Abstract
Background and Clinical Significance: Cervical lymphadenopathy is a common condition in children, most often caused by reactive hyperplasia due to viral infections, followed by bacterial infections and, less commonly, malignancies. Supraclavicular lymphadenopathy in children warrants thorough evaluation due to its higher association with malignancy compared to anterior cervical lymphadenopathy. Kikuchi–Fujimoto disease (KFD) is a rare, benign, and self-limiting condition characterized by cervical lymphadenopathy, predominantly affecting young adults—especially Asian women—and is rarely observed in children. We present a case of a 14-year-old girl with cervical and supraclavicular lymphadenopathy diagnosed with KFD. Case Presentation: A previously healthy 14-year-old girl was admitted with a 20-day history of cervical and supraclavicular lymphadenopathy, fever, and 5 kg weight loss. Laboratory investigations revealed leukopenia and lymphopenia, with a weakly positive ANA titer (1:160) and no other significant abnormalities. Extensive infectious workup was negative. Cervical ultrasound showed multiple enlarged, hypoechoic, rounded lymph nodes. CT imaging revealed paraaortic lymphadenopathy without additional findings. Due to the persistence of lymphadenopathy and inconclusive workup, a lymph node biopsy was performed to rule out malignancy. Histopathology was consistent with Kikuchi–Fujimoto disease. Conclusions: This case highlights a rare pediatric presentation of KFD, particularly notable for supraclavicular lymphadenopathy. It underscores the importance of considering a broad differential diagnosis in persistent lymphadenopathy, including rare conditions such as Kikuchi–Fujimoto disease.
1. Introduction and Clinical Significance
Cervical lymphadenopathy is a common condition in children, affecting up to 90% of those aged 4 to 8 years []. The most frequent cause is reactive hyperplasia secondary to viral infections, followed by bacterial infections and, more rarely, malignancies []. Acute bilateral cases are typically associated with viral upper respiratory tract infections or streptococcal pharyngitis, whereas acute unilateral cases are more often caused by streptococcal or staphylococcal infections []. Subacute or chronic lymphadenopathy may result from cat scratch disease, mycobacterial infections, or toxoplasmosis [].
Supraclavicular lymphadenopathy in children is particularly concerning, as it is more frequently associated with malignancy than anterior cervical lymphadenopathy [].
The diagnostic approach includes a thorough clinical evaluation, relevant laboratory investigations, and imaging studies, with ultrasonography increasingly employed as the initial modality []. Fine-needle aspiration cytology (FNAC) may assist in diagnosis; however, in cases of persistent lymphadenopathy, excisional biopsy is often warranted, as histopathological examination remains the gold standard [].
Kikuchi–Fujimoto disease (KFD), also known as histiocytic necrotizing lymphadenitis, is a rare, benign, and self-limiting disorder characterized by subacute necrotizing lymphadenopathy, most commonly in the cervical region. While KFD primarily affects young adult women, it can also occur in children, in whom clinical features may differ []. In pediatric populations, males may be more frequently affected than females, contrary to the adult demographic. Children with KFD often present with more prominent systemic symptoms, including fever, rash, and tender lymphadenopathy. Leukopenia is commonly reported in both children and adults [].
KFD can mimic more serious conditions such as tuberculosis or lymphoma, making early and accurate diagnosis essential. Although its etiology remains unclear, both infectious and autoimmune mechanisms have been proposed []. Diagnosis is confirmed histologically, with characteristic features including paracortical areas of apoptotic necrosis, karyorrhectic debris, and a proliferation of histiocytes, plasmacytoid dendritic cells, and CD8+ T lymphocytes []. Histopathologic differentiation from systemic lupus erythematosus (SLE) and non-Hodgkin lymphoma is critical [].
We report a rare case of Kikuchi–Fujimoto disease in a 14-year-old girl who presented with prolonged cervical and supraclavicular lymphadenopathy—an exceptionally unusual manifestation in pediatric patients. To our knowledge, this is the first documented pediatric case presenting with supraclavicular lymphadenopathy, a feature that is itself rare even among adult cases of KFD.
2. Case Presentation
A previously healthy 14-year-old girl was admitted to the Pediatric Department of the University Hospital of Ioannina, Ioannina, Greece, with a one-month history of cervical and supraclavicular lymphadenopathy, predominantly on the left side. Approximately 20 days prior to admission, she developed fever (maximum 39 °C), occurring every six hours for the first ten days and every twelve hours over the subsequent ten days. Additional symptoms included fatigue, transient pain in both hip joints, and unintentional weight loss of approximately 5 kg.
