Next Article in Journal
Comprehensive Management of Odontogenic Myxofibroma in the Mandible: A Four-Year Follow-Up Case Report with a Review of Differential Diagnosis and Treatment Approaches
Previous Article in Journal
Effects of Tooth Loss and Denture Wear on Nutritional Status of a Sample of Elderly Patients Attending the Dental Teaching Hospital in Peradeniya, Sri Lanka
 
 
Font Type:
Arial Georgia Verdana
Font Size:
Aa Aa Aa
Line Spacing:
Column Width:
Background:
Case Report

Fusion, Gemination or a Morphological Variation? A Case Report on a Diagnostically Challenging Mandibular Molar

by
Argyro Kavadella
1,*,†,
Ioannis Papavasileiou
1,†,
Maria-Areti Salamouri
1,†,
Ioannis Papavasileiou
2,† and
Elpida-Niki Emmanouil-Nikoloussi
1,†
1
School of Dentistry, European University Cyprus, 2404 Engomi, Cyprus
2
Independent Researcher, 16345 Athens, Greece
*
Author to whom correspondence should be addressed.
These authors contributed equally to this work.
Submission received: 15 March 2025 / Revised: 1 May 2025 / Accepted: 19 May 2025 / Published: 1 June 2025

Abstract

Background/Objectives: Dental anomalies can manifest as a consequence of developmental defects and/or genetic influences, which disrupt the normal functioning of the oral cavity and present in various forms. Cases of fusion, gemination and concrescence are rare dental anomalies which are seen in the area of the mandibular molars. Case report: This case report concerns a 69-year-old Greek male patient who presented in the dental office asking for comprehensive oral treatment. During the clinical examination, a morphologically atypical molar was identified in the area of #37–38 presented with a large crown in the mesio-distal dimension (‘double’ crown). Panoramic and periapical radiographs offered valuable insights on the morphology of the irregular tooth, as they revealed the crown and root morphology, including the two pulp chambers and the three parallel roots of the tooth. Discussion: A plausible hypothesis identifies the atypical tooth as a third molar exhibiting morphological variation, a common characteristic of third molars. Additional diagnostic considerations—while supposing the existence of a supernumerary fourth molar—include the developmental anomalies of gemination, concrescence and fusion, as the clinical and radiographic features of the tooth display elements associated with all three. Conclusions: Considering the patient’s history, clinical and radiographic findings and the relevant literature, fusion is determined to be the most probable diagnosis. Early identification of the atypical tooth is essential to facilitate the implementation of appropriate preventive measures and to support informed treatment planning, should invasive procedures such as endodontic or surgical intervention be required in the future.

