Anatomical and Histological Analyses of Rare Pancake Kidney
Abstract
1. Introduction
2. Materials and Methods
2.1. Gross Anatomy
2.2. Histological Analysis
3. Results
3.1. Gross Anatomical Description
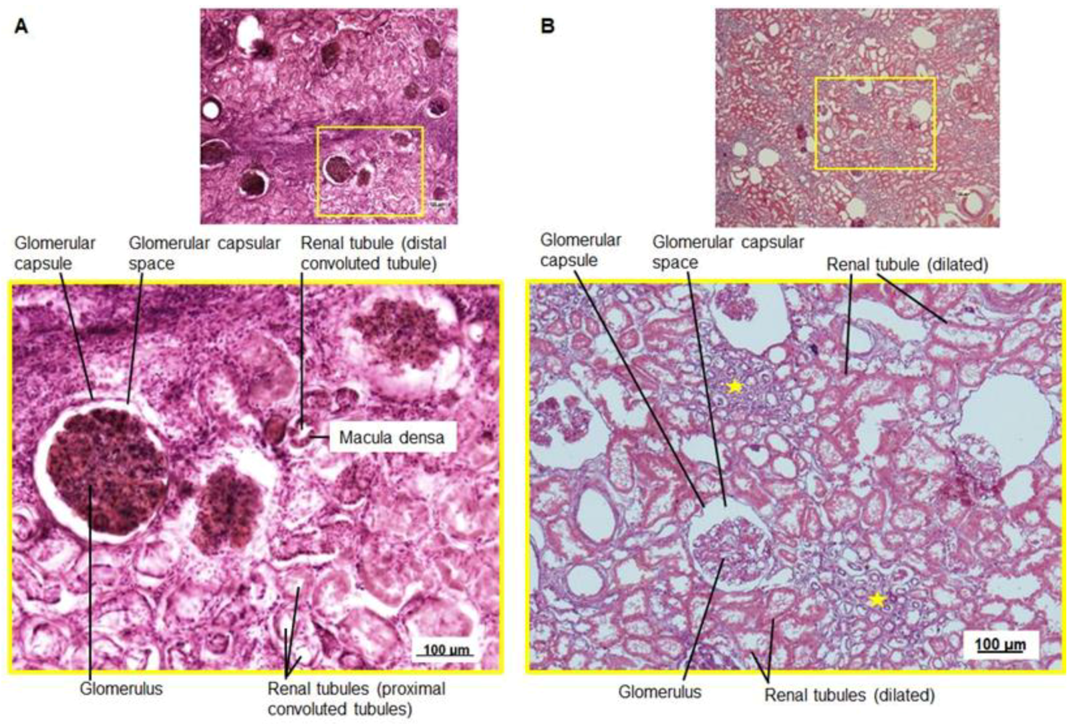
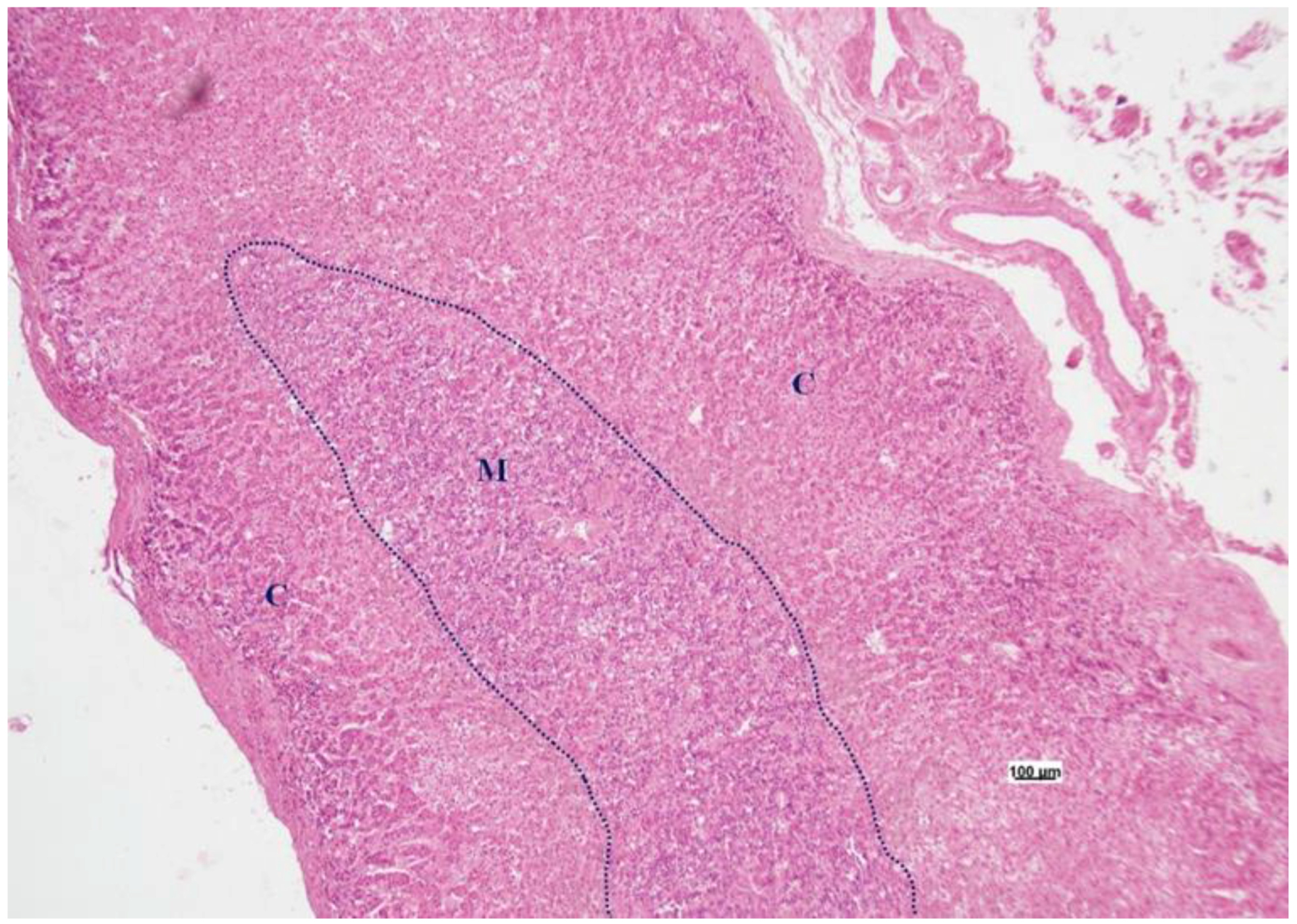
3.2. Histology
4. Discussion
5. Conclusions
Author Contributions
Funding
Institutional Review Board Statement
Informed Consent Statement
Data Availability Statement
Acknowledgments
Conflicts of Interest
References
- Rehman, S.; Ahmed, D. Embryology, kidney, bladder, and ureter. In StatPearls; StatPearls Publishing: Treasure Island, FL, USA, 2023. [Google Scholar] [PubMed]
- McBride, J.M. Embryology, anatomy, and histology of the kidney. In The Kidney: A Comprehensive Guide to Pathologic Diagnosis and Management; Hansel, D.E., Kane, C.J., Paner, G.P., Chang, S.S., Eds.; Springer: New York, NY, USA, 2016; pp. 1–18. [Google Scholar]
- dos Santos Junior, A.C.S.; de Miranda, D.M.; Simões e Silva, A.C. Congenital anomalies of the kidney and urinary tract: An embryogenetic review. Birth Defects Res. C Embryo Today 2014, 102, 374–381. [Google Scholar] [CrossRef] [PubMed]
- Jain, S. Kidney Development and Related Anomalies. In Pathobiology of Human Disease: A Dynamic Encyclopedia of Disease Mechanisms; Elsevier Inc.: Amsterdam, The Netherlands, 2014; pp. 2701–2715. [Google Scholar]
- Rosenblum, S.; Pal, A.; Reidy, K. Renal development in the fetus and premature infant. In Seminars in Fetal and Neonatal Medicine; WB Saunders: Philadelphia, PA, USA, 2017; Volume 22, pp. 58–66. [Google Scholar]
- Natsis, K.; Piagkou, M.; Skotsimara, A.; Protogerou, V.; Tsitouridis, I.; Skandalakis, P. Horseshoe kidney: A review of anatomy and pathology. Surg. Radiol. Anat. 2014, 36, 517–526. [Google Scholar] [CrossRef] [PubMed]
- Breshears, M.A.; Confer, A.W. The urinary system. In Pathologic Basis of Veterinary Disease; Elsevier: Amsterdam, The Netherlands, 2017; p. 643. [Google Scholar]
- Houat, A.P.; Guimarães, C.T.; Takahashi, M.S.; Rodi, G.P.; Gasparetto, T.P.; Blasbalg, R.; Velloni, F.G. Congenital anomalies of the upper urinary tract: A comprehensive review. Radiographics 2021, 41, 462–486. [Google Scholar] [CrossRef] [PubMed]
- Cinman, N.M.; Okeke, Z.; Smith, A.D. Pelvic kidney: Associated diseases and treatment. J. Endourol. 2007, 21, 836–842. [Google Scholar] [CrossRef]
