Odontogenic Infections Resistant to Empiric Therapy, Opportunistic Prevotella, and Metronidazole: A Clinical Case Series and Review of the Literature
Abstract
1. Introduction
2. Methods
3. Clinical Case Review
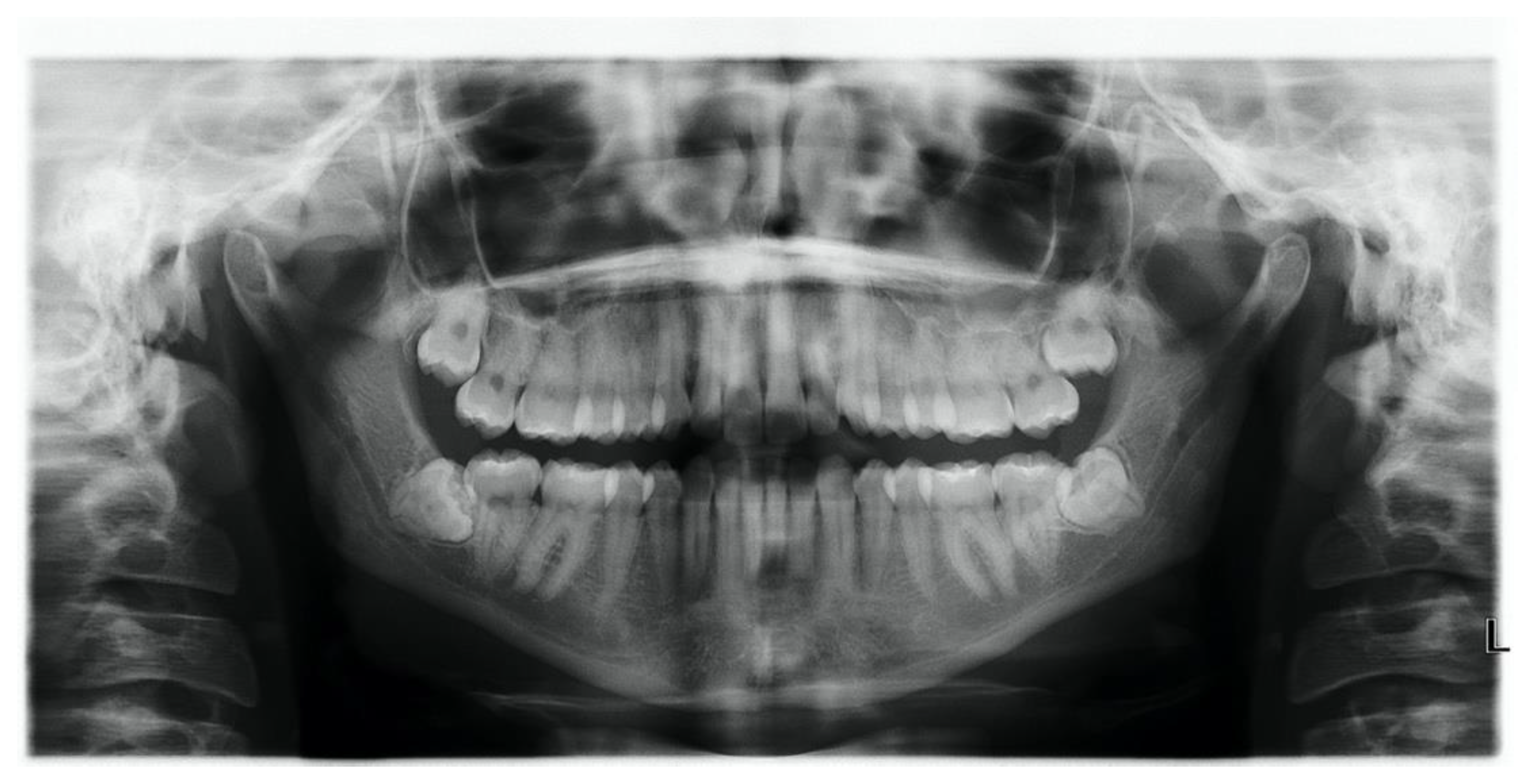
3.1. Case 1: Perialveolar Infection
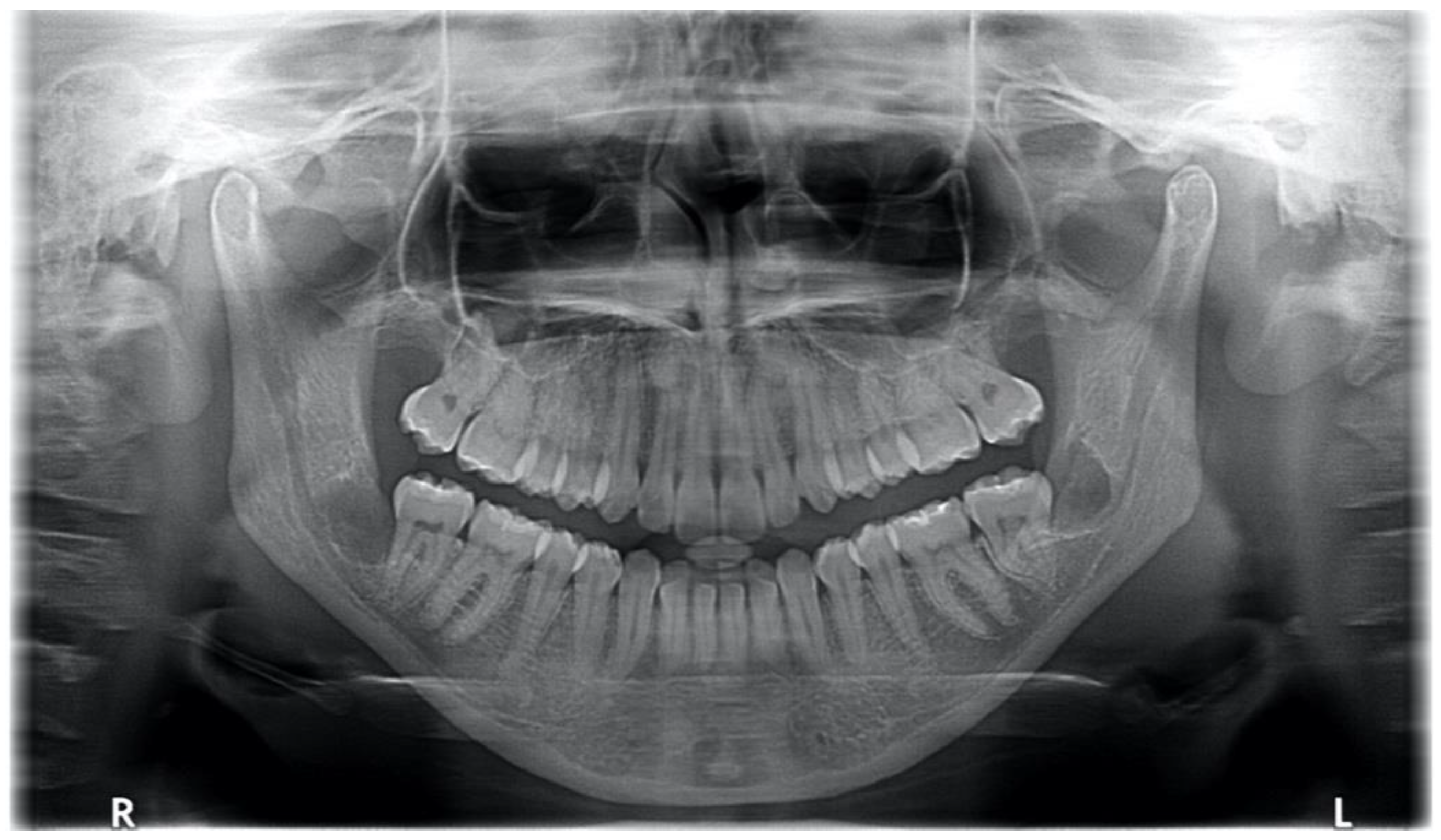
3.2. Case 2: Multi-Space Odontogenic Infection
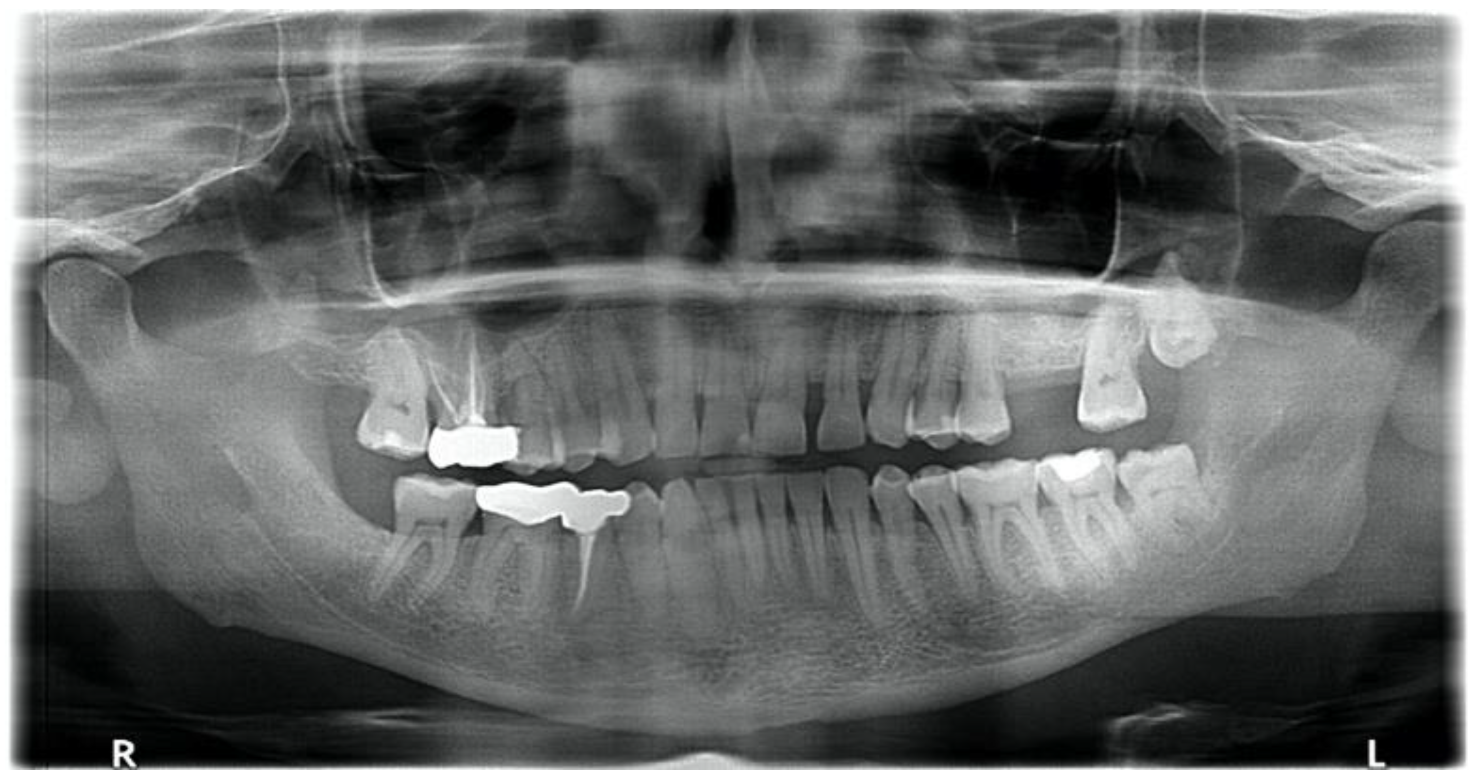
3.3. Case 3: Severe Pericoronitis
4. Discussion
4.1. Oral Microflora and Odontogenic Infections
4.2. Prevotella Pathogenesis
4.3. Prevotella and Odontogenic Infections
4.4. Metronidazole
4.5. Metronidazole and the Disulfiram-like Reaction
4.6. Odontogenic Infections and Antibiotic Susceptibility
| Resistant Strains (n [%]) | ||||
|---|---|---|---|---|
| Amoxicillin | Meropenem | Clindamycin | Metronidazole | |
| Species | ||||
| Breakpoint (mg/L) | R > 2 | R > 8 | R > 4 | R > 4 |
| P. baroniae (n = 2) | 1 (50.0) | 0 | 0 | 0 |
| P. bergensis (n = 3) | 2 (66.7) | 0 | 2 (66.7) | 0 |
| P. bivia (n = 17) | 9 (52.9) | 0 | 2 (11.8) | 1 (5.9) |
| P. buccae (n = 13) | 5 (38.5) | 0 | 0 | 0 |
| P. buccalis (n = 3) | 0 | 0 | 0 | 0 |
| P. copri (n = 2) | 1 (50.0) | 0 | 1 (50.0) | 0 |
| P. denticola (n = 7) | 4 (57.1) | 0 | 0 | 0 |
| P. disiens (n = 4) | 1 (25.0) | 0 | 2 (50.0) | 0 |
| P. histicola (n = 2) | 1 (50.0) | 0 | 0 | 0 |
| P. intermedia (n = 4) | 1 (25.0) | 0 | 0 | 0 |
| P. jejuni (n = 2) | 2 (100) | 0 | 0 | 0 |
| P. melaninogenica (n = 21) | 14 (66.7) | 0 | 1 (4.8) | 1 (4.8) |
| P. nigrescens (n = 4) | 3 (75.0) | 0 | 1 (25.0) | 0 |
| P. oris (n = 2) | 2 (100) | 0 | 0 | 0 |
| P. timonensis (n = 6) | 1 (16.7) | 0 | 1 (16.7) | 0 |
| Prevotella spp. (n = 7) | 1 (14.3) | 0 | 0 | 0 |
| Total, n (%) | 48 (48.5) | 0 | 10 (10.1) | 2 (2.0) |
5. Conclusions
Author Contributions
Funding
Institutional Review Board Statement
Informed Consent Statement
Data Availability Statement
Conflicts of Interest
References
- Kau, S.; Mansfeld, M.D.; Soba, A.; Zwick, T.; Staszyk, C. The facultative human oral pathogen Prevotella histicola in equine cheek tooth apical/periapical infection: A case report. BMC Vet. Res. 2021, 17, 343. [Google Scholar] [CrossRef]
- Fe Marques, A.; Maestre Vera, J.R.; Mateo Maestre, M.; Gonzalez Romo, F.; Castrillo Amores, M.A. Septic arthritis of the knee due to Prevotella loescheii following tooth extraction. Med. Oral. Patol. Oral. Cir. Bucal 2008, 13, E505–E507. [Google Scholar] [PubMed]
- Al-Nawas, B.; Maeurer, M. Severe versus local odontogenic bacterial infections: Comparison of microbial isolates. Eur. Surg. Res. 2008, 40, 220–224. [Google Scholar] [CrossRef] [PubMed]
- Hupp, J.R.; Ellis, E.; Tucker, M.R. Contemporary Oral and Maxillofacial Surgery, 7th ed.; Elsevier: Philadelphia, PA, USA, 2019; xii+ 708 p. [Google Scholar]
