Heterologous Platelet-Rich Plasma in the Treatment of Severe Skin Damage
Abstract
1. Introduction
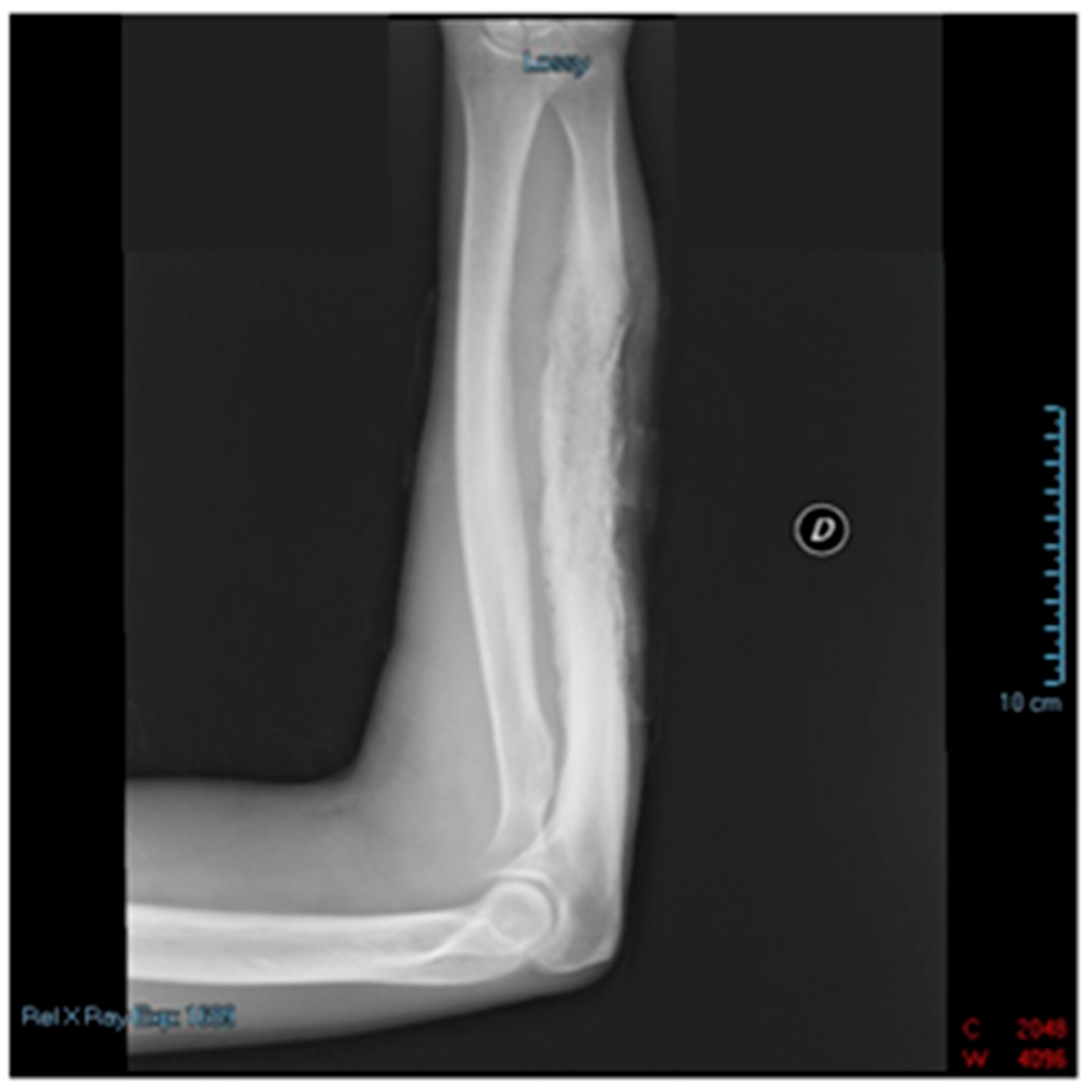
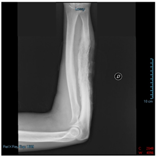
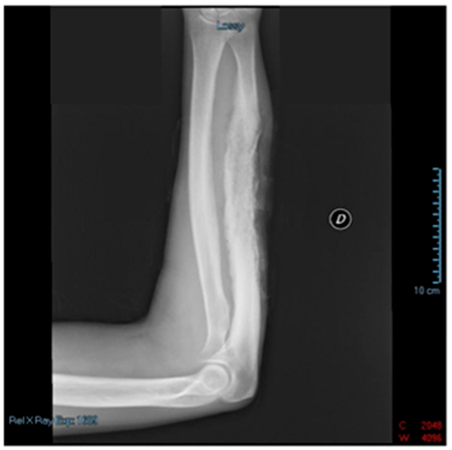
2. Case Report
3. Discussion
Author Contributions
Funding
Institutional Review Board Statement
Informed Consent Statement
Data Availability Statement
Conflicts of Interest
References
- Baum, C.L.; Arpey, C.J. Normal cutaneous wound healing: Clinical correlation with cellular and molecular events. Dermatol. Surg. 2005, 31, 674–686. [Google Scholar] [CrossRef] [PubMed]
- Rapp, J.; Plackett, T.; Crane, J.; Lu, J.; Hardin, D.; Loos, P.; Kelly, R.; Hall, M.A.; Murray, C.; Keenan, S.; et al. Burn Wound Management in Prolonged Field Care. Available online: https://jts.amedd.army.mil/assets/docs/cpgs/Wound_Management_PFC_24_Jul_2017_ID62.pdf (accessed on 4 February 2023).
- Jiritano, F.; Serraino, G.F.; Rossi, M.; Dominijanni, A.; Brescia, A.; Renzulli, A. Ventricular assist device driveline infection: Treatment with platelet-rich plasma. Ann. Thorac. Surg. 2013, 96, e37–e38. [Google Scholar] [CrossRef] [PubMed]
- Serra, R.; Buffone, G.; De Franciscis, A.; Mastrangelo, D.; Vitagliano, T.; Greco, M.; De Franciscis, S. Skin grafting followed by low-molecular-weight heparin long-term therapy in chronic venous leg ulcers. Ann. Vasc. Surg. 2012, 26, 190–197. [Google Scholar] [CrossRef] [PubMed]
