Abstract
Fibroinflammatory diseases are a group of rare pathologies in which the hallmark is the exuberant deposition of fibrotic tissue and inflammatory cellular infiltrates, characteristic of the specific disease. A sclerotic mass develops within soft tissues and/or organs, damaging and replacing them, with effects ranging from asymptomatic to life-threatening clinical manifestations. The kidneys and urinary tract can be involved in some of these diseases, which can lead to acute kidney injury, chronic kidney disease, and even end-stage kidney disease. IgG4-related disease, retroperitoneal fibrosis, and Erdheim–Chester disease are the three fibroinflammatory disorders that can involve the kidneys. Only a timely and accurate collection of clinical, radiological, metabolic, laboratory, and histological data allows prompt diagnosis and targeted treatment of these pathologies, allowing the stoppage of the evolution of renal and systemic manifestations, which can lead to complete remission. The epidemiology, clinical and histological features, and management of these conditions are herein described in a narrative fashion.
1. Introduction
Fibroinflammatory or fibrosclerosing diseases (FDs) comprise a spectrum of rare pathologies associated with chronic systemic inflammation and exuberant fibrosis. In FDs, sclerotic material damages and replaces the soft tissues and organs. These are well-coded diseases in which inflammation is the hallmark and not just a response to damage (as it is, for instance, in infectious diseases, trauma, and neoplasms). Environmental triggers and genetic predisposition play a role in the etiopathogenesis. Recently, many of the FDs have been reunited under the spectrum of IgG4-related disease (IgG4-RD), as they share common histopathological, clinical, and pathogenetic features. These FDs include IgG4-related pancreatitis, retro-orbital pseudotumor, and retroperitoneal fibrosis (RPF), among many others. The idiopathic, i.e., the non-IgG4-related, forms of these diseases have thus been separated from IgG4-RD and are still referred to as FDs or idiopathic FDs [1,2,3,4,5,6,7,8]. A distinct FD, which lacks an IgG4-related counterpart and reflects peculiar disease mechanisms, is Erdheim–Chester disease (ECD) [9].
A pathogenetic feature shared by the aforementioned conditions is the association of inflammation with fibrosis, as implied by the term “fibroinflammatory”. Indeed, it appears that an autoimmune mechanism stimulates inflammation through the activation of innate and adaptive immunity (particularly T-helper cells) and the recruitment of myofibroblasts that deposit extracellular matrix. Damage and infiltration result in organ damage, organ dysfunction to varying degrees of severity, and, potentially, death. FDs can affect any organ, either as single-organ-limited lesions or as multifocal or systemic disorders. They are often associated with other autoimmune diseases. A spontaneous regression is possible, but since it is unpredictable and may lead to life-threatening complications, therapy is recommended. IgG4-RD, for instance, has an excellent response to glucocorticoids as well as to immunosuppressive drugs or monoclonal antibodies that deplete B cells. Relapses are common, but retreatment is possible [10,11,12,13,14].
FDs often affect the kidneys and urinary tract. Signs of kidney involvement include microhematuria and/or sterile leukocyturia and/or mild- to nephrotic-range proteinuria or full-blown nephrotic syndrome or nephritis. Acute kidney injury (AKI) could result and progress to chronic kidney disease (CKD) and even end-stage kidney disease (ESKD). Hydronephrosis and AKI can result from urinary tract involvement, often requiring surgical intervention in addition to medical treatment in order to prevent progressive CKD [15].
In this narrative review, we highlight renal involvement in the context of FDs.
2. IgG4-Related Kidney Disease
The annual incidence of IgG4-RD is 0.28–1.08/100,000 people/year, and its prevalence is about 1/600,000 in Japan [16]. These figures are probably underestimated, since the characterization of IgG4-RD as a distinct disease has been recent. IgG4-RD mostly affects male patients between the ages of 50 and 70 years [17]; however, the sex ratio varies according to organ involvement [18].
IgG4-RD is a systemic autoimmune disease characterized by fibroinflammatory infiltrate, arranged in a tumor-like sclerotic mass, that can affect soft tissues and/or all organs (the pancreas, bile ducts, retroperitoneum, mediastinum, orbits, salivary glands, kidneys, etc.), causing a wide spectrum of clinical manifestations that can develop alone, concurrently, or metachronically [19].
Due to the heterogeneous clinical manifestations of IgG4-RD, differential diagnosis is challenging, as it is often confused with malignancy, infection, or other immune-mediated conditions [17].
In 2020, the EULAR classification criteria were published, based on clinical, serological, radiological, and pathological data [20]. To reach/attain the diagnosis, both entry and exclusion criteria must be observed.
A histological demonstration of typical IgG4-RD organ involvement is the most reliable proof, although clinical and radiological evidence is acceptable.
IgG4-RKD refers to IgG4-related diseases that directly involve the kidney. This condition includes a form of tubulo-interstitial nephritis, known as IgG4-tubular interstitial nephritis (IgG4-TIN), and renal pelvic involvement [20]. A few glomerulopathies are thought to be part of the spectrum, among which membranous glomerulopathy has the highest frequency; however, its pathogenesis differs from that of “traditional” FDs [21].
IgG4-RKD accounts for 12–23% of IgG4-RDs, and it is more frequent in Japan [22] and less frequent in the United Kingdom and the United States [23,24]
IgG4-RKD can be diagnosed incidentally in the setting of extrarenal or systemic IgG4-RD or occur alone. Beginning in 2011, several authors published clinical, laboratory, radiological, and histological criteria that allowed clinicians to attribute, with increasing reliability, the impairment of renal function in the course of IgG4-RD to kidney involvement, thereby confirming or excluding IgG-RKD [25,26]. In 32% of the cases of renal involvement, IgG4-TIN is described [27].
Clinically, IgG4-TIN has similar manifestations to non-Ig4-related TIN. In addition to nonspecific constitutional symptoms (fever, malaise, unexplained weight loss), it can manifest asymptomatically (mild-to-moderate and mainly tubular proteinuria, hematuria, leukocyturia), and/or cause AKI with or without progression to CKD if not treated promptly [1]. In addition to an accurate history, laboratory, radiological, and histological investigations are performed to exclude other immunological and nonimmunological causes of TIN [28].
