Simple Summary
CT-guided bone marrow biopsy procedure is increasing in our practice. However, it is not known how it differs from the more commonly performed in-office biopsy procedure using the same power-drill needle and for the same diagnosis in terms of the patient experience. Having found encouraging results of more patient comfort, less pain during the procedure, and high technical success, CT-guided bone marrow biopsy is a viable alternative for some patients with low tolerance to pain and a difficult-to-access biopsy site due to a large body habitus or other reasons.
Abstract
Aim: To evaluate patient satisfaction outcomes with respect to pain, discomfort, and quality of life with hematology/oncology referrals undergoing CT-guided bone marrow biopsy and compare these scores with those of patients undergoing in-office biopsy. Methods: A retrospective chart review was performed over 2 years with all patients who underwent CT-guided bone marrow biopsy at our university set-up. Age, gender, BMI, radiation dose (CTDI/DLP), number of in-office biopsies, number of CT-guided biopsies, type/amount of moderate sedation used, technical and pathologic success rates, and complication rates were recorded. All patients who underwent both in-office and CT-guided biopsy were contacted by telephone to answer a brief survey regarding pain, discomfort, quality of life, and future preference with respect to each biopsy. Results: A total of 32 patients underwent CT-guided bone marrow biopsy. Moderate sedation was utilized for all CT patients, and 19 patients underwent both in-office and CT-guided biopsies. Upon surveying the 19 patients who underwent both kinds of biopsies, on a scale of 1–10 (10 = highest discomfort and highest pain), the patients on an average reported 7.8 for in-office vs. 2.1 for CT for the discomfort level (p < 0.001) and 7.9 vs. 1.7 for the pain (p < 0.001). The patients reported an average quality-of-life score of 82 (out of a scale of 100) after CT procedures and 53 for in-office (p < 0.001). All patients reported that they would prefer CT-guided procedures with sedation versus in-office procedures in the future. Conclusion: CT-guided bone marrow biopsy is the preferred and more comfortable procedure, especially in low-pain-tolerant patients, although it involves more cost, conscious sedation, and radiation exposure.
1. Introduction
The necessity of diagnostic bone marrow biopsies is high for a variety of myeloproliferative and order bone marrow disorders [1,2,3,4,5,6,7,8]. At our institution, these are routinely performed on an outpatient and in-office basis by hematology/oncology clinics. For a variety of reasons, such as the preference of the referral service, previous procedure failure and/or patient intolerance, or poor prior experience for any reason, musculoskeletal radiology division is asked to perform a CT-guided bone marrow biopsy. This also makes sense, as image guidance leads to high technical success and less patient discomfort. This is especially true for larger patients in our demographics where non-CT-guided biopsies can be a large challenge. At our institution, the outpatient clinics utilize only benzodiazepines for intra-procedure pain relief. During a CT-guided procedure, with available nursing support, musculoskeletal radiology can use conscious sedation (benzodiazepine plus fentanyl). For all bone biopsies in our setting, we use conscious sedation, unless there is urgency, and the patient is not in an 8–10 h fasting state, where only fentanyl can be used for pain management without risking sedation effects.
Image-guided biopsy procedures for various lesions have been shown to be safe, effective, and well tolerated by patients [9,10,11,12,13,14,15,16,17]. The target biopsy site can be planned, the number of passes is fewer with a higher face validity, and nearly 100% technical success is attained due to the direct image guidance. In addition, these patients are better enabled to undergo recovery in a controlled post-procedure monitoring setting where all aspects of the peri-procedural work-up and follow-up can be performed [15,17,18]. Finally, any immediate post-procedure complications that may arise can be addressed in an effective manner with routinely available nursing support.
To date, no study in the current literature has evaluated patient satisfaction outcomes of in-office bone marrow biopsy versus CT-guided bone marrow biopsy. The goal of this study was to evaluate the patient satisfaction outcomes with respect to pain, discomfort, and quality of life in hematology/oncology patients undergoing CT-guided bone marrow biopsy and compare these scores with the in-office biopsy procedure.
At our institution, the musculoskeletal radiology division provides bone and bone marrow biopsy services. In our anecdotal experience, the patients respond better to CT-guided biopsy in terms of the biopsy-related discomfort, pain level, and procedure-related complications as compared to the in-office non-image guided biopsy. We sought to systematically assess the above-described satisfaction outcomes and preference in patients who had biopsies in both settings using post-procedure telephone interviews. We hypothesized that patients have a better experience with CT-guided biopsy than blind in-office biopsy and prefer it for future procedures or when referring others for such procedures.
2. Material and Methods
The study was performed under HIPAA guidelines following institutional review board (IRB) approval, and informed consent was waived. All HIPAA regulations were followed.
Retrospective data collection: A chart review was performed by a radiology resident (US) and musculoskeletal fellowship trained faculty (PP) in consensus from the years 2014 to 2016 for all patients at our institutional university site who underwent CT-guided bone marrow biopsy. Age, gender, body mass index (BMI), radiation dose (CT Dose Index (CTDI) and Dose Length Product (DLP)), number of in-office biopsies, number of CT-guided biopsies, type/amount of moderate sedation used, technical and pathologic success rates, and complication rates were recorded. Using an IRB-approved questionnaire form, all patients were then prospectively contacted by telephone to answer a brief survey regarding pain, discomfort, quality of life, and future preference with respect to the type of biopsy by the resident. CT-guided procedures performed within the musculoskeletal division at our institution typically utilize an Arrow OnControl powered bone access system, with 13-gauge Murphy coaxial needles. This battery-powered bone access system has been previously validated in the literature to produce large bone cores without significant complications [19,20,21].
