Next Article in Journal
Publisher’s Note: About Issue 2, Volume 4, 2023
Previous Article in Journal
COVID-19 Pathophysiology: Inflammation to Cardiac Injury
 
 
Font Type:
Arial Georgia Verdana
Font Size:
Aa Aa Aa
Line Spacing:
Column Width:
Background:
Case Report

Transposition of the Great Arteries with Intramural Left Main Coronary Artery—Salient Imaging Findings and Choice of Operative Technique

1
Department of Pediatric Cardiology, Children’s Mercy Hospital Kansas City, 2401 Gillham Road, Kansas City, MO 64108, USA
2
School of Medicine, University of Missouri-Kansas City, 2411 Holmes Street, Kansas City, MO 64108, USA
*
Author to whom correspondence should be addressed.
Hearts 2024, 5(4), 645-652; https://doi.org/10.3390/hearts5040049
Submission received: 13 November 2024 / Revised: 11 December 2024 / Accepted: 17 December 2024 / Published: 23 December 2024

Abstract

D-transposition of the great arteries (D-TGA) is a common cyanotic critical congenital heart disease. An arterial switch operation (ASO) with/without a ventricular septal defect (VSD) closure is the preferred surgical approach, with an added challenge when an intramural coronary artery (IMC) is present (1), with a reported increased incidence of postoperative complications and mortality (2,3). We present our recent D-TGA with intramural coronary artery (TGA-IMC) experience, focusing on the salient features identified on echocardiography, computed tomography (CT) angiography, and invasive angiograms, as well as variations in ASO surgical techniques for repair. Diagnostic imaging evaluation allowed for identification of the lesion, as well as planning for and undertaking of two different surgical approaches. While the two patients had differing immediate postoperative courses, both were asymptomatic at discharge, with normal biventricular systolic function. Our experience demonstrates that the suspicion for a coronary anomaly in TGA can be raised prenatally and confirmed postnatally with focused trans-thoracic echocardiography and ECG-gated CT angiogram evaluation while also aiding in operative planning. Moreover, suggesting further exploration of the optimal surgical technique for the repair of TGA-IMC.

1. Introduction

D-transposition of the great arteries (TGA) is a congenital cyanotic heart defect with a prevalence of 4.7 per 10,000 live births, accounting for 3% of all congenital heart defects and 20% of cyanotic heart disease [1]. TGA arises from a failure of the conotruncal septum to spiral during embryonic cardiac development, resulting in two parallel circuits with the aorta arising from the right ventricle and the pulmonary trunk arising from the left ventricle [1]. Coronary arrangements can thus vary. Surgical correction is the preferred treatment method for TGA for resolution of cyanosis. The arterial switch operation (ASO), developed by Jatene in 1975, is the accepted method for the surgical repair of TGA [2]. The ASO involves the transfer of coronary arteries to the neoaortic root. This is a technically challenging and critical aspect of the ASO [3]. Unusual preoperative coronary artery arrangements have been linked with negative postoperative outcomes [4]. Furthermore, several studies have found an intramural course of the coronary arteries to complicate the ASO procedure and portend negative postoperative outcomes [5,6]. In their meta-analysis, Pasquali et al. quantified that patients with an intramural coronary artery had the greatest mortality (OR 6.5, 95% CI 2.9 to 14.2) [5]. Preoperative imaging is critical to identify coronary abnormalities and inform preoperative surgical planning to mitigate operative risks in the ASO. Dr. Jatene, who pioneered the ASO emphasized in his 2017 editorial that “when the surgeon begins the ostial excision with no information or suspicion of an intramural course, the coronary can be damaged, with unpredictable surgical maneuvers to fix it” [7]. Common preoperative imaging techniques for defining the coronary anatomy include transthoracic echocardiography and ECG-gated coronary CT angiography [8].
In the presence of intramural coronary arteries, a rare finding in TGA, the operative technique is usually modified to minimize the risk of coronary insufficiency [7]. The historical standard of coronary transfer in this case is the single-button aortocoronary flap technique. The recent literature suggests that this single-button technique may be associated with a higher incidence of coronary complications, specifically in the case of anteriorly and posteriorly oriented great arteries. It has been hypothesized that the neopulmonary artery may compress the single coronary button, leading to ischemia in the short term and coronary stenosis with failure of tissue regrowth in the long term. To ameliorate these risks, different techniques, including the two-button coronary transfer, have been proposed [9].
In this case report, we describe two patients with congenital TGA and intramural left coronary arteries arising from the right-facing sinus who underwent ASO at our institution, highlighting the importance of imaging modalities and surgical technique choices on outcomes.