IgG4-TIN lesions are best detected using contrast-enhanced computer tomography (CT) or magnetic resonance imaging (MRI). When IgG4-TIN is present, the kidneys can be enlarged bilaterally and show an iso-hypodense area on CT scans and homogeneous hypoattenuation on contrast-enhanced images. T1-weighted MRI shows hypointensity and T2-weighted MRI shows progressive intensification after gadolinium infusion and diffusion restriction.
Several imaging patterns are possible. The “nodular pattern” is the most common, where multiple, usually bilateral, small, round, or wedge-shaped nodular, lesions are detected. Lesions close to the renal capsule, called rim-like lesions, may be observed and are similar to the rim-like lesions of IgG4-related pancreatitis. The “diffuse patchy pattern” represents an advanced stage of the disease and is characterized by larger lesions than cortical nodular ones. There are rare cases of IgG4-RKD manifesting as an “alone hypovascular mass-like lesion” on contrast-enhanced CT, indistinguishable from a tumor mass and therefore requiring nephrectomy [1,29]. The role of 18F-fluorodeoxyglucose positron emission tomography (FDG PET)/CT in IgG4-RD can be used to detect disease extent, localize biopsy sites, or assess response to treatment, but it is not applicable to brain or kidney involvement.
In addition to unexplained renal dysfunction, patients may have elevated serum IgG4 levels and hypocomplementemia. When hypocomplementemia and/or elevated serum IgG4 and/or total IgE levels are present, IgG4-RKD is more likely to be detected [30], especially if Ig4-RD has already been diagnosed. The EULAR classification includes hypocomplementemia (C3, C4, or both) among the diagnostic markers of IgG4-RKD [10]. Hypocomplementemia is a characteristic feature of IgG4-RD, but it occurs more often in IgG4-RKD (50–70% vs. 20–40%) [1,31]. It has also been reported as a potential predictor of relapse in IgG4-RKD [32,33]. It remains unclear how IgG4-RD causes hypocomplementemia. Complement is not activated by IgG4. However, Sugimoto et al. reported that the circulating immune complexes isolated from IgG4-RD patients contain IgG4 and IgM and that they are able to activate both the classical and lectin pathways of the complement cascade [34]. In 17 patients with IgG4-RKD, Wang et al. reported that a decrease in the serum C3 level was associated with increases in the serum IgG4 concentration and interstitial fibrosis score [35]. On the other hand, some authors argued that other classes of IgG, also present in higher concentrations in IgG4-RD, for example, IgG1, are responsible for this mechanism [32]. The observation that C3 and C4 serum levels are negatively correlated with the IgG1 level in patients with IgG-RD and hypocomplementemia reinforces this hypothesis [36]. Recently, Saeki et al. demonstrated an association between hypocomplementemia and elevated serum levels of IgG subclasses other than IgG4 in IgG4-RKD, suggesting the idea that IgG subclasses other than IgG4 are involved in hypocomplementemia [37].
IgG4-RD also causes elevated serum IgG levels, particularly in IgG4-RKD. In IgG4-RKD, laboratory tests show high serum IgG levels in about 90% of patients and elevated serum IgG4 levels in almost all patients [21], in contrast with IgG4-RD, in which only about 50% of cases show high serum IgG levels. IgG4 concentrations were linked to more severe disease [24].
Additionally, the serum level of IgG4 may be a marker of therapeutic steroid response, because it decreases rapidly during therapy but increases without apparent relapse in about half of patients [33]. Serum C-reactive protein levels are usually normal.
In the presence of a diagnosis of IgG4-RD, male sex, older age, involvement of three or more organs, a higher index of disease activity, and low serum C3 level increase the probability of developing or having already developed renal involvement [38].
For IgG4-TIN to be distinguished from other kinds of TIN, biopsy is mandatory [28]. IgG4-TIN appears histologically as chronic TIN with unusual characteristics. The IgG4+ plasma cells dominate the cellular infiltrate under light microscopy. The presence of an IgG4+/IgG+ plasma cell ratio > 40% and IgG4+ > 10/high power field on biopsy are considered suggestive of IgG4-TIN. Eosinophil infiltration could also be present. If present, tubulitis is mild. As a result of its irregularly whorled shape, fibrosis is called “storiform”. Sclerotic fibers surround nests of lymphocytes or plasma cells in a “bird’s eye” aspect. Moreover, areas where the cellular infiltrate is abundant and the fibrotic component is scarce can coexist with areas where the infiltrate is scarce and the fibrosis is abundant in all gradations. Another hallmark of IgG4-TIN is that the aforementioned pathological features observed via light microscopy are characteristic of hypodense lesions on CT scans, while the nonaffected areas have normal histology, showing, upon histological examination, a clear demarcation between healthy and pathological areas. Lesions can also extend and infiltrate the renal capsule, macroscopically related to a rim-like lesion on contrast-enhanced CT. In immunofluorescence, interstitial granular IgG (mostly IgG4 but also IgG1) and C3 deposits can be seen, but only in affected areas (in contrast with lupus nephritis, where deposits can be seen in otherwise unaffected areas). TIN generally spares glomerular lesions and vessels [21,28]. Pelvic wall lesions are included in IgG4-RKD. Renal pelvic wall thickening can occur unilaterally or bilaterally without severe stenosis or luminal irregularities [20]. Rarely, hydronephrosis or obstructive nephropathy is observed. When these lesions are detected without extrarenal localization of IgG4-RD, they could be mistaken for neoplastic masses, resulting in nephrectomy. Detecting IgG4-RKD in this setting is difficult: extrarenal IgG4-RD is highly suggestive of IgG4-RKD if renal lesions respond to corticosteroids [21,30].
Indirect kidney involvement can also be observed in the retroperitoneal involvement when retroperitoneal fibrotic tissue encloses the ureters ab extrinseco, causing obstructive AKI and/or CKD (see [30] for further details).
