Liposarcoma: A Journey into a Rare Tumor’s Epidemiology, Diagnosis, Pathophysiology, and Limitations of Current Therapies
Simple Summary
Abstract
1. Introduction
1.1. Epidemiology
1.2. Diagnosis and Pathology
1.3. Diagnostic Challenges
1.4. Treatment
2. LS Subtypes: Pathogenesis, Clinical Behavior, and Treatment Options
2.1. Well-Differentiated LS/Atypical Lipomatous Tumor
2.2. Dedifferentiated LS (DDLS)
2.3. Myxoid LS (MLS)
2.4. Pleomorphic LS (PLS)
3. Conclusions
Author Contributions
Funding
Data Availability Statement
Acknowledgments
Conflicts of Interest
References
- Gage, M.M.; Nagarajan, N.; Ruck, J.M.; Canner, J.K.; Khan, S.; Giuliano, K.; Gani, F.; Wolfgang, C.; Johnston, F.M.; Ahuja, N. Sarcomas in the United States: Recent trends and a call for improved staging. Oncotarget 2019, 10, 2462–2474. [Google Scholar] [CrossRef] [PubMed]
- Florou, V.; Nascimento, A.G.; Gulia, A.; de Lima Lopes, G., Jr. Global health perspective in sarcomas and other rare cancers. Am. Soc. Clin. Oncol. Educ. Book. 2018, 38, 916–924. [Google Scholar] [CrossRef] [PubMed]
- Siegel, R.L.; Miller, K.D.; Wagle, N.S.; Jemal, A. Cancer statistics, 2023. CA Cancer J. Clin. 2023, 73, 17–48. [Google Scholar] [CrossRef] [PubMed]
- Zafar, R.; Wheeler, Y. Liposarcoma. In StatPearls; StatPearls Publishing LLC: Treasure Island, FL, USA, 2022. [Google Scholar]
- Amer, K.M.; Congiusta, D.V.; Thomson, J.E.; Elsamna, S.; Chaudhry, I.; Bozzo, A.; Amer, R.; Siracuse, B.; Ghert, M.; Beebe, K.S. Epidemiology and survival of liposarcoma and its subtypes: A dual database analysis. J. Clin. Orthop. Trauma. 2020, 11, S479–S484. [Google Scholar] [CrossRef] [PubMed]
- Bock, S.; Hoffmann, D.G.; Jiang, Y.; Chen, H.; Il’yasova, D. Increasing incidence of liposarcoma: A population-based study of national surveillance databases, 2001–2016. Int. J. Environ. Res. Public Health 2020, 17, 2710. [Google Scholar] [CrossRef]
- WHO Classification of Tumours Editorial Board. Soft Tissue and Bone Tumours; International Agency for Research on Cancer: Lyon, France, 2020. [Google Scholar]
- Gamboa, A.C.; Gronchi, A.; Cardona, K. Soft-tissue sarcoma in adults: An update on the current state of histiotype-specific management in an era of personalized medicine. CA Cancer J. Clin. 2020, 70, 200–229. [Google Scholar] [CrossRef]
- Referenced with Permission from the NCCN Clinical Practice Guidelines in Oncology (NCCN Guidelines®) for Soft Tissue Sarcoma V.3.2024.© National Comprehensive Cancer Network, Inc. 2024. All Rights Reserved. To View the Most Recent and Complete Version of the Guideline, go Online to NCCN.org. NCCN Makes No Warranties of Any Kind Whatsoever Regarding Their Content, Use or Application and Disclaims any Responsibility for Their Application or Use in Any Way. Available online: https://www.nccn.org/home (accessed on 25 October 2024).
