Prevalence and Intensity of Sarcocystis spp. Infections in Alpine Chamois (Rupicapra r. rupicapra) in Germany
Abstract
1. Introduction
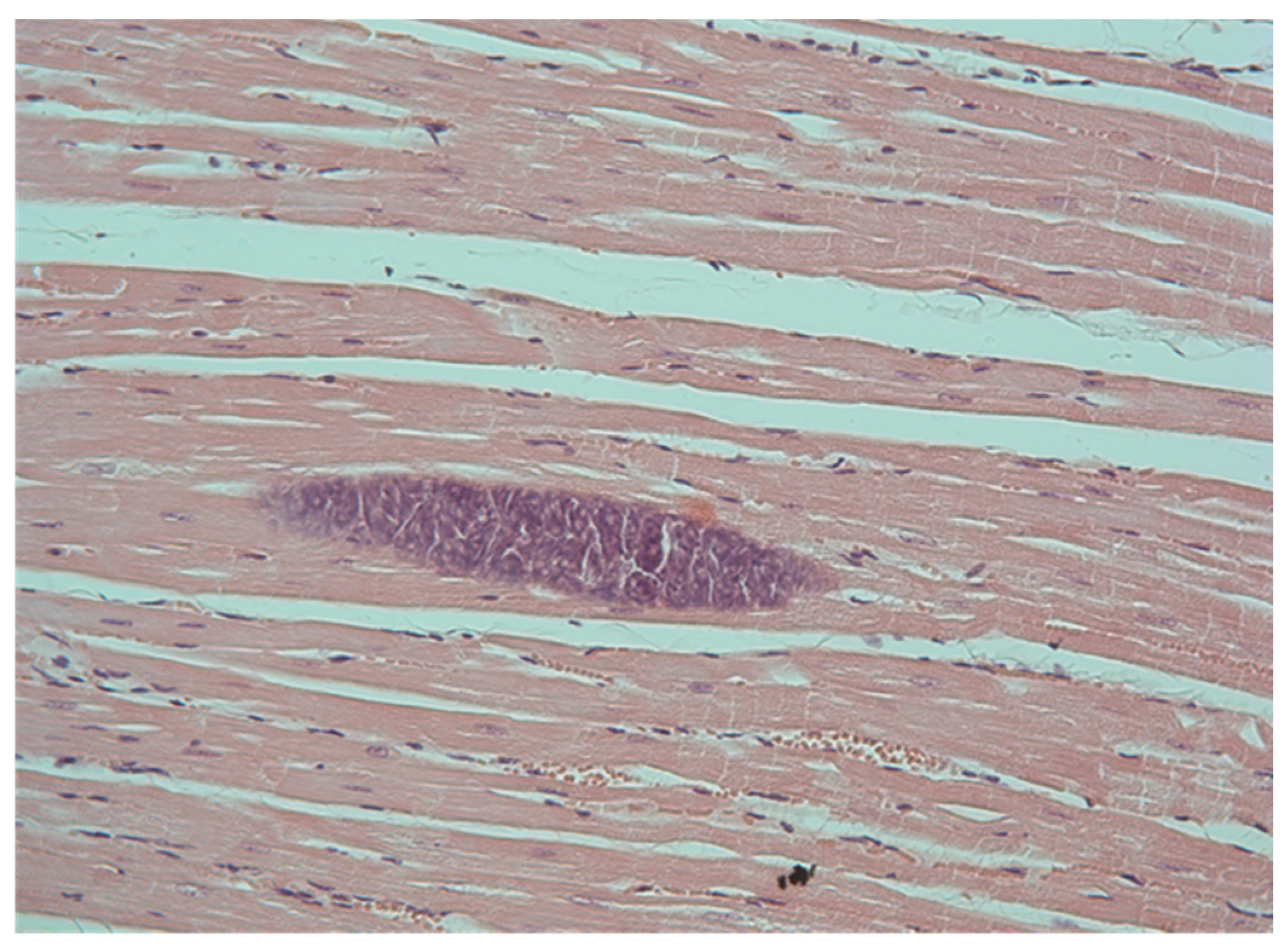
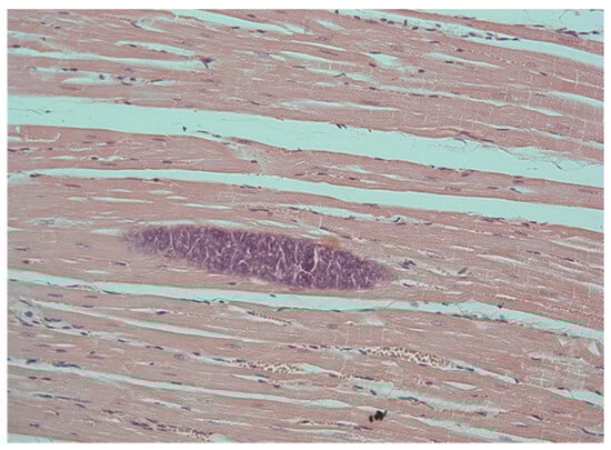
2. Results
3. Discussion
4. Material and Methods
Author Contributions
Funding
Institutional Review Board Statement
Informed Consent Statement
Data Availability Statement
Acknowledgments
Conflicts of Interest
References
- Corlatti, L.; Herrero, J.; Ferretti, F.; Anderwald, P.; Garcia-González, R.; Hammer, S.E.; Nores, C.; Rossi, L.; Lovari, S. Northern chamois Rupicapra rupicapra (Linnaeus, 1758) and Southern chamois Rupicapra pyrenaica Bonaparte, 1845. In Terrestrial Cetartiodactyla; Corlatti, L., Zachos, F.E., Eds.; Springer Nature: Cham, Switzerland, 2022; pp. 325–366. [Google Scholar]
- Dollinger, P. Beitrag zur Kenntnis des Endoparasitenspektrums des Gemswildes in der Schweiz. Zschr. Jagdwiss. 1974, 20, 115–118. [Google Scholar] [CrossRef]
- Burgisser, H. Compte-rendu sur les maladies des animaux sauvages (1973–1974). Schweiz. Arch. Tierheilkd. 1975, 117, 397–400. [Google Scholar] [PubMed]
- Ippen, R.; Blažek, K.; Henne, D.; Kotrly, A. Ein Beitrag zur Sarkosporidiose der Zoo- und Wildtiere. Verhandlungsber. Erkrank. Zootiere 1974, 16, 315–321. [Google Scholar]
- Blažek, K.; Kotrlý, A.; Ippen, R. Sarkosporidióza myokardu spárkaté zvěře. Vet. Med. 1976, 21, 75–80. [Google Scholar]
- Biocca, E.; Balbo, T.; Guarda, E.; Costantini, R. L’importanza della volpe (Vulpes vulpes) nella trasmissione della sarcosporidiosi dello stambecco (Capra ibex) nel Parco Nazionale del Gran Paradiso. Parassitologia 1975, 18, 17–23. [Google Scholar]
- Burgisser, H. Compte-rendu sur les maladies des animaux sauvages de 1975 à 1982. Schweiz. Arch. Tierheilkd. 1983, 125, 519–527. [Google Scholar]
- Chroust, K. Parazitofauna kamzíka obecného v oblasti Jeseníků. Fol. Venatoria 1991, 21, 77–88. [Google Scholar]
- Euzeby, J.; Hugonnet, L. Le parasitisme les chamois et mouflons de la reserve naturelle des Bauges et le parasitisme chez les chamois de Vanoise. Rapp. Maladies Parasitaires. Ecole Nat. Vét. Lyon France 1980. [Google Scholar]
- Hugonnet, L.; Euzeby, J.; Hars, J.; Gibert, P.; Chauve, C. Cinetique de l’infesttaion parasitaire des jaunes chamois dans la reserve nationale des Bauges. Bull. Mens. Off. Nat. Chass. 1983, 67, 35–43. [Google Scholar]
- Nevejans, Y. Contribution a L’etude des Causes de Mortalité du Chamois (Rupicapra rupicapra) Dans les Alpes du Nord. Ph.D. Thesis, French Veterinary School, Lyon, France, 2002. [Google Scholar]
- Cornaglia, E.; Guarda, F.; Guarda, F.; Misciattelli, M.E. Ricerca, frequenza, diagnosi, morfologia istopatologica ed ultrastrutturale della sarcosporidiosi cardiaca nei camosci e stambecchi. Ann. Fac. Med. Vet. Torino 1980, 27, 279–296. [Google Scholar]
