Neuroimaging in Nonsyndromic Craniosynostosis: Key Concepts to Unlock Innovation
Abstract
1. Introduction
2. Major Types of Nonsyndromic Craniosynostosis
2.1. Sagittal Craniosynostosis (Scaphocephaly)
- Elongated, boat-shaped skull;
- Prominent forehead;
- Occipital bulging;
- Possible developmental delays due to restricted brain growth.
2.2. Coronal Craniosynostosis
- asymmetrical forehead;
- flattened forehead and brow on the affected side;
- elevated eye socket on the affected side;
- nose deviated toward the affected side.
- symmetrical flattening of the forehead;
- short, broad skull;
- increased ICP due to restricted growth.
2.3. Metopic Craniosynostosis (Trigonocephaly)
- triangular, keel-shaped forehead;
- closely spaced eyes (hypotolorism);
- midline ridge along the forehead;
- potential cognitive and developmental impairments.
2.4. Lambdoid Craniosynostosis (Posterior Plagiocephaly)
- asymmetrical flattening of the back of the head;
- one ear positioned higher than the other;
- tilted cranial base;
- misalignment of the jaw and facial structures.
2.5. Mixed and Complex Craniosynostosis
- mixed deformities depending on which sutures are involved;
- severe cranial asymmetry;
- high risk of developmental delays and neurological issues;
- complex surgical planning required for correction.
3. Optimizing Imaging Methods: Moving beyond Ionizing Radiation
3.1. Ultrasound
3.2. Computed Tomography
3.3. Magnetic Resonance Imaging
3.4. Digital Subtraction Angiography (DSA)
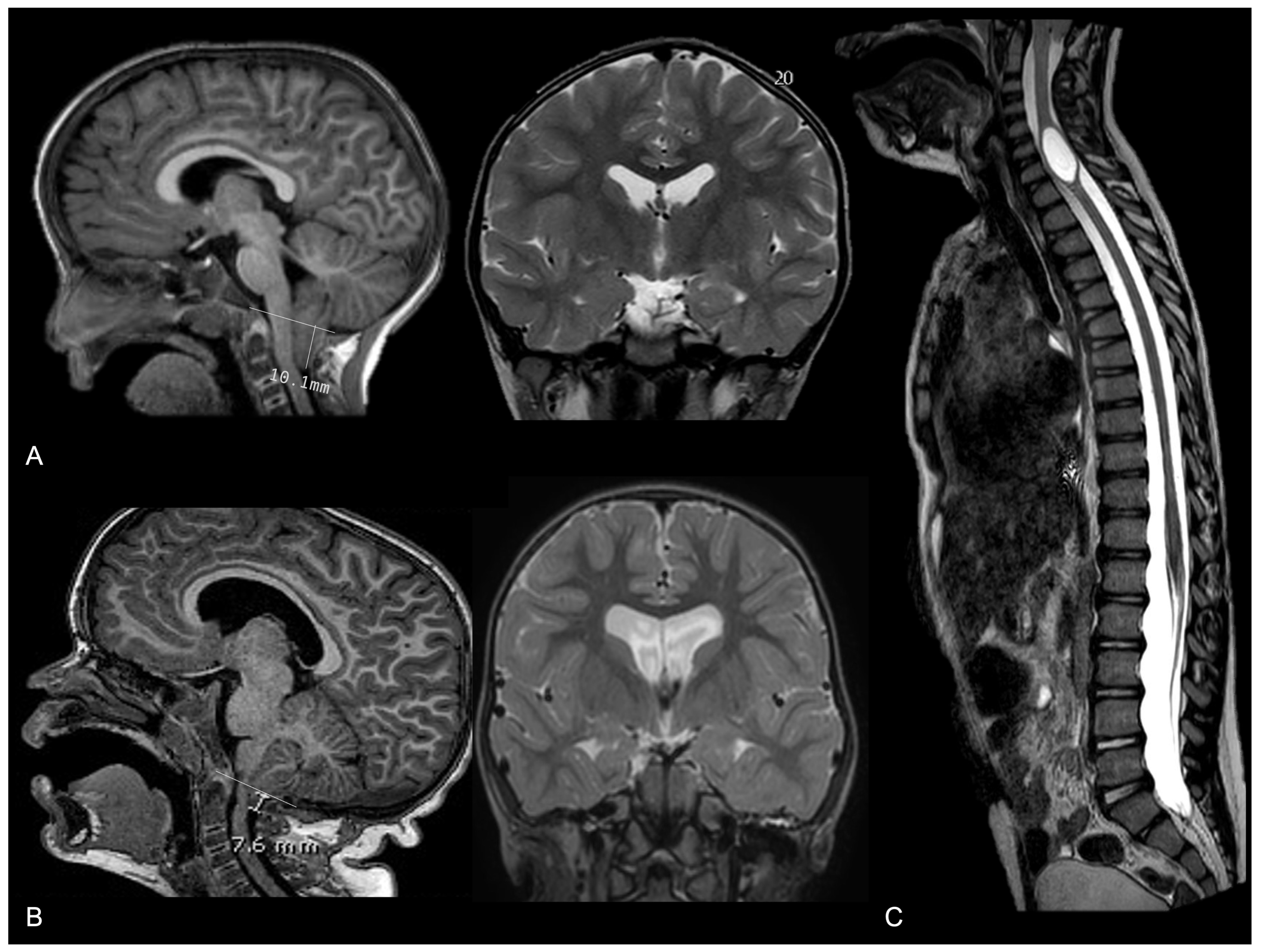
4. Associated Structural Brain Abnormalities: Beyond Sutures and Fontanelles
4.1. Intracranial Volume and Intracranial Pressure Alterations
4.2. Possible Associations with Macroscopic Alterations in Brain Morphology
4.3. Microstructural Abnormalities and Possible Impacts on Brain Development
5. Postoperative Imaging Challenges
6. Conclusions
Author Contributions
Funding
Financial Disclosures
Institutional Review Board Statement
Informed Consent Statement
Data Availability Statement
Conflicts of Interest
Abbreviations
References
- Johnson, D.; Wilkie, A.O.M. Craniosynostosis. Eur. J. Hum. Genet. 2011, 19, 369–376. [Google Scholar] [CrossRef]
- TBrah, K.; Thind, R.; Abel, D.E. Craniosynostosis: Clinical Presentation, Genetics, and Prenatal Diagnosis. Obstet. Gynecol. Surv. 2020, 75, 636–644. [Google Scholar] [CrossRef]
- Blaser, S.I.; Padfield, N.; Chitayat, D.; Forrest, C.R. Skull base development and craniosynostosis. Pediatr. Radiol. 2015, 45, 485–496. [Google Scholar] [CrossRef] [PubMed]
- Wilkie, A.O.; Johnson, D.; Wall, S.A. Clinical genetics of craniosynostosis. Curr. Opin. Pediatr. 2017, 29, 622–628. [Google Scholar] [CrossRef]
- Passos-Bueno, M.R.; Sertié, A.L.; Jehee, F.S.; Fanganiello, R.; Yeh, E. Genetics of Craniosynostosis: Genes, Syndromes, Mutations and Genotype-Phenotype Correlations. Front. Oral Biol. 2008, 12, 107–143. [Google Scholar] [CrossRef] [PubMed]
- Qiu, S.; Wang, J.; Huang, S.; Sun, S.; Zhang, Z.; Bao, N. Overactive autophagy is a pathological mechanism underlying premature suture ossification in nonsyndromic craniosynostosis. Sci. Rep. 2018, 8, 6525. [Google Scholar] [CrossRef]
