The Benefit and Harm of an Implantable Cardiac Defibrillator in a Patient with Heart Failure: A Case Report and Literature Review
Abstract
1. Introduction and Clinical Significance
1.1. Literature Review
1.2. EI and Cancer
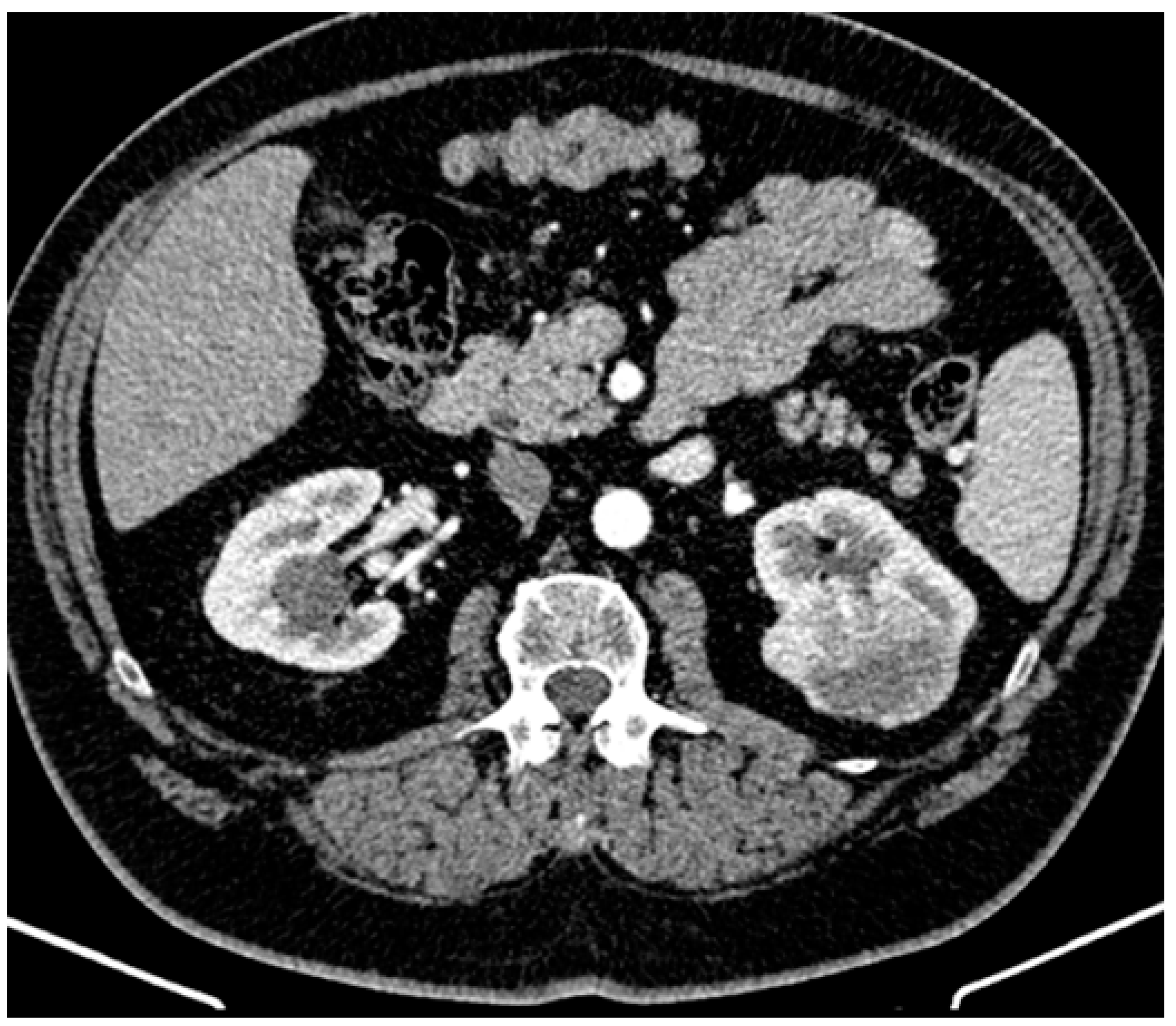
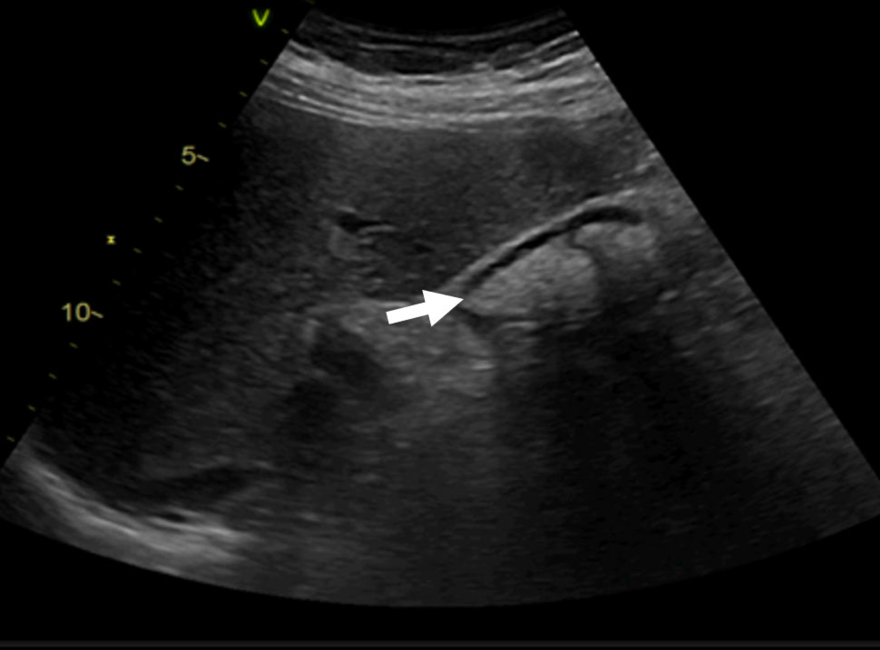
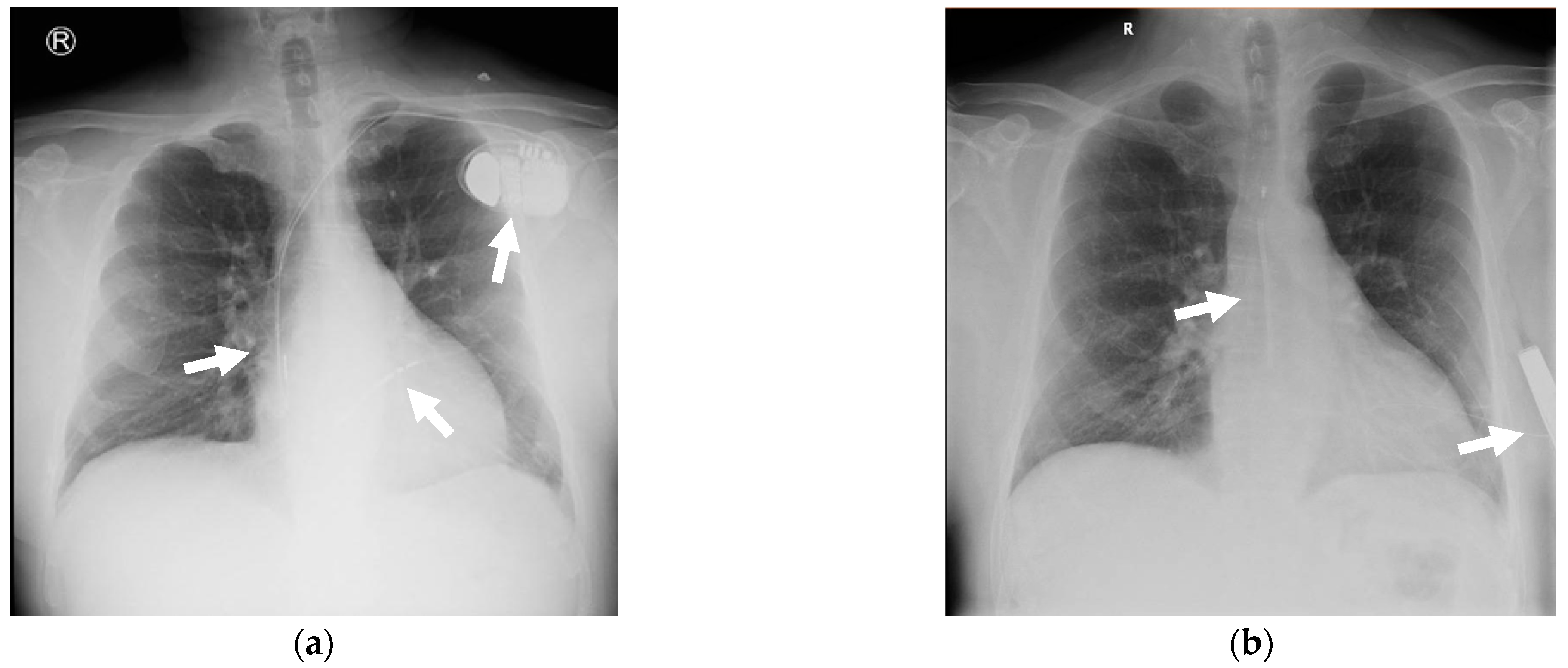
2. Case Presentation
3. Discussion
4. Conclusions
Author Contributions
Funding
Institutional Review Board Statement
Informed Consent Statement
Data Availability Statement
Acknowledgments
Conflicts of Interest
Abbreviations
| CIED-IE | Infective endocarditis associated with cardiac implantable electronic devices |
| ICD | Implantable Cardiac Defibrillator |
| S-ICD | Subcutaneous Implantable Cardioverter-Defibrillator |
| CoNS | Coagulase-negative staphylococci |
| OD | Once a day |
| MRI | Magnetic Resonance Imaging |
| CT | Computerized Tomography |
| MRSA | Methicillin-resistant Staphylococcus aureus |
| HFrEF | Heart failure with reduced ejection fraction |
| ISUP | International Society of Urological Pathology |
References
- Delgado, V.; Ajmone Marsan, N.; de Waha, S.; Bonaros, N.; Brida, M.; Burri, H.; Caselli, S.; Doenst, T.; Ederhy, S.; Erba, P.A.; et al. 2023 ESC Guidelines for the management of endocarditis: Developed by the task force on the management of endocarditis of the European Society of Cardiology (ESC) Endorsed by the European Association for Cardio-Thoracic Surgery (EACTS) and the European Association of Nuclear Medicine (EANM). Eur. Heart J. 2023, 44, 3948–4042. [Google Scholar] [CrossRef] [PubMed]
- Blomström-Lundqvist, C.; Traykov, V.; Erba, P.A.; Burri, H.; Nielsen, J.C.; Bongiorni, M.G.; Poole, J.; Boriani, G.; Costa, R.; Deharo, J.-C.; et al. European Heart Rhythm Association (EHRA) international consensus document on how to prevent, diagnose, and treat cardiac implantable electronic device infections—Endorsed by the Heart Rhythm Society (HRS), the Asia Pacific Heart Rhythm Society (APHRS), the Latin American Heart Rhythm Society (LAHRS), International Society for Cardiovascular Infectious Diseases (ISCVID) and the European Society of Clinical Microbiology and Infectious Diseases (ESCMID) in collaboration with the European Association for Cardio-Thoracic Surgery (EACTS). EP Eur. 2020, 22, 515–549. [Google Scholar] [CrossRef] [PubMed] [PubMed Central]
