Conventional Platinum Metal Implants Provoke Restenosis Responses in Atherogenic but Not Healthy Arteries
Abstract
1. Introduction
2. Materials and Methods
2.1. Implantation
2.2. Implant Removal
2.3. Cryo-Sectioning
2.4. Staining
2.4.1. Reagents
2.4.2. H&E Staining
2.4.3. Oil Red O Staining
2.4.4. Alpha-Smooth Muscle Actin Staining
2.4.5. CD68 Immunofluorescence Staining
2.4.6. Von Willebrand Factor (VWF) Immunofluorescence Staining
2.5. Quantification
2.6. Statistics
3. Results
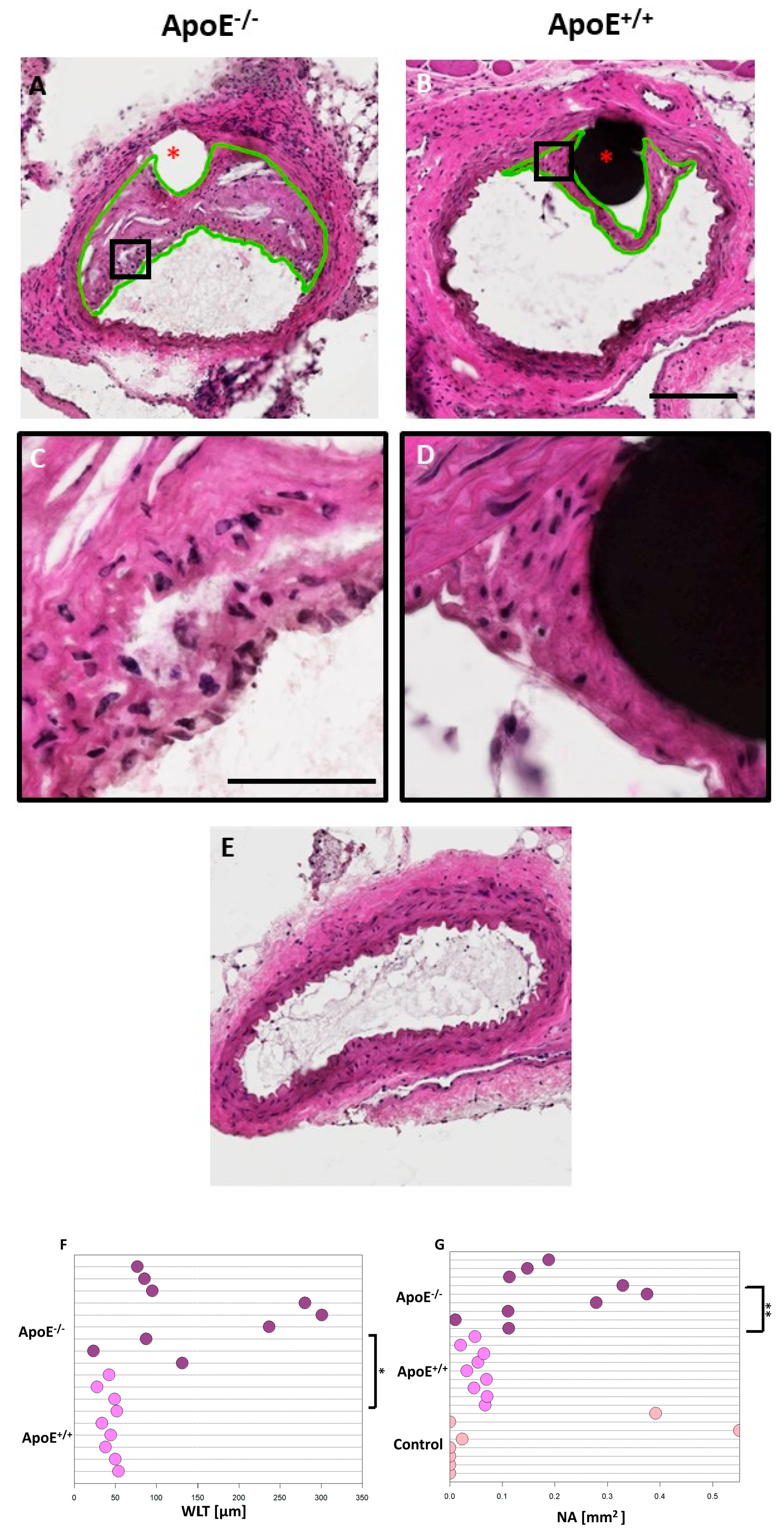
3.1. Morphometric Analysis
3.2. Lipid Staining
3.3. α-SMA Immunofluorescence
3.4. CD68 Immunofluorescence
3.5. Von Willebrand Factor (VWF) Immunofluorescence
4. Discussion
5. Conclusions
- Larger neointimal tissue growth in terms of WLT and NA;
- A 22-fold increase in macrophage coverage;
- A 3-fold increase in SMC presence;
- A 370-fold increase in lipid deposition.