- Guarda, F.; Guarda, F.; Cornaglia, E. Contributo allo studio della patologia cardiaca dei camosci e stambecchi. Ann. Fac. Med. Vet. Torino 1980, 27, 253–274. [Google Scholar]
- Guarda, F.; Peracino, V. Problemi di patologia nei camosci e stambecchi delle Alpi. Schweiz. Arch. Tierheilkd. 1987, 129, 327–331. [Google Scholar]
- Guarda, F.; Bollo, E.; Bassano, B.; Peracino, V. Cardiac pathology in alpine ibex (Capra ibex) and chamois (Rupicapra rupicapra) of the Gran Paradiso National Park. In Proceedings of the Abstracts 2nd World Conference on Mountain Ungulates, Aosta, Italy, 5–7 May 1997; p. 76. [Google Scholar]
- Bregoli, M.E.; Lucchini, R.; Debora, D.; Enrico, F.; Citterio, C.V.; Capelli, G.; Vascellari, M.; Farina, G. Survey of Sarcocystis spp. in game ungulates of central-eastern Italian Alps and report of a systemic sarcosporidiosis in a roe deer (Capreolus capreolus). In Trends in Game Meat Hygiene; Paulsen, P., Bauer, A., Smulders, F.J.M., Eds.; Wageningen Acad. Publ.: Wageningen, The Netherlands, 2014; pp. 183–187. [Google Scholar]
- Giacomelli, S.; Bianchi, A.; Rota Npdari, S.; Gibelli, L.R.; Vicari, N.; Archetti, I.; Bertoletti, I. Messa a punto di metodiche per la determinazione di presenza ed intensità di infestazione da Sarcocystis spp. in ungulati selvatici. In Proceedings of the Atti XVII Congresso Nazionale della Societa Italiana di Diagnostica di Laboratoria Veterinaria (S.I.Di.L.V.), Perugia, Italy, 7–9 November 2018; pp. 290–294. [Google Scholar]
- Goldová, M.; Tóth, Š.; Letková, V.; Mojžišová, J.; Ciberej, J.; Konjevič, D.; Kočišová, A.; Slavica, A. Sarcocystosis in cloven-hoofed game in Slovak Republic. Nat. Croat. 2008, 17, 303–309. [Google Scholar]
- Odening, K.; Stolte, M.; Bockhardt, I. On the diagnostics of Sarcocystis in chamois (Rupicapra rupicapra). Appl. Parasitol. 1996, 37, 153–160. [Google Scholar]
- Hoby, S.; Walzer, C.; Slotta-Bachmayr, L.; Segner, H.; Robert, N. Untersuchungen zur Pathologie von Wildungulaten im Nationalpark Hohe Tauern, Österreich. Wien. Tierärztl. Mschr. 2006, 93, 104–112. [Google Scholar]
- Erber, M. Specificity of Sarcocystis spp. in sheep, chamois and goat. In Proceedings of the Abstracts 3rd European Multicolloquium on Parasitology, Cambridge, UK, 7–13 September 1980; p. 142. [Google Scholar]
- Kolenda, R.; Schierack, P.; Zieba, F.; Zawijacz-Kozina, T.; Bednarski, M. First molecular characterization of Sarcocystis tenella in Tatra chamois (Rupicapra rupiccapra tatrica) in Poland. Parasitol. Res. 2015, 114, 3885–3892. [Google Scholar] [CrossRef] [PubMed]
- Iacob, O.; Cotofan, O.; Raileanu, G.; Pop, I. The multiple parasitic aggression on black goat species (Rupicapra rupicapra) and local reactivity. Magyar Állat. Lapja 2008, 130, 288–289. [Google Scholar]
