Next Article in Journal
Implications of AAV Serotypes in Neurological Disorders: Current Clinical Applications and Challenges
Previous Article in Journal
Folinic Acid Supplementation During Pregnancy in Two Women with Folate Receptor Alpha Autoantibodies: Potential Prevention of Autism Spectrum Disorder in Offspring
 
 
Font Type:
Arial Georgia Verdana
Font Size:
Aa Aa Aa
Line Spacing:
Column Width:
Background:
Case Report

Delayed Diagnosis of a Low-Flow Temporal Arteriovenous Malformation in a Child Presenting with Recurrent Intracerebral Hemorrhage

by
Merih C. Yilmaz
* and
Keramettin Aydin
Department of Neurosurgery, Value Added Medicine Medical Park Hospital, 55200 Samsun, Turkey
*
Author to whom correspondence should be addressed.
Clin. Transl. Neurosci. 2025, 9(3), 31; https://doi.org/10.3390/ctn9030031
Submission received: 22 June 2025 / Revised: 4 July 2025 / Accepted: 8 July 2025 / Published: 10 July 2025
(This article belongs to the Section Endovascular Neurointervention)

Abstract

Background: Arteriovenous malformations (AVMs) are rare vascular anomalies that can cause intracerebral hemorrhage, particularly in pediatric patients. Low-flow AVMs may not be visualized on initial non-invasive imaging modalities such as MR angiography. Methods: We report a 6-year-old boy who presented with intracerebral hemorrhage and initially had no detectable vascular anomaly on MR angiography and MR venography. Two years later, he was re-admitted with a recurrent hemorrhage. Repeating MR angiography again failed to reveal any vascular pathology. Results: Digital subtraction angiography (DSA) performed later identified a grade 3 low-flow AVM in the left posterior temporal region. The patient underwent successful endovascular treatment with no subsequent neurological deficits. Conclusions: This case underscores the limitations of MR angiography in detecting low-flow AVMs and highlights the essential role of DSA in the definitive diagnosis and management of unexplained intracerebral hemorrhages in pediatric patients.

1. Introduction

Cerebral arteriovenous malformations (AVMs) are uncommon but potentially life-threatening vascular anomalies characterized by direct connections between cerebral arteries and veins, bypassing the capillary bed. Intracranial hemorrhage remains the most frequent clinical presentation, and even low-flow AVMs may carry a substantial risk of bleeding. In the pediatric population, where non-invasive approaches are often prioritized, magnetic resonance angiography (MRA) is commonly selected as the initial imaging modality. Although MRA offers a safe and non-invasive alternative, its sensitivity is notably limited in detecting low-flow or small-caliber AVMs, particularly in the acute setting. Factors such as hematoma-induced mass effect, perilesional edema, and intranidal thrombosis may further obscure vascular malformations, leading to false-negative MRA findings.
In such cases, digital subtraction angiography (DSA) becomes indispensable due to its superior spatial and temporal resolution, enabling the visualization of vascular anomalies that may be missed on MRA. DSA remains the gold standard for the evaluation of cerebral AVMs and plays a critical role in the differential diagnosis of unexplained intracerebral hemorrhage when non-invasive imaging is inconclusive.
However, in some clinical scenarios, the decision to proceed with DSA may be delayed due to its invasive nature and associated risks, especially when parental consent is required in pediatric cases. This hesitation can result in missed or delayed diagnoses. In our case, although MRA failed to demonstrate the vascular lesion initially, DSA was not immediately performed due to the family’s reluctance to consent to an invasive procedure. Unfortunately, this led to a recurrence of intracerebral hemorrhage, and only then was the underlying low-flow AVM identified via DSA. Interestingly, despite the lesion’s low-flow nature, the pattern of rebleeding resembled what is typically observed in high-flow AVMs, further emphasizing the unpredictable clinical behavior of these malformations and the limitations of MRA in specific contexts.
This case underscores the importance of considering DSA in the diagnostic workup of unexplained pediatric intracerebral hemorrhage, even when initial MRA findings are negative, and highlights the need for careful clinical judgment in balancing diagnostic accuracy with procedural risks.

