Type I Diabetes—A Rare Adverse Event Described in Patients Receiving Immunotherapy Versus a Side Effect from SARS-CoV-2 Infection
Abstract
1. Introduction and Clinical Significance
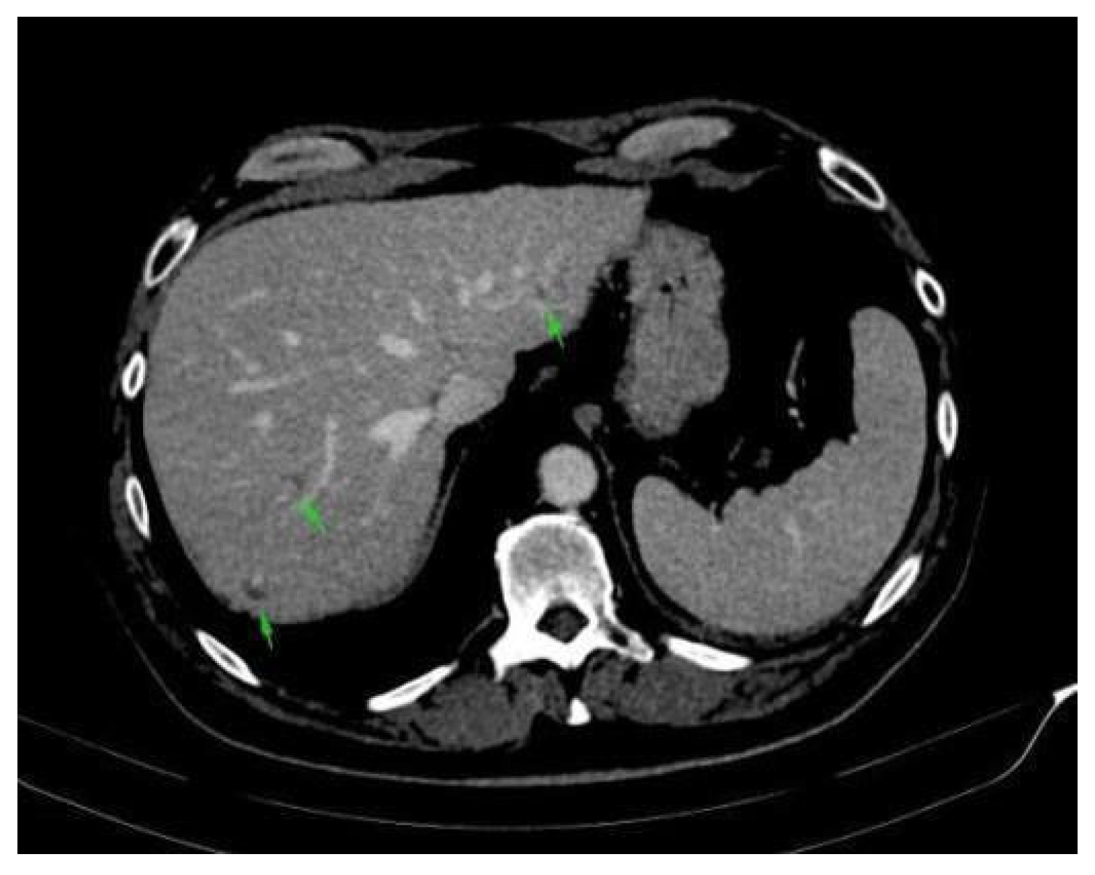
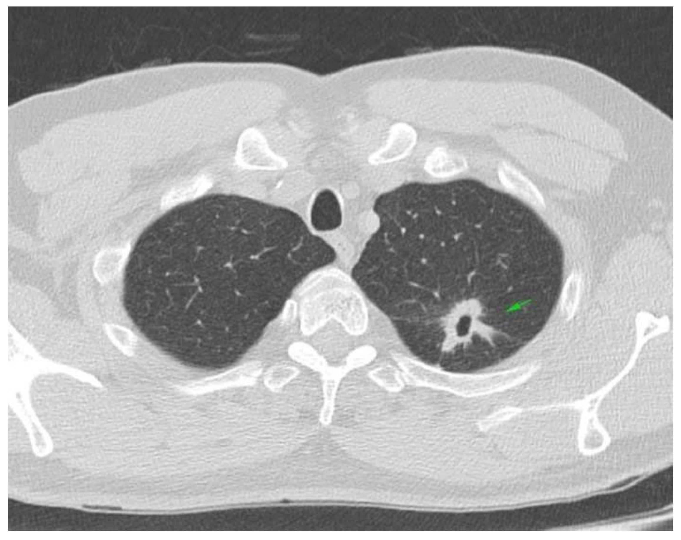
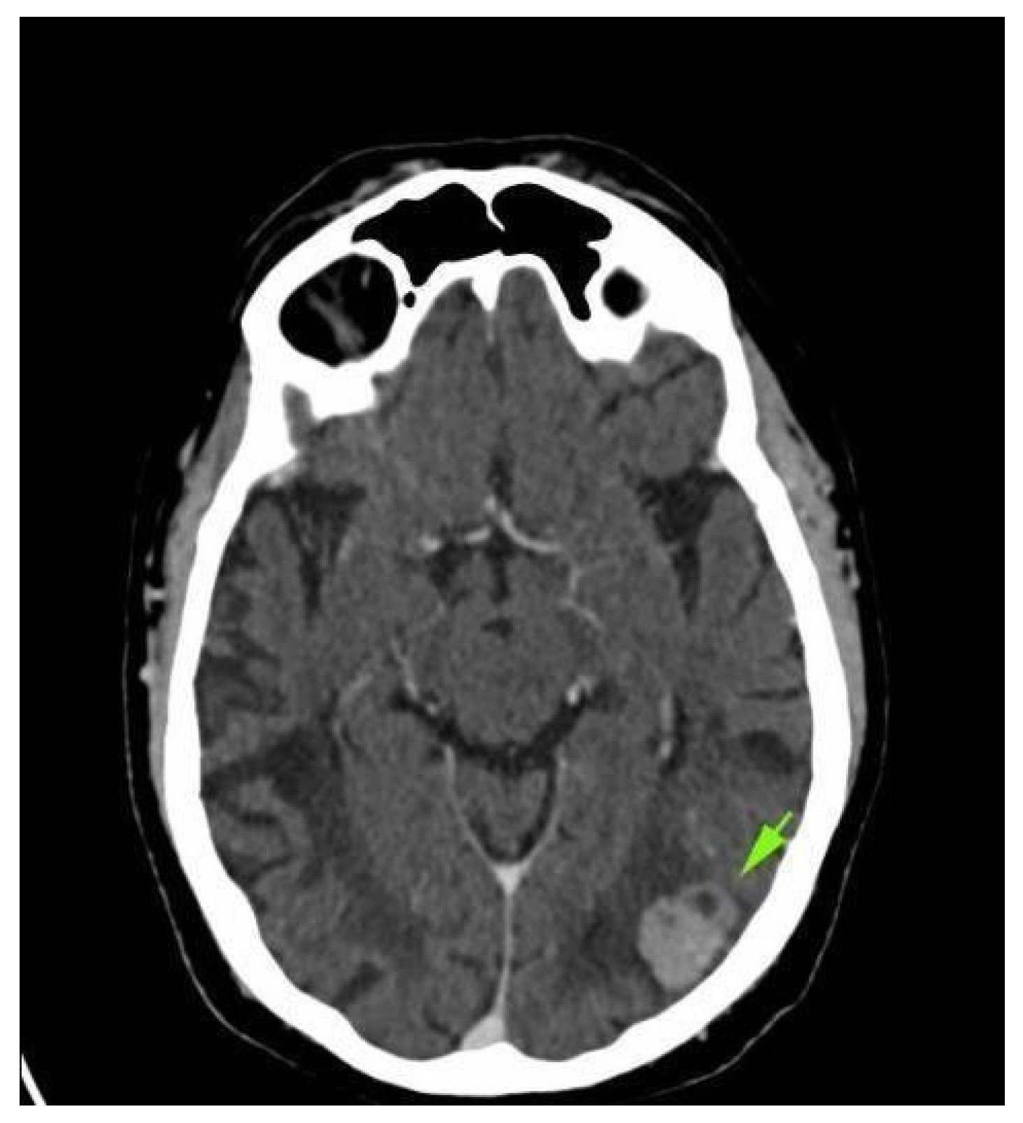
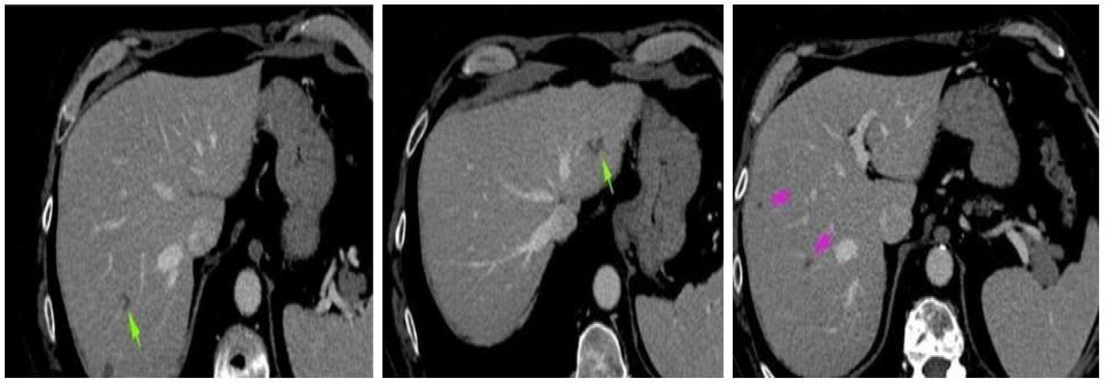
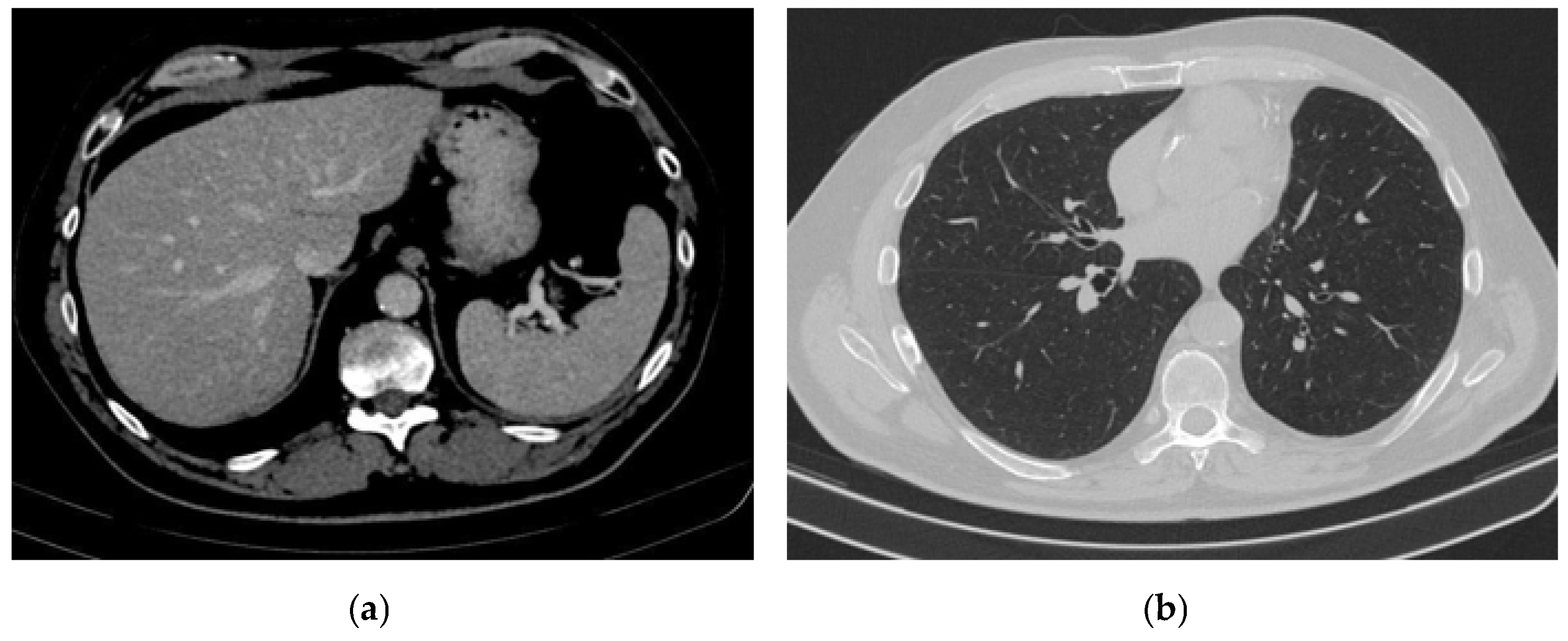
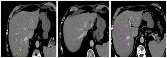
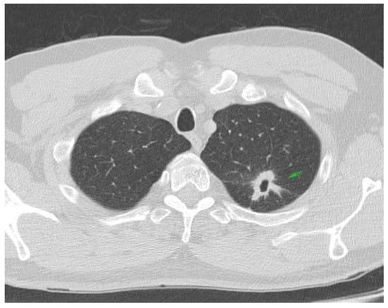
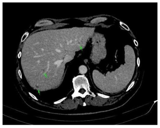
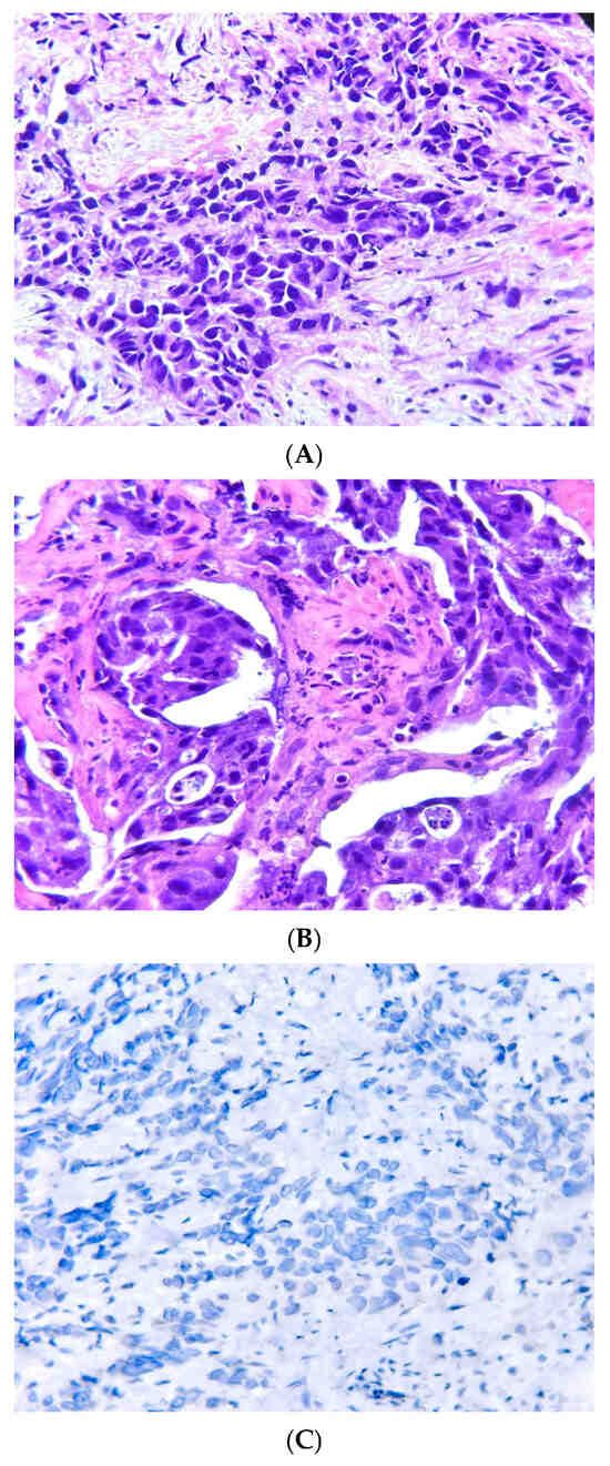
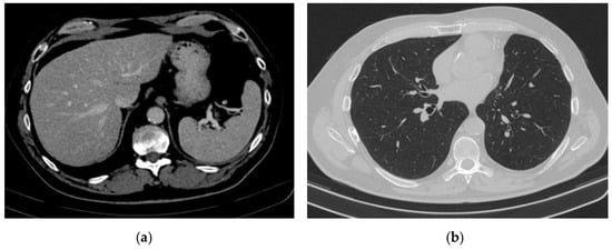
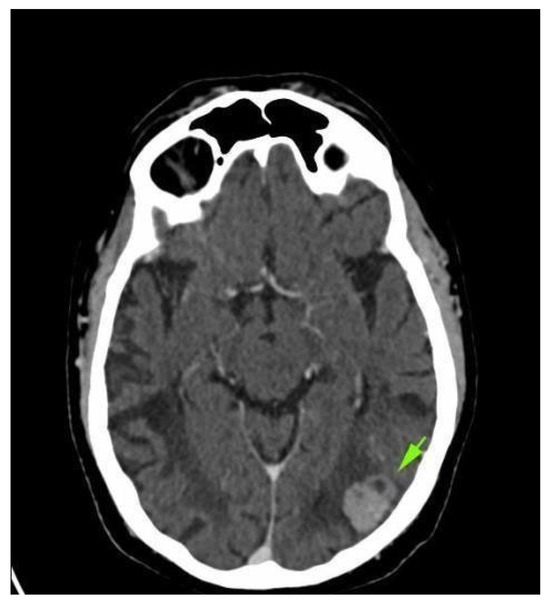
2. Case Presentation
3. Discussion
4. Conclusions
Author Contributions
Funding
Institutional Review Board Statement
Informed Consent Statement
Data Availability Statement
Conflicts of Interest
Correction Statement
Appendix A


References
- Sung, H.; Ferlay, J.; Siegel, R.L.; Laversanne, M.; Soerjomataram, I.; Jemal, A.; Bray, F. Global Cancer Statistics 2020: GLOBOCAN Estimates of Incidence and Mortality Worldwide for 36 Cancers in 185 Countries. CA Cancer J. Clin. 2021, 71, 209–249. [Google Scholar] [CrossRef] [PubMed]
- Garon, E.B.; Hellmann, M.D.; Rizvi, N.A.; Carcereny, E.; Leighl, N.B.; Ahn, M.-J.; Eder, J.P.; Balmanoukian, A.S.; Aggarwal, C.; Horn, L.; et al. Five-Year Overall Survival for Patients With Advanced Non–Small-Cell Lung Cancer Treated With Pembrolizumab: Results From the Phase I KEYNOTE-001 Study. J. Clin. Oncol. 2019, 37, 2518–2527. [Google Scholar] [CrossRef] [PubMed]
- Torino, F.; Corsello, S.M.; Salvatori, R. Endocrinological Side-Effects of Immune Checkpoint Inhibitors. Curr. Opin. Oncol. 2016, 28, 278–287. [Google Scholar] [CrossRef] [PubMed]