- D’Apolito, G.; Colosimo, C.; Cama, A.; Rossi, A. Craniosynostoses. In Pediatric Neuroradiology; Springer: Berlin/Heidelberg, Germany, 2015; pp. 1–40. [Google Scholar] [CrossRef]
- Lattanzi, W.; Barba, M.; Di Pietro, L.; Boyadjiev, S.A. Genetic advances in craniosynostosis. Am. J. Med. Genet. Part A 2017, 173, 1406–1429. [Google Scholar] [CrossRef]
- Kirmi, O.; Lo, S.J.; Johnson, D.; Anslow, P. Craniosynostosis: A Radiological and Surgical Perspective. Semin. Ultrasound CT MRI 2009, 30, 492–512. [Google Scholar] [CrossRef]
- Moss, M.L.; Young, R.W. A functional approach to craniology. Am. J. Phys. Anthr. 1960, 18, 281–292. [Google Scholar] [CrossRef]
- Esteve-Altava, B.; Rasskin-Gutman, D. Beyond the functional matrix hypothesis: A network null model of human skull growth for the formation of bone articulations. J. Anat. 2014, 225, 306–316. [Google Scholar] [CrossRef]
- Al-Shaqsi, S.Z.; Lam, N.W.; Forrest, C.R.; Phillips, J.H. Endoscopic Versus Open Total Vault Reconstruction of Sagittal Craniosynostosis. J. Craniofacial Surg. 2021, 32, 915–919. [Google Scholar] [CrossRef]
- Sood, S.; Marupudi, N.; Reisen, B.; Rozzelle, A. Endoscopy in craniosynostosis surgery: Evolution and current trends. J. Pediatr. Neurosci. 2022, 17, 44–53. [Google Scholar] [CrossRef] [PubMed]
- Gupta, D.K.; Marbate, T.; Kedia, S. Evaluation and management of nonsyndromic craniosynostosis. J. Pediatr. Neurosci. 2022, 17, 77–91. [Google Scholar] [CrossRef]
- Schaller, B.; Filis, A.; Merten, H.; Buchfelder, M. Premature craniosynostosis—The role of skull base surgery in its correction. A surgical and radiological experience of 172 operated infants/children. J. Cranio-Maxillofac. Surg. 2012, 40, 195–200. [Google Scholar] [CrossRef] [PubMed]
- Cacciaguerra, G.; Palermo, M.; Marino, L.; Rapisarda, F.A.S.; Pavone, P.; Falsaperla, R.; Ruggieri, M.; Marino, S. The evolution of the role of imaging in the diagnosis of craniosynostosis: A narrative review. Children 2021, 8, 727. [Google Scholar] [CrossRef] [PubMed]
- Badve, C.A.; Mallikarjunappa, M.K.; Iyer, R.S.; Ishak, G.E.; Khanna, P.C. Craniosynostosis: Imaging review and primer on computed tomography. Pediatr. Radiol. 2013, 43, 728–742. [Google Scholar] [CrossRef]
- Nagaraja, S.; Anslow, P.; Winter, B. Craniosynostosis. Clin. Radiol. 2013, 68, 284–292. [Google Scholar] [CrossRef]
- Boyadjiev, S. Genetic analysis of non-syndromic craniosynostosis. Orthod. Craniofacial Res. 2007, 10, 129–137. [Google Scholar] [CrossRef]
- Ertekin, E.; Sahin, T.; Turgut, A.T. Imaging modalities for craniosynostosis. In The Sutures of the Skull: Anatomy, Embryology, Imaging, and Surgery; Springer: Berlin/Heidelberg, Germany, 2021; pp. 243–260. [Google Scholar] [CrossRef]
- Di Rocco, C.; Velardi, F. Nosographic identification and classification of plagiocephaly. Child’s Nerv. Syst. 1988, 4, 9–15. [Google Scholar] [CrossRef]
- Gates, G.F.; Dore, E.K. Detection of Craniosynostosis by Bone Scanning. Radiology 1975, 115, 665–671. [Google Scholar] [CrossRef] [PubMed]
- Zacharias, C.; Alessio, A.M.; Otto, R.K.; Iyer, R.S.; Philips, G.S.; Swanson, J.O.; Thapa, M.M. Pediatric CT: Strategies to lower radiation dose. Am. J. Roentgenol. 2013, 200, 950–956. [Google Scholar] [CrossRef]
