Next Article in Journal
Preoperative Intra-Articular Corticosteroid Injection Is Not Associated with Inferior Reoperation or Patient-Reported Outcomes Following Chondrocyte Implantation
Previous Article in Journal
The Emerging Role of Peri-Operative Methadone for the Management of Post-Operative Pain for Patients Undergoing Oesophagectomy: A Narrative Review
 
 
Font Type:
Arial Georgia Verdana
Font Size:
Aa Aa Aa
Line Spacing:
Column Width:
Background:
Article

Comparative Study of Radiologic Changes in Ulnar Variance and Ulnolunate Distance After Distal Radius Fracture Surgery: Patients with vs. Without Lunate Ulnar Corner Cysts

Department of Orthopedic Surgery, Daejeon Sun Hospital, 29 Mok-Dong, Jung-gu, Daejeon 34811, Republic of Korea
*
Author to whom correspondence should be addressed.
Surgeries 2026, 7(1), 39; https://doi.org/10.3390/surgeries7010039
Submission received: 5 January 2026 / Revised: 14 February 2026 / Accepted: 10 March 2026 / Published: 17 March 2026

Abstract

Background: Subchondral cysts at the ulnar corner of the lunate are frequently encountered in patients with distal radius fractures. We hypothesized that the presence of these lunate subchondral cysts may be associatedwith decreased cortical bone density due to limited load translation. Consequently, this could lead to lunate fossa collapse and increased ulnar variance following fracture fixation. Methods: A retrospective analysis was performed on 176 patients who underwent open reduction and internal fixation using the Double-tiered Subchondral Support (DSS) procedure between May 2014 and June 2017. Twenty-eight patients identified with lunate subchondral cysts on preoperative CT scans were selected as the study group. A control group of 28 patients without cysts was selected using matched-pair analysis, controlling for gender, age, fracture classification, and follow-up period. Results: The mean change (delta) in ulnar variance was 0.191 mm in the cyst group, which was less than the 0.233 mm observed in the control group; however, this difference was not statistically significant (p = 0.557). Regarding ulnolunate distance, the cyst group showed a mean change (delta) of 0.991 mm, while the control group showed a change of 1.123 mm. This difference was also not statistically significant (p = 0.681). Conclusions: Although it was hypothesized that lunate subchondral cysts might limit load translation to the radius and compromise cortical bone density—potentially affecting fracture healing and the maintenance of reduction—our statistical analysis did not support this hypothesis. The presence of lunate subchondral cysts did not significantly increase the risk of lunate fossa collapse or ulnar variance progression compared to the control group.