- Lin, L.; Liu, Y.; Chen, C.; Wei, A.; Li, W. Association between Immune-Related Adverse Events and Immunotherapy Efficacy in Non-Small-Cell Lung Cancer: A Meta-Analysis. Front. Pharmacol. 2023, 14, 1190001. [Google Scholar] [CrossRef]
- Lopez-Leon, S.; Wegman-Ostrosky, T.; Perelman, C.; Sepulveda, R.; Rebolledo, P.A.; Cuapio, A.; Villapol, S. More than 50 Long-Term Effects of COVID-19: A Systematic Review and Meta-Analysis. Sci. Rep. 2021, 11, 16144. [Google Scholar] [CrossRef]
- Stene, L.C.; Norris, J.M.; Rewers, M.J. Risk Factors for Type 1 Diabetes. In Diabetes in America [Internet]; National Institute of Diabetes and Digestive and Kidney Diseases (NIDDK): Bethesda, MD, USA, 2023. Available online: https://www.ncbi.nlm.nih.gov/books/NBK597412/ (accessed on 10 March 2025).
- Coniac, S. Updates in Endocrine Immune-Related Adverse Events in Oncology Immunotherapy. Acta Endocrinol. 2021, 17, 286–289. [Google Scholar] [CrossRef]
- Coniac, S.; Costache Outas, M.C.; Pirvu, E.-E.; Patru, R.-I.; Gainariu, E.; Aldea, C.; Iorga, P.G.; Ambroci, M.; Liscu, H.-D.; Miron, A.-I.; et al. Challenges and Limitations of Endocrine Toxicity Evaluation in Non-Small Cell Lung Cancer Patients Treated with Immunotherapy—Retrospective Study from a Tertiary-Level Hospital in Romania. Diagnostics 2023, 13, 1788. [Google Scholar] [CrossRef]
- Ionescu, A.-I.; Atasiei, D.-I.; Ionescu, R.-T.; Ultimescu, F.; Barnonschi, A.-A.; Anghel, A.-V.; Anghel, C.-A.; Antone-Iordache, I.-L.; Mitre, R.; Bobolocu, A.M.; et al. Prediction of Subclinical and Clinical Multiple Organ Failure Dysfunction in Breast Cancer Patients—A Review Using AI Tools. Cancers 2024, 16, 381. [Google Scholar] [CrossRef]