2. Case

Two patients were first evaluated in at our institution with fetal echocardiography, where they were both noted to have TGA with an intact ventricular septum and suspicious findings of a coronary artery coursing between the aortic and pulmonary arteries, which raised the suspicion of an ectopic left main coronary artery (LCA) origin since its origin appeared to be more rightwards and posterior compared to normal (Figure 1). Two neonates were then delivered, with Patient A being born via cesarean section at 39 weeks gestation, while Patient B was born at 37 weeks + 6 days via cesarean section. Both patients had coronary artery systems originating from the right-facing sinus in TGA (2LCx*, R). In both patients, the LCA had an intramural course through the pulmonary/septal/posterior commissure and then normally bifurcated into the left anterior descending and circumflex arteries. The diagnosis was made by echocardiography and confirmed by CT angiograms for both (Figure 2 and Figure 3). On the CT angiogram, key findings included an acute angle origin with a subtle caliber change at the extramural coronary exit (Figure 2). In one patient (Patient B), cardiac catheterization for balloon atrial septostomy provided an opportunity to further define the coronaries (Figure 3). Our echo imaging acquisition required high-frequency transducers and shallow image depth in the para-sternal short axis plane, with a focus on the aortic root; color flow doppler optimization with a narrow color box, coronary flow color setting and a low Nyquist limit were also used for the optimization of coronary flow in the ostia. CT angiograms were performed with retrospective gating after a contrast bolus of an Omnipaque-240 contrast/saline mixture (70–30%). Images were obtained at a normal neonatal heart rate of 140 s/min with an appropriate dose reduction technique. Invasive angiograms were performed in the cardiac Cath lab with balloon occlusion aortograms using a 5Fr Berman catheter and a combination of camera angulations.
For these two patients, different coronary transfer techniques were utilized in their surgical repair. In Patient A, the posterior commissure of the pulmonary valve was first detached, allowing unroofing of the intramural segment of the left coronary artery into sinus 1. This allowed for the creation of two separate coronary buttons that were transferred in standard fashion. Patient A had an unremarkable cardiovascular postoperative course. Patient A did require intervention for previously undiagnosed supraglottic stenosis. In Patient B, after cardioplegic arrest and transection of the great vessels, an en bloc coronary button incorporating the left and right coronary ostia was created and anastomosed to the neoaortic root with path augmentation to avoid kinking of the vessels. An inadvertent injury to the left coronary on button creation necessitated a subsequent intraoperative patch augmentation of the coronary artery. Postoperative stay was complicated by arrhythmias, veno-arterial ECMO support and unplanned cardiac catheterization, which did not reveal an intervenable lesion. Patient B was decannulated from veno-arterial ECMO after 3 days. It can be noted that both patients at their respective time of discharge were asymptomatic and had normal biventricular function confirmed on echocardiographic imaging.