- Lee, A.T.J.; Thway, K.; Huang, P.H.; Jones, R.L. Clinical and molecular spectrum of liposarcoma. J. Clin. Oncol. 2018, 36, 151–159. [Google Scholar] [CrossRef]
- Crago, A.M.; Brennan, M.F. Principles in management of soft tissue sarcoma. Adv. Surg. 2015, 49, 107–122. [Google Scholar] [CrossRef]
- Thway, K.; Jones, R.L.; Noujaim, J.; Zaidi, S.; Miah, A.B.; Fisher, C. Dedifferentiated liposarcoma: Updates on morphology, genetics, and therapeutic strategies. Adv. Anat. Pathol. 2016, 23, 30–40. [Google Scholar] [CrossRef]
- Koczkowska, M.; Lipska-Ziętkiewicz, B.S.; Iliszko, M.; Ryś, J.; Miettinen, M.; Lasota, J.; Biernat, W.; Harazin-Lechowska, A.; Kruczak, A.; Limon, J. Application of high-resolution genomic profiling in the differential diagnosis of liposarcoma. Mol. Cytogenet. 2017, 10, 7. [Google Scholar] [CrossRef]
- Henderson-Jackson, E.B.; Bui, M.M. Molecular pathology of soft-tissue neoplasms and its role in clinical practice. Cancer Control 2015, 22, 186–192. [Google Scholar] [CrossRef] [PubMed]
- Sbaraglia, M.; Bellan, E.; Dei Tos, A.P. The 2020 WHO classification of soft tissue tumours: News and perspectives. Pathologica 2021, 113, 70–84. [Google Scholar] [CrossRef] [PubMed]
- de Pinieux, G.; Karanian, M.; Le Loarer, F.; Le Guellec, S.; Chabaud, S.; Terrier, P.; Bouvier, C.; Batistella, M.; Neuville, A.; Robin, Y.M.; et al. Nationwide incidence of sarcomas and connective tissue tumors of intermediate malignancy over four years using an expert pathology review network. PLoS ONE 2021, 16, e0246958. [Google Scholar] [CrossRef] [PubMed]
- Brennan, C.; Kajal, D.; Khalili, K.; Ghai, S. Solid malignant retroperitoneal masses—A pictorial review. Insights Imaging 2014, 5, 53–65. [Google Scholar] [CrossRef]
- Watanabe, J.; Osaki, T.; Tatebe, S.; Goto, K.; Endo, K.; Nakamura, S.; Hirooka, Y. Encapsulated fat necrosis mimicking abdominal liposarcoma: A case report and literature review. Clin. Case Rep. 2020, 8, 2255–2258. [Google Scholar] [CrossRef] [PubMed]
- Smolle, M.A.; Schaffler, A.; Leithner, A.; Van Praag, V.M.; Bergovec, M.; Szkandera, J.; Liegl-Atzwanger, B.; Niethard, M.; Tunn, P.U.; Van De Sande, M.; et al. Incidence, treatment and outcome of abdominal metastases in extremity soft tissue sarcoma: Results from a multi-centre study. J. Surg. Oncol. 2020, 121, 605–611. [Google Scholar] [CrossRef]
- Italiano, A.; Di Mauro, I.; Rapp, J.; Pierron, G.; Auger, N.; Alberti, L.; Chibon, F.; Escande, F.; Voegeli, A.C.; Ghnassia, J.P.; et al. Clinical effect of molecular methods in sarcoma diagnosis (GENSARC): A prospective, multicentre, observational study. Lancet Oncol. 2016, 17, 532–538. [Google Scholar] [CrossRef]
- Gounder, M.M.; Agaram, N.P.; Trabucco, S.E.; Robinson, V.; Ferraro, R.A.; Millis, S.Z.; Krishnan, A.; Lee, J.; Attia, S.; Abida, W.; et al. Clinical genomic profiling in the management of patients with soft tissue and bone sarcoma. Nat. Commun. 2022, 13, 3406. [Google Scholar] [CrossRef]
- Gutierrez, J.C.; Perez, E.A.; Moffat, F.L.; Livingstone, A.S.; Franceschi, D.; Koniaris, L.G. Should soft tissue sarcomas be treated at high-volume centers? An analysis of 4205 patients. Ann. Surg. 2007, 245, 952–958. [Google Scholar] [CrossRef]
- Derbel, O.; Heudel, P.E.; Cropet, C.; Meeus, P.; Vaz, G.; Biron, P.; Cassier, P.; Decouvelaere, A.V.; Ranchere-Vince, D.; Collard, O.; et al. Survival impact of centralization and clinical guidelines for soft tissue sarcoma (a prospective and exhaustive population-based cohort). PLoS ONE 2017, 12, e0158406. [Google Scholar] [CrossRef]
- Keung, E.Z.; Chiang, Y.J.; Cormier, J.N.; Torres, K.E.; Hunt, K.K.; Feig, B.W.; Roland, C.L. Treatment at low-volume hospitals is associated with reduced short-term and long-term outcomes for patients with retroperitoneal sarcoma. Cancer 2018, 124, 4495–4503. [Google Scholar] [CrossRef] [PubMed]