- Prasanna, L.C.; Varma, A.; Thomas, H.R.; Dsouza, A.S. A rare case of lobulated complete renal fusion with multiple hila and vasculature. Turk. J. Urol. 2017, 43, 571. [Google Scholar]
- Akdogan, L.; Oguz, A.K.; Ergun, T.; Ergun, I. The Rarest of the Rare: Crossed Fused Renal Ectopia of the Superior Ectopia Type. Case Rep. Nephrol. 2015, 2015, 742419. [Google Scholar] [CrossRef] [PubMed]
- Rosenblum, N.D. Malformation of the Kidney: Structural and Functional Consequences. In Brenner and Rector’s The Kidney, 10th ed.; Skorecki, K., Chertow, G.M., Marsden, P.A., Taal, M.W., Yu, A.S., Eds.; Elsevier: Philadelphia, PA, USA, 2016; pp. 2294–2307. [Google Scholar]
- Eisendrath, D.N.; Phifer, F.M.; Culver, H.B. Horseshoe kidney. Ann. Surg. 1925, 82, 735. [Google Scholar] [CrossRef]
- Bingham, G.; Leslie, S.W. Pelvic kidney. In StatPearls; StatPearls Publishing: Treasure Island, FL, USA, 2023. [Google Scholar] [PubMed]
- Pasquali, M.; Sciascia, N.; D’Arcangelo Liviano, G.; La Manna, G.; Zompatori, M. Pancake kidney: When it is not a problem. BJR Case Rep. 2018, 4, 20170117. [Google Scholar] [CrossRef]
- Hermi, A.; Bibi, M.; Dali, K.M.; Alouane, H.H.; Rhouma, S.B.; Nouira, Y. A case report of non-functional ectopic left kidney obstructing the right kidney in crossed fused kidneys: A rare entity. Int. J. Surg. Case Rep. 2021, 86, 106321. [Google Scholar] [CrossRef]
- Melovitz-Vasan, C.; Varricchio, P.; Vasan, N. A rare instance of fused pelvic kidney without other associated congenital anomalies. Ital. J. Anat. Embryol. 2017, 122, 58–63. [Google Scholar]
- Loganathan, A.K.; Bal, H.S. Crossed fused renal ectopia in children: A review of clinical profile, surgical challenges, and outcome. J. Pediatr. Urol. 2019, 15, 315–321. [Google Scholar] [CrossRef] [PubMed]
- Looney, W.W.; Dodd, D.L. An ectopic (pelvic) completely fused (cake) kidney associated with various anomalies of the abdominal viscera. Ann. Surg. 1926, 84, 522. [Google Scholar] [PubMed]
- Lipshutz, B.; Hoffman, C. A contribution to the knowledge of fused kidneys. Ann. Surg. 1918, 68, 39. [Google Scholar] [CrossRef]
- Rodriguez, M.M. Congenital anomalies of the kidney and the urinary tract (CAKUT). Fetal Pediatr. Pathol. 2014, 33, 293–320. [Google Scholar] [CrossRef]
