Nanoencapsulated Cannabidiol–Cannabigerol Using Eudragit L100: In Vitro and In Vivo Evidence in Murine Colitis Model
Abstract
1. Introduction
2. Results
2.1. Characteristics of Nanoparticles
2.2. Cytotoxic Activity
2.2.1. Effect of CBD, CBG, and Formulations on Caco-2 Cell Activity
2.2.2. Effect of TNBS and CBD:CBG-EuNPs on Caco-2 Cell Activity
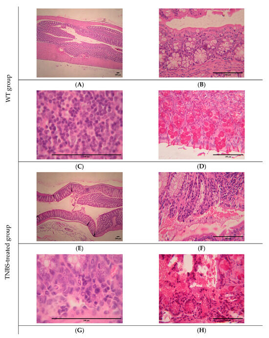
2.3. TNBS-Induced Murine Model of Colitis
2.4. Analysis of mRNA Expression in Colonic Tissue
3. Discussion
4. Materials and Methods
4.1. Materials and Reagents
4.2. Culture Cells
4.3. Development of Formulations
4.3.1. Eudragit L100 Formulations
4.3.2. Characterization
4.4. Biological Activity
4.4.1. Cell Activity Assay
4.4.2. In Vitro Colitis Model
4.4.3. In Vivo Model
Euthanasia and Sample Collection
Histological Analysis
4.5. Statistical Analysis
5. Conclusions
Supplementary Materials
Author Contributions
Funding
Institutional Review Board Statement
Informed Consent Statement
Data Availability Statement
Acknowledgments
Conflicts of Interest
Abbreviations
| µM | Micromol |
| µg | Microgram |
| % | Percent |
| h | Hour |
| CBD | Cannabidiol |
| CBG | Cannabigerol |
| DMSO | Dimethylsulfoxide |
| EE | Encapsulation efficiency |
| Eu | Eudragit |
| IC50 | Mean inhibitory concentration |
| PDI | Polydispersity index |
| NPs | Nanoparticles |
| NDS | Nanodelivery Systems |
| ND | Not determined |
| nm | Nanometers |
| THC | Tetrahydrocannabinol |
| TNBS | 2,4,6-Trinitrobenzenesulfonic acid |
| LV | Live weight |
| PEG | Polyethylene glycol |
| mm | Milimeter |
| mg | Miligram |
| Kg | Kilogram |
| MTT | 3-(4,5-dimethylthiazol-2-yl)-2,5-diphenyltetrazolium bromide |
| g | Gram |
| w/v | Weight/volume |
| OD | Optical densities |
| PAS | Periodic Acid-Schiff |
| H&E | Hematoxilyn & Eosine |
| IBD | Inflammable Bowel Disease |
| ± | Standard deviation of the mean |
References
- Saez, A.; Herrero-Fernandez, B.; Gomez-Bris, R.; Sánchez-Martinez, H.; Gonzalez-Granado, J.M. Pathophysiology of Inflammatory Bowel Disease: Innate Immune System. Int. J. Mol. Sci. 2023, 24, 1526. [Google Scholar] [CrossRef]
- Lu, Q.; Yang, M.F.; Liang, Y.J.; Xu, J.; Xu, H.M.; Nie, Y.Q.; Wang, L.S.; Yao, J.; Li, D.F. Immunology of Inflammatory Bowel Disease: Molecular Mechanisms and Therapeutics. J. Inflamm. Res. 2022, 15, 1825–1844. [Google Scholar] [CrossRef]
- Seyedian, S.S.; Nokhostin, F.; Malamir, M.D. A Review of the Diagnosis, Prevention, and Treatment Methods of Inflammatory Bowel Disease. J. Med. Life 2019, 12, 113–122. [Google Scholar] [CrossRef] [PubMed]
- Yamamoto-Furusho, J.K.; Bosques-Padilla, F.; de-Paula, J.; Galiano, M.T.; Ibañez, P.; Juliao, F.; Kotze, P.G.; Rocha, J.L.; Steinwurz, F.; Veitia, G.; et al. Diagnosis and Treatment of Inflammatory Bowel Disease: First Latin American Consensus of the Pan American Crohn’s and Colitis Organisation. Rev. Gastroenterol. México (Engl. Ed.) 2017, 82, 46–84. [Google Scholar] [CrossRef]