Approximately 7–8% of IgG4-RD patients have glomerular involvement [27]. Patients may present with urinary abnormalities, nephrotic syndrome, or kidney failure. The most common form of glomerulopathy is membranous nephropathy (MN). Most patients manifest IgG4-MN during the course of TIN (we do not know whether TIN and MN are linked), but 40% have only IgG4-MN as renal involvement. The extrarenal manifestation usually precedes or occurs simultaneously with GN manifestations in IgG4-RD. Sometimes, extrarenal manifestations precede MN diagnosis. Anti-phospholipase A2 receptor (PLA2R) antibodies are typically associated with primary membranous nephropathy, but a few cases of positive serum or immunostaining of PLA2R antibodies have been reported in IgG4-MN. Glomerular C1q immunostaining can be positive, while it is usually negative in patients with idiopathic MN [30].
Indirect kidney involvement can also be observed in retroperitoneal fibrosis: retroperitoneal fibrotic tissue encloses the ureters ab extrinseco, causing obstructive AKI and/or CKD (see further) [23]. In contrast to other “minor” IgG4-RD presentations, such as asymptomatic lymphadenopathy or mild salivary gland involvement, which may spontaneously remit, IgG4-RKD does not and should be treated promptly. It is also known that IgG4-RD with renal involvement tends to relapse more often, requiring more aggressive and longer treatment courses [39]. In addition, patients with pelvic or ureteral involvement or hydroureteronephrosis may require ureteral stent placement or nephrostomy or surgical ureterolysis to avoid the life-threatening complications of AKI. Immunosuppressive treatments are usually accompanied or followed by such interventions [40].
A daily dose of 0.4–0.6 mg/kg prednisone equivalent is recommended as first-line treatment. The response to corticosteroids is generally excellent [41], where renal function improves and stabilizes rapidly, regardless of the stage of kidney injury [42]. IgG4-RD can, however, persist and/or worsen in the long term, which is why early diagnosis is crucial [43]. A prolonged low dose of steroids to prevent recurrence after steroid withdrawal should at least be considered. Most flares also respond to steroids; i.e., resistance to steroids does not usually develop [33,41].
Immunosuppressors are used as steroid-sparing agents in patients who do not tolerate steroids, relapse frequently, or have refractory IgG4-TIN. Rituximab, an anti-CD20 B-cell-depleting agent, has shown encouraging results [34,44].
Corticosteroids alone are typically ineffective when glomerular involvement is present. In such cases, treatment follows that of the idiopathic counterpart, e.g., in IgG4-related membranous nephropathy [34].
3. Retroperitoneal Fibrosis
Some fibrosclerosing diseases can cause AKI or progressive CKD, due to ab extrinseco (mono or bilateral) compression of ureters and/or of the kidneys. This is the case with RPF, which can be idiopathic or associated with IgG4-RD or secondary to other pathologies (e.g., Erdheim–Chester disease).
Idiopathic retroperitoneal fibrosis (IRF) is characterized by fibroinflammatory tissue that surrounds the infrarenal aorta in its antero-lateral portion, usually sparing its posterior side, and it is called chronic periaortitis. Pathological tissue extends to the common iliac arteries to the retroperitoneum, thus encasing the distal portion of the ureters, mono- or bilaterally, but without infiltrating the involved structures. It is a rare disease that typically affects middle-aged men (with a male-to-female ratio of 2–3:1) with peak of incidence around the age of 50–60 years [45].
The prevalence of IRF is estimated to be 1.4 cases per 100,000 people, whereas its incidence is around 0.1–1.3 cases per 100,000 people/year [2,46]. Fibroinflammatory tissue comprises extracellular matrix, mainly constituted by thick irregular bundles, type I collagen fibers, and a cellular component represented by fibroblasts and myofibroblasts, inflammatory cells, including macrophages, B and T lymphocytes, plasma cells, and rare eosinophils in a diffuse pattern or organized into aggregates with a perivascular pattern or sometimes germinal centers [10,14]. The etiopathogenesis is multifactorial, including genetic predisposition [13,47] and environmental factors (e.g., smoking and asbestos) [24,48,49].
In the acute phase, patients may have constitutional symptoms (low-grade fever, anorexia, fatigue and weight loss), linked to an inflammatory process. Moreover, almost all patients complain of continuous and dull abdominal, lower back, or flank pain [3,50,51,52]. Some patients complain of colicky pain when hydroureteronephrosis occurs. Constipation, testicular pain, lower limb claudication could also be present.
Renal involvement in the form of AKI or CKD due to ureteral obstruction is described in 55–72% of patients affected by IRF [3,14,50]. Obstructive nephropathy is determined by fibroinflammatory tissue that could compress ureters ab extrinseco in their distal portion, generally at the cross with iliac vessels and/or exert traction on their middle section. Hence, hydroureteronephrosis ensues. In 60–70% of patients [3,50,51], this occurs rapidly, thus determining AKI up to complete anuria, especially when bilateral involvement is present (up to 40% of patients [3]) or monolateral in a single functional kidney. In these cases, either placement of nephrostomies or ureteral stents or surgical ureterolysis is mandatory to obtain total or partial recovery of kidney function. In 20–40% of patients, on the other hand, there is a progressive loss of renal function up to chronic or even end-stage kidney disease. About 30% of patients at diagnosis present with renal hypoplasia/atrophy. This occurs when the obstructive disease manifests itself in a slow and often subtle, asymptomatic, or paucisymptomatic manner, typically with only unilateral involvement [3,14,50,51,52]. End-stage kidney disease is observed in 8% of patients overall [53]. Urinalysis usually shows no urinary abnormalities, although tubular proteinuria from obstructive nephropathy can be identified. CKD can also be secondary, albeit rarely, to compression of the renal arteries, causing renovascular hypertension [51] and renal hypoplasia. Renal veins’ encasement by the fibrous mass may occur, causing varicocele or, more rarely, renal vein thrombosis with consequent AKI and gross hematuria. Some patients may develop lower limbs edema, a sign of vena cava compression. However, the clinician must consider that patients with IRF are often affected by cardiovascular disease, for which lower limb edema, hypertension, and CKD may be related to other causes, e.g., heart failure.