- Cuevas-Gonzalez, M.V.; Mungarro-Cornejo, G.A.; Espinosa-Cristobal, L.F.; Donohue-Cornejo, A.; Tovar Carrillo, K.L.; Saucedo Acuna, R.A.; Garcia Calderon, A.G.; Guzman Gastelum, D.A.; Zambrano-Galvan, G.; Cuevas-Gonzalez, J.C. Antimicrobial resistance in odontogenic infections: A protocol for systematic review. Medicine 2022, 101, e31345. [Google Scholar] [CrossRef] [PubMed]
- Ardila, C.M.; Bedoya-Garcia, J.A. Antimicrobial resistance in patients with odontogenic infections: A systematic scoping review of prospective and experimental studies. J. Clin. Exp. Dent. 2022, 14, e834–e845. [Google Scholar] [CrossRef]
- Huang, X.; Zheng, H.; An, J.; Chen, S.; Xiao, E.; Zhang, Y. Microbial profile during pericoronitis and microbiota shift after treatment. Front. Microbiol. 2020, 11, 1888. [Google Scholar] [CrossRef]
- Ribeiro, M.H.B.; Ribeiro, P.C.; Retamal-Valdes, B.; Feres, M.; Canabarro, A. Microbial profile of symptomatic pericoronitis lesions: A cross-sectional study. J. Appl. Oral. Sci. 2020, 28, e20190266. [Google Scholar] [CrossRef]
- Kaneko, A.; Matsumoto, T.; Iwabuchi, H.; Sato, J.; Wakamura, T.; Kiyota, H.; Tateda, K.; Hanaki, H.; Sakakibara, N.; Mizuno, T.; et al. Antimicrobial susceptibility surveillance of bacterial isolates recovered in Japan from odontogenic infections in 2013. J. Infect. Chemother. 2020, 26, 882–889. [Google Scholar] [CrossRef]
- Sakamoto, H.; Naito, H.; Aoki, T.; Karakida, K.; Shiiki, K. Necrotizing fasciitis of the neck due to an odontogenic infection: A case report. J. Infect. Chemother. 1996, 2, 290–293. [Google Scholar] [CrossRef]
- Heim, N.; Faron, A.; Wiedemeyer, V.; Reich, R.; Martini, M. Microbiology and antibiotic sensitivity of head and neck space infections of odontogenic origin. Differences in inpatient and outpatient management. J. Craniomaxillofac. Surg. 2017, 45, 1731–1735. [Google Scholar] [CrossRef]
- Bahl, R.; Sandhu, S.; Singh, K.; Sahai, N.; Gupta, M. Odontogenic infections: Microbiology and management. Contemp. Clin. Dent. 2014, 5, 307–311. [Google Scholar] [CrossRef]
- Monaco, G.; Gatto, M.R.A.; Pelliccioni, G.A. Incidence of delayed infections after lower third molar extraction. Int. J. Environ. Res. Public. Health 2022, 19, 4028. [Google Scholar] [CrossRef] [PubMed]
- Warnke, P.H.; Becker, S.T.; Springer, I.N.; Haerle, F.; Ullmann, U.; Russo, P.A.; Wiltfang, J.; Fickenscher, H.; Schubert, S. Penicillin compared with other advanced broad spectrum antibiotics regarding antibacterial activity against oral pathogens isolated from odontogenic abscesses. J. Craniomaxillofac. Surg. 2008, 36, 462–467. [Google Scholar] [CrossRef]
- Maestre, J.R.; Bascones, A.; Sanchez, P.; Matesanz, P.; Aguilar, L.; Gimenez, M.J.; Perez-Balcabao, I.; Granizo, J.J.; Prieto, J. Odontogenic bacteria in periodontal disease and resistance patterns to common antibiotics used as treatment and prophylaxis in odontology in Spain. Rev. Esp. Quimioter. 2007, 20, 61–67. [Google Scholar] [PubMed]
- Lofmark, S.; Edlund, C.; Nord, C.E. Metronidazole is still the drug of choice for treatment of anaerobic infections. Clin. Infect. Dis. 2010, 50 (Suppl. S1), S16–S23. [Google Scholar] [CrossRef] [PubMed]