3. Discussion

TGA with an intramural coronary arrangement is rare, appearing in just 5% of patients in some series [10]. Characterizing unusual coronary arrangements on neonates with TGA can be challenging. In our case, the diagnosis was first suspected on fetal echocardiogram, where coronary artery evaluation is feasible prenatally with optimal imaging techniques, usually being more successful after 25 weeks gestation [11]. A coronary course between the aorta and the pulmonary artery or a retroaortic course of a coronary prenatally should raise the suspicion of a significant coronary anatomy variant, alerting for focused imaging postnatally that will result in confirmation of the diagnosis and eventually facilitate surgical repair. The echocardiographic hallmark of an intramural course includes side-by-side origins of the two coronary arteries from the same sinus with the LCA coursing between the commissure and the aortic wall, sometimes with a superior origin of the LCA noted by flow acceleration by Doppler or a longer duration of LCA flow. As Dr. Jatene emphasized, preoperative diagnosis is important. Therefore, there is a key role for CT angiography for non-invasive definition of an IMC in TGA. On CT angiography, key findings were an acute angle origin and a subtle caliber change at the extramural coronary exit. An ECG-gated CT scan is preferred over a cardiac MRI for neonatal coronary imaging in a non-invasive way; a CT scan has superior spatial resolution compared to cardiac MRI. CT is quicker to obtain, as data is acquired over seconds rather than minutes or an hour. Moreover, CT scan technology and expertise are much more widely available than MRI. Lastly, if there is postoperative ECMO support, a CT scan can be performed with ECMO, whereas an MRI cannot be performed in that situation. CT technology advancements like dual source scanners and photon counting scanners can enable diagnostic coronary imaging without breath-hold and anesthesia, even in neonates. However, in some cases of transposition of great arteries, due to hypoxia and cyanosis, neonates often require, and benefit from, endotracheal intubation and mechanical ventilation prior to cardiac surgery. Because of this, we have a low threshold for endotracheal intubation and controlled respiration during CT imaging for avoiding respiratory motion artifact on CT scan images. If a therapeutic cardiac catheterization with a balloon atrial septostomy is to be performed for profound cyanosis, then catheterization can also be used for coronary definition. Extreme caudal angulation with balloon tip inflated at the time of the aortic root angiogram is commonly used. In our limited experience, CT angiograms provide better definition of the intramural LCA course than conventional balloon occlusion aortograms.
The choice of coronary transfer technique is dictated by anatomy and surgical feasibility. The management of the coronary anatomy identified in our two patients presents risks for coronary injury beyond the routine risks of coronary transfer. An en bloc transfer decreases the surgical complexity and has established results. In both instances, it is important to identify the epiaortic exit of the LCA before creating the coronary button to avoid transection of the coronary. Probing the coronary and taking a large button, especially anterior to the coronary, mitigates this risk. Utilizing a stay suture at the apex of the posterior aortic valve commissure and ensuring careful handling facilitate the detachment of the commissure without valve injury. However, the integrity of the coronary artery is paramount. The single-button technique carries a lower risk of torsion of the coronary arteries, though it may result in kinking of the intramural coronary segment and eventual coronary arterial stenosis [12]. For the single-button technique, minimizing the angle of rotation of the button (no greater than 180 degrees) and accommodating for the lie of the button with a large patch hood decreases the chances of kinking the coronary arteries. Separate transfer requires the unroofing of a neonatal coronary artery, with its attendant risk of immediate injury, and it is only feasible if adequate space is present between the right and left ostia. However, the use of this technique more closely resembles physiologic anatomy and decreases the risk of compression and stenosis. Some reports suggest this to be the superior option [9]. In the case of the two-button technique, beginning with unroofing from the cephalad portion of the roof often provides a tissue handle that allows more precise unroofing. Paying close attention to the intimal planes for any separation allows complete unroofing with a reduced risk of coronary injury.
The outcomes we observed in the immediate post-operation phase for Patient B were not found to be related to the different techniques implemented; rather, they were incidental complications. In the short term, the postoperative outcomes of our two patients have not been significantly different at three months’ follow-up. In our center, we follow a 17-year-old girl who, in the neonatal period, underwent an arterial switch with en bloc transfer for D-TGA with intramural LCA. A recent CT angiogram and stress MRI have confirmed mild to moderate left main coronary ostial stenosis with stress perfusion abnormalities in the LCA territory. However, this patient remains asymptomatic and has normal ventricular and valvular function, and the only unplanned reintervention has been a stent angioplasty of the left pulmonary artery. Mishra et al. reported good medium-term results from the two-button technique in their cohort. However, long-term results remain to be seen. Thus, further, larger series studies or a meta-analysis would provide more data needed to guide the decision-making of surgical techniques. Additional reports of patients with TGA-IMC may also reveal certain anatomic variants in which better outcomes can be achieved with the use of one technique over the other. A large-scale, prospective analysis tracking long-term patient outcomes, including mortality, the development of coronary lesions and subsequent interventions, is needed to adequately identify the better surgical option. However, the best surgical choice may very well be the one with which the surgeon is most familiar.
Echocardiographic and CT guidance were critical in preoperative planning, allowing for two different surgical approaches to be undertaken. Further exploration is necessary to interrogate the long-term outcomes associated with either surgical technique and to uncover individualized, novel surgical approaches for TGA with coronary anomalies.

