Next Article in Journal
A 10-Year Multicentre Experience of Australian Penile Fracture Repair Outcomes
Previous Article in Journal
Dr. Christopher G. Wood (22 November 1963 to 3 November 2021)
 
 
Font Type:
Arial Georgia Verdana
Font Size:
Aa Aa Aa
Line Spacing:
Column Width:
Background:
Interesting Images

Triple Fused Supernumerary Kidneys with Five Pelvicalyceal Systems

1
Department of Urology, All India Institute of Medical Sciences, Patna 801507, Bihar, India
2
Department of Radiodiagnosis, All India Institute of Medical Sciences, Patna 801507, Bihar, India
*
Author to whom correspondence should be addressed.
Soc. Int. Urol. J. 2024, 5(1), 7-9; https://doi.org/10.3390/siuj5010004
Submission received: 6 July 2023 / Revised: 16 July 2023 / Accepted: 16 July 2023 / Published: 13 February 2024

Abstract

We present a case of supernumerary kidney with fusion of all three kidney units with five pelvicalyceal system (bilateral bifid PCS and PCS of supernumerary kidney). This is probably the first such case reported in literature.

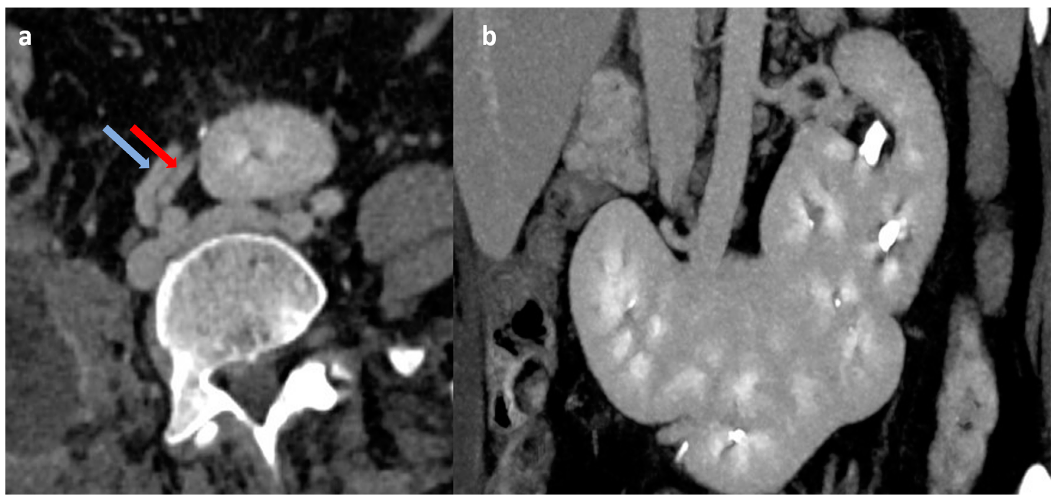
A female in her mid-40s presented to the emergency department with acute onset umbilical pain associated with vomiting. There was no flank pain, hematuria, dysuria, or fever. An ultrasound of the abdomen and pelvis was performed, which showed an empty right renal fossa and fused, conglomerated reniform-shaped structure in the midline at the umbilical region with vascularity noted on Doppler imaging. The patient was further advised on a cross-sectional study for better characterization. A contrast-enhanced computed tomography (CT) study of the abdomen with CT urography was performed, which showed empty right renal fossa and ectopic right kidney in the midline, which was fused with another kidney unit, which was further fused with the lower pole of the left kidney. In contrast sequences, the supernumerary kidney was receiving blood supply from the right common iliac artery and draining through the right common iliac vein, and both right and left kidneys had a normal vascular supply from the aorta and inferior vena cava (Figure 1). On delayed images, both the right ectopic kidney and left kidney showed a bifid pelvicalyceal system, and the supernumerary kidney showed a single pelvicalyceal system, with a total of five pelvicalyceal systems present in our patient (Figure 2). The patient was managed conservatively and became asymptomatic after 2 days.
A supernumerary kidney is a rare congenital anomaly of renal number with more than two kidneys present in an individual with their own collecting system, vascular supply, and well-defined encapsulated parenchyma. The embryological origin is speculated to be an abnormally divided nephrogenic cord into two metanephric blastemas. It was first described 350 years ago, and the true incidence is not confirmed, with approximately 100 cases reported in the literature [1]. It is usually smaller and caudal to the native kidney. It can either be attached to the native kidney or can be a separate moiety. The fusion of the supernumerary kidney with the ipsilateral native kidney is an extremely rare association [2]. The fusion of all the renal moieties in the case of supernumerary kidneys is still rarer and has been reported sparsely in the literature [3]. The supernumerary kidney is caudal to the ipsilateral kidney and is associated with the partial or complete duplex collecting system [4,5]. In our patient, all three kidneys were fused with the ectopic right kidney in the midline, which was fused with another kidney unit, which was further fused with the lower pole of the left kidney and took the shape of a partial horseshoe kidney with both the longitudinal axis kidneys having duplex collecting system and the transversely oriented kidney having its separate collecting system. The usual presentation of supernumerary kidneys is incidental, with diagnosis done on imaging for a different reason, as described in our case. However, it may present primarily with renal stones, infection, or tumor. The management of supernumerary kidneys depends on symptoms and underlying pathology. Usually, no treatment is required unless the patient is symptomatic. CT or MR angiography should be performed to delineate the vascular supply before any intervention.

