In Vivo Comparative Study of Calcification in Diepoxy- and Glutaraldehyde-Treated Bovine Pericardial Conduits for RVOT Reconstruction
Abstract
1. Introduction
2. Materials and Methods
2.1. Study Design
2.2. Bovine Pericardial Valved Conduits
- (1)
- For 14 days at room temperature in a 5% buffered DE solution (0.05 M phosphate buffer, pH 7.4), with the solution changed once on day 2;
- (2)
- For 21 days at room temperature in a 0.625% buffered GA solution (0.05 M phosphate buffer, pH 7.4), with the solution replaced on days 2 and 7.
2.3. Conduit Implantation
2.4. Postoperative Treatment
2.5. TEE
2.6. Macro- and Microscopic Evaluation of Explanted Conduits
2.7. Statistical Analysis
3. Results
3.1. Postoperative Period
3.2. TEE Findings
3.3. Macroscopic Evaluation of Explanted Conduits
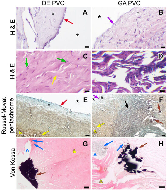
3.4. Histological Analysis of Explanted Conduits
4. Discussion
5. Conclusions
Author Contributions
Funding
Institutional Review Board Statement
Informed Consent Statement
Data Availability Statement
Conflicts of Interest
Abbreviations
| CJS | Conduit joining suture |
| CPB | Cardiopulmonary bypass |
| DE | Diepoxide, ethylene glycol diglycidyl ether |
| DE-PVC | Diepoxy-treated bovine pericardial valved conduit |
| GA | Glutaraldehyde |
| GA-PVC | Glutaraldehyde-treated bovine pericardial valved conduit |
| IQR | Interquartile range |
| Me | Median |
| PA | Pulmonary artery |
| PVC | Bovine pericardial valve conduit |
| RVOT | Right ventricular outflow tract |
| TEE | Transesophageal echocardiography |
References
- Herrmann, J.L.; Brown, J.W. Seven Decades of Valved Right Ventricular Outflow Tract Reconstruction: The Most Common Heart Procedure in Children. J. Thorac. Cardiovasc. Surg. 2020, 160, 1284–1288. [Google Scholar] [CrossRef] [PubMed]
- Huyan, Y.; Chang, Y.; Song, J. Application of Homograft Valved Conduit in Cardiac Surgery. Front. Cardiovasc. Med. 2021, 8, 740871. [Google Scholar] [CrossRef]
- Hazekamp, M.G.; Barron, D.J.; Dangel, J.; Homfray, T.; Jongbloed, M.R.M.; Voges, I.; Anderson, R.H.; Belli, E.; Bellsham-Revell, H.R.; Herberg, U.; et al. Consensus Document on Optimal Management of Patients with Common Arterial Trunk. Eur. J. Cardio-Thorac. Surg. 2021, 60, 7–33. [Google Scholar] [CrossRef] [PubMed]
- Baumgartner, H.; De Backer, J.; Babu-Narayan, S.V.; Budts, W.; Chessa, M.; Diller, G.-P.; lung, B.; Kluin, J.; Lang, I.M.; Meijboom, F.; et al. 2020 ESC Guidelines for the Management of Adult Congenital Heart Disease. Eur. Heart J. 2021, 42, 563–645. [Google Scholar] [CrossRef] [PubMed]
- Sharifulin, R.; Demin, I.; Karaskov, A.; Chernyavsky, A.; Bogachev-Prokophiev, A. What Are the Alternatives to Replace the Pulmonary Root in the Absence of Pulmonary Homografts? Ann Cardiothorac Surg 2021, 10, 524–526. [Google Scholar] [CrossRef]
- Harris, A.G.; Iacobazzi, D.; Caputo, M.; Bartoli-Leonard, F. Graft Rejection in Paediatric Congenital Heart Disease. Transl. Pediatr. 2023, 12, 1572–1591. [Google Scholar] [CrossRef]
- Koziarz, A.; Makhdoum, A.; Butany, J.; Ouzounian, M.; Chung, J. Modes of Bioprosthetic Valve Failure: A Narrative Review. Curr. Opin. Cardiol. 2020, 35, 123–132. [Google Scholar] [CrossRef]
- Attia, R.Q.; Raja, S.G. Surgical Pericardial Heart Valves: 50 Years of Evolution. Int. J. Surg. 2021, 94, 106121. [Google Scholar] [CrossRef]
