Simple Summary
The Passeriformes order (songbirds) is incredibly diverse in terms of number of species and morphological and ecological diversification, comprising around 60% of all bird species. Despite considerable diversity, the genome organizational structure (i.e., the number and pattern of chromosomes) within Passeriformes is highly conserved, with a chromosome number that remains close to 80 in nearly all species studied. These characteristics raise interesting questions and stimulate curiosity about the genome evolution of this group. Therefore, this study aimed to analyze the organization of the smallest chromosomes (microchromosomes) in four Passeriformes species to understand whether they were rearranged during evolution. This has only recently become possible using fluorescent probes called bacterial artificial chromosomes (BACs) and a technique called fluorescence in situ hybridization (FISH). Our results confirm that the songbirds studied did not rearrange their microchromosomes to any great extent, and this may have contributed to their overall evolutionary success.
Abstract
Passeriformes birds are widely recognized for their remarkable diversity, with over 5700 species described so far. Like most bird species, they possess a karyotype characteristic of modern birds, which includes a bimodal karyotype consisting of a few pairs of macrochromosomes and many pairs of microchromosomes. Although the karyotype is typically 2n = 80, the diploid number can atypically vary greatly, ranging from 56 to approximately 100 chromosomes. In this study, we aimed to understand the extent of conservation of the karyotype’s organizational structure within four species of this group using Bacterial Artificial Chromosomes via Fluorescence In Situ Hybridization (BAC-FISH) with microchromosome probes from Chicken (Gallus gallus) or Zebra Finch (Taeniopygia guttata) per microchromosomes (GGA10-28, except GGA16). By examining the chromosome complement of four passerine species—the Streaked Flycatcher (Myiodynastes maculatus), Shiny Cowbird (Molothrus bonariensis), Southern House Wren (Troglodytes aedon), and Double-collared Seedeater (Sporophila caerulescens)—we discovered a new chromosome number for Southern House Wren. Through FISH experiments, we were able to observe the same pattern of microchromosome organization as in the common ancestor of birds. As a result, we propose a new diploid number for Southern House Wren and confirm the conservation status of microchromosome organization, which may confer evolutionary advantages to this group.
1. Introduction
Passeriformes, also known as songbirds, passerine, or perching birds, are the largest Neornithes (modern bird) order among birds and are renowned for their remarkable phenotypic diversity. This clade comprises two groups, Suboscines (Tyranni; Old World and New World Lineages) and Passeri (Oscine; Songbird), and accounts for approximately 60% of all existing bird species, with an estimated 5700 living species [1,2]. The Passeriformes karyotype shares the same classical pattern as most birds, with a diploid number (2n) ranging around 78–80 chromosomes. However, the bimodal karyotypic organization makes it difficult to characterize the several pairs of microchromosomes using classical cytogenetic approaches [3,4]. Despite this challenge, the variation in diploid number within the group ranges from 2n = 56 for Red-winged Pytilia (Pytilia phoenicoptera) [5] to 2n = 96–100 for the Amethyst Sunbird (Chalcomitra amethystina) [6,7,8,9]. As in all birds, female Passeriformes are heterogametic, possessing a pair of distinct sex chromosomes (ZW), while males are of the homogametic sex (ZZ). The Z chromosome is typically conserved in size, usually located between the third and fourth pairs, but its morphology can be variable.
The bimodal karyotype, which comprises macrochromosomes and microchromosomes, is a typical characteristic of birds. This karyotype was established mostly before the divergence of birds and turtles and has been present in its current form in the lineage of Theropod dinosaurs for 240–250 million years; some of the microchromosomes however originated in the karyotype of ancestral vertebrates around 400 million years ago [3,10]. The reconstructed genome organization of the vertebrate ancestor demonstrated that bird microchromosomes correspond directly to the protochromosomes of the ancestors of gnathostomata [11], suggesting that they remained considerably stable throughout avian evolution. Comparative chromosome painting experiments using Chicken (Gallus gallus, GGA) probes in fluorescence in situ hybridization (FISH) experiments allowed for the identification of homologous synthetic blocks (HSBs) conserved in bird karyotypes, indicating high conservation and low rates of interchromosomal rearrangements compared to the Putative Ancestral Karyotype (PAK) of birds, even when very distant species are compared phylogenetically [12]. Regarding the PAK of birds, Passeriformes exhibit a fission of the first ancestral chromosomal pair (GGA1) [13,14,15,16,17,18,19,20,21]. Although the use of GGA probes has proven to be efficient in detecting interchromosomal rearrangements, it is limited in most cases to the macrochromosomes.
