Training a Giraffe (Giraffa camelopardalis reticulata) for Voluntary Foot Radiographs at Dubai Safari Park
Abstract
1. Introduction
1.1. Individual
1.2. Housing
1.3. Diet
2. Materials and Methods
2.1. Safety Considerations
2.2. Protected Contact
2.3. Training Sessions
3. Goal Behaviors
3.1. Target Training
3.2. Recall
3.3. Back Up
3.4. Station
3.5. Lift Foot
3.6. Front Foot Radiograph
4. Radiograph Positioning and Techniques

Lateral Radiograph (Lateromedial)
5. Results
5.1. Animal Participation
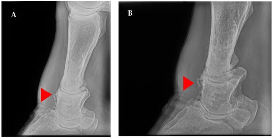
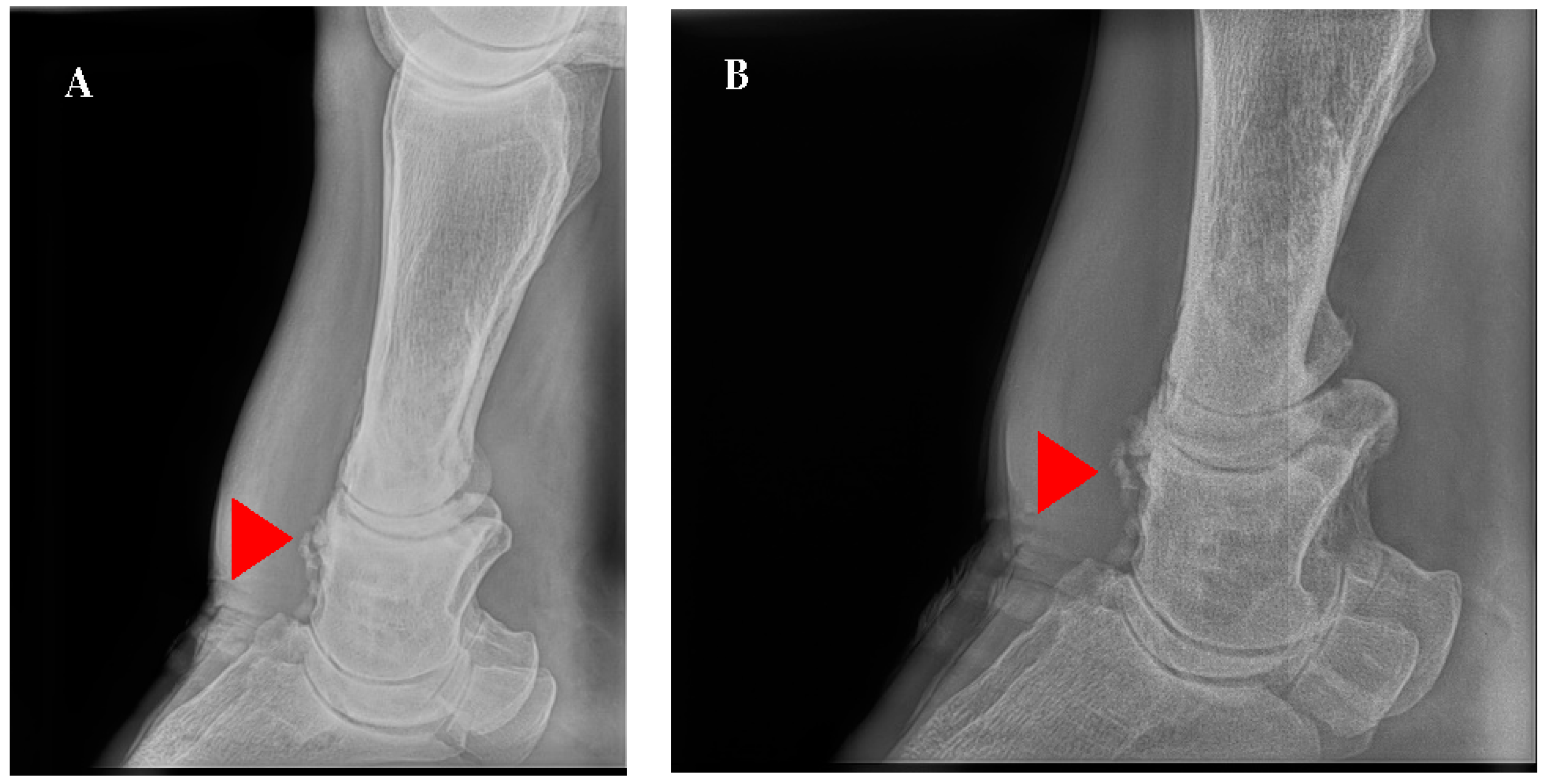
5.2. Diagnosis
6. Discussion
6.1. Challenges
6.1.1. Motivation to Train
6.1.2. Timing and Reinforcement
6.2. Operant Conditioning for Medical Procedures
6.3. Training as Enrichment
6.4. Human and Animal Safety
7. Conclusions
Author Contributions
Funding
Institutional Review Board Statement
Informed Consent Statement
Data Availability Statement
Acknowledgments
Conflicts of Interest
References
- Bush, M. Giraffidae. In Zoo and Wild Animal Medicine; Miller, R.E., Fowler, M.E., Eds.; Saunders: St. Louis, MO, USA, 2003; Volume 5, pp. 625–633. ISBN 978-072-169-499-3. [Google Scholar]
- Dadone, L. Lameness Diagnosis and Management in Zoo Giraffe. In Zoo and Wild Animal Medicine; Miller, R.E., Fowler, M.E., Eds.; Saunders: St. Louis, MO, USA, 2018; Volume 9, pp. 623–629. ISBN 978-032-355-228-8. [Google Scholar]
- Phelps, A.; McCartney, M. Using a fusion of operant conditioning and TTEAM to train giraffe calves. TTEAM1 Connect. 2007, 9, 10–16. Available online: https://library.giraffeconservation.org/download/using-a-fusion-of-operant-conditioning-and-tteam-to-train-giraffe-calves/ (accessed on 1 October 2020).
