Computed Tomography Analysis of the Manufacture of Cast Head-Bust Figurines by Patricia ‘Pat’ Elvins (1922–2011)
Abstract
1. Introduction
- (1)
- The artist (caster) used a different compound for the matrix of the casts (e.g., dental stone vs. Plaster of Paris);
- (2)
- The artist included extraneous material (e.g., metal or stone) in the casts to increase the heft of the figurine and, thus, make it feel more substantial;
- (3)
- Or the core of the casts of lighter specimens is partially hollow.
1.1. Casting Compounds
1.2. The Use of Computed Tomography (CT) in Heritage Studies
2. Materials and Methods
2.1. The Samples
2.2. Control Samples
2.3. Instrumentation and Data Collection
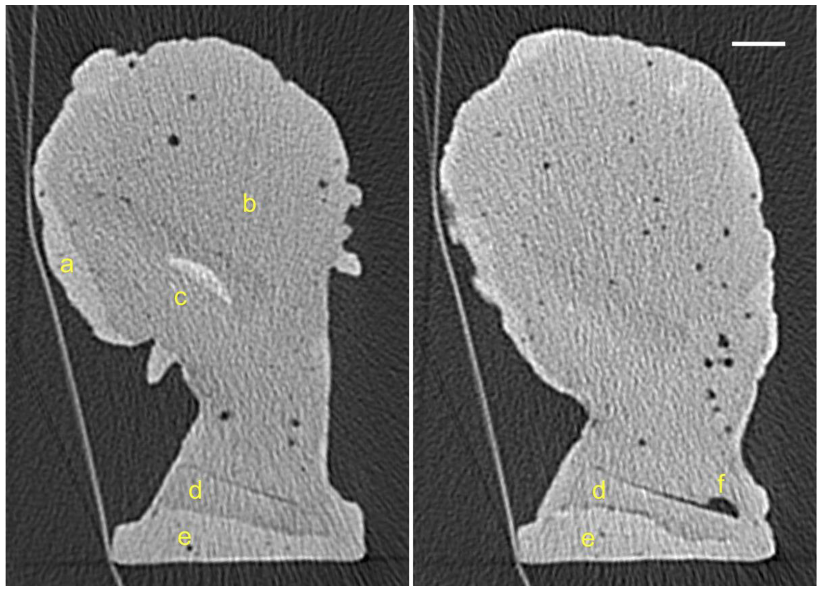
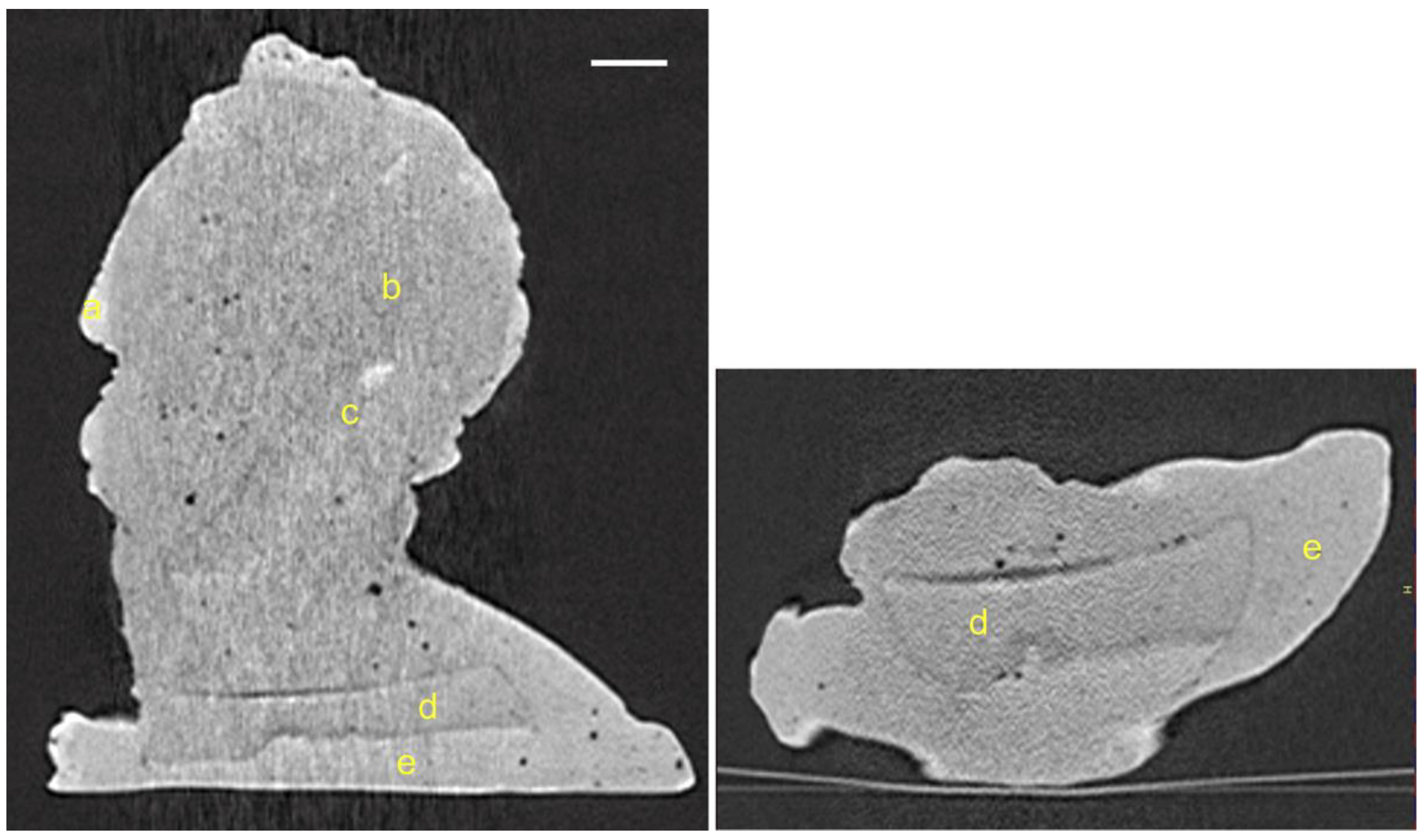
2.4. Data Interpretation and Measurements
2.5. Terminology
2.6. Statistics
3. Results
3.1. Male Figurines
3.2. Female Figurines
3.3. Controls
3.4. Matrix Densities
4. Discussion
4.1. Effects of Casting Plaster Preparation
4.2. Effects of the Casting Process
4.3. Identification of the Raw Material Used
5. Conclusions
Author Contributions
Funding
Institutional Review Board Statement
Data Availability Statement
Acknowledgments
Conflicts of Interest
References
- Wilson, R.D.; Wilkie, M. Bringing Them Home: Report of the National Inquiry into the Separation of Aboriginal and Torres Strait Islander Children from their Families; Human Rights and Equal Opportunity Commission: Canberra, Australia, 1997. [Google Scholar]
- Spennemann, D.H.R. Appropriating “Aboriginal” Australian Art in the Atomic Age. Cultural Appropriation and Stereotyping of Indigenous Australia in Gift and Souvenirs Ware of the 1950s to 1970s; Revised ed.; Retrospect: Albury, Australia, 2022. [Google Scholar]
- Conor, L. The ‘Piccaninny’: Racialized childhood, disinheritance, acquisition and child beauty. Postcolonial Stud. 2012, 15, 45–68. [Google Scholar] [CrossRef]
- Spennemann, D.H.R. Mid-Century Souvenirs of the Australian Outback: The portrayal of Indigenous Australians in Pat Elvins’ Sculptures. Arts 2023, in press. [Google Scholar]
- Informed decisions. Alice Springs Town Council LGA Community Profile. Available online: https://profile.id.com.au/rda-northern-territory/about?WebID=100 (accessed on 14 December 2022).
