Diagnosis and Treatment of Bronchopulmonary Lophomoniasis in a Patient with Persistent Granuloma: A Case Report
Abstract
1. Introduction and Clinical Significance
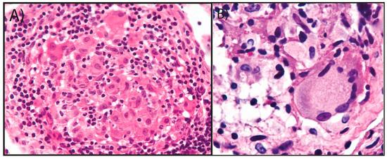
2. Case Presentation
3. Discussion
4. Conclusions
Supplementary Materials
Author Contributions
Funding
Institutional Review Board Statement
Informed Consent Statement
Data Availability Statement
Conflicts of Interest
References
- Mewara, A.; Gile, G.H.; Mathison, B.; Zhao, H.; Pritt, B.; Bradbury, R.S. Lophomonas as a respiratory pathogen—Jumping the gun. J. Clin. Microbiol. 2024, 62, e00845-23. [Google Scholar] [CrossRef] [PubMed]
- Nakhaei, M.; Fakhar, M.; Sharifpour, A.; Ziaei Hezarjaribi, H.; Banimostafavi, E.S.; Nazar, E. Global Status of Emerging Lophomonas Infection: A Systematic Review of Reported Cases (1993–2020). Interdiscip. Perspect. Infect. Dis. 2022, 2022, 3155845. [Google Scholar] [CrossRef] [PubMed]
- Martinez-Girón, R.; Cornelis van Woerden, H. Lophomonas blattarum and bronchopulmonary disease. J. Med. Microbiol. 2013, 62, 1641–1648. [Google Scholar] [CrossRef] [PubMed]
- Martinez-Girón, R.; Cornelis van Woerden, H. Bronchopulmonary lophomoniasis: Emerging disease or unsubstantiated legend? Parasit. Vectors 2014, 7, 284. [Google Scholar] [CrossRef] [PubMed]
- Kalani, H.; Pangh, A.; Nakhaei, M.; Hezarjaribi, H.Z.; Fakhar, M.; Sharifpour, A.; Banimostafavi, E.S.; Tabaripour, R. High Occurrence of Emerged Lophomonas Infection among Patients Suspected of Having Pulmonary Tuberculosis: In-House PCR-Based Evidence. Interdiscip. Perspect. Infect. Dis. 2022, 2022, 2742164. [Google Scholar] [CrossRef] [PubMed]
- Shi, Y.L.; Li, L.H.; Liao, Y.; Li, X.N.; Huang, X.Y.; Liu, J.; Wang, Y.; Cao, C. Diagnosis and treatment of Lophomonas blattarum infection in 26 patients with bacterial pneumonia. Zhongguo Ji Sheng Chong Xue Yu Ji Sheng Chong Bing Za Zhi Chin. J. Parasitol. Parasit. Dis. 2007, 25, 430–431. [Google Scholar]
- Veisi, H.; Malakian, A.; Fakhar, M.; Sharifpour, A.; Nakhaei, M.; Soleymani, M.; Mosave, S.R.; Ahangar, N.; Seyedpour, S.H. Seyedpour, First Molecular Evidence of Emerging Lophomonas Pathogen Among Patients Suspected of Having Pulmonary Tuberculosis in Mazandaran Province, Northern Iran. Acta Parasitol. 2024, 69, 1041–1045. [Google Scholar] [CrossRef] [PubMed]
- Taheri, A.; Fakhar, M.; Sharifpour, A.; Nakhaei, M.; Banimostafavi, E.S. Lophomonas and Mycobacterium co-infection: The first molecular evidence to overcome potential diagnostic pitfalls. Oxf. Med. Case Rep. 2022, 2022, omac064. [Google Scholar] [CrossRef] [PubMed]
- Nakhaei, M.; Fakhar, M.; Sharifpour, A.; Banimostafavi, E.S.; Zakariaei, Z.; Mehravaran, H.; Saberi, R.; Safanavaei, S.; Abedi, S.; Aliyali, M.; et al. First Co-morbidity of Lophomonas blattarum and COVID-19 Infections: Confirmed Using Molecular Approach. Acta Parasitol. 2022, 67, 535–538. [Google Scholar] [CrossRef] [PubMed]
- Thakkar, P.; Shah, S.; Devadiga, A.; Singhania, S. A co-infection of Pneumocystis jirovecii and Lophomonas blattarum causing pneumonia in a patient with adenocarcinoma of lung. Indian J. Med. Microbiol. 2023, 41, 25–27. [Google Scholar] [CrossRef] [PubMed]
