A Case Report of the Synchronous Occurrence of Ovarian Granulosa Cell Tumour and Malignant Endometrial Polyp with Immunohistochemical Expression of Hormone Receptors and Biomarkers p-53 and Ki-67
Abstract
1. Introduction
2. Case Presentation
2.1. Patient Information
2.2. Clinical Examination and Diagnostic Assessment
2.3. Management
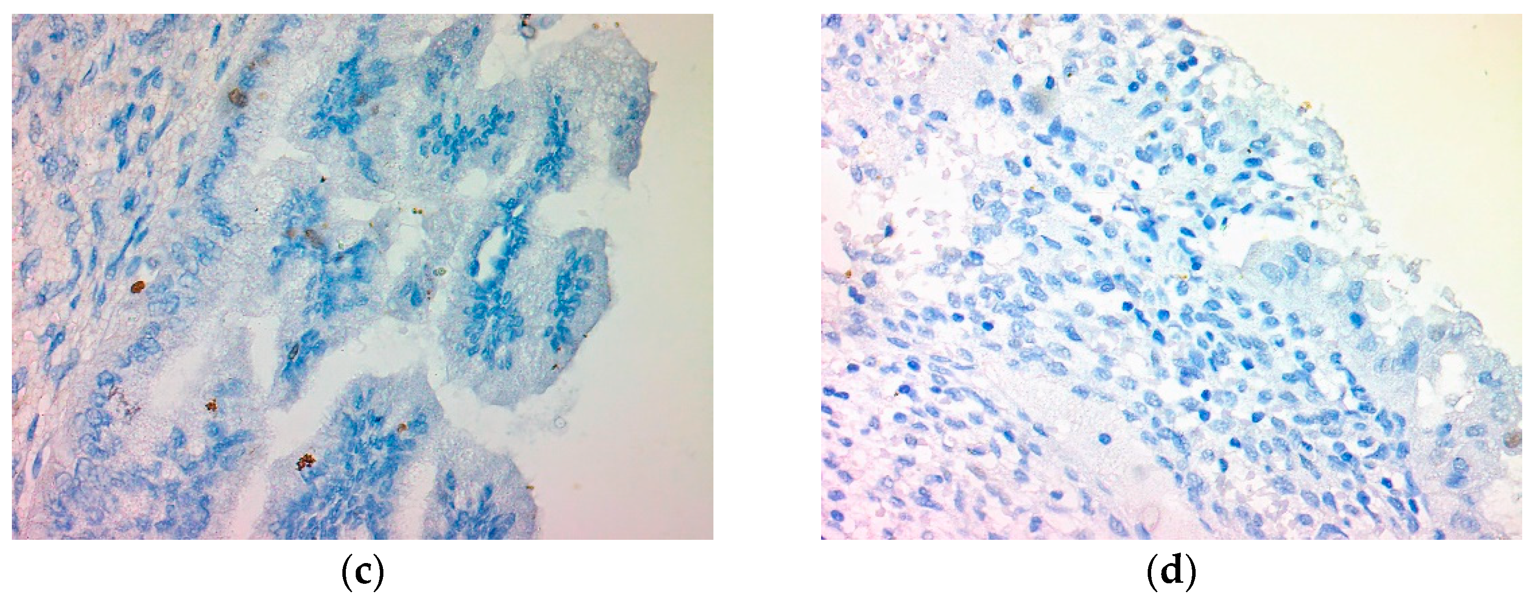
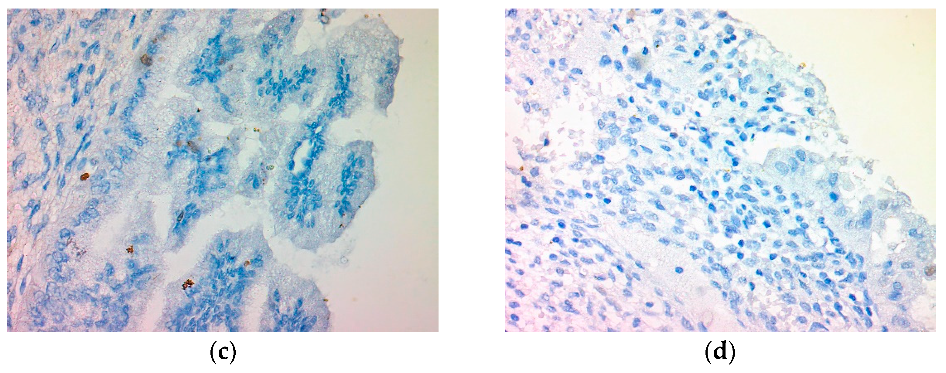
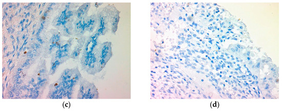
2.4. Histopathological Examination and Immunohistochemical Analysis of Malignant Endometrial Polyp
3. Discussion
Limitations
4. Conclusions
Author Contributions
Funding
Institutional Review Board Statement
Informed Consent Statement
Data Availability Statement
Conflicts of Interest
References
- Lebduska, E.; Beshear, D.; Spataro, B.M. Abnormal Uterine Bleeding. Med. Clin. N. Am. 2023, 107, 235–246. [Google Scholar] [CrossRef] [PubMed]
 - Adomaitienė, L.; Nadišauskienė, R.; Nickkho-Amiry, M.; Čižauskas, A.; Palubinskienė, J.; Holland, C.; Seif, M.W. Proliferation in Postmenopausal Endometrial Polyps—A Potential for Malignant Transformation. Medicina 2019, 55, 543. [Google Scholar] [CrossRef] [PubMed]
 - Wang, P.H.; Yang, S.T.; Liu, C.H.; Chang, W.H.; Lee, F.K.; Lee, W.L. Endometrial cancer: Part I. Basic concept. Taiwan. J. Obstet. Gynecol. 2022, 61, 951–959. [Google Scholar] [CrossRef] [PubMed]