- Díez-Baños, N.; Hidalgo-Argüello, M.R.; Martínez-González, B.; Fernández-García, R.; Rubio-Nistal, P. Prevalencia de la sarcosporidiosis en corzo (Capreolus capreolus) y rebeco (Rupicapra rupicapra parva) procedentes de la Cordillera Cantabrica de la provincia de León. In Proceedings of the Comunicaciones IV Congreso Ibérico de Parasitologia, Santiago de Compostela, Spain, 24–28 July 1995; p. 92. [Google Scholar]
- Díez-Baños, N.; Hidalgo-Argüello, M.R.; Morrondo-Pelayo, M.P.; Díez-Baños, P. Parasitofauna en pequeños ruminantes silvestres procedentes de la Cordillera Cantábrica de la provincia de León. In Proceedings of the Comunicaciones I Congreso Internacional Medio Ambiente y Veterinaria, Cáceres, Spain, 24–28 April 1997; pp. 547–548. [Google Scholar]
- Fernández Morán, J.; Gomez, S.; Ballesteros, F.; Quiros, P.; Benito, J.L.; Feliu, C.; Nieto, J.M. Epizootiology of sarcoptic mange in a population of Cantabrian chamois (Rupicapra pyrenaica parva) in north-western Spain. Vet. Parasitol. 1997, 73, 163–171. [Google Scholar] [CrossRef]
- Cruz Arnal, M.; Fernández de Luco, D. Estudio sanitario del sarrio en el Pireneo aragonés (1997–2002). In El Sarrio Pirenaico Rupicapra p. pyrenaica: Biología, Patología y Gestión; Herrero, J., Escudero, E., Fernández de Luco, D., García-González, D., Eds.; Publicaciones del Consejo Protección de la Naturaleza de Aragón: Zaragoza, Spain, 2004; pp. 125–132. [Google Scholar]
- Marco, I.; Lopez-Olvera, J.R.; Rosell, R.; Vidal, E.; Hurtado, A.; Juste, R.; Pumarola, M.; Lavin, S. Severe outbreak of disease in the southern chamois (Rupicapra pyrenaica) associated with border disease virus infection. Vet. Microbiol. 2007, 120, 33–41. [Google Scholar] [CrossRef]
- Calero-Bernal, R.; van Wilpe, E.; White, K.; Verma, S.K.; Cerqueira-Cézar, C.K.; Dubey, J.P. Sarcocystis oreamni, n. sp., (Apicomplexa: Sarcocystidae) from a mountain goat (Oreamnos americaus). Parasitol. Res. 2015, 114, 4135–4141. [Google Scholar] [CrossRef][Green Version]
- Cornaglia, E.; Rossetto Giaccherino, A.; Peracino, V. Ultrastructural morphology of sarcosporidiosis in Alpine ibex (Capra ibex). Vet. Parasitol. 1998, 75, 21–32. [Google Scholar] [CrossRef] [PubMed]
- Rossi, L.; Lanfranchi, P.; Meneguz, P.G.; De Meneghi, D.; Guarda, F. Infezione sperimentale della capra e delle pecore con sarcosporidi del muflone e del camoscio. Parassitologia 1988, 30, 164–165. [Google Scholar]
- Odening, K.; Stolte, M.; Bockhardt, I. Phylogenetic relationship of chamois and mountain goat as demonstrated by parasites of the genus Sarcocystis. In Proceedings of the 2nd World Conference on Mountain Ungulates, Aosta, Italy, 5–7 May 1997; pp. 159–167. [Google Scholar]
