Next Article in Journal
Diversifying Kidney Transplant Education: Assessing the Artificial Intelligence-Powered Capability of ChatGPT
Previous Article in Journal
Splenectomy Before Recipient Hepatectomy for Inflow Modulation Using a Very Small Modified Right Hemiliver Graft: A Case Report
 
 
Font Type:
Arial Georgia Verdana
Font Size:
Aa Aa Aa
Line Spacing:
Column Width:
Background:
Case Report

Renal Collecting System Calcified Hematoma Following Parenchymal Perforation by Ureteral Stent in Kidney Transplantation: A Case Report

by
Octavio Herrera
1,*,
Alexis Garza
1,
Maria Veronica Rodriguez
1,
Manuel De Jesus-Escano
1,
Samuel Serna
2,
Jose Almeda
3 and
Gaudencio Olgin
1,3
1
Doctor’s Hospital at Renaissance Health Urology Institute, Edinburg, TX 78539, USA
2
Doctor’s Hospital at Renaissance Health Interventional Radiology, Edinburg, TX 78539, USA
3
Doctor’s Hospital at Renaissance Health Transplant Institute, Edinburg, TX 78539, USA
*
Author to whom correspondence should be addressed.
Transplantology 2024, 5(4), 263-270; https://doi.org/10.3390/transplantology5040026
Submission received: 15 July 2024 / Revised: 13 August 2024 / Accepted: 13 November 2024 / Published: 20 November 2024

Abstract

Introduction: Renal parenchymal perforation by ureteral stent placement is a rare but serious complication. There is also a paucity of data regarding collecting system hematomas and potential calcification in renal allografts. Case presentation: We report a unique case of a 51-year-old male who underwent unrelated living-donor kidney transplantation with stent incorporation during ureteroneocystostomy. Post-operatively he was found to have renal parenchymal perforation by the ureteral stent resulting in a pelvicalyceal hematoma with subsequent calcification and obstruction. At the time of guidewire introduction for percutaneous nephrolithotomy one year later, a nephrostogram and passage of a hydrophilic guidewire resulted in improved contrast drainage into the bladder, so the invasive surgery was no longer needed. Discussion: There are few reported cases of renal parenchymal perforation by a ureteral stent, none of which resulted in a collecting system hematoma. The calcification of urinary tract hematomas is also rare and attributed to metabolic abnormalities, prolonged stagnation of blood, and infection. Conclusions: We suspect the nephrostogram and guidewire introduction created enough antegrade pressure and mechanical disruption to force the calcified hematoma into the bladder.

1. Introduction

Indwelling ureteral stents are commonly used during kidney transplantation to prevent urologic complications, such as urine leak and anastomotic stricturing. Ureteral stents may increase the risk of separate complications, including urinary tract infection through stent colonization, stent migration, and pain [1]. Renal parenchymal perforation by ureteral stent placement is a rare but serious complication. Few reports describe subcapsular hematoma formation after parenchymal perforation with a stent [2,3]. However, there are limited data regarding collecting system hematomas, potential calcification, and their management, particularly in renal allografts [4]. We report a unique case of renal parenchymal perforation by a ureteral stent during kidney transplantation resulting in a pelvicalyceal hematoma with subsequent calcification and obstruction.

