Mandibular Carcinoma Cuniculatum around the Dental Implant in a Patient with Concurrent Management for Pemphigus Vulgaris: A Case Report
Abstract
1. Introduction
2. Case Presentation
3. Discussion
4. Conclusions
Author Contributions
Funding
Institutional Review Board Statement
Informed Consent Statement
Data Availability Statement
Acknowledgments
Conflicts of Interest
References
- El-Naggar, A.K.; Takata, T.; Slootweg, P.J.; Chan, J.K.C.; Grandis, J. Tumours of the Oral Cavity and Mobile Tongue. In WHO Classification of Head and Neck Tumours; International Agency for Research on Cancer, IARC Press: Lyon, France, 2017; pp. 109–111. [Google Scholar]
- Farag, A.F.; Abou-Alnour, D.A.; Abu-Taleb, N.S. Oral carcinoma cuniculatum, an unacquainted variant of oral squamous cell carcinoma: A systematic review. Imaging Sci. Dent. 2018, 48, 233–244. [Google Scholar] [CrossRef] [PubMed]
- Coldiron, B.M.; Brown, F.C.; Freeman, R.G. Epithelioma cuniculatum (carcinoma cuniculatum) of the thumb: A case report and literature review. J. Dermatol. Surg. Oncol. 1986, 12, 1150–1155. [Google Scholar] [CrossRef] [PubMed]
- Flieger, S.; Owiński, T. Epithelioma cuniculatum an unusual form of mouth and jaw neoplasm. Czas. Stomatol. 1977, 30, 395–401. [Google Scholar]
- Sun, Y.; Kuyama, K.; Burkhardt, A.; Yamamoto, H. Clinicopathological evaluation of carcinoma cuniculatum: A variant of oral squamous cell carcinoma. J. Oral Pathol. Med. 2012, 41, 303–308. [Google Scholar] [CrossRef] [PubMed]
- Suzuki, J.; Hashimoto, S.; Watanabe, K.; Takahashi, K.; Usubuchi, H.; Suzuki, H. Carcinoma cuniculatum mimicking leukoplakia of the mandibular gingiva. Auris Nasus Larynx. 2012, 39, 321–325. [Google Scholar] [CrossRef] [PubMed]
- Allon, D.; Kaplan, I.; Manor, R.; Calderon, S. Carcinoma cuniculatum of the jaw: A rare variant of oral carcinoma. Oral Surg. Oral Med. Oral Pathol. Oral Radiol. Endod. 2002, 94, 601–608. [Google Scholar] [CrossRef] [PubMed]
- Kruse, A.L.D.; Graetz, K.W. Carcinoma Cuniculatum: A Rare Entity in the Oral Cavity. J. Craniofac. Surg. 2009, 20, 1270–1272. [Google Scholar] [CrossRef]
- Hutton, A.; McKaig, S.; Bardsley, P.; Monaghan, A.; Parmar, S. Oral Carcinoma Cuniculatum in a Young Child. J. Clin. Pediatr. Dent. 2010, 35, 89–94. [Google Scholar] [CrossRef]