- Grimm, D. Pat’s sculptures feature many dimensions. Cent. Advocate 1988, 2. [Google Scholar]
- Anonymous. Native Figurines as Souvenirs. Age 1963, 11. [Google Scholar]
- Erickson, D. Commercial Art Pottery in Western Australia 1920s–1960s. Australiana 2003, 25, 28–35. [Google Scholar]
- Watt, R. Trying to preserve a culture. New art works tell old, old stories. Cent. Advocate 1971, 16. [Google Scholar]
- Anonymous. Artist claims work ‘pirated’. Cent. Advocate 1972. [Google Scholar]
- Harrington, E. Pat Elvins Aborigial Bust [Comment to a FaceBook Post by Vintage Hidden Gems]. 2022. Available online: https://m.facebook.com/115748969831713/photos/pcb.821829935890276/821829612556975/?type=3&eid=ARBEid1dAkcqsriGZiux90EDsKlgibEESzxqSlK8tdKBcNs2u8GqiLdo7TAY1fUEbovDb6v28qiop6ip (accessed on 7 February 2022).
- Promey, S.M. Chalkware, Plaster, Plaster of Paris. Medium Study. Conversat. Online J. Cent. Study Mater. Vis. Cult. Relig. 2014. [Google Scholar] [CrossRef]
- Clarke, C.D. Molding and Casting: Its Technic and Application; for Moulage Workers, Sculptors, Artists, Physicians, Dentists, Criminologists, Craftsmen, Pattern Makers and Architectural Modelers; John D. Lucas Company: Perrineville, NJ, USA, 1938. [Google Scholar]
- Spennemann, D.H.R. Stanislas Sorel’s zinc-based paints. Trans. Inst. Met. Finish. 2020, 98, 8–13. [Google Scholar] [CrossRef]
- Brown, S. Chatting with Centralians. A Recorded History of Thirty Centralians; Historical Society of the Northern Territory: Casuarina, Australia, 1998. [Google Scholar]
- Bibb, R.; McKnight, L. Identification of bird taxa species in ancient Egyptian mummies: Part 2, a qualitative evaluation of the utility of CT scanning and 3D printing. J. Archaeol. Sci. Rep. 2022, 46, 103668. [Google Scholar] [CrossRef]
- Sutherland, M.L. Use of Computed Tomography scanning in a ‘virtual’ bioarchaeology of care analysis of a Central Coast Peruvian mummy bundle. Int. J. Paleopathol. 2019, 25, 129–138. [Google Scholar] [CrossRef] [PubMed]
- Ventura, L.; Fornaciari, G.; Calabrese, A.; Arrizza, L.; Fornaciari, A. Paleopathology of a 19th century mummy of a nobleman from Popoli, central Italy. Med. Hist. 2020, 4, 29–34. [Google Scholar]
- Lynnerup, N. Medical Imaging of Mummies and Bog Bodies—A Mini-Review. Gerontology 2009, 56, 441–448. [Google Scholar] [CrossRef] [PubMed]
- Ventura, L.; Bruno, F.; Barile, A.; Masciocchi, C. Bilateral fabella in the mummy of the Blessed Jean Bassand (c. 1360–1445): A unique description in ancient human remains. Int. J. Osteoarchaeol. 2021, 31, 1276–1279. [Google Scholar] [CrossRef]
- Ngan-Tillard, D.; Zeiler, J. Neolithic Human Diet Based on Studies of Coprolites from the Swifterbant Culture Sites, the Netherlands: Micro-CT scanning analysis. In Neolithic Human Diet Based on Studies of Coprolites from the Swifterbant Culture Sites, the Netherlands; Cultural Heritage Agency of the Netherlands: The Hague, The Netheralnds, 2022; pp. 45–60. [Google Scholar]
- Wilson, P.F.; Smith, M.P.; Hay, J.; Warnett, J.M.; Attridge, A.; Williams, M.A. X-ray computed tomography (XCT) and chemical analysis (EDX and XRF) used in conjunction for cultural conservation: The case of the earliest scientifically described dinosaur Megalosaurus bucklandii. Herit. Sci. 2018, 6, 58. [Google Scholar] [CrossRef]
