Thoracic Extradural Psammomatous Meningioma on T6–T8: A Case Report and Literature Review
Abstract
1. Introduction
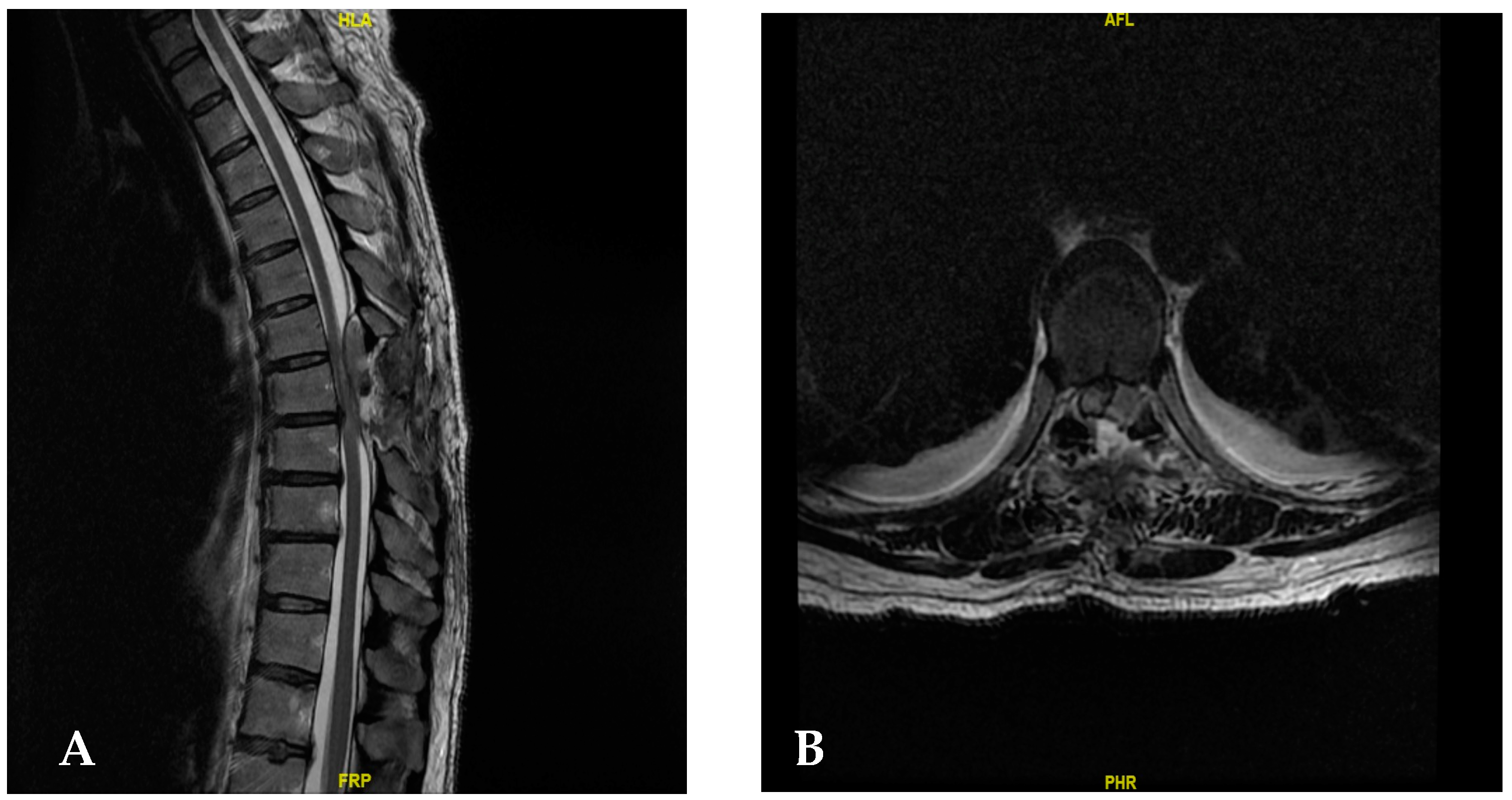
2. Case Presentation
3. Discussion
4. Conclusions
Author Contributions
Funding
Institutional Review Board Statement
Informed Consent Statement
Data Availability Statement
Conflicts of Interest
References
- Ledbetter, L.N.; Leever, J.D. Imaging of Intraspinal Tumors. Radiol. Clin. N. Am. 2019, 57, 341–357. [Google Scholar] [CrossRef] [PubMed]
- Schwake, M.; Adeli, A.; Sporns, P.; Ewelt, C.; Schmitz, T.; Sicking, J.; Hess, K.; Spille, D.C.; Paulus, W.; Stummer, W.; et al. Spinal meningiomas–Risks and potential of an increasing age at the time of surgery. J. Clin. Neurosci. 2018, 57, 86–92. [Google Scholar] [CrossRef] [PubMed]
- Kumar, N.; Tan, W.L.B.; Wei, W.; Vellayappan, B.A. An overview of the tumors affecting the spine-Inside to out. Neurooncol. Pract. 2020, 7, i10–i17. [Google Scholar] [CrossRef] [PubMed]
- Rodriguez, A.; Nunez, L.; Timaran-Montenegro, D.; Riascos, R. Imaging of Common and Infrequent Extradural Tumors. Neuroimaging Clin. N. Am. 2023, 33, 443–457. [Google Scholar] [CrossRef]
- Bezu, M.T.; Nour, A.S.; Tefera, T.G.; Shumbash, K.Z.; Woldemariam, M.A. Preliminary Review of Spine Tumor Radiologic, Intra-Operative and Histopathology Findings, Addis Ababa, Ethiopia. Ethiop. J. Health Sci. 2022, 32, 41–46. [Google Scholar] [CrossRef]
- Guo, L.; Holdefer, R.N.; Kothbauer, K.F. Monitoring spinal surgery for extramedullary tumors and fractures. Handb. Clin. Neurol. 2022, 186, 245–255. [Google Scholar] [CrossRef]
- Bettaswamy, G.; Ambesh, P.; Das, K.K.; Sahu, R.; Srivastava, A.; Mehrotra, A.; Jaiswal, A.; Jaiswal, S.; Behari, S. Extradural spinal meningioma: Revisiting a rare entity. J. Craniovertebral Junction Spine 2016, 7, 65–68. [Google Scholar] [CrossRef]
- Park, B.J.; Dougherty, M.C.; Noeller, J.; Nourski, K.V.; Gold, C.J.; Menezes, A.H.; Hitchon, C.A.; Bathla, G.; Yamaguchi, S.; Hitchon, P.W. Spinal Meningioma in Adults: Imaging Characteristics, Surgical Outcomes, and Risk Factors for Recurrence. World Neurosurg. 2022, 164, e852–e860. [Google Scholar] [CrossRef]
- Matsuda, S.; Kajihara, Y.; Abiko, M.; Mitsuhara, T.; Takeda, M.; Karlowee, V.; Yamaguchi, S.; Amatya, V.J.; Kurisu, K. Concurrent Schwannoma and Meningioma Arising in the Same Spinal Level: A Report of Two Cases. NMC Case Rep. J. 2018, 5, 105–109. [Google Scholar] [CrossRef]
- Garaud, S.; Boto, J.; Egervari, K.; Vargas, M.I. Extradural Spinal Meningioma Mimicking a Schwannoma: Magnetic Resonance Imaging Findings. Can. J. Neurol. Sci. 2022, 49, 467–469. [Google Scholar] [CrossRef]