2. Case Description

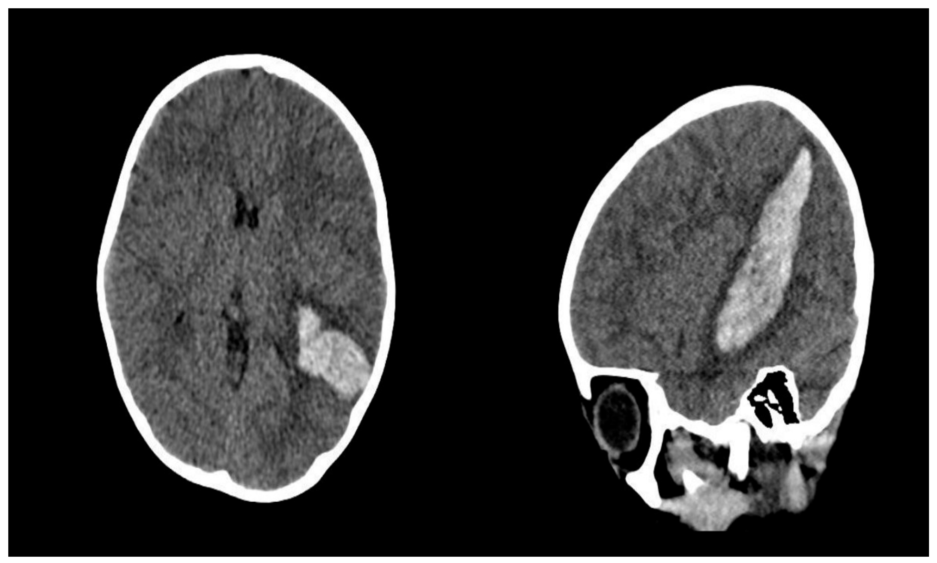
A 6-year-old boy presented to the emergency department two years ago with sudden onset of headache accompanied by nausea and vomiting. Neurological examination was unremarkable, revealing no pathological findings. A brain CT scan demonstrated an intracerebral hematoma located in the left posterior temporal region (Figure 1).
The patient had no significant past medical history, and laboratory evaluations were within normal limits. Cranial MR angiography and MR venography were performed; however, no vascular malformation was identified on either imaging modality (Figure 2 and Figure 3).
DSA was recommended for further evaluation, but the patient’s family declined the procedure due to its invasive nature. Written informed consent was obtained from the family documenting their refusal of DSA. During the hospital stay, the patient remained clinically stable without new symptoms and was subsequently discharged. Over the past two years of outpatient follow-up, the patient has remained asymptomatic with no additional complaints.
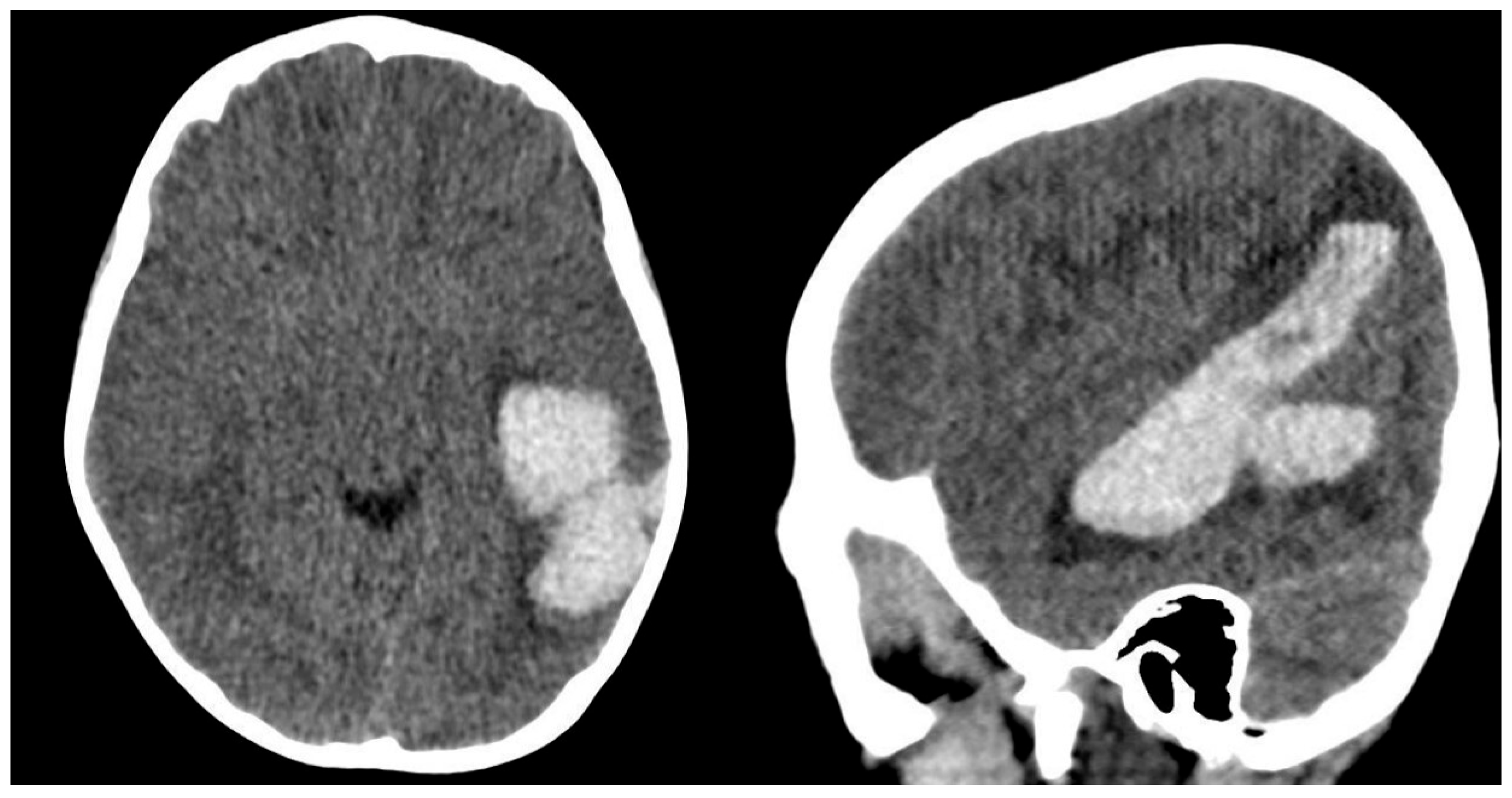
After two years, the patient was re-admitted to the emergency department with complaints of headache and seizures. A brain CT scan revealed a recurrent intracerebral hematoma in the left posterior temporal region, corresponding to the site of the previous hemorrhage (Figure 4).
Following the postictal period, neurologic examination did not reveal any abnormal findings. Laboratory test results were again within normal limits. Repeating cranial MR angiography showed no evidence of a vascular anomaly (Figure 5).
The family was re-informed, and DSA was once more recommended. During hospitalization, the patient remained clinically stable, and the hematoma gradually resolved without further complications.
Digital subtraction angiography performed two months later demonstrated a grade 3 [Spetzler Martin Grading Scale] arteriovenous malformation located in the left posterior temporal lobe. The lesion exhibited both superficial and deep venous drainage originating from the posterior temporal branches of the left middle cerebral artery and the left anterior choroidal artery (Figure 6).
A significant stenosis was noted in one of the two draining veins. Additionally, aneurysmal dilatations were observed within the nidus of the malformation. The patient underwent successful endovascular treatment for AVM closure and experienced no neurologic deficits post-procedure. He was discharged without any further complications.