- Bossema, F.G.; Coban, S.B.; Kostenko, A.; van Duin, P.; Dorscheid, J.; Garachon, I.; Hermens, E.; van Liere, R.; Batenburg, K.J. Integrating expert feedback on the spot in a time-efficient explorative CT scanning workflow for cultural heritage objects. J. Cult. Herit. 2021, 49, 38–47. [Google Scholar] [CrossRef]
- Bulcke, J.V.D.; Van Loo, D.; Dierick, M.; Masschaele, B.; Van Hoorebeke, L.; Van Acker, J. Nondestructive research on wooden musical instruments: From macro- to microscale imaging with lab-based X-ray CT systems. J. Cult. Herit. 2017, 27, S78–S87. [Google Scholar] [CrossRef]
- Dorscheid, J.; Bossema, F.G.; van Duin, P.; Coban, S.B.; van Liere, R.; Batenburg, K.J.; Di Stefano, G.P. Looking under the skin: Multi-scale CT scanning of a peculiarly constructed cornett in the Rijksmuseum. Herit. Sci. 2022, 10, 161. [Google Scholar] [CrossRef]
- Bello, S.; De Groote, I.; Delbarre, G. Application of 3-dimensional microscopy and micro-CT scanning to the analysis of Magdalenian portable art on bone and antler. J. Archaeol. Sci. 2013, 40, 2464–2476. [Google Scholar] [CrossRef]
- Masson-Berghoff, A.; O’Flynn, D. Absent, invisible or revealed ‘relics’? X-radiography and CT scanning of Egyptian bronze votive boxes from Naukratis and elsewhere. Br. Mus. Stud. Anc. Egypt Sudan 2019, 24, 159–174. [Google Scholar]
- Björngrim, N.; Myronycheva, O.; Fjellström, P.-A. The use of large-scale X-ray computed tomography for the evaluation of damaged structural elements from an old timber bridge. Wood Mater. Sci. Eng. 2022, 17, 1028–1029. [Google Scholar] [CrossRef]
- Rankin, K.E.; Hazell, Z.J.; Middleton, A.M.; Mavrogordato, M.N. Micro-focus X-ray CT scanning of two rare wooden objects from the wreck of the London, and its application in heritage science and conservation. J. Archaeol. Sci. Rep. 2021, 39, 103158. [Google Scholar] [CrossRef]
- Okochi, T. A nondestructive dendrochronological study on japanese wooden shinto art sculptures using micro-focus X-ray Computed Tomography (CT): Reviewing two methods for scanning objects of different sizes. Dendrochronologia 2016, 38, 1–10. [Google Scholar] [CrossRef]
- Domínguez-Delmás, M.; Bossema, F.G.; van der Mark, B.; Kostenko, A.; Coban, S.B.; van Daalen, S.; van Duin, P.; Batenburg, K.J. Dating and provenancing the Woman with lantern sculpture—A contribution towards attribution of Netherlandish art. J. Cult. Herit. 2021, 50, 179–187. [Google Scholar] [CrossRef]
- Daly, A.; Streeton, N.L.W. Non-invasive dendrochronology of late-medieval objects in Oslo: Refinement of a technique and discoveries. Appl. Phys. A 2017, 123, 431. [Google Scholar] [CrossRef]
- Badde, A.; Illerhaus, B. Three Dimensional Computerized Microtomography in the Analysis of Sculpture. Scanning 2008, 30, 16–26. [Google Scholar] [CrossRef]
- Vuola, K.; Reijonen, H.; Kaasalainen, T.; Saat, R. Medieval Wood Sculpture of an Unknown Saint from Nousiainen: From Materials to Meaning. Mirator 2018, 19, 43–66. [Google Scholar]
- Munsell Color. Munsell Soil Color Charts; Macbeth Division of Kollmorgen Instruments: Baltimore, MD, USA, 1975. [Google Scholar]
- Gerharz, R.R.; Lantermann, R.; Spennemann, D.H.R. Munsell Color Charts: A necessity for archaeologists? Aust. J. Hist. Archaeol. 1988, 6, 88–95. [Google Scholar]
- Madansky, A. Alternative Approaches to Significance Testing with Weighted Means; The Analytical Group, Inc.: Chicago, IL, USA, 2020. [Google Scholar]
- Analytical Group. SigTest [Significance Calculator]. 2020. Available online: https://www.analyticalgroup.com/download/Alternative%20Approaches.pdf (accessed on 15 February 2023).