- Ho, U.C.; Chang, K.; Lin, Y.H.; Huang, Y.C.; Tsuang, F.Y. Primary intraosseous meningioma of the vertebra: Illustrative case. J. Neurosurg. Case Lessons 2021, 2, CASE213621. [Google Scholar] [CrossRef] [PubMed]
- Utsunomiya, Y.; Mori, N.; Matsui, Y.; Katsushima, H.; Hashimoto, K.; Furuta, A. Intraosseous metaplastic meningioma: A case report. Radiol. Case Rep. 2021, 16, 3300–3303. [Google Scholar] [CrossRef]
- Sivaraju, L.; Thakar, S.; Ghosal, N.; Hegde, A.S. Cervical En-Plaque Extradural Meningioma Involving Brachial Plexus. World Neurosurg. 2017, 108, 994.e7–994.e10. [Google Scholar] [CrossRef] [PubMed]
- Tulloch, I.; Georges, H.; Phadke, R.; Hardwidge, C. A thoracic extradural chordoid meningioma: A unique case report and literature review. Br. J. Neurosurg. 2020, 34, 112–114. [Google Scholar] [CrossRef]
- Lois, L.A.; Ratnakar, S.P.; Leong, C.K.; Yian, S.Y. Radiology Case. Radiol. Cases 2018, 12, 1–10. [Google Scholar]
- Yaldiz, C.; Asil, K.; Ceylan, D.; Erdem, S.A. A Dumbbell-shaped Meningioma in the Thoracic Spine: A Case Report. J. Spine 2014, 3, 168. [Google Scholar] [CrossRef]
- Hersh, E.H.; Sarkiss, C.A.; Ladner, T.R.; Lee, N.; Kothari, P.; Lakomkin, N.; Caridi, J.M. Perioperative Risk Factors for Thirty-Day Morbidity and Mortality in the Resection of Extradural Thoracic Spine Tumors. World Neurosurg. 2018, 114, e950–e956. [Google Scholar] [CrossRef] [PubMed]
- Tuli, J.; Drzymalski, D.M.; Lidov, H.; Tuli, S. Extradural in plaque spinal meningioma with intraneural invasion. World Neurosurg. 2012, 77, 202.e5–202.e13. [Google Scholar] [CrossRef]
- Koeller, K.K.; Shih, R.Y. Intradural extramedullary spinal neoplasms: Radiologic-pathologic correlation. Radiographics 2019, 39, 468–490. [Google Scholar] [CrossRef]
- Ghanchi, H.; Hariri, O.R.; Takayanagi, A.; Li, G. Multiple Extradural Spinal Meningiomas in a Patient with Acquired Immunodeficiency Syndrome: Case Report and Literature Review. World Neurosurg. 2018, 117, 366–370. [Google Scholar] [CrossRef]
- Yokoya, S.; Hisaoka, S.; Fujiwara, G.; Oka, H.; Hino, A. Posttraumatic rapid growing extradural meningioma: A case report on the effectiveness of echosonography. Surg. Neurol. Int. 2022, 13, 61. [Google Scholar] [CrossRef] [PubMed]
- Seo, E.H.; Cha, J.G.; Yoon, Y.S.; Moon, A.R. Extradural Spinal Lymphoplasmacyte-Rich Meningioma in the Thoracic Spine: A Case Report and Literature Review. J. Korean Soc. Radiol. 2022, 83, 924–930. [Google Scholar] [CrossRef] [PubMed]
- Jeong, S.K.; Seong, H.Y.; Roh, S.W. Extra-intradural Spinal Meningioma: A Case Report. Korean J. Spine 2014, 11, 202–204. [Google Scholar] [CrossRef]
- Frank, B.L.; Harrop, J.S.; Hanna, A.; Ratliff, J. Cervical Extradural Meningioma: Case Report and Literature Review. J. Spinal Cord Med. 2008, 31, 302–305. [Google Scholar] [CrossRef]