 - AAGL Advancing Minimally Invasive Gynecology Worldwide. AAGL Practice Report: Practice Guidelines for the Diagnosis and Management of Endometrial Polyps. J. Minim. Invasive Gynecol. 2012, 19, 3–10. [Google Scholar] [CrossRef]
 - Lee, S.C.; Kaunitz, A.M.; Sanchez-Ramos, L.; Rhatigan, R.M. The Oncogenic Potential of Endometrial Polyps. Obstet. Gynecol. 2010, 116, 1197–1205. [Google Scholar] [CrossRef]
 - Koukourakis, G.V.; Kouloulias, V.E.; Koukourakis, M.J.; Zacharias, G.A.; Papadimitriou, C.; Mystakidou, K.; Pistevou-Gompaki, K.; Kouvaris, J.; Gouliamos, A. Granulosa Cell Tumor of the Ovary: Tumor Review. Integr. Cancer Ther. 2008, 7, 204–215. [Google Scholar] [CrossRef]
 - World Health Organization. WHO Classification of Tumours of Female Reproductive Organs; Kurman, R.J., Carcangiu, M.L., Herrington, C.S., Young, R.H., Eds.; WHO: Geneva, Switzerland, 2014. [Google Scholar]
 - Pekin, T.; Yoruk, P.; Yıldızhan, R.; Yıldızhan, B.; Ramadan, S. Three synchronized neoplasms of the female genital tract: An extraordinary presentation. Arch. Gynecol. Obstet. 2007, 276, 541–545. [Google Scholar] [CrossRef]
 - Zarei, S. Granulosa Cell Tumor-Adult. Available online: https://www.pathologyoutlines.com/topic/ovarytumorwhoclassif.html (accessed on 1 September 2024).
