A “Red-and-Green Porcelain” Figurine from a Jin Period Archaeological Site in the Primor’ye Region, Southern Russian Far East
Abstract
:1. Introduction
2. Materials and Methods
2.1. Sample
2.2. Methods
3. Research Results
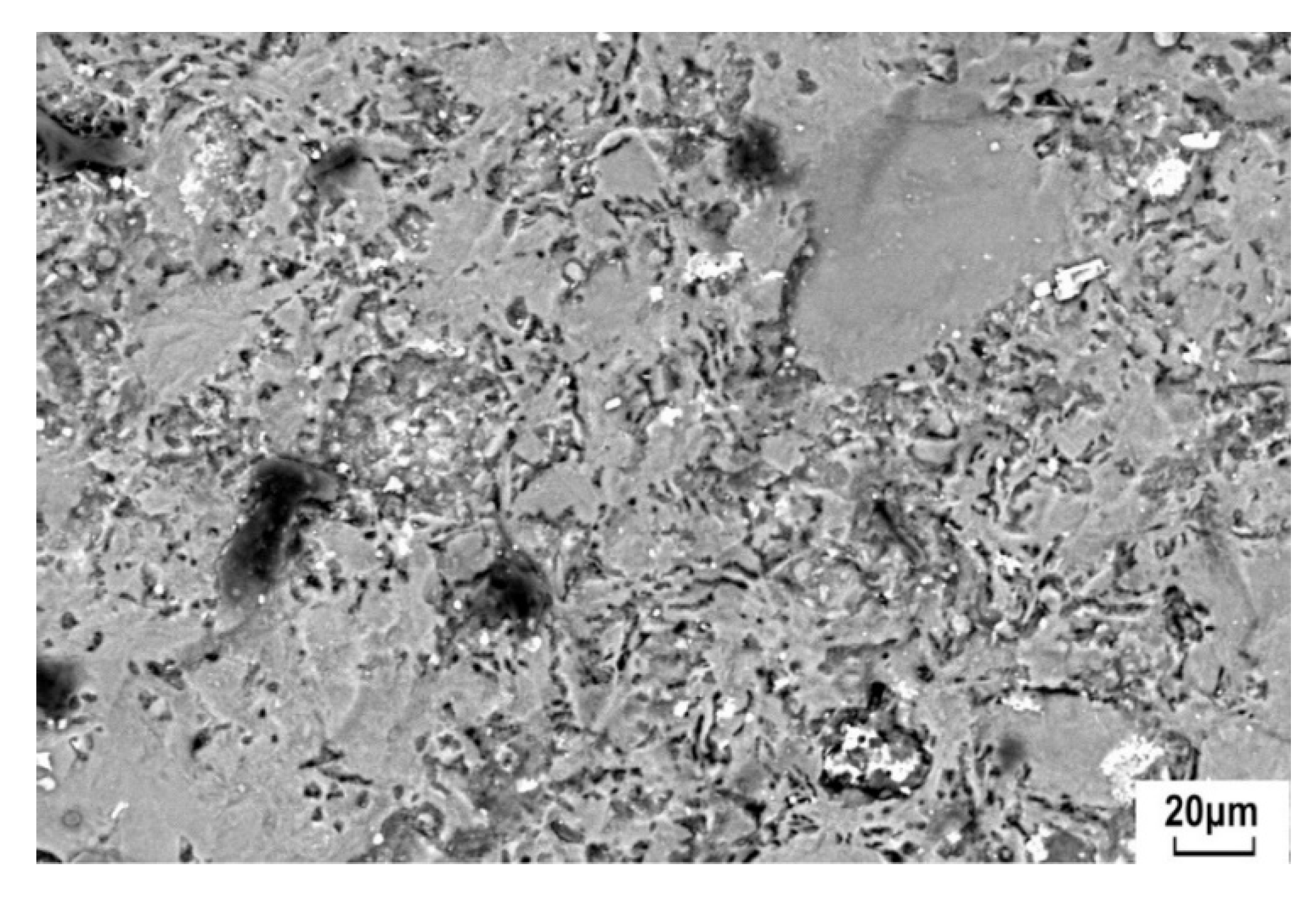
3.1. Ceramics Paste
3.2. Slip
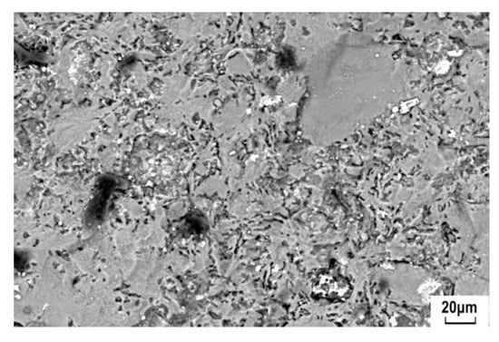
3.3. Glazes
3.3.1. Transparent Glaze
3.3.2. Black Glaze
3.3.3. Red Glaze
3.3.4. Green Glaze
3.3.5. Yellow Glaze
4. Discussion
5. Conclusions
Author Contributions
Funding
Institutional Review Board Statement
Informed Consent Statement
Data Availability Statement
Acknowledgments
Conflicts of Interest
References
- Gelman, E.I. Glazed Ceramics and Porcelain from Medieval Sites of Primorye (on Russian); Institute of History, Archaeology and Ethnology of the Peoples of the Far-East, Far- Eastern Branch of the Russian Academy of Sciences (IHAE FEBRAS): Vladivostok, Russia, 1999; ISBN 5-7442-1177-2. [Google Scholar]
- Li, W.; Lu, X.; Zhushchikhovskaya, I.S.; Nikitin, Y.G.; Artemieva, N.G.; Luo, H. Provenance identification of the high-fired glazed wares excavated from the Late Jin Dynasty (Dong Xia State) sites in Russia’s Primorye Region. J. Archaeol. Sci. Rep. 2018, 21, 512–527. [Google Scholar] [CrossRef]
- Vasil’ev, Y.M.; Khorev, V.A. Some features of religious views of Jurchens based on archaeological and iconographic data. Bull. Far East. Branch Russ. Acad. Sci. 2008, 5, 136–142. [Google Scholar]
- Wood, N. Chinese Glazes: Their Origin, Chemistry and Reception; University of Pennsylvania Press: Philadelphia, PA, USA, 1999. [Google Scholar]
- Zhang, Y.; Ren, G.; Zhou, X.; Zhou, L.; Ta, L.; Su, X. Research on red and green porcelain sherd of Bayi Kiln using terahertz time-domain spectroscopy and imaging. Jpn. J. Appl. Phys. 2010, 60, 122010. [Google Scholar] [CrossRef]
- Hao, W.; Luo, W.; Chen, Y.; Wang, C. Micro-analysis on Chinese over-glaze red decoration of Linshui Kiln from Jin dynasty (1115–1234 AD). J. Raman Spectrosc. 2014, 45, 224–227. [Google Scholar] [CrossRef]
- Jiang, X.; Chen, Y.; Zhang, L.; Zhang, Z.; Ma, Q.; Wang, C.; Yang, Y. Prototype Doucai porcelain—A special form of ancient Honglvcai in Cizhou kiln, Jin Dynasty (1115–1234 AD), China. Ceram. Int. 2017, 43, 1371–1377. [Google Scholar] [CrossRef]
- McCarthy, B.; Liu, W.; Cheng, Y. The Study of Lead Glazes from Cizhou Kiln Site at Guantai. In Proceedings of the Science and Technology of Ancient Ceramics (ISAC’05), Shanghai, China, 1–4 November 2002; pp. 151–161. [Google Scholar]