1. Introduction

Subchondral cysts located at the ulnar corner of the lunate are frequently encountered radiologic findings in patients with distal radius fractures. These cystic lesions are commonly associated with ulnocarpal impaction syndrome or degenerative changes, such as senile osteoarthritis [1,2,3,4]. Although ulnar impaction syndrome is typically characterized by ulnar-sided wrist pain, clinical ambiguity remains regarding whether these cysts are symptomatic prior to a fracture event. Many patients with these incidental findings report no pre-fracture discomfort but may complain of ulnar-sided wrist pain post-treatment. Furthermore, it remains unclear how the presence of these cysts influences the radiologic outcomes, specifically the maintenance of reduction, following fracture fixation. This uncertainty can create a clinical dilemma regarding whether an incidental lunate ulnar corner cyst identified on preoperative CT should influence the reduction target or postoperative surveillance strategy. In practice, surgeons may question whether such a finding warrants any deviation from standard anatomic reduction or closer monitoring of ulnocarpal alignment during follow-up.
Subchondral cystic changes at the lunate ulnar corner have been interpreted as radiologic findings related to chronic ulnocarpal loading or degenerative remodeling. Although the presence of a cyst does not necessarily indicate overt positive ulnar variance at the time of injury, it may represent a surrogate marker of localized stress concentration around the ulnocarpal articulation. Therefore, we considered that such cysts could be associated with subtle differences in postoperative radiologic trajectories reflecting ulnocarpal alignment and articular support, which can be assessed using ulnar variance and ulnolunate distance.
The biomechanical relationship between ulnar variance and the distal radius is well established. In a cadaveric study, Casagrande et al. [5] reported that positive ulnar variance is associated with decreased cortical bone density in the lunate fossa of the distal radius and a subsequent decrease in load-to-failure. Similarly, af Ekenstam et al. [6] demonstrated that load distribution across the radius and ulna varies significantly with ulnar variance.
Based on these biomechanical principles, we hypothesized that the presence of a lunate ulnar corner cyst—even without anatomical positive ulnar variance at the time of injury—functionally limits physiological load translation to the radius. (i.e., a “functional positive ulnar variance,” referring to a positiveUV-like ulnocarpal loading condition despite the absence of an anatomically increased ulnar variance on radiographs). We postulated that this functional alteration could lead to a localized decrease in cortical bone density of the radial lunate fossa. Consequently, this reduction in bone quality might compromise fracture healing and the maintenance of reduction, potentially leading to lunate fossa collapse and a radiologic increase in ulnar variance postoperatively.
The purpose of this study is to compare the radiologic changes in ulnar variance and ulnolunate distance after open reduction and internal fixation of distal radius fractures in patients with and without lunate ulnar corner subchondral cysts, to determine whether these incidental cysts are associated with clinically meaningful differences in short-term maintenance of reduction after fixation.

2. Materials and Methods

Patient Selection: Ethical approval for this retrospective study was obtained from the Institutional Review Board (IRB) of Daejeon Sun Hospital (IRB No.DSH-IN-22-13). This study was conducted in accordance with the ethical standards of the Declaration of Helsinki. The requirement for written informed consent was waived by the IRB due to the retrospective nature of the study. A retrospective review was conducted on 176 patients who underwent open reduction and internal fixation (ORIF) for distal radius fractures using the Double-tiered Subchondral Support (DSS) procedure between May 2014 and June 2017.
Surgical indications: ORIF using the DSS technique was indicated for distal radius fractures with unacceptable alignment after initial reduction and/or radiographic instability, including displaced intra-articular fractures, loss of volar tilt, loss of radial height, decreased radial inclination, or persistent articular incongruity/step-off on standard radiographs. The decision for surgery was made by the treating surgeon based on clinical and radiographic assessment using commonly accepted radiologic parameters. Among these, 28 patients were identified as having a subchondral cyst in the ulnar corner of the lunate on preoperative CT scans (Cyst Group). A control group of 28 patients without cysts was selected using matched-pair analysis, controlling for gender, age, fracture classification, and follow-up period (Control Group). Patients with a history of prior wrist disease or previous surgical treatment were excluded. The final study population consisted of 18 men and 38 women, with a mean age of 69.5 years (range, 51–90 years). The mean follow-up period was 6.5 months (range, 4–22 months). According to the AO/OTA classification, there were 10 type A, 1 type B, and 45 type C fractures (Table 1).
Surgical Technique: All surgeries were performed by a single surgeon (C.H.L., MD.). Patients were placed in the supine position under ultrasound-guided brachial plexus block, and a pneumatic tourniquet was applied to the upper arm. The distal radius was exposed using the standard volar approach (Henry approach), and the pronator quadratus muscle was elevated. Fracture reduction was provisionally maintained using K-wires. Definitive fixation was achieved in all patients using a volar locking plate (DePuy Orthopaedics, Miami, FL, USA) employing the Double-tiered Subchondral Support (DSS) procedure to support the articular surface.
Radiologic Evaluation: Radiologic parameters, specifically ulnar variance and ulnolunate distance, were measured immediately postoperatively and at the final follow-up. Measurements were performed twice by two orthopaedic residents independently, and the mean values were used for analysis. Ulnar variance was measured on standard PA wrist radiographs (taken with the shoulder abducted 90°, elbow flexed 90°, and forearm in neutral rotation) using the method of perpendiculars. To compensate for potential measurement errors in ulnar variance, we also measured the ulnolunate distance, defined as the shortest distance between the lunate ulnar corner and the most convex point of the ulnar head (Figure 1 and Figure 2). Additionally, the location of the lunate cyst was evaluated using preoperative computed tomography (CT). Preoperative CT was obtained as part of routine clinical care when intra-articular involvement or complex fracture morphology required further assessment for surgical planning, and it was not performed solely for research purposes. CT acquisition followed our institutional clinical protocol, and no additional imaging was requested specifically for this retrospective study. Cysts were classified as dorsal or palmar based on sagittal CT images. Cysts that could not be clearly localized to either side were categorized as “unclassified” (Figure 3).
Postoperative Rehabilitation: Immediate active range of motion (ROM) exercises for the digits were encouraged postoperatively. The wrist was immobilized in a short arm splint for 2 weeks. This was subsequently replaced with a removable splint to allow for active wrist ROM exercises, which was maintained for an additional 4 weeks (total 6 weeks of protection).
Statistical Analysis: Statistical analysis was performed using SPSS software version 12.0 (SPSS Inc., Chicago, IL, USA). A paired t-test was used to compare radiographic parameters within each group (immediate postoperative vs. final follow-up). An independent samples t-test was used to compare differences between the Cyst Group and the Control Group. A p-value of <0.05 was considered statistically significant.