Computed tomography (CT) and magnetic resonance imaging (MRI) are required for the diagnosis of IRF and its staging. CT scans show homogeneous tissue, hysodense to muscle, and MRI shows hypointense tissue in T1-weighted scans (Figure 1). Moreover, MRI T2-weighted scan intensity correlates with the degree of inflammatory disease activity. Contrast enhancement, both in CT and MRI, also correlates with disease activity. However, fluorodeoxyglucose-positron emission tomography (FDG-PET) remains the gold standard for assessing disease activity at diagnosis and during follow-up, proving to be even more sensitive and specific than the common indices of serum inflammation [54]. Imaging (associated with specific laboratory investigations and clinical picture of the overall patient) also plays a fundamental role in the differential diagnosis with other pathologies (autoimmune, infectious, neoplastic disease), which must be ruled out [48].
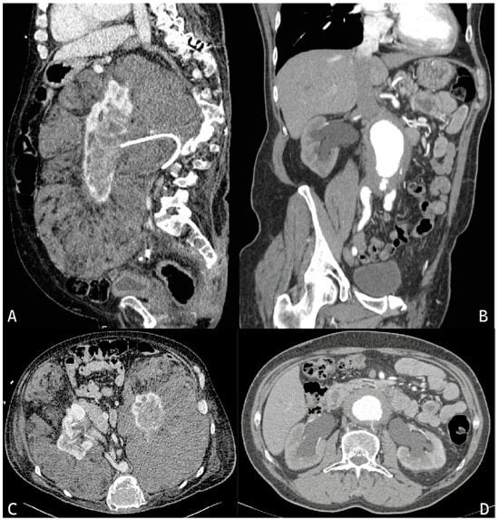
Figure 1.
Computed tomography images of idiopathic retroperitoneal fibrosis and Erdheim–Chester disease. (A): Sagittal scan showing a kidney (with a ureteral stent) completely enclosed by fibrotic tissue. In (C), a transversal scan of the same patient shows that both kidneys are enclosed and compressed by extrarenal fibrosis, typical of Erdheim–Chester disease. In (B,D), sagittal and transversal scans, respectively, of retroperitoneal fibrosis are shown, with ureteral compression and therefore ureteral enlargement (hydronephrosis) with periaortic fibrotic tissue. The abdominal aorta is also aneurysmatic, configuring a peculiar “variant” of idiopathic retroperitoneal fibrosis referred to as “perianeurysmal [aortic] fibrosis” by some authors.
If possible, performing a biopsy of the pathological tissue would be of considerable value. In around 30–50% of cases, it is possible to find histological matrix composed of storiform fibrosis and a cellular component consisting of an intense infiltration of IgG4-positive plasma cells with a high IgG4/IgG ratio, compatible with IgG4-RD. RPF can found in the context of IgG4-related disease (see section on IgG4-related kidney disease) with which it shares epidemiology, etiopathogenesis, prognosis, and response to treatment with high doses of steroids, immunosuppressants, and monoclonal antibodies [54].
4. Erdheim–Chester Disease
Erdheim–Chester disease (ECD) is another fibrosclerosing disorder involving the kidneys and urinary tract. To date, about 1500 cases have been described worldwide. ECD is a clonal neoplastic disorder caused by mutations in the MAPK (RAS-RAF-MEK-ERK) and (PI3K)-AKT pathways in myeloid progenitor cells [55]. It is defined as “non Langerhans-cell” histiocytosis, since the fibrotic matrix is infiltrated by CD68+/CD1a− “foamy” macrophages as well as lymphocytes. However, in 20% of patients, Langerhans-cell infiltrates overlap. For this reason, ECD was included in the “L” (Langerhans) group in the Emile-revised classification of histiocytosis, in which Langerhans and non-Langerhans-cells histiocytosis are grouped together [56]. ECD mostly affects men (M:F = 3:1), with a mean age at diagnosis of 48–56 years. The pathological mass can infiltrate the soft tissue of any organ, but occurs most frequently in the musculoskeletal system, heart, central nervous system (CNS), respiratory system, retro-orbital tissue, hypothalamic–pituitary axis, adrenal glands, and skin [4]. The retroperitoneum and the kidneys are affected in approximately 58–65% of cases. Clinical manifestations depend on the extent and distribution of the disease, ranging from asymptomatic to localized to a single organ to systemic forms, having important limitations on quality of life, up to cases with a very poor prognosis, especially if the cardiac or central nervous system is involved [57]. As another inflammatory disease, constitutional symptoms are almost always present, related to the degree of inflammation. Renal involvement is clinically superimposable on that of RPF, as already described.
When retroperitoneal involvement is present, as in RPF, TC and MRI are gold-standard imaging techniques. The pathological mass appears hysodense on unenhanced CT scans and slightly hyperdense on enhanced CT scans and isointense to muscle on MRI in both T1 and T2W scans and mild hypertense on enhanced MRI (Figure 1) [58]. Different from RPF, the aorta is completely (thoracic, abdominal aorta, and its branches) and circumferentially involved in ECD (“coated aorta”) [14]. In addition to the great retroperitoneal vessels, the other frequently involved structures are the kidneys, which may present a perirenal fat infiltration and capsular thickening, with a suggestive appearance frequently referred to as “hairy kidneys”. The renal sinus is frequently involved. Ureters are often encased in their upper portion, causing stenosis and hydroureteronephrosis in 6% of cases of ECD, with postrenal kidney injury. Perirenal vascular peduncle involvement is also reported (“coated renal artery”) with possible but very rare severe stenosis at the proximal portion of the renal artery with consequent renovascular hypertension [59]. Contrast medium is preferable for delineating vascular structures to exclude other pathologies that enter the differential diagnosis with ECD (e.g., other forms of chronic periaortitis or histiocytosis) and is necessary for the study of CNS and sella turcica. Ultrasound remains a useful first-line investigation to identify hydronephrosis (useful for placing an immediate indication for placement of a ureteral stent or nephrostomy or ureterolysis to prevent progression of renal damage), to study renal parenchyma (measuring renal volume, cortical thickness, etc.), and to calculate resistance indices and study renal vessels flow via the Doppler method. Cardiac MRI or echocardiogram are used to detect any cardiac involvement [54].