- Rush, D.E.; Abdel-Haq, N.; Zhu, J.F.; Aamar, B.; Malian, M. Clindamycin versus Unasyn in the treatment of facial cellulitis of odontogenic origin in children. Clin. Pediatr. 2007, 46, 154–159. [Google Scholar] [CrossRef]
- Kuriyama, T.; Karasawa, T.; Nakagawa, K.; Yamamoto, E.; Nakamura, S. Incidence of beta-lactamase production and antimicrobial susceptibility of anaerobic Gram-negative rods isolated from pus specimens of orofacial odontogenic infections. Oral. Microbiol. Immunol. 2001, 16, 10–15. [Google Scholar] [CrossRef]
- Serena, T.E.; Bowler, P.G.; Schultz, G.S.; D’Souza, A.; Rennie, M.Y. Are semi-quantitative clinical cultures inadequate? Comparison to quantitative analysis of 1053 bacterial isolates from 350 wounds. Diagnostics 2021, 11, 1239. [Google Scholar] [CrossRef]
- Egwari, L.O.; Nwokoye, N.N.; Obisesan, B.; Coker, A.O.; Nwaokorie, F.O.; Savage, K.O. Bacteriological and clinical evaluation of twelve cases of post-surgical sepsis of odontogenic tumours at a referral centre. East. Afr. Med. J. 2008, 85, 269–274. [Google Scholar] [CrossRef]
- Sobottka, I.; Wegscheider, K.; Balzer, L.; Boger, R.H.; Hallier, O.; Giersdorf, I.; Streichert, T.; Haddad, M.; Platzer, U.; Cachovan, G. Microbiological analysis of a prospective, randomized, double-blind trial comparing moxifloxacin and clindamycin in the treatment of odontogenic infiltrates and abscesses. Antimicrob. Agents Chemother. 2012, 56, 2565–2569. [Google Scholar] [CrossRef]
- Singh, M.; Kambalimath, D.H.; Gupta, K.C. Management of odontogenic space infection with microbiology study. J. Maxillofac. Oral. Surg. 2014, 13, 133–139. [Google Scholar] [CrossRef]
- Plum, A.W.; Mortelliti, A.J.; Walsh, R.E. Microbial flora and antibiotic resistance in odontogenic abscesses in Upstate New York. Ear Nose Throat J. 2018, 97, E27–E31. [Google Scholar] [CrossRef]
- Shakya, N.; Sharma, D.; Newaskar, V.; Agrawal, D.; Shrivastava, S.; Yadav, R. Epidemiology, microbiology and antibiotic sensitivity of odontogenic space infections in central India. J. Maxillofac. Oral. Surg. 2018, 17, 324–331. [Google Scholar] [CrossRef] [PubMed]
- Kwon, G.B.; Kim, C.H. Microbial isolates and antibiotic sensitivity in patients hospitalized with odontogenic infections at a tertiary center over 10 years. J. Korean Assoc. Oral. Maxillofac. Surg. 2023, 49, 198–207. [Google Scholar] [CrossRef]
- Düzgüneş, N. Medical Microbiology and Immunology for Dentistry; Quintessence Publishing Co, Inc: Chicago, IL, USA, 2016; xi + 290 p. [Google Scholar]
- Socransky, S.S.; Haffajee, A.D.; Cugini, M.A.; Smith, C.; Kent, R.L., Jr. Microbial complexes in subgingival plaque. J. Clin. Periodontol. 1998, 25, 134–144. [Google Scholar] [CrossRef] [PubMed]
- Shah, H.N.; Collins, D.M. Prevotella, a new genus to include Bacteroides melaninogenicus and related species formerly classified in the genus Bacteroides. Int. J. Syst. Bacteriol. 1990, 40, 205–208. [Google Scholar] [CrossRef] [PubMed]