3. Discussion

Although MR angiography can offer valuable insights into the anatomical structure of AVMs, it has notable limitations in capturing the finer details of the malformation and assessing hemodynamic characteristics. This is particularly evident with the TOF-MRA technique, where overlapping vessels and flow aligned with the imaging plane can hinder accurate identification of feeding arteries. Additionally, the relatively low spatial resolution of this method makes it challenging to visualize small AVM niduses effectively [1,2,3].
Cranial MR angiography provides a static representation of the cerebral vasculature without offering dynamic flow information. In contrast, digital subtraction angiography (DSA), through selective contrast injection into a single intracranial inflow artery, enables clear visualization of both the feeding arteries and draining veins of an arteriovenous malformation [4]. DSA continues to be the gold standard for assessing arteriovenous malformations (AVMs). Susceptibility-weighted imaging (SWI), an advanced MRI technique, utilizes variations in magnetic susceptibility among different tissue types such as blood, iron, and calcifications. The magnitude images obtained through SWI aid in identifying the distinct structural elements of an AVM and facilitate the differentiation between the nidus, hemorrhagic components, and calcified regions [5].
Cerebral AVMs should be differentiated from a range of other vascular and non-vascular intracranial pathologies due to overlapping clinical presentations and radiologic findings. The differential diagnosis includes conditions such as carotid or vertebral artery dissection, cavernous sinus syndromes and thrombosis, cerebral amyloid angiopathy, and cerebral venous thrombosis. Other considerations include dissection syndromes, fibromuscular dysplasia, intracranial aneurysms, cavernous angiom, venous angiom, and vascular anomalies like the Moyamoya disease and the vein of Galen malformation. Non-vascular mimics such as migraine and cluster headaches, as well as acute ischemic stroke, must also be considered. Accurate diagnosis requires careful clinical correlation and the use of appropriate neuroimaging modalities (MRA, DSA, and CTA) to distinguish AVMs from these entities and to guide effective management strategies [6,7]. The literature also includes a case report where a lesion initially diagnosed as an AVM based on CTA was later identified as a meningioma during surgery and confirmed by histopathological examination [8].
Guglielmi et al. investigated the pressure and flow dynamics within the nidus of both small, low-flow AVMs and large, high-flow AVMs through the development of computerized electrical analog models. These models employed electrical resistances to represent the vascular components of the AVMs. In both the low-flow and high-flow configurations, blood flow was simulated by electron flow. These electrical analogs proved valuable in analyzing and predicting pressure and flow patterns across different regions of the AVM nidus [arterial, arterio-venular, venular, and venous segments] prior to and following therapeutic intervention. Furthermore, the models allowed for the assessment of hemodynamic alterations in feeding arteries, various nidus compartments, and draining veins after procedures such as surgery, embolization, and surgical bypass of the malformation [9].
Stereotactic radiosurgery is employed in the management of selecting AVMs of the brain that are considered inaccessible or unsuitable for surgical intervention. However, the radiation-induced obliteration of successfully treated AVMs occurs only after a latency period, which varies based on the lesion’s size, anatomical location, and radiation dose. To better understand the associated hemodynamic alterations, an experimental compartmental flow model has been developed to simulate the physiological changes that occur following radiosurgical treatment and to examine the temporal evolution of blood flow velocities and pressure gradients within the AVM prior to complete obliteration. In both low-flow (150 mL/min) and high-flow (440 mL/min) AVMs, radiosurgery was found to result in progressive flow reduction and increased pressure gradients in specific vascular compartments of the AVM during the obliteration process. These localized pressure elevations may heighten the risk of hemorrhage in untreated or residual flow regions of the malformation [10]. However, intravascular embolization before radiosurgery of cerebral arteriovenous malformations had a significantly higher obliteration rate in low-flow AVMs (73.9%) than in high-flow AVMs (18.2%). The role of intravascular embolization before radiosurgery was not only to reduce AVM size but also to provide benefits by reducing bleeding risk and flow volume [11].
The hemorrhagic risk associated with intracranial AVMs is closely linked to their hemodynamic characteristics. To explore this relationship, an enhanced bio-mathematical AVM model was developed by analyzing the morphological, biophysical, and hemodynamic features of these lesions. Using a threshold of 100% rupture risk corresponding to a total volumetric flow exceeding 900 mL/min, simulations across 216 AVM models demonstrated flow rates ranging from 449.9 mL/min to 888.6 mL/min, with calculated rupture risks varying between 26.4% and 99.9%. This biomathematical model effectively represents both transnidal and intranidal flow dynamics of intracranial AVMs. It accommodates a broad spectrum of hemodynamic and biophysical variables, enabling the simulation of AVMs with diverse flow profiles, including both low-flow and high-flow configurations [12].
Stein et al. identified a subgroup of vascular malformations that exhibit clinical characteristics like high-flow lesions yet demonstrated imaging features consistent with low-flow malformations. These complex lesions tend to behave biologically like low-flow malformations. He emphasized that an accurate evaluation of such vascular anomalies requires both thorough clinical assessment and advanced radiologic imaging. Furthermore, he proposed that radiologic findings should take precedence over clinical impressions in determining the final diagnosis, and that treatment decisions should primarily be guided by the radiologic evaluation [13]. We believe that our case falls within this specific category. Although the lesion appeared as a low-flow malformation on imaging, the clinical presentation suggested a high-flow lesion. Therefore, embolization was carried out using DSA.
Although quantitative hemodynamic studies examining the association between AVM flow dynamics and rupture risk have yielded inconclusive results, the majority of evidence indicates that elevated arterial inflow combined with impaired venous outflow within the AVM nidus is linked to a higher likelihood of hemorrhage [14,15]. Li et al. proposed a novel quantitative parameter derived from DSA, termed the lesion-filling index, which reflects the extent of intranidal blood stasis. This index demonstrated a strong association with AVM rupture, supporting the hypothesis that overperfusion may be the underlying hemodynamic mechanism contributing to rupture risk [16]. In our case, the presence of multiple cortical arterial feeders originating from the left middle cerebral artery, along with venous drainage stasis, were the primary factors contributing to the elevated risk of hemorrhage.

