Adenoid Cystic Carcinoma of the Bartholin Gland. A Morphological and Immunohistochemical study of a rare case
Abstract
1. Introduction
2. Case Report




3. Discussion
- a)
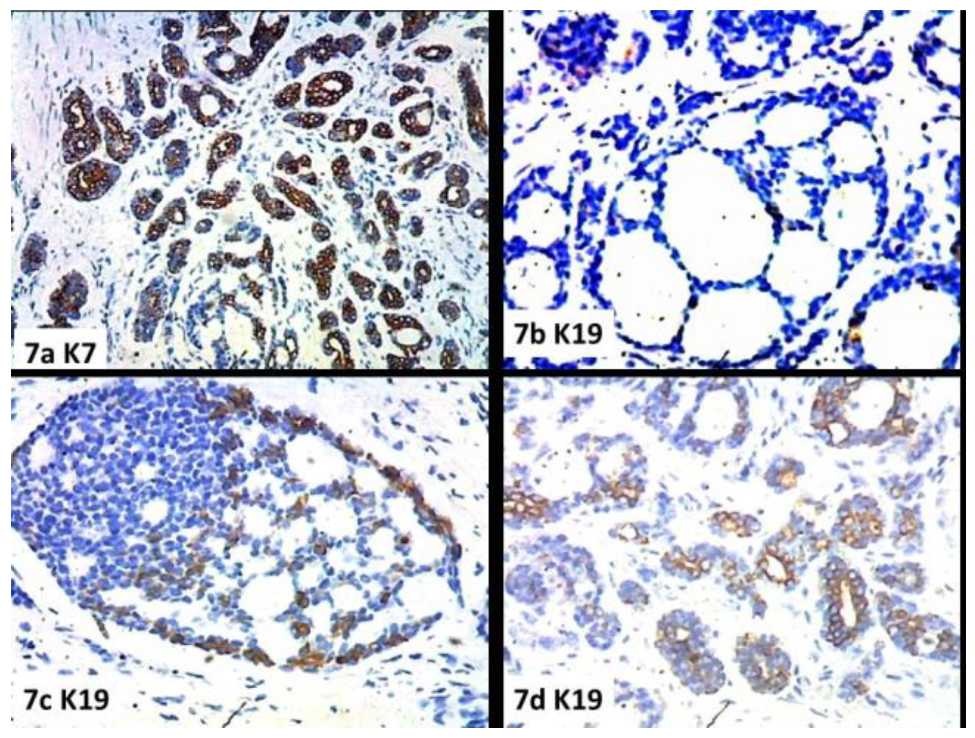
- the acinar / cribriform pattern presented positivity for almost all the cytokeratins tested, even with varying intensities and distribution. CKAE1/AE3 intense and diffuse (Figure 4a, Figure 4b, Figure 4c and Figure 4d), CK5/6 expressed by the cells located in the nodal points of the cribriform (Figure 5c), Ki67 intense and diffuse (Figure 6b), CK19 presented only in some acini in marginal place (Figure 7b) and EMA expressed in single elements in the nodal points of the cribri (Figure 8a), positive p63 (Figure 9a) and SMACT (Figure 9d), negatives S100, CD34, CD117, CEA, ER, PGR, p53, Ki67 <5%;
- b)
- the solid pattern presented positivity for CKAE/AE3 (Figure 4d), p63 (Figure 9b) and SMACT (Figure 10a). Concerning to the nodules, scattered groups of larger elements in a floret-like arrangement were noticed, expressing cytokeratin more intensely (Figure 5a) and, additionally, these elements expressed EMA (Figure 8b and Figure 8c). Transitional aspects were present in significant number, wherein the formation of the cribriform begins from the periphery of the nodules up to completely replace the solid component, with a subsequent expression of the different types of cytokeratin (Figure 6d).
- c)
- the tubular pattern, the less represented in the proliferation, expressed almost all cytokeratins, except for CK20, with a diffuse character, the CKAE1-AE3 (Figure 5b) and 7 (Figure 7a), the 5/6 (luminal) (Figure 6a) and CK19 (luminal) (Figure 7d), EMA (luminal) (Figure 8d), p63 (Figure 8c) and SMACT (Figure 10b) (basal). In a similar vein, CD117 (luminal) was also positive (Figure 11a), S100 was positive only in the nervous trunks infiltrated by the neoplasm (Figure 11b, Figure 11c and Figure 11d).