- Accili, D. Can COVID-19 Cause Diabetes? Nat. Metab. 2021, 3, 123–125. [Google Scholar] [CrossRef]
- Atkinson, M.A.; Powers, A.C. Distinguishing the Real from the Hyperglycaemia: Does COVID-19 Induce Diabetes? Lancet Diabetes Endocrinol. 2021, 9, 328–329. [Google Scholar] [CrossRef]
- Barroso-Sousa, R.; Barry, W.T.; Garrido-Castro, A.C.; Hodi, F.S.; Min, L.; Krop, I.E.; Tolaney, S.M. Incidence of Endocrine Dysfunction Following the Use of Different Immune Checkpoint Inhibitor Regimens. JAMA Oncol. 2018, 4, 173. [Google Scholar] [CrossRef] [PubMed]
- Teodorescu, C.; Șandru, F.; Charkaoui, A.; Teodorescu, A.; Popa, A.; Miron, A.-I. The Dynamic Changes in the Pattern of Liver Function Tests in Pregnant Obese Women. Exp. Ther. Med. 2021, 22, 986. [Google Scholar] [CrossRef] [PubMed]
- Tsang, V.H.M.; McGrath, R.T.; Clifton-Bligh, R.J.; Scolyer, R.A.; Jakrot, V.; Guminski, A.D.; Long, G.V.; Menzies, A.M. Checkpoint Inhibitor–Associated Autoimmune Diabetes Is Distinct From Type 1 Diabetes. J. Clin. Endocrinol. Metab. 2019, 104, 5499–5506. [Google Scholar] [CrossRef] [PubMed]
- Abdullah, H.M.A.; Elnair, R.; Khan, U.I.; Omar, M.; Morey-Vargas, O.L. Rapid Onset Type-1 Diabetes and Diabetic Ketoacidosis Secondary to Nivolumab Immunotherapy: A Review of Existing Literature. BMJ Case Rep. 2019, 12, e229568. [Google Scholar] [CrossRef]
- Miyoshi, Y.; Ogawa, O.; Oyama, Y. Nivolumab, an Anti-Programmed Cell Death-1 Antibody, Induces Fulminant Type 1 Diabetes. Tohoku J. Exp. Med. 2016, 239, 155–158. [Google Scholar] [CrossRef]