- Kim, H.J.; Roh, H.G.; Lee, I.W. Craniosynostosis: Updates in radiologic diagnosis. J. Korean Neurosurg. Soc. 2016, 59, 219–226. [Google Scholar] [CrossRef]
- Goske, M.J.; Applegate, K.E.; Bulas, D.; Butler, P.F.; Callahan, M.J.; Coley, B.D.; Don, S.; Frush, D.P.; Hernanz-Schulman, M.; Kaste, S.C.; et al. Image Gently: Progress and challenges in CT education and advocacy. Pediatr. Radiol. 2011, 41, 461–466. [Google Scholar] [CrossRef]
- Proisy, M.; Riffaud, L.; Chouklati, K.; Tréguier, C.; Bruneau, B. Ultrasonography for the diagnosis of craniosynostosis. Eur. J. Radiol. 2017, 90, 250–255. [Google Scholar] [CrossRef]
- Soboleski, D.; Mussari, B.; McCloskey, D.; Sauerbrei, E.; Espinosa, F.; Fletcher, A. High-resolution sonography of the abnormal cranial suture. Pediatr. Radiol. 1998, 28, 79–82. [Google Scholar] [CrossRef] [PubMed]
- Whittall, I.; Lambert, W.A.; Moote, D.J.; Bookland, M.J.; Martin, J.E.; Hughes, C.D.; Hersh, D.S. Postnatal diagnosis of single-suture craniosynostosis with cranial ultrasound: A systematic review. Child’s Nerv. Syst. 2021, 37, 3705–3714. [Google Scholar] [CrossRef]
- Massimi, L.; Bianchi, F.; Frassanito, P.; Calandrelli, R.; Tamburrini, G.; Caldarelli, M. Imaging in craniosynostosis: When and what? Child’s Nerv. Syst. 2019, 35, 2055–2069. [Google Scholar] [CrossRef] [PubMed]
- Medina, L.S.; Richardson, R.R.; Crone, K. Children with Suspected Craniosynostosis: A Cost-Effectiveness Analysis of Diagnostic Strategies. Am. J. Roentgenol. 2002, 179, 215–221. [Google Scholar] [CrossRef] [PubMed]
- Kalra, M.K.; Maher, M.M.; Toth, T.L.; Hamberg, L.M.; Blake, M.A.; Shepard, J.-A.; Saini, S. Strategies for CT Radiation Dose Optimization. Radiology 2004, 230, 619–628. [Google Scholar] [CrossRef]
- Almohiy, H. Paediatric computed tomography radiation dose: A review of the global dilemma. World J. Radiol. 2014, 6, 1–6. [Google Scholar] [CrossRef]
- Pearce, M.S.; Salotti, J.; Little, M.P.; McHugh, K.; Lee, C.; Kim, K.P.; Howe, N.L.; Ronckers, C.M.; Rajaraman, P.; Craft, A.W.; et al. Radiation exposure from CT scans in childhood and subsequent risk of leukaemia and brain tumours: A retrospective cohort study. Lancet 2012, 380, 499–505. [Google Scholar] [CrossRef]
- Tan, A.P. MRI Protocol for Craniosynostosis: Replacing Ionizing Radiation–Based CT. Am. J. Roentgenol. 2019, 213, 1374–1380. [Google Scholar] [CrossRef] [PubMed]
- Cinalli, G.; Sainte-Rose, C.; Kollar, E.M.; Zerah, M.; Brunelle, F.; Chumas, P.; Arnaud, E.; Marchac, D.; Pierre-Kahn, A.; Renier, D. Hydrocephalus and craniosynostosis. J. Neurosurg. 1998, 88, 209–214. [Google Scholar] [CrossRef] [PubMed]
- Chong, L.R.; Lee, K.; Sim, F.Y. 3D MRI with CT-like bone contrast—An overview of current approaches and practical clinical implementation. Eur. J. Radiol. 2021, 143, 109915. [Google Scholar] [CrossRef] [PubMed]
- Inoue, A.; Watanabe, H.; Suehiro, S.; Nishida, N.; Shiraishi, Y.; Furumochi, T.; Takimoto, Y.; Ohnishi, T.; Shigekawa, S.; Kunieda, T. Clinical utility of new bone imaging using zero-echo-time sequence in neurosurgical procedures: Can zero-echo-time be used in clinical practice in neurosurgery? Neuroradiol. J. 2023, 36, 289–296. [Google Scholar] [CrossRef]
