Recent Advances in Machine Learning Methods for Medical Imaging Analysis
A special issue of Mathematics (ISSN 2227-7390). This special issue belongs to the section "E1: Mathematics and Computer Science".
Deadline for manuscript submissions: 28 February 2026 | Viewed by 567
Special Issue Editors
Interests: computer vision; medical image processing; machine learning; deep learning; human–computer interaction
Interests: biomedical signals; images processing
Special Issues, Collections and Topics in MDPI journals
Special Issue Information
Dear Colleagues,
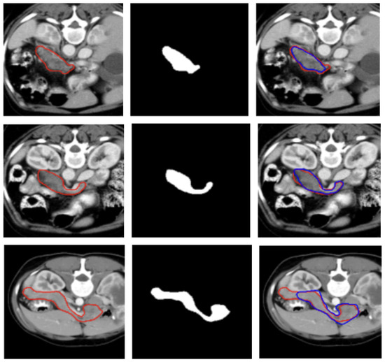
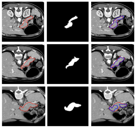
Machine learning, especially deep learning, has become prevalent in medical imaging analysis to assist in the detection, diagnosis, and treatment of various diseases. Despite the success of deep learning in medical imaging analysis, the main bottleneck in medical imaging analysis is the lack of large-sized and properly annotated datasets, which are very costly to establish. Recently, many studies have attempted to use various mathematical models to improve deep learning to address this challenge. In particular, semi-supervised, self-supervised, and unsupervised deep learning algorithms have showed promising results in medical imaging analyses, including image registration, detection, classification, and segmentation. Papers focused on using novel machine learning algorithms to solve problems in medical imaging analysis are welcome to be submitted to this Special Issue.
Dr. Xiaopeng Yang
Dr. Danila Germanese
Guest Editors
Manuscript Submission Information
Manuscripts should be submitted online at www.mdpi.com by registering and logging in to this website. Once you are registered, click here to go to the submission form. Manuscripts can be submitted until the deadline. All submissions that pass pre-check are peer-reviewed. Accepted papers will be published continuously in the journal (as soon as accepted) and will be listed together on the special issue website. Research articles, review articles as well as short communications are invited. For planned papers, a title and short abstract (about 250 words) can be sent to the Editorial Office for assessment.
Submitted manuscripts should not have been published previously, nor be under consideration for publication elsewhere (except conference proceedings papers). All manuscripts are thoroughly refereed through a single-blind peer-review process. A guide for authors and other relevant information for submission of manuscripts is available on the Instructions for Authors page. Mathematics is an international peer-reviewed open access semimonthly journal published by MDPI.
Please visit the Instructions for Authors page before submitting a manuscript. The Article Processing Charge (APC) for publication in this open access journal is 2600 CHF (Swiss Francs). Submitted papers should be well formatted and use good English. Authors may use MDPI's English editing service prior to publication or during author revisions.
Keywords
- machine learning
- medical imaging analysis
- computer vision
- deep learning
- supervised learning
- unsupervised learning
- self-supervised learning
- semi-supervised learning
- classification
- segmentation
- registration
- detection
- attention
- vision transformer
Benefits of Publishing in a Special Issue
- Ease of navigation: Grouping papers by topic helps scholars navigate broad scope journals more efficiently.
- Greater discoverability: Special Issues support the reach and impact of scientific research. Articles in Special Issues are more discoverable and cited more frequently.
- Expansion of research network: Special Issues facilitate connections among authors, fostering scientific collaborations.
- External promotion: Articles in Special Issues are often promoted through the journal's social media, increasing their visibility.
- Reprint: MDPI Books provides the opportunity to republish successful Special Issues in book format, both online and in print.
Further information on MDPI's Special Issue policies can be found here.
