Dental Age Estimation Standards for Hispanic Children and Adolescents in California
Abstract
1. Introduction
2. Materials and Methods
2.1. Sample Population
2.2. Data Processing
2.3. Construction of Hispanic Reference Data Set (RDS)
2.4. Sample Population for Validation Set (VS)
2.5. Calculation of Chronological Age and Dental Age
2.6. Comparison of Chronological Age and Dental Age
3. Results
3.1. Examiner Reliability
3.2. Chronological Age vs. Dental Age
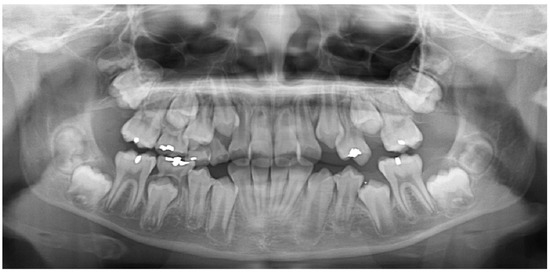
3.3. Working Example
4. Discussion
5. Conclusions
Author Contributions
Funding
Institutional Review Board Statement
Informed Consent Statement
Data Availability Statement
Conflicts of Interest
References
- Sumiyoshi, T.; Shima, Y.; Okabayashi, T.; Negoro, Y.; Shimada, Y.; Iwata, J.; Matsumoto, M.; Hata, Y.; Noda, Y.; Sui, K.; et al. Criteria for age estimation in living individuals. Int. J. Leg. Med. 2008, 122, 457–460. [Google Scholar]
- Demirjian, A.; Goldstein, H.; Tanner, J.M. A new system of dental age assessment. Hum. Biol. 1973, 45, 211–227. [Google Scholar] [PubMed]
- Jayaraman, J.; Wong, H.M.; King, N.M.; Roberts, G.J. The French-Canadian data set of Demirjian for dental age estimation: A systematic review and meta-analysis. J. Forensic Leg. Med. 2013, 20, 373–381. [Google Scholar] [CrossRef] [PubMed]
- Yan, J.; Lou, X.; Xie, L.; Yu, D.; Shen, G.; Wang, Y. Assessment of dental age of children aged 3.5 to 16.9 years using Demirjian’s method: A meta-analysis based on 26 studies. PLoS ONE 2013, 8, e84672. [Google Scholar] [CrossRef] [PubMed]
- Roberts, G.J.; Parekh, S.; Petrie, A.; Lucas, V.S. Dental age assessment (DAA): A simple method for children and emerging adults. Br. Dent. J. 2008, 204, E7. [Google Scholar] [CrossRef] [PubMed][Green Version]
- Moze, K.; Roberts, G. Dental age assessment (DAA) of Afro-Trinidadian children and adolescents. Development of a Reference Dataset (RDS) and comparison with Caucasians resident in London, UK. J. Forensic Leg. Med. 2012, 19, 272–279. [Google Scholar] [CrossRef]
- Mitchell, J.C.; Roberts, G.J.; Donaldson, A.N.; Lucas, V.S. Dental age assessment (DAA): Reference data for British caucasians at the 16 year threshold. Forensic Sci. Int. 2009, 189, 19–23. [Google Scholar] [CrossRef]
- Yadava, M.; Roberts, G.J.; Lucas, V.S. Dental age assessment (DAA): Reference data for British children at the 10-year-old threshold. Int. J. Leg. Med. 2011, 125, 651–657. [Google Scholar] [CrossRef]
- Chudasama, P.N.; Roberts, G.J.; Lucas, V.S. Dental age assessment (DAA): A study of a Caucasian population at the 13 year threshold. J. Forensic Leg. Med. 2012, 19, 22–28. [Google Scholar] [CrossRef]
- Jayaraman, J.; Wong, H.M.; King, N.M.; Roberts, G.J. Development of a Reference Data Set (RDS) for dental age estimation (DAE) and testing of this with a separate Validation Set (VS) in a southern Chinese population. J. Forensic Leg. Med. 2016, 43, 26–33. [Google Scholar] [CrossRef]
- Karimi, A.; Qudeimat, M.A.; Lucas, V.S.; Roberts, G. Dental age estimation: Development and validation of a reference data set for Kuwaiti children, adolescents, and young adults. Arch. Oral Biol. 2021, 127, 105130. [Google Scholar] [CrossRef] [PubMed]
- Alsaffar, H.; Elshehawi, W.; Roberts, G.; Lucas, V.; McDonald, F.; Camilleri, S. Dental age estimation of children and adolescents: Validation of the Maltese Reference Data Set. J. Forensic Leg. Med. 2017, 45, 29–31. [Google Scholar] [CrossRef] [PubMed]
- United States Customs and Border Protection. Southwest Land Border Encounters. Available online: https://www.cbp.gov/newsroom/stats/southwest-land-border-encounters (accessed on 12 July 2022).