- Hussein, A.A.; Baghdy, Y.; Wazni, O.M.; Brunner, M.P.; Kabbach, G.; Shao, M.; Gordon, S.; Saliba, W.I.; Wilkoff, B.L.; Tarakji, K.G. Microbiology of cardiac implantable electronic device infections. JACC Clin. Electrophysiol. 2016, 2, 498–505. [Google Scholar] [CrossRef] [PubMed]
- Brinksman, P.; Nugent, L. What is the incidence of septic arthritis in patients with infective endocarditis? A systematic review. Clin. Infect. Pract. 2022, 16, 100208. [Google Scholar] [CrossRef]
- Liesman, R.M.; Pritt, B.S.; Maleszewski, J.J.; Patel, R. Laboratory diagnosis of infective endocarditis. J. Clin. Microbiol. 2017, 55, 2599–2608. [Google Scholar] [CrossRef] [PubMed] [PubMed Central]
- Ahmed, O.; King, N.E.; Qureshi, M.A.; Choudhry, A.A.; Osama, M.; Zehner, C.; Ali, A.; Hamzeh, I.R.; Palaskas, N.L.; Thompson, K.A.; et al. Non-bacterial thrombotic endocarditis: A clinical and pathophysiological reappraisal. Eur. Heart J. 2025, 46, 236–249. [Google Scholar] [CrossRef] [PubMed]
- Mateos Gaitan, R.; Boix-Palop, L.; Munoz Garcia, P.; Mestres, C.A.; Marin Arriaza, M.; Pedraz Prieto, A.; de Alarcón Gonzalez, A.; Gutiérrez Carretero, E.; Hernández Meneses, M.; Goenaga Sánchez, M.Á.; et al. Infective endocarditis in patients with cardiac implantable electronic devices: A nationwide study. EP Eur. 2020, 22, 1062–1070. [Google Scholar] [CrossRef]
- Starck, C.T.; Schaerf, R.H.M.; Breitenstein, A.; Najibi, S.; Conrad, J.; Berendt, J.; Esmailian, F.; Eulert-Grehn, J.; Dreizler, T.; Falk, V. Transcatheter aspiration of large pacemaker and implantable cardioverter-defibrillator lead vegetations facilitating safe transvenous lead extraction. EP Eur. 2020, 22, 133–138. [Google Scholar] [CrossRef]
- Golzio, P.G.; Vinci, M.; Anselmino, M.; Comoglio, C.; Rinaldi, M.; Trevi, G.P.; Bongiorni, M.G. Accuracy of swabs, tissue specimens, and lead samples in diagnosis of cardiac rhythm management device infections. Pacing Clin. Electrophysiol. 2009, 32 (Suppl. S1), S76–S80. [Google Scholar] [CrossRef]