- Nichay, N.R.; Zhuravleva, I.Y.; Kulyabin, Y.Y.; Timchenko, T.P.; Voitov, A.V.; Kuznetsova, E.V.; Soynov, I.A.; Zubritskiy, A.V.; Bogachev-Prokophiev, A.V.; Karaskov, A.M. In Search of the Best Xenogeneic Material for a Paediatric Conduit: An Analysis of Clinical Data. Interact. Cardiovasc. Thorac. Surg. 2018, 27, 34–41. [Google Scholar] [CrossRef]
- Crago, M.; Winlaw, D.S.; Farajikhah, S.; Dehghani, F.; Naficy, S. Pediatric Pulmonary Valve Replacements: Clinical Challenges and Emerging Technologies. Bioeng. Transl. Med. 2023, 8, e10501. [Google Scholar] [CrossRef]
- Schoen, F.J.; Levy, R.J. Bioprosthetic Heart Valve Calcification: Clinicopathologic Correlations, Mechanisms, and Prevention. In Cardiovascular Calcification and Bone Mineralization; Springer Nature: Berlin/Heidelberg, Germany, 2020; pp. 183–215. [Google Scholar] [CrossRef]
- Goldstone, A.B.; Chiu, P.; Baiocchi, M.; Lingala, B.; Patrick, W.L.; Fischbein, M.P.; Woo, Y.J. Mechanical or Biologic Prostheses for Aortic-Valve and Mitral-Valve Replacement. N. Engl. J. Med. 2017, 377, 1847–1857. [Google Scholar] [CrossRef]
- Manji, R.A.; Ekser, B.; Menkis, A.H.; Cooper, D.K.C. Bioprosthetic Heart Valves of the Future. Xenotransplantation 2014, 21, 1–10. [Google Scholar] [CrossRef]
- Wen, S.; Zhou, Y.; Yim, W.Y.; Wang, S.; Xu, L.; Shi, J.; Qiao, W.; Dong, N. Mechanisms and Drug Therapies of Bioprosthetic Heart Valve Calcification. Front. Pharmacol. 2022, 13, 909801. [Google Scholar] [CrossRef] [PubMed]
- Jorge-Herrero, E.; Paez, J.; Del Castillo-Olivares Ramos, J.L. Tissue Heart Valve Mineralization: Review of Calcification Mechanisms and Strategies for Prevention. J. Appl. Biomater. Biomech. 2005, 3, 67–82. [Google Scholar]
- Kim, K.M.; Herrera, G.A.; Battarbee, H.D. Role of Glutaraldehyde in Calcification of Porcine Aortic Valve Fibroblasts. Am. J. Pathol. 1999, 154, 843–852. [Google Scholar] [CrossRef] [PubMed]
- Zhuravleva, I.Y.; Karpova, E.V.; Dokuchaeva, A.A.; Titov, A.T.; Timchenko, T.P.; Vasilieva, M.B. Calcification of Various Bioprosthetic Materials in Rats: Is It Really Different? Int. J. Mol. Sci. 2023, 24, 7274. [Google Scholar] [CrossRef] [PubMed]
- D’Alessandro, C.C.; Komninou, M.A.; Badria, A.F.; Korossis, S.; Koutsoukos, P.; Mavrilas, D. Calcification Assessment of Bioprosthetic Heart Valve Tissues Using an Improved In Vitro Model. IEEE Trans. Biomed. Eng. 2020, 67, 2453–2461. [Google Scholar] [CrossRef]
- Maizato, M.J.S.; Higa, O.Z.; Mathor, M.B.; Camillo, M.A.P.; Spencer, P.J.; Pitombo, R.N.; Zavaglia, C.A.C.; Leirner, A.A. Glutaraldehyde-treated Bovine Pericardium: Effects of Lyophilization on Cytotoxicity and Residual Aldehydes. Artif. Organs 2003, 27, 692–694. [Google Scholar] [CrossRef]
- Lopez-Moya, M.; Melgar-Lesmes, P.; Kolandaivelu, K.; de la Torre Hernández, J.M.; Edelman, E.R.; Balcells, M. Optimizing Glutaraldehyde-Fixed Tissue Heart Valves with Chondroitin Sulfate Hydrogel for Endothelialization and Shielding against Deterioration. Biomacromolecules 2018, 19, 1234–1244. [Google Scholar] [CrossRef]
- Umashankar, P.; Kumari, T.; Mohanan, P. Glutaraldehyde Treatment Elicits Toxic Response Compared to Decellularization in Bovine Pericardium. Toxicol. Int. 2012, 19, 51. [Google Scholar] [CrossRef]