1. Introduction

Patients presenting with complicated dental anomalies pose a formidable clinical challenge. The management of such cases typically demands strategic treatment and the involvement of various dental specialties (endodontists, periodontists, orthodontists, dental surgeons, etc.) [1]. Complex instances of dental anomalies elicit a substantial therapeutic burden on patients, as they have the potential to compromise both esthetic and functional aspects. Dental anomalies can manifest as a consequence of developmental defects and/or genetic influences, which disrupt the normal functioning of the oral cavity and present in various forms [1,2]. Anomalies include the supernumerary teeth, taurodontism, fusion and germination, which are the most frequent examples, as well as dens invaginatus, talon cusp, dens evaginatus and concrescence [3].
Supernumerary teeth (ST) or hyperdontia refers to the presence of one or more teeth in addition to the regular number of teeth [4]. It has been reported that supernumerary fourth molars have a prevalence of 0.2–3%, with a higher incidence among males than females and a ratio of approximately 2:1.4 [5]. While supernumerary teeth may occasionally remain asymptomatic, extraction is indicated when they are associated with pathology that could adversely affect the patient’s oral health [6].
Taurodontism is a dental anomaly caused by the failure of Hertwig’s epithelial sheath diaphragm to invaginate at the proper horizontal level [7]. The characteristic features include an enlarged pulp chamber, a pulpal floor apically displaced and the absence of narrowing at the cemento-enamel junction [7]. The anomaly has been extensively researched, with prevalence rates ranging from 0.1% to 48% [4]. These variations are influenced by factors such as racial predisposition and the diagnostic criteria employed. Although molars have a higher incidence, cases of taurodontic premolars have also been reported in the literature [4]. When the management approach involves endodontic treatment, the atypical canal configuration and the potential additional root canals may challenge the clinician or endodontist [4].
Tooth fusion is a developmental malformation, defined as the union of two or more neighboring, developing tooth germs, where the developmental stage determines whether the union will be between the enamel or between both the dentin and enamel [8]. Although the etiology is still undetermined, a proposed mechanism involves physical forces or pressure causing a close proximity between two developing tooth germs, resulting in fusion before (complete) calcification [8,9]. Based on the developmental stage, a fusion case is classified as ‘true fusion’ (union by enamel and dentin) occurring before the calcification stage or ‘late fusion’ (union by dentin and/or cementum) occurring at an advanced stage of tooth calcification [9]. A late fusion by cementum only is called concrescence; in this case, the atypical tooth may exhibit distinct crowns, since fusion is confined to the root cementum [9]. Fusion is more frequently observed in the anterior region of the maxilla, particularly affecting the lateral incisors and canines, and can manifest unilaterally or bilaterally [10,11,12]. It is also more common in primary dentition with a prevalence of 0.5–2.5%, compared to permanent dentition where a prevalence of 0.1% is reported [2,12,13,14]. Fusion may also involve a normal and a supernumerary tooth. For example, Salem et al. (2021) reported a case of a 6-year-old girl with unilateral fusion between a primary mandibular lateral incisor and a supernumerary tooth [7]. Cases of fusion between mandibular second and third molars or third and fourth molars have also been reported [8,15,16,17,18]. While fusion may not directly give rise to clinical complications, intervention is needed when such anomalies lead to periodontal disease, tooth crowding, poor esthetic profile and carious lesions owing to deep fissures [8,14]. Other possible complications involve malocclusion, tooth misalignment, arch asymmetry and functional problems [19].
Gemination is a developmental anomaly of tooth shape, representing an unsuccessful attempt of a tooth germ to divide by invagination, and resulting in a large single tooth with a bifid crown and usually having a single root and root canal [20]. Unilateral gemination has a prevalence rate of 0.5% in primary and 0.1% in permanent dentition, and is more common in maxillary anterior dentition [17,21]. Gemination is a multifactorial condition reportedly having both genetic (familial predisposition) and environmental (trauma) backgrounds, or can be associated with syndromes (e.g., chondroectodermal dysplasia); however, the exact cause still remains uncertain [2,22,23].
As fusion and gemination clinically appear similar, presenting as an enlarged tooth, the distinction between the two anomalies is challenging for clinicians. A practical method for distinguishing between gemination and fusion is Mader’s “two-teeth” rule: if the atypical tooth is counted as one and the number of teeth in the dental arch is lower, then the anomaly is considered as fusion. However, when the atypical tooth is considered as one and the number of teeth in the dental arch is normal, then the diagnosis is gemination, or it could be a case of fusion between a normal and supernumerary tooth [12,21,23,24]. Apart from the practical guide, a thorough history taking as well as clinical and radiographic examination are necessary for the identification of the dental anomaly.
Concrescence is a developmental anomaly in which two fully developed teeth are joined along the root surfaces by cementum alone without the merging of the underlying dentine [9,25]. Also termed ‘late fusion’, this anomaly may involve deciduous or permanent teeth, and it has been mostly observed in maxillary molars, particularly the third molar and a supernumerary tooth. Although it rarely manifests in the mandible, Gunduz et al. (2006) have reported a case of the concrescence of a mandibular third molar and a supernumerary fourth molar [25]. In radiographic examination, this dental anomaly depicts two joined teeth with separate pulp chambers and root canals. The anomaly is called true/developmental concrescence if it occurs during the formation process, while it is termed acquired/postinflammatory concrescence if it happens after root formation [9]. Proposed causative factors include a previous traumatic injury, crowding with interdental bone loss, molar distal inclination, space deviation, occlusal trauma and a reaction to local infection [9].
The importance of the correct identification of these anomalies lies in enabling a preventive approach in asymptomatic cases and in reducing the risk of complications associated with future extractions or endodontic treatments of the anomalous tooth [7,23]. Due to the irregular morphology, these teeth are at higher risk of carious lesions and periodontal problems; therefore, good oral hygiene is imperative, including fluoridation, placement of fissure sealants and regular follow-ups [9,23]. In addition, when the need for complex procedures such as endodontic treatment or extraction arise, the clinician will need to evaluate the complexity of the procedure and take the necessary measures to avoid complications and adverse events [13]. When such procedures are performed in these challenging cases, they should be accompanied with a CBCT exam to reveal the anatomical details of the atypical tooth and the relationship with the neighboring key anatomical structures such as the mandibular canal [4,13,26].
This case report aims to discuss the diagnostic investigation of a morphologically atypical mandibular molar clinically presented with a double crown and exhibiting features of fusion, gemination and concrescence, thus prompting clinical concern.

2. Case Presentation

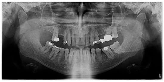
A 69-year-old Greek male patient presented in the dental office complaining about discomfort on the right maxillary area and asking for comprehensive oral treatment. During the clinical examination, a morphologically atypical molar was identified in the area of #37–38, presenting with a large crown in the mesio-distal dimension (‘double’ crown) (Figure 1). The patient reported having a panoramic radiograph taken two months ago, which revealed the internal structure of the deviating tooth, along with the neighboring teeth and bone structures. To develop the treatment plan, which included periodontal treatment, restorative procedures and fixed prosthetics, selected intraoral radiographs were additionally performed, as well as diagnostic casts (Figure 2).

