Innovative Treatment of Combat-Related Extraperitoneal Penetrating Rectal Injury with Intraluminal Vacuum Therapy: A Case Report
Abstract
1. Introduction
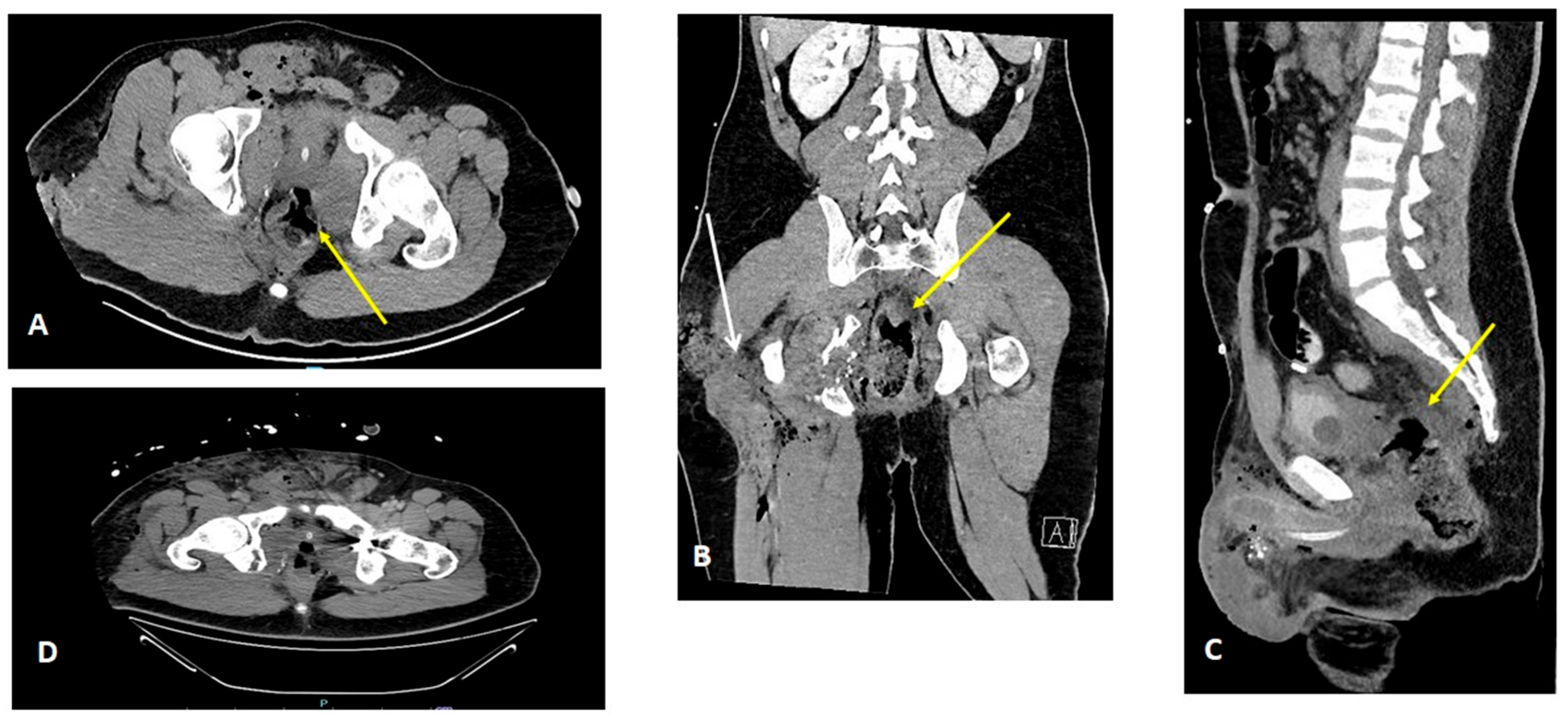
2. Detailed Case Description
3. Discussion
4. Conclusions
Author Contributions
Funding
Institutional Review Board Statement
Informed Consent Statement
Data Availability Statement
Conflicts of Interest
References
- Burch, J.M.; Feliciano, D.V.; Mattox, K.L. Colostomy and drainage for civilian rectal injuries: Is that all? Ann. Surg. 1989, 209, 600–610. [Google Scholar] [CrossRef] [PubMed]
- Brown, C.V.R.; Teixeira, P.G.; Furay, E.; Sharpe, J.P.; Musonza, T.; Holcomb, J.; Bui, E.; Bruns, B.; Hopper, H.A.; Truitt, M.S.; et al. Contemporary management of rectal injuries at Level I trauma centers. J. Trauma Acute Care 2018, 84, 225–233. [Google Scholar] [CrossRef] [PubMed]
- Velmahos, G.C.; Gomez, H.; Falabella, A.; Demetriades, D. Operative management of civilian rectal gunshot wounds: Simpler is better. World J. Surg. 2000, 24, 114–118. [Google Scholar] [CrossRef]
- Navsaria, P.H.; Edu, S.; Nicol, A.J. Civilian extraperitoneal rectal gunshot wounds: Surgical management made simpler. World J. Surg. 2007, 31, 1345–1351. [Google Scholar] [CrossRef]
- Bosarge, P.L.; Como, J.J.; Fox, N.; Falck-Ytter, Y.; Haut, E.R.; Dorion, H.A.; Patel, N.J.; Rushing, A.; Raff, L.A.; McDonald, A.A.; et al. Management of penetrating extraperitoneal rectal injuries: An Eastern Association for the Surgery of Trauma practice management guideline. J. Trauma Acute Care Surg. 2016, 80, 546–551. [Google Scholar] [CrossRef] [PubMed]
- Biffl, W.L.; Moore, E.E.; Feliciano, D.V.; Albrecht, R.M.; Croce, M.A.; Karmy-Jones, R.; Namias, N.; Rowell, S.E.; Schreiber, M.A.; Shatz, D.V.; et al. Management of colorectal injuries: A Western Trauma Association critical decisions algorithm. J. Trauma Acute Care Surg. 2018, 85, 1016–1020. [Google Scholar] [CrossRef]
- Armstrong, D.G.; Lavery, L.A. Diabetic Foot Study Consortium. Negative pressure wound therapy after partial diabetic foot amputation: A multicentre, randomized controlled trial. Lancet 2005, 12, 1704–1710. [Google Scholar] [CrossRef]
- Labler, L.; Trentz, O. The use of vacuum-assisted closure [VAC [®]] in soft tissue injuries after high energy pelvic trauma. Langenbecks Arch. Surg. 2007, 392, 601–609. [Google Scholar] [CrossRef]
