Next Article in Journal
Biomechanical Behavior of Female Breast—A Review
Previous Article in Journal
High Glucose Concentration on the Metabolic Activity of C6 Glia Cells: Implication in Alzheimer’s Disease
 
 
Font Type:
Arial Georgia Verdana
Font Size:
Aa Aa Aa
Line Spacing:
Column Width:
Background:
Case Report

Cocaine-Induced Limbic Encephalopathy Manifesting as Acute Amnesia: A Case Report

1
College of Medicine, California Northstate University, Elk Grove, CA 95757, USA
2
Department of Neurology, Kaiser Permanente South Sacramento Medical Center, Sacramento, CA 95823, USA
*
Author to whom correspondence should be addressed.
Submission received: 6 December 2024 / Revised: 15 January 2025 / Accepted: 20 January 2025 / Published: 21 January 2025

Abstract

Background: Cocaine has been shown to cause cytotoxic neuronal damage, which has been implicated in cases of leukoencephalopathy. We present a case of cocaine-induced toxic encephalopathy resulting in predominant lesions to the gray matter on magnetic resonance imaging (MRI). Case Presentation: A 70-year-old female presented acutely with confusion, agitation, and disorientation. She was markedly hypertensive with other vital signs within normal range. On presentation to the emergency department, she was uncooperative and had an unsteady gait but showed no focal neurological deficits. Her lab work was positive for elevated cardiac troponins, elevated D-dimer, and a urine drug screen positive only for cocaine. Head computed tomography (CT) showed no hemorrhage and head CT angiogram showed no abnormalities and no significant vascular stenosis. Chest X-ray and CT showed diffuse ground glass opacities compatible with atypical pneumonia. Antibiotics were initiated to treat the pneumonia and antihypertensives were administered to manage her blood pressure. She was also given IV thiamine. Brain MRI showed restricted diffusion involving bilateral hippocampi, thalami, putamen, caudate, and right occipital lobe, findings suspicious for cytotoxic edema. After acute stabilization, the patient demonstrated profound anterograde and retrograde amnesia, which improved gradually over days to weeks. She was eventually discharged to a skilled nursing facility. Conclusion: To our knowledge, this is the first reported case of profound amnesia secondary to cocaine-induced toxic encephalopathy with bilateral hippocampal involvement. These symptoms correlate with the implicated neuroanatomical structures. This case demonstrates that cocaine may be implicated in toxic encephalopathy affecting the brain’s gray matter and highlights a unique presentation of these findings.

1. Introduction

Toxic encephalopathy can result from various exposures, including occupational toxins, iatrogenic substances, alcohol, and recreational drugs [1,2]. The two common forms of encephalopathy are acute diffuse toxic encephalopathy and chronic toxic encephalopathy. Acute diffuse toxic encephalopathy occurs when lipid-soluble neurotoxins penetrate the central nervous system, resulting in a rapid and severe brain dysfunction [1,2]. Common causes include organic solvents, gases, and heavy metals. In contrast, chronic toxic encephalopathy, a more indolent cause of encephalopathy, typically arises from long-term exposure to solvents or heavy metals. This condition leads to cognitive impairment which can lead to dementia, although the underlying mechanisms remain unclear [1,2]. The diagnosis of toxic encephalopathy is based on the patient’s occupational history, neurobehavioral testing, and an exclusion of other conditions, while treatment primarily focuses on removing the source of the exposure [1,2].
Multiple reports of toxin-induced encephalopathy have been attributed to cocaine use. In these cases, cocaine-induced neurological injury was typically identified through the abnormalities observed on a brain Magnetic Resonance Imaging (MRI). The most common presenting symptom of cocaine-induced encephalopathy is altered mental status, but other reported symptoms include movement disorders, ataxia, and confusion [1,2].
The neurotoxic mechanisms of cocaine are multifactorial. Cocaine stimulates the production of abundant reactive oxygen species, which have the potential to overwhelm mitochondria, leading to cellular dysfunction, cell death, and neurodegeneration [3]. Cocaine blocks the reuptake of monoamines, resulting in an excess of epinephrine and norepinephrine, which can induce acute and severe hypertension [4]. Additionally, intracranial vascular constriction may result [4]. Evidence also suggests that cocaine-induced hyperthermia disturbs the blood-brain barrier, predisposing to edema and further exacerbating cellular stress [5]. Cocaine is also implicated in inducing inflammation of neurons and pericytes by upregulating cytokines and disrupting autophagy [6]. Chronic cocaine use has been linked to cerebrovascular stenosis, gray matter deterioration and atrophy, as well as accelerated brain aging [4,7].
We present a unique case of acute cocaine-induced toxic encephalopathy resulting in neurological injury, primarily affecting the brain’s gray matter. In this case, degenerative changes affecting bilateral hippocampi and basal ganglia resulted in profound anterograde and retrograde amnesia. To our knowledge, such findings have not been reported in the existing literature.

