Asymptomatic Retroperitoneal Lipoma with Extension to the Right Anteromedial Thigh
Abstract
1. Introduction and Clinical Significance
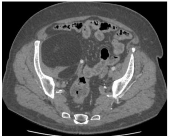
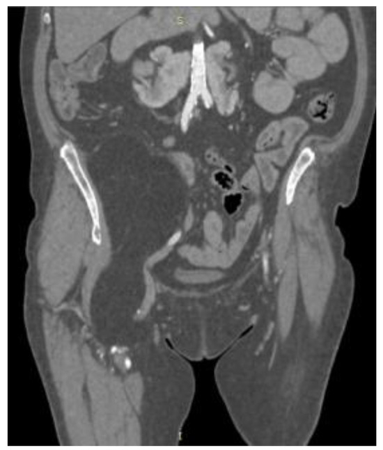
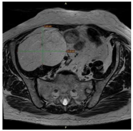
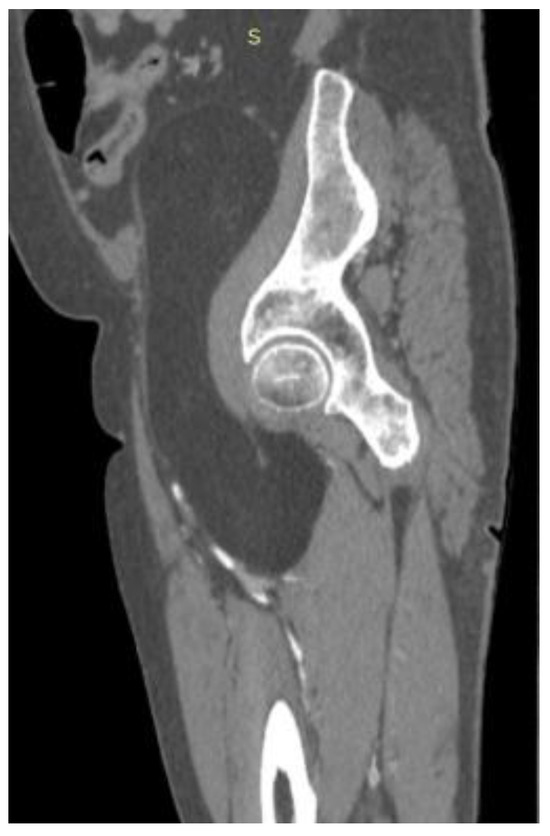
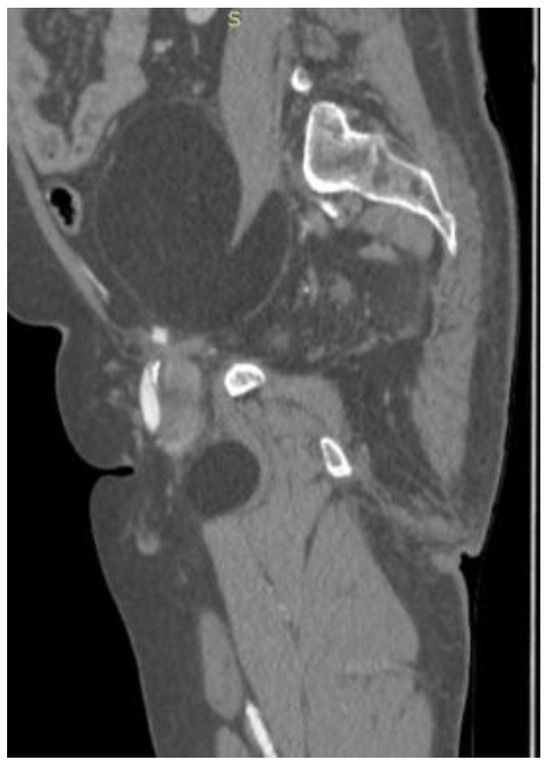
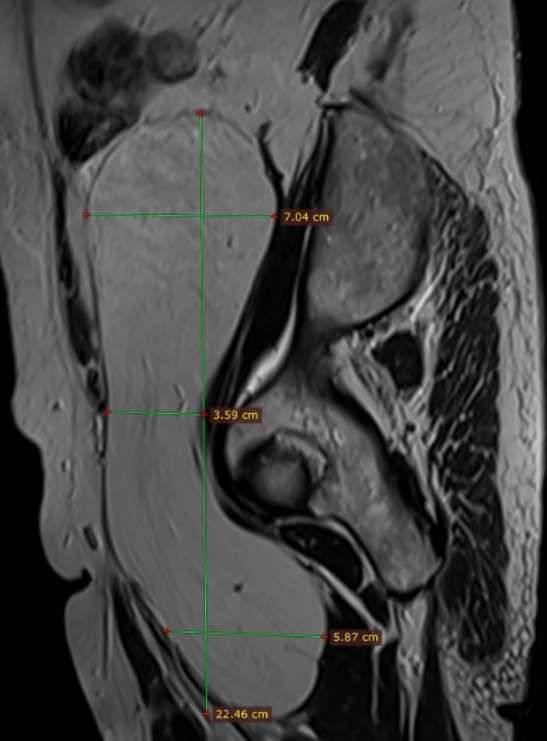
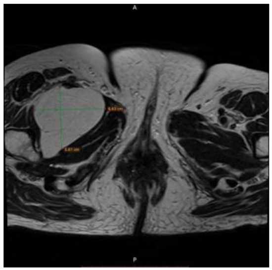
2. Case Presentation
3. Discussion
4. Conclusions
5. Limitations
Author Contributions
Funding
Institutional Review Board Statement
Informed Consent Statement
Data Availability Statement
Conflicts of Interest
References
- Mack, T.; Purgina, B. Updates in Pathology for Retroperitonal Soft Tissue Sarcoma. Curr. Oncol. 2022, 29, 6400–6418. [Google Scholar] [CrossRef] [PubMed]
- Trans-Atlantic RPS Working Group. Management of primary retroperitoneal sarcoma (RPS) in the adult: A consensus approach from the Trans-Atlantic RPS Working Group. Ann. Surg. Oncol. 2015, 22, 256–263. [Google Scholar] [CrossRef] [PubMed]
- Bonvalot, S.; Raut, C.P.; Pollock, R.E.; Rutkowski, P.; Strauss, D.C.; Hayes, A.J.; Van Coevorden, F.; Fiore, M.; Stoeckle, E.; Hohenberger, P.; et al. Technical Considerations in Surgery for Retroperitoneal Sarcomas: Position Paper from E-Surge, a Master Class in Sarcoma Surgery, and EORTC–STBSG. Ann. Surg. Oncol. 2012, 19, 2981–2991. [Google Scholar] [CrossRef] [PubMed]
- de Bree, E.; Michelakis, D.; Heretis, I.; Kontopodis, N.; Spanakis, K.; Lagoudaki, E.; Tolia, M.; Zografakis-Sfakianakis, M.; Ioannou, C.; Mavroudis, D. Retroperitoneal Soft Tissue Sarcoma: Emerging Therapeutic Strategies. Cancers 2023, 15, 5469. [Google Scholar] [CrossRef] [PubMed]
- Weniger, M.; D’Haese, J.G.; Kunz, W.; Pratschke, S.; Guba, M.; Werner, J.; Angele, M.K. En-bloc resection of a giant retroperitoneal lipoma: A case report and review of the literature. BMC Res. Notes 2015, 8, 75. [Google Scholar] [CrossRef] [PubMed]
- Saito, S. Retroperitoneal lipoma presenting with nutcracker-like phenomenon. Case Rep. Urol. 2013, 2013, 893242. [Google Scholar] [CrossRef] [PubMed][Green Version]