- Suzuki, A.; Nakamura, H.; Konishi, S.; Yamano, Y. Dumbbell-shaped meningioma with cystic degeneration in the thoracic spine: A case report. Spine 2002, 27, E193–E196. [Google Scholar] [CrossRef]
- Restrepo, C.S.; Herrera, D.A.; Lemos, J.A. Extraforaminal meningioma with extrapleural space extension. Am. J. Roentgenol. 2006, 186, 1314–1316. [Google Scholar] [CrossRef] [PubMed]
- Santiago, B.M.; Rodeia, P.; Cunha, E.; Sa, M. Extradural thoracic spinal meningioma. Neurol India 2009, 57, 98. [Google Scholar] [CrossRef] [PubMed]
- Buchfelder, M.; Nomikos, P.; Paulus, W.; Rupprecht, H. Spinal-thoracic dumbbell meningioma: A case report. Spine 2001, 26, 1500–1504. [Google Scholar] [CrossRef]
- Kim, M.S.; Eun, J.P.; Park, J.S. A dumbbell-shaped meningioma mimicking a schwannoma in the thoracic spine. J. Korean Neurosurg. Soc. 2011, 50, 264–267. [Google Scholar] [CrossRef]
- Yang, Y.; Li, D.; Cao, X.Y.; Hao, S.Y.; Wang, L.; Wu, Z.; Zhang, J.T. Clinical features, treatment, and prognostic factors of chordoid meningioma: Radiological and pathological features in 60 cases of chordoid meningioma. World Neurosurg. 2016, 93, 198–207. [Google Scholar] [CrossRef]
- Khayal, H.B.; Abograra, A.; Iashhab, M. Extradural spinal meningioma in a nine-year-old girl: A case report and review of the literature. Open Access J. Neurol. Neurosurg. 2017, 5, 555659. [Google Scholar]
- Hong, W.; Kim, E.S.; Lee, Y.; Lee, K.; Koh, S.H.; Song, H.; Kwon, M.J. Spinal Extradural Meningioma: A Case Report and Review of the Literature. J. Korean Soc. Radiol. 2018, 79, 11–17. [Google Scholar] [CrossRef]
- Wang, Z.L.; Mou, J.H.; Sun, D.; Liu, P. Case Report: Upper Thoracic Purely Extradural Spinal Meningioma with Nerve Root Attachment: A Case Report and Literature Review. Front. Surg. 2022, 16, 918094. [Google Scholar] [CrossRef]
- Gader, G.; Masmoudi, M.; Ghedira, K.; Krifa, M.I.; Chelly, I.; Zammel, I.; Badri, M. Lumbar spine epidural meningioma: Report of a rare case. Spinal Cord Ser. Cases 2023, 9, 53. [Google Scholar] [CrossRef] [PubMed]
- Redhu, R.; Pavithra, H.N. Spinal extradural meningioma: Report of two cases. J. Craniovertebral Junction Spine 2024, 15, 254–257. [Google Scholar] [CrossRef]
- Arvind, V.; Nevzati, E.; Ghaly, M.; Nasim, M.; Farshad, M.; Guggenberger, R.; Sciubba, D.; Spiessberger, A. Primary extradural tumors of the spinal column: A comprehensive treatment guide for the spine surgeon based on the 5th Edition of the World Health Organization bone and soft-tissue tumor classification. J. Craniovertebral Junction Spine 2021, 12, 336–360. [Google Scholar] [CrossRef]