- De Vita, A.; Mercatali, L.; Recine, F.; Pieri, F.; Riva, N.; Bongiovanni, A.; Liverani, C.; Spadazzi, C.; Miserocchi, G.; Amadori, D.; et al. Current classification, treatment options, and new perspectives in the management of adipocytic sarcomas. Onco Targets Ther. 2016, 9, 6233–6246. [Google Scholar] [CrossRef] [PubMed]
- Kneisl, J.S.; Ferguson, C.; Robinson, M.; Crimaldi, A.; Ahrens, W.; Symanowski, J.; Bates, M.; Ersek, J.L.; Livingston, M.; Patt, J.; et al. The effect of radiation therapy in the treatment of adult soft tissue sarcomas of the extremities: A long-term community-based cancer center experience. Cancer Med. 2017, 6, 516–525. [Google Scholar] [CrossRef] [PubMed]
- Lansu, J.; Braam, P.M.; van Werkhoven, E.; Scholten, A.N.; Schrage, Y.; van Houdt, W.J.; van Langevelde, K.; Haas, R.L. A moderate dose of preoperative radiotherapy may improve resectability in myxoid liposarcoma. Eur. J. Surg. Oncol. 2021, 47, 2633–2639. [Google Scholar] [CrossRef]
- Scheick, S.; Ager, B.J.; Poppe, M.M.; Hitchcock, Y.J. Preoperative hypofractionated radiation therapy in soft tissue sarcoma of the extremity: Outcomes from the National Cancer Database. Int. J. Rad. Oncol. Biol. Phys. 2018, 102, e322. [Google Scholar] [CrossRef]
- Bonvalot, S.; Gronchi, A.; Le Péchoux, C.; Swallow, C.J.; Strauss, D.; Meeus, P.; van Coevorden, F.; Stoldt, S.; Stoeckle, E.; Rutkowski, P.; et al. Preoperative radiotherapy plus surgery versus surgery alone for patients with primary retroperitoneal sarcoma (EORTC-62092: STRASS): A multicentre, open-label, randomised, phase 3 trial. Lancet Oncol. 2020, 21, 1366–1377. [Google Scholar] [CrossRef]
- Farooqi, A.S.; Guadagnolo, B.A.; Mitra, D.; Bishop, A.J. Radiation therapy for retroperitoneal sarcomas: A strass-ful situation. Curr. Oncol. 2023, 30, 598–609. [Google Scholar] [CrossRef]
- Callegaro, D.; Raut, C.P.; Ajayi, T.; Strauss, D.; Bonvalot, S.; Ng, D.; Stoeckle, E.; Fairweather, M.; Rutkowski, P.; van Houdt, W.J.; et al. Preoperative radiotherapy in patients with primary retroperitoneal sarcoma: EORTC-62092 trial (STRASS) versus off-trial (STREXIT) results. Ann. Surg. 2022, 278, 127–134. [Google Scholar] [CrossRef]
- West, H.; Jin, J.O. Adjuvant therapy. JAMA Oncol. 2015, 1, 698. [Google Scholar] [CrossRef]
- West, H.; Jin, J.O. Neoadjuvant therapy. JAMA Oncol. 2015, 1, 550. [Google Scholar] [CrossRef]
- Pervaiz, N.; Colterjohn, N.; Farrokhyar, F.; Tozer, R.; Figueredo, A.; Ghert, M. A systematic meta-analysis of randomized controlled trials of adjuvant chemotherapy for localized resectable soft-tissue sarcoma. Cancer 2008, 113, 573–581. [Google Scholar] [CrossRef] [PubMed]
- Judson, I.; Verweij, J.; Gelderblom, H.; Hartmann, J.T.; Schöffski, P.; Blay, J.Y.; Kerst, J.M.; Sufliarsky, J.; Whelan, J.; Hohenberger, P.; et al. Doxorubicin alone versus intensified doxorubicin plus ifosfamide for first-line treatment of advanced or metastatic soft-tissue sarcoma: A randomised controlled phase 3 trial. Lancet Oncol. 2014, 15, 415–423. [Google Scholar] [CrossRef] [PubMed]
- Livingston, J.A.; Bugano, D.; Barbo, A.; Lin, H.; Madewell, J.E.; Wang, W.L.; Lazar, A.J.; Tseng, W.W.; Roland, C.L.; Feig, B.W.; et al. Role of chemotherapy in dedifferentiated liposarcoma of the retroperitoneum: Defining the benefit and challenges of the standard. Sci. Rep. 2017, 7, 11836. [Google Scholar] [CrossRef] [PubMed]
- Singer, S.; Antonescu, C.R.; Riedel, E.; Brennan, M.F. Histologic subtype and margin of resection predict pattern of recurrence and survival for retroperitoneal liposarcoma. Ann. Surg. 2003, 238, 358–370; discussion 370–371. [Google Scholar] [CrossRef] [PubMed]