- Lowe, J.R.; Perry, D.J.; Salama, A.K.S.; Mathews, C.E.; Moss, L.G.; Hanks, B.A. Genetic Risk Analysis of a Patient with Fulminant Autoimmune Type 1 Diabetes Mellitus Secondary to Combination Ipilimumab and Nivolumab Immunotherapy. J. Immunother. Cancer 2016, 4, 89. [Google Scholar] [CrossRef]
- Ishikawa, K.; Shono-Saito, T.; Yamate, T.; Kai, Y.; Sakai, T.; Shimizu, F.; Yamada, Y.; Mori, H.; Noso, S.; Ikegami, H.; et al. A Case of Fulminant Type 1 Diabetes Mellitus, with a Precipitous Decrease in Pancreatic Volume, Induced by Nivolumab for Malignant Melanoma: Analysis of HLA and CTLA-4 Polymorphisms. Eur. J. Dermatol. 2017, 27, 184–185. [Google Scholar] [CrossRef]
- de Filette, J.M.K.; Pen, J.J.; Decoster, L.; Vissers, T.; Bravenboer, B.; Van der Auwera, B.J.; Gorus, F.K.; Roep, B.O.; Aspeslagh, S.; Neyns, B.; et al. Immune Checkpoint Inhibitors and Type 1 Diabetes Mellitus: A Case Report and Systematic Review. Eur. J. Endocrinol. 2019, 181, 363–374. [Google Scholar] [CrossRef]
- Mourad, D.; Azar, N.S.; Eid, A.A.; Azar, S.T. Immune Checkpoint Inhibitor-Induced Diabetes Mellitus: Potential Role of t Cells in the Underlying Mechanism. Int. J. Mol. Sci. 2021, 22, 2093. [Google Scholar] [CrossRef]
- Cho, Y.K.; Jung, C.H. Immune-Checkpoint Inhibitors-Induced Type 1 Diabetes Mellitus: From Its Molecular Mechanisms to Clinical Practice. Diabetes Metab. J. 2023, 47, 757–766. [Google Scholar] [CrossRef]
- Hu, H.; Zakharov, P.N.; Peterson, O.J.; Unanue, E.R. Cytocidal Macrophages in Symbiosis with CD4 and CD8 T Cells Cause Acute Diabetes Following Checkpoint Blockade of PD-1 in NOD Mice. Proc. Natl. Acad. Sci. USA 2020, 117, 31319–31330. [Google Scholar] [CrossRef] [PubMed]