4. Conclusions

This case highlights the diagnostic limitations of MR angiography in detecting low-flow arteriovenous malformations, particularly in the acute or subacute phase following hemorrhage. The inability to visualize the AVM nidus with non-invasive imaging modalities may delay accurate diagnosis and appropriate intervention, increasing the risk of recurrent intracerebral hemorrhage. As demonstrated in our case, DSA remains the gold standard for the detection and characterization of AVMs, especially in pediatric patients with unexplained intracerebral bleeding and inconclusive findings on MR angiography. Early utilization of DSA in selected cases is crucial for timely diagnosis and prevention of further hemorrhagic events, guiding effective therapeutic decision-making. In limitations, this study is based on a single case report, which inherently limits the generalizability of the findings. Although it illustrates the diagnostic challenges associated with low-flow AVMs and the limitations of MR angiography, conclusions drawn from a single patient may not be applicable to all clinical scenarios. Furthermore, the delayed use of DSA was influenced by the family’s initial refusal, which may have contributed to the recurrence of hemorrhage and delayed diagnosis. The absence of advanced hemodynamic measurements, such as quantitative flow analysis or lesion-filling index calculations, also limits our ability to provide a more detailed assessment of the AVM’s rupture risk. Future studies involving larger patient populations and advanced imaging techniques are needed to better understand the diagnostic accuracy and timing of different modalities in the evaluation of low-flow AVMs.

Author Contributions

Conceptualization M.C.Y. and K.A.; methodology, M.C.Y.; software, M.C.Y.; validation, M.C.Y.; formal analysis, M.C.Y. and K.A.; investigation, M.C.Y. and K.A.; resources, M.C.Y.; data curation, M.C.Y.; writing—original draft preparation, M.C.Y. and K.A.; writing—review and editing, M.C.Y. and K.A.; visualization, M.C.Y.; supervision, M.C.Y.; project administration, M.C.Y. All authors have read and agreed to the published version of the manuscript.

Funding

This research received no external funding.

Institutional Review Board Statement

Ethical review and approval were waived for this study due to the retrospective nature of this case report, which does not involve any clinical trial or experimental procedure. We confirm that ethical approval from an institutional review board is not required in this case.

Informed Consent Statement

All data used in the study were obtained with written informed consent from the patient and their family, in full compliance with ethical standards and privacy regulations.

Data Availability Statement

The data used in this publication was used with the signed consent of the hospital and the patient’s family, without revealing the patient’s personal information. Accessing patient clinical and radiological information outside the clinic is not ethical or confidential.

Conflicts of Interest

The authors declare no conflict of interest.