- Fleck, T.M.; Fleck, M.; Moidl, R.; Czerny, M.; Koller, R.; Giovanoli, P.; Hiesmayer, M.J.; Zimpfer, D.; Wolner, E.; Grabenwoger, M.; et al. The vacuum-assisted closure system for the treatment of deep sternal wound infections after cardiac surgery. Ann. Thorac. Surg. 2002, 74, 1596–1600. [Google Scholar] [CrossRef]
- Schaffzin, D.M.; Douglas, J.M.; Stahl, T.J.; Smith, L.E. Vacuum-assisted closure of complex perineal wounds. Dis. Colon. Rectum 2004, 47, 1745–1748. [Google Scholar] [CrossRef]
- Morykwas, M.J.; Argenta, L.C.; Shelton-Brown, E.I.; McGuirt, W. Vacuum-assisted closure: A new method for wound control and treatment: Animal studies and basic foundation. Ann. Plast. Surg. 1997, 38, 553–562. [Google Scholar] [CrossRef] [PubMed]
- Weidenhagen, R.; Spelsberg, F.; Lang, R.A.; Jauch, K.W.; Gruetzner, K.U. New method for sepsis control caused by anastomotic leakage in rectal surgery- the endo-VAC. Int. J. Colorectal Dis. 2003, 5, 1–4. [Google Scholar] [CrossRef]
- Weidenhagen, R.; Gruetzner, K.U.; Wiecken, T.; Spelsberg, F.; Jauch, K.W. Endoscopic vacuum-assisted closure of anastomotic leakage following anterior resection of the rectum. A new method. Surg. Endosc. Other Interv. Tech. 2008, 22, 1818–1825. [Google Scholar] [CrossRef]
- Shalaby, M.; Emile, S.; Elfeki, H.; Sakr, A.; Wexner, S.D.; Sileri, P. Systematic review of endoluminal vacuum-assisted therapy as salvage treatment for rectal anastomotic leakage. BJS Open 2019, 3, 153–160. [Google Scholar] [CrossRef]
- Soliman, F. Intraluminal negative pressure wound therapy and rectal anastomotic leak management: Regular vac sponge and a nasogastric tube. Ann. R. Coll. Surg. Engl. 2024, 106, 461–462. [Google Scholar] [CrossRef] [PubMed] [PubMed Central]
- Runkel, N.S.F.; Birk, M. Endo luminal negative pressure wound therapy [E-NPWT] for anastomotica leakage after rectal resection. Negat. Press. Wound Ther. J. 2014, 1, 1–6. [Google Scholar]
- Abdalla, S.; Cotte, E.; Epin, A.; Karoui, M.; Lefevre, J.H.; Berger, A.; Marchal, F.; Denost, Q.; Penna, C.; Benoist, S.; et al. Short-term and long-term outcome of endo luminal vacuum therapy for colorectal or coloanal anastomotic leakage: Results of a nationwide multicenter cohort study from the French Greccar group. Dis. Colon. Rectum 2020, 6, 371–380. [Google Scholar] [CrossRef]
- de Moura, D.T.H.; de Moura, B.F.B.H.; Manfredi, M.A.; Hathorn, K.E.; Bazarbashi, A.N.; Ribeiro, I.B.; de Moura, E.G.H.; Thompson, C.C. Role of endoscopic vacuum therapy in the management of gastrointestinal transmural defects. World J. Gastrointest. Endosc. 2019, 11, 329–344. [Google Scholar]