2. Case Presentation

A 70-year-old female, with an unknown medical history, was brought in by ambulance from a women’s shelter, after staff found her to be mentally altered and confused. She was last seen presenting normally one day earlier. During transport she had notable hypertension (190/110 mmHg) but otherwise demonstrated normal vital signs and a normal blood sugar of 80 mg/dL. She was alert, but confused, agitated, oriented only to self. On arrival at the emergency department, the patient was uncooperative and was a poor historian. During the exam, she exhibited no persistent focal neurological deficits. She had an unsteady gait but was able to stand and walk without assistance. She exhibited no nystagmus or ophthalmoplegia.
A diagnostic workup was initiated. While cardiac troponins were initially elevated, they were down trending after two hours, and an electrocardiogram was completed, which revealed no signs of ischemia. The D-dimer was elevated. The urine drug screen was positive for cocaine and negative for other substances. The additional laboratory workup was within normal limits, including complete blood count, complete metabolic panel, liver enzymes, thyroid testing, ammonia, infectious testing for hepatitis, human immunodeficiency virus, and syphilis, nutritional testing for thiamine, folate, and vitamin B12, and toxin testing for acetaminophen and salicylates. The head computed tomography (CT) was negative for asymmetry or hemorrhage, and the CT angiogram of the head and neck was notable only for bilateral mild internal carotid stenosis (less than 50%). The chest X-ray and the chest CT showed diffuse ground glass opacities, concerning for atypical pneumonia. The CT of the abdomen and pelvis showed no acute processes. The patient became agitated during the CT scan and was admitted on a medical hold for grave disability.
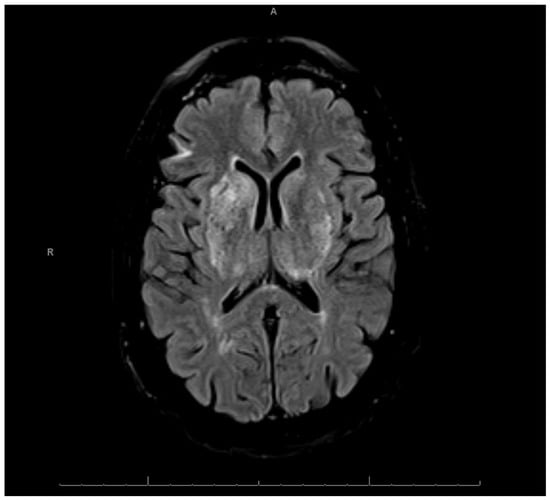
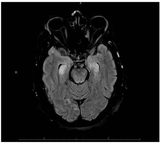
After managing the patient’s agitation, ceftriaxone and doxycycline were initiated to treat presumed community acquired pneumonia, antihypertensives were initiated to manage the patient’s marked hypertension, and intravenous thiamine was initiated prophylactically. Magnetic resonance imaging (MRI) of the brain was then completed, which demonstrated areas of restricted diffusion involving the bilateral hippocampi, thalami, putamen, and caudate nuclei (Figure 1, Figure 2, and Figure S1). This pattern was suspicious for cytotoxic edema resulting from hypoxic, ischemic, or toxic encephalopathy.
Over the next few days, the patient became conversational but could not recall any events that led up to, or occurred after, her admission. Despite being medically stabilized, she remained significantly confused, being oriented only to herself. She was alert and cooperative, with a normal affect. Her speech, language, comprehension, expression, naming, fluency, and thought content remained within normal limits; however, she exhibited profound retrograde and anterograde amnesia. She was unable to recall any memories from her past or the details of her hospitalization. She did not recognize regular hospital staff and struggled to follow conversations for more than a minute, often repeating the same questions. Her recall was extremely limited, as she could recall zero out of two objects after thirty seconds, even with cues. However, she did demonstrate an awareness of her memory loss, which frequently caused her to become frustrated.
The patient’s family was contacted, and they revealed that the patient had a history of mild intellectual disability since birth, but she had completed a high school education and had no memory deficits at baseline.
Over the next weeks, the patient’s memory began to improve. She began to recall events from her past but remained disoriented regarding place and time. Gradually, she began to recognize visiting family members as well as hospital staff, became oriented to place, and began to recall events that had occurred since her admission, though she did not recall events immediately leading up to her admission. She was discharged to a skilled nursing facility.