Abbreviations

The following abbreviations are used in this manuscript:
DSADigital subtraction angiography
TOF-MRITime of flight angiography
AVMArteriovenous malformations
SWISusceptibility-weighted imaging
CTAComputed tomography angiography
MRAMagnetic resonance angiography

References

  1. Wilms, G.; Bosmans, H.; Demaerel, P.; Marchal, G. Magnetic resonance angiography of the intracranial vessels. Eur. J. Radiol. 2001, 38, 10–18. [Google Scholar] [CrossRef] [PubMed]
  2. Duran, M.; Schoenberg, S.; Yuh, W.; Knopp, M.; Van Kaick, G.; Essig, M. Cerebral arteriovenous malformations: Morphologic evaluation by ultrashort 3D gadolinium-enhanced MR angiography. Eur. Radiol. 2002, 12, 2957–2964. [Google Scholar] [CrossRef] [PubMed]
  3. Suzuki, M.; Matsui, O.; Kobayashi, K.; Ueda, F.; Saitoh, C.; Katagiri, A.; Sanada, J.; Tawara, M.; Terayama, N.; Kawashima, H. Contrast-enhanced MRA for investigation of cerebral arteriovenous malformations. Neuroradiology 2003, 45, 231–235. [Google Scholar] [CrossRef] [PubMed]
  4. Sahlein, D.H.; Mora, P.; Becske, T.; Nelson, P.K. Nidal embolization of brain arteriovenous malformations: Rates of cure, partial embolization, and clinical outcome. J. Neurosurg. 2012, 117, 65–77. [Google Scholar] [CrossRef]
  5. George, U.; Jolappara, M.; Kesavadas, C.; Gupta, A.K. Susceptibility-weighted imaging in the evaluation of brain arteriovenous malformations. Neurol. India 2010, 58, 608–614. [Google Scholar] [PubMed]
  6. Bokhari, M.R.; Bokhari, S.R.A. Arteriovenous malformation of the brain. N. Engl. J. Med. 2017, 376, 1859–1866. [Google Scholar]
  7. Imakita, S.; Nishimura, T.; Yamada, N.; Naito, H.; Takamiya, M.; Yamada, Y.; Kikuchi, H.; Yonekawa, Y.; Sawada, T.; Yamaguchi, T. Cerebral vascular malformations: Applications of magentic resonance imaging to differential diagnosis. Neuroradiology 1989, 31, 320–325. [Google Scholar] [CrossRef]
  8. Bogdan, A.; Florian, I.-A.; Florian, I.-S.; Sergiu, S.; Magdalena, B.; Mohan, A.G. Intracranial arteriovenous malformation (AVM) or meningothelial meningioma (MM)? Outlining the similarities and differences on imaging studies for an accurate diagnosis, case report. Int. J. Surg. Case Rep. 2023, 106, 108203. [Google Scholar] [CrossRef] [PubMed]
  9. Guglielmi, G. Analysis of the hemodynamic characteristics of brain arteriovenous malformations using electrical models: Baseline settings, surgical extirpation, endovascular embolization, and surgical bypass. Neurosurgery 2008, 63, 1–11. [Google Scholar] [CrossRef] [PubMed]
  10. Lo, E.H.; Fabrikant, J.I.; Levy, R.P.; Phillips, M.H.; Frankel, K.A.; Alpen, E.L. An experimental compartmental flow model for assessing the hemodynamic response of intracranial arteriovenous malformations to stereotactic radiosurgery. Neurosurgery 1991, 28, 251–259. [Google Scholar] [CrossRef] [PubMed]
  11. Inoue, H.; Nagaseki, Y.; Naitou, I.; Negishi, M.; Hirato, M.; Shibazaki, T.; Ohye, C.; Andou, Y. The role of intravascular embolization prior to radiosurgery of cerebral arteriovenous malformations: From the standpoint of hemorrhage and early obliteration after gamma knife radiosurgery. Interv. Neuroradiol. 1999, 5, 171–176. [Google Scholar] [CrossRef] [PubMed]
  12. Hádemenos, G.J.; Massoud, T.F. An electrical network model of intracranial arteriovenous malformations: Analysis of variations in hemodynamic and biophysical parameters. Neurol. Res. 1996, 18, 575–589. [Google Scholar] [CrossRef] [PubMed]
  13. Stein, M.; Guilfoyle, R.; Courtemanche, D.J.; Moss, W.; Bucevska, M.; Arneja, J.S. The “little AVM”: A new entity in high-flow versus low-flow vascular malformations. Plast. Reconstr. Surg.–Glob. Open 2014, 2, e187. [Google Scholar] [CrossRef] [PubMed]
  14. Nico, E.; Hossa, J.; McGuire, L.S.; Alaraj, A. Rupture-risk stratifying patients with cerebral arteriovenous malformations using quantitative hemodynamic flow measurements. World Neurosurg. 2023, 179, 68–76. [Google Scholar] [CrossRef] [PubMed]
  15. Nico, E.; Hossa, J.; McGuire, L.S.; Alaraj, A. 311 Rupture-Risk Stratifying Patients With Cerebral Arteriovenous Malformations Using Quantitative Hemodynamic Flow Measurements. Neurosurgery 2024, 70, 90–91. [Google Scholar] [CrossRef]
  16. Li, R.; Chen, Y.; Chen, P.; Ma, L.; Han, H.; Li, Z.; Zhou, W.; Chen, X.; Zhao, Y. Lesion-Filling Index from Quantitative DSA Correlates with Hemorrhage of Cerebral AVM. Am. J. Neuroradiol. 2024, 45, 712–720. [Google Scholar] [CrossRef] [PubMed]
Figure 1. CT imaging of the brain at the time of the initial evaluation two years earlier.
Figure 1. CT imaging of the brain at the time of the initial evaluation two years earlier.
Ctn 09 00031 g001
Figure 2. Post-hemorrhagic MR angiography after the initial intracerebral event.
Figure 2. Post-hemorrhagic MR angiography after the initial intracerebral event.
Ctn 09 00031 g002
Figure 3. Cranial MR venography following the initial intracerebral hemorrhage.
Figure 3. Cranial MR venography following the initial intracerebral hemorrhage.
Ctn 09 00031 g003
Figure 4. Cranial CT scans obtained following recurrent intracerebral hemorrhage.
Figure 4. Cranial CT scans obtained following recurrent intracerebral hemorrhage.
Ctn 09 00031 g004
Figure 5. MR angiographic evaluation of the brain after repeated hemorrhage showed no detectable vascular malformation.
Figure 5. MR angiographic evaluation of the brain after repeated hemorrhage showed no detectable vascular malformation.
Ctn 09 00031 g005
Figure 6. Intracranial arteriovenous malformation visualized on DSA (white arrow marks the nidus).
Figure 6. Intracranial arteriovenous malformation visualized on DSA (white arrow marks the nidus).
Ctn 09 00031 g006
Disclaimer/Publisher’s Note: The statements, opinions and data contained in all publications are solely those of the individual author(s) and contributor(s) and not of MDPI and/or the editor(s). MDPI and/or the editor(s) disclaim responsibility for any injury to people or property resulting from any ideas, methods, instructions or products referred to in the content.