- Cai, Z.; Wang, S.; Li, J. Treatment of Inflammatory Bowel Disease: A Comprehensive Review. Front. Med. 2021, 8, 765474. [Google Scholar] [CrossRef]
- Lian, J.; Casari, I.; Falasca, M. Modulatory Role of the Endocannabinoidome in the Pathophysiology of the Gastrointestinal Tract. Pharmacol. Res. 2022, 175, 106025. [Google Scholar] [CrossRef] [PubMed]
- Martínez, V.; Iriondo De-Hond, A.; Borrelli, F.; Capasso, R.; Del Castillo, M.D.; Abalo, R. Cannabidiol and Other Non-Psychoactive Cannabinoids for Prevention and Treatment of Gastrointestinal Disorders: Useful Nutraceuticals? Int. J. Mol. Sci. 2020, 21, 3067. [Google Scholar] [CrossRef]
- Kim, J.H.; Hong, M.; Han, J.H.; Ryu, B.R.; Lim, J.D.; Kim, K.C.; Kim, C.H.; Lee, S.U.; Kwon, T.H. Cannabigerol Exerts In Vivo and In Vitro Anti-Inflammatory Effects via Inhibition of the MAPK and NF-ΚB Pathways. J. Microbiol. Biotechnol. 2025, 35, e2509034. [Google Scholar] [CrossRef] [PubMed]
- Godbole, S.S.; Sun, D.; Coates, M.D.; Himmelberger, V.J.; Roopchand, D.E.; Raup-Konsavage, W.M. Orally Administered CBD/CBG Hemp Extract Reduces Severity of Ulcerative Colitis and Pain in a Murine Model. J. Clin. Med. 2025, 14, 6095. [Google Scholar] [CrossRef]
- Nduma, B.N.; Mofor, K.A.; Tatang, J.; Ekhator, C.; Ambe, S.; Fonkem, E. The Use of Cannabinoids in the Treatment of Inflammatory Bowel Disease (IBD): A Review of the Literature. Cureus 2023, 15, e36148. [Google Scholar] [CrossRef]
- Cocetta, V.; Governa, P.; Borgonetti, V.; Tinazzi, M.; Peron, G.; Catanzaro, D.; Berretta, M.; Biagi, M.; Manetti, F.; Dall’Acqua, S.; et al. Cannabidiol Isolated From Cannabis sativa L. Protects Intestinal Barrier From In Vitro Inflammation and Oxidative Stress. Front. Pharmacol. 2021, 12, 641210. [Google Scholar] [CrossRef]
- Morales, P.; Hurst, D.P.; Reggio, P.H. Molecular Targets of the Phytocannabinoids: A Complex Picture. Prog. Chem. Org. Nat. Prod. 2017, 103, 103–131. [Google Scholar] [CrossRef]
- Grill, M.; Hasenoehrl, C.; Storr, M.; Schicho, R. Medical Cannabis and Cannabinoids: An Option for the Treatment of Inflammatory Bowel Disease and Cancer of the Colon? Med. Cannabis Cannabinoids 2018, 1, 28–35. [Google Scholar] [CrossRef]
- Iffland, K.; Grotenhermen, F. An Update on Safety and Side Effects of Cannabidiol: A Review of Clinical Data and Relevant Animal Studies. Cannabis Cannabinoid Res. 2017, 2, 139–154. [Google Scholar] [CrossRef]
- Brierley, D.I.; Samuels, J.; Duncan, M.; Whalley, B.J.; Williams, C.M. Cannabigerol Is a Novel, Well-Tolerated Appetite Stimulant in Pre-Satiated Rats. Psychopharmacology 2016, 233, 3603–3613. [Google Scholar] [CrossRef]
- Reddy, T.S.; Zomer, R.; Mantri, N. Nanoformulations as a Strategy to Overcome the Delivery Limitations of Cannabinoids. Phytother. Res. 2023, 37, 1526–1538. [Google Scholar] [CrossRef] [PubMed]