- Pons, Y.; Kerrary, S.; Cox, A.; Guerre, A.; Bertolus, C.; Gruffaz, F.; Capron, F.; Goudot, P.; Ruhin-Poncet, B. Mandibular cuniculatum carcinoma: Apropos of 3 cases and literature review. Head Neck-J. Sci. Spec. Head Neck. 2012, 34, 291–295. [Google Scholar] [CrossRef]
- Thavaraj, S.; Cobb, A.; Kalavrezos, N.; Beale, T.; Walker, D.M.; Jay, A. Carcinoma Cuniculatum Arising in the Tongue. Head Neck Pathol. 2012, 6, 130–134. [Google Scholar] [CrossRef]
- Fonseca, F.P.; Pontes, H.A.R.; Pontes, F.S.C.; de Carvalho, P.L.; Sena, M.; Jorge, J.; Santos-Silva, A.R.; de Almeida, O.P. Oral carcinoma cuniculatum: Two cases illustrative of a diagnostic challenge. Oral Surg. Oral Med. Oral Pathol. Oral Radiol. 2013, 116, 457–463. [Google Scholar] [CrossRef] [PubMed]
- Goh, G.H.; Venkateswaran, K.; Leow, P.C.; Loh, K.S.; Thamboo, T.P.; Petersson, F. Carcinoma Cuniculatum of the Esophagus and Tongue: Report of Two Cases, Including TP53 Mutational Analysis. Head Neck Pathol. 2014, 8, 261–268. [Google Scholar] [CrossRef] [PubMed]
- Padilla, R.J.; Murrah, V.A. Carcinoma cuniculatum of the oral mucosa: A potentially underdiagnosed entity in the absence of clinical correlation. Oral Surg. Oral Med. Oral Pathol. Oral Radiol. 2014, 118, 686–695. [Google Scholar] [CrossRef] [PubMed]
- Shapiro, M.C.; Wong, B.; O’Brien, M.J.; Salama, A. Mandibular Destruction Secondary to Invasion by Carcinoma Cuniculatum. J. Oral Maxillofac. Surg. 2015, 73, 2343–2351. [Google Scholar] [CrossRef] [PubMed]
- Shay, S.; Choy, W.; Christensen, R.E.; St. John, M.A. Extensive carcinoma cuniculatum of the mandible. Am. J. Otolaryngol. 2015, 36, 446–450. [Google Scholar] [CrossRef]
- Datar, U.V.; Kale, A.; Mane, D. Oral Carcinoma Cuniculatum: A New Entity in the Clinicopathological Spectrum of Oral Squamous Cell Carcinoma. J. Clin. Diagn. Res. 2017, 11, ZD37–ZD39. [Google Scholar] [CrossRef]
- Prasad, R.S.; Moorthy, A.; Bhadranna, A.; Pai, A. Proliferative endophytic lesion of the maxilla: A diagnostic challenge. J. Oral Maxillofac. Pathol. 2018, 22 (Suppl. 1), S82–S86. [Google Scholar] [CrossRef]
- Thibouw, F.; Anna, H.; Levasseur, J.; Mondoloni, C.; Aubriot-Lorton, M.H.; Zwetyenga, N. Carcinoma cuniculatum of the lip: A case report. J. Stomatol. Oral Maxillofac. Surg. 2018, 119, 224–228. [Google Scholar] [CrossRef]
- Zhang, C.Y.; Hu, Y.H.; Tian, Z.; Zhu, L.; Zhang, C.P.; Li, J. Oral carcinoma cuniculatum presenting with moth-eaten destruction of the mandible. Oral Surg. Oral Med. Oral Pathol. Oral Radiol. 2018, 125, E86–E93. [Google Scholar] [CrossRef]