2.1. Patient’s History

Regarding oral health care, the patient reported infrequent dental visits and inconsistent oral hygiene practices. He also mentioned that he may have undergone an extraction in the left mandibular area but could not specify which tooth and at which age it was extracted, nor was he certain about this procedure. With respect to general health, he reported no medical conditions, nor was he prescribed any medications. His familial and medical history were free of pathological findings.

2.2. Clinical Findings

The patient presented with two molars in the left posterior mandible; there was no interdental space between the proximal surfaces of the two molars, whereas minor interdental spaces and a lack of proximal contacts were noticed between the second premolar and the molar located distally to it (possibly the first or second molar), as well as between #33–34 and #43–44. Dental pulp sensitivity testing was conducted in this teeth zone, using a cold pulp test, which involved applying cold spray to a cotton-tipped applicator and holding it against each tooth for 5–10 s. Identical sensitivity tests were carried out to the teeth in the right mandible. All teeth were found to be vital. The periodontal status of the patient was evaluated as Stage II/Grade A localized periodontitis. Extraoral examination was within normal limits.
The crown of the atypical molar exhibited eight cusps (Figure 3). There were four buccal and four lingual cusps: the sizeable mesio-buccal cusp, middle-buccal (small-sized), disto-buccal (sizeable, located towards the middle of the occlusal surface) and the disto-buccal-angle cusp (located at the buccal–distal angle); the mesio-lingual cusp, middle-lingual, disto-lingual (small-sized) and the disto-lingual-angle cusp, which seemed to be composed from two smaller cusps, divided by a shallow fissure. The shape of the cusps was similar to the shapes of the mandibular molar cusps, and their positions in the occlusal surface also resembled the normal ones, with the exception of the buccal–distal cusp, which had a flattened ridge and a vertical bucco-lingual orientation resembling a large marginal ridge. This was the second biggest cusp in size, following the mesio-buccal cusp, which was the biggest. The fissures of the occlusal surface were deep and enhanced, and there were no signs of erosion. The atypical molar was occluded with the first and second maxillary left molars.
The molar had a rectangular shape, with the mesio-distal dimension being the longest. The mesiodistal and buccolingual diameters were measured with a dental caliper: the mesiodistal dimension measured between the contact points of the proximal surfaces was 14.8 mm and the buccolingual dimension measured between the buccal and lingual crests was 10.7 mm. For reasons of comparison, the neighboring molar located mesially to the atypical one had mesiodistal dimension of 12 mm and buccolingual of 10 mm.

2.3. Radiologic Findings

The panoramic and intraoral radiographs revealed the internal structure of the atypical molar as well as the structure of neighboring teeth and anatomical features (Figure 4 and Figure 5). The intraoral radiographs were taken two months after the panoramic. There were no third molars in any of the quadrants. The atypical molar did not appear impacted and the surrounding cancellous bone exhibited a normal morphology, with no apparent pathologies. A mesial angular bone defect was identified in the proximal surface of the molar located distally of the second premolar, as well as a mild mesial tilting of this molar and an increased distance between its mesial root and the root of the second premolar. Horizontal bone loss was noticed between the two molars.
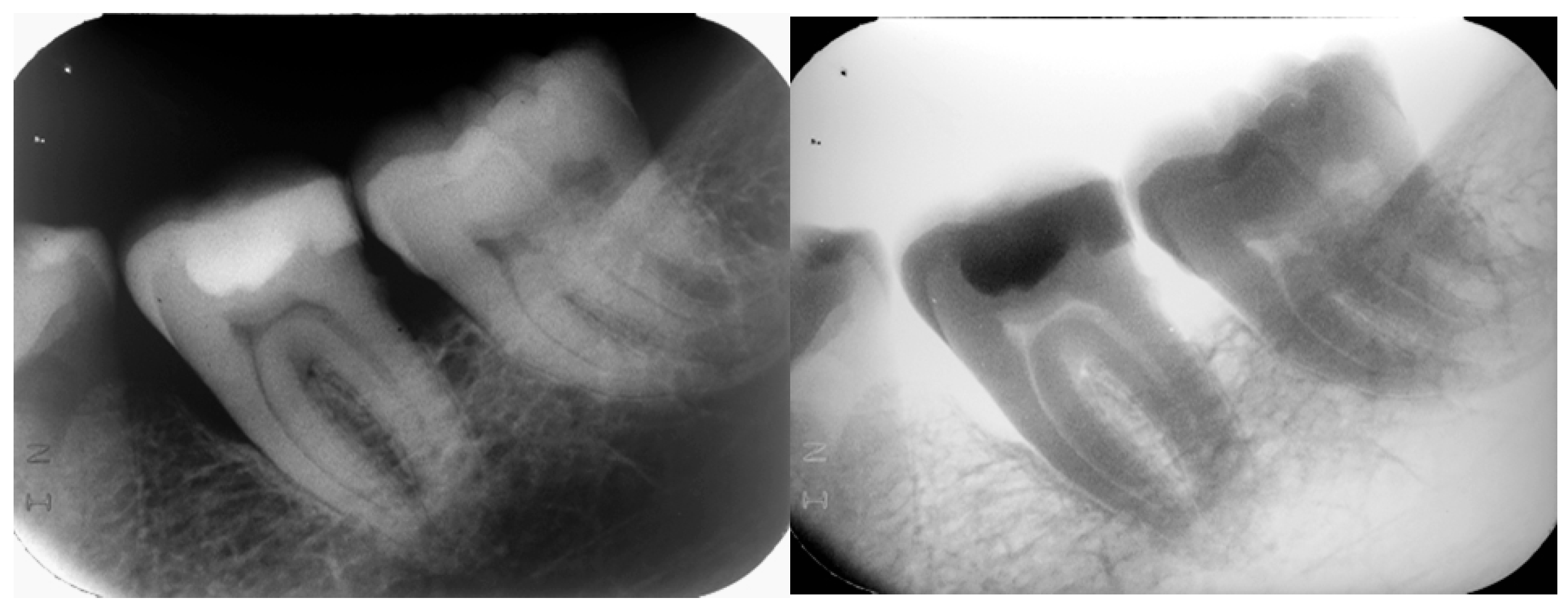
The atypical molar had three distinct roots, directed parallel to each other and separated by normal interradicular bone: a mesial root, a distal root and a middle root. The mesial root was the longest and the distal the shortest (as depicted in the 2D image). All roots were slightly inclined distally. The periodontal ligament space and lamina dura of the molar roots were visible and within normal limits. Two pulp chambers (the mesial and the distal) and three root canals (each root had one root canal) were visible. The mesial pulp chamber extended to the mesial and middle root canals and the distal pulp chamber to the distal root canal. The crown of the molar appeared to be divided in two unequal halves by a vertical radiopaque thin zone extending from the occlusal surface—as a continuation of the occlusal enamel, also exhibiting enamel radiopacity—to the cervical area of the middle root.