Author Contributions
Funding
Institutional Review Board Statement
Informed Consent Statement
Data Availability Statement
Conflicts of Interest
References
- Iqbal, J.; Gunn, J.; Serruys, P.W. Coronary stents: Historical development, current status and future directions. Br. Med Bull. 2013, 106, 193–211. [Google Scholar] [CrossRef]
- Hijazi, Z.M.; Homoud, M.; Aronovitz, M.J.; Smith, J.J.; Faller, G.T. A new platinum balloon-expandable stent (Angiostent) mounted on a high pressure balloon: Acute and late results in an atherogenic swine model. J. Invasive Cardiol. 1995, 7, 127–134. [Google Scholar] [PubMed]
- Bhargava, B.; De Scheerder, I.; Ping, Q.B.; Yanming, H.; Chan, R.; Kim, H.S.; Kollum, M.; Cottin, Y.; Leon, M.B. A novel platinum-iridium, potentially gamma radioactive stent: Evaluation in a porcine model. Catheter. Cardiovasc. Interv. 2000, 51, 364–368. [Google Scholar] [CrossRef]
- Oliver, A.A.; Ii, R.J.G.; Flom, K.L.; Morath, L.M.; Kolesar, T.M.; Mostaed, E.; Sikora-Jasinska, M.; Drelich, J.W.; Goldman, J. Analysis of Vascular Inflammation against Bioresorbable Zn–Ag-Based Alloys. ACS Appl. Bio Mater. 2020, 3, 6779–6789. [Google Scholar] [CrossRef]
- Zhang, C.; Wen, T.H.; Razak, K.A.; Lin, J.; Xu, C.; Seo, C.; Villafana, E.; Jimenez, H.; Liu, H. Magnesium-based biodegradable microelectrodes for neural recording. Mater. Sci. Eng. C 2020, 110, 110614. [Google Scholar] [CrossRef]
- Fineschi, M.; Gori, T. Very late thrombosis in a bare metal stent: An under-recognized problem. Can. J. Cardiol. 2008, 24, e6–e7. [Google Scholar] [CrossRef] [PubMed]
- Zhang, S.H.; Reddick, R.L.; Piedrahita, J.A.; Maeda, N. Spontaneous Hypercholesterolemia and Arterial Lesions in Mice Lacking Apolipoprotein E. Science 1992, 258, 468–471. [Google Scholar] [CrossRef]
- Getz, G.S.; Reardon, C.A. ApoE knockout and knockin mice: The history of their contribution to the understanding of atherogenesis. J. Lipid Res. 2016, 57, 758–766. [Google Scholar] [CrossRef] [PubMed]
- Ali, Z.A.; Alp, N.J.; Lupton, H.; Arnold, N.; Bannister, T.; Hu, Y.; Mussa, S.; Wheatcroft, M.; Greaves, D.R.; Gunn, J.; et al. Increased In-Stent Stenosis in ApoE Knockout Mice. Arter. Thromb. Vasc. Biol. 2007, 27, 833–840. [Google Scholar] [CrossRef]
- Matter, C.M.; Ma, L.; von Lukowicz, T.; Meier, P.; Lohmann, C.; Zhang, D.; Kilic, U.; Hofmann, E.; Ha, S.-W.; Hersberger, M.; et al. Increased Balloon-Induced Inflammation, Proliferation, and Neointima Formation in Apolipoprotein E (ApoE) Knockout Mice. Stroke 2006, 37, 2625–2632. [Google Scholar] [CrossRef]