- Demetri, G.D.; von Mehren, M.; Jones, R.L.; Hensley, M.L.; Schuetze, S.M.; Staddon, A.; Milhem, M.; Elias, A.; Ganjoo, K.; Tawbi, H.; et al. Efficacy and safety of trabectedin or dacarbazine for metastatic liposarcoma or leiomyosarcoma after failure of conventional chemotherapy: Results of a phase III randomized multicenter clinical trial. J. Clin. Oncol. 2016, 34, 786–793. [Google Scholar] [CrossRef]
- Ng, V.Y.; Scharschmidt, T.J.; Mayerson, J.L.; Fisher, J.L. Incidence and survival in sarcoma in the United States: A focus on musculoskeletal lesions. Anticancer. Res. 2013, 33, 2597–2604. [Google Scholar]
- Martin-Broto, J.; Pousa, A.L.; de Las Peñas, R.; García Del Muro, X.; Gutierrez, A.; Martinez-Trufero, J.; Cruz, J.; Alvarez, R.; Cubedo, R.; Redondo, A.; et al. Randomized phase II study of trabectedin and doxorubicin compared with doxorubicin alone as first-line treatment in patients with advanced soft tissue sarcomas: A Spanish Group for Research on Sarcoma study. J. Clin. Oncol. 2016, 34, 2294–2302. [Google Scholar] [CrossRef]
- Seddon, B.; Strauss, S.J.; Whelan, J.; Leahy, M.; Woll, P.J.; Cowie, F.; Rothermundt, C.; Wood, Z.; Benson, C.; Ali, N.; et al. Gemcitabine and docetaxel versus doxorubicin as first-line treatment in previously untreated advanced unresectable or metastatic soft-tissue sarcomas (GeDDiS): A randomised controlled phase 3 trial. Lancet Oncol. 2017, 18, 1397–1410. [Google Scholar] [CrossRef]
- Li, J.; Chang, H.M.; Banchs, J.; Araujo, D.M.; Hassan, S.A.; Wagar, E.A.; Yeh, E.T.H.; Meng, Q.H. Detection of subclinical cardiotoxicity in sarcoma patients receiving continuous doxorubicin infusion or pre-treatment with dexrazoxane before bolus doxorubicin. Cardiooncology 2020, 6, 1. [Google Scholar] [CrossRef]
- Bill, K.L.; Casadei, L.; Prudner, B.C.; Iwenofu, H.; Strohecker, A.M.; Pollock, R.E. Liposarcoma: Molecular targets and therapeutic implications. Cell Mol. Life Sci. 2016, 73, 3711–3718. [Google Scholar] [CrossRef]
- Manji, G.A.; Schwartz, G.K. Managing liposarcomas: Cutting through the fat. J. Oncol. Pr. Pract. 2016, 12, 221–227. [Google Scholar] [CrossRef] [PubMed]
- Fletcher, C.D.M.; Unni, K.K.; Mertens, F. World Health Organization Classification of Tumours. Pathology and Genetics of Tumours of Soft Tissue and Bone, 3rd ed.; IARC Press: Lyon, France, 2002; Volume 5. [Google Scholar]
- O’Regan, K.N.; Jagannathan, J.; Krajewski, K.; Zukotynski, K.; Souza, F.; Wagner, A.J.; Ramaiya, N. Imaging of liposarcoma: Classification, patterns of tumor recurrence, and response to treatment. AJR Am. J. Roentgenol. 2011, 197, W37–W43. [Google Scholar] [CrossRef] [PubMed]
- Murphey, M.D.; Arcara, L.K.; Fanburg-Smith, J. From the archives of the AFIP: Imaging of musculoskeletal liposarcoma with radiologic-pathologic correlation. Radiographics 2005, 25, 1371–1395. [Google Scholar] [CrossRef] [PubMed]
- Tap, W.D.; Eilber, F.C.; Ginther, C.; Dry, S.M.; Reese, N.; Barzan-Smith, K.; Chen, H.W.; Wu, H.; Eilber, F.R.; Slamon, D.J.; et al. Evaluation of well-differentiated/de-differentiated liposarcomas by high-resolution oligonucleotide array-based comparative genomic hybridization. Genes Chromosomes Cancer 2011, 50, 95–112. [Google Scholar] [CrossRef]
- Kulkarni, A.S.; Wojcik, J.B.; Chougule, A.; Arora, K.; Chittampalli, Y.; Kurzawa, P.; Mullen, J.T.; Chebib, I.; Nielsen, G.P.; Rivera, M.N.; et al. MDM2 RNA in situ hybridization for the diagnosis of atypical lipomatous tumor: A study evaluating DNA, RNA, and protein expression. Am. J. Surg. Pathol. 2019, 43, 446–454. [Google Scholar] [CrossRef]
- Mardekian, S.K.; Solomides, C.C.; Gong, J.Z.; Peiper, S.C.; Wang, Z.X.; Bajaj, R. Comparison of chromogenic in situ hybridization and fluorescence in situ hybridization for the evaluation of MDM2 amplification in adipocytic tumors. J. Clin. Lab. Anal. 2015, 29, 462–468. [Google Scholar] [CrossRef]
