Successful Experience of Managing Resistant Antibody-Mediated Cardiac Allograft Rejection with Extracorporeal Photopheresis
Abstract
1. Introduction
2. Materials and Methods
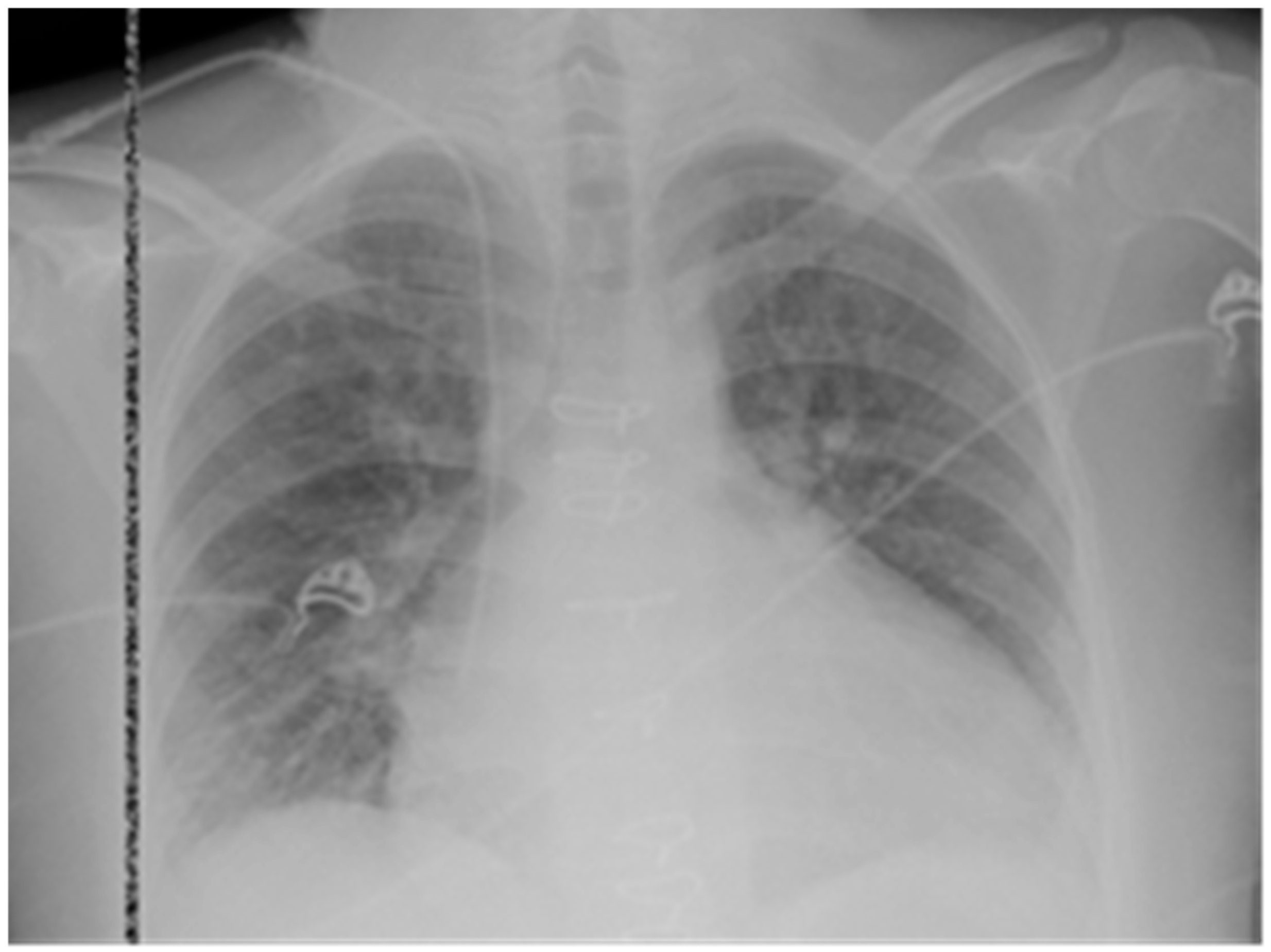
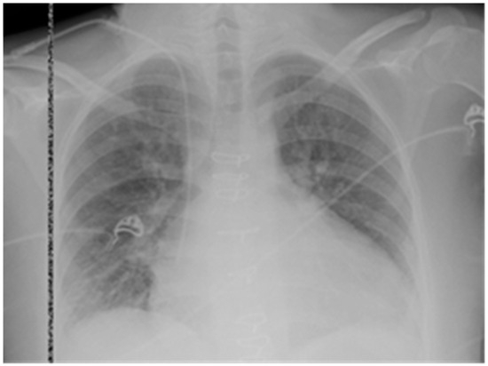
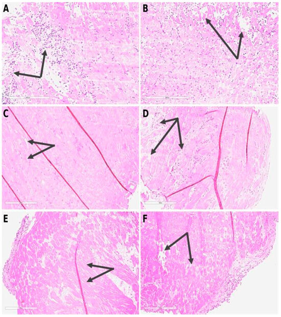
3. Results
4. Discussion
5. Conclusions
Author Contributions
Funding
Institutional Review Board Statement
Informed Consent Statement
Data Availability Statement
Acknowledgments
Conflicts of Interest
Abbreviations
| AFib | Atrial fibrillation |
| AIVA | Anterior interventricular artery |
| AMR | Antibody-mediated rejection |
| APC | Antigen-presenting cells |
| BP | Blood pressure |
| CA | Circumflex artery |
| CAG | Coronary angiography |
| CAV | Cardiac allograft vasculopathy |
| CMNC | Continuous mononuclear cell collection |
| CT | Computed tomography |
| DC | Dendritic cells |
| DSA | Donor-specific antibodies |
| ECMO | Extracorporeal membrane oxygenation |
| ECP | Extracorporeal photopheresis |
| EMB | Endomyocardial biopsy |
| GFR | Glomerular filtration rate |
| HTx | Heart transplantation |
| IST | Immunosuppressive therapy |
| IVIG | Intravenous immunoglobulin |
| LCA | Left coronary artery |
| LVEF | Left ventricular ejection fraction |
| MNC | Mononuclear cells |
| RCA | Right coronary artery |
| TCAD | Transplant coronary artery disease |
| TTE | Transthoracic echocardiography |
| UVA | Ultraviolet A |
| WBC | White blood cells |
References
- Hammond, M.E.H.; Kfoury, A.G. Antibody-mediated rejection in the cardiac allograft: Diagnosis, treatment and future considerations. Curr. Opin. Cardiol. 2017, 32, 326–335. [Google Scholar] [CrossRef] [PubMed]
- Colvin, M.M.; Cook, J.L.; Chang, P.; Francis, G.; Hsu, D.T.; Kiernan, M.S.; Kobashigawa, J.A.; Lindenfeld, J.A.; Masri, S.C.; Miller, D.; et al. Antibody-mediated rejection in cardiac transplantation: Emerging knowledge in diagnosis and management: A scientific statement from the American Heart Association: Endorsed by the international society for heart and lung transplantation. Circulation 2015, 131, 1608–1639. [Google Scholar] [CrossRef]
- Montgomery, R.A.; Loupy, A.; Segev, D.L. Antibody-mediated rejection: New approaches in prevention and management. Am. J. Transplant. 2018, 18, 3–17. [Google Scholar] [CrossRef]
- Slomovich, S.; Bell, J.; Clerkin, K.J.; Habal, M.V.; Griffin, J.M.; Raikhelkar, J.K.; Fried, J.A.; Vossoughi, S.R.; Finnigan, K.; Latif, F.; et al. Extracorporeal photopheresis and its role in heart transplant rejection: Prophylaxis and treatment. Clin. Transplant. 2021, 35, e14333. [Google Scholar] [CrossRef]