- Almogy, G.; Makori, A.; Zamir, O.; Pikarsky, A.J.; Rivkind, A.I. Rectal penetrating injuries from blast trauma. Isr. Med. Assoc. J. 2002, 4, 557–558. [Google Scholar]
- Althoff, A. Endoluminal vacuum-assisted closure for penetrating rectal injury in a pediatric patient. J. Pediatr. Surg. Case Rep. 2021, 70, 101885. [Google Scholar] [CrossRef]
- Sozutek, A. Endoluminal Vacuum Therapy (EVT) for the Treatment of Rectal Perforation Following Cleansing Enema Application. Cureus 2023, 15, e35939. [Google Scholar] [CrossRef] [PubMed] [PubMed Central]
- Rosati, E.; Valeri, M.; Graziosi, L.; Amato, L.; Avenia, S.; Donini, A. Rectal perforation and perirectal abscess following stapled hemorrhoidectomy for prolapsed hemorrhoids successfully managed with Endo-SPONGE endoluminal vacuum-assisted wound closure system. Ann. Coloproctol. 2022, 38, 387–390. [Google Scholar] [CrossRef] [PubMed]
- Zumblick, M.; Stathopoulos, P.; Gress, T.M.; Denzer, U.W. Endoscopic vacuum therapy for iatrogenic rectal perforation. Case Rep. Gastroenterol. 2022, 16, 425–429. [Google Scholar] [CrossRef] [PubMed]
- Klemetti, E.; Rico-Vargas, S.; Mojon, P. Short duration hyperbaric oxygen treatment effects blood flow in rats: Pilot observations. Lab. Anim. 2005, 39, 116–121. [Google Scholar] [CrossRef]
- Kemik, O.; Adas, G.; Arikan, S.; Gurluler, E.; Dogan, Y.; Toklu, A.S.; Kapran, Y.; Kuntsal, L.; Purisa, S.; Kemik, A. Evaluation of the effects of hyperbaric oxygen treatment and enoxaparin on left colon anastomosis. An experimental study. Eur. Rev. Med. Pharmacol. Sci. 2013, 17, 2286–2292. [Google Scholar]
- Hohn, D.C.; MacKay, R.D.; Halliday, B.; Hunt, T.K. Effect of O2 tension on microbicidal function of leukocytes in wounds and in vitro. Surg. Forum. 1976, 27, 18–20. [Google Scholar]
- Dauwe, P.B.; Pulikkottil, B.J.; Lavery, L.; Stuzin, J.M.; Rohrich, R.J. Does hyperbaric oxygen therapy work in facilitating acute wound healing: A systematic review. Plast Reconstr Surg. 2014, 133, 208e–215e. [Google Scholar] [CrossRef]
- Svalestad, J.; Thorsen, E.; Vaagbø, G.; Hellem, S. Effect of hyperbaric oxygen treatment on oxygen tension and vascular capacity in irradiated skin and mucosa. Int. J. Oral. Maxillofac. Surg. 2014, 43, 107–112. [Google Scholar] [CrossRef]