Telephone interviews: Following IRB approval, a questionnaire was used with different elements evaluating the satisfaction outcomes for those patients who had underwent both in-office and CT-guided interventions. During the telephone interviews by the radiology resident (principal author), the post-procedure pain (scale 1–10, 10 being the worst pain), post-procedure discomfort (scale 1–10, 10 being the most discomfort), post-procedure quality of life (scale 1–100, 100 being the best quality of life), and future preferences (CT-guided versus in-office biopsy) if needed again were recorded from all 32 patients. All the patients completed the full surveys.
Statistical analysis: The descriptive statistics included the mean and median for age, BMI, CTDI/DLP, and percentages for sex, number of in-office versus CT-guided biopsies, and success/complication rates. The telephone questionnaire results for patients undergoing in-office and CT-guided biopsies were tabulated separately and then compared using a nonparametric Wilcoxon Sign rank test. A p value < 0.05 was considered statistically significant.
3. Results
Procedures: Between 2014 and 2016, we collected data on 32 consecutive patients who underwent CT-guided bone marrow biopsy. All procedures were performed via the posterior iliac spine approach with the patients in prone positions. The indications for procedures ranged from a variety of hematologic disorders including multiple myeloma, lymphoma, and myelofibrosis to various leukemic subtype evaluations. Moderate (conscious) sedation (fentanyl IV and midazolam IV) was utilized for all CT-guided biopsy patients, and 19/32 of such patients underwent both in-office bone marrow biopsy and subsequently CT-guided biopsy. Patients undergoing in-office biopsy were noted to receive lorazepam; however, the dosages could not be gathered from the retrospective clinic chart evaluations.
Retrospective data: Among all 32 patients, the mean age was 54 years +/−17 (median 56 years old), and the mean BMI was 33 kg/m2 +/−10 (median 30 kg/m2). The mean CTDI was 60 mGy (median 43.5 mGy), and the mean DLP was 568 mGy × cm (mean 377 mGy × cm). The male:female ratio was 0.52, where 11/32 patients were male, and 21/32 were female. All the procedures were technically successful with respect to access to bone marrow as seen on CT examination and the retrieved samples, and 1/32 had an unsuccessful pathology result (Figure 1 and Figure 2). The mean midazolam dose used was 0.9 mg, and the mean fentanyl dose used was 56 mcg. Various reasons were discovered (per chart review of the electronic medical record) as to why these patients were sent for CT-guided biopsy. Of the 19 patients who had both CT-guided and in-office biopsy, 8/19 (42%) had a documented poor in-office tolerance due to pain, 2/19 (11%) preferred it under CT guidance with sedation due to excess discomfort, and 9/19 (47%) had a failed in-office attempt.
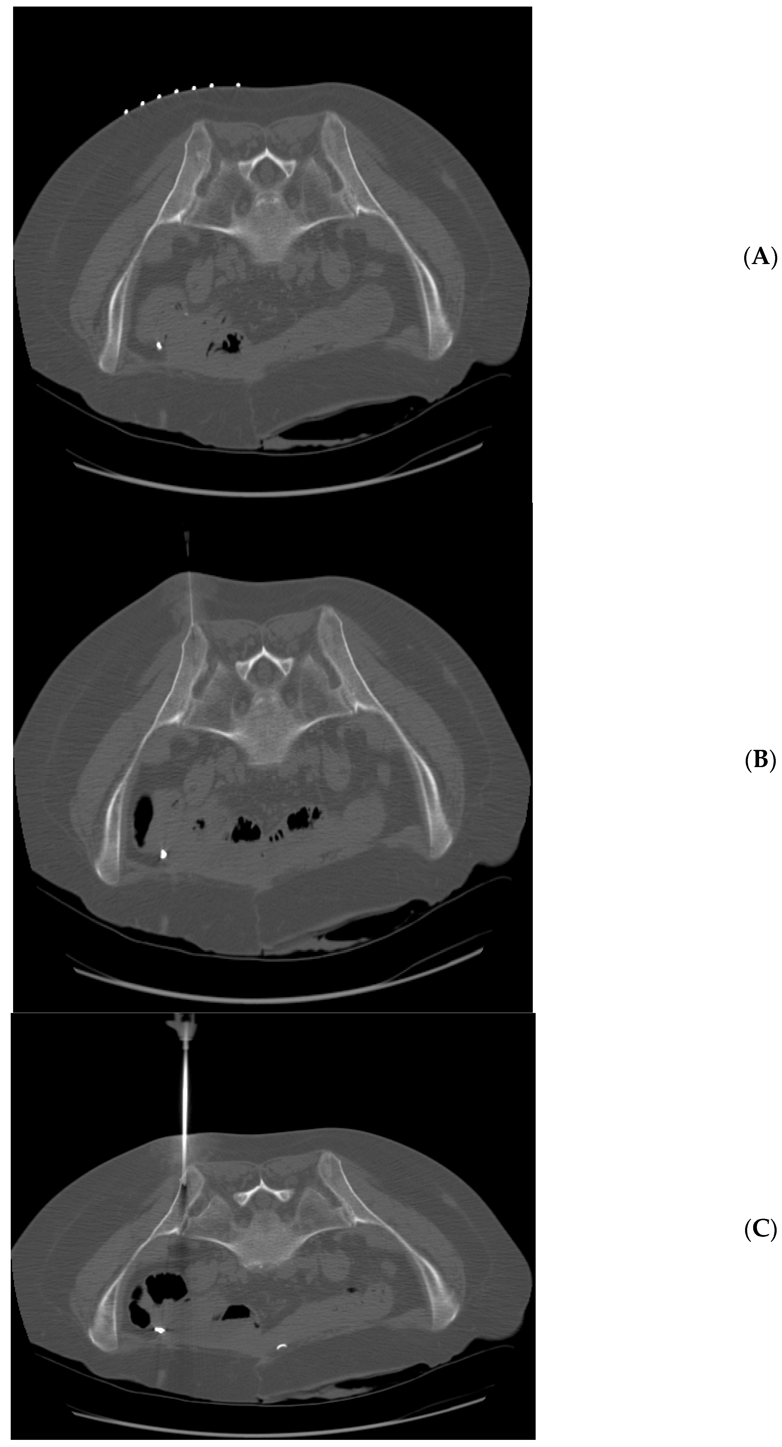
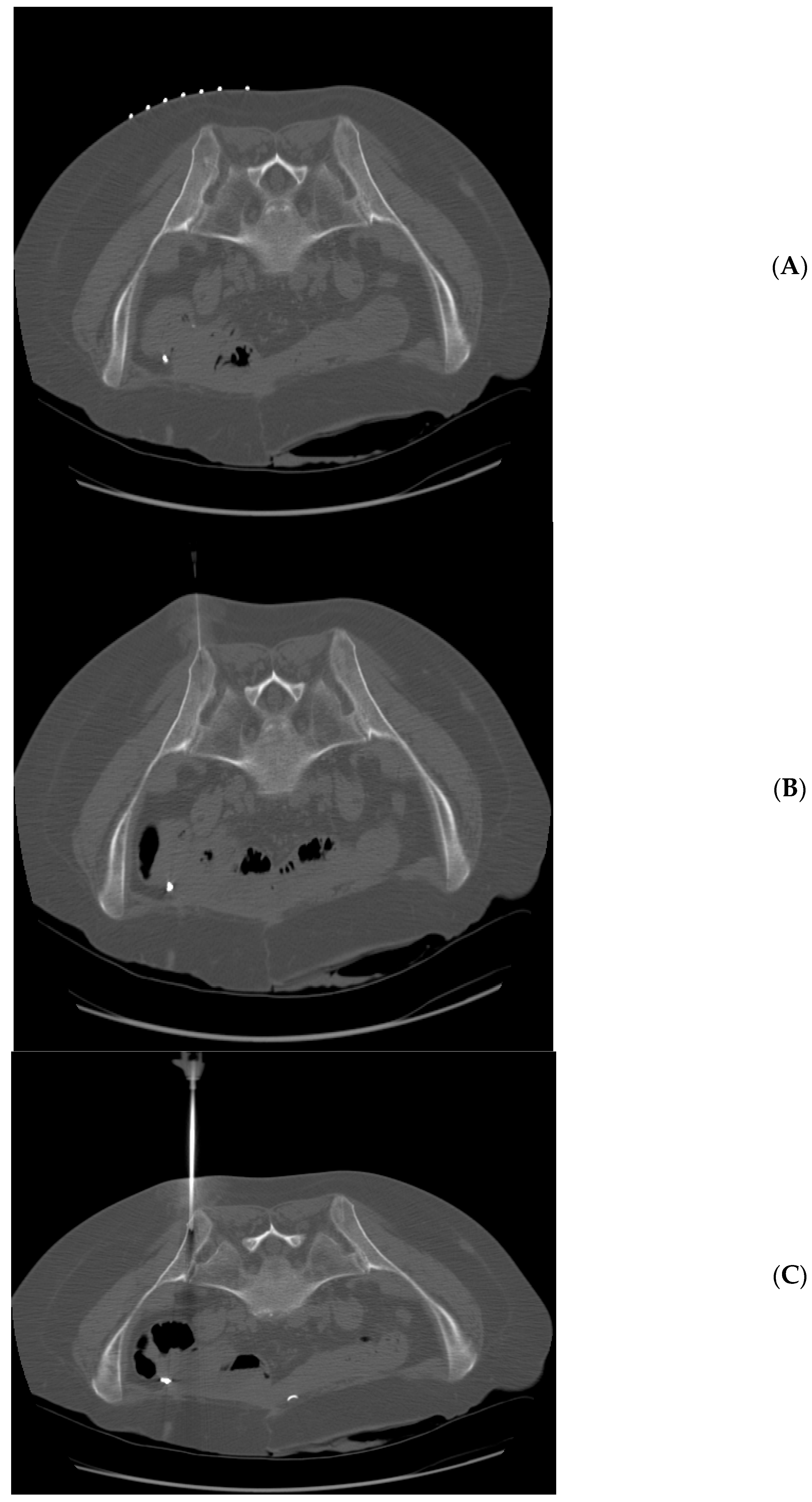
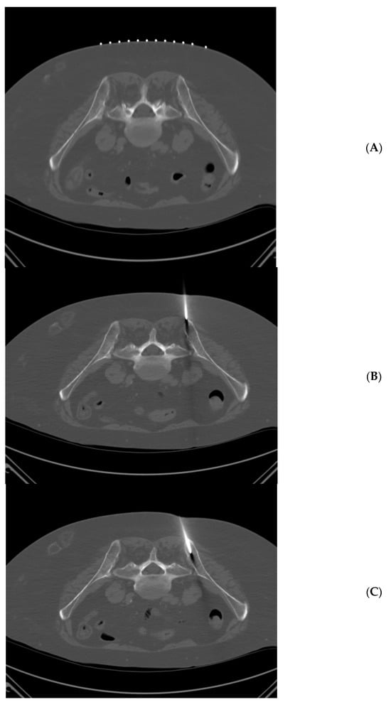
Figure 1.