 - Zanagnolo, V.; Pasinetti, B.; Sartori, E. Clinical review of 63 cases of sex cord stromal tumors. Eur. J. Gynaecol. Oncol. 2004, 25, 431–438. [Google Scholar]
 - Berceanu, C.; Cernea, N.; Căpitănescu, R.G.; Comănescu, A.C.; Paitici, Ş.; Rotar, I.C.; Bohîlţea, R.E.; Olinca, M.V. Endometrial polyps. Rom. J. Morphol. Embryol. 2022, 63, 323–334. [Google Scholar] [CrossRef]
 - Lin, Y.-C.; Chu, T.-Y.; Ding, D.-C. Synchronous primary ovarian granulosa cell tumor and endometrial cancer. Taiwan. J. Obstet. Gynecol. 2011, 50, 546–548. [Google Scholar] [CrossRef][Green Version]
 - Ukah, C.O.; Ikpeze, O.C.; Eleje, G.U.; Eke, A.C. Adult granulosa cell tumor associated with endometrial carcinoma: A case report. J. Med. Case Rep. 2011, 5, 340. [Google Scholar] [CrossRef] [PubMed]
 - Antunes, A.; Vassallo, J.; Pinheiro, A.; Leão, R.; Neto, A.M.P.; Costa-Paiva, L. Immunohistochemical expression of estrogen and progesterone receptors in endometrial polyps: A comparison between benign and malignant polyps in postmenopausal patients. Oncol. Lett. 2014, 7, 1944–1950. [Google Scholar] [CrossRef]
 - Goncharenko, V.M.; Beniuk, V.A.; Kalenska, O.V.; Demchenko, O.M.; Spivak, M.Y.; Bubnov, R.V. Predictive diagnosis of endometrial hyperplasia and personalized therapeutic strategy in women of fertile age. EPMA J. 2013, 4, 24. [Google Scholar] [CrossRef] [PubMed]
 - De Carvalho, S.; Campaner, A.B.; Lima, S.M.; Silva, M.A.; Ribeiro, P.A. Differential expression of estrogen and progesterone receptors in endometrial polyps and adjacent endometrium in postmenopausal women. Anal. Quant. Cytol. Histol. 2011, 33, 61–67. [Google Scholar] [PubMed]
 - De Almeida, E.C.S.; Nogueira, A.A.; Reis, F.J.C.D.; Ramalho, L.N.Z.; Zucoloto, S. Immunohistochemical expression of estrogen and progesterone receptors in endometrial polyps and adjacent endometrium in postmenopausal women. Maturitas 2004, 49, 229–233. [Google Scholar] [CrossRef]
 - Mylonas, I.; Makovitzky, J.; Friese, K.; Jeschke, U. Immunohistochemical labelling of steroid receptors in normal and malignant human endometrium. Acta Histochem. 2009, 111, 350–360. [Google Scholar] [CrossRef]
 - Daniilidou, K.; Frangou-Plemenou, M.; Grammatikakis, J.; Grigoriou, O.; Vitoratos, N.; Kondi-Pafiti, A. Prognostic significance and diagnostic value of PTEN and p53 expression in endometrial carcinoma. A retrospective clinicopathological and immunohistochemical study. J. BUON 2013, 18, 195–201. [Google Scholar]
 - Abrão, F.; Modotti, W.P.; Spadoto-Dias, D.; Bueloni-Dias, F.N.; Leite, N.J.; Peres, G.F.; Elias, L.V.; Domingues, M.A.C.; Dias, R. Concomitant p53 and PTEN immunoexpression to predict the risk of malignancy in endometrial polyps. Medicine 2018, 97, e12304. [Google Scholar] [CrossRef]
 - Niu, S.; Molberg, K.; Castrillon, D.H.; Lucas, E.; Chen, H. Biomarkers in the Diagnosis of Endometrial Precancers. Molecular Characteristics, Candidate Immunohistochemical Markers, and Promising Results of Three-Marker Panel: Current Status and Future Directions. Cancers 2024, 16, 1159. [Google Scholar] [CrossRef]
 - Nakajima, J.; Yano, M.; Zaitsu, S.; Kamada, K.; Yabuno, A.; Hasegawa, K.; Kobayashi, E.; Yasuda, M. Therapeutic indications for antibody-drug conjugates estimated from HER2 and p53 expressions in endometrial carcinoma. Hum. Pathol. 2024, 152, 105649. [Google Scholar] [CrossRef]
 - Maia, H.; Maltez, A.; Athayde, C.; Coutinho, E.M. Proliferation profile of endometrial polyps in post-menopausal women. Maturitas 2001, 40, 273–281. [Google Scholar] [CrossRef] [PubMed]