- Han, P.; Hanlon, D.; Arshad, N.; Lee, J.S.; Tatsuno, K.; Robinson, E.; Filler, R.; Sobolev, O.; Cote, C.; Rivera-Molina, F.; et al. Platelet P-selectin initiates cross-presentation and dendritic cell differentiation in blood monocytes. Sci. Adv. 2020, 6, eaaz1580. [Google Scholar] [CrossRef]
- Dieterlen, M.T.; Klaeske, K.; Bernhardt, A.A.; Borger, M.A.; Klein, S.; Garbade, J.; Lehmann, S.; Ayuk, F.A.; Reichenspurner, H.; Barten, M.J. Immune Monitoring Assay for Extracorporeal Photopheresis Treatment Optimization After Heart Transplantation. Front. Immunol. 2021, 12, 676175. [Google Scholar] [CrossRef] [PubMed]
- Bojanic, I.; Worel, N.; Pacini, C.P.; Stary, G.; Piekarska, A.; Flinn, A.M.; Schell, K.J.; Gennery, A.R.; Knobler, R.; Lacerda, J.F.; et al. Extracorporeal photopheresis as an immunomodulatory treatment modality for chronic GvHD and the importance of emerging biomarkers. Front. Immunol. 2023, 14, 1086006. [Google Scholar] [CrossRef]
- Thevenet, U.; Daguenet, E.; Beszera, S.M.; Cornillon, J.; Tavernier, E.; Schein, F.; Honeyman, F.; Guyotat, D. Infectious risks in patients treated with extracorporeal photopheresis for graft-versus-host disease: A retrospective cohort study. J. Clin. Apher. 2022, 37, 106–116. [Google Scholar] [CrossRef]
- Gökler, J.; Aliabadi-Zuckermann, A.; Zuckermann, A.; Osorio, E.; Knobler, R.; Moayedifar, R.; Angleitner, P.; Leitner, G.; Laufer, G.; Worel, N. Extracorporeal Photopheresis With Low-Dose Immunosuppression in High-Risk Heart Transplant Patients—A Pilot Study. Transpl. Int. 2022, 35, 10320. [Google Scholar] [CrossRef] [PubMed]
- DeSimone, R.A.; Schwartz, J.; Schneiderman, J. Extracorporeal photopheresis in pediatric patients: Practical and technical considerations. J. Clin. Apher. 2017, 32, 543–552. [Google Scholar] [CrossRef]
- Barten, M.J.; Sax, B.; Schopka, S.; Amarelli, C.; Epailly, E.; Natali, B.; Teszák, T.; Gökler, J.; Borchert, K.; Theil, J.; et al. European multicenter study on the real-world use and clinical impact of extracorporeal photopheresis after heart transplantation. J. Heart Lung Transplant. 2023, 42, 1131–1139. [Google Scholar] [CrossRef]
- Padmanabhan, A.; Connelly-Smith, L.; Aqui, N.; Balogun, R.A.; Klingel, R.; Meyer, E.; Pham, H.P.; Schneiderman, J.; Witt, V.; Wu, Y.; et al. Guidelines on the Use of Therapeutic Apheresis in Clinical Practice—Evidence-Based Approach from the Writing Committee of the American Society for Apheresis: The Eighth Special Issue. J. Clin. Apher. 2019, 34, 171–354. [Google Scholar] [CrossRef]