71 year-old woman with acute myeloid leukemia. Technically successful biopsy, but insufficient pathologic diagnosis. (A) Prone position pre-planning CT with skin guidance markers on the right side of the patient. (B) Prone position CT with biopsy needle tip approaching right posterior iliac spine. (C) Prone position CT with biopsy needle tip within the right posterior iliac spine.
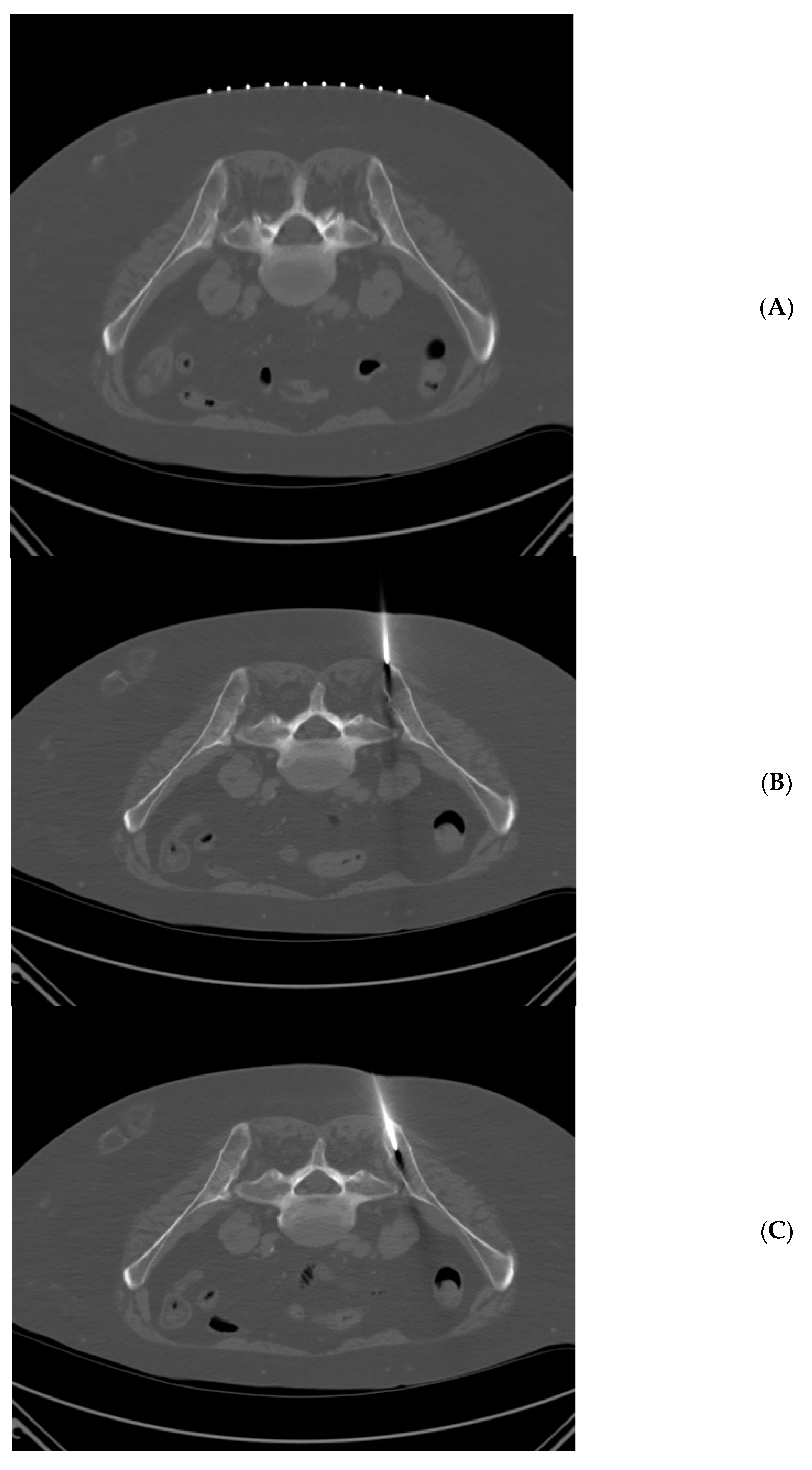
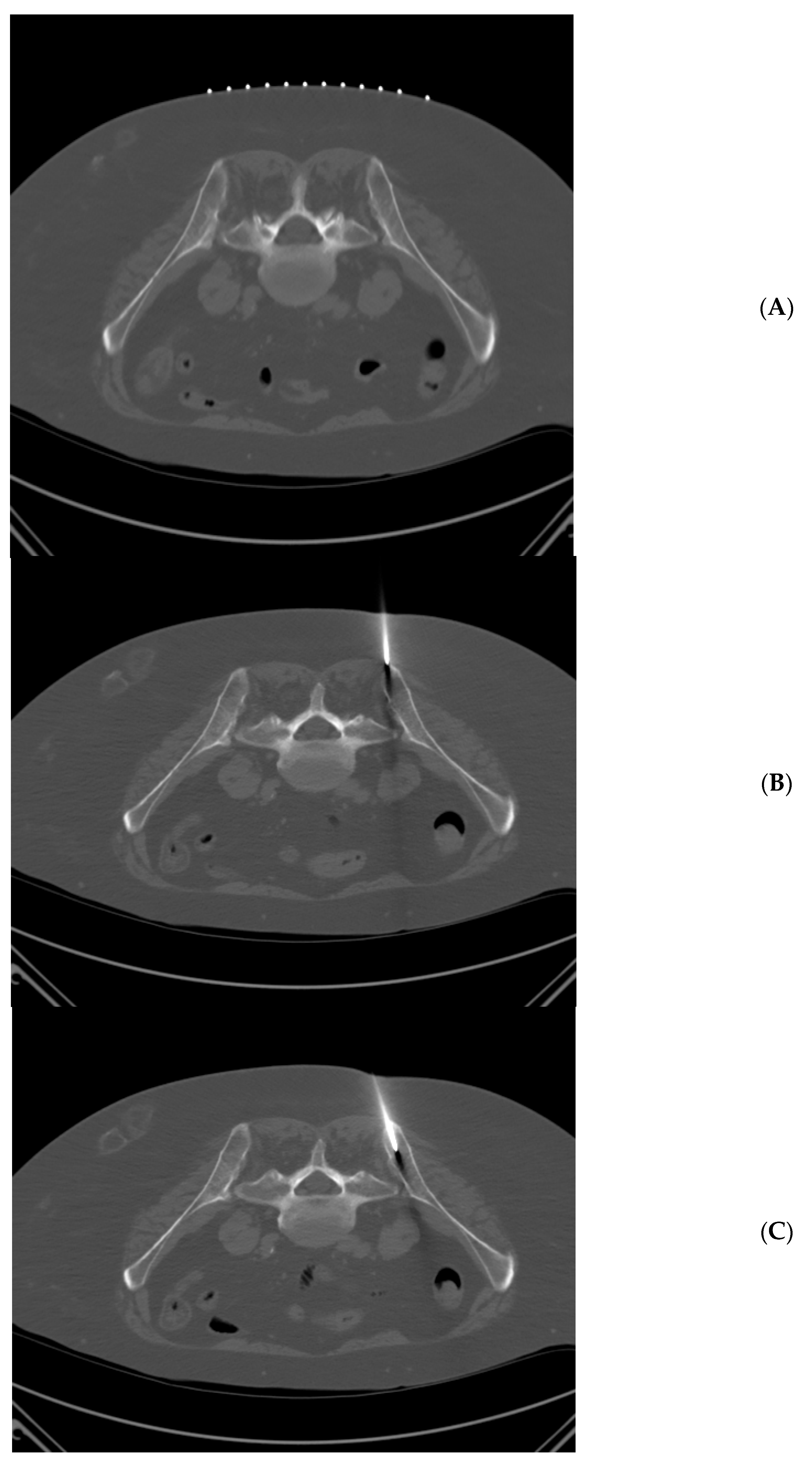
Figure 2.
65 year-old woman with multiple myeloma. Technically successful biopsy, with adequate pathology results. (A) Prone position pre-planning CT with skin guidance markers on the left side of the patient. (B) Prone position CT with biopsy needle tip approaching left posterior iliac spine. (C) Prone position CT with biopsy needle tip within the left posterior iliac spine.
Of the 9/19 patients who had a failed in-office attempt, all eventually had a successful CT-guided biopsy.
Telephone interviews: Upon surveying all 32 patients who underwent CT-guided biopsy, on a scale of 1–10 (10 = highest discomfort and highest pain), on average, the patients reported a 2.5 score (+/−1.7) for discomfort and 2.2 score (+/−1.6) for pain. The patients reported an average quality-of-life score of 79 post-procedure (+/−17.0). All patients affirmed that they would prefer CT-guided biopsy in the future, if needed. No untoward complications or adverse drug reactions were reported in any of the biopsies. Upon surveying the 19 patients who underwent both in-office biopsy and CT-guided biopsies, on a scale of 1–10 (10 = highest discomfort and highest pain), the patients on an average reported 7.8 (+/−1.6) for in office vs. 2.1 (+/−1.3) for CT for discomfort level (p < 0.001) and 7.9 (+/−1.4) vs. 1.7 (+/−1.0) for pain (p < 0.001). The patients reported an average quality-of-life score of 82 +/−15.1 (out of a scale of 100) after CT procedures and 53 +/−18.5 for in-office (p < 0.001). All patients reported that they would prefer CT-guided procedures with sedation versus in-office procedures in the future, if needed for them, or other referrals, if asked.