- Shenker, B.J.; Vitale, L.; Slots, J. Immunosuppressive effects of Prevotella intermedia on in vitro human lymphocyte activation. Infect. Immun. 1991, 59, 4583–4589. [Google Scholar] [CrossRef]
- Shah, H.N.; Gharbia, S.E. Biochemical and chemical studies on strains designated Prevotella intermedia and proposal of a new pigmented species, Prevotella nigrescens sp. nov. Int. J. Syst. Bacteriol. 1992, 42, 542–546. [Google Scholar] [CrossRef]
- Labbe, S.; Grenier, D. Characterization of the human immunoglobulin G Fc-binding activity in Prevotella intermedia. Infect. Immun. 1995, 63, 2785–2789. [Google Scholar] [CrossRef]
- Jansen, H.J.; Grenier, D.; Van der Hoeven, J.S. Characterization of immunoglobulin G-degrading proteases of Prevotella intermedia and Prevotella nigrescens. Oral. Microbiol. Immunol. 1995, 10, 138–145. [Google Scholar] [CrossRef]
- Beem, J.E.; Nesbitt, W.E.; Leung, K.P. Identification of hemolytic activity in Prevotella intermedia. Oral. Microbiol. Immunol. 1998, 13, 97–105. [Google Scholar] [CrossRef] [PubMed]
- Leung, W.K.; Theilade, E.; Comfort, M.B.; Lim, P.L. Microbiology of the pericoronal pouch in mandibular third molar pericoronitis. Oral. Microbiol. Immunol. 1993, 8, 306–312. [Google Scholar] [CrossRef] [PubMed]
- Potempa, M.; Potempa, J.; Kantyka, T.; Nguyen, K.A.; Wawrzonek, K.; Manandhar, S.P.; Popadiak, K.; Riesbeck, K.; Eick, S.; Blom, A.M. Interpain A, a cysteine proteinase from Prevotella intermedia, inhibits complement by degrading complement factor C3. PLoS Pathog. 2009, 5, e1000316. [Google Scholar] [CrossRef]
- Matsui, H.; Ogata, K.; Tajima, K.; Nakamura, M.; Nagamine, T.; Aminov, R.I.; Benno, Y. Phenotypic characterization of polysaccharidases produced by four Prevotella type strains. Curr. Microbiol. 2000, 41, 45–49. [Google Scholar] [CrossRef]
- Doke, M.; Fukamachi, H.; Morisaki, H.; Arimoto, T.; Kataoka, H.; Kuwata, H. Nucleases from Prevotella intermedia can degrade neutrophil extracellular traps. Mol. Oral. Microbiol. 2017, 32, 288–300. [Google Scholar] [CrossRef]
- Nagaoka, S.; Tokuda, M.; Sakuta, T.; Taketoshi, Y.; Tamura, M.; Takada, H.; Kawagoe, M. Interleukin-8 gene expression by human dental pulp fibroblast in cultures stimulated with Prevotella intermedia lipopolysaccharide. J. Endod. 1996, 22, 9–12. [Google Scholar] [CrossRef] [PubMed]
- Kim, S.J.; Choi, E.Y.; Kim, E.G.; Shin, S.H.; Lee, J.Y.; Choi, J.I.; Choi, I.S. Prevotella intermedia lipopolysaccharide stimulates release of tumor necrosis factor-alpha through mitogen-activated protein kinase signaling pathways in monocyte-derived macrophages. FEMS Immunol. Med. Microbiol. 2007, 51, 407–413. [Google Scholar] [CrossRef]
- Alugupalli, K.R.; Kalfas, S. Inhibitory effect of lactoferrin on the adhesion of Actinobacillus actinomycetemcomitans and Prevotella intermedia to fibroblasts and epithelial cells. APMIS 1995, 103, 154–160. [Google Scholar] [CrossRef]