- Pryor, K. Don’t Shoot the Dog! In The New Art of Teaching and Training, 1st ed.; Bantam Books: New York, NY, USA, 1999; ISBN 978-055-325-388-7. [Google Scholar]
- Peterson, G.B. A day of great illumination: B. F. Skinner’s discovery of shaping. J. Exp. Anal. Behav. 2004, 82, 317–328. [Google Scholar] [CrossRef] [PubMed]
- Lind, J.; Ghirlanda, S.; Enquist, M. Insight learning or shaping? Proc. Nat. Acad. Sci. USA 2009, 106, E76. [Google Scholar] [CrossRef] [PubMed]
- Fernandez, E.J. Training Petting Zoo Sheep to Act Like Petting Zoo Sheep: An Empirical Evaluation of Response-Independent Schedules and Shaping with Negative Reinforcement. Animals 2020, 10, 1122. [Google Scholar] [CrossRef] [PubMed]
- Melfi, V. Is training zoo animals enriching? Appl. Anim. Behav. Sci. 2013, 147, 299–305. [Google Scholar] [CrossRef]
- Schapiro, S.J.; Magden, E.R.; Reamer, L.A. Behavioural Training as Part of the Health Care Program. In Management of Animal Care and Use Programs in Research, Education, and Testing, 2nd ed.; Weichbrod, R.H., Thompson, G.A.H., Norton, J.N., Eds.; CRC Press/Taylor & Francis: Boca Raton, FL, USA, 2018; Volume 1, pp. 771–792. [Google Scholar] [CrossRef]
- Vitali, F.; Karuiki, E.K.; Mijele, D.; Kaitho, T.; Faustini, M.; Preziosi, R.; Gakuya, F.; Ravasio, G. Etorphine–Azaperone immobilization for translocation of free–ranging Masai Giraffes (Giraffa camelopardalis tippelskirchi): A pilot study. Animals 2020, 10, 322. [Google Scholar] [CrossRef] [PubMed]
- Calle, P.P.; Bornmann, J.C. Giraffe restraint, habituation, and desensitization at the Cheyenne Mountain Zoo. Zoo Biol. 1988, 7, 243–252. [Google Scholar] [CrossRef]
- Dadone, L.; Olea-Popelka, F.; Stout, E.; Klaphake, E.; Johnston, M.; Barrett, M. A wake-up call: Radiographic evidence of front foot fractures and osteoarthritis in relatively young reticulated giraffe (Giraffa camelopardalis reticulata). In Proceedings of the Annual Conference American Association of Zoo Veterinarians, AAZV, Atlanta, Georgia, 16–22 July 2016; p. 130. Available online: https://www.researchgate.net/publication/328108103_A_wake-up_call_radiographic_evidence_of_front_foot_fractures_and_osteoarthritis_in_relatively_young_reticulated_giraffe (accessed on 18 October 2022).