- Chew, D.; Somayaji, R.; Conly, J.; Exner, D.; Rennert-May, E. Timing of device reimplantation and reinfection rates following cardiac implantable electronic device infection: A systematic review and meta-analysis. BMJ Open 2019, 9, e029537. [Google Scholar] [CrossRef]
- Sohail, M.R.; Uslan, D.Z.; Khan, A.H.; Friedman, P.A.; Hayes, D.L.; Wilson, W.R.; Steckelberg, J.M.; Stoner, S.; Baddour, L.M. Management and outcome of permanent pacemaker and implantable cardioverter-defibrillator infections. J. Am. Coll. Cardiol. 2007, 49, 1851–1859. [Google Scholar] [CrossRef] [PubMed]
- Chaudhry, U.; Borgquist, R.; Smith, J.G.; Mörtsell, D. Efficacy of the antibacterial envelope to prevent cardiac implantable electronic device infection in a high-risk population. EP Eur. 2022, 24, 1973–1980. [Google Scholar] [CrossRef] [PubMed]
- Yusuf, S.W.; Ali, S.S.; Swafford, J.; Durand, J.B.; Bodey, G.P.; Chemaly, R.F.; Kontoyiannis, D.P.; Tarrand, J.; Rolston, K.V.; Yeh, E.; et al. Culture-positive and culture-negative endocarditis in patients with cancer: A retrospective observational study, 1994–2004. Medicine 2006, 85, 86–94. [Google Scholar] [CrossRef] [PubMed]
- Fournier, P.E.; Gouriet, F.; Casalta, J.P.; Lepidi, H.; Chaudet, H.; Thuny, F.; Collart, F.; Habib, G.; Raoult, D. Blood culture-negative endocarditis: Improving the diagnostic yield using new diagnostic tools. Medicine 2017, 96, e8392. [Google Scholar] [CrossRef] [PubMed] [PubMed Central]
- Fournier, P.E.; Thuny, F.; Richet, H.; Lepidi, H.; Casalta, J.P.; Arzouni, J.P.; Maurin, M.; Célard, M.; Mainardi, J.L.; Caus, T.; et al. Comprehensive diagnostic strategy for blood culture-negative endocarditis: A prospective study of 819 new cases. Clin. Infect. Dis. 2010, 51, 131–140. [Google Scholar] [CrossRef] [PubMed]
- Asopa, S.; Patel, A.; Khan, O.A.; Sharma, R.; Ohri, S.K. Non-bacterial thrombotic endocarditis. Eur. J. Cardiothorac. Surg. 2007, 32, 696–701. [Google Scholar] [CrossRef] [PubMed]