- Berglundh, T.; Krok, L.; Liljenberg, B.; Westfelt, E.; Serino, G.; Lindhe, J. The use of metronidazole and amoxicillin in the treatment of advanced periodontal disease. A prospective, controlled clinical trial. J. Clin. Periodontol. 1998, 25, 354–362. [Google Scholar] [CrossRef]
- Poulet, P.P.; Duffaut, D.; Lodter, J.P. Evaluation of the Etest for determining the in-vitro susceptibilities of Prevotella intermedia isolates to metronidazole. J. Antimicrob. Chemother. 1999, 43, 610–611. [Google Scholar] [CrossRef]
- Augthun, M.; Conrads, G. Microbial findings of deep peri-implant bone defects. Int. J. Oral. Maxillofac. Implant. 1997, 12, 106–112. [Google Scholar]
- Van Winkelhoff, A.J.; Winkel, E.G.; Barendregt, D.; Dellemijn-Kippuw, N.; Stijne, A.; van der Velden, U. beta-Lactamase producing bacteria in adult periodontitis. J. Clin. Periodontol. 1997, 24, 538–543. [Google Scholar] [CrossRef] [PubMed]
- Sharma, G.; Garg, N.; Hasan, S.; Saffarini, D.; Shirodkar, S. Fumarate and nitrite reduction by Prevotella nigrescens and Prevotella buccae isolated from chronic periodontitis patients. Microb. Pathog. 2023, 176, 106022. [Google Scholar] [CrossRef]
- Le Goff, A.; Bunetel, L.; Mouton, C.; Bonnaure-Mallet, M. Evaluation of root canal bacteria and their antimicrobial susceptibility in teeth with necrotic pulp. Oral. Microbiol. Immunol. 1997, 12, 318–322. [Google Scholar] [CrossRef] [PubMed]
- Tek, M.; Metin, M.; Sener, I.; Bereket, C.; Tokac, M.; Kazancioglu, H.O.; Ezirganli, S. The predominant bacteria isolated from radicular cysts. Head. Face Med. 2013, 9, 25. [Google Scholar] [CrossRef]
- Vata, A.; Irimie-Baluta, E.; Rosu, F.M.; Onofrei, I.M.; Loghin, I.I.; Pertea, M.; Avadanei, A.N.; Miron, M.; Radulescu, L.; Esanu, I.; et al. Polymicrobial bacterial meningitis in a patient with chronic suppurative otitis media: Case report and literature review. Medicina 2023, 59, 1428. [Google Scholar] [CrossRef] [PubMed]
- Sobottka, I.; Cachovan, G.; Sturenburg, E.; Ahlers, M.O.; Laufs, R.; Platzer, U.; Mack, D. In vitro activity of moxifloxacin against bacteria isolated from odontogenic abscesses. Antimicrob. Agents Chemother. 2002, 46, 4019–4021. [Google Scholar] [CrossRef]
- Sanchez, R.; Mirada, E.; Arias, J.; Pano, J.R.; Burgueno, M. Severe odontogenic infections: Epidemiological, microbiological and therapeutic factors. Med. Oral. Patol. Oral. Cir. Bucal 2011, 16, e670–e676. [Google Scholar] [CrossRef]
- Kuriyama, T.; Karasawa, T.; Nakagawa, K.; Nakamura, S.; Yamamoto, E. Antimicrobial susceptibility of major pathogens of orofacial odontogenic infections to 11 beta-lactam antibiotics. Oral. Microbiol. Immunol. 2002, 17, 285–289. [Google Scholar] [CrossRef]
- Cachovan, G.; Blessmann, M.; Schon, G.; Rother, U.; Heiland, M.; Sturenburg, E.; Platzer, U.; Sobottka, I. Radiography-based score indicative for the pathogenicity of bacteria in odontogenic infections. Acta Odontol. Scand. 2014, 72, 530–536. [Google Scholar] [CrossRef]