- Kostyunin, A.E.; Glushkova, T.V.; Lobov, A.A.; Ovcharenko, E.A.; Zainullina, B.R.; Bogdanov, L.A.; Shishkova, D.K.; Markova, V.E.; Asanov, M.A.; Mukhamadiyarov, R.A.; et al. Proteolytic Degradation Is a Major Contributor to Bioprosthetic Heart Valve Failure. J. Am. Heart Assoc. 2023, 12, e028215. [Google Scholar] [CrossRef]
- Nichay, N.R.; Dokuchaeva, A.A.; Kulyabin, Y.Y.; Boyarkin, E.V.; Kuznetsova, E.V.; Rusakova, Y.L.; Murashov, I.S.; Vaver, A.A.; Bogachev-Prokophiev, A.V.; Zhuravleva, I.Y. Epoxy- versus Glutaraldehyde-Treated Bovine Jugular Vein Conduit for Pulmonary Valve Replacement: A Comparison of Morphological Changes in a Pig Model. Biomedicines 2023, 11, 3101. [Google Scholar] [CrossRef] [PubMed]
- Zhuravleva, I.Y.; Nichay, N.R.; Kulyabin, Y.Y.; Timchenko, T.P.; Korobeinikov, A.A.; Polienko, Y.F.; Shatskaya, S.S.; Kuznetsova, E.V.; Voitov, A.V.; Bogachev-Prokophiev, A.V.; et al. In Search of the Best Xenogeneic Material for a Paediatric Conduit: An Experimental Study. Interact. Cardiovasc. Thorac. Surg. 2018, 26, 738–744. [Google Scholar] [CrossRef] [PubMed]
- Nichay, N.R.; Zhuravleva, I.Y.; Kulyabin, Y.Y.; Zubritskiy, A.V.; Voitov, A.V.; Soynov, I.A.; Gorbatykh, A.V.; Bogachev-Prokophiev, A.V.; Karaskov, A.M. Diepoxy- Versus Glutaraldehyde-Treated Xenografts: Outcomes of Right Ventricular Outflow Tract Reconstruction in Children. World J. Pediatr. Congenit. Heart Surg. 2020, 11, 56–64. [Google Scholar] [CrossRef]
- Sharifulin, R.; Bogachev-Prokophiev, A.; Demin, I.; Afanasyev, A.; Ovcharov, M.; Pivkin, A.; Sapegin, A.; Zhuravleva, I.; Karaskov, A. Allografts and Xenografts for Right Ventricular Outflow Tract Reconstruction in Ross Patients. Eur. J. Cardio-Thorac. Surg. 2021, 59, 162–169. [Google Scholar] [CrossRef] [PubMed]
- Song, L. Calcium and Bone Metabolism Indices. Adv. Clin. Chem. 2017, 82, 1–46. [Google Scholar] [CrossRef]
- Dowling, D.J.; Levy, O. Ontogeny of Early Life Immunity. Trends Immunol. 2014, 35, 299–310. [Google Scholar] [CrossRef]
- Verderio, P.; Lecchi, M.; Ciniselli, C.M.; Shishmani, B.; Apolone, G.; Manenti, G. 3Rs Principle and Legislative Decrees to Achieve High Standard of Animal Research. Animals 2023, 13, 277. [Google Scholar] [CrossRef]
- Zhuravleva, I.Y. Biocidal Composition for Aseptic Storage of Preserved Prosthetic Material from Tissues of Animal Origin. RU2580621C1, 10 April 2016. [Google Scholar]
- Grabenwöger, M.; Sider, J.; Fitzal, F.; Zelenka, C.; Windberger, U.; Grimm, M.; Moritz, A.; Böck, P.; Wolner, E. Impact of Glutaraldehyde on Calcification of Pericardial Bioprosthetic Heart Valve Material. Ann. Thorac. Surg. 1996, 62, 772–777. [Google Scholar] [CrossRef]
- Herijgers, P.; Ozaki, S.; Verbeken, E.; Van Lommel, A.; Meuris, B.; Lesaffre, E.; Daenen, W.; Flameng, W. Valved Jugular Vein Segments for Right Ventricular Outflow Tract Reconstruction in Young Sheep. J. Thorac. Cardiovasc. Surg. 2002, 124, 798–805. [Google Scholar] [CrossRef]
- Imamura, E.; Sawatani, O.; Koyanagi, H.; Noishiki, Y.; Miyata, T. Epoxy Compounds As a New Cross-Linking Agent for Porcine Aortic Leaflets: Subcutaneous Implant Studies in Rats. J. Card. Surg. 1989, 4, 50–57. [Google Scholar] [CrossRef] [PubMed]
- Xi, T.; Ma, J.; Tian, W.; Lei, X.; Long, S.; Xi, B. Prevention of Tissue Calcification on Bioprosthetic Heart Valve by Using Epoxy Compounds: A Study of Calcification Tests in Vitro and In Vivo. J. Biomed. Mater. Res. 1992, 26, 1241–1251. [Google Scholar] [CrossRef] [PubMed]