For the diagnosis of disease, the most typical and frequent manifestation of ECD is the presence of bilateral and symmetrical osteosclerosis of long bone metaphysis and diaphysis (even if sometimes associated with lytic lesions in case of overlap with non-Langerhans forms), identifiable via skeleton radiography, 99Tc-scintigraphy, or FDG-PET. FDG-PET is the most reliable tool available to the clinician for assessing disease activity, both at diagnosis and follow-up [60], unlike other imaging methods or inflammation indices: serum C-reactive proteins levels are elevated in 50–80% of cases at diagnosis but are not useful for follow-up. Histological analysis is mandatory to confirm the diagnosis of ECD or overlap with Langerhans-cell histiocytosis, rule out other diagnosis, and allow molecular studies. In fact, ECD is an inflammatory disease, but over time it has been found that it is induced by histiocytes, which have mutations for various MAP kinases. As a result, the treatment that initially included steroids, immunosuppressants [9], and immunomodulators has now been expanded to mutant MAPKinase inhibitors [61].
Table 1 summarizes the most relevant characteristics of IgG4-tubulo-interstitial nephritis, idiopathic retroperitoneal fibrosis, and Erdheim–Chester disease.
Table 1.
Main characteristics of fibroinflammatory diseases involving kidneys and urinary tract.
5. Conclusions
Renal involvement worsens the prognosis of patients with fibrosclerosing disease both in terms of life expectancy and quality of life. The fibroinflammatory pathologies that determine renal involvement are different, and each of these requires specific therapy. Recognizing fibrosclerosing disease and achieving a correct differential diagnosis, interpreting at the same time clinical, imaging, laboratory, and histological data, is the only way to set up effective therapy as quickly as possible to stabilize or even achieve remission of the renal and even systemic disease and initiate proper follow-up to prevent flares.
Further studies are needed to identify increasingly reliable diagnostic markers and increasingly targeted and effective treatment.
Author Contributions
Conceptualization, D.G; methodology, writing—original draft preparation, D.G.; writing—review and editing, G.M.R., C.P. and D.G. All authors have read and agreed to the published version of the manuscript.
Funding
This research received no external funding.
Conflicts of Interest
The authors declare no conflict of interest.
Abbreviations
| FD | fibrosclerosing diseases |
| IgG4-RD | IgG4-related disease |
| RPF | retroperitoneal fibrosis |
| ECD | Erdheim–Chester disease |
| AKI | acute kidney injury |
| CKD | chronic kidney disease |
| ESKD | end-stage kidney disease |
| IgG4-RKD | IgG4-related kidney disease |
| IgG4-TIN | IgG4-tubular interstitial nephritis |
| MRI | magnetic resonance imaging |
| CT | computed tomography |
| FDG-PET | 18F-fluorodeoxyglucose positron emission tomography |
| TBM | tubular basement membrane |
| MN | membranous nephropathy |
| PLA2R | anti-phospholipase A2 receptor |
| IRF | idiopathic retroperitoneal fibrosis |
| CNS | central nervous system |
References
- Kawano, M.; Saeki, T. IgG4-related kidney disease—An update. Curr. Opin. Nephrol. Hypertens 2015, 24, 193–201. [Google Scholar] [CrossRef] [PubMed]
- Palmisano, A.; Vaglio, A. Chronic periaortitis: A fibro-inflammatory disorder. Best. Pract. Res. Clin. Rheumatol. 2009, 23, 339–353. [Google Scholar] [CrossRef] [PubMed]
- Vaglio, A.; Maritati, F. Idiopathic Retroperitoneal Fibrosis. J. Am. Soc. Nephrol. 2016, 27, 1880–1889. [Google Scholar] [CrossRef] [PubMed]
- Haroche, J.; Cohen-Aubart, F.; Amoura, Z. Erdheim-Chester disease. Blood 2020, 135, 1311–1318. [Google Scholar] [CrossRef] [PubMed]
- Maritati, F.; Peyronel, F.; Vaglio, A. IgG4-related disease: A clinical perspective. Rheumatology 2020, 59, iii123–iii131. [Google Scholar] [CrossRef] [PubMed]
- Raglianti, V.; Rossi, G.M.; Vaglio, A. Idiopathic retroperitoneal fibrosis: An update for nephrologists. Nephrol. Dial. Transplant. 2021, 36, 1773–1781. [Google Scholar] [CrossRef] [PubMed]
- Rossi, G.M.; Emmi, G.; Corradi, D.; Urban, M.L.; Maritati, F.; Landini, F.; Galli, P.; Palmisano, A.; Vaglio, A. Idiopathic Mediastinal Fibrosis: A Systemic Immune-Mediated Disorder. A Case Series and a Review of the Literature. Clin. Rev. Allergy Immunol. 2017, 52, 446–459. [Google Scholar] [CrossRef]
- Rossi, G.M.; Rocco, R.; Accorsi Buttini, E.; Marvisi, C.; Vaglio, A. Idiopathic retroperitoneal fibrosis and its overlap with IgG4-related disease. Intern. Emerg. Med. 2017, 12, 287–299. [Google Scholar] [CrossRef] [PubMed]
- Gianfreda, D.; Nicastro, M.; Galetti, M.; Alberici, F.; Corradi, D.; Becchi, G.; Baldari, G.; De Filippo, M.; Ferretti, S.; Moroni, G.; et al. Sirolimus plus prednisone for Erdheim-Chester disease: An open-label trial. Blood 2015, 126, 1163–1171. [Google Scholar] [CrossRef]