3. Discussion

Cocaine has many established neurological effects on people who exhibit long-term use. The most impacted cognitive domains include attention, impulsivity, verbal learning and memory, which can last for as long as five months after discontinuation [8]. The degree of impairment is inversely related to the length of abstinence [8]. Other psychiatric changes from chronic cocaine use include depression, anxiety, and hyperactivity [9]. The most profound effects of longitudinal cocaine use on memory involve cognition related to working memory, as observed in the Zurich Cocaine Cognition Study [10]. However, this patient exhibited symptoms of acute-onset retrograde and anterograde amnesia, which are not typical symptoms of chronic cocaine use, as the drug is more associated with deficits in short-term memory.
Upon a thorough review of the literature, we were unable to identify previously reported cases of retrograde and anterograde amnesia, secondary to cocaine-induced toxic encephalopathy, affecting symmetrical hippocampi and deep gray nuclei. In rare cases, patients presenting with confusion or altered mental status have been diagnosed with cocaine-induced leukoencephalopathy with white-matter predominant lesions, but great variation in presenting symptoms have been reported in these cases [2].
Severe neurological complications have been associated with cocaine that is adulterated with levamisole, an adjuvant that can cause neutropenia, agranulocytosis, and vasculitis. In most cases, however, encephalopathy is primarily attributed to white matter disturbances [11,12]. On the contrary, in this case, the patient’s brain MRI demonstrated cytotoxic edema predominantly affecting gray matter areas. Most studies that have observed gray matter changes associated with cocaine report indolent changes with chronic use, rather than acute presentations with prominent focal lesions [7,13]. This further highlights the rarity of this case.
Hypoxia may also be implicated in cocaine-induced neurotoxicity. Potential mechanisms, through which hypoxic cocaine-induced anterograde amnesia may occur, are a result of a one-step process or two-step synergistic processes. In the proposed one-step process, cocaine-induced vasospasm may restrict blood flow to the hippocampus, resulting in anterograde amnesia [14,15]. This mechanism may be attributed to catecholamine excess at presynaptic terminals, compounded by stimulation of calcium channels in cerebral vascular smooth muscle cells, which underlie cocaine’s powerful vasoconstrictive properties [15,16]. In the two-step process, vasospasm may act synergistically alongside a pre-existing ischemic lesion to exacerbate insult to the hippocampus [14].
A possible alternative explanation for this patient’s symptoms and MRI findings is herpes encephalitis. However, this diagnosis is unlikely due to the absence of fever, seizures, headaches, and focal neurological deficits, as well as the spontaneous improvement of symptoms without antiviral medications [17]. Acute cocaine-induced toxic encephalopathy better explains the patient’s distinctive case of profound memory deficits and gray matter lesions.
Recent research suggests a connection between opiates and substance-associated amnesia, rather than cocaine. This has led to the introduction of a novel diagnosis known as opioid-associated amnesic syndrome (OAS) [18,19]. Although OAS does not yet have widely accepted diagnostic criteria, researchers have proposed a triad of anterograde amnesia, bilateral hippocampal edema, and positive opioid toxicology [18,19]. The mechanism of hippocampal injury in these cases is thought to be due to opioid-induced neuronal hypermetabolism [19]. In this case, however, there was no evidence of opioid use since the urine screening for opiates, fentanyl, and methadone was negative. However, we cannot definitively rule out the possibility that opioids may have been implicated—either directly or adjunctively—given that some formulations of fentanyl may escape detection on standard urine drug screenings [20]. Nonetheless, OAS does not fully explain this patient’s presentation, since retrograde amnesia is not typically associated with OAS. Additionally, the affected brain regions, including the thalami, putamen, caudate, and right occipital lobe, are not classically linked with OAS. Therefore, further research on OAS is necessary before fully considering this novel and controversial diagnosis, and cocaine remains the most likely explanation for the clinical picture described in this case.