- Ichikawa, Y.; Noishiki, Y.; Kosuge, T.; Yamamoto, K.; Kondo, J.; Matsumoto, A. Use of a Bovine Jugular Vein Graft with Natural Valve for Right Ventricular Outflow Tract Reconstruction: A One-Year Animal Study. J. Thorac. Cardiovasc. Surg. 1997, 114, 224–233. [Google Scholar] [CrossRef]
- Zhuravleva, I.; Karpova, E.; Oparina, L.; Kabos, N.; Ksenofontov, A.; Zhuravleva, A.; Nichay, N.; Bogachev-Prokophiev, A.; Trofimov, B.; Karaskov, A. Bioprosthetic Xenopericardium Preserved with Di- and Penta-Epoxy Compounds: Molecular Cross-Linking Mechanisms, Surface Features and Mechanical Properties. Circ. Pathol. Card. Surg. 2018, 22, 56–68. [Google Scholar] [CrossRef]
- Sato, M.; Hiramatsu, Y.; Matsushita, S.; Sato, S.; Watanabe, Y.; Sakakibara, Y. Shrinkage Temperature and Anti-Calcification Property of Triglycidylamine-Crosslinked Autologous Tissue. J. Artif. Organs 2014, 17, 265–271. [Google Scholar] [CrossRef]
- Scott Taylor, M.; Shalaby, S.W. Sutures. In Biomaterials Science; Elsevier: Amsterdam, The Netherlands, 2013; pp. 1010–1024. [Google Scholar] [CrossRef]
- Zhu, F.; Tong, Y.; Sheng, Z.; Yao, Y. Role of Dendritic Cells in the Host Response to Biomaterials and Their Signaling Pathways. Acta Biomater. 2019, 94, 132–144. [Google Scholar] [CrossRef]
- Ferrans, V.J.; Boyce, S.W.; Billingham, M.E.; Jones, M.; Ishihara, T.; Roberts, W.C. Calcific Deposits in Porcine Bioprostheses: Structure and Pathogenesis. Am. J. Cardiol. 1980, 46, 721–734. [Google Scholar] [CrossRef]
- Liu, J.; Zhong, S.; Lan, H.; Meng, X.; Zhang, H.; Fan, Y.; Wang, Y.; Wang, C.; Wang, Z. Mapping the Calcification of Bovine Pericardium in Rat Model by Enhanced Micro-Computed Tomography. Biomaterials 2014, 35, 8305–8311. [Google Scholar] [CrossRef]
- Vaesken, A.; Pelle, A.; Pavon-Djavid, G.; Rancic, J.; Chakfe, N.; Heim, F. Heart Valves from Polyester Fibers: A Preliminary 6-Month in Vivo Study. Biomed. Eng./Biomed. Tech. 2018, 63, 271–278. [Google Scholar] [CrossRef]
- Liao, K.K.; Li, X.; John, R.; Amatya, D.M.; Joyce, L.D.; Park, S.J.; Bianco, R.; Bolman, R.M. Mechanical Stress: An Independent Determinant of Early Bioprosthetic Calcification in Humans. Ann. Thorac. Surg. 2008, 86, 491–495. [Google Scholar] [CrossRef]
- Tsolaki, E.; Corso, P.; Zboray, R.; Avaro, J.; Appel, C.; Liebi, M.; Bertazzo, S.; Heinisch, P.P.; Carrel, T.; Obrist, D.; et al. Multiscale Multimodal Characterization and Simulation of Structural Alterations in Failed Bioprosthetic Heart Valves. Acta Biomater. 2023, 169, 138–154. [Google Scholar] [CrossRef] [PubMed]
- Zhang, W.; Motiwale, S.; Hsu, M.-C.; Sacks, M.S. Simulating the Time Evolving Geometry, Mechanical Properties, and Fibrous Structure of Bioprosthetic Heart Valve Leaflets under Cyclic Loading. J. Mech. Behav. Biomed. Mater. 2021, 123, 104745. [Google Scholar] [CrossRef] [PubMed]
- Zareian, R.; Tseng, J.-C.; Fraser, R.; Meganck, J.; Kilduff, M.; Sarraf, M.; Dvir, D.; Kheradvar, A. Effect of Stent Crimping on Calcification of Transcatheter Aortic Valves. Interact. Cardiovasc. Thorac. Surg. 2019, 29, 64–73. [Google Scholar] [CrossRef]
- Schoen, F.J.; Levy, R.J. Calcification of Tissue Heart Valve Substitutes: Progress Toward Understanding and Prevention. Ann. Thorac. Surg. 2005, 79, 1072–1080. [Google Scholar] [CrossRef] [PubMed]