While interchromosomal rearrangements involving microchromosomes are relatively uncommon in birds, certain orders, such as Psittaciformes, Falconiformes, and Cuculiformes, have been found to exhibit this type of rearrangement more frequently than others [3,22]. However, despite detailed analysis of multiple bird orders, no interchromosomal rearrangements involving microchromosomes have been detected and shared among the analyzed orders, not even among closely related species [22,23]. These findings suggest that convergent evolution involving microchromosome rearrangements is an exceedingly rare occurrence in the class Aves.
The goal of this study was to review the karyotype and diploid number of four Passeriformes bird species. Additionally, the study aimed to analyze the organizational structure of microchromosomes from these species through BAC-FISH experiments. The study also examined how these characteristics impact the evolution of chromosomes in this group. By comparing the microchromosomes of different species, this study has shed light on the chromosome evolution of Passeriformes birds.
2. Materials and Methods
2.1. Species, Chromosome Preparation and Karyotype Description
According to SISBIO 61047-4 ICMBio, animals were collected in their natural environment (Table 1) and the samples were obtained with the approval of the Universidade Federal do Pampa’s ethics committee (CEUA 019/2020). The sex was determined via cytogenetics. Skin biopsies or feather pulp samples were taken from each individual to establish fibroblast cell cultures and to obtain chromosome preparations. Cells were cultured in flasks (25 cm2) filled with Dulbecco’s Modified Eagle’s Medium (DMEM-GIBCO, Grand Island, NY, USA) supplemented with 15% fetal bovine serum (FBS, GIBCO/Thermo Fisher Scientific, Burlington, MA, USA) and 1% penicillin (10,000 units/mL)/streptomycin (10,000 µg/mL) (GIBCO/Thermo Fisher Scientific, Burlington, MA, USA) and incubated at 37 °C [24]. When the cells formed a subconfluent monolayer, the medium was removed, followed by two washes with 1xPBS (Sigma-Aldrich, St. Louis, MO, USA), then 1 mL of trypsin 0.25% EDTA (Sigma-Aldrich, St. Louis, MO, USA) was added, and finally incubation at 37 °C for 1 min. Once the cells were released from the flask, a cell culture medium with FBS was added to stop the effect of trypsin. Metaphase chromosomes were obtained according to standard procedures involving colchicine exposure (1 h, 37 °C), hypotonic treatment (0.075 M KCl, 15 min, 37 °C), and methanol/acetic acid (3:1) fixation.
Table 1.
Passeriformes species description list. The column N refers to the specimen quantities sampled and the specimen sex. RS = Rio Grande do Sul State.
A direct chromosome preparation method was also used for Double-collared Seedeater and Southern House Wren, in which embryonic cells were dissociated with 2 mL of trypsin 0.25% EDTA (Sigma-Aldrich, St. Louis, MO, USA) for approximately 10 min; samples were soon after placed in 10 mL of RPMI 1640 (GIBCO/Thermo Fisher Scientific, Burlington, MA, USA), pre-warmed to 37 °C, and then 3 drops of 0.05% colchicine were added, followed by incubation for 1 h at 37 °C before hypotonic treatment for 20 min and fixation with methanol/acetic acid (3:1) [25].
After harvesting chromosomes, the cell suspension was dropped onto clean glass slides, air-dried, and stained with 5% Giemsa (Sigma-Aldrich,St. Louis, MO, USA) in a pH 6.8 phosphate-buffered saline. To determine diploid number and chromosome morphology, we analyzed at least 30 metaphases. Chromosomal morphology and karyotype organization were determined according to Guerra [26].
2.2. Bacterial Artificial Chromosomes (BACs) FISH Experiments
In this study we used Chicken and Zebra Finch probes (Supplementary Materials Table S1) because they are model species for several biological studies, including cytogenetics [12,27]. Isolation, amplification, labeling, and hybridization of clonal BACs were performed following the protocol described by O’Connor et al. [28]. Two BAC probes from the Chicken (CH261) or Zebra Finch (TGMCBA) genomic library per microchromosomes (GGA10-28 except for GGA16) were applied for FISH cross-mapping. The BACs were positioned as close as possible to each end (short and long arms) of each microchromosome tested. The majority of BAC probes utilized in this study were derived from the Chicken. However, the Chicken BACs were not consistently effective across all bird species for certain chromosomes [29]. In such instances, BAC probes sourced from the Zebra Finch were employed. We did not examine the GGA16 or the 29–38 chromosomes because there are no BAC probes for these chromosomes. The results of the FISH experiments were confirmed by analyzing at least 10 metaphases per slide. Adobe Photoshop 7.0 software was used for final image processing.
To detect potential chromosomal rearrangements, we utilized the following criteria from de Souza et al. [30]: (i) if both BAC probes per microchromosome produce FISH signals on the same microchromosome with a size consistent with that of a microchromosome, then no rearrangement has occurred and the state is considered to be conservative; (ii) if both BAC probes generate positive FISH signals on different microchromosomes, this indicates a fission event; and (iii) if a probe designed for a microchromosome hybridizes to a macrochromosome, this indicates a fusion event.