2. Case Presentation

A 51-year-old male with a history of end-stage renal disease due to diabetic nephropathy on hemodialysis underwent unrelated living-donor kidney transplantation. The kidney graft was donated by a healthy quadragenarian. A stent measuring 6 French by 12 centimeters (cm) was incorporated at the time of ureteroneocystostomy with no signs of bleeding intra-operatively. Hematuria was observed post-operatively, though he had a total urine output of 3.4 liters (L) through post-operative day 1. Hemoglobin measured 10.6 gm/dL (pre-operatively 11.0 gm/dL) and renal function remained low: creatinine at 10.2 mg/dL and eGFR 5 mL/min/1.73 m2. The patient did not receive anticoagulation pre- or post-operatively contrary to standard post-operative protocol. However, he did receive a single low-dose aspirin on post-operative day 1, which was stopped thereafter due to persistent hematuria. On post-operative day 2, urine output decreased to 500 mL and hematuria continued. Hemoglobin decreased to 9.6 gm/dL and renal function remained impaired: creatinine at 9.1 mg/dL and eGFR 6 mL/min/1.73 m2. Cross-sectional computed tomography (CT) imaging was obtained, which demonstrated hyperattenuating debris within the renal pelvis as well as the proximal end of the ureteral stent protruding into upper pole cortex (Figure 1). He was promptly taken to the operating room for cystoscopy and retraction of the ureteral stent by 5 centimeters under fluoroscopy. Renal function slightly improved on post-operative day 3, with creatinine at 6.5 mg/dL, eGFR 9 mL/min/1.73 m2, and urine output of 1.6 L with persistent hematuria. On post-operative days 3 and 5, he underwent ultrafiltration due to delayed graft function.
The CT scan without contrast was repeated on post-operative day 6, which demonstrated dense dilatation of the renal collecting system and appropriate positioning of the ureteral stent (Figure 2). His urine output subsequently decreased—producing approximately 150 mL in 24 h. A repeat ultrasound demonstrated a dilated renal pelvicalyceal system containing echogenic debris (Figure 3), so the decision was made to remove the ureteral stent due to likely occlusion on post-operative day 8. Upon manipulation and removal of the stent, a large amount of old blood sediment immediately drained from the ureteral orifice. Urine output improved significantly after stent removal with resolution of hematuria. On post-operative day 10, renal function continued to improve: creatinine 4.3 mg/dL and eGFR 15 mL/min/1.73 m2. He was discharged and scheduled for close outpatient follow-up.
The patient’s renal function remained stable over the next year (creatinine 1.0–1.3 mg/dL, eGFR 53–78 mL/min/1.73 m2). However, the patient experienced three urinary tract infections during this time: the first was Escherichia coli and the latter two Klebsiella pneumoniae. An ultrasound at nearly 1-year post-transplant demonstrated an echogenic structure in the renal pelvis concerning for a renal calculus (Figure 4). A follow-up CT scan demonstrated an irregular soft-tissue density with rim calcification at the ureteropelvic junction measuring 5 × 3.5 centimeters and minimal transplant kidney pelvicaliectasis (Figure 5). Ureteroscopy was attempted but unsuccessful due to difficulty cannulating the ureteral orifice at the bladder dome.
Extensive multidisciplinary discussions led to the decision to perform a percutaneous nephrolithotomy (PCNL). Prior to surgery, the patient developed sepsis with emphysematous pyelitis, interval worsening of hydroureteronephrosis, and acute kidney injury (AKI) (Figure 6). A transplant nephrostomy tube was placed for urgent renal decompression and the patient was discharged after the resolution of sepsis and AKI.
After completing additional courses of antibiotics for two subsequent urinary tract infections, the decision was made to proceed with the PCNL. The procedure started as planned with interventional radiology performing a nephrostogram, which demonstrated hydroureteronephrosis, heterogeneous filling defects within the proximal collecting system, and no obvious renal stones (Figure 7). A hydrophilic guidewire advancement through the nephrostomy tube and resulted in improved contrast drainage into the bladder. The nephrostomy tube was then exchanged and near-complete contrast drainage was seen. Due to the likely passage of the dense, calcified material within the collecting system and improved drainage, the decision was made to postpone the PCNL and monitor the patient with the nephrostomy tube clamped. CT imaging on the same day demonstrated a small amount of calcification and hyperdense debris within and distal to the nephrostomy tube coil (Figure 8). On post-procedure day 1, he developed sepsis, requiring antibiotics. The nephrostomy tube was opened to gravity. After resolution of sepsis, the nephrostomy tube was re-clamped. The patient tolerated the clamp trial and was discharged with culture-sensitive antibiotics. Renal function remained stable 3 weeks after the nephrostomy tube was clamped, so it was removed. Four months after nephrostomy tube removal, the patient remained asymptomatic, with creatinine of 1.1 mg/dL and eGFR 70 mL/min/1.73 m2 and no further urinary tract infections.