- Vespa, J.; Medina, L.; Armstrong, D.; United States Census Bureau, Projections of the Size and Composition of the U.S. Population: 2020 to 2060. Available online: https://www.census.gov/content/dam/Census/library/publications/2020/demo/p25-1144.pdf (accessed on 21 May 2021).
- Krishnakumar, P. LAUSD by the Numbers. Los Angeles Times. Available online: http://www.latimes.com/visuals/graphics/la-me-g-0818-lausd-numbers-20150818-htmlstory.html (accessed on 21 May 2021).
- Jayaraman, J.; Roberts, G.J.; Wong, H.M.; McDonald, F.; King, N.M. Ages of legal importance: Implications in relation to birth registration and age assessment practices. Med. Sci. Law 2016, 56, 77–82. [Google Scholar] [CrossRef] [PubMed]
- Pan, J.; Shen, C.; Yang, Z.; Fan, L.; Wang, M.; Shen, S.; Tao, J.; Ji, F. A modified dental age assessment method for 5- to 16-year-old eastern Chinese children. Clin. Oral Investig. 2021, 25, 3463–3474. [Google Scholar] [CrossRef] [PubMed]
- Kasper, K.A.; Austin, D.; Kvanli, A.H.; Rios, T.R.; Senn, D.R. Reliability of third molar development for age estimation in a Texas Hispanic population: A comparison study. J. Forensic Sci. 2009, 54, 651–657. [Google Scholar] [CrossRef]
- Jayaraman, J.; Mendez, M.J.C.; Gakunga, P.T.; Roberts, G. Age estimation of Hispanic children in the United States: Development and validation of dental reference dataset based on two staging systems. Leg. Med. 2022, 56, 102033. [Google Scholar] [CrossRef] [PubMed]
- Landis, J.R.; Koch, G.G. The measurement of observer agreement for categorical data. Biometrics 1977, 33, 159–174. [Google Scholar] [CrossRef] [PubMed]
- Jayaraman, J.; Roberts, G.J.; Wong, H.M.; King, N.M. Dental age estimation in southern Chinese population using panoramic radiographs: Validation of three population specific reference datasets. BMC Med. Imaging 2018, 18, 5. [Google Scholar] [CrossRef]
- Lewis, J.M.; Senn, D.R. Forensic dental age estimation: An overview. J. Calif. Dent. Assoc. 2015, 43, 315–319. [Google Scholar]
- Kar May, L.; Mei Shian, A.Y.; Durward, C.; Jayaraman, J. A method of estimating age of undocumented children and young adults of different socioeconomic status in Cambodia. Heliyon 2020, 6, e03476. [Google Scholar] [CrossRef]
- Chehab, D.A.; Tanbonliong, T.; Peyser, J.; Udin, R. Association between body mass index and dental age in Hispanic children. Gen. Dent. 2017, 65, 54–58. [Google Scholar] [PubMed]
- US Department of Health and Human Services. Nutrition, Physical Activity and Obesity Data, Trends and Maps Website, Centers for Disease Control and Prevention (CDC), National Center for Chronic Disease Prevention and Health Promotion, Division of Nutrition, Physical Activity and Obesity. Available online: https://www.cdc.gov/nccdphp/dnpao/index.html (accessed on 21 May 2022).
- Khdairi, N.; Halilah, T.; Khandakji, M.N.; Jost-Brinkmann, P.G.; Bartzela, T. The adaptation of Demirjian′s dental age estimation method on North German children. Forensic Sci. Int. 2019, 303, 109927. [Google Scholar] [CrossRef]
- Aissaoui, A.; Salem, N.H.; Mougou, M.; Maatouk, F.; Chadly, A. Dental age assessment among Tunisian children using the Demirjian method. J. Forensic Dent. Sci. 2016, 8, 47–51. [Google Scholar] [CrossRef] [PubMed][Green Version]
- Fei, Y.; Yang, L.; Sheng, K.; Lai, G.; Wang, J. Dental maturation in a Chinese sample using Demirjian method. Ann. Hum. Biol. 2021, 48, 393–399. [Google Scholar] [CrossRef] [PubMed]
- McCloe, D.; Marion, I.; da Fonseca, M.A.; Colvard, M.; AlQahtani, S. Age estimation of Hispanic children using the London Atlas. Forensic Sci. Int. 2018, 288, 332.e1–332.e6. [Google Scholar] [CrossRef] [PubMed]