- el-Shami, K.; Griffiths, E.; Streiff, M. Nonbacterial thrombotic endocarditis in cancer patients: Pathogenesis, diagnosis, and treatment. Oncologist 2007, 12, 518–523. [Google Scholar] [CrossRef] [PubMed]
- Grable, C.; Yusuf, S.W.; Song, J.; Viola, G.M.; Ulhaq, O.; Banchs, J.; Jensen, C.T.; Goel, H.; Hassan, S.A. Characteristics of infective endocarditis in a cancer population. Open Heart 2021, 8, e001664, Erratum in Open Heart 2021, 8, 1. [Google Scholar] [CrossRef] [PubMed] [PubMed Central]
- Bussani, R.; De-Giorgio, F.; Pesel, G.; Zandonà, L.; Sinagra, G.; Grassi, S.; Baldi, A.; Abbate, A.; Silvestri, F. Overview and comparison of infectious endocarditis and non-infectious endocarditis: A review of 814 autoptic cases. In Vivo 2019, 33, 1565–1572. [Google Scholar] [CrossRef] [PubMed] [PubMed Central]
- Galea, N.; Bandera, F.; Lauri, C.; Autore, C.; Laghi, A.; Erba, P.A. Multimodality Imaging in the Diagnostic Work-Up of Endocarditis and Cardiac Implantable Electronic Device (CIED) Infection. J. Clin. Med. 2020, 9, 2237. [Google Scholar] [CrossRef] [PubMed] [PubMed Central]
- Zmaili, M.; Alzubi, J.; Lo Presti Vega, S.; Ababneh, E.; Xu, B. Non-bacterial thrombotic endocarditis: A state-of-the-art contemporary review. Prog. Cardiovasc. Dis. 2022, 74, 99–110. [Google Scholar] [CrossRef] [PubMed]
- Stutz, S.; Buonomano, R.; Rudiger, A.; Bodendoerfer, E.; Herren, T. A rare cause of infectious tenosynovitis: Cardiobacterium hominis endocarditis. AIM Clin. Cases 2023, 2, e230328. [Google Scholar] [CrossRef]
- Kase, A.M.; George, D.J.; Ramalingam, S. Clear Cell Renal Cell Carcinoma: From Biology to Treatment. Cancers 2023, 15, 665. [Google Scholar] [CrossRef]
- Mattila, K.E.; Vainio, P.; Jaakkola, P.M. Prognostic Factors for Localized Clear Cell Renal Cell Carcinoma and Their Application in Adjuvant Therapy. Cancers 2022, 14, 239. [Google Scholar] [CrossRef] [PubMed] [PubMed Central]
- Grigore, M.; Grigore, A.M.; Ilieșiu, A.M. Portal Vein Pulsatility: A Valuable Approach for Monitoring Venous Congestion and Prognostic Evaluation in Acute Decompensated Heart Failure. Diagnostics 2024, 14, 2029. [Google Scholar] [CrossRef] [PubMed] [PubMed Central]