- Sivapathasundharam, B.; Kavitha, B.; Padmapriya, V.M. Carcinoma Cuniculatum of the Alveolar Mucosa: A Rare Variant of Squamous Cell Carcinoma. Head Neck Pathol. 2019, 13, 652–655. [Google Scholar] [CrossRef]
- Ramos, G.O.; Meyer, G.L.; Visioli, F.; Manoela, M.D.; Oliveira, M.G. Carcinoma cuniculatum in the tongue of a patient with oral lichen planus: Unusual presentation. Indian J. Dent. Res. 2018, 29, 525–528. [Google Scholar] [CrossRef] [PubMed]
- Broly, E.; Barthelemy, P.; Ciftci, S.; Borel, C.; Broly, M.; Gros, C.I.; Marcellin, L.; Bornert, F. Hidden intra-mandibular carcinoma cuniculatum appearing in a patient with metastatic prostate cancer: A case report. BMC Oral Health. 2019, 19, 1–5. [Google Scholar] [CrossRef] [PubMed]
- Dejust, S.; El Farsaoui, K.; Bellefqih, S.; Lalire, P.; Morland, D. 18F-FDG PET/CT in Oral Cuniculatum Carcinoma. Clin. Nucl. Med. 2019, 44, 741–742. [Google Scholar] [CrossRef]
- Allon, I.; Vered, M.; Kaplan, I.; Nahlieli, O.; Yahalom, R.; Shalmon, B.; Srouji, S.; Livoff, A. Rare variants of head and neck squamous cell carcinoma-differential immunohistochemical profiles. Acta Histochem. 2019, 121, 151444. [Google Scholar] [CrossRef] [PubMed]
- Barrett, A.W.; Garg, M.; Armstrong, D.; Bisase, B.S.; Newman, L.; Norris, P.M.; Shelley, M.; Tighe, J.V.; Hyde, N.H.C.; Chaston, N.J.; et al. Cystic Squamous Cell Carcinomas of the Jaws: Twelve Cases Highlighting Histopathological Pitfalls. Int. J. Surg. Pathol. 2020, 28, 624–630. [Google Scholar] [CrossRef]
- Lee, N.V.; Ben Kang, E.T.; Senger, C.; Poh, C.F. Oral cancer in a 5-year-old boy: A rare case report and review of literature. Oral Surg. Oral Med. Oral Pathol. Oral Radiol. 2020, 130, E10–E19. [Google Scholar] [CrossRef]
- Niklander, S.; Sernuda, L.M.; Martinez, R. Unusual case of carcinoma cuniculatum affecting the oral cavity of an 11-year-old boy. An. Bras. Dermatol. 2021, 96, 799–801. [Google Scholar] [CrossRef]
- Yadav, S.; Bal, M.; Rane, S.; Mittal, N.; Janu, A.; Patil, A. Carcinoma Cuniculatum of the Oral Cavity: A Series of 6 Cases and Review of Literature. Head Neck Pathol. 2021. [CrossRef]
- Janardhanan, M.; Rakesh, S.; Savithri, V.; Aravind, T.; Mohan, M. Carcinoma Cuniculatum of Mandible Masquerading as Odontogenic Keratocyst: Challenges in the Histopathological Diagnosis. Head Neck Pathol. 2021, 15, 1313–1321. [Google Scholar] [CrossRef]