3. Discussion

Ureteral stent placement during kidney transplantation is commonly performed to reduce urologic complications. Two meta-analyses report reduced major urologic complications in kidney transplantation in stented (1–1.5%) compared to non-stented patients (7–9%), particularly reducing urine leaks and ureteral or anastomotic strictures [5,6]. However, renal parenchymal perforation is a major urologic complication with scarce reported data due to its rarity, especially in the transplant literature. We describe a unique transplant complication of renal parenchymal perforation by a ureteral stent and its extensive sequelae, including an early collecting system hematoma that later calcified and obstructed the renal allograft.
Renal parenchymal perforation is a rare complication, likely due to the use of soft-tipped hydrophilic guidewires and concurrent fluoroscopy during cystoscopic ureteral stent placement. There are only six reported cases of renal parenchymal perforation by a ureteral stent in a literature review [2,3,7,8,9,10]. A perirenal hematoma was described in three out of six (50%) of these cases, but there are no reports of a collecting system hematoma despite the presence of hematuria [2,3,7]. Our case is unique in that the ureteral stent was not inserted cystoscopically, since it was placed during a renal transplantation. Rather, a guidewire was advanced in a retrograde fashion through the distal ureteral opening via an open abdominal approach. The stent was then advanced into the kidney over the guidewire followed by placement into the bladder through a cystotomy prior to extravesical ureteral implantation (modified Lich–Gregoir technique). We believe the additional guidewire and stent manipulation with this method of placement increased the risk of injuring the renal parenchyma. Additionally, radiography was not used to confirm the stent position, which could have prompted earlier retraction to improve urinary drainage and reduce renal trauma. The post-operative hematuria was initially attributed to the ureteroneocystostomy, but provoked concerns as the hematuria worsened. The reason for a collecting system hematoma rather than a perirenal hematoma is unclear, though it may be due to incomplete parenchymal perforation by the stent, leading to bleeding into the collecting system and not into the capsule. One review paper describes a collecting system hematoma as a possible complication of renal transplant and recommends conservative management to allow urokinase to lyse the hematoma [4]. Conservative management of the collecting system hematoma was elected due to improvement in renal function after removal of the obstructed stent. A nephrostomy tube and its associated risks of bleeding and kidney damage were avoided at that time. Exchanging the stent for a single-J catheter to allow for flushing is a feasible option, but it was not considered at the time due to prompt drainage of blood sediment during stent manipulation and removal.
Calcification of the collecting system hematoma was incidentally identified one year after transplantation. There are limited data regarding calcification of urinary tract hematomas. However, calcification is widely described in the neurosurgery literature for chronic subdural hematomas [11]. Though the mechanism of formation is poorly understood, it is attributed to metabolic abnormalities, prolonged existence within a space, and stagnation of blood [11]. These are similar to the known risk factors for urolithiasis in this patient, including urinary electrolyte abnormalities, metabolic disorders, urinary stasis, and nidus for calcification. Additionally, recurrent infections with urease-producing organisms increased the risk for infectious stone formation. This calcification was then treated as a stone given the diffuse hematoma rim calcification. We believe the nephrostogram and guidewire introduction performed by interventional radiology prior to the PCNL created enough antegrade pressure and mechanical disruption of the organized clot to facilitate the passage of the calcified hematoma into the bladder. A similar case of blood clot clearance during the nephrostogram was described after an obstructing hematoma from percutaneous renal biopsy [12]. Though a comparatively small heterogeneous filling defect remained on the nephrostogram, appropriate contrast drainage was seen so the invasive PCNL was not performed. Although the antegrade nephrostogram cleared most of the hematoma, it also introduced increased intrarenal pressure and potentially triggered the septic episode in this immunocompromised patient with a nidus for infection and a potentially colonized nephrostomy tube [1].
Management of kidney transplant post-operative urologic complications is complex due to the risk of renal allograft injury with invasive procedures. Conversely, complications can intensify if conservative approaches fail. Removal of collecting system hematomas should be considered if their presence is prolonged and compromises the renal allograft. Multidisciplinary collaboration is paramount in managing complications in vulnerable renal allograft recipients.

4. Conclusions

We report a case of renal parenchymal perforation by a ureteral stent during kidney transplantation. We also describe the sequelae of this complication including delayed graft function, hematoma formation and calcification, collecting system obstruction, and sepsis. Renal graft function was restored after a nephrostogram dislodged the hematoma and the obstruction was relieved.