- Grehn, M.; Stille, M.; Ziemann, C.; Cremers, F.; Rades, D.; Buzug, T.M. A New Phantom for Individual Verification of the Dose Distribution in Precision Radiotherapy for Head-and-Neck Cancer. Anticancer Res. 2019, 39, 6931–6938. [Google Scholar] [CrossRef]
- Alrehily, F.; Hogg, P.; Twiste, M.; Johansen, S.; Tootell, A. Development and validation of a bespoke phantom to test accuracy of Cobb angle measurements. Radiography 2019, 26, e78. [Google Scholar] [CrossRef]
- Schneider, U.; Pedroni, E.; Lomax, A. The calibration of CT Hounsfield units for radiotherapy treatment planning. Phys. Med. Biol. 1996, 41, 111–124. [Google Scholar] [CrossRef] [PubMed]
- Ali, A.M.; Hogg, P.; Johansen, S.; England, A. Construction and validation of a low cost paediatric pelvis phantom. Eur. J. Radiol. 2018, 108, 84–91. [Google Scholar] [CrossRef]
- Babcock, L.E. Casting with plaster of Paris. Paleontol. Soc. Spec. Publ. 1989, 4, 320–325. [Google Scholar] [CrossRef]
- Norsker, H.; Danisch, J. Mouldmaking and Plaster of Paris. In Forming Techniques—For the Self-Reliant Potter; Norsker, H., Ed.; Springer: Berlin/Heidelberg, Germany, 1991; pp. 114–147. [Google Scholar]


















| Code | Signature | Dimensions | Weight | Color |
|---|---|---|---|---|
| Male Figurines | ||||
| OMB1 | E & B | 103 × 73 × 113 mm | 408.3 g | 10 YR 6.5/8 |
| OMB2 | E & B | 103 × 60 × 104 mm | 400.3 g | 10 YR 6.5/7 |
| OME1 | Pat Elvins | 102 × 67 × 113 mm | 402.4 g | 5 YR 6.5/7 |
| OMM1 | E & M | 101 × 70 × 103 mm | 262.9 g | 10 YR 6.5/5 |
| OMM2 | E & M | 99 × 67 × 117 mm | 285.9 g | 10 YR 4.5/6 |
| OMM3 | E & M | 101 × 70 × 105 mm | 259.5 g | 10 YR 4.5/5 |
| OMM4 | E & M | 101 × 64 × 106 mm | 376.3 g | 10 YR 7/5 |
| OMP1 | E & P | 100 × 71 × 104 mm | 312.3 g | 10 YR 6.5/7 |
| Female Figurines | ||||
| OWB1 | E & B | 93 × 65 × 95 mm | 308.4 g | 10 YR 5.5/8 |
| OWM1 | E & M | 95 × 61 × 97 mm | 258.2 g | 10 YR 7.5/5 |
| OWM2 | E & M | 93 × 66 × 96 mm | 269.2 g | 10 YR 7/6 |
| OWP1 | E & P | 94 × 65 × 96 mm | 260.6 g | 10 YR 6.5/6 |
| OWP2 | E & P | 94 × 65 × 96 mm | 258.7 g | 10 YR 7.5/4 |
| Code | Manufacturer | Brand | H2O mL/100 g | Stated Strength (mPa) at 1 h/24 h |
|---|---|---|---|---|
| DP | Ainsworth | Dental plaster | 45–50 * | 10/15 |
| G | Lordell | Gypsum Yellowstone | 33 * | 24/n.s. |
| O | Ainsworth | Ortho plaster | 33–35 * | 21/41 |
| PH | Investo | Patternstone H | 32 * | 28/70 |
| PH 15 | Investo | Patternstone H | 48 ** | ? |
| PH 20 | Investo | Patternstone H | 64 ** | ? |
| PL | Dingo | Plaster of Paris | 75 | n/a |
| Y | Ainsworth | Yellowstone | 28–30 * | 25/51 |