3. Results
3.1. The Karyotype Description
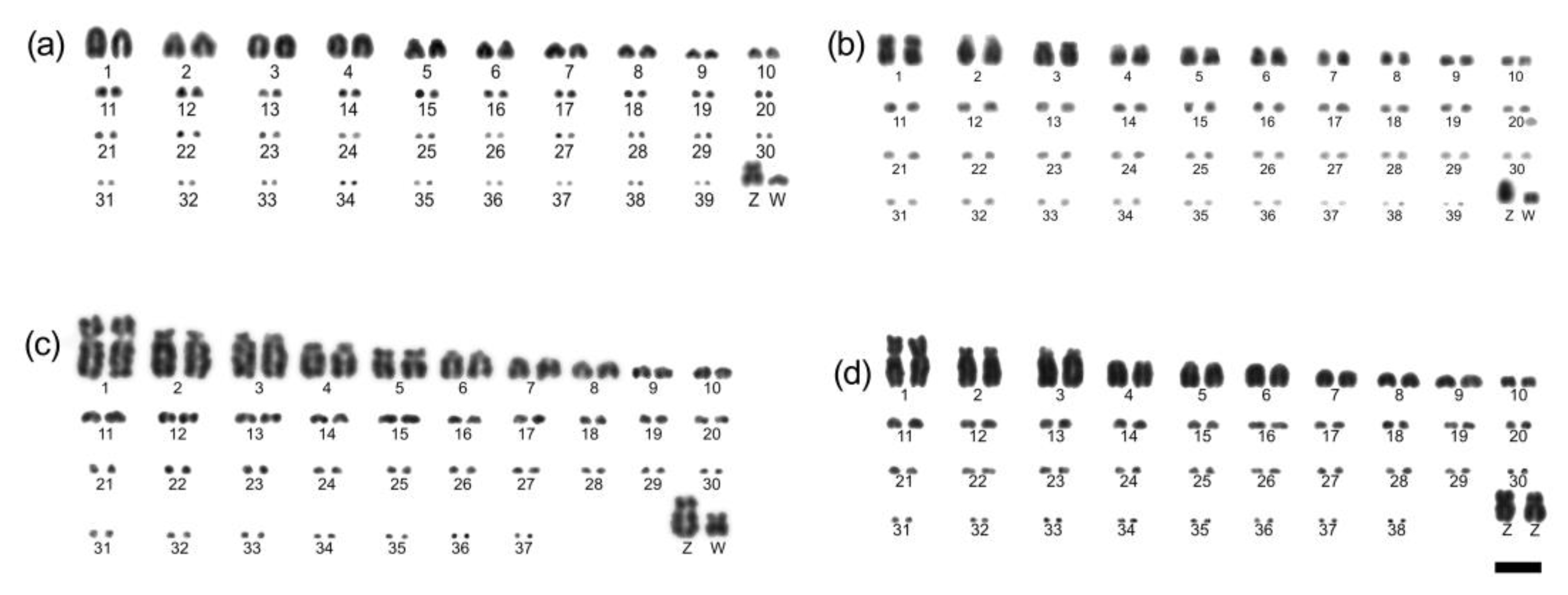
The karyotype of the Streaked Flycatcher has 80 chromosomes: 9 pairs of macrochromosomes and 31 pairs of microchromosomes (Figure 1a). All remaining autosomes are telocentric or punctiform with unidentifiable morphology, except for the second, fifth, and sixth pairs, which have acrocentric morphology. The Z chromosome has metacentric morphology, and the W is telocentric, like the majority of autosomes. The species Shiny Cowbird has 2n = 80 with 9 pairs of macrochromosomes and 31 pairs of microchromosomes (Figure 1b). The first pair is submetacentric; from the second to eighth pairs, the morphology is acrocentric; and from the ninth pair onward, the chromosomes present telocentric or punctiform morphology. The Z and W sex chromosomes are also telocentric. The Southern House Wren karyotype has 76 chromosomes: 9 pairs of macrochromosomes and 29 pairs of microchromosomes (Figure 1c). The first and fifth pairs are submetacentric; the second, third, fourth, and sixth are acrocentric, and the remaining autosomes are telocentric or punctiform. The Z chromosome has submetacentric morphology, and the W chromosome has metacentric morphology. The karyotype of Double-collared Seedeater has 78 chromosomes: 9 pairs of macrochromosomes and 30 pairs of microchromosomes (Figure 1d). The first pair is submetacentric, the second and third pairs are acrocentric, and from the fourth pair on, macro- and microchromosomes are telocentric or have punctiform morphology. The Z chromosome from this species is metacentric.
Figure 1.
Chromosomic complement organized into complete karyotypes: (a) Streaked Flycatcher (2n = 80), (b) Shiny Cowbird (2n = 80), (c) Southern House Wren (2n = 76), and (d) Double-collared Seedeater (2n = 78). Scale bar, 5 µm.