Her past medical history was unremarkable. Family history revealed a probable diagnosis of systemic lupus erythematosus (SLE) in her mother at age 30, made in the United States; however, her mother had been asymptomatic and off treatment for the past ten years.
On physical examination, the patient was febrile (38.5 °C), notably pale, but in generally good condition. Inspection revealed visible cervical and supraclavicular lymphadenopathy (Figure 1).

Figure 1.
Cervical and supraclavicular lymphadenopathy.
On palpation, the lateral cervical lymph nodes were firm, mobile, moderately tender, and measured up to ~3 cm in diameter. Smaller cervical nodes were mobile and non-tender. Supraclavicular lymph nodes—more prominent on the right—were hard, fixed, and painless. Small axillary lymph nodes were barely palpable. No other lymph node groups were enlarged. Abdominal examination revealed no organomegaly, and findings from other systemic examinations were unremarkable.
- Laboratory and Imaging Investigations
Initial laboratory investigations showed a mildly elevated erythrocyte sedimentation rate (ESR) of 29 mm/h (normal range: 0–20 mm/h), and borderline hemoglobin for age and sex (12.8 g/dL; NR: 12.4–16.4 g/dL). Leukocyte counts, inflammatory markers, and other routine parameters were within normal limits.
Abdominal ultrasonography was consistent with prior imaging studies. Abdominal MRI revealed multiple splenic nodules with signal intensity similar to the splenic parenchyma, of unclear etiology (Figure 1).
Due to the broad differential diagnosis for lymphadenopathy and fever of unknown origin, an extensive workup was undertaken. The laboratory results appear in Table 1.

Table 1.
Laboratory findings.
Ophthalmologic evaluation: normal anterior segment.
- Imaging
Ultrasound: multiple enlarged, hypoechoic, rounded cervical and supraclavicular lymph nodes (Figure 2).

Figure 2.
Ultrasound findings: (A) In the supraclavicular regions, multiple enlarged lymph nodes are also revealed that locally converge. Some of them appear hypoechoic and rounded; the largest is on the left with a maximum diameter of ~1.3 cm. (B,C) In the cervical regions and within the parotid glands, more commonly on the left, multiple enlarged lymph nodes of maximum diameter up to 2 cm are observed, which in some areas converge with an oval morphology and normal architecture.
MRI (cervical/supraclavicular region): multiple hypoechoic, rounded lymph nodes (Figure 3A,B).

Figure 3.
Radiological findings: (A,B) MRI in the cervical and supraclavicular areas, mainly on the left; multiple lymph nodes are observed that converge in some areas. Some of them, being rounded off, show an intermediate signal on the T1 sequence and a low signal on the STIR, while on the diffusion sequences, they show a restriction. The perilymph node tissue shows an intense high signal on fat suppression sequences to the left, while on T1 sequences, it shows inhomogeneous high signal and increased diffusion. (C) CT scan of the thorax and abdomen: no obvious pathological findings; a number of lymph nodes up to 7 mm in diameter are observed paraaortically and in the mesentery. Central tracheobronchial tree free, no pathologically sized lymph nodes in the hilar and mediastinum.
- Treatment and Outcome
The patient was started on empiric broad-spectrum antibiotics. Fever was resolved by the fourth day of hospitalization, and she remained afebrile thereafter. Due to the persistence of lymphadenopathy, an excisional biopsy was performed.
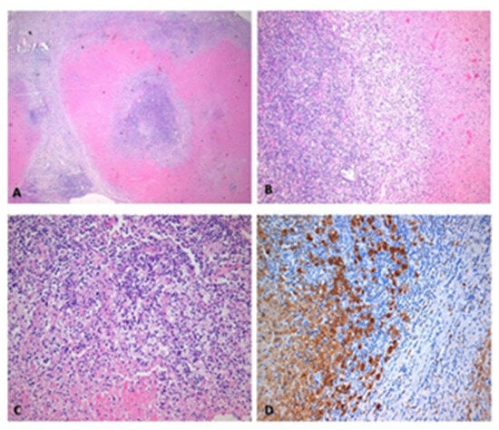
Histopathological examination of lymph node tissue (0.6–1.5 cm) revealed necrotizing, histiocytic, non-suppurative lymphadenitis—predominantly in the necrotic phase—consistent with Kikuchi–Fujimoto disease (Figure 4).