- Baty, J.J.; Stoner, S.N.; Scoffield, J.A. Oral commensal streptococci: Gatekeepers of the oral cavity. J. Bacteriol. 2022, 204, e0025722. [Google Scholar] [CrossRef]
- Khalil, D.; Hultin, M.; Rashid, M.U.; Lund, B. Oral microflora and selection of resistance after a single dose of amoxicillin. Clin. Microbiol. Infect. 2016, 22, 949.e1–949.e4. [Google Scholar] [CrossRef]
- Dingsdag, S.A.; Hunter, N. Metronidazole: An update on metabolism, structure-cytotoxicity and resistance mechanisms. J. Antimicrob. Chemother. 2018, 73, 265–279. [Google Scholar] [CrossRef] [PubMed]
- Lamp, K.C.; Freeman, C.D.; Klutman, N.E.; Lacy, M.K. Pharmacokinetics and pharmacodynamics of the nitroimidazole antimicrobials. Clin. Pharmacokinet. 1999, 36, 353–373. [Google Scholar] [CrossRef]
- Karamanakos, P.N.; Pappas, P.; Boumba, V.A.; Thomas, C.; Malamas, M.; Vougiouklakis, T.; Marselos, M. Pharmaceutical agents known to produce disulfiram-like reaction: Effects on hepatic ethanol metabolism and brain monoamines. Int. J. Toxicol. 2007, 26, 423–432. [Google Scholar] [CrossRef]
- Alonzo, M.M.; Lewis, T.V.; Miller, J.L. Disulfiram-like reaction with metronidazole: An unsuspected culprit. J. Pediatr. Pharmacol. Ther. 2019, 24, 445–449. [Google Scholar] [CrossRef] [PubMed]
- Poeschl, P.W.; Spusta, L.; Russmueller, G.; Seemann, R.; Hirschl, A.; Poeschl, E.; Klug, C.; Ewers, R. Antibiotic susceptibility and resistance of the odontogenic microbiological spectrum and its clinical impact on severe deep space head and neck infections. Oral. Surg. Oral. Med. Oral. Pathol. Oral. Radiol. Endod. 2010, 110, 151–156. [Google Scholar] [CrossRef]
- Kuriyama, T.; Karasawa, T.; Nakagawa, K.; Saiki, Y.; Yamamoto, E.; Nakamura, S. Bacteriologic features and antimicrobial susceptibility in isolates from orofacial odontogenic infections. Oral. Surg. Oral. Med. Oral. Pathol. Oral. Radiol. Endod. 2000, 90, 600–608. [Google Scholar] [CrossRef] [PubMed]
- Kuriyama, T.; Nakagawa, K.; Karasawa, T.; Saiki, Y.; Yamamoto, E.; Nakamura, S. Past administration of beta-lactam antibiotics and increase in the emergence of beta-lactamase-producing bacteria in patients with orofacial odontogenic infections. Oral. Surg. Oral. Med. Oral. Pathol. Oral. Radiol. Endod. 2000, 89, 186–192. [Google Scholar] [CrossRef]
- Boyanova, L.; Kolarov, R.; Gergova, G.; Deliverska, E.; Madjarov, J.; Marinov, M.; Mitov, I. Anaerobic bacteria in 118 patients with deep-space head and neck infections from the University Hospital of Maxillofacial Surgery, Sofia, Bulgaria. J. Med. Microbiol. 2006, 55 Pt 9, 1285–1289. [Google Scholar] [CrossRef]
- Eick, S.; Pfister, W.; Straube, E. Antimicrobial susceptibility of anaerobic and capnophilic bacteria isolated from odontogenic abscesses and rapidly progressive periodontitis. Int. J. Antimicrob. Agents 1999, 12, 41–46. [Google Scholar] [CrossRef]