- Elangovan, E.; Banerjee, A.; Abhinandan; Roy, B. Oral carcinoma cuniculatum. J. Oral Maxillofac. Pathol. 2021, 25, 163–166. [Google Scholar] [CrossRef]
- El-Naggar, A.K.; Takata, T.; Slootweg, P.J.; Chan, J.K.C.; Grandis, J. Odontogenic and maxillofacial bone tumours. In WHO Classification of Head and Neck Tumours; International Agency for Research on Cancer, IARC Press: Lyon, France, 2017; pp. 206–212, 234–242. [Google Scholar]
- Fujita, K.; Sato, H.; Kato, S.; Saisu, H.; Ikeura, K.; Kodaka, R.; Tsunoda, H.; Mori, T.; Yamagami, J.; Amagai, M.; et al. Clinical Characterization of Oral Symptoms in 6 Paraneoplastic Pemphigus Patients. J. Jpn. Oral Med. 2017, 23, 1–8. [Google Scholar] [CrossRef][Green Version]
- Ricciuti, B.; Dahlberg, S.E.; Adeni, A.; Sholl, L.M.; Nishino, M.; Awad, M.M. Immune Checkpoint Inhibitor Outcomes for Patients With Non-Small-Cell Lung Cancer Receiving Baseline Corticosteroids for Palliative Versus Nonpalliative Indications. J. Clin. Oncol. 2019, 37, 1927–1934. [Google Scholar] [CrossRef] [PubMed]







| The Period Starting from the First Visit (Month) | Event/Treatment | Findings/Symptoms | Clinical Diagnosis | Histopathological Diagnosis |
|---|---|---|---|---|
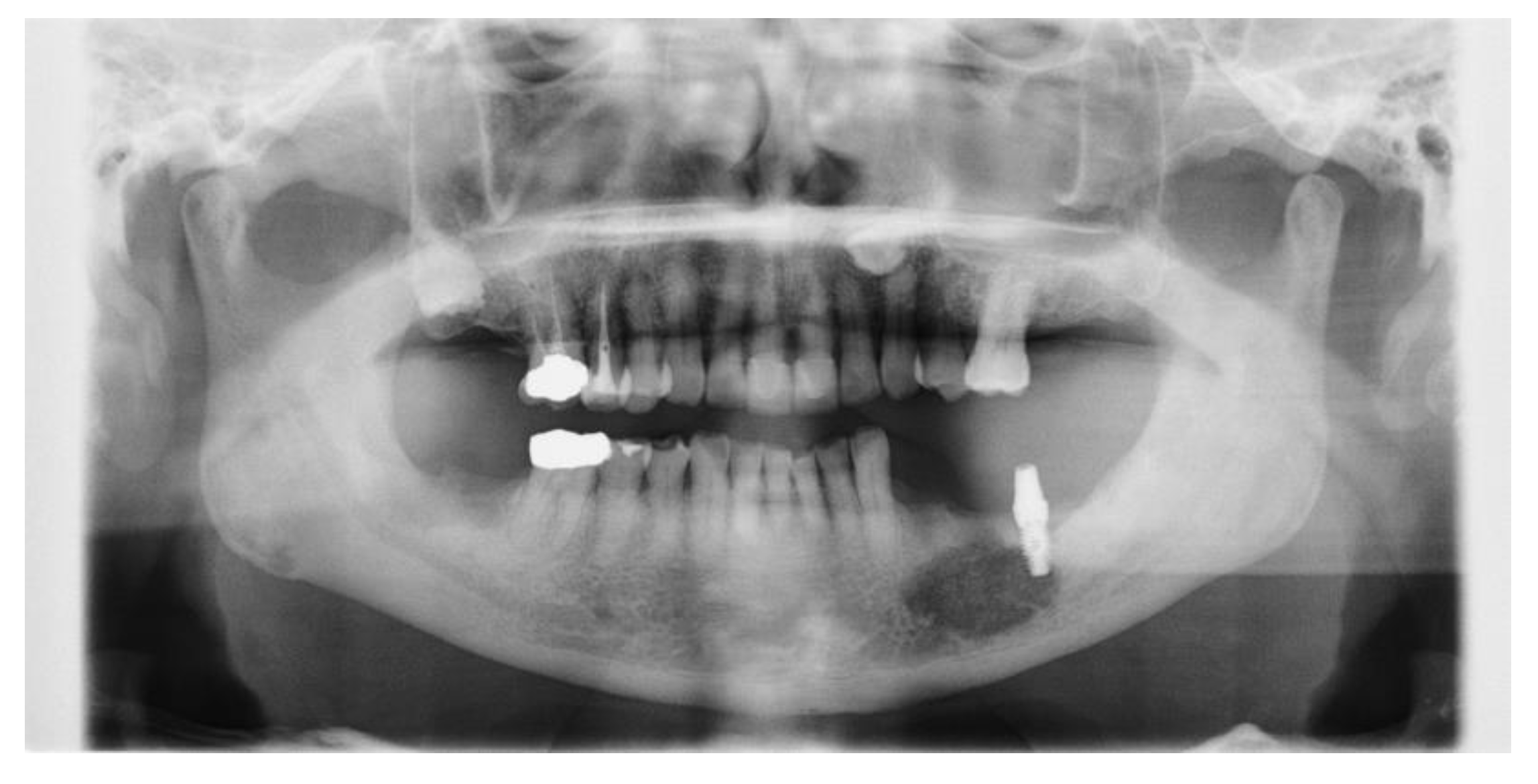
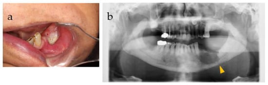
| 0 | First visit (Figure 1), | |||
| biopsy (Figure 2), | PV, peri-implantitis, S/O: gingival malignant tumor | SBCWPV (first) | ||
| start of steroid treatment | ||||
| 1 | Significant improvement in oral lesions | |||
| 2 | Disintegration of the implant in tooth 35 | |||
| Removal of the implant in tooth 35, biopsy | SBCWPV (second) | |||
| 4 | Re-curettage, biopsy, antibiotic administration | Bone exposure | PV, socket-healing failure after implant removal, mandibular osteomyelitis, S/O: PIOSCC | SBCWPV (third) |
| 5 | Hypoesthesia in the chin | |||
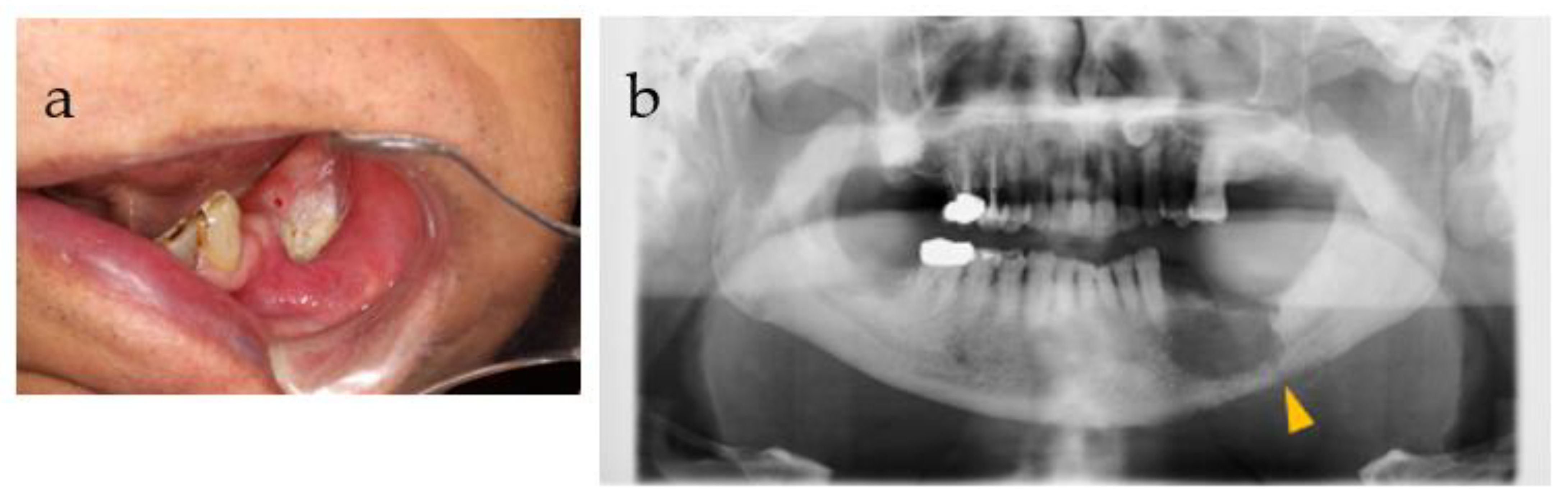
| 7 | (Figure 3) | Significant enlargement of the lesion due to bone melting at tooth 35 | ||
| 9 | Biopsy (Figure 4), | SBCWPV, OWS, NM (fourth) | ||
| HBO (20 times) | ||||
| 10 | Mandibular surgical anti-inflammatory surgery, removal of the implant in tooth 36, | PV, mandibular osteomyelitis/osteonecrosis, S/O: PIOSCC | SBCWPV, OWS, NM (fifth) | |
| HBO (10 times) | ||||
| 11 | Biopsy | White lesions from the mandibular wound | Keratinous material, NM (sixth) | |