3. Results

Highinter-observer reliability was confirmed, as there were no statistically significant differences between the radiological measurements performed by the two residents; therefore, the mean values were used for the final analysis. As can be seen in (Table 2),In the cyst group, the mean ulnar variance increased from 0.592 mm immediately postoperatively to 0.783 mm at the final follow-up, but this change was not statistically significant (p = 0.181). Conversely, the ulnolunate distance in the cyst group significantly decreased from 4.790 mm to 3.799 mm during the follow-up period (p< 0.001). Statistical significance was defined as a two-sided p-value < 0.05. Similarly, the control group showed an increase in mean ulnar variance from 0.769 mm to 1.002 mm without statistical significance (p = 0.068), while the ulnolunate distance significantly decreased from 4.648 mm to 3.525 mm (p = 0.001). Crucially, when comparing the magnitude of change (delta) between the two groups, there were no statistically significant differences in either ulnar variance or ulnolunate distance. (Table 3) Representative preoperative CT images for the cyst(+) and cyst(–) groups are shown for direct comparison (Figure 4). Regarding the anatomical location of the cysts, 21 patients (75%) had cysts on the dorsal side, 4 patients (14%) on the palmar side, and 3 patients (11%) were classified as indeterminate. (Table 4) Thus, dorsal side cysts were predominant in our study population.
Surgeries 07 00039 i001