- Patel, M. The prevalence of beta lactamase-producing anaerobic oral bacteria in South African patients with chronic periodontitis. SADJ 2011, 66, 416–418. [Google Scholar] [PubMed]
- Alou, L.; Gimenez, M.J.; Manso, F.; Sevillano, D.; Cafini, F.; Torrico, M.; Gonzalez, N.; Prieto, J.; Alio, J.J.; Aguilar, L. In vitro killing activity of crevicular concentrations of tinidazole plus common oral antibiotics against high-density mixed inocula of periodontal pathogens in strict anaerobic conditions. J. Periodontol. 2010, 81, 131–138. [Google Scholar] [CrossRef] [PubMed]
- Roche, Y.; Yoshimori, R.N. In-vitro activity of spiramycin and metronidazole alone or in combination against clinical isolates from odontogenic abscesses. J. Antimicrob. Chemother. 1997, 40, 353–357. [Google Scholar] [CrossRef] [PubMed]
- Chan, Y.; Chan, C.H. Antibiotic resistance of pathogenic bacteria from odontogenic infections in Taiwan. J. Microbiol. Immunol. Infect. 2003, 36, 105–110. [Google Scholar]
- Chunduri, N.S.; Madasu, K.; Goteki, V.R.; Karpe, T.; Reddy, H. Evaluation of bacterial spectrum of orofacial infections and their antibiotic susceptibility. Ann. Maxillofac. Surg. 2012, 2, 46–50. [Google Scholar] [CrossRef]
- Bigus, S.; Russmuller, G.; Starzengruber, P.; Reitter, H.; Sacher, C.L. Antibiotic resistance of the bacterial spectrum of deep space head and neck infections in oral and maxillofacial surgery—A retrospective study. Clin. Oral. Investig. 2023, 27, 4687–4693. [Google Scholar] [CrossRef]
- Humphries, R.; Bobenchik, A.M.; Hindler, J.A.; Schuetz, A.N. Overview of changes to the Clinical and Laboratory Standards Institute Performance Standards for Antimicrobial Susceptibility Testing, M100, 31st Edition. J. Clin. Microbiol. 2021, 59, e0021321. [Google Scholar] [CrossRef]
- Veloo, A.C.M.; Baas, W.H.; Haan, F.J.; Coco, J.; Rossen, J.W. Prevalence of antimicrobial resistance genes in Bacteroides spp. and Prevotella spp. Dutch clinical isolates. Clin. Microbiol. Infect. 2019, 25, 1156.e9–1156.e13. [Google Scholar] [CrossRef]





| Anaerobic Gram-Negative Rods MBC (μg/mL) | ||
|---|---|---|
| Ampicillin + Sulbactam | 1 | Susceptible |
| Clindamycin | 256 | Resistant |
| Meropenem | 0.25 | Susceptible |
| Metronidazole | 0.5 | Susceptible |
| Susceptibility | ||
|---|---|---|
| Prevotella intermedia | ||
| Antibiotic | Interpretation | Value Comment (μg/mL) |
| Ampicillin + Sulbactam | Susceptible | <=0.03 |
| Clindamycin | Susceptible | <=0.03 |
| Meropenem | Susceptible | 0.06 |
| Metronidazole | Susceptible | 0.12 |
| Fusobacterium Species | ||
| Ampicillin + Sulbactam | Susceptible | <=0.03 |
| Clindamycin | Susceptible | 0.06 |
| Meropenem | Susceptible | 0.03 |
| Metronidazole | Susceptible | <=0.03 |
| Ampicillin-Sulbactam | Pipercillin-Tazobactam | Imipenem | Meropenem | |||||||||
|---|---|---|---|---|---|---|---|---|---|---|---|---|