4. Discussion
As can be seen from the results of this systematic analysis and the structured telephone interviews, the patients had significantly improved satisfaction outcomes in terms of the pain, discomfort, and quality of life when comparing CT-guided biopsies versus in-office biopsies. This likely relates to our ability to set expectations, provide additional IV pain medications, ability to up-titrate pain/sedation medications, and a more controlled environment for the procedure with reliably selectable biopsy targets meeting patient expectations [22,23,24]. Like Chang et al., we compared CT-guided versus routine in-office interventions and obtained patient interviews for detailed analysis [25]. The results correlate with our anecdotal expected findings of better patient experiences overall with CT-guided procedures as outlined in the study hypothesis. The technical success was 100% with samples obtained in all cases, validating the utility of image guidance, and the pathology was inconclusive in only one case [25,26]. There were no complications reported on the chart reviews or in the telephone interviews in terms of infection, post-procedure pain, bone fracture, etc. In addition, the yield was higher in CT-guided biopsies, and previously inconclusive in-office biopsies resulted in positive biopsy results when imaging guidance was used. This is encouraging for patients to prefer future CT-guided biopsies due to both the added comfort and reduced cost, trips (less financial harm), and psychological harm associated with repeat biopsies. In the era of patient-centered care, thus, one must consider CT-guided biopsy for better diagnostic results and patient comfort.
We acknowledge the limitations that the patients included do not represent the general population, and probably, some may have had a low tolerance to pain and discomfort. In addition, a negative experience from the in-office biopsy may have a role in exaggerating the results from this small sample size. The order of procedures could also have influenced their pain tolerance or expectations. Thus, not all patients may benefit from such procedures considering the effects of societal efficacy as well. Finally, the retrospective nature of this study (which raises possibility of a recall bias) and the ability to only interview patients who had the CT portion of the procedure are added limitations. However, given the very high significance identified in this study and an overwhelming patient preference for CT-guided biopsies, we believe this sets a foundation for a future larger prospective study. A future study could be performed in conjunction with the hematology/oncology service, where patients can be randomly assigned to both traditional in-office and CT-guided biopsy sites. The survey developed in this study could then be used to follow such patients over multiple time points (i.e., immediately post-procedure and 3–6 months post-procedure).
It should be noted that the CT-guided biopsy also encompasses radiation exposure and a higher cost. The radiation dose can be reduced by using a limited number of scans (CT-fluoroscopy) and low dose approaches including iterative reconstructions [27,28,29,30]. Both are routinely applied in our practice for such procedures and other CT-guided biopsies soft tissue and bone biopsies and perineural injections or joint aspirations. However, it is well-known that the indicated medical examinations with diagnostic radiation have not been shown to increase the risk of malignancy.
To summarize, given the high technical success and pathology yield rate as well as low complication rate of CT-guided biopsies in this retrospective small-scale study, we conclude that CT-guided bone marrow biopsy is a safer, preferred, and more comfortable procedure for the hematology–oncology patients, especially those with low pain tolerance and who had failed in-office biopsies. Future larger or multi-center studies can further help validate our findings.
Author Contributions
Conceptualization, A.C. and U.S.; methodology, A.C.; formal analysis, A.C. and U.S.; writing and editing—U.S., P.P. and A.C.; Final approval—all authors. All authors have read and agreed to the published version of the manuscript.
Funding
This research received no external funding.
Institutional Review Board Statement
The study was conducted in accordance with the Declaration of Helsinki, and approved by the Institutional Review Board of UT Suthwestern (protocol code STU 032017-009 and date of approval-27 April 2017).
Informed Consent Statement
Informed consent was obtained from all subjects involved in the study during telephonic interviews.
Data Availability Statement
Data is unavailable due to privacy and ethical restrictions.
Conflicts of Interest
AC serves as a consultant with ICON Medical and Treace Medical concepts, Inc. AC also receives royalties from Jaypee and Wolters. AC is a medical advisor with Image biopsy Lab, Inc, and, also has research grant from Image biopsy Lab, Inc and Qure-AI. AC is a speaker for Telemedicine clinics. The authors have no additional conflicts of interest.