| Main Matrix | Edge Matrix | t-Test | Globular Cavities in Main Matrix | ||||||||
|---|---|---|---|---|---|---|---|---|---|---|---|
| Sample | Avg | Std | n | Avg | Std | n | p | Avg | Std | n | /100 mm2 |
| Controls | |||||||||||
| DP | 1278.23 | 156.09 | 10 | — | — | — | — | — | — | — | — |
| G | 2109.44 | 149.80 | 10 | — | — | — | — | — | — | — | — |
| O | 2053.45 | 148.78 | 10 | — | — | — | — | — | — | — | — |
| PH | 2059.61 | 160.60 | 10 | — | — | — | — | — | — | — | — |
| PH 15 | 1943.71 | 159.71 | 10 | — | — | — | — | — | — | — | — |
| PH 20 | 1824.46 | 176.91 | 10 | — | — | — | — | — | — | — | — |
| PL | 1030.84 | 193.84 | 10 | — | — | — | — | — | — | — | — |
| Y | 2267.45 | 154.35 | 10 | — | — | — | — | — | — | — | — |
| Male Figurines | |||||||||||
| OMB1 | 1432.18 | 627.89 | 10 | — | — | — | — | −1433.73 | 836.37 | 7 | 1.00 |
| OMB2 | 1498.16 | 543.77 | 10 | 1543.35 | 620.94 | 10 | 0.8630 | −1294.62 | 885.31 | 7 | 0.88 |
| OME1 | 1337.68 | 445.37 | 10 | 1377.32 | 415.00 | 10 | 0.8369 | −1539.68 | 670.38 | 6 | 0.25 |
| OMM1 | 956.71 | 358.01 | 10 | 1285.77 | 274.66 | 3 | 0.0913 | −1244.23 | 405.00 | 7 | 0.69 |
| OMM2 | 1021.30 | 392.66 | 10 | 1442.12 | 310.39 | 3 | 0.0536 | −1057.10 | 643.03 | 7 | 0.56 |
| OMM3 | 538.49 | 127.58 | 10 | 1116.26 | 210.31 | 3 | 0.0000 | −1110.90 | 328.06 | 7 | 1.81 |
| OMM4 | 1541.13 | 524.38 | 10 | — | — | — | — | −1278.22 | 821.52 | 7 | 1.25 |
| OMP1 | 1007.18 | 417.93 | 10 | 1311.50 | 375.36 | 10 | 0.0867 | −1372.91 | 699.07 | 7 | none |
| Female Figurines | |||||||||||
| OWB1 | 1453.69 | 547.44 | 10 | — | — | — | — | −1416.61 | 665.52 | 7 | 2.13 |
| OWM1 | 996.44 | 408.84 | 10 | 1607.26 | 297.68 | 5 | 0.0010 | −1221.96 | 539.22 | 7 | 0.75 |
| OWM2 | 1198.41 | 324.09 | 10 | — | — | — | — | −1546.36 | 529.29 | 7 | 0.94 |
| OWP1 | 1114.86 | 358.25 | 10 | 1522.24 | 300.31 | 8 | 0.0087 | −1451.32 | 440.43 | 7 | 1.50 |
| OWP2 | 1049.77 | 383.66 | 10 | 1453.00 | 309.69 | 5 | 0.0867 | −1555.51 | 483.65 | 7 | 0.88 |
| Main Matrix | Edge Matrix | ||||||
|---|---|---|---|---|---|---|---|
| Sample | Avg | Std | n | Avg | Std | n | p |
| Male Figurines | |||||||
| DP | 12.01 | 3.92 | 10 | — | — | — | — |
| G | 7.11 | 0.41 | 10 | — | — | — | — |
| O | 7.27 | 1.74 | 10 | — | — | — | — |
| PH | 7.93 | 1.59 | 10 | — | — | — | — |
| PH 15 | 8.55 | 3.53 | 10 | — | — | — | — |
| PH 20 | 9.84 | 2.20 | 10 | — | — | — | — |
| PL | 16.79 | 2.30 | 10 | — | — | — | — |
| Y | 6.81 | 1.54 | 10 | — | — | — | — |
| Male Figurines | |||||||
| OMB2 | 39.98 | 6.20 | 10 | 36.86 | 7.35 | 10 | 0.3186 |
| OME1 | 33.94 | 7.26 | 10 | 33.08 | 4.20 | 10 | 0.7483 |
| OMM1 | 38.55 | 7.52 | 10 | 22.85 | 2.87 | 8 | 0.0001 |