- Munoz, P.; Bretcha-Boix, P.; Artigas, V.; Asencio, J.M. Surgical principles of primary retroperitoneal sarcoma in the era of personalized treatment: A review of the frontline extended surgery. Cancers 2022, 14, 4091. [Google Scholar] [CrossRef]
- Kido, A.; Kitagawa, Y.; Tsukushi, S.; Iwata, S.; Ishida, Y.; Tsukamoto, S.; Kawai, A. Marginal resection for patients with atypical lipomatous tumours of the extremities and trunk wall: A systematic review and meta-analysis. Jpn. J. Clin. Oncol. 2022, 52, 151–156. [Google Scholar] [CrossRef]
- Miao, C.L.; Zhang, L.L.; Tseng, W.W.; Qiu, F.B.; Lu, W.Q.; Dai, Y.G.; Rao, X.S.; Li, W.J.; Zhang, G.K.; Chen, J.; et al. A better overall survival (OS) for total (ipsilateral) retroperitoneal lipectomy than standard complete resection in patients with retroperitoneal liposarcoma: A comparative multi-institutional study. Ann. Transl. Med. 2022, 10, 785. [Google Scholar] [CrossRef]
- Mariño-Enríquez, A.; Hornick, J.L.; Dal Cin, P.; Cibas, E.S.; Qian, X. Dedifferentiated liposarcoma and pleomorphic liposarcoma: A comparative study of cytomorphology and MDM2/CDK4 expression on fine-needle aspiration. Cancer Cytopathol. 2014, 122, 128–137. [Google Scholar] [CrossRef]
- Dickson, M.A.; Schwartz, G.K.; Keohan, M.L.; D’Angelo, S.P.; Gounder, M.M.; Chi, P.; Antonescu, C.R.; Landa, J.; Qin, L.X.; Crago, A.M.; et al. Progression-free survival among patients with well-differentiated or dedifferentiated liposarcoma treated with CDK4 inhibitor palbociclib: A phase 2 clinical trial. JAMA Oncol. 2016, 2, 937–940. [Google Scholar] [CrossRef] [PubMed]
- Dei Tos, A.P. Liposarcomas: Diagnostic pitfalls and new insights. Histopathology 2014, 64, 38–52. [Google Scholar] [CrossRef] [PubMed]
- Baheti, A.D.; O’Malley, R.B.; Kim, S.; Keraliya, A.R.; Tirumani, S.H.; Ramaiya, N.H.; Wang, C.L. Soft-tissue sarcomas: An update for radiologists based on the revised 2013 World Health Organization classification. AJR Am. J. Roentgenol. 2016, 206, 924–932. [Google Scholar] [CrossRef] [PubMed]
- Tirumani, S.H.; Wagner, A.J.; Tirumani, H.; Shinagare, A.B.; Jagannathan, J.P.; Hornick, J.L.; George, S.; Ramaiya, N.H. Is the nonlipomatous component of dedifferentiated liposarcoma always soft tissue on CT? Analysis of CT densities and correlation with rate of growth in 60 patients. Abdom. Imaging 2015, 40, 1248–1254. [Google Scholar] [CrossRef]
- Gronchi, A.; Miah, A.B.; Dei Tos, A.P.; Abecassis, N.; Bajpai, J.; Bauer, S.; Biagini, R.; Bielack, S.; Blay, J.Y.; Bolle, S.; et al. Soft tissue and visceral sarcomas: ESMO-EURACAN-GENTURIS Clinical Practice Guidelines for diagnosis, treatment and follow-up. Ann. Oncol. 2021, 32, 1348–1365. [Google Scholar] [CrossRef]
- Metser, U.; Kulanthaivelu, R.; Salawu, A.; Razak, A.; Mak, V.; Li, X.; Langer, D.L.; MacCrostie, P.; Singunkar, A. [18F]FDG PET/CT in the initial staging and restaging of soft-tissue or bone sarcoma in patients with negative or equivocal findings for metastases or limited recurrence on conventional work-up: Results of a prospective multicenter registry. J. Nucl. Med. 2023, 64, 1371–1377. [Google Scholar] [CrossRef]
- Benz, M.R.; Czernin, J.; Allen-Auerbach, M.S.; Tap, W.D.; Dry, S.M.; Elashoff, D.; Chow, K.; Evilevitch, V.; Eckardt, J.J.; Phelps, M.E.; et al. FDG-PET/CT imaging predicts histopathologic treatment responses after the initial cycle of neoadjuvant chemotherapy in high-grade soft-tissue sarcomas. Clin. Cancer Res. 2009, 15, 2856–2863. [Google Scholar] [CrossRef]
- Gronchi, A.; Colombo, C.; Raut, C.P. Surgical management of localized soft tissue tumors. Cancer 2014, 120, 2638–2648. [Google Scholar] [CrossRef]
- Swallow, C.J.; Strauss, D.C.; Bonvalot, S.; Rutkowski, P.; Desai, A.; Gladdy, R.A.; Gonzalez, R.; Gyorki, D.E.; Fairweather, M.; van Houdt, W.J.; et al. Management of primary retroperitoneal sarcoma (RPS) in the adult: An updated consensus approach from the Transatlantic Australasian RPS Working Group. Ann. Surg. Oncol. 2021, 28, 7873–7888. [Google Scholar] [CrossRef]