Figure 4.
Histopathological findings: (A) hematoxylin–eosin staining showing extensive apoptotic necrosis without abscess formation, with surrounding histiocytes and preservation of lymph node tissue; (B) apoptotic necrosis and mast cells at higher magnification; (C) foamy histiocytes of proximal necrosis without epithelioid granuloma; (D) CD68 highlighting this mast cell marker in residual areas around necrosis.
Following the diagnosis, the patient was started on ibuprofen, with excellent clinical response. Cervical and supraclavicular lymphadenopathy gradually resolved, and her appetite improved.
At one-month follow-up, the patient was asymptomatic (Figure 5A), with improved appetite and weight gain. There were no palpable cervical or supraclavicular lymph nodes, and ultrasound findings were near normal (Figure 5B). Leukopenia had resolved, although mild lymphopenia persisted for several months.

Figure 5.
(A) Patient in follow-up, without lymphadenopathy; (B) ultrasound: 2 small lymph nodes with normal architecture and echo structure.
She was advised to undergo regular clinical follow-up—initially monthly, then every three months—and annual immunologic evaluations, or earlier in the event of symptom recurrence.
Figures and Tables
They are included in the main text.
3. Discussion
This case highlights an unusual presentation of Kikuchi–Fujimoto disease (KFD) in a pediatric patient, with supraclavicular lymphadenopathy as a prominent feature—a finding rarely reported, particularly in children. In pediatric clinical practice, supraclavicular lymphadenopathy warrants heightened concern due to its strong association with malignancy, compared to anterior cervical lymphadenopathy []. While most cases of cervical lymphadenopathy in children are reactive or infectious in origin, persistent, non-resolving supraclavicular lymph nodes, especially when firm and immobile, should raise suspicion for more serious conditions such as lymphoma or mediastinal pathology.
KFD, also known as histiocytic necrotizing lymphadenitis, is a rare, self-limiting disorder of uncertain etiology. It predominantly affects young women in their second or third decade of life and is far more commonly described in adults than in children. Pediatric presentations of KFD, especially in Western populations, are rare and often present diagnostic challenges due to nonspecific and sometimes alarming clinical features [].
Although KFD typically presents in young adult females, pediatric cases have been reported, albeit infrequently. These often manifest with fever and lymphadenopathy, usually involving the posterior cervical lymph nodes. Supraclavicular involvement in pediatric cases is exceptionally rare. In a large series of pediatric KFD patients, supraclavicular lymphadenopathy was not identified as a typical feature [].
Our patient presented with persistent cervical and supraclavicular lymphadenopathy, prolonged fever, weight loss, leukopenia, and lymphopenia. These nonspecific symptoms significantly overlapped with other potential diagnoses, including infectious mononucleosis, tuberculosis, autoimmune diseases such as systemic lupus erythematosus (SLE), and hematologic malignancies [,].
The positive antinuclear antibody (ANA) at a titer of 1:160 raised concerns about a possible autoimmune process, particularly SLE, which can present with similar features and has been known to co-exist with or evolve from KFD []. However, the absence of other serologic markers or clinical manifestations of SLE, along with the lack of systemic organ involvement, argued against this diagnosis in our case.
Imaging studies—including ultrasound and MRI—revealed multiple hypoechoic, rounded lymph nodes, and CT scans showed paraaortic and mesenteric lymphadenopathy, raising initial concerns for lymphoma. Due to the persistence of lymphadenopathy and systemic symptoms, an excisional biopsy was appropriately performed to establish a definitive diagnosis.
Histopathological examination remains the gold standard for diagnosing KFD. In our case, biopsy revealed classic features of the disease, including patchy paracortical necrosis, karyorrhectic debris, crescent-shaped histiocytes, and a notable absence of neutrophils, helping to differentiate KFD from other conditions such as lymphoma and lupus lymphadenitis [,].
The exact etiology of KFD remains unknown. Several viral triggers—including Epstein–Barr virus (EBV), cytomegalovirus (CMV), human herpesvirus 6 (HHV-6), and Parvovirus B19—have been implicated, although no consistent causative agent has been identified [,]. An autoimmune mechanism is increasingly considered, particularly in patients with positive autoantibodies or those who later develop SLE []. This supports the need for long-term follow-up in pediatric KFD patients, especially those with positive ANA titers.