- Kamona, N.; Jones, B.C.; Lee, H.; Song, H.K.; Rajapakse, C.S.; Wagner, C.S.; Bartlett, S.P.; Wehrli, F.W. Cranial bone imaging using ultrashort echo-time bone-selective MRI as an alternative to gradient-echo based “black-bone” techniques. Magn. Reson. Mater. Phys. Biol. Med. 2023, 37, 83–92. [Google Scholar] [CrossRef]
- Johnson, E.M.; Vyas, U.; Ghanouni, P.; Pauly, K.B.; Pauly, J.M. Improved cortical bone specificity in UTE MR Imaging. Magn. Reson. Med. 2017, 77, 684–695. [Google Scholar] [CrossRef]
- Delso, G.; Wiesinger, F.; Sacolick, L.I.; Kaushik, S.S.; Shanbhag, D.D.; Hüllner, M.; Veit-Haibach, P. Clinical Evaluation of Zero-Echo-Time MR Imaging for the Segmentation of the Skull. J. Nucl. Med. 2015, 56, 417–422. [Google Scholar] [CrossRef] [PubMed]
- Eley, K.; Watt-Smith, S.R.; Golding, S.J. “Black Bone” MRI: A novel imaging technique for 3D printing. Dentomaxillofacial Radiol. 2017, 46, 20160407. [Google Scholar] [CrossRef]
- Eley, K.A.; Watt-Smith, S.R.; Sheerin, F.; Golding, S.J. “Black Bone” MRI: A potential alternative to CT with three-dimensional reconstruction of the craniofacial skeleton in the diagnosis of craniosynostosis. Eur. Radiol. 2014, 24, 2417–2426. [Google Scholar] [CrossRef]
- Kuusela, L.; Hukki, A.; Brandstack, N.; Autti, T.; Leikola, J.; Saarikko, A. Use of black-bone MRI in the diagnosis of the patients with posterior plagiocephaly. Child’s Nerv. Syst. 2018, 34, 1383–1389. [Google Scholar] [CrossRef]
- Saarikko, A.; Mellanen, E.; Kuusela, L.; Leikola, J.; Karppinen, A.; Autti, T.; Virtanen, P.; Brandstack, N. Comparison of Black Bone MRI and 3D-CT in the preoperative evaluation of patients with craniosynostosis. J. Plast. Reconstr. Aesthetic Surg. 2020, 73, 723–731. [Google Scholar] [CrossRef] [PubMed]
- Suchyta, M.A.; Gibreel, W.; Hunt, C.H.; Gorny, K.R.; Bernstein, M.A.; Mardini, S. Using Black Bone Magnetic Resonance Imaging in Craniofacial Virtual Surgical Planning: A Comparative Cadaver Study. Plast. Reconstr. Surg. 2018, 141, 1459–1470. [Google Scholar] [CrossRef] [PubMed]
- Bertrand, A.A.M.; Hu, A.C.B.; Lee, J.C. Planning and Osteotomy Designs in the Correction of Single-Suture Craniosynostosis. Ann. Plast. Surg. 2021, 86, 226–232. [Google Scholar] [CrossRef]
- James, G.; Thompson, D.N.P. Cerebrospinal Fluid hydrodynamics in Craniosynostosis. In Pediatric Hydrocephalus; Springer International Publishing: Cham, Switzerland, 2018; pp. 1–29. [Google Scholar] [CrossRef]
- Anderson, P.J.; Harkness, W.J.; Taylor, W.; Jones, B.M.; Hayward, R.D. Anomalous venous drainage in a case of non-syndromic craniosynostosis. Child’s Nerv. Syst. 1997, 13, 97–100. [Google Scholar] [CrossRef] [PubMed]
- Ghali, G.Z.; Ghali, M.G.Z.; Ghali, E.Z.; Srinivasan, V.M.; Wagner, K.M.; Rothermel, A.; Taylor, J.; Johnson, J.; Kan, P.; Lam, S.; et al. Intracranial Venous Hypertension in Craniosynostosis: Mechanistic Underpinnings and Therapeutic Implications. World Neurosurg. 2019, 127, 549–558. [Google Scholar] [CrossRef]
- Cinalli, G.; Russo, C.; Vitulli, F.; Parlato, R.S.; Spennato, P.; Imperato, A.; Quarantelli, M.; Covelli, E.; Aliberti, F. Changes in venous drainage after posterior cranial vault distraction and foramen magnum decompression in syndromic craniosynostosis. J. Neurosurg. Pediatr. 2022, 30, 330–341. [Google Scholar] [CrossRef]