Share and Cite

MDPI and ACS Style

Yilmaz, M.C.; Aydin, K. Delayed Diagnosis of a Low-Flow Temporal Arteriovenous Malformation in a Child Presenting with Recurrent Intracerebral Hemorrhage. Clin. Transl. Neurosci. 2025, 9, 31. https://doi.org/10.3390/ctn9030031

AMA Style

Yilmaz MC, Aydin K. Delayed Diagnosis of a Low-Flow Temporal Arteriovenous Malformation in a Child Presenting with Recurrent Intracerebral Hemorrhage. Clinical and Translational Neuroscience. 2025; 9(3):31. https://doi.org/10.3390/ctn9030031

Chicago/Turabian Style

Yilmaz, Merih C., and Keramettin Aydin. 2025. "Delayed Diagnosis of a Low-Flow Temporal Arteriovenous Malformation in a Child Presenting with Recurrent Intracerebral Hemorrhage" Clinical and Translational Neuroscience 9, no. 3: 31. https://doi.org/10.3390/ctn9030031

APA Style

Yilmaz, M. C., & Aydin, K. (2025). Delayed Diagnosis of a Low-Flow Temporal Arteriovenous Malformation in a Child Presenting with Recurrent Intracerebral Hemorrhage. Clinical and Translational Neuroscience, 9(3), 31. https://doi.org/10.3390/ctn9030031

Article Metrics

Back to TopTop