- Augusto, J.F.; Benden, C.; Diekmann, F.; Zuckermann, A. The value of extracorporeal photopheresis as an immunosuppression-modifying approach in solid organ transplantation: A potential solution to an unmet medical need. Front. Immunol. 2024, 15, 1371554. [Google Scholar] [CrossRef]
- Benazzo, A.; Worel, N.; Schwarz, S.; Just, U.; Nechay, A.; Lambers, C.; Böhmig, G.; Fischer, G.; Koren, D.; Muraközy, G.; et al. Outcome of Extracorporeal Photopheresis as an Add-On Therapy for Antibody-Mediated Rejection in Lung Transplant Recipients. Transfus. Med. Hemotherapy 2020, 47, 205–213. [Google Scholar] [CrossRef]
- Tamain, M.; Sayegh, J.; Lionet, A.; Grimbert, P.; Philipponnet, C.; Hazzan, M.; Augusto, J.F.; Büchler, M.; Merlin, E.; Kosmadakis, G.; et al. Extracorporeal photopheresis for the treatment of graft rejection in 33 adult kidney transplant recipients. Transfus. Apher. Sci. 2019, 58, 515–524. [Google Scholar] [CrossRef] [PubMed]
- Teszak, T.; Assabiny, A.; Kiraly, A.; Tarjanyi, Z.; Parazs, N.; Szakal-Toth, Z.; Hartyanszky, I.; Szabolcs, Z.; Racz, K.; Reti, M.; et al. Extracorporeal photopheresis in the treatment of cardiac allograft rejection: A single-centre experience. Transpl. Immunol. 2023, 79, 101853. [Google Scholar] [CrossRef]
- DeFilippis, E.M.; Clerkin, K.J.; Latif, F.; Raikelkar, J.K.; Topkara, V.K.; Einstein, A.; Sayer, G.T.; Uriel, N.; Weisberg, S.P.; Habal, M.V.; et al. Improvement in Coronary Allograft Vasculopathy Following Treatment with a Regimen Including Extracorporeal Photophoresis in a Heart Transplant Recipient. J. Heart Lung Transplant. 2022, 41, S459. [Google Scholar] [CrossRef]
- Kalinina, O.; Golovkin, A.; Zaikova, E.; Aquino, A.; Bezrukikh, V.; Melnik, O.; Vasilieva, E.; Karonova, T.; Kudryavtsev, I.; Shlyakhto, E. Cytokine Storm Signature in Patients with Moderate and Severe COVID-19. Int. J. Mol. Sci. 2022, 23, 8879. [Google Scholar] [CrossRef]
- Aquino, A.; Abutalimova, N.; Ma, Y.; Ismail-zade, I.; Grebennik, V.; Rubinstein, A.; Kudryavtsev, I.; Zaikova, E.; Sambur, D.; Marichev, A.; et al. Differences in Plasma Extracellular Vesicles of Different Origin in On-Pump Versus Off-Pump Cardiac Surgery. Curr. Issues Mol. Biol. 2024, 46, 13058–13077. [Google Scholar] [CrossRef] [PubMed]
- Altara, R.; Manca, M.; Hessel, M.H.; Gu, Y.; van Vark, L.C.; Akkerhuis, K.M.; Staessen, J.A.; Struijker-Boudier, H.A.J.; Booz, G.W.; Blankesteijn, W.M. CXCL10 Is a Circulating Inflammatory Marker in Patients with Advanced Heart Failure: A Pilot Study. J. Cardiovasc. Transl. Res. 2016, 9, 302–314. [Google Scholar] [CrossRef]
- Li, R.; Frangogiannis, N.G. Chemokines in cardiac fibrosis. Curr. Opin. Physiol. 2021, 19, 80–91. [Google Scholar] [CrossRef]