- Serra, R.; Buffone, G.; Dominijanni, A.; Molinari, V.; Montemurro, R.; de Franciscis, S. Application of platelet-rich gel to enhance healing of transmetatarsal amputations in diabetic dysvascular patients. Int. Wound J. 2013, 10, 612–615. [Google Scholar] [CrossRef] [PubMed]
- Serraino, G.F.; Dominijanni, A.; Jiritano, F.; Rossi, M.; Cuda, A.; Caroleo, S.; Brescia, A.; Renzulli, A. Platelet-rich plasma inside the sternotomy wound reduces the incidence of sternal wound infections. Int. Wound J. 2015, 12, 260–264. [Google Scholar] [CrossRef]
- Rechichi, M.; Ferrise, M.; Romano, F.; Gallelli, L.; Toschi, V.; Dominijanni, A.; Meduri, A. Autologous platelet-rich plasma in the treatment of refractory corneal ulcers: A case report. Am. J. Ophthalmol. Case Rep. 2020, 20, 100838. [Google Scholar] [CrossRef]
- Tsachiridi, M.; Galyfos, G.; Andreou, A.; Sianou, A.; Sigala, F.; Zografos, G.; Filis, K. Autologous platelet-rich plasma for nonhealing ulcers: A comparative study. Vasc. Spec. Int. 2019, 35, 22–27. [Google Scholar] [CrossRef]
- Yaltirik, M.; Koray, M.; Kocaelli, H.; Ofluoglu, D. Platelet-Rich Plasma in Trauma Patients. Available online: https://www.intechopen.com/chapters/63335 (accessed on 4 February 2023).