3.2. Bacterial Artificial Chromosomes Fluorescence In Situ Hybridization (BAC-FISH) Experiments
For each microchromosome tested (GGA 10–28, except 16), no hybridization signals were found on different microchromosomes, which would indicate fission-type rearrangements (Figure 2a–d). Additionally, no positive hybridization signals were detected on macrochromosomes, which would indicate fusion-type rearrangements (Figure 2a–d). Therefore, our BAC-FISH analysis revealed that the microchromosome organization pattern in the species studied is highly conserved, with no evidence of interchromosomal rearrangements involving the microchromosomes tested. While the diploid numbers of the Double-collared Seedeater and Southern House Wren were found to be lower than that of the common ancestor, no fusions involving microchromosomes were observed.
Figure 2.
Examples of FISH experiments using Chicken (CH261) or Zebra Finch (TGMCBA) bacterial artificial chromosome (BAC) probes in Passeriformes. FISH results for the Streaked Flycatcher: (a) chromosome 13 TGMCBA-266G23 (red) and CH261-115I12 (green). FISH results for the Shiny Cowbird: (b) chromosome 20 TGMCBA-250E3 (red) and TGMCBA-375I5 (green). FISH results for the Southern House Wren: (c) chromosome 26 CH261-186M13 (red) and CH261-170L23 (green). FISH results for the Double-collared Seedeater: (d) chromosome 24 CH261-103F4 (red) and CH261-65O4 (green). Scale bar, 5 µm.
4. Discussion
The results presented in this study reveal a remarkable level of conserved microchromosomal organization across four species of Passeriformes birds. Our findings support previous studies [4,31,32] regarding the karyotype descriptions of the Streaked Flycatcher, Shiny Cowbird, and Double-collared Seedeater. However, we discovered a new diploid number for the Southern House Wren; while de Lucca and Waldrigues [33] first described its diploid number as 2n = 68, our results show it as 2n = 76. It is noteworthy that our findings indicate that the examined species possess typical bird diploid numbers, considering that most birds (around 61%) have diploid numbers between 76 and 82 [34].
The diploid number (2n) is a fundamental piece of information in the fields of genetics and cytogenetics, providing insight into the genome organization of all eukaryotic organisms. Nevertheless, describing this information in the case of birds poses distinct challenges due to their unique characteristics [35]. Birds typically have a high 2n count and a large number of microchromosomes, many of which have indistinguishable morphology (appearing as small dots (punctiform) under a microscope). As a result, accurate determination of bird karyotypes requires the analysis of many metaphase cells with high-quality preparation. Fortunately, advancements in microscopy and imaging technology have improved visualization, allowing for more accurate identification of the diploid number in bird species that have already been karyotyped. For instance, the karyotype of the Southern House Wren has been reviewed here, leading to a proposal of a new diploid number.
Our molecular cytogenetic characterization, which utilized BAC FISH microchromosomes probes from Chicken and Zebra Finch, demonstrated that all the microchromosomes tested in four Passeriformes species are conserved as complete units. This finding reinforces previous research indicating a high degree of conservation of microchromosomes in Passeriformes as well as in most avian species [23,28,36,37]. According to Burt [10], the distinct genomic characteristics exhibited by microchromosomes, including elevated GC content; reduced repeats; and increased gene density play a significant role in preserving these chromosomes as whole units in avian karyotypes. Among the Passeriformes, an exception to this pattern is observed in the Yellow-olive Flycatcher (Tolmomyias sulphurescens, 2n = 60), which underwent significant karyotypic reorganization involving both the macrochromosomes and microchromosomes [37]. However, we cannot entirely rule out the possibility of microchromosome fusions occurring in the species investigated, as we were not able to analyze microchromosomes 16 and 29–38 due to a lack of probes for these chromosomes. Considering that the putative ancestral karyotype (PAK) of birds is characterized by a 2n of 80, it seems plausible that fusion events have been responsible for the decrease in diploid numbers observed in the Southern House Wren (2n = 76) and Double-collared Seedeater (2n = 78). Specifically, it is possible that two fusions were involved in the reduction in diploid numbers in the Southern House Wren, while one fusion event was involved in the Double-collared Seedeater. Recently, Chicken probes for chromosomes 16 and 29–38 have been published [38,39], and future studies will provide additional insight about the evolution of these chromosomes in birds.
Previous studies on Passeriformes demonstrated a high degree of conservation in their macrochromosomes [28,36,37]. This is illustrated in Figure 3, which highlights that fusion events have only been observed in a limited number of species. However, research conducted through in situ [18,19,40,41] and in silico [42] studies revealed that intrachromosomal rearrangements occur frequently in Passeriformes. Hence, we propose that the karyotypes of Passeriformes have evolved primarily through intrachromosomal rearrangements, while macro and microchromosomes remain highly conserved. Thus, the absence of interchromosomal rearrangements observed in the majority of the analyzed Passeriformes species may be linked to the evolutionary success of this group, which represents one of the most diverse and highly derived clades within Aves [36,43].