- Bujak, M.; Dobaczewski, M.; Gonzalez-Quesada, C.; Xia, Y.; Leucker, T.; Zymek, P.; Veeranna, V.; Tager, A.M.; Luster, A.D.; Frangogiannis, N.G. Induction of the CXC Chemokine Interferon-γ-Inducible Protein 10 Regulates the Reparative Response Following Myocardial Infarction. Circ. Res. 2009, 105, 973–983. [Google Scholar] [CrossRef]
- Frangogiannis, N.G.; Dewald, O.; Xia, Y.; Ren, G.; Haudek, S.; Leucker, T.; Kraemer, D.; Taffet, G.; Rollins, B.J.; Entman, M.L. Critical role of monocyte chemoattractant protein-1/CC chemokine ligand 2 in the pathogenesis of ischemic cardiomyopathy. Circulation 2007, 115, 584–592. [Google Scholar] [CrossRef] [PubMed]
- Koyanagi, M.; Egashira, K.; Kitamoto, S.; Ni, W.; Shimokawa, H.; Takeya, M.; Yoshimura, T.; Takeshita, A. Role of monocyte chemoattractant protein-1 in cardiovascular remodeling induced by chronic blockade of nitric oxide synthesis. Circulation 2000, 102, 2243–2248. [Google Scholar] [CrossRef] [PubMed]
- Frangogiannis, N.G.; Shimoni, S.; Chang, S.M.; Ren, G.; Shan, K.; Aggeli, C.; Reardon, M.J.; Letsou, G.V.; Espada, R.; Ramchandani, M.; et al. Evidence for an active inflammatory process in the hibernating human myocardium. Am. J. Pathol. 2002, 160, 1425–1433. [Google Scholar] [CrossRef] [PubMed]
- Xuan, W.; Liao, Y.; Chen, B.; Huang, Q.; Xu, D.; Liu, Y.; Bin, J.; Kitakaze, M. Detrimental effect of fractalkine on myocardial ischaemia and heart failure. Cardiovasc. Res. 2011, 92, 385–393. [Google Scholar] [CrossRef]
- Nykänen, A.I.; Tikkanen, J.M.; Krebs, R.; Keränen, M.A.I.; Sihvola, R.K.; Sandelin, H.; Tuuminen, R.; Raisky, O.; Koskinen, P.K.; Lemström, K.B. Angiogenic growth factors in cardiac allograft rejection. Transplantation 2006, 82 (Suppl. S1), S22–S24. [Google Scholar] [CrossRef]
- Torry, R.J.; Labarrere, C.A.; Torry, D.S.; Holt, V.J.; Page Faulk, W. Vascular endothelial growth factor expression in transplanted human hearts. Transplantation 1995, 60, 1451–1457. [Google Scholar] [CrossRef]
- Reinders, M.E.J.; Fang, J.C.; Wong, W.; Ganz, P.; Briscoe, D.M. Expression patterns of vascular endothelial growth factor in human cardiac allografts: Association with rejection. Transplantation 2003, 76, 224–230. [Google Scholar] [CrossRef]
- Abramson, L.P.; Pahl, E.; Huang, L.; Stellmach, V.; Rodgers, S.; Mavroudis, C.; Backer, C.L.; Arensman, R.M.; Crawford, S.E. Serum vascular endothelial growth factor as a surveillance marker for cellular rejection in pediatric cardiac transplantation. Transplantation 2002, 73, 153–156. [Google Scholar] [CrossRef] [PubMed]