- Tedesco, M.; Pranteda, G.; Chichierchia, G.; Paolino, G.; Latini, A.; Orsini, D.; Cristaudo, A.; Foddai, M.L.; Migliano, E.; Morrone, A. The use of PRP (platelet-rich plasma) in patients affected by genital lichen sclerosus: Clinical analysis and results. J. Eur. Acad. Dermatol. Venereol. 2019, 33, e58–e59. [Google Scholar] [CrossRef]
- Abbade, L.P.F.; Ferreira, R.S.; Dos Santos, L.D.; Barraviera, B. Chronic venous ulcers: A review on treatment with fibrin sealant and prognostic advances using proteomic strategies. J. Venom. Anim. Toxins Incl. Trop. Dis. 2020, 26, 1–11. [Google Scholar] [CrossRef]
- Romano, F.; Paolino, F.M.; Rizzo, B.A.; Russo, A.; Southworth, S.; Serra, R.; Gallelli, L. The use of growth factors, CD34+ cells and fibrin for the management of chronic venous ulcers. Int. Wound J. 2016, 13, 1011–1013. [Google Scholar] [CrossRef]
- Kirsner, R.S.; Marston, W.A.; Snyder, R.J.; Lee, T.D.; Cargill, D.I.; Slade, H.B. Spray-applied cell therapy with human allogeneic fi broblasts and keratinocytes for the treatment of chronic venous leg ulcers: A phase 2, multicentre, double-blind, randomised, placebo-controlled trial. Lancet 2012, 380, 977–985. [Google Scholar] [CrossRef] [PubMed]
- Asadi, M.; Alamdari, D.H.; Rahimi, H.R.; Aliakbarian, M.; Jangjoo, A.; Abdollahi, A.; Bahar, M.M.; Azadmand, A.; Forghani, N.; Sadegh, M.N.; et al. Treatment of life-threatening wounds with a combination of allogenic platelet-rich plasma, fibrin glue and collagen matrix, and a literature review. Exp. Ther. Med. 2014, 8, 423–429. [Google Scholar] [CrossRef] [PubMed]
- Gatti, M.A.N.; Vieira, L.M.; Barraviera, B.; Barraviera, S.R.C.S. Treatment of venous ulcers with fibrin sealant derived from snake venom. J. Venom. Anim. Toxins Incl. Trop. Dis. 2011, 17, 226–229. [Google Scholar] [CrossRef]
- Abbade, L.; Barraviera, S.R.C.S.; Silvares, M.R.; Seabra Ferreira Junior, R.; Carneiro, M.T.R.; Medolago, N.B.M.; Barraviera, B. A new fibrin sealant derived from snake venom candidate to treat chronic venous ulcers. J. Am. Acad. Dermatol. 2015, 72, AB271. [Google Scholar] [CrossRef]
- Abbade, L.P.F.; Barraviera, S.R.C.S.; Silvares, M.R.C.; Lima, A.B.B.d.C.O.; Haddad, G.R.; Gatti, M.A.N.; Medolago, N.B.; Rigotto Carneiro, M.T.; dos Santos, L.D.; Ferreira, R.S.; et al. Treatment of Chronic Venous Ulcers With Heterologous Fibrin Sealant: A Phase I/II Clinical Trial. Front. Immunol. 2021, 12, 627541. [Google Scholar] [CrossRef] [PubMed]
- Mohammadi, M.H.; Molavi, B.; Mohammadi, S.; Nikbakht, M.; Mohammadi, A.M.; Mostafaei, S.; Norooznezhad, A.H.; Ghorbani Abdegah, A.; Ghavamzadeh, A. Evaluation of wound healing in diabetic foot ulcer using platelet-rich plasma gel: A single-arm clinical trial. Transfus. Apher. Sci. 2017, 56, 160–164. [Google Scholar] [CrossRef]
- Suthar, M.; Gupta, S.; Bukhari, S.; Ponemone, V. Treatment of chronic non-healing ulcers using autologous platelet rich plasma: A case series. J. Biomed. Sci. 2017, 24, 16. [Google Scholar] [CrossRef]