4. Discussion

Recent studies have emphasized the importance of standardizing radiographic measurements in distal radius fractures to improve the reliability of commonly used parameters. For example, Kitidumrongsook et al. proposed using the ulnar long axis as an alternative reference to enhance measurement agreement for key indices such as radial height, radial inclination, and ulnar variance [7]. In addition, Kramer et al. reported that certain extra-articular radiographic parameters may differ between plain radiographs and CT, underscoring potential variability depending on the imaging modality [8].
The accurate measurement of ulnar variance in patients with distal radius fractures is often challenging and time-consuming due to factors such as rotation and projection artifacts. To address this issue, Garon and Kleinman [9] reported that the ulnolunate distance demonstrates reliable reproducibility comparable to ulnar variance and can serve as an effective alternative parameter for assessment. Consistent with their suggestions, we utilized the ulnolunate distance as a complementary parameter. While ulnar variance did not show a statistically significant change in our series, the ulnolunate distance significantly decreased in both groups postoperatively. This suggests that ulnolunate distance may be a more sensitive indicator of subtle radiologic changes in the ulnocarpal relationship following fracture fixation. One possible explanation is that ULD captures subtle changes at the ulnar head–lunate interface, particularly at the ulnar corner of the lunate, which is the conceptual site where minor collapse or altered ulnocarpal mechanics could occur. In contrast, ulnar variance can be more susceptible to projection-/rotation-related measurement variability and may fail to detect small postoperative shifts.
Biomechanically, positive ulnar variance is known to have deleterious effects on the distal radius. Casagrande et al. [5] demonstrated in a cadaveric study that increased ulnar variance correlates with decreased cortical bone mineral density in the radius, leading to a reduced load-to-failure threshold. Furthermore, af Ekenstam et al. [6] showed that load distribution across the wrist shifts significantly depending on ulnar variance. Based on these principles, we hypothesized that lunate ulnar corner cysts may serve as a radiologic marker of localized ulnocarpal loading/stress concentration and could be associated with different postoperative radiologic trajectories (ulnar variance and ulnolunate distance). We postulated that this functional alteration could lead to localized osteopenia, thereby compromising the maintenance of reduction and resulting in greater lunate fossa collapse.
However, our results did not support this hypothesis. The changes in ulnar variance and ulnolunate distance were not statistically different between the cyst group and the control group. These findings suggest that the presence of these cysts may not be strongly associated with greater subsidence or loss of reduction in our cohort; however, given the sample size, subtle between-group differences cannot be completely excluded. It is also possible that the rigid fixation provided by the volar locking plate (DSS system) effectively neutralized any structural weakness caused by the cyst, thereby preventing radiologic collapse despite the potential compromise in bone density.
The etiology of these cysts is another critical consideration. Lunate subchondral cysts can be associated with symptomatic ulnar impaction syndrome or simply represent asymptomatic degenerative changes [2,10]. Clinical ambiguity often remains regarding whether these cysts are symptomatic prior to a fracture event. Rhee et al. [1] differentiated these lesions based on location, reporting that cysts on the palmar side are frequently associated with symptomatic ulnar impaction, whereas those on the dorsal side are commonly found in acute distal radius fractures and are often asymptomatic. In our study, 75% of the cysts were located on the dorsal side, and the mean age of our patients was 69.5 years. This demographic and radiologic pattern suggests that the cysts observed in our cohort were likely senile or osteoarthritic changes [4,11,12] rather than pathologic lesions caused by ulnar impaction syndrome. Accordingly, these cysts in elderly patients may often be incidental findings rather than a direct indicator of impaired subchondral support that would necessitate a change in fixation strategy.
Clinical implications: Incidental lunate ulnar corner subchondral cysts identified on preoperative CT should not, by themselves, mandate an alternative fixation strategy for distal radius fractures treated with the DSS technique. Rather, our findings support aiming for standard anatomic reduction without routine “over-lengthening” solely due to the presence of cysts. In postoperative follow-up, surgeons may place additional attention on ulnocarpal alignment (including ulnolunate distance) and ulnar-sided symptoms. When clinically meaningful ulnar-sided wrist pain persists or when there is concern for ulnocarpal overload, additional evaluation and symptom-guided management may be considered.
This study has several limitations. First, the sample size was relatively small and the mean follow-up period was short, which may limit the ability to detect very small between-group differences, particularly for ulnar variance. In addition, because ulnar variance changes and subtle lunate fossa subsidence may evolve over a longer time course, our findings primarily reflect short-term radiologic trajectories after fixation. Accordingly, non-significant between-group differences should be interpreted cautiously with consideration of potential Type II error and the possibility that cyst-related effects could emerge with longer-term follow-up. Second, the study was retrospective in design. Third, although reduction quality is commonly assessed using parameters such as radial inclination, radial height, and volar tilt, these measurements were not systematically available in a standardized manner for all patients in this retrospective dataset and therefore could not be included in the comparative analysis. In addition, we did not quantify lunate-fossa-specific fixation characteristics (e.g., subchondral rafting screw number/position or direct lunate facet support), and AO classification may not fully capture lunate facet/lunate fossa involvement. Fourth, although cysts were identified on preoperative CT, postoperative cyst status (e.g., healing or enlargement) could not be evaluated as CT scans were not routinely performed during follow-up. Finally, we focused solely on radiologic parameters without correlating them with clinical outcomes such as wrist pain, range of motion, or grip strength. Therefore, the present findings should be interpreted as radiologic observations, and future studies incorporating clinical outcomes (e.g., wrist pain, range of motion, grip strength, and patient-reported outcome measures) are needed to establish clinical significance. As Xu et al. [13] noted, radiologic variance does not always correlate perfectly with functional outcomes. Future studies with larger cohorts and long-term clinical evaluations are needed to further validate these findings.