Author Contributions

Conceptualization: O.H., S.S., J.A. and G.O.; methodology: O.H., S.S., J.A. and G.O.; writing—original draft preparation: O.H., A.G., M.V.R. and M.D.J.-E.; writing—review and editing: O.H., S.S., J.A. and G.O.; supervision: S.S., J.A. and G.O.; project administration: G.O. All authors have read and agreed to the published version of the manuscript.

Funding

This research received no external funding.

Institutional Review Board Statement

As a case report, this study did not require ethical approval, but written informed consent was obtained from the patient.

Informed Consent Statement

Written informed consent has been obtained from the patient for publication of the details of their medical case and any accompanying images.

Data Availability Statement

The data presented in this study are available on request from the corresponding author.

Conflicts of Interest

The authors declare no conflicts of interest.

References

  1. Sarier, M.; Demir, M.; Duman, I.; Yuksel, Y.; Demirbas, A. Evaluation of Ureteral Stent Colonization in Live-Donor Renal Transplant Recipients. Transplant. Proc. 2017, 49, 415–419. [Google Scholar] [CrossRef] [PubMed]
  2. Nomikos, M.S.; Chousianitis, Z.; Georgiou, C.; Georgellis, C.; Rikas, P.; Anagnostou, T. Renal Parenchyma Perforation and Hematoma Formation Following Double-J Stent Insertion in a Solitary Functioning Kidney: An Unusual Complication. Case Rep. Urol. 2012, 2012, 301275. [Google Scholar] [CrossRef] [PubMed]
  3. Dündar, M.; Calişkan, T.; Koçak, I. Unexpected Complication: Renal Parenchymal Perforation with Double-J Ureteral Stent. Urol. Res. 2008, 36, 279–281. [Google Scholar] [CrossRef] [PubMed]
  4. Duty, B.D.; Barry, J.M. Diagnosis and Management of Ureteral Complications Following Renal Transplantation. Asian J. Urol. 2015, 2, 202–207. [Google Scholar] [CrossRef][Green Version]
  5. Mangus, R.S.; Haag, B.W. Stented versus Nonstented Extravesical Ureteroneocystostomy in Renal Transplantation: A Meta-analysis. Am. J. Transpl. 2004, 4, 1889–1896. [Google Scholar] [CrossRef] [PubMed]
  6. Wilson, C.H.; Bhatti, A.A.; Rix, D.A.; Manas, D.M. Routine Intraoperative Stenting for Renal Transplant Recipients. Transplantation 2005, 80, 877–882. [Google Scholar] [CrossRef] [PubMed]
  7. Gönülalan, U.; Akand, M.; Hasırcı, E.; Koşan, M. An Unusual Complication of a Double-J Ureteral Stent: Renal Parenchymal Perforation in a Solitary Kidney. Turk. J. Urol. 2014, 40, 245–247. [Google Scholar] [CrossRef] [PubMed]
  8. Altay, B.; Erkurt, B.; Kiremit, M.C.; Güzelburç, V. A Rare Complication of Ureteral Double-J Stenting after Flexible Ureteroscopy: Renal Parenchymal Perforation. Turk. J. Urol. 2015, 41, 96–98. [Google Scholar] [CrossRef]
  9. Geavlete, P.; Georgescu, D.; Mulțescu, R.; Stanescu, F.; Cozma, C.; Geavlete, B. Ureteral Stent Complications–Experience on 50,000 Procedures. J. Med. Life 2021, 14, 769–775. [Google Scholar] [CrossRef] [PubMed]