Author Contributions

Conceptualization, N.K. and K.R.; methodology, N.K.; software, S.S.; validation, N.K., S.S. and K.R.; formal analysis, K.R.; investigation, N.K.; resources, S.S.; data curation, K.R.; writing—original draft preparation, N.K.; writing—review and editing, K.R.; visualization, S.S.; supervision, N.K.; project administration, N.K. All authors have read and agreed to the published version of the manuscript.

Funding

This research received no external funding.

Institutional Review Board Statement

The study did not require ethical approval.

Informed Consent Statement

Written informed consent has been obtained from the patient to publish this case.

Data Availability Statement

Not applicable.

Conflicts of Interest

The authors declare no conflict of interest.

References

  1. Carlson, H.E. Supernumerary kidney as a cause of uretero-pelvic obstruction. J. Urol. 1946, 56, 179–182. [Google Scholar] [CrossRef] [PubMed]
  2. Manandhar, S.; Khanal, A. Fused right supernumerary kidney: A case report. JNMA J. Nepal. Med. Assoc. 2019, 57, 376–378. [Google Scholar] [CrossRef] [PubMed]
  3. Vakade, A.D.; Sudin, S.R.; Sasidharan, K.; Jayasudha, S. Supernumerary kidney forming isthmus of horseshoe kidney: A rare presentation. Indian J. Urol. 2020, 36, 138–139. [Google Scholar] [CrossRef] [PubMed]
  4. Sthephens, F.D.; Smith, E.D.; Hutson, J.M. Normal embriology of the upper urinary tract and kidneys. In Congenital Anomalies of the Kidney, Urinary and Genital Tracts; Martin Dunitz: London, UK, 2002; p. 28392. [Google Scholar]
  5. Koureas, A.P.; Panourgias, E.C.; Gouliamos, A.D.; Trakadas, S.J.; Vlahos, L.J. Imaging of a supernumerary kidney. Eur. Radiol. 2000, 10, 1722–1723. [Google Scholar] [CrossRef] [PubMed]
Figure 1. Contrast-enhanced CT abdomen images (a) in axial plane showing the vascular supply of transversely oriented supernumerary kidney unit from right common iliac artery (red arrow) and vein (blue arrow); (b) in coronal plane showing triple fused supernumerary kidneys.
Figure 1. Contrast-enhanced CT abdomen images (a) in axial plane showing the vascular supply of transversely oriented supernumerary kidney unit from right common iliac artery (red arrow) and vein (blue arrow); (b) in coronal plane showing triple fused supernumerary kidneys.
Siuj 05 00004 g001
Figure 2. Computed tomography urography three-dimensional-reconstructed image showing all three fused kidneys with both the longitudinal axis kidneys having duplex collecting system (red and yellow arrows) and the transversely oriented kidney having its separate collecting system (white arrow).
Figure 2. Computed tomography urography three-dimensional-reconstructed image showing all three fused kidneys with both the longitudinal axis kidneys having duplex collecting system (red and yellow arrows) and the transversely oriented kidney having its separate collecting system (white arrow).
Siuj 05 00004 g002
Disclaimer/Publisher’s Note: The statements, opinions and data contained in all publications are solely those of the individual author(s) and contributor(s) and not of MDPI and/or the editor(s). MDPI and/or the editor(s) disclaim responsibility for any injury to people or property resulting from any ideas, methods, instructions or products referred to in the content.

Share and Cite

MDPI and ACS Style

Kumar, N.; Sharma, S.; Rizwi, K. Triple Fused Supernumerary Kidneys with Five Pelvicalyceal Systems. Soc. Int. Urol. J. 2024, 5, 7-9. https://doi.org/10.3390/siuj5010004

AMA Style

Kumar N, Sharma S, Rizwi K. Triple Fused Supernumerary Kidneys with Five Pelvicalyceal Systems. Société Internationale d’Urologie Journal. 2024; 5(1):7-9. https://doi.org/10.3390/siuj5010004

Chicago/Turabian Style

Kumar, Naveen, Srishti Sharma, and Kashif Rizwi. 2024. "Triple Fused Supernumerary Kidneys with Five Pelvicalyceal Systems" Société Internationale d’Urologie Journal 5, no. 1: 7-9. https://doi.org/10.3390/siuj5010004

APA Style

Kumar, N., Sharma, S., & Rizwi, K. (2024). Triple Fused Supernumerary Kidneys with Five Pelvicalyceal Systems. Société Internationale d’Urologie Journal, 5(1), 7-9. https://doi.org/10.3390/siuj5010004

Article Metrics

Back to TopTop