Hepatic Portal Venous Gas (HPVG) after Ingestion of Chlorine Bleach: A Transient Phenomenon
Abstract
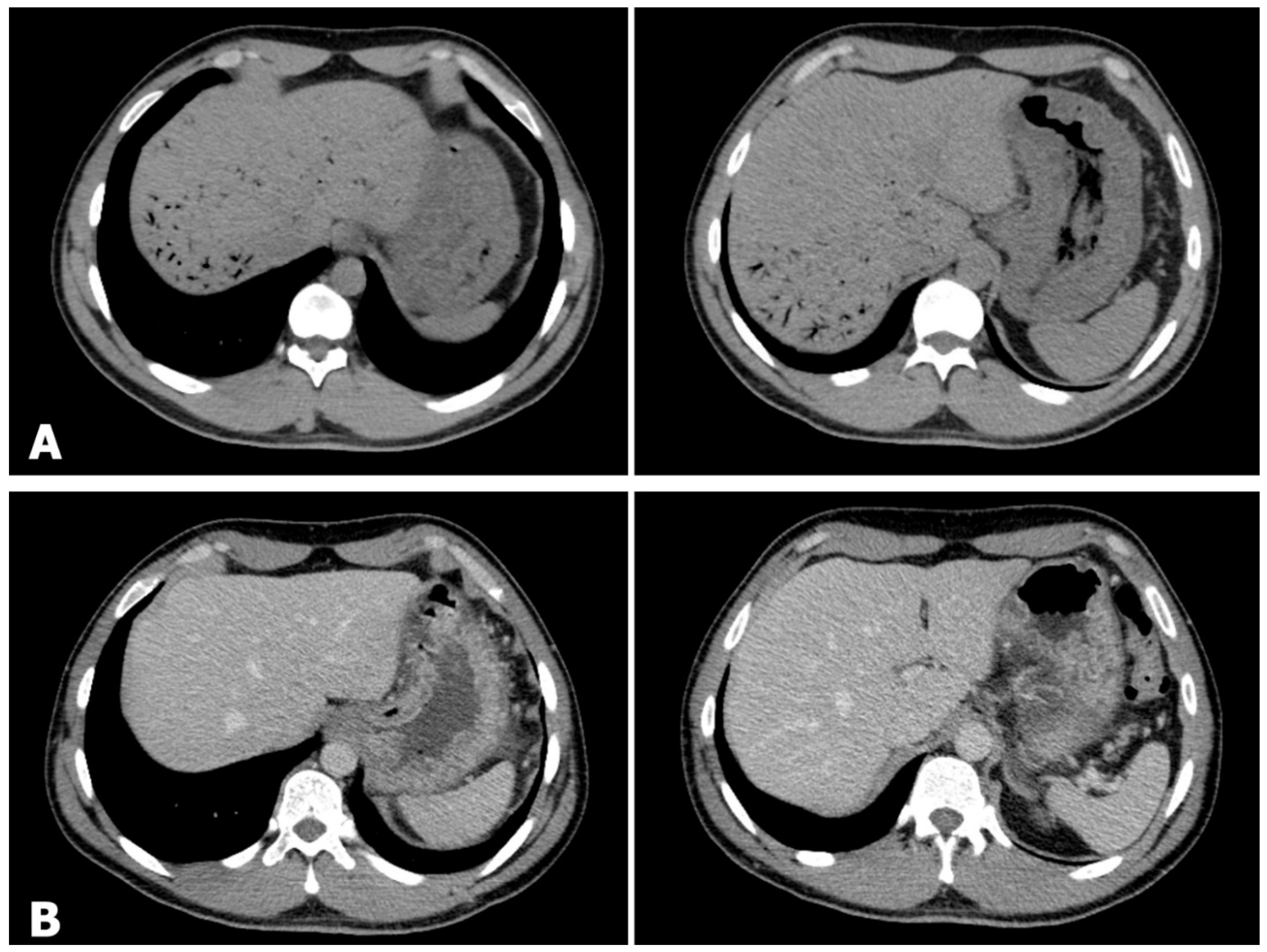
:



Author Contributions
Funding
Institutional Review Board Statement
Informed Consent Statement
Data Availability Statement
Conflicts of Interest
References
- Liebman, P.R.; Patten, M.T.; Manny, J.; Benfield, J.R.; Hechtman, H.B. Hepatic-Portal Venous Gas in Adults: Etiology, Pathophysiology and Clinical Significance. Ann. Surg. 1978, 187, 281. [Google Scholar] [CrossRef] [PubMed]
- Abboud, B.; Hachem, J.E.; Yazbeck, T.; Doumit, C. Hepatic Portal Venous Gas: Physiopathology, Etiology, Prognosis and Treatment. World J. Gastroenterol. WJG 2009, 15, 3585. [Google Scholar] [CrossRef] [PubMed]
- Sebastià, C.; Quiroga, S.; Espin, E.; Boyé, R.; Alvarez-Castells, A.; Armengol, M. Portomesenteric Vein Gas: Pathologic Mechanisms, CT Findings, and Prognosis. RadioGraphics 2000, 20, 1213–1224. [Google Scholar] [CrossRef] [PubMed]
- Wu, J.-M.; Wang, M.-Y. Hepatic Portal Venous Gas in Necrotizing Pancreatitis. Dig. Surg. 2009, 26, 119–120. [Google Scholar] [CrossRef] [PubMed]
- Hung, Y.-C.; Chang, C.-J.; Fu-Zong, W. Transient Hepatic Portal Venous Gas Secondary to Emphysematous Infectious Spondylodiscitis. Br. J. Hosp. Med. 2020, 81, 1–2. [Google Scholar] [CrossRef]
- Rana, A.A.; Sylla, P.; Woodland, D.C.; Feingold, D.L. A Case of Portal Venous Gas After Extracorporeal Shockwave Lithotripsy and Obstructive Pyelonephritis. Urology 2008, 71, 546.e5–546.e7. [Google Scholar] [CrossRef] [PubMed]
- Mognol, P.; Chosidow, D.; Marmuse, J.-P. Hepatic Portal Gas Due to Gastro-Jejunal Anastomotic Leak after Laparoscopic Gastric Bypass. Obes. Surg. 2005, 15, 278–281. [Google Scholar] [CrossRef] [PubMed]
- Bobba, R.K.; Arsura, E.L. Hepatic Portal and Mesenteric Vein Gas as a Late Complication of Percutaneous Endoscopic Gastrostomy Tube Placement in an Elderly Patient. Dig. Dis. Sci. 2005, 50, 411–414. [Google Scholar] [CrossRef] [PubMed]