- Badria, A.F.; Koutsoukos, P.G.; Mavrilas, D. Decellularized Tissue-Engineered Heart Valves Calcification: What Do Animal and Clinical Studies Tell Us? J. Mater. Sci. Mater. Med. 2020, 31, 132. [Google Scholar] [CrossRef]
- Whelan, A.; Williams, E.; Fitzpatrick, E.; Murphy, B.P.; Gunning, P.S.; O’Reilly, D.; Lally, C. Collagen Fibre-Mediated Mechanical Damage Increases Calcification of Bovine Pericardium for Use in Bioprosthetic Heart Valves. Acta Biomater. 2021, 128, 384–392. [Google Scholar] [CrossRef]
- Levy, R.J.; Schoen, F.J.; Levy, J.T.; Nelson, A.C.; Howard, S.L.; Oshry, L.J. Biologic Determinants of Dystrophic Calcification and Osteocalcin Deposition in Glutaraldehyde-Preserved Porcine Aortic Valve Leaflets Implanted Subcutaneously in Rats. Am. J. Pathol. 1983, 113, 143–155. [Google Scholar]
- Christ, T.; Paun, A.C.; Grubitzsch, H.; Holinski, S.; Falk, V.; Dushe, S. Long-Term Results after the Ross Procedure with the Decellularized AutoTissue Matrix P® Bioprosthesis Used for Pulmonary Valve Replacement. Eur. J. Cardio-Thorac. Surg. 2019, 55, 885–892. [Google Scholar] [CrossRef]
- Beckerman, Z.; De León, L.E.; Zea-Vera, R.; Mery, C.M.; Fraser, C.D. High Incidence of Late Infective Endocarditis in Bovine Jugular Vein Valved Conduits. J. Thorac. Cardiovasc. Surg. 2018, 156, 728–734. [Google Scholar] [CrossRef]
- Vidavsky, N.; Kunitake, J.A.M.R.; Estroff, L.A. Multiple Pathways for Pathological Calcification in the Human Body. Adv. Healthc. Mater. 2021, 10, 2001271. [Google Scholar] [CrossRef]
- Rodriguez, E.R.; Tan, C.D. Structure and Anatomy of the Human Pericardium. Prog. Cardiovasc. Dis. 2017, 59, 327–340. [Google Scholar] [CrossRef] [PubMed]
- Hoit, B.D. Anatomy and Physiology of the Pericardium. Cardiol. Clin. 2017, 35, 481–490. [Google Scholar] [CrossRef] [PubMed]
- Nishi, C.; Nakajima, N.; Ikada, Y. In Vitro Evaluation of Cytotoxicity of Diepoxy Compounds Used for Biomaterial Modification. J. Biomed. Mater. Res. 1995, 29, 829–834. [Google Scholar] [CrossRef] [PubMed]
- Sung, H.-W.; Huang, R.-N.; Huang, L.L.H.; Tsai, C.-C. In Vitro Evaluation of Cytotoxicity of a Naturally Occurring Cross-Linking Reagent for Biological Tissue Fixation. J. Biomater. Sci. Polym. Ed. 1999, 10, 63–78. [Google Scholar] [CrossRef]
- Gabbay, S.; Bortolotti, U.; Factor, S.; Shore, D.F.; Frater, R.W.M. Calcification of Implanted Xenograft Pericardium. J. Thorac. Cardiovasc. Surg. 1984, 87, 782–787. [Google Scholar] [CrossRef]
- Bell, D.; Prabhu, S.; Betts, K.; Justo, R.; Venugopal, P.; Karl, T.R.; Alphonso, N. Durability of Tissue-Engineered Bovine Pericardium (CardioCel®) for a Minimum of 24 Months When Used for the Repair of Congenital Heart Defects. Interact. Cardiovasc. Thorac. Surg. 2019, 28, 284–290. [Google Scholar] [CrossRef]
- Chang, Y.; Liang, H.; Wei, H.; Chu, C.; Sung, H. Tissue Regeneration Patterns in Acellular Bovine Pericardia Implanted in a Canine Model as a Vascular Patch. J. Biomed. Mater. Res. A 2004, 69, 323–333. [Google Scholar] [CrossRef]
- Eybl, E.; Griesmacher, A.; Grimm, M.; Wolner, E. Toxic Effects of Aldehydes Released from Fixed Pericardium on Bovine Aortic Endothelial Cells. J. Biomed. Mater. Res. 1989, 23, 1355–1365. [Google Scholar] [CrossRef]
- Wiebe, D.; Megerman, J.; L’Italien, G.J.; Abbott, W.M. Glutaraldehyde Release from Vascular Prostheses of Biologic Origin. Surgery 1988, 104, 26–33. [Google Scholar]