Figure 3.
Chromosomal rearrangements in Passeriformes and the outgroups Struthioniformes (Common Ostrich, Struthio camelus), Galliformes (Chicken, Gallus gallus), and Psittaciformes (Budgerigar, Melopsittacus undulatus) were analyzed with BACs clones corresponding to the ancestral microchromosomes 11–28, except 16. The diploid numbers were sourced from avian chromosome databases [34]. The phylogenetic tree was sourced from TimeTree databases (http://www.timetree.org, accessed on 5 March 2023) [44].
5. Conclusions
In our study, we reviewed the diploid number and analyzed the microchromosome organization in four Passeriformes bird species. Our findings confirm previous studies, but we also discovered a new diploid number for the Southern House Wren (2n = 76), emphasizing the importance of analyze a large number of high-quality chromosome preparation to accurately determine diploid number in birds. Our BAC-FISH experiments revealed that all tested microchromosomes are conserved as whole units in the analyzed species, supporting the literature’s findings on the high degree of conservation of these structures in Passeriformes. However, we cannot entirely exclude the possibility of microchromosome fusions, and comparative analysis with avian PAK suggests that fusions may have reduced the diploid numbers of the Southern House Wren and Double-collared Seedeater. Passeriformes karyotypes have mainly evolved through intrachromosomal rearrangements, which appear to be much more frequent than interchromosomal rearrangements, maintaining the organizational structure of microchromosomes and the 2n highly conserved in these species. The absence of observable interchromosomal rearrangements may have contributed to the evolutionary success of this feature in Passeriformes, contributing to making them one of the most diverse tetrapod groups on the planet in terms of number of species.
Supplementary Materials
The following supporting information can be downloaded at: https://www.mdpi.com/article/10.3390/birds4020020/s1, Table S1: List of BACs applied to Streaked Flycatcher, Shiny Cowbird, Southern House Wren, and Double-collared Seedeater.
Author Contributions
Conceptualization, M.S.d.S., R.J.G. and R.K.; methodology, M.S.d.S., S.A.B. and R.K.; software, M.S.d.S.; validation, M.S.d.S., A.D.V.G., R.J.G., D.K.G. and R.K.; formal analysis, M.S.d.S., S.A.B. and R.K.; investigation, M.S.d.S., V.T. and R.K.; resources, R.J.G. and A.D.V.G.; data curation, M.S.d.S. and R.K.; writing—original draft preparation, M.S.d.S. and R.K.; writing—review and editing, M.S.d.S., S.A.B., V.L.B., V.T. and R.K.; visualization, M.S.d.S. and R.K.; supervision, R.J.G., A.D.V.G., D.K.G. and R.K.; project administration, R.J.G., A.D.V.G. and R.K.; funding acquisition, A.D.V.G., R.J.G., V.L.B. and D.K.G. All authors have read and agreed to the published version of the manuscript.
Funding
This research was funded by Coordenação de Aperfeiçoamento de Pessoal de Nível Superior–Brasil (CAPES, Finance Code 001) and by Conselho Nacional de Desenvolvimento Científico e Tecnológico (CNPq, Proc. 407285/2021-0).
Institutional Review Board Statement
The study was approved by the Institutional Ethics Committee of Universidade Federal do Pampa-CEUA 019/2020 and SISBIO 61047-4–ICMBio, for studies involving animals.
Data Availability Statement
The data presented in this study are available on request from the corresponding author.
Acknowledgments
The authors would like to thank the Sistema de Autorização e Informação em Biodiversidade (SISBIO) for the authorization to sample the specimens studied in this manuscript. We would also like to thank all our colleagues at the Laboratório de Diversidade Genética Animal of Universidade Federal do Pampa (RS, Brazil) for their support in collecting and performing the cell culturing of the species analyzed in this study.
Conflicts of Interest
The authors declare no conflict of interest.