- Hardy, C.L.; Goliath, G. IMAGES IN CLINICAL MEDICINE. Constipation Associated with a Lipoma. N. Engl. J. Med. 2015, 373, 656. [Google Scholar] [CrossRef] [PubMed]
- Fernández Hernández, J.Á.; Navarro-Barrios, Á.; Gil Vázquez, P.J.; Gil, J.E.; Varona Garcíal, L.; López Motos, D.; Fernández Selles, C.; Nieto, G.; Frutos Bernal, M.D.; Torres Salmerón, G.; et al. Giant lipomas or retroperitoneal liposarcomas? Controversies in their diagnosis and treatment. Rev. Esp. Patol. 2021, 54, 75–84. [Google Scholar] [CrossRef] [PubMed]
- Nardi, W.S.; Diaz Saubidet, H.; Porto, E.A.; Quildrian, S.D. Resection of a giant retroperitoneal lipoma herniating through the inguinal canal. BMJ Case Rep. 2021, 14, e239301. [Google Scholar] [CrossRef] [PubMed]
- Selmani, R.; Begovic, G.; Janevski, V.; Rushiti, Q.; Karpuzi, A. Giant retroperitoneal liposarcoma: A case report. Prilozi 2011, 32, 323–332. [Google Scholar] [PubMed]
- Petca, R.C.; Ambert, V.; Popescu, R.I.; Mareş, C.; Petca, A.T.; Berceanu, C.; Jinga, V. Half abdomen tumor—Giant retroperitoneal lipoma: A case report and review of the literature. Rom. J. Morphol. Embryol. 2022, 63, 237–244. [Google Scholar] [CrossRef] [PubMed]
- Kotohata, Y.; Umemura, A.; Sakuraba, M.; Sasaki, A. Giant retroperitoneal lipoma resulting in femoral hernia: A case report. Int. J. Surg. Case Rep. 2025, 133, 111584. [Google Scholar] [CrossRef] [PubMed]
- Chen, Z.-Y.; Chen, X.-L.; Yu, Q.; Fan, Q.-B. Giant retroperitoneal lipoma presenting with abdominal distention: A case report and review of the literature. World J. Clin. Cases 2022, 10, 1675–1683. [Google Scholar] [CrossRef] [PubMed]
- Mohindra, P.; Neuman, H.B.; Kozak, K.R. The Role of Radiation in Retroperitoneal Sarcomas. Curr. Treat. Options Oncol. 2013, 14, 425–441. [Google Scholar] [CrossRef] [PubMed]
- Ukita, S.; Koshiyama, M.; Ohnaka, M.; Miyagawa, N.; Yamanishi, Y.; Nishimura, F.; Nagura, M.; Kim, T.; Hirose, M.; Shirase, T.; et al. Retroperitoneal lipoma arising from the urinary bladder. Rare Tumors 2009, 1, e13. [Google Scholar] [CrossRef] [PubMed]