- Lim, J.E.; Duke, G.L.; Eachempati, S.R. Superior Mesenteric Artery Syndrome Presenting with Acute Massive Gastric Dilatation, Gastric Wall Pneumatosis, and Portal Venous Gas. Surgery 2003, 134, 840–843. [Google Scholar] [CrossRef] [PubMed]
- Burns, R.A.; Schmidt, S.M. Portal Venous Gas Emboli after Accidental Ingestion of Concentrated Hydrogen Peroxide. J. Emerg. Med. 2013, 45, 345–347. [Google Scholar] [CrossRef] [PubMed]
- Symeonidis, D.; Bompou, E.; Samara, A.A.; Kissa, L.; Paraskeua, I.; Tsikrika, A.; Tepetes, K. White Spirit Poisoning: An Unusual Cause of Hepatic Portal Venous Gas. Radiol. Case Rep. 2022, 17, 4717–4722. [Google Scholar] [CrossRef] [PubMed]
- Lewin, M.; Pocard, M.; Caplin, S.; Blain, A.; Tubiana, J.-M.; Parc, R. Benign Hepatic Portal Venous Gas Following Caustic Ingestion. Eur. Radiol. 2002, 12, S59–S61. [Google Scholar] [CrossRef] [PubMed]
- Tanaka, Y.; Yoshioka, T.; Kusaka, T. Hydrogen Peroxide Ingestion: A Rare Case of Portal Venous Gas. Gastrointest. Endosc. 2014, 79, 835–837. [Google Scholar] [CrossRef] [PubMed]
- Saksena, M.; Harisinghani, M.G.; Wittenberg, J.; Mueller, P.R. Hepatic Portal Venous Gas: Transient Radiographic Finding Associated with Colchicine Toxicity. Br. J. Radiol. 2003, 76, 835–837. [Google Scholar] [CrossRef] [PubMed]
- Chung, I.; Ryu, H.; Yoon, S.-Y.; Ha, J.C. Health Effects of Sodium Hypochlorite: Review of Published Case Reports. Environ. Anal. Health Toxicol. 2022, 37, e2022006. [Google Scholar] [CrossRef] [PubMed]
- Ross, M.P.; Spiller, H.A. Fatal Ingestion of Sodium Hypochlorite Bleach with Associated Hypernatremia and Hyperchloremic Metabolic Acidosis. Vet. Hum. Toxicol. 1999, 41, 82–86. [Google Scholar] [PubMed]
- Nelson, A.L.; Millington, T.M.; Sahani, D.; Chung, R.T.; Bauer, C.; Hertl, M.; Warshaw, A.L.; Conrad, C. Hepatic Portal Venous Gas: The ABCs of Management. Arch. Surg. 2009, 144, 575–581. [Google Scholar] [CrossRef] [PubMed]
- French, L.K.; Horowitz, B.Z.; Mckeown, N.J. Hydrogen Peroxide Ingestion Associated with Portal Venousgas and Treatment with Hyperbaric Oxygen: A Case Seriesand Review of the Literature. Clin. Toxicol. 2010, 48, 533–538. [Google Scholar] [CrossRef] [PubMed]