- Grifoni, L.; Vanti, G.; Donato, R.; Sacco, C.; Bilia, A.R. Promising Nanocarriers to Enhance Solubility and Bioavailability of Cannabidiol for a Plethora of Therapeutic Opportunities. Molecules 2022, 27, 6070. [Google Scholar] [CrossRef] [PubMed]
- Kok, L.Y.; Bannigan, P.; Sanaee, F.; Evans, J.C.; Dunne, M.; Regenold, M.; Ahmed, L.; Dubins, D.; Allen, C. Development and Pharmacokinetic Evaluation of a Self-Nanoemulsifying Drug Delivery System for the Oral Delivery of Cannabidiol. Eur. J. Pharm. Sci. 2022, 168, 106058. [Google Scholar] [CrossRef] [PubMed]
- Mahdi, H.J. Eudragit L-100 for Enteric Coating of Hard Gelatine Capsules: Formulation and Evaluation. Issues Biol. Sci. Pharm. Res. 2015, 3, 14–20. [Google Scholar]
- Gunawan, M.; Ramadon, D.; Putri, K.S.S.; Iswandana, R. Considerations in Excipient Selection for Colon-Targeted Dosage Forms. J. Appl. Pharm. Sci. 2025, 15, 63–85. [Google Scholar] [CrossRef]
- Andriotis, E.G.; Chachlioutaki, K.; Monou, P.K.; Bouropoulos, N.; Tzetzis, D.; Barmpalexis, P.; Chang, M.W.; Ahmad, Z.; Fatouros, D.G. Development of Water-Soluble Electrospun Fibers for the Oral Delivery of Cannabinoids. AAPS PharmSciTech 2021, 22, 23. [Google Scholar] [CrossRef]
- Danaei, M.; Dehghankhold, M.; Ataei, S.; Hasanzadeh Davarani, F.; Javanmard, R.; Dokhani, A.; Khorasani, S.; Mozafari, M.R. Impact of Particle Size and Polydispersity Index on the Clinical Applications of Lipidic Nanocarrier Systems. Pharmaceutics 2018, 10, 57. [Google Scholar] [CrossRef]
- Wallace, S.J.; Li, J.; Nation, R.L.; Boyd, B.J. Drug Release from Nanomedicines: Selection of Appropriate Encapsulation and Release Methodology. Drug Deliv. Transl. Res. 2012, 2, 284–292. [Google Scholar] [CrossRef] [PubMed]
- Ghasemi, M.; Turnbull, T.; Sebastian, S.; Kempson, I. The Mtt Assay: Utility, Limitations, Pitfalls, and Interpretation in Bulk and Single-Cell Analysis. Int. J. Mol. Sci. 2021, 22, 12827. [Google Scholar] [CrossRef]
- Rožanc, J.; Kotnik, P.; Milojević, M.; Gradišnik, L.; Hrnčič, M.K.; Knez, Ž.; Maver, U. Different Cannabis sativa Extraction Methods Result in Different Biological Activities against a Colon Cancer Cell Line and Healthy Colon Cells. Plants 2021, 10, 566. [Google Scholar] [CrossRef]
- Alcantara, K.P.; Malabanan, J.W.T.; Nalinratana, N.; Thitikornpong, W.; Rojsitthisak, P.; Rojsitthisak, P. Cannabidiol-Loaded Solid Lipid Nanoparticles Ameliorate the Inhibition of Proinflammatory Cytokines and Free Radicals in an In Vitro Inflammation-Induced Cell Model. Int. J. Mol. Sci. 2024, 25, 4744. [Google Scholar] [CrossRef]
- Zhang, X.; Gao, X.; Yi, X.; Yu, H.; Shao, M.; Li, Y.; Shen, X. Multi-Targeting Inulin-Based Nanoparticles with Cannabidiol for Effective Prevention of Ulcerative Colitis. Mater. Today Bio. 2024, 25, 100965. [Google Scholar] [CrossRef]