3. Discussion

In routine dental practice, it is relatively common for clinicians to encounter a range of pathologies affecting both soft tissues and teeth, including dental anomalies. Clinicians should recognize the anomaly and implement appropriate preventive or restorative measures in accordance with current knowledge to ensure optimal patient care. Such a case is discussed here, where a patient presented with an anomalous posterior tooth. During the diagnostic process, several hypotheses could be formulated by integrating evidence from the patient’s history and clinical and radiographic examinations, alongside the clinician’s foundational scientific knowledge and critical thinking.
The first plausible diagnosis would indicate that the atypical tooth was the third molar. Indeed, third molars are morphologically complex, with unpredictable positioning and variable crown and root anatomy across individuals [27,28]. In the study by Hadziabdic et al. (2023) evaluating the position and morphology of impacted third molars, the mandibular third molars were reported to have mostly two fused roots (37.39%) and an oval-shaped crown (38.26%) including five cusps (48%), although crowns with up to seven cusps were also reported (1.74%) [27]. The number of cusps varied from three to seven and the number of roots from one to four, being either fused or parallel (21.73%) [27]. The average crown dimensions reported were 9.70 mm mesiodistally and 8.63 mm buccolingually, which are notably smaller than those of the molar in the present study (14.8 and 10.7 mm, respectively). One factor supporting the diagnosis of the atypical tooth as a third molar could be the (possible) extraction of the first molar as the patient vaguely recalled, and the subsequent mesialization and inclination of the two remaining molars in the third quadrant. Indeed, the crown morphology of the normal molar—characterized by the absence of a distal cusp typically present in first mandibular molars—aligns with the common anatomical features of second mandibular molars. Moreover, the vertical proximal bone loss mesial to the second molar is a radiographic sign indicative of the early extraction of the first molar and the mesial tilting of the second. The unusual crown and root morphology of the atypical molar may also be explained by the well-documented morphological variability commonly associated with wisdom teeth [28].
Assuming the hypothesis of a previously extracted first molar, the extent of the resulting space should be assessed, as the second molar appears to be excessively mesially inclined, leading to near-complete space closure at the crown level. Post-extraction migration follows various patterns, including the over-eruption of opposing teeth, horizontal migration of neighboring teeth, space reduced by tipping, dual drift (horizontal and vertical), or complete space closure; the latter being more likely to occur in the maxilla than in the mandible [29,30]. In the study by Teo et al. (2016), where they examined the spontaneous space closure after the extraction of lower first permanent molars in children, various parameters were assessed, including the chronological age, developmental stage of second permanent molars, presence of third molars and the direction of the angulation of the second permanent molars and premolars [31]. Mesial tipping of the second molar led to the most spontaneous space closure following first molar extraction, where 85% of these cases had complete space closure [31]. In a similar study by Ciftci et al. (2021), 52.5% of the 177 mandibular second molars exhibited successful space closure after first molar extraction [32]. It seems that evidence from the literature could support the nearly complete space closure observed in this case, after the possible extraction of the first molar; therefore, the remaining teeth can be identified as the second and third molars.
However, distinct aberrations in both crown and root morphology suggest that the atypical tooth cannot be confidently classified as a third molar. Clinical and radiographic findings suggest the presence of a developmental anomaly in the tooth. Considering the different developmental anomalies, taurodontism can be excluded, as the tooth shape, pulp chamber size and pulpal floor level of the atypical tooth are not consistent with the characteristic features of this abnormality.
When considering the possibility of gemination—apparently involving an attempted division of the third molar in this case—the morphology of the irregular tooth is not entirely consistent with the characteristic features of this anomaly. The crown of the tooth appears to be composed of two unevenly sized smaller crowns arranged in continuity, whereas in gemination, the two halves of the joined crown typically present as mirror images [7,23]. Radiographically, three roots are depicted, and the pulp chamber of the tooth seems to be divided into two distinct pulp chambers, separated by a vertical thin radiopaque septum. This feature is more apparent in the original and reversed intraoral radiographs. However, as the literature suggests, geminated teeth result in a single root chamber and root canal [7,12], and moreover, gemination is more common in the anterior maxillary region [33] and is extremely rare in molars. An exceptionally rare case of a geminated mandibular third molar was recently reported by Brauer & Bartols (2023), where the tooth crown was enlarged, resembling two teeth, and it had several roots with a continuous pulp [34].
Concrescence may be considered a potential diagnosis for the present tooth anomaly, assuming the presence of a supernumerary fourth molar. Indeed, Gunduz et al. (2006) have reported a case of the concrescence of a mandibular third molar and a supernumerary fourth molar [25]. This interpretation seems to be supported by the radiographic image, which reveals an area of cementum fusion apical to the enamel septum, at the site where the two teeth appear to unite. However, in addition to its rare occurrence in the mandible, concrescence is characterized by the fusion of only the roots of two adjacent teeth, with interdental bone breakdown [8,25,34].
Fusion between the third molar and a fourth supernumerary molar could be proposed as a plausible diagnosis, also supported by the clinical and radiographic findings. Despite the fact that supernumerary molars are rare conditions, reported to have a prevalence of 0.26–2%, with a much higher propensity for the maxilla [35,36], a number of cases of fusion between mandibular third and fourth molars have been reported [15,16,18,25]. The clinical appearance of the irregular tooth, depicting eight cusps, is consistent with the union of two molars, a larger one (third molar) and a smaller one (supernumerary fourth molar). Radiographically, the two teeth are separated/united by a thin enamel septum, representing the union of two completely separate tooth germs, as happens in fusion. The fused tooth presents two separate pulp chambers, of which the one located in the larger crown extends to two root canals into the two roots, and the other pulp chamber located in the smaller crown extends to one root canal into the third root. The three roots aligned in parallel may represent the two roots of the third molar joined to the single root of the supernumerary fourth molar. It is worth noting that the number of roots visible on the 2D radiographs may not reflect the actual number, as studies have reported a statistically significant difference, with more roots detected in extracted third molars compared to those observed on the respective panoramic images [27].
Four types have been documented according to the morphology and degree of fusion [23]:
  • Type I: bifid crown, single root;
  • Type II: large crown, large root;
  • Type III: two fused crowns, double conical root;
  • Type IV: two fused crowns, two glued roots.
Type IV has been most frequently observed in the maxilla and, along with type III, it is the most prone to caries [37].
Thus, the current anomaly is most consistent with the evidence of fusion, specifically Type IV.
Various treatment modalities exist for managing fused teeth in the permanent dentition, with the choice of intervention depending on the condition of the involved teeth and the specific needs of the patient. In many instances, surgical separation, potentially combined with endodontic intervention, represents a viable course of action [10].
A limitation of this case report is the absence of a CBCT image, which would have provided detailed views of the unique anatomy of the irregular tooth, and would facilitate the diagnostic process. Two-dimensional radiographs, such as panoramics and intraorals, remain the most cost-effective and easy method to evaluate patients’ dentition, and they are routinely used in clinical practice, yet they offer limited diagnostic potential, particularly in complex cases. While CBCT imaging offers unique advantages, it should be employed judiciously to guide treatment decisions, in accordance with the ALARA principle (as low as reasonably achievable radiation exposure to the patient) and the relevant guidelines [38]. In the present case, no treatment was required at this stage, and the diagnostic purpose alone did not justify the use of a radiation-intensive procedure such as CBCT. However, should endodontic or surgical intervention be needed in the future, CBCT imaging would be warranted. This approach was also recommended by Olczyk et al. (2024) [39] and Ahmed et al. (2021) [28], whereas Meisha (2019) [9] used panoramic and intraoral radiographs to arrive at the diagnosis of concrescence and fusion. Moreover, the decision not to use CBCT reflects a realistic clinical scenario in which the clinician does not have access to advanced imaging and is therefore required to rely on conventional diagnostic methods.

