal rupture (Boerhaave’ syndrome) using thoracoscopic surgery and sivelestat sodium hydrate. J. Thorac. Dis. 2018, 10, 2206–2212. [Google Scholar] [CrossRef] [PubMed]
- Kollmar, O.; Lindemann, W.; Richter, S.; Steffen, I.; Pistorius, G.; Schilling, M.K. Boerhaave’s syndrome: Primary repair vs. esophageal resection–case reports and metaanalysis of the literature. J. Gastrointest. Surg. 2003, 7, 726–734. [Google Scholar] [CrossRef] [PubMed]
- Haveman, J.W.; Nieuwenhuijs, V.B.; Kobold, J.P.M.; van Dam, G.M.; Plukker, J.T.; Hofker, H.S. Adequate debridement and drainage of the mediastinum using open thoracotomy or video-assisted thoracoscopic surgery for Boerhaave’s syndrome. Surg. Endosc. 2011, 25, 2492–2497. [Google Scholar] [CrossRef] [PubMed]
- Ariza-Traslaviña, J.; Caballero-Otálora, N.; Polanía-Sandoval, C.A.; Perez-Rivera, C.J.; Tellez, L.J.; Mosquera, M. Two-staged surgical management for complicated Boerhaave syndrome with esophagectomy and deferred gastroplasty: A case report. Int. J. Surg. Case Rep. 2023, 103, 107881. [Google Scholar] [CrossRef] [PubMed] [PubMed Central]
- Matthews, H.R.; Mitchell, I.M.; McGuigan, J.A. Emergency subtotal oesophagectomy. Br. J. Surg. 1989, 76, 918–920. [Google Scholar] [CrossRef]
- Elliott, J.A.; Buckley, L.; Albagir, M.; Athanasiou, A.; Murphy, T.J. Minimally invasive surgical management of spontaneous esophageal perforation (Boerhaave’s syndrome). Surg. Endosc. 2019, 33, 3494–3502. [Google Scholar] [CrossRef]
- Schweigert, M.; Beattie, R.; Solymosi, N.; Booth, K.; Dubecz, A.; Muir, A.; Moskorz, K.; Stadlhuber, R.J.; Ofner, D.; McGuigan, J.; et al. Endoscopic stent insertion versus primary operative management for spontaneous rupture of the esophagus (Boerhaave syndrome): An international study comparing the outcome. Am. Surg. 2013, 79, 634–640. [Google Scholar] [CrossRef]
- Biancari, F.; Tauriainen, T.; Ylikotila, T.; Kokkonen, M.; Rintala, J.; Mäkäräinen-Uhlbäck, E.; Koivukangas, V.; Saarnio, J. Outcome of stent grafting for esophageal perforations: Single-center experience. Surg. Endosc. 2017, 31, 3696–3702. [Google Scholar] [CrossRef]
- Anundsen, T.K.; Førland, D.T.; Johannessen, H.O.; Johnson, E. Outcome after stent and endoscopic vacuum therapy-based treatment for postemetic esophageal rupture. Scand. J. Gastroenterol. 2024, 59, 1–6. [Google Scholar] [CrossRef] [PubMed]
- Biancari, F.; D’aNdrea, V.; Paone, R.; Di Marco, C.; Savino, G.; Koivukangas, V.; Saarnio, J.; Lucenteforte, E. Current treatment and outcome of esophageal perforations in adults: Systematic review and meta-analysis of 75 studies. World J. Surg. 2013, 37, 1051–1059. [Google Scholar] [CrossRef]
- Mackie, S.L.; Koduri, G.; Hill, C.L.; Wakefield, R.J.; Hutchings, R.; Loy, C.; Dasgupta, B.; Wyatt, J.C. Outcome, comorbidity, hospitalization and 30-day mortality after closure of acute perforations and postoperative anastomotic leaks by the over-the-scope clip (OTSC) in an unselected cohort of patients. Surg. Endosc. 2017, 31, 2411–2425. [Google Scholar] [CrossRef]
- Qureshi, A.; Mansuri, U.; Roknsharifi, M.; Ghobrial, Y.; Asgeri, A.; Asgeri, M. Endoscopic Management of Boerhaave Syndrome: Are Outcomes Better Than Surgery? A Case Report and Review of Literature. J. Community Hosp. Intern. Med. Perspect. 2024, 14, 104–108. [Google Scholar] [CrossRef] [PubMed] [PubMed Central]
- van Boeckel, P.G.; Dua, K.S.; Weusten, B.L.; Schmits, R.J.; Surapaneni, N.; Timmer, R.; Vleggaar, F.P.; Siersema, P.D. Fully covered self-expandable metal stents (SEMS), partially covered SEMS and self-expandable plastic stents for the treatment of benign esophageal ruptures and anastomotic leaks. BMC Gastroenterol. 2012, 12, 19. [Google Scholar] [CrossRef]