- Brouwer, R.J.; Engberts, A.C.; Borger van der Burg, B.L.B.; van Dongen, T.T.V.; van Hulst, R.A.; Hoencamp, R. Meta-analysis on the effect of hyperbaric oxygen as adjunctive therapy in the outcome of anastomotic healing of experimental colorectal resections in rats. Diving Hyperb. Med. 2018, 48, 173–185. [Google Scholar] [CrossRef]
- Açiksari, K.; Eğin, S.; Hepgül, G.; Mirasoğlu, B.; Tanriverdi, G.; Kanber, D.S.; Demirci, S.; Doğan, H.; Özüçelik, D.N.; Toklu, A.S.; et al. Protective effect of hyperbaric oxygen treatment on rat intestinal mucosa after mesenteric ischemia and reperfusion. Diving Hyperb. Med. 2019, 49, 253–258. [Google Scholar] [CrossRef]




Disclaimer/Publisher’s Note: The statements, opinions and data contained in all publications are solely those of the individual author(s) and contributor(s) and not of MDPI and/or the editor(s). MDPI and/or the editor(s) disclaim responsibility for any injury to people or property resulting from any ideas, methods, instructions or products referred to in the content. |
© 2025 by the authors. Licensee MDPI, Basel, Switzerland. This article is an open access article distributed under the terms and conditions of the Creative Commons Attribution (CC BY) license (https://creativecommons.org/licenses/by/4.0/).
Share and Cite
Parnasa, Y.S.; Cohen-Arazi, O.; Marom, G.; Abu-Gazala, M.; Shussman, N.; Bala, M. Innovative Treatment of Combat-Related Extraperitoneal Penetrating Rectal Injury with Intraluminal Vacuum Therapy: A Case Report. Trauma Care 2025, 5, 12. https://doi.org/10.3390/traumacare5020012
Parnasa YS, Cohen-Arazi O, Marom G, Abu-Gazala M, Shussman N, Bala M. Innovative Treatment of Combat-Related Extraperitoneal Penetrating Rectal Injury with Intraluminal Vacuum Therapy: A Case Report. Trauma Care. 2025; 5(2):12. https://doi.org/10.3390/traumacare5020012
Chicago/Turabian StyleParnasa, Yafa Shani, Oded Cohen-Arazi, Gad Marom, Mahmoud Abu-Gazala, Noam Shussman, and Miklosh Bala. 2025. "Innovative Treatment of Combat-Related Extraperitoneal Penetrating Rectal Injury with Intraluminal Vacuum Therapy: A Case Report" Trauma Care 5, no. 2: 12. https://doi.org/10.3390/traumacare5020012
APA StyleParnasa, Y. S., Cohen-Arazi, O., Marom, G., Abu-Gazala, M., Shussman, N., & Bala, M. (2025). Innovative Treatment of Combat-Related Extraperitoneal Penetrating Rectal Injury with Intraluminal Vacuum Therapy: A Case Report. Trauma Care, 5(2), 12. https://doi.org/10.3390/traumacare5020012