- Martin, J.V.; Sugawa, C. Hydrogen Peroxide Ingestion with Injury to Upper Gastrointestinal Tract. World J. Clin. Cases 2017, 5, 378–380. [Google Scholar] [CrossRef]
Disclaimer/Publisher’s Note: The statements, opinions and data contained in all publications are solely those of the individual author(s) and contributor(s) and not of MDPI and/or the editor(s). MDPI and/or the editor(s) disclaim responsibility for any injury to people or property resulting from any ideas, methods, instructions or products referred to in the content. |
© 2023 by the authors. Licensee MDPI, Basel, Switzerland. This article is an open access article distributed under the terms and conditions of the Creative Commons Attribution (CC BY) license (https://creativecommons.org/licenses/by/4.0/).
Share and Cite
Arico, F.M.; Buemi, F.; Pitrone, P.; Giardina, C.; Trimarchi, R.; Borruto, F.; Doria, S.; Turiaco, C.; Caloggero, S. Hepatic Portal Venous Gas (HPVG) after Ingestion of Chlorine Bleach: A Transient Phenomenon. Diagnostics 2023, 13, 3615. https://doi.org/10.3390/diagnostics13243615
Arico FM, Buemi F, Pitrone P, Giardina C, Trimarchi R, Borruto F, Doria S, Turiaco C, Caloggero S. Hepatic Portal Venous Gas (HPVG) after Ingestion of Chlorine Bleach: A Transient Phenomenon. Diagnostics. 2023; 13(24):3615. https://doi.org/10.3390/diagnostics13243615
Chicago/Turabian StyleArico, Francesco M., Francesco Buemi, Pietro Pitrone, Claudio Giardina, Renato Trimarchi, Flavia Borruto, Sarah Doria, Cristina Turiaco, and Simona Caloggero. 2023. "Hepatic Portal Venous Gas (HPVG) after Ingestion of Chlorine Bleach: A Transient Phenomenon" Diagnostics 13, no. 24: 3615. https://doi.org/10.3390/diagnostics13243615
APA StyleArico, F. M., Buemi, F., Pitrone, P., Giardina, C., Trimarchi, R., Borruto, F., Doria, S., Turiaco, C., & Caloggero, S. (2023). Hepatic Portal Venous Gas (HPVG) after Ingestion of Chlorine Bleach: A Transient Phenomenon. Diagnostics, 13(24), 3615. https://doi.org/10.3390/diagnostics13243615