- Gronchi, A.; Miceli, R.; Colombo, C.; Stacchiotti, S.; Collini, P.; Mariani, L.; Sangalli, C.; Radaelli, S.; Sanfilippo, R.; Fiore, M.; et al. Frontline extended surgery is associated with improved survival in retroperitoneal low- to intermediate-grade soft tissue sarcomas. Ann. Oncol. 2012, 23, 1067–1073. [Google Scholar] [CrossRef]
- Gronchi, A.; Lo Vullo, S.; Fiore, M.; Mussi, C.; Stacchiotti, S.; Collini, P.; Lozza, L.; Pennacchioli, E.; Mariani, L.; Casali, P.G. Aggressive surgical policies in a retrospectively reviewed single-institution case series of retroperitoneal soft tissue sarcoma patients. J. Clin. Oncol. 2009, 27, 24–30. [Google Scholar] [CrossRef] [PubMed]
- Bonvalot, S.; Rivoire, M.; Castaing, M.; Stoeckle, E.; Le Cesne, A.; Blay, J.Y.; Laplanche, A. Primary retroperitoneal sarcomas: A multivariate analysis of surgical factors associated with local control. J. Clin. Oncol. 2009, 27, 31–37. [Google Scholar] [CrossRef] [PubMed]
- Ravi, V.; Patel, S.; Benjamin, R.S. Chemotherapy for soft-tissue sarcomas. Oncology 2015, 29, 43–50. [Google Scholar] [PubMed]
- Maki, R.G.; Wathen, J.K.; Patel, S.R.; Priebat, D.A.; Okuno, S.H.; Samuels, B.; Fanucchi, M.; Harmon, D.C.; Schuetze, S.M.; Reinke, D.; et al. Randomized phase II study of gemcitabine and docetaxel compared with gemcitabine alone in patients with metastatic soft tissue sarcomas: Results of sarcoma alliance for research through collaboration study 002 [corrected]. J. Clin. Oncol. 2007, 25, 2755–2763. [Google Scholar] [CrossRef] [PubMed]
- Thirasastr, P.; Lin, H.; Amini, B.; Wang, W.L.; Cloutier, J.M.; Nassif, E.F.; Keung, E.Z.; Roland, C.L.; Feig, B.; Araujo, D.; et al. Retrospective evaluation of the role of gemcitabine-docetaxel in well-differentiated and dedifferentiated liposarcoma. Cancer Med. 2023, 12, 4282–4293. [Google Scholar] [CrossRef]
- HALAVEN (Eribulin Mesylate). Prescribing Information. 2022. Available online: https://www.halaven.com/-/media/Files/Halaven/HALAVEN-Full-Prescribing-Information.pdf (accessed on 29 October 2024).
- YONDELIS (Trabectedin). Prescribing Information. 2020. Available online: https://www.janssenlabels.com/package-insert/product-monograph/prescribing-information/YONDELIS-pi.pdf (accessed on 29 October 2024).
- Scapa, J.V.; Cloutier, J.M.; Raghavan, S.S.; Peters-Schulze, G.; Varma, S.; Charville, G.W. DDIT3 immunohistochemistry is a useful tool for the diagnosis of myxoid liposarcoma. Am. J. Surg. Pathol. 2021, 45, 230–239. [Google Scholar] [CrossRef]
- Lemeur, M.; Mattei, J.C.; Souteyrand, P.; Chagnaud, C.; Curvale, G.; Rochwerger, A. Prognostic factors for the recurrence of myxoid liposarcoma: 20 cases with up to 8 years follow-up. Orthop. Traumatol. Surg. Res. 2015, 101, 103–107. [Google Scholar] [CrossRef]
- Pollack, S.M.; Jungbluth, A.A.; Hoch, B.L.; Farrar, E.A.; Bleakley, M.; Schneider, D.J.; Loggers, E.T.; Rodler, E.; Eary, J.F.; Conrad, E.U., 3rd; et al. NY-ESO-1 is a ubiquitous immunotherapeutic target antigen for patients with myxoid/round cell liposarcoma. Cancer 2012, 118, 4564–4570. [Google Scholar] [CrossRef]
- Thomas, R.; Al-Khadairi, G.; Roelands, J.; Hendrickx, W.; Dermime, S.; Bedognetti, D.; Decock, J. NY-ESO-1 based immunotherapy of cancer: Current perspectives. Front. Immunol. 2018, 9, 947. [Google Scholar] [CrossRef]
- Kakimoto, T.; Matsumine, A.; Kageyama, S.; Asanuma, K.; Matsubara, T.; Nakamura, T.; Iino, T.; Ikeda, H.; Shiku, H.; Sudo, A. Immunohistochemical expression and clinicopathological assessment of the cancer testis antigens NY-ESO-1 and MAGE-A4 in high-grade soft-tissue sarcoma. Oncol. Lett. 2019, 17, 3937–3943. [Google Scholar] [CrossRef]
- Noble, J.L.; Moskovic, E.; Fisher, C.; Judson, I. Imaging of skeletal metastases in myxoid liposarcoma. Sarcoma 2010, 2010, 262361. [Google Scholar] [CrossRef] [PubMed]