- Debuysschere, C.; Nekoua, M.P.; Alidjinou, E.K.; Hober, D. The Relationship between SARS-CoV-2 Infection and Type 1 Diabetes Mellitus. Nat. Rev. Endocrinol. 2024, 20, 588–599. [Google Scholar] [CrossRef] [PubMed]
- Ssentongo, P.; Zhang, Y.; Witmer, L.; Chinchilli, V.M.; Ba, D.M. Association of COVID-19 with Diabetes: A Systematic Review and Meta-Analysis. Sci. Rep. 2022, 12, 20191. [Google Scholar] [CrossRef] [PubMed]
- Zhou, J.; Wang, Y.; Xu, R. Association of COVID-19 Infection and the Risk of New Incident Diabetes: A Systematic Review and Meta-Analysis. Front. Endocrinol. 2024, 15, 1429848. [Google Scholar] [CrossRef]
- Steenblock, C.; Richter, S.; Berger, I.; Barovic, M.; Schmid, J.; Schubert, U.; Jarzebska, N.; von Mässenhausen, A.; Linkermann, A.; Schürmann, A.; et al. Viral Infiltration of Pancreatic Islets in Patients with COVID-19. Nat. Commun. 2021, 12, 3534. [Google Scholar] [CrossRef]
- Müller, J.A.; Groß, R.; Conzelmann, C.; Krüger, J.; Merle, U.; Steinhart, J.; Weil, T.; Koepke, L.; Bozzo, C.P.; Read, C.; et al. SARS-CoV-2 Infects and Replicates in Cells of the Human Endocrine and Exocrine Pancreas. Nat. Metab. 2021, 3, 149–165. [Google Scholar] [CrossRef]
- Guo, M.; Liu, J.; Miao, R.; Ahmed, Z.; Yu, J.; Guan, J.; Ahmad, S.; Zhou, S.; Grove, A.; Manoucheri, M.; et al. A Single Center Retrospective Study of the Impact of COVID-19 Infection on Immune-Related Adverse Events in Cancer Patients Receiving Immune Checkpoint Inhibitors. J. Immunother. 2022, 45, 389–395. [Google Scholar] [CrossRef]