- de Planque, C.A.; Mutsaerts, H.J.M.M.; Keil, V.C.; Erler, N.S.; Dremmen, M.H.G.; Mathijssen, I.M.J.; Petr, J. Using Perfusion Contrast for Spatial Normalization of ASL MRI Images in a Pediatric Craniosynostosis Population. Front. Neurosci. 2021, 15, 698007. [Google Scholar] [CrossRef]
- de Planque, C.A.; Petr, J.; Gaillard, L.; Mutsaerts, H.J.M.M.M.; van Veelen, M.-L.C.M.; Versnel, S.L.M.; Dremmen, M.H.G.; Mathijssen, I.M.J.M. Cerebral Blood Flow of the Frontal Lobe in Untreated Children with Trigonocephaly versus Healthy Controls: An Arterial Spin Labeling Study. Plast. Reconstr. Surg. 2022, 149, 931–937. [Google Scholar] [CrossRef]
- Doerga, P.N.; Lequin, M.H.; Dremmen, M.H.G.; Ottelander, B.K.D.; Mauff, K.A.L.; Wagner, M.W.; Hernandez-Tamames, J.A.; Versnel, S.L.; Joosten, K.F.M.; van Veelen, M.-L.C.; et al. Cerebral blood flow in children with syndromic craniosynostosis: Cohort arterial spin labeling studies. J. Neurosurg. Pediatr. Am. Assoc. Neurol. Surg. 2020, 25, 340–350. [Google Scholar] [CrossRef]
- Aslan, S.T.; Demïrcï, H. Investigation of the Effffect of Cranial Vault Surgery On Parenchymal Perfusion Before and After Surgery in Craniosynostosis Patients. Turk. J. Pediatr. Dis. 2023, 17, 160–165. [Google Scholar] [CrossRef]
- Rijken, B.; Leemans, A.; Lucas, Y.; van Montfort, K.; Mathijssen, I.; Lequin, M. Diffusion tensor imaging and fiber tractography in children with craniosynostosis syndromes. Am. J. Neuroradiol. 2015, 36, 1558–1564. [Google Scholar] [CrossRef]
- Sun, A.H.M.; Eilbott, J.; Chuang, C.M.; Yang, J.F.M.; Brooks, E.D.M.; Beckett, J.M.; Steinbacher, D.M.M.; Pelphrey, K.; Persing, J.A. An Investigation of Brain Functional Connectivity by Form of Craniosynostosis. J. Craniofacial Surg. 2019, 30, 1719–1723. [Google Scholar] [CrossRef] [PubMed]
- Kapp-Simon, K.A.; Speltz, M.L.; Cunningham, M.L.; Patel, P.K.; Tomita, T. Neurodevelopment of children with single suture craniosynostosis: A review. Child’s Nerv. Syst. 2007, 23, 269–281. [Google Scholar] [CrossRef]
- Shim, K.-W.; Park, E.-K.; Kim, J.-S.; Kim, Y.-O.; Kim, D.-S. Neurodevelopmental Problems in Non-Syndromic Craniosynostosis. J. Korean Neurosurg. Soc. 2016, 59, 242–246. [Google Scholar] [CrossRef] [PubMed]
- Choi, J.W.; Lim, S.Y.; Shin, H.-J. Craniosynostosis in Growing Children: Pathophysiological Changes and Neurosurgical Problems. J. Korean Neurosurg. Soc. 2016, 59, 197–203. [Google Scholar] [CrossRef]
- Tamburrini, G.; Caldarelli, M.; Massimi, L.; Santini, P.; Di Rocco, C. Intracranial pressure monitoring in children with single suture and complex craniosynostosis: A review. Child’s Nerv. Syst. 2005, 21, 913–921. [Google Scholar] [CrossRef]
- Thompson, D.N.; Malcolm, G.P.; Jones, B.M.; Harkness, W.J.; Hayward, R.D. Intracranial Pressure in Single-Suture Craniosynostosis. Pediatr. Neurosurg. 1995, 22, 235–240. [Google Scholar] [CrossRef] [PubMed]
- Hayward, R.; Britto, J.A.; Dunaway, D.; Evans, R.; Jeelani, N.U.O.; Thompson, D. Letter to the Editor: Raised intracranial pressure and nonsyndromic sagittal craniosynostosis. J. Neurosurg. Pediatr. 2015, 16, 346–349. [Google Scholar] [CrossRef]