- Schwab, J.H.; Boland, P.; Guo, T.; Brennan, M.F.; Singer, S.; Healey, J.H.; Antonescu, C.R. Skeletal metastases in myxoid liposarcoma: An unusual pattern of distant spread. Ann. Surg. Oncol. 2007, 14, 1507–1514. [Google Scholar] [CrossRef] [PubMed]
- Löwenthal, D.; Zeile, M.; Niederhagen, M.; Fehlberg, S.; Schnapauff, D.; Pink, D.; Tunn, P.U.; Reichardt, P.; Hamm, B.; Dudeck, O. Differentiation of myxoid liposarcoma by magnetic resonance imaging: A histopathologic correlation. Acta Radiol. 2014, 55, 952–960. [Google Scholar] [CrossRef] [PubMed]
- Homsy, P.; Bohling, T.; Seitsonen, A.; Sampo, M.; Tukiainen, E.; Blomqvist, C. Patterns of metastatic recurrence of genetically confirmed myxoid liposarcoma. Ann. Surg. Oncol. 2023, 30, 4489–4497. [Google Scholar] [CrossRef] [PubMed]
- Katz, D.; Boonsirikamchai, P.; Choi, H.; Lazar, A.J.; Wang, W.L.; Xiao, L.; Park, M.S.; Ravi, V.; Benjamin, R.S.; Araujo, D.M. Efficacy of first-line doxorubicin and ifosfamide in myxoid liposarcoma. Clin. Sarcoma Res. 2012, 2, 2. [Google Scholar] [CrossRef] [PubMed]
- Grosso, F.; Sanfilippo, R.; Virdis, E.; Piovesan, C.; Collini, P.; Dileo, P.; Morosi, C.; Tercero, J.C.; Jimeno, J.; D’Incalci, M.; et al. Trabectedin in myxoid liposarcomas (MLS): A long-term analysis of a single-institution series. Ann. Oncol. 2009, 20, 1439–1444. [Google Scholar] [CrossRef]
- Nassif, E.F.; Keung, E.Z.; Thirasastr, P.; Somaiah, N. Myxoid liposarcomas: Systemic treatment options. Curr. Treat. Options Oncol. 2023, 24, 274–291. [Google Scholar] [CrossRef]
- Pollack, S.M.; Somaiah, N.; Araujo, D.M.; Druta, M.; Van Tine, B.A.; Burgess, M.A.; Chawla, S.P.; Seetharam, M.; Okuno, S.H.; Bohac, C.; et al. Clinical outcomes of patients with advanced synovial sarcoma or myxoid/round cell liposarcoma treated at major cancer centers in the United States. Cancer Med. 2020, 9, 4593–4602. [Google Scholar] [CrossRef]
- Mahalingam, P.; Julve, M.; Huang, P.; Furness, A.J.S.; Pollack, S.M.; Jones, R.L. Immunotherapy of sarcomas with modified T cells. Curr. Opin. Oncol. 2022, 34, 362–370. [Google Scholar] [CrossRef]
- Ghadimi, M.P.; Liu, P.; Peng, T.; Bolshakov, S.; Young, E.D.; Torres, K.E.; Colombo, C.; Hoffman, A.; Broccoli, D.; Hornick, J.L.; et al. Pleomorphic liposarcoma: Clinical observations and molecular variables. Cancer 2011, 117, 5359–5369. [Google Scholar] [CrossRef]
- Wang, L.; Luo, R.; Xiong, Z.; Xu, J.; Fang, D. Pleomorphic liposarcoma: An analysis of 6 case reports and literature review. Medicine 2018, 97, e9986. [Google Scholar] [CrossRef] [PubMed]
- Wan, L.; Tu, C.; Qi, L.; Li, Z. Survivorship and prognostic factors for pleomorphic liposarcoma: A population-based study. J. Orthop. Surg. Res. 2021, 16, 175. [Google Scholar] [CrossRef] [PubMed]
- Dermawan, J.K.; Hwang, S.; Wexler, L.; Tap, W.D.; Singer, S.; Vanderbilt, C.M.; Antonescu, C.R. Myxoid pleomorphic liposarcoma is distinguished from other liposarcomas by widespread loss of heterozygosity and significantly worse overall survival: A genomic and clinicopathologic study. Mod. Pathol. 2022, 35, 1644–1655. [Google Scholar] [CrossRef] [PubMed]
- Italiano, A.; Garbay, D.; Cioffi, A.; Maki, R.G.; Bui, B. Advanced pleomorphic liposarcomas: Clinical outcome and impact of chemotherapy. Ann. Oncol. 2012, 23, 2205–2206. [Google Scholar] [CrossRef] [PubMed]
| Subtype | Well-Differentiated Liposarcoma (WDLS) | Dedifferentiated Liposarcoma (DDLS) | Myxoid Liposarcoma (MLS) | Pleomorphic Liposarcoma (PLS) |
|---|---|---|---|---|
| Prevalence (%) | 40–45 | 20 | 20–30 | 5–8 |
| Age of peak incidence | Middle-aged and older adults | Middle-aged and older adults, and rare occurrences in children and adolescents | Young to middle-aged adults, children, and adolescents | Middle-aged and older adults |