- Grimm, M.; Eybl, E.; Grabenwöger, D.M.; Griesmacher, A.; Losert, U.; Böck, P.; Müller, M.M.; Wolner, E. Biocompatibility of Aldehyde-Fixed Bovine Pericardium. J. Thorac. Cardiovasc. Surg. 1991, 102, 195–201. [Google Scholar] [CrossRef]
- Bondarenko, N.A.; Surovtseva, M.A.; Lykov, A.P.; Kim, I.I.; Zhuravleva, I.Y.; Poveschenko, O.V. Cytotoxicity of Xenogeneic Pericardium Preserved by Epoxy Cross-Linking Agents. Sovrem. Tehnol. V Med. 2021, 13, 27. [Google Scholar] [CrossRef] [PubMed]
- Lemson, M.S.; Tordoir, J.H.M.; Daemen, M.J.A.P.; Kitslaar, P.J.E.H.M. Intimal Hyperplasia in Vascular Grafts. Eur. J. Vasc. Endovasc. Surg. 2000, 19, 336–350. [Google Scholar] [CrossRef] [PubMed]
- Berdajs, D.; Mosbahi, S.; Vos, J.; Charbonnier, D.; Hullin, R.; von Segesser, L.K. Fluid Dynamics Simulation of Right Ventricular Outflow Tract Oversizing. Interact. Cardiovasc. Thorac. Surg. 2015, 21, 176–182. [Google Scholar] [CrossRef]
- Steiner, I.; Kašparová, P.; Kohout, A.; Dominik, J. Bone Formation in Cardiac Valves: A Histopathological Study of 128 Cases. Virchows. Archiv. 2007, 450, 653–657. [Google Scholar] [CrossRef]
- Mathieu, P.; Roussel, J.C.; Dagenais, F.; Anegon, I. Cartilaginous Metaplasia and Calcification in Aortic Allograft Is Associated with Transforming Growth Factor Β1 Expression. J. Thorac. Cardiovasc. Surg. 2003, 126, 1449–1454. [Google Scholar] [CrossRef]
- Mohler, E.R.; Gannon, F.; Reynolds, C.; Zimmerman, R.; Keane, M.G.; Kaplan, F.S. Bone Formation and Inflammation in Cardiac Valves. Circulation 2001, 103, 1522–1528. [Google Scholar] [CrossRef] [PubMed]
- Fuery, M.A.; Liang, L.; Kaplan, F.S.; Mohler, E.R. Vascular Ossification: Pathology, Mechanisms, and Clinical Implications. Bone 2018, 109, 28–34. [Google Scholar] [CrossRef]
- Huang, Y.; Wang, X.; Lin, H. The Hypoxic Microenvironment: A Driving Force for Heterotopic Ossification Progression. Cell Commun. Signal. 2020, 18, 20. [Google Scholar] [CrossRef]
- de Valence, S.; Tille, J.-C.; Mugnai, D.; Mrowczynski, W.; Gurny, R.; Möller, M.; Walpoth, B.H. Long Term Performance of Polycaprolactone Vascular Grafts in a Rat Abdominal Aorta Replacement Model. Biomaterials 2012, 33, 38–47. [Google Scholar] [CrossRef]
- Santibáñez-Salgado, J.; Olmos-Zúñiga, J.; Pérez-López, M.; Aboitiz-Rivera, C.; Gaxiola-Gaxiola, M.; Jasso-Victoria, R.; Sotres-Vega, A.; Baltazares-Lipp, M.; Pérez-Covarrubias, D.; Villalba-Caloca, J. Lyophilized Glutaraldehyde-Preserved Bovine Pericardium for Experimental Atrial Septal Defect Closure. Eur. Cell. Mater. 2010, 19, 158–165. [Google Scholar] [CrossRef]
- Findeisen, K.; Morticelli, L.; Goecke, T.; Kolbeck, L.; Ramm, R.; Höffler, H.; Brandes, G.; Korossis, S.; Haverich, A.; Hilfiker, A. Toward Acellular Xenogeneic Heart Valve Prostheses: Histological and Biomechanical Characterization of Decellularized and Enzymatically Deglycosylated Porcine Pulmonary Heart Valve Matrices. Xenotransplantation 2020, 27. [Google Scholar] [CrossRef] [PubMed]
- Bozso, S.J.; EL-Andari, R.; Al-Adra, D.; Moon, M.C.; Freed, D.H.; Nagendran, J.; Nagendran, J. A Review of the Immune Response Stimulated by Xenogenic Tissue Heart Valves. Scand. J. Immunol. 2021, 93, e13018. [Google Scholar] [CrossRef] [PubMed]