References
- Bain, B.J. Bone marrow aspiration. J. Clin. Pathol. 2001, 54, 657–663. [Google Scholar] [CrossRef] [PubMed] [PubMed Central]
- Bain, B.J. Bone marrow trephine biopsy. J. Clin. Pathol. 2001, 54, 737–742. [Google Scholar] [CrossRef] [PubMed] [PubMed Central]
- Baliakas, P.; Kanellis, G.; Stavroyianni, N.; Fameli, M.; Anagnostopoulos, A.; Stamatopoulos, K.; Papadaki, T. The role of bone marrow biopsy examination at diagnosis of chronic lymphocytic leukemia: A reappraisal. Leuk. Lymphoma 2013, 54, 2377–2384. [Google Scholar] [CrossRef] [PubMed]
- Bishop, P.W.; McNally, K.; Harris, M. Audit of bone marrow trephines. J. Clin. Pathol. 1992, 45, 1105–1108. [Google Scholar] [CrossRef] [PubMed] [PubMed Central]
- Lee, S.H.; Erber, W.N.; Porwit, A.; Tomonaga, M.; Peterson, L.C.; International Council for Standardization In Hematology. ICSH guidelines for the standardization of bone marrow specimens and reports. Int. J. Lab. Hematol. 2008, 30, 349–364. [Google Scholar] [CrossRef] [PubMed]
- Sever, C.; Abbott, C.L.; de Baca, M.E.; Khoury, J.D.; Perkins, S.L.; Reichard, K.K.; Taylor, A.; Terebelo, H.R.; Colasacco, C.; Rumble, R.B.; et al. Bone Marrow Synoptic Reporting for Hematologic Neoplasms: Guideline From the College of American Pathologists Pathology and Laboratory Quality Center. Arch. Pathol. Lab. Med. 2016, 140, 932–949. [Google Scholar] [CrossRef] [PubMed]
- Thiele, J.; Kvasnicka, H.M.; Facchetti, F.; Franco, V.; van der Walt, J.; Orazi, A. European consensus on grading bone marrow fibrosis and assessment of cellularity. Haematologica 2005, 90, 1128–1132. [Google Scholar] [PubMed]
- Yang, R.K.; Nazeef, M.; Patel, S.S.; Mattison, R.; Yang, D.T.; Ranheim, E.A.; Leith, C.P. Improving bone marrow biopsy quality through peer discussion and data comparisons: A single institution experience. Int. J. Lab. Hematol. 2018, 40, 419–426. [Google Scholar] [CrossRef] [PubMed]
- Agid, R.; Sklair-Levy, M.; Bloom, A.I.; Lieberman, S.; Polliack, A.; Ben-Yehuda, D.; Sherman, Y.; Libson, E. CT-guided biopsy with cutting-edge needle for the diagnosis of malignant lymphoma: Experience of 267 biopsies. Clin. Radiol. 2003, 58, 143–147. [Google Scholar] [CrossRef] [PubMed]
- Brunetti, G.A.; Tendas, A.; Meloni, E.; Mancini, D.; Maggiore, P.; Scaramucci, L.; Giovannini, M.; Niscola, P.; Cartoni, C.; Alimena, G. Pain and anxiety associated with bone marrow aspiration and biopsy: A prospective study on 152 Italian patients with hematological malignancies. Ann. Hematol. 2011, 90, 1233–1235. [Google Scholar] [CrossRef] [PubMed]
- Hussain, H.K.; Kingston, J.E.; Domizio, P.; Norton, A.J.; Reznek, R.H. Imaging-guided core biopsy for the diagnosis of malignant tumors in pediatric patients. AJR Am. J. Roentgenol. 2001, 176, 43–47. [Google Scholar] [CrossRef] [PubMed]
- Liu, B.; Limback, J.; Kendall, M.; Valente, M.; Armaly, J.; Grekoski, V.; Pinizzotto, A.; Burt, J.; Ward, T.J. Safety of CT-Guided Bone Marrow Biopsy in Thrombocytopenic Patients: A Retrospective Review. J. Vasc. Interv. Radiol. 2017, 28, 1727–1731. [Google Scholar] [CrossRef] [PubMed]
- Monfardini, L.; Preda, L.; Aurilio, G.; Rizzo, S.; Bagnardi, V.; Renne, G.; Maccagnoni, S.; Vigna, P.D.; Davide, D.; Bellomi, M. CT-guided bone biopsy in cancer patients with suspected bone metastases: Retrospective review of 308 procedures. Radiol. Med. 2014, 119, 852–860. [Google Scholar] [CrossRef] [PubMed]
- Puri, A.; Shingade, V.U.; Agarwal, M.G.; Anchan, C.; Juvekar, S.; Desai, S.; Jambhekar, N.A. CT-guided percutaneous core needle biopsy in deep seated musculoskeletal lesions: A prospective study of 128 cases. Skelet. Radiol. 2006, 35, 138–143. [Google Scholar] [CrossRef] [PubMed]
- Vanhelleputte, P.; Nijs, K.; Delforge, M.; Evers, G.; Vanderschueren, S. Pain during bone marrow aspiration: Prevalence and prevention. J. Pain Symptom Manag. 2003, 26, 860–866. [Google Scholar] [CrossRef] [PubMed]
- Wadhwa, V.; Scott, K.M.; Rozen, S.; Starr, A.J.; Chhabra, A. CT-guided Perineural Injections for Chronic Pelvic Pain. Radiographics 2016, 36, 1408–1425. [Google Scholar] [CrossRef] [PubMed]
- Wong, E.T.; Dunham, C.; Patsios, D. Qualitative assessment of pain management in patients undergoing computed tomography-guided transthoracic lung biopsy. Pain Res. Manag. 2014, 19, 149–152. [Google Scholar] [CrossRef] [PubMed] [PubMed Central]