5. Conclusions

In elderly patients with distal radius fractures, subchondral cysts located at the ulnar corner of the lunate, particularly those on the dorsal side, are likely degenerative in nature and do not adversely affect the maintenance of reduction. Our data do not support routine aggressive radial lengthening or over-correction solely based on the presence of incidental lunate ulnar corner cysts, as this may conflict with fracture healing principles. However, for younger patients or those with cysts located on the palmar side, surgeons should strive for precise anatomical reduction to prevent potential ulnocarpal abutment, while avoiding excessive distraction that may hinder union. In summary, incidental lunate cysts in the elderly should not be considered a primary factor dictating surgical strategy.

Author Contributions

Conceptualization, C.-H.L.; methodology, C.-H.L.; software, B.-J.L.; validation, C.-H.L., B.-J.L. and W.J.; formal analysis, C.-H.L.; investigation, B.-J.L.; resources, B.-J.L.; data curation, W.J.; writing—original draft preparation, C.-H.L.; writing—review and editing, C.-H.L.; visualization, B.-J.L.; supervision, C.-H.L.; project administration, C.-H.L. All authors have read and agreed to the published version of the manuscript.

Funding

This research received no external funding.

Institutional Review Board Statement

The study was conducted in accordance with the Declaration of Helsinki, and approved by the Institutional Review Board of Daejeon Sun Hospital, Younghoon Medical Foundation [IRB No.DSH-IN-22-13] on 27 March 2023 for studies involving humans.

Informed Consent Statement

The requirement for written informed consent was waived by the IRB due to the retrospective nature of the study.

Data Availability Statement

The data presented in this study are not publicly available due to privacy and ethical restrictions but are available from the corresponding author on reasonable request.

Conflicts of Interest

The authors declare no conflicts of interest.

Abbreviations

AO/OTAArbeitsgemeinschaft für Osteosynthesefragen/Orthopaedic Trauma Association (fracture classification).
BMIBody mass index
CTComputed tomography
DSSDouble-tiered Subchondral Support (procedure/technique)
IRBInstitutional Review Board
K-wireKirschner wire
ORIFOpen reduction and internal fixation
PAPosteroanterior (radiograph/view)
ROMRange of motion
SPSSStatistical Package for the Social Sciences
ULDUlnolunate distance
UVUlnar variance
ΔULDChange (delta) in ulnolunate distance
ΔUVChange (delta) in ulnar variance