- Kim, M.; Lee, W.; Kim, K.; Lim, H.; Kim, Y.J. A Preclinical Trial of Perventricular Pulmonary Valve Implantation: Pericardial versus Aortic Porcine Valves Mounted on Self-expandable Stent. Artif. Organs 2021, 45, E89–E100. [Google Scholar] [CrossRef] [PubMed]
- Attmann, T.; Quaden, R.; Freistedt, A.; König, C.; Cremer, J.; Lutter, G. Percutaneous Heart Valve Replacement: Histology and Calcification Characteristics of Biological Valved Stents in Juvenile Sheep. Cardiovasc. Pathol. 2007, 16, 165–170. [Google Scholar] [CrossRef]
- Flameng, W.; Hermans, H.; Verbeken, E.; Meuris, B. A Randomized Assessment of an Advanced Tissue Preservation Technology in the Juvenile Sheep Model. J. Thorac. Cardiovasc. Surg. 2015, 149, 340–345. [Google Scholar] [CrossRef]











| Parameter | DE-PVC (n = 12) | GA-PVC (n = 4) | p |
|---|---|---|---|
| Me (IQR) | |||
| Animal gender, ♂/♀, n (%) | 4/8 (33.3/66.7%) | 2/2 (50.0/50.0%) | 0.489 |
| Weight at surgery, kg | 61 (52.5–71.5) | 46.5 (39–48.5) | 0.008 |
| Age at surgery, year | 1 (0.9–1.7) | 1 (0.8–1) | 0.212 |
| Conduit diameter, n (%): | 0.180 | ||
| 14 mm | 3 (25.0%) | 3 (75.0%) | |
| 16 mm | 6 (50.0%) | 1 (25.0%) | |
| 18 mm | 3 (25.0%) | 0 | |
| Cannulation technique: | 0.728 | ||
| central, n (%) | 9 (75.0%) | 3 (75.0%) | |
| peripheral, n (%) | 3 (25.0%) | 1 (25.0%) | |
| CPB time, min | 72.5 (67.5–87.5) | 67.5 (47–102) | 0.684 |
| Overall mechanical ventilation, h | 5.5 (5.0–6.5) | 6.0 (4.5–6.5) | 0.953 |
| Inotropic support, n (%): | 0.393 | ||
| Not used | 9 (75.0%) | 4 (100%) | |
| Dopamine (2.5–10 µg/kg/min) | 3 (25.0%) | 0 | |
| Parameter | Intraoperative (n = 16) | 3 Months Follow-up (n = 15) | 6 Months Follow-up (n = 13) | p |
|---|---|---|---|---|
| Me (IQR) | ||||
| Weight, kg | 54 (48.5–68.5) | 65 (58–72) | 75 (72–80) | <0.001 |
| Gradient at the proximal region, mmHg | ||||
| Peak | 16.4 (11–20.5) | 21 (14–35) | 29 (12.6–65) | 0.183 |
| Mean | 8.2 (7.2–10.5) | 14 (9.2–21) | 18 (7.3–39) | 0.266 |
| Gradient at the distal region, mmHg | ||||
| Peak | 17.9 (13–23) | 29 (12.6–65) | 42 (32–72) | 0.002 |
| Mean | 11.5 (8.5–16) | 18 (7.3–39) | 25 (21–48) | 0.003 |
| Conduit valve regurgitation, n (%): | 0.026 | |||
| None/trivial | 11 (68.8%) | 11 (73.3%) | 3 (23.1%) | |
| Mild | 5 (31.2%) | 4 (26.7%) | 8 (61.5%) | |
| Moderate | 0 | 0 | 2 (15.4%) | |
| No. | Follow-Up, Months | Neointimal Layer Properties | Endothelial Layer | |
|---|---|---|---|---|
| Graft Wall | Graft Leaflet | |||
| DE-PVC | ||||
| 1 | 6 | Uniform layer From 220 µm to 260 µm | Absent | Completely covered the graft wall |
| 2 | 6 | Uniform layer From 299 µm to 417 µm | ~186–290 µm | Completely covered the graft wall, extended onto the graft leaflets |
| 3 | 6 | From 0 µm to 473 µm | Absent | Completely covered the graft wall |
| 4 Proximal and distal gradients | 6 | From 323 µm to 779 µm | ≤176 µm | Completely covered the graft wall, extended onto the graft leaflets |
| 5 | 6 | Uniform layer From 329 µm to 406 µm | ~120–158 µm | Completely covered the graft wall, extended onto the graft leaflets |
| 6 Proximal and distal gradients | 6 | From 315 µm to 997 µm Neoangiogenesis in the neointimal layer | ≤319 µm | Completely covered the graft wall, extended onto the graft leaflets |
| 7 Distal gradient | 6 | From 220 µm to 1010 µm Neoangiogenesis in the neointimal layer | ≤193 µm | Completely covered the graft wall, extended onto the graft leaflets |