- Shandan, M.; Zou, X. The Artistic Multidimensional Performance of Red and Green Porcelain in Jin Dynasty. In Proceedings of the 2nd International Conference on Art Studies: Science, Experience, Education (ICASSEE 2018), Moscow, Russia, 5–6 October 2018; Atlantis Press: Paris, France, 2018; pp. 539–546. [Google Scholar]
- Ruiz-Ardanaz, I.; Lasheras, E.; Durán, A. Mineralogical Characterization of Carreaux de Pavement from Northern Spain (Tiebas, Navarre). Minerals 2021, 11, 153. [Google Scholar] [CrossRef]
- Li, W.; Deng, Z.; Xu, J.; Li, J.; Li, J. Microstructure of the Black Glaze from the Jian Kiln Site in the Song Dynasty. In Proceedings of the Science and Technology of Ancient Ceramics (ISAC’05), Shanghai, China, 1–4 November 2005; pp. 344–353. [Google Scholar]
- Tite, M.S.; Freestone, I.C. The Use of Scanning Electron Microscopy in the Technological Examination of Ancient Ceramics. In Archaeological Ceramics; Olin, J.S., Franklin, A.D., Eds.; Smithsonian Institution Press: Washington, DC, USA, 1982; pp. 109–120. [Google Scholar]
- Perez-Rodriguez, J.L.; Robador, M.D.; Duran, A. Composition and technological features of ceramics manufactured by Benito de Valladares in the seventeenth century from the Alcazar Palace in Seville, Spain. Eur. Phys. J. Plus 2022, 137, 469. [Google Scholar] [CrossRef]
- Simsek, G.; Unsalan, O.; Bayraktar, K.; Colomban, P. On-site pXRF analysis of glaze composition and colouring agents of “Iznik” tiles at Edirne mosques (15th and 16th-centuries). Ceram. Int. 2019, 45, 595–605. [Google Scholar] [CrossRef]
- Rice, P.M. Pottery Analysis: A Sourcebook, 2nd ed.; Chicago University Press: Chicago, IL, USA, 2015; ISBN 9780226923215. [Google Scholar]
- Quinn, P.; Burton, M. Ceramic Petrography & the Reconstruction of Hunter-Gatherer Craft Technology in Late Prehistoric Southern California. Interpret. Silent Artefacts Petrogr. Approaches Archaeol. Ceram. 2022, 267–296. [Google Scholar] [CrossRef]
- Dana, K.; Sinhamahapatra, S.; Tripathi, H.S.; Ghosh, A. Refractories of Alumina-Silica System. Trans. Indian Ceram. Soc. 2014, 73, 1–13. [Google Scholar] [CrossRef]
- Osabor, V.N.; Okafor, P.C.; Ibe, K.A.; Ayi, A.A. Characterization of clays in Odukpani, south eastern Nigeria. African J. Pure Appl. Chem. 2009, 3, 79–85. [Google Scholar]
- Schneider, G. A Technological Study of North-Mesopotamian Stone Ware. World Archaeol. Ceram. Technol. 1989, 21, 30–50. [Google Scholar] [CrossRef]
- Kuleff, I.; Djingova, R. Provenance study of pottery: Choice of elements to be determined. Rev. D’archéométrie 1996, 20, 57–67. [Google Scholar] [CrossRef]
- Cheng, Y.; Jiang, J.; Liu, Z.; Xu, H.; Ye, C.; Sun, J.; Gu, R. Evaluation and calculation on the source of sulfur dioxide in waste gas of ceramic products manufacturing industry. SN Appl. Sci. 2020, 2, 1332. [Google Scholar] [CrossRef]