  10. Huang, C.; Liu, J.; Mao, J.; Yu, L.; Gong, L.; Lai, F. Rare Complication of Ureteral Double-J Stenting after Ureteroscopy: Pelvic Ectopic Renal Parenchymal Perforation. J. Int. Med. Res. 2022, 50, 03000605211063013. [Google Scholar] [CrossRef] [PubMed]
  11. Turgut, M.; Akhaddar, A.; Turgut, A.T. Calcified or Ossified Chronic Subdural Hematoma: A Systematic Review of 114 Cases Reported During Last Century with a Demonstrative Case Report. World Neurosurg. 2020, 134, 240–263. [Google Scholar] [CrossRef] [PubMed]
  12. Chan, R.; Common, A.A.; Marcuzzi, D. Ultrasound-Guided Renal Biopsy: Experience Using an Automated Core Biopsy System. Can. Assoc. Radiol. J. 2000, 51, 107–113. [Google Scholar] [PubMed]
Figure 1. Post-transplant CT scan coronal images demonstrated (A) incomplete upper pole renal parenchymal perforation by the proximal end of the ureteral stent and (B) hyperattenuating debris within the mildly dilated renal pelvis.
Figure 1. Post-transplant CT scan coronal images demonstrated (A) incomplete upper pole renal parenchymal perforation by the proximal end of the ureteral stent and (B) hyperattenuating debris within the mildly dilated renal pelvis.
Transplantology 05 00026 g001
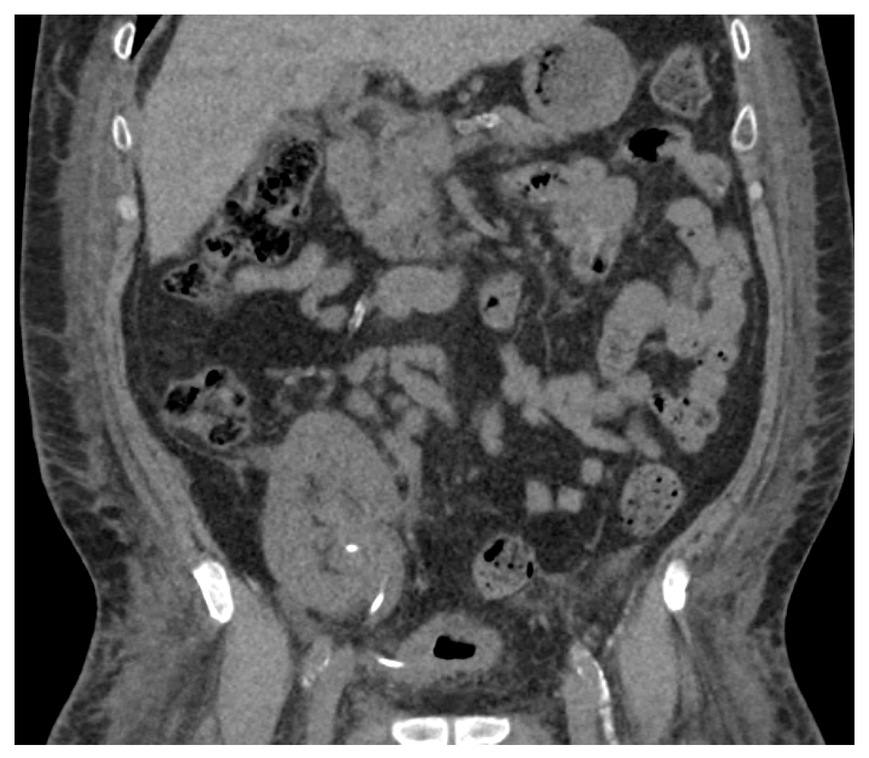
Figure 2. Coronal image from CT scan without contrast demonstrated dense dilatation of the renal collecting system and appropriate positioning of the ureteral stent after repositioning.
Figure 2. Coronal image from CT scan without contrast demonstrated dense dilatation of the renal collecting system and appropriate positioning of the ureteral stent after repositioning.
Transplantology 05 00026 g002
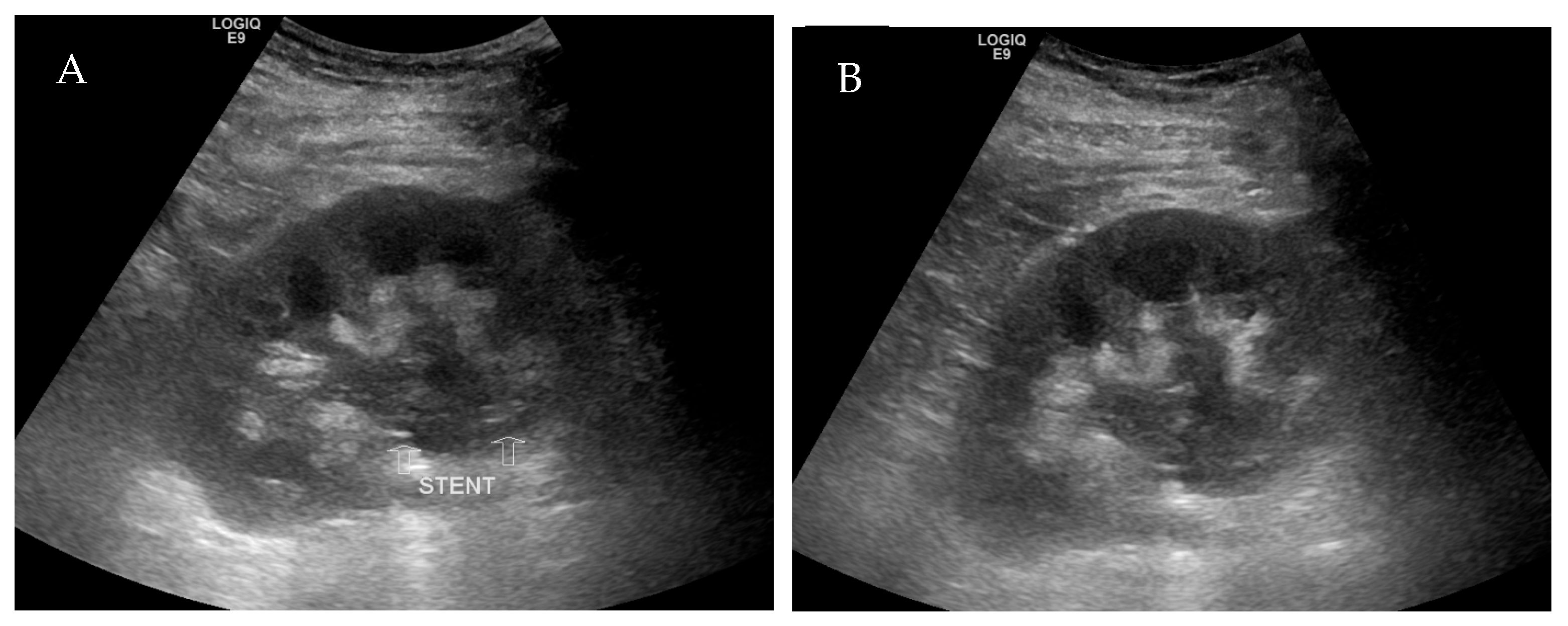
Figure 3. Transplant kidney ultrasound demonstrated the proximal end of the ureteral stent within the renal pelvis (A) and persistently dilated renal pelvicalyceal system containing echogenic debris (A,B).
Figure 3. Transplant kidney ultrasound demonstrated the proximal end of the ureteral stent within the renal pelvis (A) and persistently dilated renal pelvicalyceal system containing echogenic debris (A,B).
Transplantology 05 00026 g003
Figure 4. Post-transplantation 1-year follow-up kidney ultrasound demonstrated an echogenic structure in the renal pelvis with posterior shadowing concerning for a renal calculus.
Figure 4. Post-transplantation 1-year follow-up kidney ultrasound demonstrated an echogenic structure in the renal pelvis with posterior shadowing concerning for a renal calculus.
Transplantology 05 00026 g004
Figure 5. One-year post-transplantation non-contrast CT coronal (A) and axial (B) images demonstrated an irregular soft-tissue density with rim calcification at the ureteropelvic junction and proximal ureter measuring 5 × 3.5 centimeters, as well as minimal transplant kidney pelvicaliectasis.
Figure 5. One-year post-transplantation non-contrast CT coronal (A) and axial (B) images demonstrated an irregular soft-tissue density with rim calcification at the ureteropelvic junction and proximal ureter measuring 5 × 3.5 centimeters, as well as minimal transplant kidney pelvicaliectasis.