- Lomoro, P.; Simonetti, I.; Vinci, G.; Fichera, V.; Prevedoni Gorone, M.S. Pancake kidney, a rare and often misdiagnosed malformation: A case report and radiological differential diagnosis. J. Ultrasound 2019, 22, 207–213. [Google Scholar] [CrossRef] [PubMed]
- Glenn, J.F. Fused pelvic kidney. J. Urol. 1958, 80, 7–9. [Google Scholar] [CrossRef]
- Tiwari, A.K.; Choudhary, A.K.; Khowal, H.; Chaudhary, P.; Arora, M.P. Pancake kidney: A rare developmental anomaly. Can. Urol. Assoc. J. 2014, 8, E451. [Google Scholar]
- Martinez, V.J.; Chewaproug, D. Pancake kidney in a patient with chronic kidney disease: A unique presentation. Clin. Nephrol. 2022, 98, 256. [Google Scholar] [CrossRef]
- Bakshi, S. Incidentally detected pancake kidney: A case report. J. Med. Case Rep. 2020, 14, 129. [Google Scholar] [CrossRef]
- Singhal, P.M.; Vats, M.; Agarwal, M.; Neogi, S. Pancake kidney: An incidental finding in a young man. BMJ Case Rep. 2018, 2018, bcr2018226751. [Google Scholar] [CrossRef]
- Glodny, B.; Petersen, J.; Hofmann, K.J.; Schenk, C.; Herwig, R.; Trieb, T.; Koppelstaetter, C.; Steingruber, I.; Rehder, P. Kidney fusion anomalies revisited: Clinical and radiological analysis of 209 cases of crossed fused ectopia and horseshoe kidney. BJU Int. 2009, 103, 224–235. [Google Scholar] [CrossRef] [PubMed]
- Rao, T.R. Aberrant renal arteries and its clinical significance: A case report. Int. J. Anat. Var. 2011, 4, 37–39. [Google Scholar]
- VanderBrink, B.A.; Reddy, P.P. Anomalies of the upper urinary tract. In Peters CA. Campbell-Walsh-Wein Urology, 12th ed.; Partin, A.W., Dmochowski, R.R., Kavoussi, L.R., Peters, C.A., Wein, A.J., Eds.; Elsevier: Amsterdam, The Netherlands, 2020; pp. 1769–1780. [Google Scholar]
- Majmudar, A.; Cohen, H.L. “Lying-Down” Adrenal Sign: There Are Exceptions to the Rule Among Fetuses and Neonates. J. Ultrasound Med. 2017, 36, 2599–2603. [Google Scholar] [CrossRef]
- Wang, F.; Otsuka, T.; Takahashi, K.; Narui, C.; Colvin, D.C.; Harris, R.C.; Takahashi, T.; Gore, J.C. Renal tubular dilation and fibrosis after unilateral ureter obstruction revealed by relaxometry and spin-lock exchange MRI. NMR Biomed. 2021, 34, e4539. [Google Scholar] [CrossRef] [PubMed]