References

  1. Rhee, S.–M.; Lee, J.-Y.; Song, K.-S.; Lee, G.Y.; Lee, J.S. Lunate subchondral cysts: Are there specific radiologic findings for patients with symptomatic ulnocarpal impaction? J. Orthop. Sci. 2019, 24, 636–642. [Google Scholar] [CrossRef] [PubMed]
  2. Cerezal, L.; Piñal, F.; Abascal, F.; García-Valtuille, R.; Pereda, T.; Canga, A. Imaging findings in ulnar-sided wrist impaction syndromes. RadioGraphics 2002, 22, 105–121. [Google Scholar] [CrossRef] [PubMed]
  3. Kim, J.; Gong, H.S.; Baek, G.H. Updates on ulnar impaction syndrome. J. Korean Orthop. Assoc. 2017, 52, 103–111. [Google Scholar] [CrossRef][Green Version]
  4. Li, G.; Yin, J.; Gao, J.; Cheng, T.S.; Pavlos, N.J.; Zhang, C.; Zheng, M.H. Subchondral bone in osteoarthritis: Insight into risk factors and microstructural changes. Arthritis Res. Ther. 2013, 15, 223. [Google Scholar] [CrossRef] [PubMed]
  5. Casagrande, D.J.; Morris, R.P.; Carayannopoulos, N.L.; Buford, W.L. Relationship between ulnar variance, cortical bone density, and load to failure in the distal radius at the typical site of Fracture Initiation. J. Hand Surg. 2016, 41, e461–e468. [Google Scholar] [CrossRef] [PubMed]
  6. af Ekenstam, F.W.; Palmer, A.K.; Glisson, R.R. The load on the radius and ulna in different positions of the wrist and forearm: A cadaver study. Acta Orthop. Scand. 1984, 55, 363–365. [Google Scholar] [CrossRef] [PubMed]
  7. Kitidumrongsook, P.; Luangjarmekorn, P.; Kuptniratsaikul, V.; Teeragananan, T.; Chaitantipongse, S. Measurement of Radiological Parameters of Distal Radius Fracture Using the Ulnar Axis Compared with the Radial Axis. J. Hand Surg. (Asian-Pac. Vol.) 2024, 29, 140–147. [Google Scholar] [CrossRef] [PubMed]
  8. Kramer, S.B.; Selles, C.A.; Bakker, D.; Schep, N.W.L. Comparison of Extra-Articular Radiographic Parameters of Distal Radius Fractures on Plain Radiographs and CT Scans. J. Hand Surg. (Eur. Vol.) 2022, 47, 142–149. [Google Scholar] [CrossRef] [PubMed]
  9. Garon, M.T.; Kleinman, W.B. Ulnolunate distance and lunate height: Reliability testing. J. Hand Surg. 2019, 44, 988-e1. [Google Scholar] [CrossRef] [PubMed]
  10. Tomaino, M.M. Ulnar impaction syndrome in the ulnar negative and neutral wrist. J. Hand Surg. 1998, 23, 754–757. [Google Scholar] [CrossRef] [PubMed]
  11. Sayit, E.; TanrivermisSayit, A.; Bagir, M.; Terzi, Y. Ulnar variance according to gender and side during aging: An analysis of 600 wrists. Orthop. Traumatol. Surg. Res. 2018, 104, 865–869. [Google Scholar] [CrossRef] [PubMed]
  12. Dürr, H.; Martin, H.; Pellengahr, C.; Schlemmer, M.; Maier, M.; Jansson, V. The cause of subchondral bone cysts in osteoarthrosis: A finite element analysis. Acta Orthop. Scand. 2004, 75, 554–558. [Google Scholar] [CrossRef] [PubMed]
  13. Xu, J.; Qu, Y.; Huan, L.; Chen, Q.; Zheng, C.; Bin, W.; Pengfei, S. The severity of ulnar variance compared with contralateral hand: Its significance on postoperative wrist function in patients with distal radius fracture. Sci. Rep. 2019, 9, 2226. [Google Scholar] [CrossRef] [PubMed]