- Muller, Z.; Bercovitch, F.; Brand, R.; Brown, D.; Brown, M.; Bolger, D.; Carter, K.; Deacon, F.; Doherty, J.B.; Fennessy, J.; et al. Giraffa camelopardalis (amended version of 2016 assessment). IUCN Red List. Threat. Species 2018, 6, 134–139. [Google Scholar] [CrossRef]
- Paterson, J. Capture Myopathy. In Zoo Animal and Wildlife Immobilization and Anesthesia, 2nd ed.; West, G., Heard, D., Caulkett, N., Eds.; Blackwell Publishing: Hoboken, NJ, USA, 2007; pp. 115–121. [Google Scholar] [CrossRef]
- Deacon, F.; Daffue, W.; Nell, P.; Higgs, R. Effective Field Immobilisation and Capture of Giraffe (Giraffa camelopardalis). Animals 2022, 12, 1290. [Google Scholar] [CrossRef] [PubMed]
- Kagan, R.; Veasey, J. Challenges of zoo animal welfare. In Wild mammals in Captivity: Principles and Techniques for Zoo Management; Kleiman, D.G., Thompson, K.V., Baer, C.K., Eds.; University of Chicago Press: Chicago, IL, USA, 2010; pp. 11–21. ISBN 978-022-644-010-1. [Google Scholar]
- Fernandez, E.J.; Upchurch, B.; Hawkes, N.C. Public Feeding Interactions as Enrichment for Three Zoo-Housed Elephants. Animals 2021, 11, 1689. [Google Scholar] [CrossRef] [PubMed]
- Westlund, K. Training is enrichment—And beyond. Appl. Anim. Behav. Sci. 2014, 152, 1–6. [Google Scholar] [CrossRef]
- Coulton, L.E.; Warren, N.K.; Young, R.J. Effects of foraging enrichment on the behavior of parrots. Anim. Welf. 1997, 6, 357–363. Available online: https://www.academia.edu/33996118/Parrot_enrichment_animal_welfare_pdf (accessed on 1 October 2022).
- Gilbert-Norton, L. Captive birds and freeloading: The choice to work. Res. News 2003, 4, 1. [Google Scholar]
- Tresz, H. Contra freeloading (working for food) at the Phoenix Zoo. ABMA Wellspring 2010, 11, 8–21. Available online: https://www.researchgate.net/publication/264788873_Contra_Freeloading_Working_for_Food_at_the_Phoenix_Zoo (accessed on 2 October 2022).




| Behaviour Steps | Definition | Number of Sessions |
|---|---|---|
| Target | Instant Touch | 9 |
| Target—Duration 2 s | 15 | |
| Target—Duration 4 s | 7 | |
| Target—Duration 6 s | 9 | |
| Target—Duration 8 s | 7 | |
| Target—Duration 10 s | 9 | |
| Recall | Giraffe walks towards Trainer | 10 |
| Back Up | Giraffe walks backwards from Trainer | 12 |
| Station | Giraffe stands at the stationing area, slightly leaning into chest straps | 10 |
| Lift Foot | Giraffe Lifts foot and places it onto the foot block | 15 |
| Lift Foot & Hold | Giraffe holds foot on block for 2 s | 6 |
| Giraffe holds foot on block for 5 s | 8 | |
| Giraffe holds foot on block for 10 s | 11 | |
| Giraffe holds foot on block for 15 s | 10 | |
| Giraffe holds foot on block for 20 s | 11 | |
| Giraffe holds foot on block for 30 s | 15 | |
| Front Foot Radiograph | Giraffe holds foot on block while Trainer moves radiograph machine close to foot | 12 |
Publisher’s Note: MDPI stays neutral with regard to jurisdictional claims in published maps and institutional affiliations. |
© 2022 by the authors. Licensee MDPI, Basel, Switzerland. This article is an open access article distributed under the terms and conditions of the Creative Commons Attribution (CC BY) license (https://creativecommons.org/licenses/by/4.0/).
Share and Cite
Booth, D.; Kamau, A.; Kayondo, H.; Sumaya, A.M.; Ashraf, M.W. Training a Giraffe (Giraffa camelopardalis reticulata) for Voluntary Foot Radiographs at Dubai Safari Park. J. Zool. Bot. Gard. 2022, 3, 688-698. https://doi.org/10.3390/jzbg3040051
Booth D, Kamau A, Kayondo H, Sumaya AM, Ashraf MW. Training a Giraffe (Giraffa camelopardalis reticulata) for Voluntary Foot Radiographs at Dubai Safari Park. Journal of Zoological and Botanical Gardens. 2022; 3(4):688-698. https://doi.org/10.3390/jzbg3040051
Chicago/Turabian StyleBooth, Demi, Amos Kamau, Henry Kayondo, Anna Mae Sumaya, and Muhammad Waseem Ashraf. 2022. "Training a Giraffe (Giraffa camelopardalis reticulata) for Voluntary Foot Radiographs at Dubai Safari Park" Journal of Zoological and Botanical Gardens 3, no. 4: 688-698. https://doi.org/10.3390/jzbg3040051
APA StyleBooth, D., Kamau, A., Kayondo, H., Sumaya, A. M., & Ashraf, M. W. (2022). Training a Giraffe (Giraffa camelopardalis reticulata) for Voluntary Foot Radiographs at Dubai Safari Park. Journal of Zoological and Botanical Gardens, 3(4), 688-698. https://doi.org/10.3390/jzbg3040051