- Yang, Y.; Xu, G. SARS-CoV-2 Infection and COVID-19 Vaccination in Cancer Patients Undergoing Immune Checkpoint Inhibitors. Cell Death Dis. 2023, 14, 390. [Google Scholar] [CrossRef]
- Mandala, M.; Lorigan, P.; De Luca, M.; Bianchetti, A.; Merelli, B.; Bettini, A.C.; Bonomi, L.; Nahm, S.; Vitale, M.G.; Negrini, G.; et al. SARS-CoV-2 Infection and Adverse Events in Patients with Cancer Receiving Immune Checkpoint Inhibitors: An Observational Prospective Study. J. Immunother. Cancer 2021, 9, e001694. [Google Scholar] [CrossRef]
- Morelli, T.; Fujita, K.; Redelman-Sidi, G.; Elkington, P.T. Infections Due to Dysregulated Immunity: An Emerging Complication of Cancer Immunotherapy. Thorax 2022, 77, 304–311. [Google Scholar] [CrossRef]
- Li, J.; Li, Y.; Wang, Z.; Liu, N.; He, L.; Zhang, H. Increased Risk of New-Onset Diabetes in Patients with COVID-19: A Systematic Review and Meta-Analysis. Front. Public. Health 2023, 11, 1170156. [Google Scholar] [CrossRef] [PubMed]
- Moon, H.; Suh, S.; Park, M.K. Adult-Onset Type 1 Diabetes Development Following COVID-19 MRNA Vaccination. J. Korean Med. Sci. 2023, 38, e12. [Google Scholar] [CrossRef]
- Yano, M.; Morioka, T.; Natsuki, Y.; Sasaki, K.; Kakutani, Y.; Ochi, A.; Yamazaki, Y.; Shoji, T.; Emoto, M. New-Onset Type 1 Diabetes after COVID-19 MRNA Vaccination. Intern. Med. 2022, 61, 1197–1200. [Google Scholar] [CrossRef]
- Zenri, M.; Higa, M.; Ikehara, K.; Ichijo, T.; Hirose, T. A Case of Acute-Onset Type 1 Diabetes Mellitus with Diabetic Ketoacidosis Triggered by COVID-19. Am. J. Case Rep. 2023, 24, e940986. [Google Scholar] [CrossRef]