4. Conclusions

We present a rare case of cocaine-induced toxic encephalopathy presenting with profound retrograde and anterograde amnesia. Cocaine has been associated with rare cases of acute toxic leukoencephalopathy and long-term use of the drug has been linked to deficits of cognitive function, including behavior, mood, attention, and working memory. Stark but reversible amnesia, as observed in this patient, has been documented in rare cases of drug-induced toxicity implicating cocaine and opioids. In this unique case, however, we highlight predominant grey-matter changes associated with the use of the drug. To our knowledge, we present the first case of amnesia associated with bilateral hippocampal gray matter changes attributed to cocaine. Further research is needed to establish the pathophysiological mechanisms underlying the neurotoxic effects of cocaine on the hippocampus and other limbic structures, and to assess long-term cognitive outcomes.

5. Limitations

Limitations of this case report include minimal clinical follow up. Additional follow up beyond the reported hospitalization would have improved the monitoring and characterization of the patient’s symptomatology over time, to better explain the etiology of her condition. Additionally, the imaging studies were limited. Despite the inclusion of ADC images, this report could have benefitted from additional DWI and corresponding T1 images to better capture the noted right frontal cortical involvement, which were not obtainable.

Supplementary Materials

The following supporting information can be downloaded at: https://www.mdpi.com/article/10.3390/biomed5010004/s1, Figure S1: Lesions in Bilateral Thalami and Basal Ganglia; ADC map of MRI showing restricted diffusion in bilateral thalami, putamen, and caudate nuclei.

Author Contributions

Conceptualization, L.M.B.; investigation, L.M.B. and F.L.; writing—original draft preparation, L.M.B., L.M.W., P.S. and A.J.; writing—review and editing, L.M.B., L.M.W., P.S., A.J., S.K. and F.L.; visualization, L.M.B.; supervision, F.L.; funding acquisition, F.L. All authors have read and agreed to the published version of the manuscript.

Funding

This research received no external funding.

Institutional Review Board Statement

Ethical review and approval were waived for this writeup due to this paper describing a single clinical case and not intending to create generalizable medical knowledge. This paper was, however, conducted in accordance with ethical guidelines including obtaining informed consent and de-identifying patient information.

Informed Consent Statement

Written informed consent has been obtained from the patient to publish this paper.

Data Availability Statement

The original contributions presented in this study are included in the article/Supplementary Material. Further inquiries can be directed to the corresponding author.

Conflicts of Interest

The authors declare no conflicts of interest.