4. Conclusions

Transposition of the great arteries with intramural left or right coronary artery presents a surgical challenge during ASO repair. Using focused trans-thoracic echocardiography, an anomalous/intramural coronary artery in TGA can, and should, be anticipated. The intramural course can be confirmed by ECG-gated CT angiography with the measurement of intramural length, which can assist in operative planning. Our limited experience suggests that advance imaging with CT angiography can help determine the length of the intramural segment and the feasibility of coronary artery unroofing with two-button transfer versus single-button, en bloc transfer.
Our institutional experience presents an opportunity for further exploration of the best surgical technique for transposition of the great arteries with intramural coronary arteries using a multi-center approach and longer-term follow-up.

Author Contributions

All of the authors (J.M.H., M.G., S.M., M.K., S.S.S. and E.B.) contributed to the case report’s conception and design. The material preparation, data collection and analysis were performed by all of the authors. The first draft of the manuscript was written by M.G. and J.M.H., and all of the authors commented on previous versions of the manuscript. All authors have read and agreed to the published version of the manuscript.

Funding

The authors did not receive financial support from any organization for the submitted work. All of the authors certify that they have no affiliations with, or involvement in, any organization or entity with any financial interest or non-financial interest in the subject matter or materials discussed in this manuscript. This research received no external funding.

Informed Consent Statement

Informed consent was obtained from all subjects involved in the study.

Data Availability Statement

The original contributions presented in this study are included in the article. Further inquiries can be directed to the corresponding author(s).

Conflicts of Interest

The authors declare no conflicts of interest.