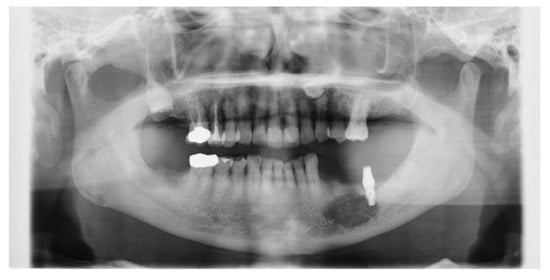
| 12 | (Figure 5) | Pathological fracture | ||
| HBO (20 times), | ||||
| biopsy, | OWS, NM (seventh) | |||
| intermaxillary fixation | ||||
| 14 | Mandibular segmentectomy (Figure 6) | OWS, NM → Corrected to CC, pT4a (eighth) | ||
| 15 | Wound opening, bone exposure | |||
| 16 | HBO (10 times) | |||
| 19 | White papillary lesions | |||
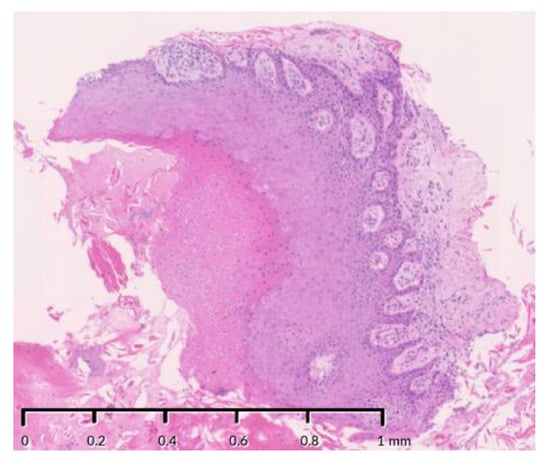
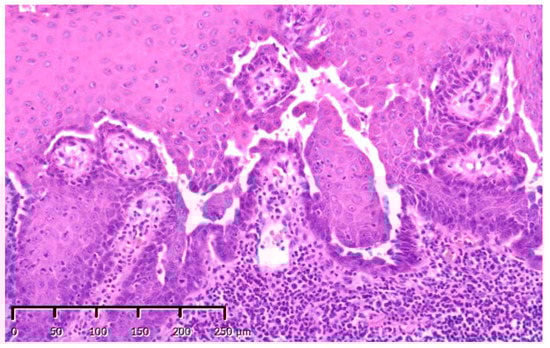
| 20 | Debridement Biopsy (Figure 7) | CC, PV | CC, pT4a (ninth) |
| M | F | Age | Location | Pain | Growth Pattern | Time to Diagnosis | Preoperative Diagnosis | Treatment | Bone Infiltration | Follow-Up (M) | Prognosis Recurrence | |||
|---|---|---|---|---|---|---|---|---|---|---|---|---|---|---|
| Allon [7] | 2002 | 1 | 1 | 0 | 56 | Ant max gingiva | N/A | Exo | 6 M | CC | Max seg resection | (+) | 20 | Free |
| Kruse and Gratz [8] | 2009 | 1 | 0 | 1 | 74 | Ant max gingiva | N/A | Exo and end | 3 M | WDSCC | Max seg resection + BND | (+) | 24 | Free |
| Hutton [9] | 2010 | 1 | 0 | 1 | 7 | Ant max gingiva | N/A | End | 1 M | Dental abscess, WDSCC | Max seg resection | (+) | 24 | Free |
| Pons [10] | 2012 | 3 | 1 | 0 | 72 | Mand mola gingiva | (+) | Exo and end | 6 M | Abscess, inflammatory granuloma | Mand marg resection +UND | (+) | 2 Y | Free |
| 1 | 0 | 82 | Ant mand gingiva | (+) | 3 M | CC | Tumor resection + BND + FFTR | (+) | 4 M | Sudden death, cause of death unknown | ||||
| 1 | 0 | 43 | Mand, max, zygomatic, petrous bones, infratemporal fossa/retromolar trigone | (+) | N/A | OKC | Tumor resection + UND + FFTR | (+) | 1 Y | Free | ||||
| Sun [5] | 2012 | 15 | 5 | 4 | 67 | 8 tongues 1 vestibule | (+) 12/15 | Exo 8 End 1 | 1–24 M (Ave 8.5 M) | N/A | Tumor resection + ND | (−) | 45 M (5 M–14 Y) | Local recurrence 3/9 (tongue 2) (vestibule 1) |
| 2 | 4 | Mand gingiva | Exo 2 End 4 | (+) 5/6 (−) 1/6 | Local recurrence 0/6 | |||||||||
| Suzuki [6] | 2012 | 1 | 1 | 0 | 68 | Mand gingiva | (+) | End | 3 M and more | OM with leukoplakia | Mand marg resection + UND + FFTR | (+) | 19 | Death from recurrent primary disease (aspiration pneumonia) |
| Thavaraj [11] | 2012 | 1 | 1 | 0 | 61 | Tongue | (−) | End | 1 Y | N/A | Total glossectomy + BND | (−) | 24 | Free |
| Fonseca [12] | 2013 | 2 | 0 | 1 | 62 | Ant mand gingiva | (+) | Exo | 2 Y 2 M | Infected OKC | Tumor resection | (+) | 18 M | Free |