- Guardone, L.; Armani, A.; Mancianti, F.; Ferroglio, E. A review on Alaria alata, Toxoplasma gondii and Sarcocystis spp. in mammalian game meat consumed in Europe: Epidemiology, risk management and future directions. Animals 2022, 12, 263. [Google Scholar] [CrossRef] [PubMed]
- Wotschikowsky, U. Ungulates and their management in Germany. In European Ungulates and Their Management in the 21st Century; Apollonio, M., Andersen, R., Putman, R., Eds.; Cambridge Univ. Press: Cambridge, UK, 2010; pp. 201–222. [Google Scholar]
- Hamel, D. Untersuchungen zum Parasitenbefall des Gamswildes in Deutschland—Helminthen des Gastrointestinaltraktes. Ph.D. Thesis, Ludwig-Maximilians-Univ., Munich, Germany, 2008. [Google Scholar]
- Schlegel, L.S. Untersuchungen zum Parasitenbefall des Gamswildes in Deutschland—Eimerien, Sarkosporidien, Lungenwürmer, Leberegel. Ph.D. Thesis, Ludwig-Maximilians-Univ., Munich, Germany, 2013. [Google Scholar]
- Rehbein, S.; Lindner, T.; Visser, M.; Lutz, W.; Reindl, H. Distribution, prevalence, and intensity of Sarcocystis infections in sika deer (Cervus nippon) of free-ranging populations in Germany and Austria. Parasitol. Res. 2022, 121, 2079–2086. [Google Scholar] [CrossRef]
- Ippen, R.; Hilgenfeld, M. Ergebnisse der reihenmäßigen Untersuchung des erlegten Rehwildes aus dem Wildforschungsgebiet Hakel bei Gatersleben. Beitr. Jagd- u. Wildforsch. 1961, 1, 49–52. [Google Scholar]
- Erber, M.; Boch, J.; Barth, D. Drei Sarkosporidienarten des Rehwildes. Berl. Münch. Tierärztl. Wschr. 1978, 91, 482–486. [Google Scholar]
- Entzeroth, R. Untersuchungen an Sarkosporidien (Mieschersche Schläuche) des einheimischen Rehwildes (Capreolus capreolus L.). Zschr. Jagdwiss. 1981, 27, 247–257. [Google Scholar] [CrossRef]
- Sugár, L. Sarcocystis-Infection in three Hungarian roe deer (Capreolus c. capreolus) populations. Symp. Biol. Hung. 1986, 33, 363–367. [Google Scholar]
- Haupt, W.; Eulenberger, K.H. Untersuchungen zum Befall des Damwildes mit Helminthen und Sarkosporidien. Beitr. Jagd- u. Wildforsch. 1988, 15, 8–54. [Google Scholar]
- Spickschen, C.; Pohlmeyer, K. Untersuchungen zum Vorkommen von Sarkosporidien bei Reh-, Rot- und Muffelwild in zwei unterschiedlichen Naturräumen des Bundeslandes Niedersachsen. Zschr. Jagdwiss. 2002, 48, 35–48. [Google Scholar]
- Prakas, P.; Rehbein, S.; Rudaiytė-Lukošienė, E.; Butkauskas, D. Molecular identification of Sarcocystis species in diaphragm muscle tissue of European mouflon (Ovis gmelini musimon) from Austria. Parasitol. Res. 2021, 120, 2695–2702. [Google Scholar] [CrossRef] [PubMed]
- Prakas, P.; Rehbein, S.; Rudaiytė-Lukošienė, E.; Butkauskas, D. Molecular identification of Sarcocystis species in sika deer (Cervus nippon) of free-ranging populations in Germany and Austria. Vet. Res. Comm. 2023, 47, 2165–2171. [Google Scholar] [CrossRef]