- Alsudais, A.S.; Alkanani, R.S.; Fathi, A.B.; Almuntashiri, S.S.; Jamjoom, J.N.; Alzhrani, M.A.; Althubaiti, A.; Radi, S. Autoimmune Diabetes Mellitus after COVID-19 Vaccination in Adult Population: A Systematic Review of Case Reports. BMC Endocr. Disord. 2023, 23, 164. [Google Scholar] [CrossRef]
- Chen, X.; Affinati, A.H.; Lee, Y.; Turcu, A.F.; Henry, N.L.; Schiopu, E.; Qin, A.; Othus, M.; Clauw, D.; Ramnath, N.; et al. Immune Checkpoint Inhibitors and Risk of Type 1 Diabetes. Diabetes Care 2022, 45, 1170–1176. [Google Scholar] [CrossRef]
- Meo, C.; Palma, G.; Bruzzese, F.; Budillon, A.; Napoli, C.; de Nigris, F. Spontaneous Cancer Remission after COVID-19: Insights from the Pandemic and Their Relevance for Cancer Treatment. J. Transl. Med. 2023, 21, 273. [Google Scholar] [CrossRef]
- Tan, J.L. COVID-19 Induced Remission of Biliary and Renal Cell Carcinomas. J. Clin. Oncol. 2023, 41, e14598. [Google Scholar] [CrossRef]
- Fukushima, T.; Kobayashi, S.; Ueno, M. The Correlation between Immune-Related Adverse Events and Efficacy of Immune Checkpoint Inhibitors. Jpn. J. Clin. Oncol. 2024, 54, 949–958. [Google Scholar] [CrossRef] [PubMed]
- Zheng, Z.; Liu, Y.; Yang, J.; Tan, C.; Zhou, L.; Wang, X.; Xiao, L.; Zhang, S.; Chen, Y.; Liu, X. Diabetes Mellitus Induced by Immune Checkpoint Inhibitors. Diabetes Metab. Res. Rev. 2021, 37, e3366. [Google Scholar] [CrossRef]
- Zagouras, A.; Patil, P.D.; Yogi-Morren, D.; Pennell, N.A. Cases from the Immune-Related Adverse Event Tumor Board: Diagnosis and Management of Immune Checkpoint Blockade-Induced Diabetes. Oncologist 2020, 25, 921–924. [Google Scholar] [CrossRef] [PubMed]