References
- Sibley, C.G.; Monroe, B.L. Distribution and Taxonomy of Birds of the World; Yale University Press: New Haven, CT, USA, 1990. [Google Scholar]
- Cracraft, J.; Barker, F.K.; Hedges, S.B.; Kumar, S. Passerine birds (Passeriformes). In The Timetree of Life; Oxford University Press: New York, NY, USA, 2009; pp. 423–431. [Google Scholar]
- O’Connor, R.E.; Farré, M.; Joseph, S.; Damas, J.; Kiazim, L.; Jennings, R.; Bennett, S.; Slack, E.A.; Allanson, E.; Larkin, D.M.; et al. Chromosome-level assembly reveals extensive rearrangement in saker falcon and budgerigar, but not ostrich, genomes. Genome Biol. 2018, 19, 171. [Google Scholar] [CrossRef]
- Christidis, L. Chordata 3 B: Aves. In Animal Cytogenetics, 4th ed.; John, B., Ed.; Gebrüder Borntraeger: Berlin, Germany, 1990; Volume 4, 116p. [Google Scholar]
- Christidis, L. Extensive chromosomal repatterning in two congeneric species: Pytilia melba, L. and Pytilia phoenicoptera Swainson (Estrildidae; Aves). Cytogenet. Genome Res. 1983, 36, 641–648. [Google Scholar] [CrossRef] [PubMed]
- Piccinni, E.; Stella, M. Some avian karyograms. Caryologia 1970, 23, 189–202. [Google Scholar]
- Bulatova, N.S.; Panov, E.N. Comparative analysis of karyotypes of 18 species family Turdidae (Aves). Caryologia 1973, 26, 229–244. [Google Scholar] [CrossRef]
- Bulatova, N.S. A comparative karyological study of passerine birds. Acta. Sci. Nat. Acad. Brno. 1981, 15, 1–44. [Google Scholar]
- Li, Q. Studies of bird karyotypes XI: Karyotypes in 15 Turdinae species. Hereditas 1989, 11, 17–20. [Google Scholar]
- Burt, D.W. Origin and evolution of avian microchromosomes. Cytogenet. Genome Res. 2002, 96, 97–112. [Google Scholar] [CrossRef]
- Nakatani, Y.; Takeda, H.; Kohara, Y.; Morishita, S. Reconstruction of the vertebrate ancestral genome reveals dynamic genome reorganization in early vertebrates. Genome Res. 2007, 17, 1254–1265. [Google Scholar] [CrossRef]
- Griffin, D.K.; Robertson, L.B.W.; Tempest, H.G.; Skinner, B.M. The evolution of the avian genome as revealed by comparative molecular cytogenetics. Cytogenet. Genome Res. 2007, 117, 64–77. [Google Scholar] [CrossRef] [PubMed]
- Guttenbach, M.; Nanda, I.; Feichtinger, W.; Masabanda, J.S.; Griffin, D.K.; Schmid, M. Comparative chromosome painting of chicken autosomal paints 1–9 in nine different bird species. Cytogenet. Genome Res. 2003, 103, 173–184. [Google Scholar] [CrossRef] [PubMed]
- Derjusheva, S.; Kurganova, A.; Haberman, F.; Gaginskaia, E. High chromosome conservation detected by comparative chromosome painting in chicken, pigeon and passerine birds. Chromosome Res. 2004, 12, 715–723. [Google Scholar] [CrossRef]
- Itoh, Y.; Arnold, A.P. Chromosomal polymorphism and comparative painting analysis in the zebra finch. Chromosome Res. 2005, 13, 47–56. [Google Scholar] [CrossRef]
- de Oliveira, E.H.C.; Tagliarini, M.M.; Nagamachi, C.Y.; Pieczarka, J.C. Genomic comparison in birds using chromosome-specific probes. Rev. Br. Ornit. 2006, 14, 47–52. [Google Scholar]
- Nanda, I.; Benisch, P.; Fetting, D.; Haaf, T.; Schmid, M. Synteny conservation of chicken macrochromosomes 1–10 in different avian lineages revealed by cross-species chromosome painting. Cytogenet. Genome Res. 2011, 132, 165–181. [Google Scholar] [CrossRef]
- Kretschmer, R.; Gunski, R.J.; Garnero, A.V.; Furo, I.O.; O’Brien, P.C.M.; Fergunson-Smith, M.A.; de Oliveira, E.H.C. Molecular Cytogenetic Characterization of Multiple Intrachromosomal Rearrangements in Two Representatives of the Genus Turdus (Turdidae, Passeriformes). PLoS ONE 2014, 9, e103338. [Google Scholar] [CrossRef] [PubMed]
- Kretschmer, R.; de Oliveira, E.H.C.; dos Santos, M.S.; Furo, I.O.; O’Brien, P.C.M.; Fergunson-Smith, M.A.; Garnero, A.V.; Gunski, R.J. Chromosome mapping of the large elaenia (Elaenia spectabilis): Evidence for a cytogenetic signature for passeriform birds? Biol. J. Linn. Soc. 2015, 115, 391–398. [Google Scholar] [CrossRef]