- Corradi, D.; Maestri, R.; Palmisano, A.; Bosio, S.; Greco, P.; Manenti, L.; Ferretti, S.; Cobelli, R.; Moroni, G.; Dei Tos, A.P.; et al. Idiopathic retroperitoneal fibrosis: Clinicopathologic features and differential diagnosis. Kidney Int. 2007, 72, 742–753. [Google Scholar] [CrossRef]
- Corradi, D.; Nicastro, M.; Vaglio, A. Immunoglobulin G4-related disease: Some missing pieces in a still unsolved complex puzzle. Cardiovasc. Pathol. 2016, 25, 90–92. [Google Scholar] [CrossRef]
- Lang, D.; Zwerina, J.; Pieringer, H. IgG4-related disease: Current challenges and future prospects. Ther. Clin. Risk Manag. 2016, 12, 189–199. [Google Scholar] [CrossRef]
- Martorana, D.; Marquez, A.; Carmona, F.D.; Bonatti, F.; Adorni, A.; Urban, M.L.; Maritati, F.; Accorsi Buttini, E.; Marvisi, C.; Palmisano, A.; et al. A large-scale genetic analysis reveals an autoimmune origin of idiopathic retroperitoneal fibrosis. J. Allergy Clin. Immunol. 2018, 142, 1662–1665. [Google Scholar] [CrossRef]
- Vaglio, A.; Salvarani, C.; Buzio, C. Retroperitoneal fibrosis. Lancet 2006, 367, 241–251. [Google Scholar] [CrossRef]
- Peyronel, F.; Vaglio, A. IgG4-Related Kidney Disease. Clin. J. Am. Soc. Nephrol. 2023, 18, 994–996. [Google Scholar] [CrossRef]
- Umehara, H.; Okazaki, K.; Masaki, Y.; Kawano, M.; Yamamoto, M.; Saeki, T.; Matsui, S.; Sumida, T.; Mimori, T.; Tanaka, Y.; et al. A novel clinical entity, IgG4-related disease (IgG4RD): General concept and details. Mod. Rheumatol. 2012, 22, 1–14. [Google Scholar] [CrossRef]
- Kamisawa, T.; Zen, Y.; Pillai, S.; Stone, J.H. IgG4-related disease. Lancet 2015, 385, 1460–1471. [Google Scholar] [CrossRef]
- Inoue, D.; Yoshida, K.; Yoneda, N.; Ozaki, K.; Matsubara, T.; Nagai, K.; Okumura, K.; Toshima, F.; Toyama, J.; Minami, T.; et al. IgG4-related disease: Dataset of 235 consecutive patients. Medicine 2015, 94, e680. [Google Scholar] [CrossRef]
- Katz, G.; Stone, J.H. Clinical Perspectives on IgG4-Related Disease and Its Classification. Annu. Rev. Med. 2022, 73, 545–562. [Google Scholar] [CrossRef]
- Wallace, Z.S.; Naden, R.P.; Chari, S.; Choi, H.; Della-Torre, E.; Dicaire, J.F.; Hart, P.A.; Inoue, D.; Kawano, M.; Khosroshahi, A.; et al. The 2019 American College of Rheumatology/European League Against Rheumatism Classification Criteria for IgG4-Related Disease. Arthritis Rheumatol 2020, 72, 7–19. [Google Scholar] [CrossRef]
- Kawano, M.; Yamada, K. IgG4-Related Kidney Disease and IgG4-Related Retroperitoneal Fibrosis. Semin. Liver Dis. 2016, 36, 283–290. [Google Scholar] [CrossRef] [PubMed]
- Yamada, K.; Yamamoto, M.; Saeki, T.; Mizushima, I.; Matsui, S.; Fujisawa, Y.; Hara, S.; Takahashi, H.; Nomura, H.; Kawa, S.; et al. New clues to the nature of immunoglobulin G4-related disease: A retrospective Japanese multicenter study of baseline clinical features of 334 cases. Arthritis Res. Ther. 2017, 19, 262. [Google Scholar] [CrossRef] [PubMed]
- Evans, R.D.R.; Cargill, T.; Goodchild, G.; Oliveira, B.; Rodriguez-Justo, M.; Pepper, R.; Connolly, J.; Salama, A.; Webster, G.; Barnes, E.; et al. Clinical Manifestations and Long-term Outcomes of IgG4-Related Kidney and Retroperitoneal Involvement in a United Kingdom IgG4-Related Disease Cohort. Kidney Int. Rep. 2019, 4, 48–58. [Google Scholar] [CrossRef] [PubMed]
- Wallace, Z.S.; Deshpande, V.; Mattoo, H.; Mahajan, V.S.; Kulikova, M.; Pillai, S.; Stone, J.H. IgG4-Related Disease: Clinical and Laboratory Features in One Hundred Twenty-Five Patients. Arthritis Rheumatol. 2015, 67, 2466–2475. [Google Scholar] [CrossRef] [PubMed]
- Saeki, T.; Kawano, M.; Nagasawa, T.; Ubara, Y.; Taniguchi, Y.; Yanagita, M.; Nishi, S.; Nagata, M.; Hisano, S.; Yamaguchi, Y.; et al. Validation of the diagnostic criteria for IgG4-related kidney disease (IgG4-RKD) 2011, and proposal of a new 2020 version. Clin. Exp. Nephrol. 2021, 25, 99–109. [Google Scholar] [CrossRef] [PubMed]
- Kawano, M.; Saeki, T.; Nakashima, H.; Nishi, S.; Yamaguchi, Y.; Hisano, S.; Yamanaka, N.; Inoue, D.; Yamamoto, M.; Takahashi, H.; et al. Proposal for diagnostic criteria for IgG4-related kidney disease. Clin. Exp. Nephrol. 2011, 15, 615–626. [Google Scholar] [CrossRef] [PubMed]
- Teng, F.; Lu, H.; Zheng, K.; Chen, G.; Wen, Y.; Liu, Z.; Peng, L.; Huo, L.; Zeng, X.; Zhang, W.; et al. Urinary System Manifestation of IgG4-Related Disease: Clinical, Laboratory, Radiological, and Pathological Spectra of a Chinese Single-Centre Study. J. Immunol. Res. 2020, 2020, 5851842. [Google Scholar] [CrossRef] [PubMed]
- Raissian, Y.; Nasr, S.H.; Larsen, C.P.; Colvin, R.B.; Smyrk, T.C.; Takahashi, N.; Bhalodia, A.; Sohani, A.R.; Zhang, L.; Chari, S.; et al. Diagnosis of IgG4-related tubulointerstitial nephritis. J. Am. Soc. Nephrol. 2011, 22, 1343–1352. [Google Scholar] [CrossRef]