References

  1. Szymanski, M.W.; Moore, S.M.; Kritzmire, S.M.; Thomas, A.; Goyal, A. Transposition of the Great Arteries; StatPearls Publishing: Treasure Island, FL, USA, 2023. Available online: https://www.ncbi.nlm.nih.gov/books/NBK538434/ (accessed on 13 November 2024).
  2. Marathe, S.P.; Talwar, S. Surgery for transposition of great arteries: A historical perspective. Ann. Pediatr. Cardiol. 2015, 8, 122–128. [Google Scholar] [CrossRef] [PubMed] [PubMed Central]
  3. Breinholt, J.P.; John, S. Management of the Adult with Arterial Switch. Methodist. Debakey Cardiovasc. J. 2019, 15, 133–137. [Google Scholar] [CrossRef] [PubMed] [PubMed Central]
  4. Moll, M.; Michalak, K.W.; Sobczak-Budlewska, K.; Moll, J.A.; Kopala, M.; Szymczyk, K.; Dryżek, P.; Moll, J.J. Coronary Artery Anomalies in Patients with Transposition of the Great Arteries and Their Impact on Postoperative Outcomes. Ann. Thorac. Surg. 2017, 104, 1620–1628. [Google Scholar] [CrossRef] [PubMed]
  5. Pasquali, S.K.; Hasselblad, V.; Li, J.S.; Kong, D.F.; Sanders, S.P. Coronary artery pattern and outcome of arterial switch operation for transposition of the great arteries: A meta-analysis. Circulation 2002, 106, 2575–2580. [Google Scholar] [CrossRef]
  6. Wang, S.Y.; Zeng, Q.Y.; Zhang, L.; Lv, Q.; Xie, M.X. Impact of Coronary Artery Anatomy in Arterial Switch Operation: In-hospital and Post-discharge Outcomes. Curr. Med. Sci. 2022, 42, 642–649. [Google Scholar] [CrossRef] [PubMed]
  7. Jatene, M.B.; Miana, L.A. Intramural Coronary Artery Course in Jatene Operation for Transposition of Great Arteries: Still a Challange. Braz J. Cardiovasc. Surg. 2016, 31, III. [Google Scholar] [CrossRef] [PubMed] [PubMed Central][Green Version]
  8. Odawara, Y.; Kawamura, N.; Yamasaki, Y.; Hashimoto, J.; Ishikawa, S.; Honda, H. Evaluation of coronary artery variations using dual-source coronary computed tomography angiography in neonates with transposition of the great arteries. Jpn. J. Radiol. 2019, 37, 308–314. [Google Scholar] [CrossRef] [PubMed]
  9. Mishra, A.; Jain, A.; Hinduja, M.; Wadhawa, V.; Patel, R.; Vaidhya, N.; Rodricks, D.; Patel, H. Transposition of Great Arteries with Intramural Coronary Artery: Experience with a Modified Surgical Technique. Braz. J. Cardiovasc. Surg. 2016, 31, 15–21. [Google Scholar] [CrossRef] [PubMed] [PubMed Central]
  10. Metton, O.; Calvaruso, D.; Gaudin, R.; Mussa, S.; Raisky, O.; Bonnet, D.; Sidi, D.; Vouhé, P.R. Intramural coronary arteries and outcome of neonatal arterial switch operation. Eur. J. Cardiothorac. Surg. 2010, 37, 1246–1253. [Google Scholar] [CrossRef] [PubMed]
  11. Haligheri, G.; Patel, C.R.; Komarlu, R. Prenatal Delineation of Coronary Anatomy in Dextro-Transposition of Great Arteries. J. Cardiovasc. Echogr. 2021, 31, 171–174. [Google Scholar] [CrossRef] [PubMed] [PubMed Central]
  12. Kim, H.; Sung, S.C.; Kim, S.H.; Chang, Y.H.; Ahn, H.Y.; Lee, H.D. Arterial Switch Operation in Patients with Intramural Coronary Artery: Early and Mid-Term Results. Korean J. Thorac. Cardiovasc. Surg. 2011, 44, 115–122. [Google Scholar] [CrossRef] [PubMed]
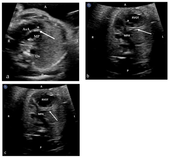
Figure 1. Salient prenatal imaging findings for Patients A and B. Fetal echocardiographic images at the high level of the RVOT (right ventricular outflow tract) of Patient A (a) and Patient B (b,c) at 29 and 5/7 and at 35 and 5/7 weeks’ gestational age, respectively. A coronary artery (arrow) is seen, coursing between the aorta and pulmonary artery and eventually following the anticipated course of the left coronary artery (LCA). Tip of arrow in image (c) points to the LCA bifurcation. * Aortic valve, AsAo = ascending aorta, MPA main pulmonary artery, DsAo = descending aorta. A = anterior, P = posterior, R = right, L = left.
Figure 1. Salient prenatal imaging findings for Patients A and B. Fetal echocardiographic images at the high level of the RVOT (right ventricular outflow tract) of Patient A (a) and Patient B (b,c) at 29 and 5/7 and at 35 and 5/7 weeks’ gestational age, respectively. A coronary artery (arrow) is seen, coursing between the aorta and pulmonary artery and eventually following the anticipated course of the left coronary artery (LCA). Tip of arrow in image (c) points to the LCA bifurcation. * Aortic valve, AsAo = ascending aorta, MPA main pulmonary artery, DsAo = descending aorta. A = anterior, P = posterior, R = right, L = left.
Hearts 05 00049 g001
Figure 2. Salient postnatal imaging findings for Patient A. Focused diagnostic imaging in Patient A demonstrated both coronary systems originating from the right-facing sinus (2LCx*, R—Leiden convention for coronary anatomy) and intramural course of the left main coronary. (a) Trans-thoracic echocardiography demonstrating the left coronary artery as it originates off the right-facing sinus (arrow), with an intramural course as it travels through the intercoronary commissure. (b) CTA demonstrating the coronary arteries arise from separate origins off the posterior rightward-facing aortic cusp of the aorta, where the left coronary artery takes an intramural course (white arrow). Ao = aorta, PA = pulmonary artery, A = anterior, P = posterior, R = right, L = left.
Figure 2. Salient postnatal imaging findings for Patient A. Focused diagnostic imaging in Patient A demonstrated both coronary systems originating from the right-facing sinus (2LCx*, R—Leiden convention for coronary anatomy) and intramural course of the left main coronary. (a) Trans-thoracic echocardiography demonstrating the left coronary artery as it originates off the right-facing sinus (arrow), with an intramural course as it travels through the intercoronary commissure. (b) CTA demonstrating the coronary arteries arise from separate origins off the posterior rightward-facing aortic cusp of the aorta, where the left coronary artery takes an intramural course (white arrow). Ao = aorta, PA = pulmonary artery, A = anterior, P = posterior, R = right, L = left.
Hearts 05 00049 g002
Figure 3. Salient postnatal imaging findings for Patient B. Focused imaging in Patient B demonstrated both coronary systems originating from the right-facing sinus (2LCx*, R) and intramural course of the left main coronary. (a) Trans-thoracic echocardiography for Patient B demonstrating the orifice of the left coronary artery that is eccentric and in close proximity to the intercoronary commissure. The proximal segment of the left coronary artery (white arrow) is inter-arterial, with suspicion of an intramural course. (b) Conventional angiography (RAO 13 degrees, caudal 43 degrees) demonstrating the right and left coronary arteries originating from the rightward-facing sinus (green arrow) and the left coronary coursing behind the aorta prior to its bifurcation (red arrow). Ao = aorta, A = anterior, P = posterior, R = right, L = left.
Figure 3. Salient postnatal imaging findings for Patient B. Focused imaging in Patient B demonstrated both coronary systems originating from the right-facing sinus (2LCx*, R) and intramural course of the left main coronary. (a) Trans-thoracic echocardiography for Patient B demonstrating the orifice of the left coronary artery that is eccentric and in close proximity to the intercoronary commissure. The proximal segment of the left coronary artery (white arrow) is inter-arterial, with suspicion of an intramural course. (b) Conventional angiography (RAO 13 degrees, caudal 43 degrees) demonstrating the right and left coronary arteries originating from the rightward-facing sinus (green arrow) and the left coronary coursing behind the aorta prior to its bifurcation (red arrow). Ao = aorta, A = anterior, P = posterior, R = right, L = left.
Hearts 05 00049 g003
Disclaimer/Publisher’s Note: The statements, opinions and data contained in all publications are solely those of the individual author(s) and contributor(s) and not of MDPI and/or the editor(s). MDPI and/or the editor(s) disclaim responsibility for any injury to people or property resulting from any ideas, methods, instructions or products referred to in the content.