- Burgos-Alonso, N.; Lobato, I.; Hernández, I.; Sebastian, K.S.; Rodríguez, B.; March, A.G.; Perez-Salvador, A.; Arce, V.; Garcia-Alvarez, A.; Gomez-Fernandez, M.C.; et al. Autologous platelet-rich plasma in the treatment of venous leg ulcers in primary care: A randomised controlled, pilot study. J. Wound Care 2018, 27, S20–S24. [Google Scholar] [CrossRef]
- Nolan, G.S.; Smith, O.J.; Heavey, S.; Jell, G.; Mosahebi, A. Histological analysis of fat grafting with platelet-rich plasma for diabetic foot ulcers—A randomised controlled trial. Int. Wound J. 2022, 19, 389–398. [Google Scholar] [CrossRef]
- Meznerics, F.A.; Fehérvári, P.; Dembrovszky, F.; Kovács, K.D.; Kemény, L.V.; Csupor, D.; Hegyi, P.; Bánvölgyi, A. Platelet-Rich Plasma in Chronic Wound Management: A Systematic Review and Meta-Analysis of Randomized Clinical Trials. J. Clin. Med. 2022, 11, 7532. [Google Scholar] [CrossRef]
- Saad Setta, H.; Elshahat, A.; Elsherbiny, K.; Massoud, K.; Safe, I. Platelet-rich plasma versus platelet-poor plasma in the management of chronic diabetic foot ulcers: A comparative study. Int. Wound J. 2011, 8, 307–312. [Google Scholar] [CrossRef]
- Kazakos, K.; Lyras, D.N.; Verettas, D.; Tilkeridis, K.; Tryfonidis, M. The use of autologous PRP gel as an aid in the management of acute trauma wounds. Injury 2009, 40, 801–805. [Google Scholar] [CrossRef]
- Moneib, H.A.; Youssef, S.S.; Aly, D.G.; Rizk, M.A.; Abdelhakeem, Y.I. Autologous platelet-rich plasma versus conventional therapy for the treatment of chronic venous leg ulcers: A comparative study. J. Cosmet. Dermatol. 2018, 17, 495–501. [Google Scholar] [CrossRef]



Disclaimer/Publisher’s Note: The statements, opinions and data contained in all publications are solely those of the individual author(s) and contributor(s) and not of MDPI and/or the editor(s). MDPI and/or the editor(s) disclaim responsibility for any injury to people or property resulting from any ideas, methods, instructions or products referred to in the content. |
© 2023 by the authors. Licensee MDPI, Basel, Switzerland. This article is an open access article distributed under the terms and conditions of the Creative Commons Attribution (CC BY) license (https://creativecommons.org/licenses/by/4.0/).
Share and Cite
Vocca, C.; Romano, F.; Marcianò, G.; Cianconi, V.; Mirra, D.; Dominijanni, A.; De Sarro, G.; Gallelli, L. Heterologous Platelet-Rich Plasma in the Treatment of Severe Skin Damage. Reports 2023, 6, 34. https://doi.org/10.3390/reports6030034
Vocca C, Romano F, Marcianò G, Cianconi V, Mirra D, Dominijanni A, De Sarro G, Gallelli L. Heterologous Platelet-Rich Plasma in the Treatment of Severe Skin Damage. Reports. 2023; 6(3):34. https://doi.org/10.3390/reports6030034
Chicago/Turabian StyleVocca, Cristina, Francesco Romano, Gianmarco Marcianò, Vincenzo Cianconi, Davida Mirra, Andrea Dominijanni, Giovambattista De Sarro, and Luca Gallelli. 2023. "Heterologous Platelet-Rich Plasma in the Treatment of Severe Skin Damage" Reports 6, no. 3: 34. https://doi.org/10.3390/reports6030034
APA StyleVocca, C., Romano, F., Marcianò, G., Cianconi, V., Mirra, D., Dominijanni, A., De Sarro, G., & Gallelli, L. (2023). Heterologous Platelet-Rich Plasma in the Treatment of Severe Skin Damage. Reports, 6(3), 34. https://doi.org/10.3390/reports6030034