- Navarro, L.M.; Cala, C.M.C.; González, M.D.H.; Fuentes, J.Á.; Banderas, L.M. Development of Selective Cannabinoid Nanoparticles to Target the Atheroma Plaque. Rev. Española Ciencias Farm. 2021, 2, 79–80. [Google Scholar]
- Elizondo-Luevano, J.H.; Castro-Ríos, R.; Parra-Saldívar, R.; Larqué-García, H.; Garza-Tapia, M.; Melchor-Martínez, E.M.; Chávez-Montes, A. Influence of the Polymer and Solvent Variables on the Nanoencapsulation of the Flavonoid Quercetin: Preliminary Study Based on Eudragit® Polymers. Appl. Sci. 2023, 13, 7816. [Google Scholar] [CrossRef]
- Chong-Cerda, R.; Levin, L.; Castro-Ríos, R.; Hernández-Luna, C.E.; González-Horta, A.; Gutiérrez-Soto, G.; Chávez-Montes, A. Nanoencapsulated Laccases Obtained by Double-Emulsion Technique. Effects on Enzyme Activity Ph-Dependence and Stability. Catalysts 2020, 9, 1085. [Google Scholar] [CrossRef]
- Rodríguez-Luis, O.; Verde-Star, J.; González-Horta, A.; Báez-González, G.; Castro-Ríos, R.; Sánchez-García, E.; Chávez-Montes, A. Preparation of Polymer Nanoparticles Loaded with Syzygium aromaticum Essential Oil: An Oral Potential Application. Bol. Latinoam. y del Caribe Plantas Med. y Aromat. 2020, 19, 65–76. [Google Scholar]
- Alvarez-Sandoval, J.; Guillen Melendez, G.A.; Pérez-Hernández, R.A.; Elizondo-Luevano, J.H.; Castro-Ríos, R.; Kačániová, M.; Montes de Oca-Saucedo, C.R.; Soto-Domínguez, A.; Chávez-Montes, A. Antiproliferative Effect of Methanolic Extract of Vernonia greggii (Asteraceae) on Human Tumoral HeLa Cells Nanoencapsulated into PLGA-Nanoparticles. Materials 2025, 18, 580. [Google Scholar] [CrossRef]
- Murugan, S.K.; Bethapudi, B.; Raghunandhakumar, S.; Purusothaman, D.; Nithyanantham, M.; Mundkinajeddu, D.; Talkad, M.S. A Flavonoid Rich Standardized Extract of Glycyrrhiza glabra Protects Intestinal Epithelial Barrier Function and Regulates the Tight-Junction Proteins Expression. BMC Complement. Med. Ther. 2022, 22, 38. [Google Scholar] [CrossRef]
- Mar-Solís, L.M.; Soto-Domínguez, A.; Rodríguez-Tovar, L.E.; Rodríguez-Rocha, H.; García-García, A.; Aguirre-Arzola, V.E.; Zamora-Ávila, D.E.; Garza-Arredondo, A.J.; Castillo-Velázquez, U. Analysis of the Anti-Inflammatory Capacity of Bone Broth in a Murine Model of Ulcerative Colitis. Medicina 2021, 57, 1138. [Google Scholar] [CrossRef]
- Schicho, R.; Storr, M. Topical and Systemic Cannabidiol Improves Trinitrobenzene Sulfonic Acid Colitis in Mice. Pharmacology 2012, 89, 149–155. [Google Scholar] [CrossRef] [PubMed]
- Zadini, F.; Newton, E.; Abdi, A.A.; Lenker, J.; Zadini, G.; Henderson, S.O. Use of the Trendelenburg Position in the Porcine Model Improves Carotid Flow during Cardiopulmonary Resuscitation. West. J. Emerg. Med. 2008, 9, 206–211. [Google Scholar] [PubMed]
- NOM-033-SAG/ZOO-2014; Methods for the Humane Killing of Domestic and Wild Animals. Secretaría de Agricultura, Ganadería, Desarrollo Rural, Pesca y Alimentación (SAGARPA): Mexico City, Mexico, 2014.