4. Conclusions
References
- Alsan, Cetin I, V Vinh-Hung, F Eren, and U Abacioğlu. 2011. Adenoid Cystic Carcinoma of the Bartholin’s Gland: Case Report and Systematic Review of the Literature. European Journal of Gynaecological Oncology 32, 5: 567–72. [Google Scholar] [PubMed]
- Anaf, V., F. Buxant, F. Rodesch, P. Simon, J. van de Stadt, J.- C. Noel, and J. van Geertruyden. 1999. Adenoid Cystic Carcinoma of Bartholin’s Gland:What Is the Optimal Approach? European Journal of Surgical Oncology (EJSO) 25, 4: 406–9. [Google Scholar] [CrossRef] [PubMed]
- Crum, CP, WG McCluggage, CS Herrington, S Regauer, and EJ Wilkinson. 2014. Tumours of the Vulva; Epithelial Tumors. In WHO Classification of Tumours of Female Reproductive Organs. Edited by RH Young, RJ Kurman, ML Carcangiu and CS Herrington. Lyon: International Agency for Research on Cancer. [Google Scholar]
- Donato, Violante Di, Assunta Casorelli, Erlisa Bardhi, Flaminia Vena, Claudia Marchetti, Ludovico Muzii, and Pierluigi Benedetti Panici. 2017. Bartholin Gland Cancer. Critical Reviews in Oncology/Hematology 117: 1–11. [Google Scholar] [CrossRef] [PubMed]
- Goh, Siew Pei, Brian McCully, and Matthew Kyle Wagner. 2018. A Case of Adenoid Cystic Carcinoma Mimicking a Bartholin Cyst and Literature Review. Case Reports in Obstetrics and Gynecology, 1–3. [Google Scholar] [CrossRef] [PubMed]
- Khan, Rozilla Sadia, and Huda Saleem Abbasi. 2020. A Different Strategy for Management of a Case of Adenoid Cystic Carcinoma of Bartholin Gland. JPMA. The Journal of the Pakistan Medical Association 70, 8: 1445–47. [Google Scholar] [CrossRef] [PubMed]
- Nieuwenhuyzen-de Boer, Gatske M., Shatavisha Dasgupta, Patricia C. Ewing-Graham, and Mieke R. Van Bockstal. 2020. Adenoid Cystic Carcinoma of the Bartholin Gland Is Not HPV-Related: A Case Report and Review of Literature. Pathology - Research and Practice 216, 6: 152968. [Google Scholar] [CrossRef] [PubMed]
- Şahin Aker, Seda, Cevriye Cansız Ersöz, and Fırat Ortaç. 2020. Adenoid Cystic Carcinoma of Bartholin’s Gland Diagnosed after Lung Lobectomy: Review of the Literature and a Case Presentation. Journal of Turkish Society of Obstetric and Gynecology 17, 4: 310–13. [Google Scholar] [CrossRef] [PubMed]
- Tsukahara, Yoshiharu, Atsushi Mori, Toru Fukuta, Tsutomu Katsuyama, and Osamu Yamagami. 1991. Adenoid Cystic Carcinoma of Bartholin&Rsquo;s Gland: A Clinical, Immunohistochemical and Ultrastructural Study of a Case with Regard to Its Histogenesis. Gynecologic and Obstetric Investigation 31, 2: 110–13. [Google Scholar] [CrossRef] [PubMed]
- Yoon, Gun, Hyun-Soo Kim, Yoo-Young Lee, Tae-Joong Kim, Chel Hun Choi, Sang Yong Song, Byoung-Gie Kim, Duk-Soo Bae, and Jeong-Won Lee. 2015. Analysis of Clinical Outcomes of Patients with Adenoid Cystic Carcinoma of Bartholin Glands. International Journal of Clinical and Experimental Pathology 8, 5: 5688–94. [Google Scholar] [PubMed]
- Zhan, Ping, Gang Li, Bin Liu, and Xi-guang Mao. 2014. Bartholin Gland Carcinoma: A Case Report. Oncology Letters 8, 2: 849–51. [Google Scholar] [CrossRef] [PubMed]







Copyright © 2021. This article is licensed under a Creative Commons Attribution 4.0 International License.
Share and Cite
D’Amuri, A.; Floccari, F.; Filotico, M.; D’Oria, O.; Panese, G.; Tinelli, A. Adenoid Cystic Carcinoma of the Bartholin Gland. A Morphological and Immunohistochemical study of a rare case. J. Interdiscip. Res. Appl. Med. 2021, 5, 27-32. https://doi.org/10.1285/i25327518v5i1p27
D’Amuri A, Floccari F, Filotico M, D’Oria O, Panese G, Tinelli A. Adenoid Cystic Carcinoma of the Bartholin Gland. A Morphological and Immunohistochemical study of a rare case. Journal of Interdisciplinary Research Applied to Medicine. 2021; 5(1):27-32. https://doi.org/10.1285/i25327518v5i1p27
Chicago/Turabian StyleD’Amuri, Alessandro, Federica Floccari, Marcello Filotico, Ottavia D’Oria, Gaetano Panese, and Andrea Tinelli. 2021. "Adenoid Cystic Carcinoma of the Bartholin Gland. A Morphological and Immunohistochemical study of a rare case" Journal of Interdisciplinary Research Applied to Medicine 5, no. 1: 27-32. https://doi.org/10.1285/i25327518v5i1p27
APA StyleD’Amuri, A., Floccari, F., Filotico, M., D’Oria, O., Panese, G., & Tinelli, A. (2021). Adenoid Cystic Carcinoma of the Bartholin Gland. A Morphological and Immunohistochemical study of a rare case. Journal of Interdisciplinary Research Applied to Medicine, 5(1), 27-32. https://doi.org/10.1285/i25327518v5i1p27