- Chay, W.; Kirshblum, S. Predicting Outcomes After Spinal Cord Injury. Phys. Med. Rehabil. Clin. N. Am. 2020, 31, 331–343. [Google Scholar] [CrossRef]




| Author Year | Age/Gender | Location (Level) | Examination (Presentation) | Intervention | Histopathology | Result |
|---|---|---|---|---|---|---|
| [25] | 58/Male | T10, T11, T12 | Normal examination, abnormal mass in thoracic X-ray | T11–12 Hemi-laminectomy + thoracoscopy | Fibroblastic meningioma | Complete excision |
| [26] | 57/Female | C7–T2 | Loss of strength in lower extremities. Increased reflexes, | Total laminectomy + adjuvant RT | Psamomatous meningioma, infiltration | Complete excision, no recurrence |
| [24] | 45/Female | C5–C7 | Posterior cervicothoracic chronic pain Mild bladder disturbance | C5–C7 laminectomy and left-sided foraminotomies with C5–T1 instrumentation | Psamomatous meningioma | No recurrence, No symptoms |
| [27] | 42/Male | T2–T3 | Paraparesis | T2–T3 laminectomy | Psamomatous meningioma | Complete excision |
| [28] | 72/Female | Paresis of the lower extremities | Laminectomy + Thoracotomy | Meningioma | Complete excision | |
| [29] | 50/Male | T6–T7 | Paresthesia | T6 hemi-laminectomy | Grade 1 meningothelial meningioma | Complete resection |
| [18] | 42/Female | T5–T6 | Progressive weakness in the lower extremities Numbness below T3 over the course of 4 months | T4–T6 laminectomy | WHO grade I meningioma with nerve root invasion | Full recovery of motor function |
| [16] | 48/Female | C7–T2 | Hypoesthesia below T1 | T1 total laminectomy | Psamomatous meningioma | Complete excision |
| [23] | 49/Female | T12–L1 | Leg pain for 5 years Hyperesthesia of the left leg without motor deficit | T12 total Laminectomy | Psamomatous meningioma | Not reported |
| [30] | 55/Female | T6–T8 | 2-year progressive back pain Weakness on both legs | T6–T8 laminectomy | Angiomatous meningioma | Improvement of motor weakness |
| [7] | 50/Male | C1–C4 | Neck pain associated with tingling, Burning paresthesia in all limbs for 8 months, Progressive spastic quadriparesis with bladder disturbances during the last week. | C2–C4 laminectomy | WHO grade I Meningothelial Meningioma | Completely symptom-free |
| [31] | 9/Female | T5–T6 | Paraparesis of the lower limbs with bilateral foot dropInability to walk | T5–T7 laminectomy | Chordoid meningioma | Improvement of motor weakness |
| [32] | 58/Female | T7 | Paraparesis of both legs and had difficulty maintaining her balance due to weakness. | T7 partial laminectomy | WHO grade II atypical meningioma | Improvement of motor weakness |
| [33] | 39/Male | T1–T3 | Pain in his left chest and back with | T1–T3 Partial laminectomy | Grade 1 meningothelial meningioma | Improvement of symptoms |