Management of KFD is primarily supportive. Our patient responded well to non-steroidal anti-inflammatory drugs (NSAIDs) and did not require corticosteroids or immunomodulatory therapy []. Fever resolved early during hospitalization, and lymphadenopathy gradually regressed. At one-month follow-up, the patient remained asymptomatic, had regained weight, and had no palpable lymph nodes.
This case emphasizes the importance of considering KFD in the differential diagnosis of persistent cervical and supraclavicular lymphadenopathy in children. Early recognition and histological confirmation can prevent unnecessary interventions, such as prolonged antibiotic use, corticosteroid therapy, or invasive investigations for suspected malignancy. Given the potential overlap with autoimmune and malignant conditions, clinicians should maintain a high index of suspicion for KFD, particularly in atypical presentations.
4. Conclusions
Kikuchi–Fujimoto disease (KFD) is a rare, self-limiting cause of lymphadenopathy in children that can closely mimic more serious conditions such as lymphoma or systemic autoimmune diseases. This case highlights the importance of including KFD in the differential diagnosis of persistent cervical and, notably, supraclavicular lymphadenopathy in pediatric patients—an especially unusual presentation.
Early consideration of KFD, along with timely histopathological confirmation, is crucial to avoid unnecessary invasive procedures and treatments. Although the prognosis is generally excellent, long-term follow-up is advisable, particularly in patients with autoimmune markers, given the potential association with systemic lupus erythematosus.
This case underscores the need for heightened clinical awareness of KFD among pediatricians and highlights the diagnostic value of lymph node biopsy in unresolved lymphadenopathy.
Author Contributions
Author contributions: M.R. is the first author and wrote the paper and interpreted the data. M.R. and A.M. (consultants) were the attending physicians responsible for the patient in this case report. K.S. is the pathologist who interpreted the biopsy. V.X. was the radiologist who made radiological assessment of the patient and provided the radiological images. N.C., E.S. and A.M. assisted in editing the draft. All authors have participated in the concept and design, analysis and interpretation of data, and drafting or revising of the manuscript. All authors have read and agreed to the published version of the manuscript.
Funding
This research received no external funding.
Institutional Review Board Statement
Ethical review and approval were waived for this study due to the details of the Patient and examinations are anonymised and cannot be identified.
Informed Consent Statement
Written informed consent from parents was obtained for anonymized publication of the patient’s history, photos, and images of histological and radiological findings.
Data Availability Statement
The original contributions presented in this study are included in the article. Further inquiries can be directed to the corresponding author.
Conflicts of Interest
The authors declare no conflict of interest.
Abbreviations
The following abbreviations are used in this manuscript:
KFD | Kikuchi–Fujimoto disease |
ANA | Antinuclear antibody |
CT | computed tomography |
FNAC | Fine-needle aspiration cytology |
SLE | Systemic lupus erythematosus |
Kg | Kilogram |
USA | United States of America |
ESR | Erythrocyte sedimentation rate |
EBV | Epstein Barr Virus |
CMV | Cytomegalic virus |
HIV | Human immunodeficiency virus |
ASTO | Antistreptolysine title |
ACE | Angiotensin-converting enzyme |
ANCA | Anti-neutrophil cytoplasm antibody |
IgM | Immunoglobulin M |
IgG | Immunoglobulin G |
RF | Rheumatoid Factor |
IgE | Immunoglobulin E |
IgA | Immunoglobulin A |
C3 | Complement 3 |
C4 | Complement 4 |
MRI | Magnetic resonance imaging |
NSAIDs | Non-steroidal anti-inflammatory drugs |
References