4. Conclusions

This case report describes the identification of an atypical mandibular molar and examines potential diagnoses, based on a limited dental history alongside clinical and radiographic evaluations. Developmental anomalies such as fusion, gemination and concrescence, as well as the possibility of a variant third molar, were critically assessed, leading to the most likely diagnosis of fusion.
Teeth with atypical morphology require meticulous investigation, particularly when therapeutic management is required. The clinician should recognize the anomaly, inform the patient and apply the necessary preventive or restorative measures, ensuring that management aligns with the patient’s needs and current clinical guidelines to preserve function and prevent potential complications.

Author Contributions

All authors contributed equally to this work. All authors have read and agreed to the published version of the manuscript.

Funding

This research received no external funding.

Institutional Review Board Statement

This study was approved by the Institutional Committee on Bioethics and Ethics of the European University Cyprus (approval number EUC ETHICS COMMITTEE.2025-47, date: 10 January 2025).

Informed Consent Statement

Written informed consent has been obtained from the patient to publish this paper.

Data Availability Statement

The data presented in this study are available on request from the corresponding author due to privacy reasons (according to the EU General Data Protection Regulation).

Conflicts of Interest

The authors declare no conflicts of interest.

Abbreviations

The following abbreviations are used in this manuscript:
CBCTCone Beam Computed Tomography
STSupernumerary Teeth
SPMSecond Permanent molar
FPMFirst Permanent Molar