- dos Santos, M.S.; Kretschmer, R.; Silva, F.A.O.; Ledesma, M.A.; O’Brien, P.C.M.; Ferguson-Smith, M.A.; Garnero, A.D.V.; de Oliveira, E.H.C.; Gunski, R.J. Intrachromosomal rearrangements in two representatives of the genus Saltator (Thraupidae, Passeriformes) and the occurrence of heteromorphic Z chromosomes. Genetica 2015, 143, 535–543. [Google Scholar] [CrossRef] [PubMed]
- dos Santos, M.S.; Kretschmer, R.; Frankl-Vilches, C.; Bakker, A.; Gahr, M.; O’Brien, P.C.M.; Ferguson-Smith, M.A.; de Oliveira, E.H.C. Comparative Cytogenetics between Two Important Songbird, Models: The Zebra Finch and the Canary. PLoS ONE 2017, 12, e0170997. [Google Scholar] [CrossRef]
- Kretschmer, R.; Gunski, R.J.; Garnero, A.d.V.; de Freitas, T.R.O.; Toma, G.A.; Cioffi, M.d.B.; Oliveira, E.H.C.d.; O’Connor, R.E.; Griffin, D.K. Chromosomal Analysis in Crotophaga ani (Aves, Cuculiformes) Reveals Extensive Genomic Reorganization and an Unusual Z-Autosome Robertsonian Translocation. Cells 2021, 10, 4. [Google Scholar] [CrossRef]
- Kiazim, L.G.; O’Connor, R.E.; Larkin, D.M.; Romanov, M.N.; Narushin, V.G.; Brazhnik, E.A.; Griffin, D.K. Comparative Mapping of the Macrochromosomes of Eight Avian Species Provides Further Insight into Their Phylogenetic Relationships and Avian Karyotype Evolution. Cells 2021, 10, 362. [Google Scholar] [CrossRef]
- Furo, I.O.; Kretschmer, R.; dos Santos, M.S.; de Lima, C.A.C.; Gunski, R.J.; O’Brien, P.C.M.; Ferguson-Smith, M.A.; Cioffi, M.B.; de Oliveira, E.H.C. Chromosomal mapping of repetitive DNAs in Myiopsitta monachus and Amazona aestiva (Psittaciformes, Psittacidae) with emphasis on the sex chromosomes. Cytogenet. Genome Res. 2017, 151, 151–160. [Google Scholar] [CrossRef] [PubMed]
- Barcellos, S.A.; de Souza, M.S.; Tura, V.; Pereira, L.R.; Kretschmer, R.; Gunski, R.J.; Garnero, A.D.V. Direct Chromosome Preparation Method in Avian Embryos for Cytogenetic Studies: Quick, Easy and Cheap. DNA 2022, 2, 2. [Google Scholar] [CrossRef]
- Guerra, M.S. Reviewing the chromosome nomenclature of Levan et al. Rev. Bras. Genet. 1986, 9, 741–743. [Google Scholar]
- Griffith, S.C.; Ton, R.; Hurley, L.L.; McDiarmid, C.S.; Pacheco-Fuentes, H. The Ecology of the Zebra Finch Makes It a Great Laboratory Model but an Outlier amongst Passerine Birds. Birds 2021, 2, 60–76. [Google Scholar] [CrossRef]
- O’Connor, R.E.; Kiazim, L.; Skinner, B.; Fonseka, G.; Joseph, S.; Jennings, R.; Larkin, D.M.; Griffin, D.K. Patterns of microchromosome organization remain highly conserved throughout avian evolution. Chromosoma 2019, 128, 21–29. [Google Scholar] [CrossRef]
- Damas, J.; O’connor, R.; Farré, M.; Lenis, V.P.E.; Martell, H.J.; Mandawala, A.; Fowler, K.; Joseph, S.; Swain, M.T.; Griffin, D.K.; et al. Upgrading short-read animal genome assemblies to chromosome level using comparative genomics and a universal probe set. Genome Res. 2017, 27, 875–884. [Google Scholar] [CrossRef] [PubMed]
- de Souza, M.S.; Barcellos, S.A.; dos Santos, M.d.S.; Gunski, R.J.; Garnero, A.d.V.; de Oliveira, E.H.C.; O’Connor, R.E.; Griffin, D.K.; Kretschmer, R. Microchromosome BAC-FISH Reveals Different Patterns of Genome Organization in Three Charadriiformes Species. Animals 2022, 12, 3052. [Google Scholar] [CrossRef]
- Gunski, R.J.; Cabanne, G.S.; Ledesma, M.A.; Garnero, A.D.V. Análisis cariotípico de siete especies de Tiránidos (Tyrannidae). Hornero 2000, 15, 103–109. [Google Scholar] [CrossRef]
- Carvalho, M.V.P. Cytogenetic Studies in the Family Fringillidae (Passeriforms-Aves); Universidade Federal do Rio Grande do Sul: Porto Alegre, Brazil, 1989. [Google Scholar]
- De Lucca, E.J.; Waldrigues, A. Karyotypes of nine species of Passeriformes. Egypt. J. Genet. Cytol. 1985, 14, 41–50. [Google Scholar]