References

  1. Zouari, R.; Nabli, F.; Ben Mohamed, D.; Saeid, M.Z.; Ben Sassi, S. Toxic encephalopathy after an overdose of cocaine: A case serie. Eur. Psychiatry 2023, 66 (Suppl. S1), S672–S673. [Google Scholar] [CrossRef]
  2. Eshan, S.H.; Bedross, A.; Chandra, G.; Inojosa, J.R.M.; Chalise, S. Cocaine-Induced Toxic Leukoencephalopathy: A Case Report. Cureus 2024, 16, e54574. [Google Scholar] [CrossRef] [PubMed]
  3. Wen, S.; Aki, T.; Funakoshi, T.; Unuma, K.; Uemura, K. Role of mitochondrial dynamics in cocaine’s neurotoxicity. Int. J. Mol. Sci. 2022, 23, 5418. [Google Scholar] [CrossRef] [PubMed]
  4. Bachi, K.; Mani, V.; Jeyachandran, D.; Fayad, Z.A.; Goldstein, R.Z.; Alia-Klein, N. Vascular disease in cocaine addiction. Atherosclerosis 2017, 262, 154–162. [Google Scholar] [CrossRef] [PubMed]
  5. Sharma, H.S.; Muresanu, D.; Sharma, A.; Patnaik, R. Cocaine-induced breakdown of the blood–brain barrier and neurotoxicity. Int. Rev. Neurobiol. 2009, 88, 297–334. [Google Scholar] [CrossRef] [PubMed]
  6. Sil, S.; Niu, F.; Tom, E.; Liao, K.; Periyasamy, P.; Buch, S. Cocaine Mediated Neuroinflammation: Role of Dysregulated Autophagy in Pericytes. Mol. Neurobiol. 2019, 56, 3576–3590. [Google Scholar] [CrossRef] [PubMed]
  7. Beheshti, I. Cocaine Destroys Gray Matter Brain Cells and Accelerates Brain Aging. Biology 2023, 12, 752. [Google Scholar] [CrossRef] [PubMed]
  8. Potvin, S.; Stavro, K.; Rizkallah, E.; Pelletier, J. Cocaine and cognition: A systematic quantitative review. J. Addict. Med. 2014, 8, 368–376. [Google Scholar] [CrossRef] [PubMed]
  9. Rosário, B.D.A.; de Nazaré, M.F.S.; Estadella, D.; Ribeiro, D.A.; Viana, M.B. Behavioral and neurobiological alterations induced by chronic use of crack cocaine. Rev. Neurosci. 2019, 31, 59–75. [Google Scholar] [CrossRef] [PubMed]
  10. Vonmoos, M.; Hulka, L.M.; Preller, K.H.; Minder, F.; Baumgartner, M.R.; Quednow, B.B. Cognitive impairment in cocaine users is drug-induced but partially reversible: Evidence from a longitudinal study. Neuropsychopharmacology 2014, 39, 2200–2210. [Google Scholar] [CrossRef] [PubMed]
  11. González-Duarte, A.; Williams, R. Cocaine-induced recurrent leukoencephalopathy. Neuroradiol. J. 2013, 26, 511–513. [Google Scholar] [CrossRef] [PubMed]
  12. Brunt, T.M.; Berg, J.v.D.; Pennings, E.; Venhuis, B. Adverse effects of levamisole in cocaine users: A review and risk assessment. Arch. Toxicol. 2017, 91, 2303–2313. [Google Scholar] [CrossRef] [PubMed]
  13. Hall, M.G.; Alhassoon, O.M.; Stern, M.J.; Wollman, S.C.; Kimmel, C.L.; Perez-Figueroa, A.; Radua, J. Gray matter abnormalities in cocaine versus methamphetamine-dependent patients: A neuroimaging meta-analysis. Am. J. Drug Alcohol Abus. 2015, 41, 290–299. [Google Scholar] [CrossRef] [PubMed]
  14. Haut, M.W.; Hogg, J.P.; Marshalek, P.J.; Suter, B.C.; Miller, L.E. Amnesia Associated with Bilateral Hippocampal and Bilateral Basal Ganglia Lesions in Anoxia with Stimulant Use. Front. Neurol. 2017, 8, 27. [Google Scholar] [CrossRef] [PubMed][Green Version]
  15. Di Paola, M.; Caltagirone, C.; Fadda, L.; Sabatini, U.; Serra, L.; Carlesimo, G.A. Hippocampal atrophy is the critical brain change in patients with hypoxic amnesia. Hippocampus 2008, 18, 719–728. [Google Scholar] [CrossRef] [PubMed]
  16. Treadwell, S.D.; Robinson, T.G. Cocaine use and stroke. Postgrad. Med. J. 2007, 83, 389–394. [Google Scholar] [CrossRef] [PubMed]
  17. Bradshaw, M.J.; Venkatesan, A. Herpes Simplex Virus-1 Encephalitis in Adults: Pathophysiology, Diagnosis, and Management. Neurotherapeutics 2016, 13, 493–508. [Google Scholar] [CrossRef] [PubMed]
  18. Barash, J.A.; Whitledge, J.; Watson, C.J.; Boyle, K.; Lim, C.; Lev, M.H.; DeMaria, A., Jr.; Ganetsky, M. Opioid-associated amnestic syndrome: Description of the syndrome and validation of a proposed definition. J. Neurol. Sci. 2020, 417, 117048. [Google Scholar] [CrossRef] [PubMed]
  19. Walker, M.L.; Patel, K.; Li, T.; Kassir, M. Opioid-Associated Amnestic Syndrome. Cureus 2021, 13, e20056. [Google Scholar] [CrossRef] [PubMed]
  20. Helander, A.; Stojanovic, K.; Villén, T.; Beck, O. Detectability of fentanyl and designer fentanyls in urine by 3 commercial fentanyl immunoassays. Drug Test. Anal. 2018, 10, 1297–1304. [Google Scholar] [CrossRef] [PubMed]
Figure 1. Lesions in Bilateral Hippocampi. Diffusion-weighted brain MRI showing restricted diffusion in bilateral hippocampal regions, as well as subtle restriction in the right occipital lobe.
Figure 1. Lesions in Bilateral Hippocampi. Diffusion-weighted brain MRI showing restricted diffusion in bilateral hippocampal regions, as well as subtle restriction in the right occipital lobe.
Biomed 05 00004 g001
Figure 2. Lesions in Bilateral Thalami and Basal Ganglia. Diffusion-weighted brain MRI showing restricted diffusion in bilateral thalami, putamen, and caudate nuclei.
Figure 2. Lesions in Bilateral Thalami and Basal Ganglia. Diffusion-weighted brain MRI showing restricted diffusion in bilateral thalami, putamen, and caudate nuclei.
Biomed 05 00004 g002
Disclaimer/Publisher’s Note: The statements, opinions and data contained in all publications are solely those of the individual author(s) and contributor(s) and not of MDPI and/or the editor(s). MDPI and/or the editor(s) disclaim responsibility for any injury to people or property resulting from any ideas, methods, instructions or products referred to in the content.