| 1 | 47 | Max gingiva | (+) | 7 Y | OM | Operation → RT | (+) | 6 Y | Free | |||||
| Goh [13] | 2014 | 1 | 1 | 0 | 62 | Tongue | N/A | End | 6 Y 3 M and more | Pseudoepithelomatous hyperplasia | Hemiglossectomy resection + UND | (−) | 18 | Free |
| Padilla and Murrah [14] | 2014 | 10 | 1 | 0 | 65 | Mand gingiva | N/A | Exo and end | N/A | CC (hyperkeratosis) | Mand comp resection | N/A | N/A | N/A |
| 0 | 1 | 38 | Mand gingiva | N/A | Exo | 11 M | CC | Mand comp resection | (−) | 26 M | Free | |||
| 1 | 0 | 72 | Mand gingiva | (−) | Exo and end | N/A | CC | Mand peri comp resection | (−) | 8 Y | Free | |||
| 0 | 1 | 81 | Ant max gingiva | N/A | Exo and end | 3 M | CC | Mand comp resection | (−) | 2.5 Y | Free | |||
| 0 | 1 | 67 | Mand gingiva—BM | N/A | Exo | N/A | CC (* inflamed papilloma with fungal hyphae; no atypia or malignancy present) | Extensive resection | N/A | N/A | N/A | |||
| 1 | 0 | 79 | Vestibule | N/A | Exo and end | N/A | CC | Mand comp resection | (+) | 5 Y | Free | |||
| 0 | 1 | 88 | Max gingiva | N/A | Exo | N/A | CC | Extensive resection | (−) | 10 M | Free | |||
| 0 | 1 | 75 | Mand gingiva—BM | N/A | End | N/A | CC (hyperkeratosis, epithelial atrophy, dyskeratosis) | Mand comp resection | (−) | 9 M | Free | |||
| 0 | 1 | 69 | Mand gingiva—BM | N/A | Exo and end | N/A | Traumatic lesions | Mand comp resection | (−) | 6 M | Free | |||
| 0 | 1 | 85 | Mand gingiva | N/A | Exo | N/A | CC | Refuse treatment | (−) | N/A | N/A | |||
| Shapiro [15] | 2015 | 1 | 0 | 1 | 71 | Mand gingiva parasymphysis | (+) | End | 9 Y | Dental abscess, OM, verrucous hyperplasia and WDOSS | Mand seg resection + BND → RT | (+) | N/A | N/A |
| Shay [16] | 2015 | 1 | 1 | 0 | 58 | Mand gingiva, parotid gland, deep parapharyngeal muscles | N/A | End | 3 Y | Infected OKC | Mand seg resection + UND + FFTR | (+) | 5 | Free |
| Datar [17] | 2017 | 1 | 0 | 1 | 58 | Mand gingiva | N/A | End | 3 M | WDSCC | Mand marg resection + UND | (+) | 24 | Free |
| Prasad [18] | 2017 | 1 | 1 | 0 | 40 | Max gingiva | (+) | Exo and end | 6 M | TSF 1 M → KCOT | Total max resection + partial max resection | (+) | N/A | N/A |
| Thibouw [19] | 2018 | 1 | 1 | 0 | 57 | Lower lip | (+) | Exo and end | 18 M | Mycetoma | Mand comp resection; later, FFTR | (−) | 9 M | Free |