References

  1. Suleman, S. Dental anomalies–what is referred? And what should be? Br. Dent. J. 2018, 225, 614. [Google Scholar] [CrossRef]
  2. Mahendra, L.; Govindarajan, S.; Jayanandan, M.; Shamsudeen, S.M.; Kumar, N.; Madasamy, R. Complete Bilateral Gemination of Maxillary Incisors with Separate Root Canals. Case Rep. Dent. 2014, 2014, 425343. [Google Scholar] [CrossRef] [PubMed]
  3. Ramezani, M.; Asgari, S.; Adel, M. Endodontic Management of a Rare Case of the Geminated Maxillary Second Molar Tooth Using CBCT. Clin. Case Rep. 2021, 9, e04496. [Google Scholar] [CrossRef] [PubMed]
  4. Yakoup, D.; Rodosthenous, E.; Giannakopoulos, K. Taurodontism in simultaneous existence with multiple supernumerary teeth: A case report. SAGE Open Med. Case Rep. 2023, 11, 2050313X2311698. [Google Scholar] [CrossRef]
  5. Cammarata-Scalisi, F.; Avendaño, A.; Callea, M. Main genetic entities associated with supernumerary teeth. Arch. Argent. Pediatr. 2018, 116, 437–444. [Google Scholar] [CrossRef]
  6. Parolia, A.; Dahal, M.; Thomas, M.; Kundabala, M.; Mohan, M. Management of supernumerary teeth. J. Conserv. Dent./J. Conserv. Dent. 2011, 14, 221. [Google Scholar] [CrossRef] [PubMed]
  7. Dineshshankar, J.; Sivakumar, M.; Balasubramanium, A.M.; Kesavan, G.; Karthikeyan, M.; Prasad, V.S. Taurodontism. J. Pharm. Bioallied Sci. 2014, 6, 13. [Google Scholar] [CrossRef]
  8. Salem, M.B.; Chouchene, F.; Masmoudi, F.; Baaziz, A.; Maatouk, F.; Ghedira, H. Fusion or gemination? Diagnosis and Management in Primary teeth: A report of two cases. Case Rep. Dent. 2021, 2021, 6661776. [Google Scholar] [CrossRef]
  9. Meisha, D.E. Coincidence of Fusion and Concrescence in Mandibular Deciduous Incisors: A Case Report. J. Contemp. Dent. Pract. 2019, 20, 1466–1469. [Google Scholar] [CrossRef]
  10. Goh, V.; Tse, O.D. Management of bilateral mandibular fused teeth. Curēus 2020, 12, e7899. [Google Scholar] [CrossRef]
  11. Bennani, A.; Zerouaoui, M.F.; El Wady, W.; Taleb, B. Fusion Dentaire Bilatérale. Rev. Stomatol. Et Chir. Maxillo-Faciale 2009, 111, 108–110. [Google Scholar] [CrossRef] [PubMed]
  12. Eidelman, E. Fusion of maxillary primary central and lateral incisors bilaterally. PubMed 1981, 3, 346–347. [Google Scholar]
  13. Milani, A.S. Endodontic Management of a Fused Mandibular Second Molar and Paramolar: A Case Report. Iran. Endod. J. 2010, 5, 131. [Google Scholar]
  14. Park, H.; Hosomichi, K.; Kim, Y.-I.; Hikita, Y.; Tajima, A.; Yamaguchi, T. Comprehensive genetic exploration of fused teeth by whole exome sequencing. Appl. Sci. 2022, 12, 11899. [Google Scholar] [CrossRef]
  15. Turell, I.L.; Zmener, O. Endodontic Management of a Mandibular Third Molar Fused with a Fourth Molar. Int. Endod. J. 1999, 32, 229–231. [Google Scholar] [CrossRef]
  16. Zeylabi, A.; Shirani, F.; Heidari, F.; Farhad, A.R. Endodontic Management of a Fused Mandibular Third Molar and Distomolar: A Case Report. Aust. Endod. J. 2009, 36, 29–31. [Google Scholar] [CrossRef]
  17. Goldberg, J.M.; Gross, M.; Rankow, H. Endodontic therapy involving fused mandibular second and third molars. J. Endod. 1985, 11, 346–347. [Google Scholar] [CrossRef]
  18. Hemmig, S.B. Third and Fourth Molar Fusion. Oral Surg. Oral Med. Oral Pathol. 1979, 48, 572. [Google Scholar] [CrossRef]
  19. Camargo, A.J.; Arita, E.S.; Watanabe, P.C.A. Fusion or gemination? An unusual mandibular second molar. Int. J. Surg. Case Rep. 2016, 21, 73–77. [Google Scholar] [CrossRef]
  20. Nandini, D.B.; Deepak, B.S.; Selvamani, M.; Puneeth, H.K. Diagnostic Dilemma of a double tooth: A rare case report and review. J. Clin. Diagn. Res. 2014, 8, 271. [Google Scholar] [CrossRef]
  21. Sandeep, S.; Kumar, G.J.; Potdar, S.; Bhanot, R.; Vathare, A.S.; Tiwari, R.V.; Harshitha, B. Rare case of gemination of mandibular third molar—A case report. J. Fam. Med. Prim. Care 2020, 9, 2577. [Google Scholar] [CrossRef] [PubMed]
  22. Johns, D.; Johnson, K. Management of geminated maxillary lateral incisor using cone beam computed tomography as a diagnostic tool. J. Conserv. Dent. 2014, 17, 293. [Google Scholar] [CrossRef]
  23. Stepco, E.; Sapoznikov, E. Gemination or dental fusion? Diagnostic dilemma. Case study. Rom. J. Dentistry. 2022, 25, 213–225. Available online: https://rjd.ro/volume-xxv/no-3-4-2022/gemination-or-dental-fusion-diagnostic-dilemma-case-study/ (accessed on 18 April 2025).
  24. Venkatesh, A.; Mitthra, S.; Prakash, V.; Prasad, T.S. Gemination or Fusion ?—A Case Report. Biomed. Pharmacol. J. 2016, 9, 1225–1228. Available online: https://biomedpharmajournal.org/vol9no3/gemination-or-fusion-a-case-report/#:~:text=Gemination%20is%20a%20single%20enlarged,tooth%20is%20counted%20as%20one (accessed on 5 March 2025). [CrossRef]