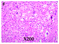
| Morphology | Composed of lobules of mature adipocytes that vary in size and are subcompartmentalized by thick, irregular fibrous bands | Broad morphologic spectrum. Spindle cell and pleomorphic patterns, inflammatory, giant cell, round cell, or meningothelial-like patterns | Extremely hypocellular, featuring a bland spindle cell proliferation set in an abundant myxoid background. Lipoblasts are most often monovacuolated and cluster around vessels or at the periphery of the lesion. Presence of a thin-walled, capillary-sized vascular network, organized in a distinctive plexiform pattern. High-grade MLS is defined by the presence of hypercellular areas | Presence of lipoblasts |
| Imaging | MRI or CT with intravenous contrast of intra-abdominal or retroperitoneal sites | Consider PET/CT for retroperitoneal/intra-abdominal sites to help differentiate WDLS and DDLS and to determine site for biopsy [9] | MRI of total spine and whole body; MRI or CT with intravenous contrast of abdominal/pelvic sites | MRI or CT with intravenous contrast of intra-abdominal, pelvic, or retroperitoneal sites; CT with contrast of lung |
| Genomic | 12q13-15 amplification | 12q14-15 amplification with other chromosomal abnormalities (particularly coamplifications of 6q23 and 1p32) | t(12;16)(q13;p11) with FUS-DDIT3 fusion | Deletion of 13q14.2-5 (containing RB1), mutation or loss of TP53, loss of NF1 |
| Histologic appearances Hematoxylin and eosin stain Arrows indicate small lipoblasts with nuclear indentation and vacuolated cytoplasm | ![]() | ![]() | ![]() | ![]() |
| Subtype † | First Line | Second Line | Third Line | Fourth Line | Fifth Line |
|---|---|---|---|---|---|
| Dedifferentiated | Doxo + ifos ‡ | Gem + doce | Trabectedin | High-dose ifos § | Eribulin |
| Myxoid | Doxo + ifos ‡ | Trabectedin | High-dose ifos | Eribulin | |
| Pleomorphic | Doxo + ifos ‡ | Gem + doce | Trabectedin | High-dose ifos | Eribulin |
Disclaimer/Publisher’s Note: The statements, opinions and data contained in all publications are solely those of the individual author(s) and contributor(s) and not of MDPI and/or the editor(s). MDPI and/or the editor(s) disclaim responsibility for any injury to people or property resulting from any ideas, methods, instructions or products referred to in the content. |
© 2024 by the authors. Licensee MDPI, Basel, Switzerland. This article is an open access article distributed under the terms and conditions of the Creative Commons Attribution (CC BY) license (https://creativecommons.org/licenses/by/4.0/).
Share and Cite
Jonczak, E.; Grossman, J.; Alessandrino, F.; Seldon Taswell, C.; Velez-Torres, J.M.; Trent, J. Liposarcoma: A Journey into a Rare Tumor’s Epidemiology, Diagnosis, Pathophysiology, and Limitations of Current Therapies. Cancers 2024, 16, 3858. https://doi.org/10.3390/cancers16223858
Jonczak E, Grossman J, Alessandrino F, Seldon Taswell C, Velez-Torres JM, Trent J. Liposarcoma: A Journey into a Rare Tumor’s Epidemiology, Diagnosis, Pathophysiology, and Limitations of Current Therapies. Cancers. 2024; 16(22):3858. https://doi.org/10.3390/cancers16223858
Chicago/Turabian StyleJonczak, Emily, Julie Grossman, Francesco Alessandrino, Crystal Seldon Taswell, Jaylou M. Velez-Torres, and Jonathan Trent. 2024. "Liposarcoma: A Journey into a Rare Tumor’s Epidemiology, Diagnosis, Pathophysiology, and Limitations of Current Therapies" Cancers 16, no. 22: 3858. https://doi.org/10.3390/cancers16223858
APA StyleJonczak, E., Grossman, J., Alessandrino, F., Seldon Taswell, C., Velez-Torres, J. M., & Trent, J. (2024). Liposarcoma: A Journey into a Rare Tumor’s Epidemiology, Diagnosis, Pathophysiology, and Limitations of Current Therapies. Cancers, 16(22), 3858. https://doi.org/10.3390/cancers16223858