- Harrison-Hall, J. Ding and Other Whitewares of Northern China. In Pottery in the Making: World Ceramic Traditions; Freestone, I., Gaimster, D., Eds.; British Museum Press: London, UK, 1997; pp. 182–187. [Google Scholar]
- Kerr, R.; Wood, N. Ceramic Technology. In Science and Civilization in China: Volume 5: Chemistry and Chemical Technology, Part XII; Needham, J., Ed.; Cambridge Press: Cambridge, UK, 2004. [Google Scholar]
- Harrison-Hall, J. Chinese Porcelain from Jingdezhen. In Pottery in the Making: World Ceramic Traditions; British Museum Press: London, UK, 1997; pp. 194–199. [Google Scholar]
- Barnes, L.E. Yuan dynasty ceramics. In Chinese Ceramics: From the Palaeolithic Period through the Qing Dynasty; Li, Z.Y., Bower, V.L., He, L., Eds.; Yale University Press: New Haven, CT, USA, 2010; pp. 330–332. [Google Scholar]
- Cui, J.; Lei, Y. A Primary Study on the Provenance and Technology of the Yellow Glazes of Tangsancai Potteries Unearthed from Tongchuan Huangpu Kiln and Huangye Kiln. In Proceedings of the Science and Technology of Ancient Ceramics (ISAC’05), Shanghai, China, 1–4 November 2005; pp. 95–102. [Google Scholar]
- Fan, C.; Long, Y. The Secularization of Religious Figures: A Study of Mahoraga in the Song Dynasty (960–1279). Religions 2022, 13, 177. [Google Scholar] [CrossRef]
- Xing, G. Buddhist Influence on Chinese Religions and Popular Thought. Int. J. Buddh. Thought Cult. 2012, 18, 135–157. [Google Scholar]
- Weidner, M. Latter Days of the Law: Images of Chinese Buddhism 850–1850; Spencer Museum of Art: Lawrence, KS, USA, 1994. [Google Scholar]













| Sample | Point No | Spectra Amount | C | O | Al | Si | K | Ca | Ti | Fe | Pb |
|---|---|---|---|---|---|---|---|---|---|---|---|
| Paste | 1 | 9 | 20.22 | 43.13 | 11.40 | 11.33 | 1.04 | 4.58 | 7.21 | ||
| 2 | 20 | 15.39 | 45.17 | 12.23 | 14.37 | 1.50 | 0.63 | 2.28 | 1.41 | ||
| Slip | 1 | 9 | 33.01 | 38.82 | 9.76 | 12.13 | 1.12 | 2.01 | |||
| Black glaze | 1 | 13 | 12.16 | 36.24 | 2.95 | 19.69 | 1.45 | 1.14 | 1.70 | 23.21 | |
| Red glaze | 1 | 13 | 33.30 | 29.71 | 2.59 | 14.25 | 1.43 | 1.16 | 2.61 | 14.05 | |
| 2 | 21 | 20.17 | 36.74 | 3.31 | 19.01 | 1.53 | 1.40 | 2.03 | 14.78 |
| Sample | Point No. | Chemical Element, wt.% | ||||||||||||||||
|---|---|---|---|---|---|---|---|---|---|---|---|---|---|---|---|---|---|---|
| Si | Fe | Al | P | Ti | Mn | Zr | Zn | S | Cu | Nb | Pb | Sb | Sn | Cd | Bi | Hf | ||
| Transparent glaze | 1 | 75.42 | 3.19 | 15.20 | 0.32 | 0.17 | 0.22 | 5.19 | 0.07 | 0.03 | 0.17 | 0.03 | ||||||
| 2 | 75.43 | 2.59 | 16.41 | 0.49 | 0.43 | 0.08 | 0.19 | 4.11 | 0.04 | 0.03 | 0.17 | 0.02 | ||||||