- Luzón, M.; Domíguez-González, J.; Soto-Carrión, A.M.; Alunda, J.M.; de la Fuente, C. Sarcocystosis in Cervus elaphus: Comparison of diagnostic methods. Int. J. Parasitol. Parasit. Wildl. 2015, 4, 396–400. [Google Scholar] [CrossRef] [PubMed]
- Wesołowska, A. Sex—the most underappreciated variable in research: Insights from helminth-infected hosts. BMC Vet. Res. 2022, 53, 94. [Google Scholar] [CrossRef] [PubMed]
- Knaus, W.; Schröder, W. Das Gamswild; Verl. P. Parey: Hamburg/Berlin, Germany, 1983. [Google Scholar]

| Chamois Subspecies | Country of Study | Period of Study | Type of Muscle Tissue Examined | Method of Examination | Number of Animals Examined | Number of Animals Testing Sarcocyst Positive; Percentage | Reference |
|---|---|---|---|---|---|---|---|
| Alpine chamois, Rupicapra r. rupicapra | Switzerland | 1972–1973 | Esophagus | Histology/LM1 | 4 | 3; 75% | [2] |
| 1973–1974 | No information | No information | 65 | ‘common’ | [3] | ||
| 1975–1982 | No information | No information | 375 | ‘sporadic’ | [7] | ||
| (former) Czechoslovakia | 1972–1973 | Heart | Histology/LM | 3 | 2; 66.7% | [4] | |
| 1972–1974 | Heart | Histology/LM | 4 | 3; 75% | [5] | ||
| 1980–1988 | Heart, esophagus, laryngeal and skeletal muscles | Histology/LM | 58 | 6; 10.3% | [8] | ||
| France | 1979 | Heart | No information | No information | No informationA | [9] | |
| 1978–1980 | Heart | No information | No information | No informationA | [10] | ||
| 1977–2001 | No information | No information | 466 | 1 case of ‘sarcosporidiosis’ | [11] | ||
| Italy | No information | Heart | Histology/LM | No infor- mation | ‘common’ | [6] | |
| No information | Heart | Histology/LM + TEM2 | 198 | 158; 79.8% | [12] | ||
| 1974–1977 | Heart | Histology/LM | 138 | 103; 74.6% | [13] | ||
| No information | Heart | Histology/LM | No information | No informationA | [14] | ||
| No information | Heart | Histology/LM | No information | No informationA | [15] | ||
| No information | Diaphragm | Histology/LM | 49 | 32; 65.3% | [16] | ||
| No information | Diaphragm, esophagus, heart | Histology/LM, tissue compression, tissue homogenization | 6 | 4; 66.7% | [17] | ||
| Slovakia | 2005–2007 | Heart, skeletal muscle | Histology/LM, trypsine digestion | 6 | 6; 100% | [18] | |
| Austria + Germany | No information | Diaphragm, esophagus, heart, skeletal muscle | Histology/LM + TEM | No information | No informationA | [19] | |
| Austria | 2002–2004 | Heart | Histology/LM | 90 | ‘common’ | [20] | |
| Germany | No information | No information | Histology/LM + TEM | No information | No informationA | [21] | |
| Tatra chamois, Rupicapra r. tatrica | Poland | 2012–2013 | Diaphragm, esophagus, heart, skeletal muscle, tongue | Histology/LM, PCR (cox1, ssu rRNA) | 3 | 3; 100% | [22] |
| Carpatian chamois, Rupicapra r. carpatica | Romania | No information | Heart | Histology/LM | No information | No informationA | [23] |