- Kamarajah, S.K.; Bundred, J.; Spence, G.; Kennedy, A.; Dasari, B.V.M.; Griffiths, E.A. Critical appraisal of the impact of oesophageal stents in the management of oesophageal anastomotic leaks and benign oesophageal perforations: An updated systematic review. World J. Surg. 2020, 44, 1173–1189. [Google Scholar] [CrossRef]
- El Hajj, I.I.; Imperiale, T.F.; Rex, D.K.; Ballard, D.; Kesler, K.A.; Birdas, T.J.; Fatima, H.; Kessler, W.R.; DeWitt, J.M. Treatment of esophageal leaks, fistulae, and perforations with temporary stents: Evaluation of efficacy, adverse events, and factors associated with successful outcomes. Gastrointest. Endosc. 2014, 79, 589–598. [Google Scholar] [CrossRef]
- Langer, F.B.; Wenzl, E.; Prager, G.; Salat, A.; Miholic, J.; Mang, T.; Zacherl, J. Management of postoperative esophageal leaks with the Polyflex self-expanding covered plastic stent. Ann. Thorac. Surg. 2005, 79, 398–404. [Google Scholar] [CrossRef]
- Norton-Gregory, A.A.; Kulkarni, N.M.; O’Connor, S.D.; Budovec, J.J.; Zorn, A.P.; Desouches, S.L. CT Esophagography for Evaluation of Esophageal Perforation. Radiographics 2021, 41, 447–461. [Google Scholar] [CrossRef] [PubMed]
- Wigley, C.; Athanasiou, A.; Bhatti, A.; Sheikh, A.; Hodson, J.; Bedford, M.; A Griffiths, E. Does the Pittsburgh severity score predict outcome in esophageal perforation? Dis. Esophagus 2019, 32, doy109. [Google Scholar] [CrossRef]
- Abbas, G.; Schuchert, M.J.; Pettiford, B.L.; Pennathur, A.; Landreneau, J.; Landreneau, J.; Luketich, J.D.; Landreneau, R.J. Contemporaneous management of esophageal perforation. Surgery 2009, 146, 749–755. [Google Scholar] [CrossRef] [PubMed]
- Slankamenac, K.; Graf, R.; Barkun, J.; Puhan, M.A.; Clavien, P.-A. The comprehensive complication index: A novel continuous scale to measure surgical morbidity. Ann. Surg. 2013, 258, 1–7. [Google Scholar] [CrossRef] [PubMed]











Disclaimer/Publisher’s Note: The statements, opinions and data contained in all publications are solely those of the individual author(s) and contributor(s) and not of MDPI and/or the editor(s). MDPI and/or the editor(s) disclaim responsibility for any injury to people or property resulting from any ideas, methods, instructions or products referred to in the content. |
© 2025 by the authors. Licensee MDPI, Basel, Switzerland. This article is an open access article distributed under the terms and conditions of the Creative Commons Attribution (CC BY) license (https://creativecommons.org/licenses/by/4.0/).
Share and Cite
Predescu, D.; Achim, F.; Socea, B.; Rotariu, A.; Moraru, A.-C.; Rasuceanu, A.; Constantin, C.; Rosianu, C.G.; Constantin, A. Boerhaave Syndrome—Narrative Review. Diagnostics 2025, 15, 2463. https://doi.org/10.3390/diagnostics15192463
Predescu D, Achim F, Socea B, Rotariu A, Moraru A-C, Rasuceanu A, Constantin C, Rosianu CG, Constantin A. Boerhaave Syndrome—Narrative Review. Diagnostics. 2025; 15(19):2463. https://doi.org/10.3390/diagnostics15192463
Chicago/Turabian StylePredescu, Dragos, Florin Achim, Bogdan Socea, Alexandru Rotariu, Alex-Claudiu Moraru, Anthony Rasuceanu, Carmen Constantin, Cristian Gelu Rosianu, and Adrian Constantin. 2025. "Boerhaave Syndrome—Narrative Review" Diagnostics 15, no. 19: 2463. https://doi.org/10.3390/diagnostics15192463
APA StylePredescu, D., Achim, F., Socea, B., Rotariu, A., Moraru, A.-C., Rasuceanu, A., Constantin, C., Rosianu, C. G., & Constantin, A. (2025). Boerhaave Syndrome—Narrative Review. Diagnostics, 15(19), 2463. https://doi.org/10.3390/diagnostics15192463