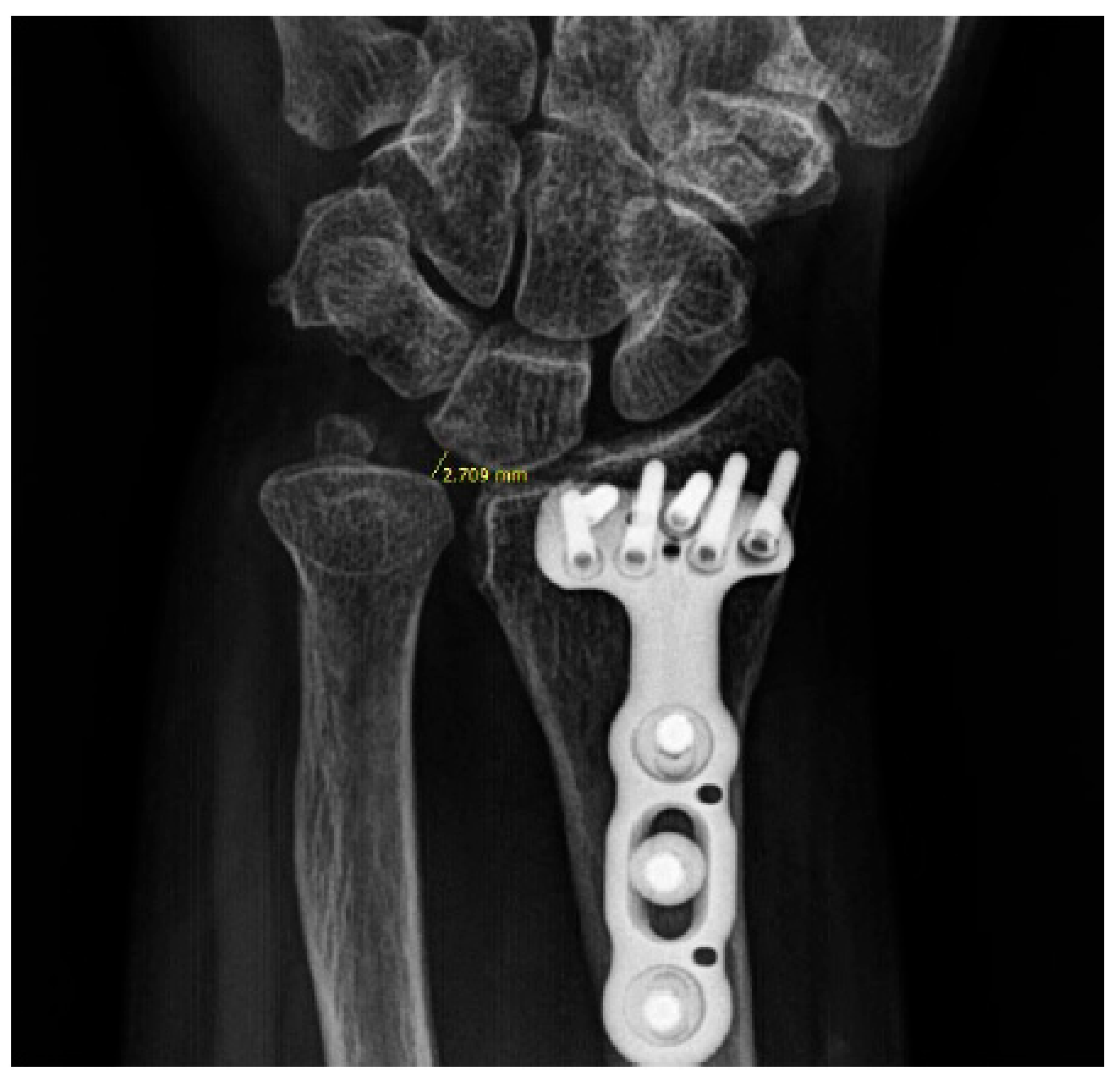
Figure 1. Measurement of ulnar variance.
Figure 1. Measurement of ulnar variance.
Surgeries 07 00039 g001
Figure 2. Measurement of ulnolunate distance.
Figure 2. Measurement of ulnolunate distance.
Surgeries 07 00039 g002
Figure 3. Location-specific distribution of lunate subchondral cyst. (A) Dorsal cyst on sagittal CT. (B) Unclassified cyst when localization was indeterminate. (C) Palmar cyst on sagittal CT.
Figure 3. Location-specific distribution of lunate subchondral cyst. (A) Dorsal cyst on sagittal CT. (B) Unclassified cyst when localization was indeterminate. (C) Palmar cyst on sagittal CT.
Surgeries 07 00039 g003
Figure 4. Representative preoperative CT images of patients with and without lunate ulnar corner subchondral cysts. (A) Example of a lunate ulnar corner subchondral cyst. (B) Representative image from the cyst(–) group showing no subchondral cyst at the lunate ulnar corner.
Figure 4. Representative preoperative CT images of patients with and without lunate ulnar corner subchondral cysts. (A) Example of a lunate ulnar corner subchondral cyst. (B) Representative image from the cyst(–) group showing no subchondral cyst at the lunate ulnar corner.
Surgeries 07 00039 g004
Table 1. Demographic characteristics.
Table 1. Demographic characteristics.
Variable Lunate Cyst GroupNon Cyst Groupp-Value
Number of patients (n) 28 28
Male/female (n) 9/19 9/19
Mean age (yrs) 69.9 (51–90) 69.1 (53–89) 0.522
Body mass index 25.3 (18.6–32.5) 24.5 (18.9–30.2) 0.407
Involved site
(Rt./Lt. hand)
17/11 19/9 0.478
Surgery time, m 63.0 (52–71) 62.0 (57–66) 0.065
AO classification,
A/B/C
5/0/23 5/1/22 0.552
Table 2. Comparison of measurements for ulnarvariance, ulnolunate distance.
Table 2. Comparison of measurements for ulnarvariance, ulnolunate distance.
Variable Lunate Cyst GroupNon-Cyst Group
Ulnolunate distance (mm)Postoperative4.790 4.648
Last follow-up3.7993.525
p-value *<0.0010.001
Ulnar variance (mm)Postoperative0.5920.769
Last follow-up0.7831.002
p-value *0.1810.068
* Paired t-test was used for statistical analysis within groups.
Table 3. Comparison of Δulnar variance, Δulnolunate distance.
Table 3. Comparison of Δulnar variance, Δulnolunate distance.
Variable Lunate Cyst GroupNon-Cyst Groupp-Value
ΔUV 0.191 0.233 0.557
ΔULD 0.991 1.123 0.681
Table 4. Position of lunate subchondral cyst.
Table 4. Position of lunate subchondral cyst.
Position of Lunate Cyst Number of Patients
Dorsal side (%) 75% (21 of 28)
Palmar side (%) 14.2% (4 of 28)
Not classified (%) 10.7% (3 of 28)
Disclaimer/Publisher’s Note: The statements, opinions and data contained in all publications are solely those of the individual author(s) and contributor(s) and not of MDPI and/or the editor(s). MDPI and/or the editor(s) disclaim responsibility for any injury to people or property resulting from any ideas, methods, instructions or products referred to in the content.