  25. Gunduz, K.; Sumer, M.; Sumer, A.P.; Gunhan, O. Concrescence of a Mandibular Third Molar and a Supernumerary Fourth Molar: Report of a Rare Case. Br. Dent. J. 2006, 200, 141–142. [Google Scholar] [CrossRef]
  26. Ley, A.M.; Viana, F.L.P.; Cruz, S.M.L.; Vasconcelos, B.C. Fused Tooth: Clinical Approach to Endodontic Treatment. Gen. Dent. 2019, 67, 59–61. Available online: https://pubmed.ncbi.nlm.nih.gov/31658027 (accessed on 5 March 2025).
  27. Hadziabdic, N.; Dzankovic, A.; Maktouf, M.; Tahmiscija, I.; Hasic-Brankovic, L.; Korac, S.; Haskic, A. The Clinical and Radiological Evaluation of Impacted Third Molar Position, Crown and Root Morphology. Acta Medica Acad. 2023, 52, 77–87. [Google Scholar] [CrossRef]
  28. Ahmed, H.A. Management of Third Molar Teeth from an Endodontic Perspective. Eur. J. Gen. Dent. 2012, 1, 148. [Google Scholar] [CrossRef]
  29. Rãducanu, A.M.; Feraru, V.; Herteliu, C.; Rãducanu, M.A. Prevalence of loss of permanent first molars in a group of Romanian children and adolescents. Spaceflight 2009, 2, 7. [Google Scholar]
  30. Saber, A.M.; Altoukhi, D.H.; Horaib, M.F.; El-Housseiny, A.A.; Alamoudi, N.M.; Sabbagh, H.J. Consequences of early extraction of compromised first permanent molar: A systematic review. BMC Oral Health 2018, 18, 59. [Google Scholar] [CrossRef]
  31. Teo, T.K.-Y.; Ashley, P.F.; Derrick, D. Lower first permanent molars: Developing better predictors of spontaneous space closure. Eur. J. Orthod. 2015, 38, 90–95. [Google Scholar] [CrossRef] [PubMed]
  32. Ciftci, V.; Guney, A.U.; Devec, I.C.; Sanri, I.Y.; Salimow, F.; Tuncer, A.H. Spontaneous space closure following the extraction of the first permanent mandibular molar. Niger. J. Clin. Pract. 2021, 24, 1450–1456. [Google Scholar] [CrossRef] [PubMed]
  33. Mohan, R.P.S.; Verma, S.; Singh, U.; Agarwal, N. Gemination. BMJ Case Rep. 2013, bcr2013010277. [Google Scholar] [CrossRef] [PubMed]
  34. Brauer, H.U.; Bartols, A. Gemination of an Erupted Mandibular Third Molar: A Short Presentation of an Exceptionally Rare Clinical Occurrence. Eur. J. Dent. 2024, 18, 687–691. [Google Scholar] [CrossRef]
  35. Jahanimoghadam, F.; Mohammadi, F.; Aftabi, R. Non-Syndromic Supernumerary Fourth Molar: A Report of Two Cases and Review of Literature. J. Oral Health Oral Epidemiol. 2024, 13, 78–84. [Google Scholar] [CrossRef]
  36. Bamgbose, B.O.; Okada, S.; Hisatomi, M.; Yanagi, Y.; Takeshita, Y.; Abdu, Z.S.; Ekuase, E.J.; Asaumi, J.-I. Fourth molar: A retrospective study and literature review of a rare clinical entity. Imaging Sci. Dent. 2019, 49, 27. [Google Scholar] [CrossRef]
  37. Agali, R.J.; Nihal, N.K.; Vora, M.S. A Rare Case Report of Double Teeth/Fusion in Primary Dentition-Review and Management. J. Adv. Med. Dent. Sci. Res. 2019, 7, 154–156. [Google Scholar] [CrossRef]
  38. European Commission: Directorate-General for Energy, Cone Beam CT for Dental and Maxillofacial Radiology–Evidence-Based Guidelines, Publications Office. 2012. Available online: https://op.europa.eu/en/publication-detail/-/publication/ec5936c7-5a29-4a93-9b3a-01a5d78d7b2e (accessed on 18 April 2025).
  39. Olczyk, A.; Malicka, B.; Skośkiewicz-Malinowska, K. Retrospective study of the morphology of third maxillary molars among the population of Lower Silesia based on analysis of cone beam computed tomography. PLoS ONE 2024, 19, e0299123. [Google Scholar] [CrossRef]
Figure 1. Intraoral photograph, left mandibular posterior area.
Figure 1. Intraoral photograph, left mandibular posterior area.
Oral 05 00038 g001
Figure 2. Diagnostic cast for treatment planning.
Figure 2. Diagnostic cast for treatment planning.
Oral 05 00038 g002
Figure 3. The occlusal surface of the molar: clinical view and the relevant cast (blue dots indicate the cusps).
Figure 3. The occlusal surface of the molar: clinical view and the relevant cast (blue dots indicate the cusps).
Oral 05 00038 g003
Figure 4. Panoramic radiograph of the patient.
Figure 4. Panoramic radiograph of the patient.
Oral 05 00038 g004
Figure 5. Intraoral periapical radiograph (original and reversed image).
Figure 5. Intraoral periapical radiograph (original and reversed image).
Oral 05 00038 g005
Disclaimer/Publisher’s Note: The statements, opinions and data contained in all publications are solely those of the individual author(s) and contributor(s) and not of MDPI and/or the editor(s). MDPI and/or the editor(s) disclaim responsibility for any injury to people or property resulting from any ideas, methods, instructions or products referred to in the content.