| Zhang [20] | 2018 | 1 | 1 | 0 | 39 | Mand gingiva | (+) | End | 3 M | Healing delay in tooth extraction 1 M → SCC | Mand seg resection + UND | (+) | 27 | 10 M later, local cervical recurrence; 27 M later, contralateral cervical LN metastasis |
| Sivapatha-sundharam [21] | 2019 | 1 | 0 | 1 | 47 | Mand molar gingiva | (−) | Exo and end | 3 W | CC | N/A | N/A | N/A | N/A |
| Ramos [22] | 2018 | 1 | 1 | 0 | 50 | Tongue | (+) | Exo and end | 2 M | CC and OLP | Partial tongue resection | (−) | 10 | Free |
| Broly [23] | 2019 | 1 | 1 | 0 | 78 | Ant mand gingiva | (+) | End | 4 M | Healing delay in tooth extraction 2 M → Mandibular metastasis of prostate cancer → SCC → backward diagnosis of CC | Hemilateral mand resection → chemotherapy | (+) | 1 Y | Death |
| Dejust [24] | 2019 | 1 | 0 | 1 | 69 | Hard palate | N/A | Exo | N/A | CC | RT | N/A | 6 | Free |
| Allon [25] | 2019 | 5 | 0 | 1 | 88 | Tongue | N/A | Exo and end | N/A | N/A | N/A | N/A | N/A | N/A |
| 0 | 1 | 93 | BM | N/A | Exo | N/A | N/A | N/A | N/A | N/A | N/A | |||
| 1 | 0 | 68 | Mand gingiva | N/A | Exo | N/A | N/A | N/A | N/A | N/A | N/A | |||
| 0 | 1 | 92 | BM–lip–max gingiva | N/A | Exo | N/A | N/A | N/A | N/A | N/A | N/A | |||
| 1 | 0 | 89 | Lower lip and skin | N/A | Exo and end | N/A | N/A | N/A | N/A | N/A | N/A | |||
| Barrett [26] | 2020 | 4 | 1 | 0 | 78 | Mand gingiva | N/A | N/A | N/A | CC | Primary resection + ND | (+) | 10 Y | Free |
| 1 | 0 | 71 | Max gingiva—hard palate | N/A | N/A | N/A | CC | Primary resection + ND | (+) | 50 | Death due to pneumonia | |||
| 0 | 1 | 94 | Mand gingiva | N/A | N/A | 4 M and more | Focal acantholytic mucositis, warty dyskeratoma, pemphigus vulgaris | Primary resection + ND | (+) | 2 Y | Free | |||
| 1 | 0 | 69 | Mand gingiva | N/A | N/A | N/A | CC | Primary resection + ND | (+) | 18 | Free | |||
| Lee [27] | 2020 | 1 | 1 | 0 | 5 | Max gingiva | N/A | Exo and end | 3 M | Pseudoepitheliomatous hyperplasia (PEH) | Partial max resection | N/A | 2 Y | Free |
| Niklan-der [28] | 2021 | 1 | 1 | 0 | 11 | Buccal–mand gingiva | (+) | Exo and end | N/A | CC, R/O OKC | Surgical treatment | (+) | 5 Y | Free |
| Yadav [29] | 2021 | 6 | 1 | 0 | 41 | Tongue | N/A | Exo and end | N/A | WDSCC | Partial tongue resection + UND → RT | (−) | 3–39 M median 12 M | Free |
| 1 | 0 | 37 | Tongue | N/A | Exo | N/A | Negative, WDSCC | Partial tongue resection + UND → RT | (−) | Local recurrence | ||||