- Chung, D.U.; Tauber, J.; Kaiser, L.; Schlichting, A.; Pecha, S.; Sinning, C.; Rexha, E.; Reichenspurner, H.; Willems, S.; Gosau, N.; et al. Performance and outcome of the subcutaneous implantable cardioverter-defibrillator after transvenous lead extraction. Pacing Clin. Electrophysiol. 2021, 44, 247–257. [Google Scholar] [CrossRef]







Disclaimer/Publisher’s Note: The statements, opinions and data contained in all publications are solely those of the individual author(s) and contributor(s) and not of MDPI and/or the editor(s). MDPI and/or the editor(s) disclaim responsibility for any injury to people or property resulting from any ideas, methods, instructions or products referred to in the content. |
© 2025 by the authors. Licensee MDPI, Basel, Switzerland. This article is an open access article distributed under the terms and conditions of the Creative Commons Attribution (CC BY) license (https://creativecommons.org/licenses/by/4.0/).
Share and Cite
Grigore, M.; Grigore, A.-M.; Constantin, T.-V.; Jinga, V.; Ilieșiu, A.-M. The Benefit and Harm of an Implantable Cardiac Defibrillator in a Patient with Heart Failure: A Case Report and Literature Review. Reports 2025, 8, 30. https://doi.org/10.3390/reports8010030
Grigore M, Grigore A-M, Constantin T-V, Jinga V, Ilieșiu A-M. The Benefit and Harm of an Implantable Cardiac Defibrillator in a Patient with Heart Failure: A Case Report and Literature Review. Reports. 2025; 8(1):30. https://doi.org/10.3390/reports8010030
Chicago/Turabian StyleGrigore, Mihai, Andreea-Maria Grigore, Traian-Vasile Constantin, Viorel Jinga, and Adriana-Mihaela Ilieșiu. 2025. "The Benefit and Harm of an Implantable Cardiac Defibrillator in a Patient with Heart Failure: A Case Report and Literature Review" Reports 8, no. 1: 30. https://doi.org/10.3390/reports8010030
APA StyleGrigore, M., Grigore, A.-M., Constantin, T.-V., Jinga, V., & Ilieșiu, A.-M. (2025). The Benefit and Harm of an Implantable Cardiac Defibrillator in a Patient with Heart Failure: A Case Report and Literature Review. Reports, 8(1), 30. https://doi.org/10.3390/reports8010030