- Salom, R.N.; Maguire, J.A.; Hancock, W.W. Endothelial activation and cytokine expression in human acute cardiac allograft rejection. Pathology 1998, 30, 24–29. [Google Scholar] [CrossRef]
- Shaddy, R.E.; Hammond, E.H.; Yowell, R.L. Immunohistochemical analysis of platelet-derived growth factor and basic fibroblast growth factor in cardiac biopsy and autopsy specimens of heart transplant patients. Am. J. Cardiol. 1996, 77, 1210–1215. [Google Scholar] [CrossRef] [PubMed]
- Le Meur, Y.; Leprivey-Lorgeot, V.; Mons, S.; José, M.; Dantal, J.; Lemauff, B.; Aldigier, J.C.; Leroux-Robert, C.; Praloran, V. Serum levels of macrophage-colony stimulating factor (M-CSF): A marker of kidney allograft rejection. Nephrol. Dial. Transplant. 2004, 19, 1862–1865. [Google Scholar] [CrossRef] [PubMed]
- Cornu, E.; Lacroix, P.; Virot, P.; Aldigier, J.C.; Praloran, P.; Christides, C.; Laskar, M. M-CSF serous rate evolution during post-transplantation days in a heterotopic heart graft model mice. J. Cardiovasc. Surg. 1997, 38, 567–570. [Google Scholar]
- Bermpeis, K.; Esposito, G.; Gallinoro, E.; Paolisso, P.; Bertolone, D.T.; Fabbricatore, D.; Mileva, N.; Munhoz, D.; Buckley, J.; Wyffels, E.; et al. Safety of Right and Left Ventricular Endomyocardial Biopsy in Heart Transplantation and Cardiomyopathy Patients. JACC Heart Fail. 2022, 10, 963–973. [Google Scholar] [CrossRef]







| Cytokines, pg/mL | 1st Time Point | 2nd Time Point | 3rd Time Point |
|---|---|---|---|
| sCD40L | 1401.69 | 331.83 | 397.17 |
| EGF | 132.11 | 79.80 | 63.16 |
| Eotaxin | 35.33 | 76.04 | 77.55 |
| FGF-2 | 471.47 | 182.91 | 275.67 |
| FLT-3L | 15.02 | 9.70 | 14.42 |
| Fractalkine | 213.21 | 182.32 | 150.08 |
| G-CSF | 14.01 | 53.50 | 28.73 |
| GM-CSF | 7.27 | 4.54 | 7.26 |
| GROa | 25.24 | 20.40 | 9.11 |
| IFNa2 | 385.95 | 125.84 | 135.53 |
| IFNg | 180.28 | 38.82 | 62.47 |
| IL-1a | 188.41 | 16.02 | 35.91 |
| IL-1b | 283.29 | 51.57 | 79.57 |
| IL-1RA | 130.47 | 21.31 | 34.97 |
| IL-2 | 41.43 | 9.12 | 10.66 |
| IL-3 | 0.54 | 0.94 | 0.94 |
| IL-4 | 14.03 | 7.08 | 4.55 |
| IL-5 | 2.01 | 1.54 | 3.58 |
| IL-6 | 29.92 | 3.71 | 5.48 |
| IL-7 | 29.40 | 7.66 | 9.08 |
| IL-8 | 217.94 | 25.90 | 27.06 |
| IL-9 | 87.85 | 36.64 | 38.61 |
| IL-10 | 69.36 | 17.35 | 14.86 |
| IL-12(p40) | 223.08 | 47.63 | 85.56 |
| IL-12(p70) | 21.11 | 13.01 | 22.77 |
| IL-13 | 204.71 | 105.25 | 68.20 |
| IL-15 | 76.02 | 30.12 | 21.88 |
| Il-17A | 90.71 | 15.48 | 25.91 |
| Il-17E/Il-25 | 574.23 | 238.92 | 400.36 |
| IL-17F | 206.48 | 34.25 | 90.18 |
| IL-18 | 38.74 | 54.74 | 32.77 |
| IL-22 | 147.60 | 27.80 | 45.12 |