 - Antunes, A., Jr.; Andrade, L.A.; Pinto, G.A.; Leão, R.; Pinto-Neto, A.M.; Costa-Paiva, L. Is the immunohistochemical expression of proliferation (Ki-67) and apoptosis (Bcl-2) markers and cyclooxigenase-2 (COX-2) related to carcinogenesis in postmenopausal endometrial polyps? Anal. Quant. Cytopathol. Histopathol. 2012, 34, 264–272. [Google Scholar]
 - Inceboz, U.S.; Nese, N.; Uyar, Y.; Ozcakir, H.T.; Kurtul, O.; Baytur, Y.B.; Kandiloglu, A.R.; Caglar, H.; Fraser, I.S. Hormone Receptor Expressions and Proliferation Markers in Postmenopausal Endometrial Polyps. Gynecol. Obstet. Investig. 2006, 61, 24–28. [Google Scholar] [CrossRef] [PubMed]
 - Giordano, G.; Gnetti, L.; Merisio, C.; Melpignano, M. Postmenopausal status, hypertension and obesity as risk factors for malignant transformation in endometrial polyps. Maturitas 2007, 56, 190–197. [Google Scholar] [CrossRef]
 - Giordano, M.; Lucas, H.; Fiorelli, R.; Giordano, L.; Giordano, M.; Baracat, E.; Júnior, J. Expression levels of BCL2 and MKI67 in endometrial polyps in postmenopausal women and their correlation with obesity. Mol. Clin. Oncol. 2020, 13, 1. [Google Scholar] [CrossRef]
 




Disclaimer/Publisher’s Note: The statements, opinions and data contained in all publications are solely those of the individual author(s) and contributor(s) and not of MDPI and/or the editor(s). MDPI and/or the editor(s) disclaim responsibility for any injury to people or property resulting from any ideas, methods, instructions or products referred to in the content.  | 
© 2024 by the authors. Licensee MDPI, Basel, Switzerland. This article is an open access article distributed under the terms and conditions of the Creative Commons Attribution (CC BY) license (https://creativecommons.org/licenses/by/4.0/).
Share and Cite
Vladov, K.; Uchikova, E.; Koleva-Ivanova, M.; Yamakov, K.; Belovezhdov, V.; Yamakova-Vladova, G.; Hristova-Atanasova, E. A Case Report of the Synchronous Occurrence of Ovarian Granulosa Cell Tumour and Malignant Endometrial Polyp with Immunohistochemical Expression of Hormone Receptors and Biomarkers p-53 and Ki-67. Reports 2024, 7, 103. https://doi.org/10.3390/reports7040103
Vladov K, Uchikova E, Koleva-Ivanova M, Yamakov K, Belovezhdov V, Yamakova-Vladova G, Hristova-Atanasova E. A Case Report of the Synchronous Occurrence of Ovarian Granulosa Cell Tumour and Malignant Endometrial Polyp with Immunohistochemical Expression of Hormone Receptors and Biomarkers p-53 and Ki-67. Reports. 2024; 7(4):103. https://doi.org/10.3390/reports7040103
Chicago/Turabian StyleVladov, Krum, Ekaterina Uchikova, Maria Koleva-Ivanova, Kamen Yamakov, Veselin Belovezhdov, Gita Yamakova-Vladova, and Eleonora Hristova-Atanasova. 2024. "A Case Report of the Synchronous Occurrence of Ovarian Granulosa Cell Tumour and Malignant Endometrial Polyp with Immunohistochemical Expression of Hormone Receptors and Biomarkers p-53 and Ki-67" Reports 7, no. 4: 103. https://doi.org/10.3390/reports7040103
APA StyleVladov, K., Uchikova, E., Koleva-Ivanova, M., Yamakov, K., Belovezhdov, V., Yamakova-Vladova, G., & Hristova-Atanasova, E. (2024). A Case Report of the Synchronous Occurrence of Ovarian Granulosa Cell Tumour and Malignant Endometrial Polyp with Immunohistochemical Expression of Hormone Receptors and Biomarkers p-53 and Ki-67. Reports, 7(4), 103. https://doi.org/10.3390/reports7040103
        