- Degrandi, T.M.; Barcellos, S.A.; Costa, A.L.; Garnero, A.D.; Hass, I.; Gunski, R.J. Introducing the bird chromosome database: An overview of cytogenetic studies in birds. Cytogenet. Genome Res. 2020, 160, 199–205. [Google Scholar] [CrossRef]
- Santos, L.P.; Gunski, R.J. Revisão de dados citogenéticos sobre a avifauna brasileira. Rev. Br. Ornit. 2006, 14, 35–45. [Google Scholar]
- Kretschmer, R.; Rodrigues, B.S.; Barcellos, S.A.; Costa, A.L.; Cioffi, M.d.B.; Garnero, A.d.V.; Gunski, R.J.; de Oliveira, E.H.C.; Griffin, D.K. Karyotype Evolution and Genomic Organization of Repetitive DNAs in the Saffron Finch, Sicalis flaveola (Passeriformes, Aves). Animals 2021, 11, 1456. [Google Scholar] [CrossRef] [PubMed]
- Kretschmer, R.; Franz, I.; de Souza, M.S.; Garnero, A.D.V.; Gunski, R.J.; de Oliveira, E.H.C.; O’Connor, R.E.; Griffin, D.K.; de Freitas, T.R.O. Cytogenetic Evidence Clarifies the Phylogeny of the Family Rhynchocyclidae (Aves: Passeriformes). Cells 2021, 10, 2650. [Google Scholar] [CrossRef] [PubMed]
- Seroussi, E.; Knytl, M.; Pitel, F.; Elleder, D.; Krylov, V.; Leroux, S.; Morisson, M.; Yosefi, S.; Miyara, S.; Ganesan, S.; et al. Avian Expression Patterns and Genomic Mapping Implicate Leptin in Digestion and TNF in Immunity, Suggesting That Their Interacting Adipokine Role Has Been Acquired Only in Mammals. Int. J. Mol. Sci. 2019, 20, 4489. [Google Scholar] [CrossRef]
- Huang, Z.; Xu, Z.; Bai, H.; Huang, Y.; Kang, N.; Ding, X.; Liu, J.; Luo, H.; Yang, C.; Chen, W.; et al. Evolutionary analysis of a complete chicken genome. Proc. Natl. Acad. Sci. USA 2023, 120, e2216641120. [Google Scholar] [CrossRef]
- Kretschmer, R.; de Lima, V.L.C.; de Souza, M.S.; Costa, A.L.; O’Brien, P.C.; Ferguson-Smith, M.A.; Gunski, R.J.; Garnero, A.D.V. Multidirectional chromosome painting in Synallaxis frontalis (Passeriformes, Furnariidae) reveals high chromosomal reorganization, involving fissions and inversions. Comp. Cytogenet. 2018, 12, 97. [Google Scholar] [CrossRef]
- Rodrigues, B.S.; Kretschmer, R.; Gunski, R.J.; Garnero, A.V.; O’Brien, P.C.M.; Ferguson-Smith, M.A.; de Oliveira, E.H.C. Chromosome Painting in Tyrant Flycatchers Confirms a Set of Inversions Shared by Oscines and Suboscines (Aves, Passeriformes). Cytogenet. Genome Res. 2017, 153, 205–212. [Google Scholar] [CrossRef]
- Romanov, M.N.; Farré-Belmonte, M.; Lithgow, P.E.; O’Connor, R.; Fowler, K.E.; Larkin, D.M.; Griffin, D.K. In Silico Reconstruction of Chromosomal Rearrangements and an Avian Ancestral Karyotype. In Proceedings of the International Plant and Animal Genome XXII Conference, San Diego, CA, USA, 11–16 January 2014. [Google Scholar]
- Olalla-Tárraga, M.A.; Amado, T.F.; Bini, L.M.; Martínez, P.A.; Morales-Castilla, I.; Torres-Romero, E.J.; Villalobos, F. Biological traits, phylogeny and human footprint signatures on the geographical range size of passerines (Order Passeriformes) worldwide. Glob. Ecol. Biogeogr. 2019, 28, 1183–1194. [Google Scholar] [CrossRef]
- Kumar, S.; Stecher, G.; Suleski, M.; Hedges, S.B. TimeTree: A Resource for Timelines, Timetrees, and Divergence Times. Mol. Biol. Evol. 2017, 34, 1812–1819. [Google Scholar] [CrossRef]
Disclaimer/Publisher’s Note: The statements, opinions and data contained in all publications are solely those of the individual author(s) and contributor(s) and not of MDPI and/or the editor(s). MDPI and/or the editor(s) disclaim responsibility for any injury to people or property resulting from any ideas, methods, instructions or products referred to in the content. |
© 2023 by the authors. Licensee MDPI, Basel, Switzerland. This article is an open access article distributed under the terms and conditions of the Creative Commons Attribution (CC BY) license (https://creativecommons.org/licenses/by/4.0/).