- Delattre, M.-H.; Hennocq, Q.; Stricker, S.; Paternoster, G.; Khonsari, R.H. Scaphocephaly and increased intra-cranial pressure in non-operated adults: A controlled anthropological study on 21 skulls. J. Stomatol. Oral Maxillofac. Surg. 2022, 123, e212–e218. [Google Scholar] [CrossRef]
- Wall, S.A.; Thomas, G.P.L.; Johnson, D.; Byren, J.C.; Jayamohan, J.; Magdum, S.A.; McAuley, D.J.; Richards, P.G. The preoperative incidence of raised intracranial pressure in nonsyndromic sagittal craniosynostosis is underestimated in the literature. J. Neurosurg. Pediatr. 2014, 14, 674–681. [Google Scholar] [CrossRef] [PubMed]
- Tuite, G.F.; Chong, W.; Evanson, J.; Narita, A.; Taylor, D.; Harkness, W.F.; Jones, B.M.; Hayward, R.D. The Effectiveness of Papilledema as an Indicator of Raised Intracranial Pressure in Children with Craniosynostosis. Neurosurgery 1996, 38, 272–278. [Google Scholar] [CrossRef]
- Yokote, A.; Aihara, Y.; Eguchi, S.; Okada, Y. Intraoperative pre- and post-craniofacial reconstruction intracranial pressure (ICP) monitoring in children with craniosynostosis. Child’s Nerv. Syst. 2013, 29, 1363–1367. [Google Scholar] [CrossRef]
- Eide, P.K.; Helseth, E.; Due-Tønnessen, B.; Lundar, T. Assessment of Continuous Intracranial Pressure Recordings in Childhood Craniosynostosis. Pediatr. Neurosurg. 2002, 37, 310–320. [Google Scholar] [CrossRef]
- Renier, D.; Sainte-Rose, C.; Marchac, D.; Hirsch, J.-F. Intracranial pressure in craniostenosis. J. Neurosurg. 1982, 57, 370–377. [Google Scholar] [CrossRef] [PubMed]
- Thompson, D.N.P.; Harkness, W.; Jones, B.; Gonsalez, S.; Andar, U.; Hayward, R. Subdural intracranial pressure monitoring in craniosynostosis: Its role in surgical management. Child’s Nerv. Syst. 1995, 11, 269–275. [Google Scholar] [CrossRef] [PubMed]
- Tamburrini, G. ICP in Craniosynostosis. In Textbook of Pediatric Neurosurgery; Springer International Publishing: Cham, Switzerland, 2020; pp. 1549–1555. [Google Scholar] [CrossRef]
- Cinalli, G.; Spennato, P.; Sainte-Rose, C.; Arnaud, E.; Aliberti, F.; Brunelle, F.; Cianciulli, E.; Renier, D. Chiari malformation in craniosynostosis. Child’s Nerv. Syst. 2005, 21, 889–901. [Google Scholar] [CrossRef] [PubMed]
- Strahle, J.; Muraszko, K.M.; Buchman, S.R.; Kapurch, J.; Garton, H.J.L.; Maher, C.O. Chiari malformation associated with craniosynostosis. Neurosurg. Focus 2011, 31, E2. [Google Scholar] [CrossRef]
- Saletti, V.; Farinotti, M.; Peretta, P.; Massimi, L.; Ciaramitaro, P.; Motta, S.; Solari, A.; Valentini, L.G. The management of Chiari malformation type 1 and syringomyelia in children: A review of the literature. Neurol. Sci. 2021, 42, 4965–4995. [Google Scholar] [CrossRef]
- Virtanen, R.; Korhonen, T.; Fagerholm, J.; Viljanto, J. Neurocognitive Sequelae of Scaphocephaly. Pediatrics 1999, 103, 791–795. [Google Scholar] [CrossRef]
- Cabrejo, R.B.; Lacadie, C.B.; Sun, A.B.; Chuang, C.M.; Yang, J.M.; Brooks, E.M.; Beckett, J.M.; Eilbott, J.; Gabrick, K.; Steinbacher, D.D.; et al. Functional Network Development in Sagittal Craniosynostosis Treated With Whole Vault Cranioplasty. J. Craniofacial Surg. 2021, 32, 1721–1726. [Google Scholar] [CrossRef]
- de Planque, C.A.; Gaillard, L.; Vrooman, H.A.; Li, B.; Bron, E.E.; van Veelen, M.-L.C.; Mathijssen, I.M.; Dremmen, M.H. A Diffusion Tensor Imaging Analysis of Frontal Lobe White Matter Microstructure in Trigonocephaly Patients. Pediatr. Neurol. 2022, 131, 42–48. [Google Scholar] [CrossRef]