- Mallineni, S.K.; Jayaraman, J.; Wong, H.M.; King, N.M. Dental age in children with supernumerary teeth in the anterior region of the maxilla. Clin. Oral Investig. 2019, 23, 2987–2994. [Google Scholar] [CrossRef]


| Age (Years) | Males | Females | ||||
|---|---|---|---|---|---|---|
| n | Mean Age | SD | n | Mean Age | SD | |
| 7.00–7.99 | 51 | 7.52 | 0.29 | 50 | 7.55 | 0.30 |
| 8.00–8.99 | 52 | 8.54 | 0.28 | 50 | 8.52 | 0.29 |
| 9.00–9.99 | 51 | 9.51 | 0.29 | 51 | 9.51 | 0.28 |
| 10.00–10.99 | 52 | 10.45 | 0.28 | 50 | 10.49 | 0.29 |
| 11.00–11.99 | 50 | 11.47 | 0.26 | 50 | 11.56 | 0.24 |
| 12.00–12.99 | 48 | 12.53 | 0.29 | 49 | 12.48 | 0.31 |
| 13.00–13.99 | 51 | 13.52 | 0.26 | 50 | 13.51 | 0.32 |
| Total | ||||||
| 7.00–13.99 | 355 | 10.50 | 0.28 | 350 | 10.51 | 0.29 |
| Age (Years) | Males | Females | ||||||
|---|---|---|---|---|---|---|---|---|
| CA | DA | CA-DA | p-Value | CA | DA | CA-DA | p-Value ^ | |
| 7.00–7.99 | 7.49 | 7.76 | −0.27 | 0.018 * | 7.57 | 8.78 | −1.22 | 0.001 * |
| 8.00–8.99 | 8.50 | 8.37 | 0.13 | 0.459 | 8.31 | 9.09 | −0.78 | 0.001 * |
| 9.00–9.99 | 9.57 | 9.86 | 0.13 | 0.201 | 9.41 | 9.67 | −0.26 | 0.074 |
| 10.00–10.99 | 10.44 | 10.64 | −0.29 | 0.399 | 10.61 | 10.82 | −0.22 | 0.372 |
| 11.00–11.99 | 11.47 | 11.52 | −0.20 | 0.850 | 11.48 | 11.1 | 0.39 | 0.083 |
| 12.00–12.99 | 12.34 | 12.07 | −0.06 | 0.119 | 12.45 | 12.31 | 0.13 | 0.162 |
| 13.00–13.99 | 13.46 | 12.88 | 0.26 | 0.003 * | 13.51 | 12.58 | 0.93 | 0.001 * |
| Total | 10.47 | 10.45 | 0.03 | 0.714 | 10.63 | 10.74 | −0.10 | 0.284 |
| Tooth | Stage | n-Tds | x-Tds | sd-Tds |
|---|---|---|---|---|
| Maxillary | ||||
| UL1 | H | − | − | − |
| UL2 | G | 94 | 9.81 | 1.00 |
| UL3 | F | 188 | 9.70 | 1.34 |
| UL4 | F | 99 | 10.06 | 1.00 |
| UL5 | E | 131 | 9.00 | 1.03 |
| UL6 | H | − | − | − |
| UL7 | D | 167 | 8.33 | 0.96 |
| UL8 | B | 74 | 10.59 | 1.28 |
| UR8 | B | 80 | 10.72 | 1.36 |
| Mandibular | ||||
| LL1 | H | − | − | − |
| LL2 | H | − | − | − |
| LL3 | F | 180 | 9.65 | 1.31 |
| LL4 | F | 99 | 10.06 | 0.98 |
| LL5 | F | 99 | 10.47 | 1.05 |
| LL6 | G | 132 | 8.09 | 0.99 |
| LL7 | E | 96 | 9.49 | 1.03 |
| LL8 | B | 62 | 10.67 | 1.30 |
| LR8 | B | 64 | 10.62 | 1.18 |
| Dental Age | − | − | 9.80 | − |
Publisher’s Note: MDPI stays neutral with regard to jurisdictional claims in published maps and institutional affiliations. |
© 2022 by the authors. Licensee MDPI, Basel, Switzerland. This article is an open access article distributed under the terms and conditions of the Creative Commons Attribution (CC BY) license (https://creativecommons.org/licenses/by/4.0/).
Share and Cite
Ustarez, A.; Silva, D.R.; Roberts, G.; Jayaraman, J. Dental Age Estimation Standards for Hispanic Children and Adolescents in California. Forensic Sci. 2022, 2, 565-573. https://doi.org/10.3390/forensicsci2030041
Ustarez A, Silva DR, Roberts G, Jayaraman J. Dental Age Estimation Standards for Hispanic Children and Adolescents in California. Forensic Sciences. 2022; 2(3):565-573. https://doi.org/10.3390/forensicsci2030041
Chicago/Turabian StyleUstarez, Adriana, Daniela Rodrigues Silva, Graham Roberts, and Jayakumar Jayaraman. 2022. "Dental Age Estimation Standards for Hispanic Children and Adolescents in California" Forensic Sciences 2, no. 3: 565-573. https://doi.org/10.3390/forensicsci2030041
APA StyleUstarez, A., Silva, D. R., Roberts, G., & Jayaraman, J. (2022). Dental Age Estimation Standards for Hispanic Children and Adolescents in California. Forensic Sciences, 2(3), 565-573. https://doi.org/10.3390/forensicsci2030041