| 8 | 6 | Uniform layer From 122 µm to 437 µm | ≤285 µm | Completely covered the graft wall, extended onto the graft leaflets |
| 9 | 6 | Uniform layer From 163 µm to 287 µm | ≤176 µm | Completely covered the graft wall, extended onto the graft leaflets |
| 10 Non-conduit-related death | 2.5 | Uniform layer From 348 µm to 410 µm | ≤310 µm | Completely covered the graft wall, extended onto the graft leaflets |
| 11 | 6 | Uniform layer From 221 µm to 389 µm | ≤250 µm | Completely covered the graft wall, extended onto the graft leaflets |
| GA-PVC | ||||
| 1 Conduit-related death | 4.8 | Irregular layer From 648 µm to 1869 µm Overlap onto the native PA Neoangiogenesis in the neointimal layer | ≤497 µm Leaflet adhesion to the wall | Partially covered the anastomosis areas |
| 2 Proximal and distal gradients | 6 | Irregular layer From 264 µm to 852 µm Overlap onto the native PA Subneointimal chondroid metaplasia | ≤221 µm | Partially covered the anastomosis areas |
| 3 Proximal and distal gradients | 6 | Irregular layer From 309 µm to 970 µm Subneointimal chondroid metaplasia | ≤376 µm | Partially covered the anastomosis areas |
Disclaimer/Publisher’s Note: The statements, opinions and data contained in all publications are solely those of the individual author(s) and contributor(s) and not of MDPI and/or the editor(s). MDPI and/or the editor(s) disclaim responsibility for any injury to people or property resulting from any ideas, methods, instructions or products referred to in the content. |
© 2025 by the authors. Licensee MDPI, Basel, Switzerland. This article is an open access article distributed under the terms and conditions of the Creative Commons Attribution (CC BY) license (https://creativecommons.org/licenses/by/4.0/).
Share and Cite
Nichay, N.R.; Dokuchaeva, A.A.; Kuznetsova, E.V.; Zhuravleva, I.Y.; Kulyabin, Y.Y.; Boyarkin, E.V.; Malakhova, O.Y.; Timchenko, T.P.; Rusakova, Y.L.; Bogachev-Prokophiev, A.V. In Vivo Comparative Study of Calcification in Diepoxy- and Glutaraldehyde-Treated Bovine Pericardial Conduits for RVOT Reconstruction. Prosthesis 2025, 7, 67. https://doi.org/10.3390/prosthesis7030067
Nichay NR, Dokuchaeva AA, Kuznetsova EV, Zhuravleva IY, Kulyabin YY, Boyarkin EV, Malakhova OY, Timchenko TP, Rusakova YL, Bogachev-Prokophiev AV. In Vivo Comparative Study of Calcification in Diepoxy- and Glutaraldehyde-Treated Bovine Pericardial Conduits for RVOT Reconstruction. Prosthesis. 2025; 7(3):67. https://doi.org/10.3390/prosthesis7030067
Chicago/Turabian StyleNichay, Nataliya R., Anna A. Dokuchaeva, Elena V. Kuznetsova, Irina Y. Zhuravleva, Yuriy Y. Kulyabin, Eugene V. Boyarkin, Oxana Y. Malakhova, Tatiana P. Timchenko, Yanina L. Rusakova, and Alexander V. Bogachev-Prokophiev. 2025. "In Vivo Comparative Study of Calcification in Diepoxy- and Glutaraldehyde-Treated Bovine Pericardial Conduits for RVOT Reconstruction" Prosthesis 7, no. 3: 67. https://doi.org/10.3390/prosthesis7030067
APA StyleNichay, N. R., Dokuchaeva, A. A., Kuznetsova, E. V., Zhuravleva, I. Y., Kulyabin, Y. Y., Boyarkin, E. V., Malakhova, O. Y., Timchenko, T. P., Rusakova, Y. L., & Bogachev-Prokophiev, A. V. (2025). In Vivo Comparative Study of Calcification in Diepoxy- and Glutaraldehyde-Treated Bovine Pericardial Conduits for RVOT Reconstruction. Prosthesis, 7(3), 67. https://doi.org/10.3390/prosthesis7030067