| Anaerobic Organisms | # of Strains | %S | %R | # of Strains | %S | %R | # of Strains | %S | %R | # of Strains | %S | %R |
| Prevotella spp. | 29 | 97 | 3 | 63 | 100 | 0 | 29 | 100 | 0 | 92 | 98 | 0 |
| Fusobacterium spp. | 20 | 100 | 0 | 55 | 96 | 2 | 75 | 95 | 4 | 20 | 100 | 0 |
| Anaerobic gram positive cocci | - | - | - | 1853 | 99 | 1 | 134 | 99 | 0 | 1647 | 100 | 0 |
| Clostridium perfringens | 15 | 100 | 0 | 410 | 100 | 0 | 23 | 100 | 0 | 417 | 100 | 0 |
| Clostridioides | 76 | 99 | 0 | 542 | 93 | 0 | 480 | 69 | 4 | 609 | 99 | 0 |
| Clostridium spp. | - | 439 | 94 | 1 | 71 | 99 | 0 | 390 | 100 | 0 | ||
| Penicillin | Clindamycin | Moxifloxacin | Metronidazole | |||||||||
| Anaerobic Organisms | # of strains | %S | %R | # of strains | %S | %R | # of strains | %S | %R | # of strains | %S | %R |
| Prevotella spp. | 63 | 100 | 0 | 29 | 69 | 28 | 92 | 66 | 25 | 92 | 99 | 0 |
| Fusobacterium spp. | - | - | - | 75 | 77 | 21 | 75 | 68 | 23 | 75 | 95 | 5 |
| Anaerobic gram positive cocci | 1647 | 100 | 0 | 1826 | 97 | 3 | 300 | 72 | 21 | 0 | 100 | 0 |
| Clostridium perfringens | 402 | 90 | 4 | 425 | 83 | 12 | 23 | 83 | 9 | 425 | 100 | 0 |
| Clostridioides | 533 | 6 | 37 | 1013 | 32 | 38 | 480 | 74 | 25 | 1343 | 100 | 0 |
| Clostridium spp. | 390 | 69 | 13 | 461 | 67 | 25 | 71 | 62 | 35 | 461 | 100 | 119 |
Disclaimer/Publisher’s Note: The statements, opinions and data contained in all publications are solely those of the individual author(s) and contributor(s) and not of MDPI and/or the editor(s). MDPI and/or the editor(s) disclaim responsibility for any injury to people or property resulting from any ideas, methods, instructions or products referred to in the content. |
© 2025 by the authors. Licensee MDPI, Basel, Switzerland. This article is an open access article distributed under the terms and conditions of the Creative Commons Attribution (CC BY) license (https://creativecommons.org/licenses/by/4.0/).
Share and Cite
Nix, N.L.; Zusman, N.T.; Düzgüneş, N. Odontogenic Infections Resistant to Empiric Therapy, Opportunistic Prevotella, and Metronidazole: A Clinical Case Series and Review of the Literature. Oral 2025, 5, 17. https://doi.org/10.3390/oral5010017
Nix NL, Zusman NT, Düzgüneş N. Odontogenic Infections Resistant to Empiric Therapy, Opportunistic Prevotella, and Metronidazole: A Clinical Case Series and Review of the Literature. Oral. 2025; 5(1):17. https://doi.org/10.3390/oral5010017
Chicago/Turabian StyleNix, Ned Leonard, Nicholas T. Zusman, and Nejat Düzgüneş. 2025. "Odontogenic Infections Resistant to Empiric Therapy, Opportunistic Prevotella, and Metronidazole: A Clinical Case Series and Review of the Literature" Oral 5, no. 1: 17. https://doi.org/10.3390/oral5010017
APA StyleNix, N. L., Zusman, N. T., & Düzgüneş, N. (2025). Odontogenic Infections Resistant to Empiric Therapy, Opportunistic Prevotella, and Metronidazole: A Clinical Case Series and Review of the Literature. Oral, 5(1), 17. https://doi.org/10.3390/oral5010017