| Black glaze | 3 | 67.75 | 14.02 | 14.57 | 0.44 | 0.29 | 0.66 | 0.31 | 0.07 | 1.41 | 0.11 | 0.04 | 0.28 | 0.05 | ||||
| 4 | 62.96 | 6.28 | 14.72 | 0.53 | 0.32 | 0.33 | 0.39 | 0.06 | 14.41 | |||||||||
| 5 | 72.35 | 7.74 | 14.33 | 0.83 | 0.19 | 0.38 | 0.07 | 3.82 | 0.29 | |||||||||
| 6 | 72.13 | 8.62 | 16.92 | 0.53 | 0.26 | 0.34 | 0.23 | 0.04 | 0.86 | 0.08 | ||||||||
| 7 | 72.58 | 7.49 | 16.60 | 0.63 | 0.43 | 0.24 | 0.29 | 0.05 | 1.56 | 0.13 | ||||||||
| Red glaze | 8 | 74.21 | 5.32 | 16.51 | 0.97 | 0.42 | 0.15 | 0.29 | 0.05 | 1.93 | 0.15 | |||||||
| 9 | 73.52 | 6.70 | 15.92 | 0.88 | 0.18 | 0.41 | 0.06 | 2.12 | 0.22 | |||||||||
| 10 | 75.98 | 4.98 | 15.34 | 0.92 | 0.35 | 0.17 | 0.29 | 0.05 | 1.77 | 0.15 | ||||||||
| Green glaze | 11 | 37.49 | 3.90 | 9.64 | 0.35 | 0.25 | 0.43 | 0.41 | 0.06 | 47.01 | 0.46 | |||||||
| 12 | 46.62 | 2.90 | 11.41 | 0.49 | 0.32 | 0.09 | 0.56 | 1.39 | 0.08 | 36.15 | ||||||||
| Yellow glaze | 13 | 30.77 | 2.73 | 3.19 | 0.28 | 0.10 | 61.54 | 0.36 | 0.18 | 0.12 | 0.73 | |||||||
| 14 | 30.41 | 2.51 | 3.23 | 0.27 | 0.08 | 62.37 | 0.43 | 0.17 | 0.53 | |||||||||
| 15 | 42.85 | 2.49 | 4.62 | 0.23 | 0.11 | 48.66 | 0.38 | 0.19 | 0.47 | |||||||||
| 16 | 68.14 | 3.02 | 13.41 | 0.82 | 0.12 | 0.62 | 0.89 | 0.08 | 12.90 | |||||||||
Publisher’s Note: MDPI stays neutral with regard to jurisdictional claims in published maps and institutional affiliations. |
© 2022 by the authors. Licensee MDPI, Basel, Switzerland. This article is an open access article distributed under the terms and conditions of the Creative Commons Attribution (CC BY) license (https://creativecommons.org/licenses/by/4.0/).
Share and Cite
Zhushchikhovskaya, I.S.; Buravlev, I.Y. A “Red-and-Green Porcelain” Figurine from a Jin Period Archaeological Site in the Primor’ye Region, Southern Russian Far East. Ceramics 2022, 5, 673-689. https://doi.org/10.3390/ceramics5040049
Zhushchikhovskaya IS, Buravlev IY. A “Red-and-Green Porcelain” Figurine from a Jin Period Archaeological Site in the Primor’ye Region, Southern Russian Far East. Ceramics. 2022; 5(4):673-689. https://doi.org/10.3390/ceramics5040049
Chicago/Turabian StyleZhushchikhovskaya, Irina S., and Igor Yu Buravlev. 2022. "A “Red-and-Green Porcelain” Figurine from a Jin Period Archaeological Site in the Primor’ye Region, Southern Russian Far East" Ceramics 5, no. 4: 673-689. https://doi.org/10.3390/ceramics5040049
APA StyleZhushchikhovskaya, I. S., & Buravlev, I. Y. (2022). A “Red-and-Green Porcelain” Figurine from a Jin Period Archaeological Site in the Primor’ye Region, Southern Russian Far East. Ceramics, 5(4), 673-689. https://doi.org/10.3390/ceramics5040049