| OMM2 | 38.59 | 7.34 | 10 | 21.81 | 2.29 | 3 | 0.0001 |
| OMM3 | 23.66 | 2.30 | 10 | 18.85 | 1.99 | 3 | 0.0264 |
| OMP1 | 41.15 | 6.87 | 10 | 28.77 | 2.68 | 10 | 0.0002 |
| Female Figurines | |||||||
| OWM1 | 41.86 | 9.63 | 10 | 18.22 | 2.11 | 5 | 0.0000 |
| OWP1 | 32.38 | 7.94 | 10 | 20.10 | 3.95 | 8 | 0.0008 |
| OWP2 | 36.69 | 7.97 | 10 | 21.79 | 4.63 | 5 | 0.0006 |
| Code | Volume | Average HU | Weight |
|---|---|---|---|
| OMB1 | 279.76 mL | 1714.3 +/− 303.1 | 408.3 g |
| OMB2 | 259.61 mL | 1886.1 +/− 333.1 | 400.3 g |
| OME1 | 280.51 mL | 1636.2 +/− 264.5 | 402.4 g |
| OMM1 | 220.91 mL | 1173.8 +/− 243.3 | 262.9 g |
| OMM2 | 229.31 mL | 1288.9 +/− 240.9 | 285.9 g |
| OMM3 | 219.59 mL | 604.1 +/− 138.5 | 259.5 g |
| OMM4 | 243.69 mL | 1857.4 +/−336.9 | 376.3 g |
| OMP1 | 237.00 mL | 1408.2 +/− 281.7 | 312.3 g |
| OWB1 | 204.36 mL | 1811.8 +/− 339.9 | 308.4 g |
| OWM1 | 206.95 mL | 1273.1 +/− 229.6 | 258.2 g |
| OWM2 | 206.09 mL | 1412.7 +/− 236.7 | 269.2 g |
| OWP1 | 202.17 mL | 1370.5 +/− 241.3 | 260.6 g |
| OWP2 | 204.41 mL | 1315.7 +/− 227.4 | 258.7 g |
Disclaimer/Publisher’s Note: The statements, opinions and data contained in all publications are solely those of the individual author(s) and contributor(s) and not of MDPI and/or the editor(s). MDPI and/or the editor(s) disclaim responsibility for any injury to people or property resulting from any ideas, methods, instructions or products referred to in the content. |
© 2023 by the authors. Licensee MDPI, Basel, Switzerland. This article is an open access article distributed under the terms and conditions of the Creative Commons Attribution (CC BY) license (https://creativecommons.org/licenses/by/4.0/).
Share and Cite
Spennemann, D.H.R.; Singh, C.L. Computed Tomography Analysis of the Manufacture of Cast Head-Bust Figurines by Patricia ‘Pat’ Elvins (1922–2011). Heritage 2023, 6, 2268-2291. https://doi.org/10.3390/heritage6020120
Spennemann DHR, Singh CL. Computed Tomography Analysis of the Manufacture of Cast Head-Bust Figurines by Patricia ‘Pat’ Elvins (1922–2011). Heritage. 2023; 6(2):2268-2291. https://doi.org/10.3390/heritage6020120
Chicago/Turabian StyleSpennemann, Dirk H. R., and Clare L. Singh. 2023. "Computed Tomography Analysis of the Manufacture of Cast Head-Bust Figurines by Patricia ‘Pat’ Elvins (1922–2011)" Heritage 6, no. 2: 2268-2291. https://doi.org/10.3390/heritage6020120
APA StyleSpennemann, D. H. R., & Singh, C. L. (2023). Computed Tomography Analysis of the Manufacture of Cast Head-Bust Figurines by Patricia ‘Pat’ Elvins (1922–2011). Heritage, 6(2), 2268-2291. https://doi.org/10.3390/heritage6020120