Share and Cite

MDPI and ACS Style

Holbert, J.M.; Gadiraju, M.; Mehta, S.; Kiaffas, M.; Shah, S.S.; Bedzra, E. Transposition of the Great Arteries with Intramural Left Main Coronary Artery—Salient Imaging Findings and Choice of Operative Technique. Hearts 2024, 5, 645-652. https://doi.org/10.3390/hearts5040049

AMA Style

Holbert JM, Gadiraju M, Mehta S, Kiaffas M, Shah SS, Bedzra E. Transposition of the Great Arteries with Intramural Left Main Coronary Artery—Salient Imaging Findings and Choice of Operative Technique. Hearts. 2024; 5(4):645-652. https://doi.org/10.3390/hearts5040049

Chicago/Turabian Style

Holbert, Joshua M., Manasa Gadiraju, Samir Mehta, Maria Kiaffas, Sanket S. Shah, and Edo Bedzra. 2024. "Transposition of the Great Arteries with Intramural Left Main Coronary Artery—Salient Imaging Findings and Choice of Operative Technique" Hearts 5, no. 4: 645-652. https://doi.org/10.3390/hearts5040049

APA Style

Holbert, J. M., Gadiraju, M., Mehta, S., Kiaffas, M., Shah, S. S., & Bedzra, E. (2024). Transposition of the Great Arteries with Intramural Left Main Coronary Artery—Salient Imaging Findings and Choice of Operative Technique. Hearts, 5(4), 645-652. https://doi.org/10.3390/hearts5040049

Article Metrics

Back to TopTop