Share and Cite

MDPI and ACS Style

Lee, B.-J.; Jin, W.; Lee, C.-H. Comparative Study of Radiologic Changes in Ulnar Variance and Ulnolunate Distance After Distal Radius Fracture Surgery: Patients with vs. Without Lunate Ulnar Corner Cysts. Surgeries 2026, 7, 39. https://doi.org/10.3390/surgeries7010039

AMA Style

Lee B-J, Jin W, Lee C-H. Comparative Study of Radiologic Changes in Ulnar Variance and Ulnolunate Distance After Distal Radius Fracture Surgery: Patients with vs. Without Lunate Ulnar Corner Cysts. Surgeries. 2026; 7(1):39. https://doi.org/10.3390/surgeries7010039

Chicago/Turabian Style

Lee, Bong-Ju, Wongyu Jin, and Chul-Hyung Lee. 2026. "Comparative Study of Radiologic Changes in Ulnar Variance and Ulnolunate Distance After Distal Radius Fracture Surgery: Patients with vs. Without Lunate Ulnar Corner Cysts" Surgeries 7, no. 1: 39. https://doi.org/10.3390/surgeries7010039

APA Style

Lee, B.-J., Jin, W., & Lee, C.-H. (2026). Comparative Study of Radiologic Changes in Ulnar Variance and Ulnolunate Distance After Distal Radius Fracture Surgery: Patients with vs. Without Lunate Ulnar Corner Cysts. Surgeries, 7(1), 39. https://doi.org/10.3390/surgeries7010039

Article Metrics

Back to TopTop