- de Planque, C.A.; Florisson, J.M.G.; Tasker, R.C.; Rijken, B.F.M.; van Veelen, M.L.C.; Mathijssen, I.M.J.; Lequin, M.H.; Dremmen, M.H.G. A diffusion tensor imaging analysis of white matter microstructures in non-operated craniosynostosis patients. Neuroradiology 2022, 64, 2391–2398. [Google Scholar] [CrossRef] [PubMed]
- Koppel, D.; Grant, J. Modern Management of Craniosynostosis. In Oral and Maxillofacial Surgery for the Clinician; Bonanthaya, K., Panneerselvam, E., Manuel, S., Kumar, V.V., Rai, A., Eds.; Springer: Singapore, 2021; pp. 1813–1841. [Google Scholar] [CrossRef]
- Parikh, N.; Aral, A.; Lewis, K.; Alperovich, M. Application of Computerized Surgical Planning in Craniosynostosis Surgery. Semin. Plast. Surg. 2024, 38, 214–223. [Google Scholar] [CrossRef]
- Al-Murad, B.M.; Radwan, M.; Zaki, I.; Soliman, M.M.; Al-Shareef, E.M.; Gaban, A.M.; Al-Mukhlifi, Y.M.; Kefi, F.Z. Exploring Different Management Modalities of Nonsyndromic Craniosynostosis. Cureus 2024, 16, e60831. [Google Scholar] [CrossRef]
- Weinman, J.P.; Mirsky, D.M.; Jensen, A.M.; Stence, N.V. Dual energy head CT to maintain image quality while reducing dose in pediatric patients. Clin. Imaging 2019, 55, 83–88. [Google Scholar] [CrossRef] [PubMed]
- Siegel, M.J.; Ramirez-Giraldo, J.C. Dual-Energy CT in Children: Imaging Algorithms and Clinical Applications. Radiology 2019, 291, 286–297. [Google Scholar] [CrossRef] [PubMed]
- Olsen, R.V.; Munk, P.L.; Lee, M.J.; Janzen, D.L.; MacKay, A.L.; Xiang, Q.-S.; Masri, B. Metal Artifact Reduction Sequence: Early Clinical Applications. RadioGraphics 2000, 20, 699–712. [Google Scholar] [CrossRef] [PubMed]
- Kugar, M.; Strassle, P.; Elkins-Williams, T.; Garimella, R.; Pham, M.; Elton, S.; van Aalst, J.; Wood, J. Wound Healing Complications After Cranial Vault Reconstruction for Craniosynostosis. J. Craniofacial Surg. 2020, 31, 110–112. [Google Scholar] [CrossRef]
- Noordzij, N.; Brouwer, R.; van der Horst, C. Incomplete Reossification After Craniosynostosis Surgery. J. Craniofacial Surg. 2016, 27, e105–e108. [Google Scholar] [CrossRef]
















| Major Sutures | Complete Fusion | Details |
|---|---|---|
| Metopic suture | 3–9 months | Fuses up to 6 years or never closes |
| Closes from nasion to anterior fontanelle | ||
| Sagittal suture | 21–30 years | Unfused through childhood |
| Narrows from the 1st month | ||
| Coronal suture | ~24 years | Unfused through childhood |
| Narrows during childhood | ||
| Lambdoid suture | ~26 years | Unfused through childhood |
| Common site of Wormian bones | ||
| Neuroimaging | Advantages | Disadvantages |
|---|---|---|
| Ultrasound | Non-irradiating technique Fast and repeatable Non-invasive No sedation required Widely available Low-cost | User-dependent Inconclusive if poor patients’cooperation Limited use in relatively advanced-age patients Poor evaluation of deeper structures |