Transplantology 05 00026 g005
Figure 6. Non-contrast CT during episode of sepsis. (A) Coronal image demonstrated interval worsening of hydroureteronephrosis with gas within the renal collecting system and bladder consistent with emphysematous pyelitis. (B) Axial image demonstrated splitting of the large, calcified material into two separate soft tissue densities with rim calcification, each measuring between 2.5 and 2.8 centimeters at the ureteropelvic junction.
Figure 6. Non-contrast CT during episode of sepsis. (A) Coronal image demonstrated interval worsening of hydroureteronephrosis with gas within the renal collecting system and bladder consistent with emphysematous pyelitis. (B) Axial image demonstrated splitting of the large, calcified material into two separate soft tissue densities with rim calcification, each measuring between 2.5 and 2.8 centimeters at the ureteropelvic junction.
Transplantology 05 00026 g006
Figure 7. (A) Antegrade nephrostogram from previously placed percutaneous nephrostomy tube demonstrated moderate hydroureteronephrosis with a transition point in the proximal ureter and limited contrast to the bladder. (B) Antegrade guidewire advancement, which resulted in improved contrast drainage. (C) Replacement of the percutaneous nephrostomy tube with near-complete contrast drainage into the bladder and small residual heterogeneous filling defect.
Figure 7. (A) Antegrade nephrostogram from previously placed percutaneous nephrostomy tube demonstrated moderate hydroureteronephrosis with a transition point in the proximal ureter and limited contrast to the bladder. (B) Antegrade guidewire advancement, which resulted in improved contrast drainage. (C) Replacement of the percutaneous nephrostomy tube with near-complete contrast drainage into the bladder and small residual heterogeneous filling defect.
Transplantology 05 00026 g007
Figure 8. Post-nephrostogram and percutaneous nephrostomy tube exchange non-contrast CT images. (A) Coronal image with nephrostomy tube coil within the renal pelvis and bladder distention with contrast. (B) Axial image demonstrated a small calcification distal to the nephrostomy tube coil.
Figure 8. Post-nephrostogram and percutaneous nephrostomy tube exchange non-contrast CT images. (A) Coronal image with nephrostomy tube coil within the renal pelvis and bladder distention with contrast. (B) Axial image demonstrated a small calcification distal to the nephrostomy tube coil.
Transplantology 05 00026 g008
Disclaimer/Publisher’s Note: The statements, opinions and data contained in all publications are solely those of the individual author(s) and contributor(s) and not of MDPI and/or the editor(s). MDPI and/or the editor(s) disclaim responsibility for any injury to people or property resulting from any ideas, methods, instructions or products referred to in the content.