Share and Cite

MDPI and ACS Style

Kavadella, A.; Papavasileiou, I.; Salamouri, M.-A.; Papavasileiou, I.; Emmanouil-Nikoloussi, E.-N. Fusion, Gemination or a Morphological Variation? A Case Report on a Diagnostically Challenging Mandibular Molar. Oral 2025, 5, 38. https://doi.org/10.3390/oral5020038

AMA Style

Kavadella A, Papavasileiou I, Salamouri M-A, Papavasileiou I, Emmanouil-Nikoloussi E-N. Fusion, Gemination or a Morphological Variation? A Case Report on a Diagnostically Challenging Mandibular Molar. Oral. 2025; 5(2):38. https://doi.org/10.3390/oral5020038

Chicago/Turabian Style

Kavadella, Argyro, Ioannis Papavasileiou, Maria-Areti Salamouri, Ioannis Papavasileiou, and Elpida-Niki Emmanouil-Nikoloussi. 2025. "Fusion, Gemination or a Morphological Variation? A Case Report on a Diagnostically Challenging Mandibular Molar" Oral 5, no. 2: 38. https://doi.org/10.3390/oral5020038

APA Style

Kavadella, A., Papavasileiou, I., Salamouri, M.-A., Papavasileiou, I., & Emmanouil-Nikoloussi, E.-N. (2025). Fusion, Gemination or a Morphological Variation? A Case Report on a Diagnostically Challenging Mandibular Molar. Oral, 5(2), 38. https://doi.org/10.3390/oral5020038

Article Metrics

Back to TopTop