Disclaimer/Publisher’s Note: The statements, opinions and data contained in all publications are solely those of the individual author(s) and contributor(s) and not of MDPI and/or the editor(s). MDPI and/or the editor(s) disclaim responsibility for any injury to people or property resulting from any ideas, methods, instructions or products referred to in the content. |
© 2025 by the authors. Licensee MDPI, Basel, Switzerland. This article is an open access article distributed under the terms and conditions of the Creative Commons Attribution (CC BY) license (https://creativecommons.org/licenses/by/4.0/).
Share and Cite
Pătru, R.-I.; Ghigeanu, M.; Barbu, M.-A.; Ionescu, A.I.; Ionuț-Lucian, A.-I. Type I Diabetes—A Rare Adverse Event Described in Patients Receiving Immunotherapy Versus a Side Effect from SARS-CoV-2 Infection. Reports 2025, 8, 31. https://doi.org/10.3390/reports8010031
Pătru R-I, Ghigeanu M, Barbu M-A, Ionescu AI, Ionuț-Lucian A-I. Type I Diabetes—A Rare Adverse Event Described in Patients Receiving Immunotherapy Versus a Side Effect from SARS-CoV-2 Infection. Reports. 2025; 8(1):31. https://doi.org/10.3390/reports8010031
Chicago/Turabian StylePătru, Raluca-Ileana, Miruna Ghigeanu, Maria-Alexandra Barbu, Andreea Iuliana Ionescu, and Antone-Iordache Ionuț-Lucian. 2025. "Type I Diabetes—A Rare Adverse Event Described in Patients Receiving Immunotherapy Versus a Side Effect from SARS-CoV-2 Infection" Reports 8, no. 1: 31. https://doi.org/10.3390/reports8010031
APA StylePătru, R.-I., Ghigeanu, M., Barbu, M.-A., Ionescu, A. I., & Ionuț-Lucian, A.-I. (2025). Type I Diabetes—A Rare Adverse Event Described in Patients Receiving Immunotherapy Versus a Side Effect from SARS-CoV-2 Infection. Reports, 8(1), 31. https://doi.org/10.3390/reports8010031