| Computed tomography | Fast acquisition Readily accessible Sedation generally not required Widely available Limited cost Excellent bone evaluation Multiplanar and 3D reconstructions easily available | Irradiating technique (thus repeated CT scans over time should be limited) Limited evaluation of soft tissues and associated brain abnormalities Iodinated contrast media required for vascular structures depiction |
| Magnetic resonance imaging | Non-irradiating technique Repeatable over time Excellent soft tissue definition Excellent potential due to advanced techniques Gadolinium-based contrast media generally not required Reference method for associated brain and spine abnormalities search | Sedation usually required Not always readily accessible Long acquisition Higher cost Specific professional experience required for data interpretation Longer data post-processing |
| Digital subtraction angiography | Excellent vascular structures depiction Real-time observation of blood flow dynamics Potentially combinable with interventional procedures, when required (cost-effective) | Irradiating technique More invasive Specific professional experience required Iodinated contrast media always required Sedation usually required Higher cost Not always readily accessible Limited spatial resolution Very poor or no evaluation of structures other than vascular |
Disclaimer/Publisher’s Note: The statements, opinions and data contained in all publications are solely those of the individual author(s) and contributor(s) and not of MDPI and/or the editor(s). MDPI and/or the editor(s) disclaim responsibility for any injury to people or property resulting from any ideas, methods, instructions or products referred to in the content. |
© 2024 by the authors. Licensee MDPI, Basel, Switzerland. This article is an open access article distributed under the terms and conditions of the Creative Commons Attribution (CC BY) license (https://creativecommons.org/licenses/by/4.0/).
Share and Cite
Russo, C.; Aliberti, F.; Ferrara, U.P.; Russo, C.; De Gennaro, D.V.; Cristofano, A.; Nastro, A.; Cicala, D.; Spennato, P.; Quarantelli, M.; et al. Neuroimaging in Nonsyndromic Craniosynostosis: Key Concepts to Unlock Innovation. Diagnostics 2024, 14, 1842. https://doi.org/10.3390/diagnostics14171842
Russo C, Aliberti F, Ferrara UP, Russo C, De Gennaro DV, Cristofano A, Nastro A, Cicala D, Spennato P, Quarantelli M, et al. Neuroimaging in Nonsyndromic Craniosynostosis: Key Concepts to Unlock Innovation. Diagnostics. 2024; 14(17):1842. https://doi.org/10.3390/diagnostics14171842
Chicago/Turabian StyleRusso, Camilla, Ferdinando Aliberti, Ursula Pia Ferrara, Carmela Russo, Domenico Vincenzo De Gennaro, Adriana Cristofano, Anna Nastro, Domenico Cicala, Pietro Spennato, Mario Quarantelli, and et al. 2024. "Neuroimaging in Nonsyndromic Craniosynostosis: Key Concepts to Unlock Innovation" Diagnostics 14, no. 17: 1842. https://doi.org/10.3390/diagnostics14171842
APA StyleRusso, C., Aliberti, F., Ferrara, U. P., Russo, C., De Gennaro, D. V., Cristofano, A., Nastro, A., Cicala, D., Spennato, P., Quarantelli, M., Aiello, M., Soricelli, A., Smaldone, G., Onorini, N., De Martino, L., Picariello, S., Parlato, S., Mirabelli, P., Quaglietta, L., ... Cinalli, G. (2024). Neuroimaging in Nonsyndromic Craniosynostosis: Key Concepts to Unlock Innovation. Diagnostics, 14(17), 1842. https://doi.org/10.3390/diagnostics14171842