- Kohi, M.P.; Fidelman, N.; Behr, S.; Taylor, A.G.; Kolli, K.; Conrad, M.; Hwang, G.; Weinstein, S. Periprocedural Patient Care. Radiographics 2015, 35, 1766–1778. [Google Scholar] [CrossRef] [PubMed]
- Bucher, C.M.; Lehmann, T.; Tichelli, A.; Tzankov, A.; Dirnhofer, S.; Passweg, J.; Rovó, A. Comparison of a powered bone marrow biopsy device with a manual system: Results of a prospective randomised controlled trial. J. Clin. Pathol. 2013, 66, 24–28. [Google Scholar] [CrossRef] [PubMed] [PubMed Central]
- Schnapauff, D.; Marnitz, T.; Freyhardt, P.; Collettini, F.; Hartwig, K.; Jöhrens, K.; Hamm, B.; Kroencke, T.; Gebauer, B. CT guided bone biopsy using a battery powered intraosseous device. Cardiovasc. Intervent. Radiol. 2013, 36, 1405–1410. [Google Scholar] [CrossRef] [PubMed]
- Swords, R.T.; Anguita, J.; Higgins, R.A.; Yunes, A.C.; Naski, M.; Padmanabhan, S.; Kelly, K.R.; Mahalingam, D.; Philbeck, T.; Miller, L.; et al. A prospective randomised study of a rotary powered device (OnControl) for bone marrow aspiration and biopsy. J. Clin. Pathol. 2011, 64, 809–813. [Google Scholar] [CrossRef] [PubMed]
- Tomasian, A.; Jennings, J.W. Bone marrow aspiration and biopsy: Techniques and practice implications. Skelet. Radiol. 2022, 51, 81–88. [Google Scholar] [CrossRef] [PubMed]
- Kaufman, C.S.; Kuo, K.T.; Anand, K. Image Guided Bone Marrow Biopsy. Tech. Vasc. Interv. Radiol. 2021, 24, 100771. [Google Scholar] [CrossRef] [PubMed]
- Martellosio, J.P.; Puyade, M.; Debiais, C.; Elsendoorn, A.; Souchaud-Debouverie, O.; Landron, C.; Luca, L.; Roy-Peaud, F.; Milin, S.; Roblot, P.; et al. Bone marrow biopsy diagnostic yield in internal medicine. Postgrad. Med. 2021, 133, 89–95. [Google Scholar] [CrossRef] [PubMed]
- Chang, C.Y.; Husseini, J.S.; Moreira, A.; Simeone, F.J.; Yee, A.J.; Bredella, M.A.; Hasserjian, R. CT-guided bone marrow aspirations and biopsies: Retrospective study and comparison with blind procedures. Skelet. Radiol. 2020, 49, 1285–1294. [Google Scholar] [CrossRef] [PubMed]
- Spinnato, P.; Colangeli, M.; Rinaldi, R.; Ponti, F. Percutaneous CT-Guided Bone Biopsies: Indications, Feasibility and Diagnostic Yield in the Different Skeletal Sites-From the Skull to the Toe. Diagnostics 2023, 13, 2350. [Google Scholar] [CrossRef] [PubMed] [PubMed Central]
- Devita, R.; Chagarlamudi, K.; Durieux, J.; Jordan, D.; Nguyen, B.; Davidson, J.; Kosaraju, V.; Abboud, S. Omission of Planning CT Reduces Patient Radiation Exposure during CT-Guided Bone Marrow Biopsy and Aspiration. Tomography 2021, 7, 747–751. [Google Scholar] [CrossRef] [PubMed] [PubMed Central]
- Cahalane, A.M.; Habibollahi, S.; Staffa, S.J.; Yang, K.; Fintelmann, F.J.; Chang, C.Y. Helical CT versus intermittent CT fluoroscopic guidance for musculoskeletal needle biopsies: Impact on radiation exposure, procedure time, diagnostic yield, and adverse events. Skelet. Radiol. 2023, 52, 1119–1126. [Google Scholar] [CrossRef] [PubMed]
- Siomou, E.; Filippiadis, D.K.; Efstathopoulos, E.P.; Antonakos, I.; Panayiotakis, G.S. Patient Dose Estimation in Computed Tomography-Guided Biopsy Procedures. J. Imaging. 2023, 9, 267. [Google Scholar] [CrossRef] [PubMed] [PubMed Central]
- Zensen, S.; Selvaretnam, S.; Opitz, M.; Bos, D.; Haubold, J.; Theysohn, J.; Forsting, M.; Guberina, N.; Wetter, A. Differences in Radiation Exposure of CT-Guided Percutaneous Manual and Powered Drill Bone Biopsy. Cardiovasc. Intervent. Radiol. 2021, 44, 1430–1438. [Google Scholar] [CrossRef] [PubMed] [PubMed Central]
Disclaimer/Publisher’s Note: The statements, opinions and data contained in all publications are solely those of the individual author(s) and contributor(s) and not of MDPI and/or the editor(s). MDPI and/or the editor(s) disclaim responsibility for any injury to people or property resulting from any ideas, methods, instructions or products referred to in the content. |
© 2024 by the authors. Licensee MDPI, Basel, Switzerland. This article is an open access article distributed under the terms and conditions of the Creative Commons Attribution (CC BY) license (https://creativecommons.org/licenses/by/4.0/).