| [22] | 22/Female | T9–T10 | back pain for 2 months and weakness and sensory loss for 2 weeks | T9 Right unilateral laminectomy | Lymphoplasmacyte-Rich Meningioma | Not reported |
| [34] | 64/male | L3–L4 | Cauda equine syndrome | L3–L4 Laminectomy | benign meningioma | Improvement of symptoms |
| [35] | 45/female | C7–T2 | 1-year history of progressive weakness and paraesthesia of both lower legs | C7–T2 laminectomy | WHO grade 1 meningioma | Improvement of motor weakness |
| [35] | 50/Female | T2–T3 | progressive weakness and numbness in both lower limbs | T2–T3 laminectomy | Psamomatous meningioma | Improvement of motor weakness, recurrence of the lesion |
Disclaimer/Publisher’s Note: The statements, opinions and data contained in all publications are solely those of the individual author(s) and contributor(s) and not of MDPI and/or the editor(s). MDPI and/or the editor(s) disclaim responsibility for any injury to people or property resulting from any ideas, methods, instructions or products referred to in the content. |
© 2024 by the authors. Licensee MDPI, Basel, Switzerland. This article is an open access article distributed under the terms and conditions of the Creative Commons Attribution (CC BY) license (https://creativecommons.org/licenses/by/4.0/).
Share and Cite
Albavera-Gutiérrez, R.R.; Espíndola-Rodríguez, A.; Castro-Fuentes, C.A.; Martínez, A.K.A.; Valencia-Ledezma, O.E.; Salgado-Camacho, J.M.; Mendoza, L.B.; Nava, E.N. Thoracic Extradural Psammomatous Meningioma on T6–T8: A Case Report and Literature Review. Surgeries 2024, 5, 920-928. https://doi.org/10.3390/surgeries5040074
Albavera-Gutiérrez RR, Espíndola-Rodríguez A, Castro-Fuentes CA, Martínez AKA, Valencia-Ledezma OE, Salgado-Camacho JM, Mendoza LB, Nava EN. Thoracic Extradural Psammomatous Meningioma on T6–T8: A Case Report and Literature Review. Surgeries. 2024; 5(4):920-928. https://doi.org/10.3390/surgeries5040074
Chicago/Turabian StyleAlbavera-Gutiérrez, Roberto Renan, Arturo Espíndola-Rodríguez, Carlos Alberto Castro-Fuentes, Ana Karen Aguayo Martínez, Omar Esteban Valencia-Ledezma, Juan Manuel Salgado-Camacho, Luis Bernal Mendoza, and Ernesto Nuñez Nava. 2024. "Thoracic Extradural Psammomatous Meningioma on T6–T8: A Case Report and Literature Review" Surgeries 5, no. 4: 920-928. https://doi.org/10.3390/surgeries5040074
APA StyleAlbavera-Gutiérrez, R. R., Espíndola-Rodríguez, A., Castro-Fuentes, C. A., Martínez, A. K. A., Valencia-Ledezma, O. E., Salgado-Camacho, J. M., Mendoza, L. B., & Nava, E. N. (2024). Thoracic Extradural Psammomatous Meningioma on T6–T8: A Case Report and Literature Review. Surgeries, 5(4), 920-928. https://doi.org/10.3390/surgeries5040074