- Oh, J.W.; Rha, S.E.; Choi, M.H.; Oh, S.N.; Youn, S.Y.; Choi, J.I. Immunoglobulin G4-related Disease of the Genitourinary System: Spectrum of Imaging Findings and Clinical-Pathologic Features. Radiographics 2020, 40, 1265–1283. [Google Scholar] [CrossRef]
- Kawano, M.; Saeki, T.; Ubara, Y.; Matsui, S. Recent advances in IgG4-related kidney disease. Mod. Rheumatol. 2023, 33, 242–251. [Google Scholar] [CrossRef]
- Saeki, T.; Nishi, S.; Imai, N.; Ito, T.; Yamazaki, H.; Kawano, M.; Yamamoto, M.; Takahashi, H.; Matsui, S.; Nakada, S.; et al. Clinicopathological characteristics of patients with IgG4-related tubulointerstitial nephritis. Kidney Int. 2010, 78, 1016–1023. [Google Scholar] [CrossRef] [PubMed]
- Fujisawa, Y.; Mizushima, I.; Yamada, K.; Yamamoto, M.; Saeki, T.; Matsui, S.; Tsuge, S.; Hara, S.; Ito, K.; Fujii, H.; et al. Hypocomplementemia is related to elevated serum levels of IgG subclasses other than IgG4 in IgG4-related kidney disease. Mod. Rheumatol. 2021, 31, 241–248. [Google Scholar] [CrossRef] [PubMed]
- Saeki, T.; Kawano, M.; Mizushima, I.; Yamamoto, M.; Wada, Y.; Nakashima, H.; Homma, N.; Tsubata, Y.; Takahashi, H.; Ito, T.; et al. The clinical course of patients with IgG4-related kidney disease. Kidney Int. 2013, 84, 826–833. [Google Scholar] [CrossRef] [PubMed]
- Sugimoto, M.; Watanabe, H.; Asano, T.; Sato, S.; Takagi, T.; Kobayashi, H.; Ohira, H. Possible participation of IgG4 in the activation of complement in IgG4-related disease with hypocomplementemia. Mod. Rheumatol. 2016, 26, 251–258. [Google Scholar] [CrossRef] [PubMed]
- Wang, R.; He, D.; Zhao, L.; Liang, S.; Liang, D.; Xu, F.; Zhang, M.; Zhu, X.; Chen, H.; Xie, H.; et al. Role of complement system in patients with biopsy-proven immunoglobulin G4-related kidney disease. Hum. Pathol. 2018, 81, 220–228. [Google Scholar] [CrossRef] [PubMed]
- Peng, L.; Lu, H.; Zhou, J.; Zhang, P.; Li, J.; Liu, Z.; Wu, D.; Zhang, S.; Yang, Y.; Bai, W.; et al. Clinical characteristics and outcome of IgG4-related disease with hypocomplementemia: A prospective cohort study. Arthritis Res. Ther. 2021, 23, 102. [Google Scholar] [CrossRef] [PubMed]
- Saeki, T.; Nagasawa, T.; Ubara, Y.; Taniguchi, Y.; Yanagita, M.; Nishi, S.; Nagata, M.; Yamaguchi, Y.; Saito, T.; Nakashima, H.; et al. Comparison of clinicopathological features between patients with and without hypocomplementemia in IgG4-related kidney disease. Nephrol. Dial. Transplant. 2023, 38, 1053–1056. [Google Scholar] [CrossRef] [PubMed]
- Zeng, Q.; Gao, J.; Zhang, X.; Liu, A.; Wang, Z.; Wang, Z.; Chi, X.; Shi, Q.; Wang, Y.; Yang, F.; et al. Disparities between IgG4-related kidney disease and extrarenal IgG4-related disease in a case-control study based on 450 patients. Sci. Rep. 2021, 11, 10397. [Google Scholar] [CrossRef]
- Ishikawa, T.; Kawashima, H.; Ohno, E.; Iida, T.; Suzuki, H.; Uetsuki, K.; Yashika, J.; Yamada, K.; Yoshikawa, M.; Gibo, N.; et al. Clinical characteristics and long-term prognosis of autoimmune pancreatitis with renal lesions. Sci. Rep. 2021, 11, 406. [Google Scholar] [CrossRef]
- Khosroshahi, A.; Wallace, Z.S.; Crowe, J.L.; Akamizu, T.; Azumi, A.; Carruthers, M.N.; Chari, S.T.; Della-Torre, E.; Frulloni, L.; Goto, H.; et al. International Consensus Guidance Statement on the Management and Treatment of IgG4-Related Disease. Arthritis Rheumatol. 2015, 67, 1688–1699. [Google Scholar] [CrossRef]
- Saeki, T.; Kawano, M.; Mizushima, I.; Yamamoto, M.; Wada, Y.; Ubara, Y.; Nakashima, H.; Ito, T.; Yamazaki, H.; Narita, I.; et al. Recovery of renal function after glucocorticoid therapy for IgG4-related kidney disease with renal dysfunction. Clin. Exp. Nephrol. 2016, 20, 87–93. [Google Scholar] [CrossRef] [PubMed]
- Arai, H.; Ogata, S.; Ozeki, T.; Takahashi, K.; Tsuboi, N.; Maruyama, S.; Inaguma, D.; Hasegawa, M.; Yuzawa, Y.; Hayashi, H. Long-term changes in renal function after treatment initiation and the importance of early diagnosis in maintaining renal function among IgG4-related tubulointerstitial nephritis patients in Japan. Arthritis Res. Ther. 2020, 22, 261. [Google Scholar] [CrossRef] [PubMed]
- Mizushima, I.; Yamamoto, M.; Inoue, D.; Nishi, S.; Taniguchi, Y.; Ubara, Y.; Matsui, S.; Yasuno, T.; Nakashima, H.; Takahashi, H.; et al. Factors related to renal cortical atrophy development after glucocorticoid therapy in IgG4-related kidney disease: A retrospective multicenter study. Arthritis Res. Ther. 2016, 18, 273. [Google Scholar] [CrossRef] [PubMed]
- McMahon, B.A.; Novick, T.; Scheel, P.J.; Bagnasco, S.; Atta, M.G. Rituximab for the Treatment of IgG4-Related Tubulointerstitial Nephritis: Case Report and Review of the Literature. Medicine 2015, 94, e1366. [Google Scholar] [CrossRef] [PubMed]