- Shahkar, L.; Lashkarbolouk, N.; Bigdeli, N.; Mazandarani, M. Coinfection of pulmonary lophomoniasis, tuberculosis, and hydatid cyst in a pediatric autism patient: A case report and literature review. BMC Pediatr. 2024, 24, 689. [Google Scholar] [CrossRef] [PubMed]
- Chaudhury, A.; Parija, S.C. Lophomonas blattarum: A new flagellate causing respiratory tract infections. Trop. Parasitol. 2020, 10, 7–11. [Google Scholar] [PubMed]
- Anhaee Nasseri, Z.; Mirsadraee, M.; Manafi Varkiani, M.; Ghaderi, Y.; Berenji, F.; Ghaffari, S. Effective Treatment of Chronic Cough with Tinidazole as the Newest Antiprotozoa against Lophomonas blattarum. J. Parasitol. Res. 2022, 2022, 2413941. [Google Scholar] [CrossRef] [PubMed]
- Jalayeri, M.H.; Sharifi far, R.A.; Lashkarbolouk, N.; Mazandarani, M. The co-infection of pulmonary hydatid cyst, lophomoniasis and tuberculosis in a patient with resistant respiratory symptoms: A case report study. BMC Infect. Dis. 2024, 24, 11. [Google Scholar] [CrossRef] [PubMed]
- Fakhar, M.; Nakhaei, M.; Sharifpour, A.; Kalani, H.; Banimostafavi, E.S.; Abedi, S.; Safanavaei, S.; Aliyali, M. First Molecular Diagnosis of Lophomoniasis: The End of a Controversial Story. Acta Parasitol. 2019, 64, 390–393. [Google Scholar] [CrossRef] [PubMed]
- Berenji, F.; Parian, M.; Fata, A.; Bakhshaee, M.; Fattahi, F. First Case Report of Sinusitis with Lophomonas blattarum from Iran. Case Rep. Infect. Dis. 2016, 2016, 2614187. [Google Scholar] [CrossRef] [PubMed]



Disclaimer/Publisher’s Note: The statements, opinions and data contained in all publications are solely those of the individual author(s) and contributor(s) and not of MDPI and/or the editor(s). MDPI and/or the editor(s) disclaim responsibility for any injury to people or property resulting from any ideas, methods, instructions or products referred to in the content. |
© 2024 by the authors. Licensee MDPI, Basel, Switzerland. This article is an open access article distributed under the terms and conditions of the Creative Commons Attribution (CC BY) license (https://creativecommons.org/licenses/by/4.0/).
Share and Cite
Mier-Briseño, A.; Ramírez-Alanís, E.; Benavides-Huerto, M.A.; Lagunas-Rangel, F.A. Diagnosis and Treatment of Bronchopulmonary Lophomoniasis in a Patient with Persistent Granuloma: A Case Report. Reports 2024, 7, 102. https://doi.org/10.3390/reports7040102
Mier-Briseño A, Ramírez-Alanís E, Benavides-Huerto MA, Lagunas-Rangel FA. Diagnosis and Treatment of Bronchopulmonary Lophomoniasis in a Patient with Persistent Granuloma: A Case Report. Reports. 2024; 7(4):102. https://doi.org/10.3390/reports7040102
Chicago/Turabian StyleMier-Briseño, Antonio, Eloísa Ramírez-Alanís, Miguel Armando Benavides-Huerto, and Francisco Alejandro Lagunas-Rangel. 2024. "Diagnosis and Treatment of Bronchopulmonary Lophomoniasis in a Patient with Persistent Granuloma: A Case Report" Reports 7, no. 4: 102. https://doi.org/10.3390/reports7040102
APA StyleMier-Briseño, A., Ramírez-Alanís, E., Benavides-Huerto, M. A., & Lagunas-Rangel, F. A. (2024). Diagnosis and Treatment of Bronchopulmonary Lophomoniasis in a Patient with Persistent Granuloma: A Case Report. Reports, 7(4), 102. https://doi.org/10.3390/reports7040102