- Weinstock, M.S.; Patel, N.A. Pediatric Cervical Lymphadenopathy. Pediatr. Rev. 2018, 39, 433–443. [Google Scholar] [CrossRef] [PubMed]
- Cameron, D.; Stetson, A. Pediatric Lymphadenopathy. Adv Pediatr. 2025, 72, 93–102. [Google Scholar] [CrossRef] [PubMed]
- Şen, H.S.; Ocak, S.; Yılmazbaş, P. Children with cervical lymphadenopathy: Reactive or not? Turk. J. Pediatr. 2021, 63, 363–371. [Google Scholar] [CrossRef] [PubMed]
- Işık, P.; Belen Apak, F.B.; Demir, T.A. Evaluation of Peripheral Lymphadenopathies in Children in a Single Center: Predictive Factors for Malignancy. Klin. Padiatr. 2024, 236, 173–179. [Google Scholar] [CrossRef] [PubMed]
- Moon, J.; Hwang, J. Diagnostic Performance of Ultrasound for Differentiating Malignant From Benign Cervical Lymphadenopathy in Children: A Systematic Review and Meta-Analysis. J. Ultrasound Med. 2025, 44, 1329–1341. [Google Scholar] [CrossRef] [PubMed]
- Nawaz, C.; Hussain, M. Etiological Spectrum of Lymphadenopathy Among Children on Lymph Node Biopsy. Cureus 2024, 16, e68102. [Google Scholar] [CrossRef] [PubMed]
- Fei, X.; Liu, S.; Wang, B.; Dong, A. Clinical characteristics and treatment in adults and children with histiocytic necrotizing lymphadenitis. Beijing Da Xue Xue Bao Yi Xue Ban 2024, 56, 533–540. [Google Scholar] [CrossRef] [PubMed]
- Soto-Moreno, A.; Vílchez-Márquez, F.; Narváez-Simón, M.; Castro-Martín, J.; Ramos-Pleguezuelos, F.M.; Soto-Díaz, A.; Tercedor-Sánchez, J.; Arias-Santiago, S. Pediatric Kikuchi-Fujimoto Disease: Case Report and Review of Cutaneous and Histopathologic Features in Childhood. Dermatopathology 2025, 12, 7. [Google Scholar] [CrossRef] [PubMed]
- Mahajan, V.K.; Sharma, V.; Sharma, N. Kikuchi-Fujimoto disease: A comprehensive review. World J. Clin. Cases 2023, 11, 3664–3679. [Google Scholar] [CrossRef] [PubMed]
- Dorfman, R.F.; Berry, G.J. Kikuchi’s histiocytic necrotizing lymphadenitis: An analysis of 108 cases with emphasis on differential diagnosis. Am. J. Surg. Pathol. 1988, 12, 316–324. [Google Scholar]
- Kang, H.M.; Kim, J.Y. Clinical characteristics of severe histiocytic necrotizing lymphadenitis (Kikuchi-Fujimoto disease) in children. J. Pediatr. 2016, 171, 208–212.e1. [Google Scholar] [CrossRef] [PubMed]
- Faria, C.; Fernandes, M.; Cunha, R.; Moreira, H.; Costa, R. Kikuchi-Fujimoto Disease: Diagnosis in a Relapsing Case. Cureus 2021, 13, e19542. [Google Scholar] [CrossRef] [PubMed]
- Kucukardali, Y.; Solmazgul, E. Kikuchi–Fujimoto disease: Analysis of 244 cases. Clin. Rheumatol. 2007, 26, 50–54. [Google Scholar] [CrossRef] [PubMed]
- Hudnall, S.D.; Chen, T. Kikuchi-Fujimoto disease: A concise review with emphasis on diagnostic challenges. Arch. Pathol. Lab. Med. 2020, 144, 1345–1349. [Google Scholar]
- Deb, A.; Fernandez, V.; Kilinc, E.; Bahmad, H.F.; Camps, N.S.; Sriganeshan, V.; Medina, A.M. Kikuchi-Fujimoto Disease: A Case Series and Review of the Literature. Diseases 2024, 12, 271. [Google Scholar] [CrossRef] [PubMed]
- Cadório, M.J.; Oliveira, J.; Gama, J.; Duarte, C. Kikuchi-Fujimoto disease and primary Sjögren's syndrome coexisting: A case-based literature review. Mod. Rheumatol. Case Rep. 2025, 9, 110–116. [Google Scholar] [CrossRef] [PubMed]
- Huang, J.; Zheng, J.-X.; Yang, Y.; Zhu, D. Necrotizing lymphadenitis: A case report and literature review. Z. Rheumatol. 2021, 80, 274–282. [Google Scholar] [CrossRef] [PubMed]
Disclaimer/Publisher’s Note: The statements, opinions and data contained in all publications are solely those of the individual author(s) and contributor(s) and not of MDPI and/or the editor(s). MDPI and/or the editor(s) disclaim responsibility for any injury to people or property resulting from any ideas, methods, instructions or products referred to in the content. |
© 2025 by the authors. Licensee MDPI, Basel, Switzerland. This article is an open access article distributed under the terms and conditions of the Creative Commons Attribution (CC BY) license (https://creativecommons.org/licenses/by/4.0/).