- Bedi, M.; King, D.M.; Shivakoti, M.; Wang, T.; Zambrano, E.V.; Charlson, J.; Hackbarth, D.; Neilson, J.; Whitfield, R.; Wang, D. Prognostic variables in patients with primary soft tissue sarcoma of the extremity and trunk treated with neoadjuvant radiotherapy or neoadjuvant sequential chemoradiotherapy. Radiat. Oncol. 2013, 8, 60. [Google Scholar] [CrossRef] [PubMed]
- Laurens, J.R.; Frankel, A.J.; Smithers, B.M.; Strutton, G. A rare case of a giant retroperitoneal lipoma with multiple limb and trunk lipomata without familial multiple lipomatosis. J. Surg. Case Rep. 2022, 2022, rjac121. [Google Scholar] [CrossRef] [PubMed]
- Nissen, T.; Wynn, R. The clinical case report: A review of its merits and limitations. BMC Res. Notes 2014, 7, 264. [Google Scholar] [CrossRef] [PubMed]









Disclaimer/Publisher’s Note: The statements, opinions and data contained in all publications are solely those of the individual author(s) and contributor(s) and not of MDPI and/or the editor(s). MDPI and/or the editor(s) disclaim responsibility for any injury to people or property resulting from any ideas, methods, instructions or products referred to in the content. |
© 2025 by the authors. Licensee MDPI, Basel, Switzerland. This article is an open access article distributed under the terms and conditions of the Creative Commons Attribution (CC BY) license (https://creativecommons.org/licenses/by/4.0/).
Share and Cite
Balta, C.; Botoncea, M.; Toma, L.; Voda, R.; Balta, A.; Nicolescu, C. Asymptomatic Retroperitoneal Lipoma with Extension to the Right Anteromedial Thigh. Reports 2025, 8, 181. https://doi.org/10.3390/reports8030181
Balta C, Botoncea M, Toma L, Voda R, Balta A, Nicolescu C. Asymptomatic Retroperitoneal Lipoma with Extension to the Right Anteromedial Thigh. Reports. 2025; 8(3):181. https://doi.org/10.3390/reports8030181
Chicago/Turabian StyleBalta, Catalin, Marian Botoncea, Lucian Toma, Rares Voda, Anastasia Balta, and Cosmin Nicolescu. 2025. "Asymptomatic Retroperitoneal Lipoma with Extension to the Right Anteromedial Thigh" Reports 8, no. 3: 181. https://doi.org/10.3390/reports8030181
APA StyleBalta, C., Botoncea, M., Toma, L., Voda, R., Balta, A., & Nicolescu, C. (2025). Asymptomatic Retroperitoneal Lipoma with Extension to the Right Anteromedial Thigh. Reports, 8(3), 181. https://doi.org/10.3390/reports8030181