- Goldoni, M.; Bonini, S.; Urban, M.L.; Palmisano, A.; De Palma, G.; Galletti, E.; Coggiola, M.; Buzio, C.; Mutti, A.; Vaglio, A. Asbestos and smoking as risk factors for idiopathic retroperitoneal fibrosis: A case-control study. Ann. Intern. Med. 2014, 161, 181–188. [Google Scholar] [CrossRef] [PubMed]
- Palmisano, A.; Maritati, F.; Vaglio, A. Chronic Periaortitis: An Update. Curr. Rheumatol. Rep. 2018, 20, 80. [Google Scholar] [CrossRef] [PubMed]
- Greco, P.; Vaglio, A.; Corradi, D.; Cobelli, R.; Zompatori, M.; Buzio, C. Tuberculosis as a trigger of retroperitoneal fibrosis. Clin. Infect. Dis. 2005, 41, e72–e75. [Google Scholar] [CrossRef] [PubMed][Green Version]
- Fenaroli, P.; Maritati, F.; Vaglio, A. Into Clinical Practice: Diagnosis and Therapy of Retroperitoneal Fibrosis. Curr. Rheumatol. Rep. 2021, 23, 18. [Google Scholar] [CrossRef]
- Ramshaw, A.L.; Roskell, D.E.; Parums, D.V. Cytokine gene expression in aortic adventitial inflammation associated with advanced atherosclerosis (chronic periaortitis). J. Clin. Pathol. 1994, 47, 721–727. [Google Scholar] [CrossRef]
- Kermani, T.A.; Crowson, C.S.; Achenbach, S.J.; Luthra, H.S. Idiopathic retroperitoneal fibrosis: A retrospective review of clinical presentation, treatment, and outcomes. Mayo Clin. Proc. 2011, 86, 297–303. [Google Scholar] [CrossRef]
- Scheel, P.J., Jr.; Feeley, N. Retroperitoneal fibrosis: The clinical, laboratory, and radiographic presentation. Medicine (Baltimore) 2009, 88, 202–207. [Google Scholar] [CrossRef] [PubMed]
- van Bommel, E.F.H.; Jansen, I.; Hendriksz, T.R.; Aarnoudse, A. Idiopathic retroperitoneal fibrosis: Prospective evaluation of incidence and clinicoradiologic presentation. Medicine 2009, 88, 193–201. [Google Scholar] [CrossRef] [PubMed]
- Moriconi, D.; Giannese, D.; Capecchi, R.; Cupisti, A.; Barsotti, S.; Morganti, R.; Orsitto, E.; Gaetano Tavoni, A.; Francesca Egidi, M. Risk factors for relapse and long-term outcome of idiopathic retroperitoneal fibrosis. Clin. Exp. Nephrol. 2019, 23, 1147–1153. [Google Scholar] [CrossRef] [PubMed]
- Gianfreda, D.; Superchi, E.; Peyronel, F.; Mazzariol, M.; Vaglio, A. Chronic periaortitis: A clinical approach. Rev. Med. Interne 2023, 44, 79–84. [Google Scholar] [CrossRef]
- Vaglio, A.; Diamond, E.L. Erdheim-Chester disease: The “targeted” revolution. Blood 2017, 130, 1282–1284. [Google Scholar] [CrossRef] [PubMed]
- Emile, J.F.; Abla, O.; Fraitag, S.; Horne, A.; Haroche, J.; Donadieu, J.; Requena-Caballero, L.; Jordan, M.B.; Abdel-Wahab, O.; Allen, C.E.; et al. Revised classification of histiocytoses and neoplasms of the macrophage-dendritic cell lineages. Blood 2016, 127, 2672–2681. [Google Scholar] [CrossRef] [PubMed]
- Arnaud, L.; Hervier, B.; Neel, A.; Hamidou, M.A.; Kahn, J.E.; Wechsler, B.; Perez-Pastor, G.; Blomberg, B.; Fuzibet, J.G.; Dubourguet, F.; et al. CNS involvement and treatment with interferon-alpha are independent prognostic factors in Erdheim-Chester disease: A multicenter survival analysis of 53 patients. Blood 2011, 117, 2778–2782. [Google Scholar] [CrossRef]
- Kumar, P.; Singh, A.; Gamanagatti, S.; Kumar, S.; Chandrashekhara, S.H. Imaging findings in Erdheim-Chester disease: What every radiologist needs to know. Pol. J. Radiol. 2018, 83, e54–e62. [Google Scholar] [CrossRef]
- Wu, Z.; Jiang, G.L.; Tang, Y.; Jiang, C.; Sun, L.L.; Li, N.; Jin, Z.Y.; Sun, H. Urinary involvement in Erdheim-Chester disease: Computed tomography imaging findings. Abdom. Radiol. 2021, 46, 4324–4331. [Google Scholar] [CrossRef]
- Gianfreda, D.; Palumbo, A.A.; Rossi, E.; Buttarelli, L.; Manari, G.; Martini, C.; De Filippo, M.; Vaglio, A. Cardiac involvement in Erdheim-Chester disease: An MRI study. Blood 2016, 128, 2468–2471. [Google Scholar] [CrossRef]
- Papo, M.; Emile, J.F.; Maciel, T.T.; Bay, P.; Baber, A.; Hermine, O.; Amoura, Z.; Haroche, J. Erdheim-Chester Disease: A Concise Review. Curr. Rheumatol. Rep. 2019, 21, 66. [Google Scholar] [CrossRef] [PubMed]
- Vaglio, A.; Palmisano, A.; Alberici, F.; Maggiore, U.; Ferretti, S.; Cobelli, R.; Ferrozzi, F.; Corradi, D.; Salvarani, C.; Buzio, C. Prednisone versus tamoxifen in patients with idiopathic retroperitoneal fibrosis: An open-label randomised control trial. Lancet 2011, 378, 338–346. [Google Scholar] [CrossRef] [PubMed]
Disclaimer/Publisher’s Note: The statements, opinions and data contained in all publications are solely those of the individual author(s) and contributor(s) and not of MDPI and/or the editor(s). MDPI and/or the editor(s) disclaim responsibility for any injury to people or property resulting from any ideas, methods, instructions or products referred to in the content. |
© 2023 by the authors. Licensee MDPI, Basel, Switzerland. This article is an open access article distributed under the terms and conditions of the Creative Commons Attribution (CC BY) license (https://creativecommons.org/licenses/by/4.0/).