- National Institute of Diabetes and Digestive and Kidney Diseases. What Is Chronic Kidney Disease? Available online: https://www.niddk.nih.gov/health-information/kidney-disease/chronic-kidney-disease-ckd/what-is-chronic-kidney-disease (accessed on 15 June 2023).
- Carpio, E.M.; Ashworth, M.; Asgari, E.; Shaw, C.; Schartau, P.; Durbaba, S.; Nitsch, D.; Molokhia, M. Hypertension and cardiovascular risk factor management in a multi-ethnic cohort of adults with CKD: A cross sectional study in general practice. J. Nephrol. 2022, 35, 901–910. [Google Scholar] [CrossRef]
- Mitch, W.E. Cachexia in chronic kidney disease: A link to defective central nervous system control of appetite. J. Clin. Investig. 2005, 115, 1476–1478. [Google Scholar] [CrossRef][Green Version]
- Cheung, W.W.; Paik, K.H.; Mak, R.H. Inflammation and cachexia in chronic kidney disease. Pediatr. Nephrol. 2010, 25, 711–724. [Google Scholar] [CrossRef]
- Bugnicourt, J.M.; Godefroy, O.; Chillon, J.M.; Choukroun, G.; Massy, Z.A. Cognitive disorders and dementia in CKD: The neglected kidney-brain axis. J. Am. Soc. Nephrol. 2013, 24, 353–363. [Google Scholar] [CrossRef]
- Zammit, A.R.; Katz, M.J.; Bitzer, M.; Lipton, R.B. Cognitive impairment and dementia in older adults with chronic kidney disease: A review. Alzheimer. Dis. Assoc. Disord. 2016, 30, 357. [Google Scholar] [CrossRef]
- Singh-Manoux, A.; Oumarou-Ibrahim, A.; Machado-Fragua, M.D.; Dumurgier, J.; Brunner, E.J.; Kivimaki, M.; Fayosse, A.; Sabia, S. Association between kidney function and incidence of dementia: 10-year follow-up of the Whitehall II cohort study. Age Ageing 2022, 51, afab259. [Google Scholar] [CrossRef]
- Schwimmer, J.A.; Markowitz, G.S.; Valeri, A.; Appel, G.B. Collapsing glomerulopathy. Semin. Nephrol. 2003, 23, 209–218. [Google Scholar] [CrossRef] [PubMed]
- Mayo Clinic. Focal Segmental Glomerulosclerosis (FSGS). Available online: https://www.mayoclinic.org/diseases-conditions/fsgs/symptoms-causes/syc-20354693 (accessed on 15 June 2023).
- Sangameswaran, K.D.G.; Hashmi, M.F.; Baradhi, K.M. Focal Segmental Glomerulosclerosis. In StatPearls; StatPearls Publishing: Treasure Island, FL, USA, 2023. [Google Scholar] [PubMed]
- Mayo Clinic. Nephrotic Syndrome. Available online: https://www.mayoclinic.org/diseases-conditions/nephrotic-syndrome/symptoms-causes/syc-20375608 (accessed on 21 June 2023).