| IL-27 | 8644.30 | 4383.04 | 3844.63 |
| IP-10 | 946.07 | 249.48 | 403.52 |
| MCP-1 | 142.45 | 223.11 | 486.46 |
| MCP-3 | 130.73 | 47.85 | 39.92 |
| M-CSF | 183.73 | 278.12 | 413.49 |
| MDC | 166.01 | 103.63 | 333.23 |
| MIG | 11,222.26 | 3385.94 | 2481.72 |
| MIP-1a | 124.99 | 51.44 | 52.33 |
| MIP-1b | 43.00 | 30.20 | 19.15 |
| PDGF-AA | 624.46 | 1230.45 | 766.20 |
| PDGF-AB/BB | 13,678.76 | 21,914.59 | 16,216.49 |
| TGFa | 82.65 | 16.79 | 39.40 |
| TNFa | 26.46 | 25.71 | 23.42 |
| TNFb | 6.48 | 2.61 | 1.86 |
| VEGF-A | 30.73 | 111.88 | 55.19 |
Disclaimer/Publisher’s Note: The statements, opinions and data contained in all publications are solely those of the individual author(s) and contributor(s) and not of MDPI and/or the editor(s). MDPI and/or the editor(s) disclaim responsibility for any injury to people or property resulting from any ideas, methods, instructions or products referred to in the content. |
© 2025 by the authors. Licensee MDPI, Basel, Switzerland. This article is an open access article distributed under the terms and conditions of the Creative Commons Attribution (CC BY) license (https://creativecommons.org/licenses/by/4.0/).
Share and Cite
Korneva, L.; Sazonova, Y.; Bortsova, M.; Simonenko, M.; Baratashvili, G.; Kalinina, O.; Zaikova, E.; Sambur, D.; Golovkin, A.; Fedotov, P. Successful Experience of Managing Resistant Antibody-Mediated Cardiac Allograft Rejection with Extracorporeal Photopheresis. Transplantology 2025, 6, 29. https://doi.org/10.3390/transplantology6040029
Korneva L, Sazonova Y, Bortsova M, Simonenko M, Baratashvili G, Kalinina O, Zaikova E, Sambur D, Golovkin A, Fedotov P. Successful Experience of Managing Resistant Antibody-Mediated Cardiac Allograft Rejection with Extracorporeal Photopheresis. Transplantology. 2025; 6(4):29. https://doi.org/10.3390/transplantology6040029
Chicago/Turabian StyleKorneva, Lubov, Yulia Sazonova, Maria Bortsova, Maria Simonenko, Georgii Baratashvili, Olga Kalinina, Ekaterina Zaikova, Darina Sambur, Alexey Golovkin, and Petr Fedotov. 2025. "Successful Experience of Managing Resistant Antibody-Mediated Cardiac Allograft Rejection with Extracorporeal Photopheresis" Transplantology 6, no. 4: 29. https://doi.org/10.3390/transplantology6040029
APA StyleKorneva, L., Sazonova, Y., Bortsova, M., Simonenko, M., Baratashvili, G., Kalinina, O., Zaikova, E., Sambur, D., Golovkin, A., & Fedotov, P. (2025). Successful Experience of Managing Resistant Antibody-Mediated Cardiac Allograft Rejection with Extracorporeal Photopheresis. Transplantology, 6(4), 29. https://doi.org/10.3390/transplantology6040029