| Formulation | Average Size in nm | PDI | EE % |
|---|---|---|---|
| EuCBD | 50.60 ± 0.40 b | 0.189 ± 0.013 b | 94.30 ± 2.52 a |
| EuCBG | 41.81 ± 0.67 a | 0.121 ± 0.021 a | 98.73 ± 1.94 b |
| Blank-NPs | 50.64 ± 0.44 b | 0.191 ± 0.016 b | ND |
| Treatment | IC50 in µM ± SD |
|---|---|
| CBD | 24.53 ± 1.95 c |
| CBG | 42.63 ± 7.25 d |
| CBD:CBG (1:1) | 12.76 ± 0.43 a |
| EuCBD | 66.34 ± 5.03 f |
| EuCBG | 53.85 ± 3.56 e |
| EuNPs | 18.67 ± 0.54 b |
| Blank-NPs | ND |
| Groups | |
|---|---|
| 1 | WT |
| 2 | TNBS |
| 3 | TNBS + EuNPs ↓ |
| 4 | TNBS + EuNPs ↑ |
| 5 | TNBS + CBs ↓ |
| 6 | TNBS + CBs ↑ |
| 7 | TNBS + Blank-NPs |
| 8 | TNBS + Vehicle |
| 9 | Blank NPs |
Disclaimer/Publisher’s Note: The statements, opinions and data contained in all publications are solely those of the individual author(s) and contributor(s) and not of MDPI and/or the editor(s). MDPI and/or the editor(s) disclaim responsibility for any injury to people or property resulting from any ideas, methods, instructions or products referred to in the content. |
© 2026 by the authors. Licensee MDPI, Basel, Switzerland. This article is an open access article distributed under the terms and conditions of the Creative Commons Attribution (CC BY) license.
Share and Cite
Cárdenas-Noriega, K.A.; Elizondo-Luévano, J.H.; Chávez-Montes, A.; Rodríguez-Tovar, L.E.; Franco-Molina, M.A.; Zárate-Triviño, D.G.; Pérez-Hernández, R.A.; Soto-Domínguez, A.; Castillo-Velázquez, U. Nanoencapsulated Cannabidiol–Cannabigerol Using Eudragit L100: In Vitro and In Vivo Evidence in Murine Colitis Model. Drugs Drug Candidates 2026, 5, 10. https://doi.org/10.3390/ddc5010010
Cárdenas-Noriega KA, Elizondo-Luévano JH, Chávez-Montes A, Rodríguez-Tovar LE, Franco-Molina MA, Zárate-Triviño DG, Pérez-Hernández RA, Soto-Domínguez A, Castillo-Velázquez U. Nanoencapsulated Cannabidiol–Cannabigerol Using Eudragit L100: In Vitro and In Vivo Evidence in Murine Colitis Model. Drugs and Drug Candidates. 2026; 5(1):10. https://doi.org/10.3390/ddc5010010
Chicago/Turabian StyleCárdenas-Noriega, K. Antonio, Joel H. Elizondo-Luévano, Abelardo Chávez-Montes, Luis E. Rodríguez-Tovar, Moisés A. Franco-Molina, Diana G. Zárate-Triviño, Raymundo A. Pérez-Hernández, Adolfo Soto-Domínguez, and Uziel Castillo-Velázquez. 2026. "Nanoencapsulated Cannabidiol–Cannabigerol Using Eudragit L100: In Vitro and In Vivo Evidence in Murine Colitis Model" Drugs and Drug Candidates 5, no. 1: 10. https://doi.org/10.3390/ddc5010010
APA StyleCárdenas-Noriega, K. A., Elizondo-Luévano, J. H., Chávez-Montes, A., Rodríguez-Tovar, L. E., Franco-Molina, M. A., Zárate-Triviño, D. G., Pérez-Hernández, R. A., Soto-Domínguez, A., & Castillo-Velázquez, U. (2026). Nanoencapsulated Cannabidiol–Cannabigerol Using Eudragit L100: In Vitro and In Vivo Evidence in Murine Colitis Model. Drugs and Drug Candidates, 5(1), 10. https://doi.org/10.3390/ddc5010010