Share and Cite

MDPI and ACS Style

Herrera, O.; Garza, A.; Rodriguez, M.V.; De Jesus-Escano, M.; Serna, S.; Almeda, J.; Olgin, G. Renal Collecting System Calcified Hematoma Following Parenchymal Perforation by Ureteral Stent in Kidney Transplantation: A Case Report. Transplantology 2024, 5, 263-270. https://doi.org/10.3390/transplantology5040026

AMA Style

Herrera O, Garza A, Rodriguez MV, De Jesus-Escano M, Serna S, Almeda J, Olgin G. Renal Collecting System Calcified Hematoma Following Parenchymal Perforation by Ureteral Stent in Kidney Transplantation: A Case Report. Transplantology. 2024; 5(4):263-270. https://doi.org/10.3390/transplantology5040026

Chicago/Turabian Style

Herrera, Octavio, Alexis Garza, Maria Veronica Rodriguez, Manuel De Jesus-Escano, Samuel Serna, Jose Almeda, and Gaudencio Olgin. 2024. "Renal Collecting System Calcified Hematoma Following Parenchymal Perforation by Ureteral Stent in Kidney Transplantation: A Case Report" Transplantology 5, no. 4: 263-270. https://doi.org/10.3390/transplantology5040026

APA Style

Herrera, O., Garza, A., Rodriguez, M. V., De Jesus-Escano, M., Serna, S., Almeda, J., & Olgin, G. (2024). Renal Collecting System Calcified Hematoma Following Parenchymal Perforation by Ureteral Stent in Kidney Transplantation: A Case Report. Transplantology, 5(4), 263-270. https://doi.org/10.3390/transplantology5040026

Article Metrics

Back to TopTop