Share and Cite

MDPI and ACS Style

Bourgan, L.M.; Wong, L.M.; Setty, P.; Junaid, A.; Karim, S.; Lui, F. Cocaine-Induced Limbic Encephalopathy Manifesting as Acute Amnesia: A Case Report. BioMed 2025, 5, 4. https://doi.org/10.3390/biomed5010004

AMA Style

Bourgan LM, Wong LM, Setty P, Junaid A, Karim S, Lui F. Cocaine-Induced Limbic Encephalopathy Manifesting as Acute Amnesia: A Case Report. BioMed. 2025; 5(1):4. https://doi.org/10.3390/biomed5010004

Chicago/Turabian Style

Bourgan, Leah Mitra, Lindsay Michelle Wong, Prithvi Setty, Adan Junaid, Shahnawaz Karim, and Forshing Lui. 2025. "Cocaine-Induced Limbic Encephalopathy Manifesting as Acute Amnesia: A Case Report" BioMed 5, no. 1: 4. https://doi.org/10.3390/biomed5010004

APA Style

Bourgan, L. M., Wong, L. M., Setty, P., Junaid, A., Karim, S., & Lui, F. (2025). Cocaine-Induced Limbic Encephalopathy Manifesting as Acute Amnesia: A Case Report. BioMed, 5(1), 4. https://doi.org/10.3390/biomed5010004

Article Metrics

Back to TopTop