| 0 | 1 | 45 | Palate | N/A | End | N/A | WDSCC | Extensive resection | (−) | 3 M later, death from other causes | ||||
| 1 | 0 | 45 | Mand gingiva | N/A | End | N/A | Hyperplastic squamous epithelium | Mand marg resection + UND | (+) | Free | ||||
| 1 | 0 | 77 | Max gingiva–BM | N/A | End | N/A | WDSCC | Partial max resection + mand seg resection | (−) | Free | ||||
| 1 | 0 | 25 | BM | N/A | Exo and end | N/A | Atypical squamous proliferation | Mand comp resection + UND | (−) | Free | ||||
| Janard-hanan [30] | 2021 | 1 | 1 | 0 | 63 | Mand gingiva | (+) | Exo and end | N/A | Recurrence OKC, OM | Mand seg resection + FFTR → UND → RT | (+) | 48 | Free |
| Elangovan [31] | 2021 | 1 | 0 | 1 | 32 | Tongue | N/A | End | N/A | CC | N/A | (−) | N/A | N/A |
Publisher’s Note: MDPI stays neutral with regard to jurisdictional claims in published maps and institutional affiliations. |
© 2022 by the authors. Licensee MDPI, Basel, Switzerland. This article is an open access article distributed under the terms and conditions of the Creative Commons Attribution (CC BY) license (https://creativecommons.org/licenses/by/4.0/).
Share and Cite
Murai, C.; Sakata, K.-i.; Ouchi, C.; Sonobe, M.; Yoshikawa, K.; Sato, J.; Satoh, A.; Matsuda, A.; Kitagawa, Y. Mandibular Carcinoma Cuniculatum around the Dental Implant in a Patient with Concurrent Management for Pemphigus Vulgaris: A Case Report. Oral 2022, 2, 49-61. https://doi.org/10.3390/oral2010007
Murai C, Sakata K-i, Ouchi C, Sonobe M, Yoshikawa K, Sato J, Satoh A, Matsuda A, Kitagawa Y. Mandibular Carcinoma Cuniculatum around the Dental Implant in a Patient with Concurrent Management for Pemphigus Vulgaris: A Case Report. Oral. 2022; 2(1):49-61. https://doi.org/10.3390/oral2010007
Chicago/Turabian StyleMurai, Chika, Ken-ichiro Sakata, Chisato Ouchi, Masanao Sonobe, Kazuhito Yoshikawa, Jun Sato, Akira Satoh, Aya Matsuda, and Yoshimasa Kitagawa. 2022. "Mandibular Carcinoma Cuniculatum around the Dental Implant in a Patient with Concurrent Management for Pemphigus Vulgaris: A Case Report" Oral 2, no. 1: 49-61. https://doi.org/10.3390/oral2010007
APA StyleMurai, C., Sakata, K.-i., Ouchi, C., Sonobe, M., Yoshikawa, K., Sato, J., Satoh, A., Matsuda, A., & Kitagawa, Y. (2022). Mandibular Carcinoma Cuniculatum around the Dental Implant in a Patient with Concurrent Management for Pemphigus Vulgaris: A Case Report. Oral, 2(1), 49-61. https://doi.org/10.3390/oral2010007