- Rogers, J.B.; Syed, K.; Minteer, J.F. Cachexia. In StatPearls; StatPearls Publishing: Treasure Island, FL, USA, 2023. [Google Scholar] [PubMed]
- Stavas, J.; de Ferris, M.D.G.; Johns, A.; Jain, D.; Bertram, T. Protocol and baseline data on renal autologous cell therapy injection in adults with chronic kidney disease secondary to congenital anomalies of the kidney and urinary tract. Blood Purif. 2021, 50, 678–683. [Google Scholar] [CrossRef] [PubMed]






| Categories of Renal Anomaly | Key Characteristics | |||
|---|---|---|---|---|
| Renal Position | ||||
| Simple Renal Ectopia | At least one kidney not in normal position but neither kidney has crossed the midline | |||
| Crossed Renal Ectopia | At least one kidney not in normal position which has crossed the midline with its ureter inserted normally | |||
| Bilateral | Both kidneys have crossed the midline | |||
| Solitary Kidney | Presence of single kidney that has crossed the midline | |||
| Without Fusion | Crossed kidney does not fuse to typically placed one | |||
| With Fusion | Crossed kidney fuses to non-crossed kidney | |||
| Inferior Crossed | Superior pole of crossed kidney fuses to inferior pole of normal kidney | |||
| S-shaped | Crossed kidney is located inferiorly with renal pelvis oriented laterally | |||
| Lump | Both kidneys are fused but one of the kidneys has crossed midline | |||
| L-shaped | Crossed kidney is orientated perpendicular to the inferior pole of the normal kidney | |||
| Disc | Both kidneys are fused along the medial portions with one kidney crossing midline | |||
| Superior Crossed | Inferior pole of crossed kidney fuses to superior pole of normal kidney | |||
| Renal Form (Fusion) | ||||
| Horseshoe | Typically, only inferior poles fuse but sometimes both superior and inferior do; presence of a fibrous isthmus between both kidneys | |||
| Pancake | Complete fusion of both kidneys due to lack of renal capsule with no isthmus | |||
| Blood Supply | Length (cm) |
|---|---|
| Left common iliac artery to left renal pelvis | 6.4 |
| Left common iliac artery to division | 2.4 |
| Anterior left arterial branch from division | 4.1 |
| Right common iliac artery to right renal pelvis | 7.7 |
| Right common iliac artery to division | 1.7 |
| Anterior right arterial branch from division | 6.0 |
| Posterior right arterial branch from division | 1.2 |
| Median sacral artery | 4.5 |
Disclaimer/Publisher’s Note: The statements, opinions and data contained in all publications are solely those of the individual author(s) and contributor(s) and not of MDPI and/or the editor(s). MDPI and/or the editor(s) disclaim responsibility for any injury to people or property resulting from any ideas, methods, instructions or products referred to in the content. |
© 2024 by the authors. Licensee MDPI, Basel, Switzerland. This article is an open access article distributed under the terms and conditions of the Creative Commons Attribution (CC BY) license (https://creativecommons.org/licenses/by/4.0/).
Share and Cite
Koper, L.; Quarles, R.L.; Ziermann-Canabarro, J.M.; Bridgett, T.; Correa-Alfonzo, P.; Rahmat, S.J. Anatomical and Histological Analyses of Rare Pancake Kidney. Anatomia 2024, 3, 202-214. https://doi.org/10.3390/anatomia3030016
Koper L, Quarles RL, Ziermann-Canabarro JM, Bridgett T, Correa-Alfonzo P, Rahmat SJ. Anatomical and Histological Analyses of Rare Pancake Kidney. Anatomia. 2024; 3(3):202-214. https://doi.org/10.3390/anatomia3030016
Chicago/Turabian StyleKoper, Lindsey, Rachell L. Quarles, Janine M. Ziermann-Canabarro, Tashanti Bridgett, Paola Correa-Alfonzo, and Sulman J. Rahmat. 2024. "Anatomical and Histological Analyses of Rare Pancake Kidney" Anatomia 3, no. 3: 202-214. https://doi.org/10.3390/anatomia3030016
APA StyleKoper, L., Quarles, R. L., Ziermann-Canabarro, J. M., Bridgett, T., Correa-Alfonzo, P., & Rahmat, S. J. (2024). Anatomical and Histological Analyses of Rare Pancake Kidney. Anatomia, 3(3), 202-214. https://doi.org/10.3390/anatomia3030016