| Cantabrian chamois, Rupicapra pyrenaica parva | Spain | 1994 | Diaphragm, esophagus, heart | Tissue compression | 31 | 22; 74.2% | [24] |
| 1995 | Diaphragm, esophagus, heart | Tissue compression | 32 | 25; 78.1% | [25] | ||
| 1993–1995 | Heart | Histology/LM | 52 | 10; 19.2% | [26] | ||
| Pyrenean chamois, Rupicapra p. pyrenaica | Spain | 1997–2002 | Heart, skeletal muscle | Histology/LM | 74 | ‘in most of the animals’ | [27] |
| 2001–2002 | Heart, skeletal muscle | Histology/LM | 20 | ‘frequently’ | [28] |
| Class of Chamois | Sex | Number of Sarcocysts per cm2 Muscle Cut, Mean ± Standard Deviation | |
|---|---|---|---|
| Heart | Diaphragm | ||
| Kids (<1 year, n = 34) | Male | 0.26 ± 0.43 | 1.30 ± 1.95 |
| Female | 0.91 ± 1.51 | 0.88 ± 1.47 | |
| Male + Female | 0.60 ± 1.00 | 1.08 ± 1.72 | |
| Combined Classes 1, 2 and 3 (actually ~1 to 18 years, n = 147) | Male | 3.72 ± 2.72 | 1.72 ± 1.63 |
| Female | 3.44 ± 2.18 | 3.16 ± 2.64 | |
| Male + Female | 3.61 ± 2.51 | 2.26 ± 2.06 | |
| Combined kids and Classes 1, 2 and 3 (actually <1 to 18 years, n = 181) | Male | 3.22 ± 2.68 | 2.88 ± 2.36 |
| Female | 1.66 ± 1.69 | 2.58 ± 2.56 | |
| Male + Female | 3.05 ± 2.55 | 2.04 ± 2.07 | |
Disclaimer/Publisher’s Note: The statements, opinions and data contained in all publications are solely those of the individual author(s) and contributor(s) and not of MDPI and/or the editor(s). MDPI and/or the editor(s) disclaim responsibility for any injury to people or property resulting from any ideas, methods, instructions or products referred to in the content. |
© 2024 by the authors. Licensee MDPI, Basel, Switzerland. This article is an open access article distributed under the terms and conditions of the Creative Commons Attribution (CC BY) license (https://creativecommons.org/licenses/by/4.0/).
Share and Cite
Rehbein, S.; Visser, M. Prevalence and Intensity of Sarcocystis spp. Infections in Alpine Chamois (Rupicapra r. rupicapra) in Germany. Parasitologia 2024, 4, 61-70. https://doi.org/10.3390/parasitologia4010005
Rehbein S, Visser M. Prevalence and Intensity of Sarcocystis spp. Infections in Alpine Chamois (Rupicapra r. rupicapra) in Germany. Parasitologia. 2024; 4(1):61-70. https://doi.org/10.3390/parasitologia4010005
Chicago/Turabian StyleRehbein, Steffen, and Martin Visser. 2024. "Prevalence and Intensity of Sarcocystis spp. Infections in Alpine Chamois (Rupicapra r. rupicapra) in Germany" Parasitologia 4, no. 1: 61-70. https://doi.org/10.3390/parasitologia4010005
APA StyleRehbein, S., & Visser, M. (2024). Prevalence and Intensity of Sarcocystis spp. Infections in Alpine Chamois (Rupicapra r. rupicapra) in Germany. Parasitologia, 4(1), 61-70. https://doi.org/10.3390/parasitologia4010005