- Kim, M.; Sahu, A.; Hwang, Y.; Kim, G.B.; Nam, G.H.; Kim, I.-S.; Kwon, I.C.; Tae, G. Targeted delivery of anti-inflammatory cytokine by nanocarrier reduces atherosclerosis in ApoE−/− mice. Biomaterials 2019, 226, 119550. [Google Scholar] [CrossRef] [PubMed]
- Liao, Z.-L.; Zeng, B.-H.; Wang, W.; Li, G.-H.; Wu, F.; Wang, L.; Zhong, Q.-P.; Wei, H.; Fang, X. Impact of the Consumption of Tea Polyphenols on Early Atherosclerotic Lesion Formation and Intestinal Bifidobacteria in High-Fat-Fed ApoE−/− Mice. Front. Nutr. 2016, 3, 42. [Google Scholar] [CrossRef] [PubMed]
- Tung, M.-C.; Lan, Y.-W.; Li, H.-H.; Chen, H.-L.; Chen, S.-Y.; Chen, Y.-H.; Lin, C.-C.; Tu, M.-Y.; Chen, C.-M. Kefir peptides alleviate high-fat diet-induced atherosclerosis by attenuating macrophage accumulation and oxidative stress in ApoE knockout mice. Sci. Rep. 2020, 10, 8802. [Google Scholar] [CrossRef] [PubMed]
- Pierson, D.; Edick, J.; Tauscher, A.; Pokorney, E.; Bowen, P.; Gelbaugh, J.; Stinson, J.; Getty, H.; Lee, C.H.; Drelich, J.; et al. A simplified in vivo approach for evaluating the bioabsorbable behavior of candidate stent materials. J. Biomed. Mater. Res. Part B Appl. Biomater. 2011, 100B, 58–67. [Google Scholar] [CrossRef]
- Guillory, R.J., II; Oliver, A.A.; Davis, E.K.; Earley, E.J.; Drelich, J.W.; Goldman, J. Preclinical In Vivo Evaluation and Screening of Zinc-Based Degradable Metals for Endovascular Stents. JOM 2019, 71, 1436–1446. [Google Scholar] [CrossRef] [PubMed]
- Zhao, S.; Seitz, J.-M.; Eifler, R.; Maier, H.J.; Guillory, R.J.; Earley, E.J.; Drelich, A.; Goldman, J.; Drelich, J.W. Zn-Li alloy after extrusion and drawing: Structural, mechanical characterization, and biodegradation in abdominal aorta of rat. Mater. Sci. Eng. C 2017, 76, 301–312. [Google Scholar] [CrossRef]
- Fu, J.; Su, Y.; Qin, Y.-X.; Zheng, Y.; Wang, Y.; Zhu, D. Evolution of metallic cardiovascular stent materials: A comparative study among stainless steel, magnesium and zinc. Biomaterials 2019, 230, 119641. [Google Scholar] [CrossRef]
- Baltzer, N. Platinum Group Metals (PGMs) for Permanent Implantable Electronic Devices. In Precious Metals for Biomedical Applications; Elsevier: Amsterdam, The Netherlands, 2014. [Google Scholar]
- Cowley, A.; Woodward, B. A Healthy Future: Platinum in Medical Applications. Platin. Met. Rev. 2011, 55, 98–107. [Google Scholar] [CrossRef]
- Grewe, P.H.; Deneke, T.; Machraoui, A.; Barmeyer, J.; Müller, K.M. Acute and Chronic Tissue Response to Coronary Stent Im-plantation: Pathologic Findings in Humans. J. Am. Coll. Cardiol. 1999, 35, 157–163. [Google Scholar] [CrossRef]
- Oppi, S.; Lüscher, T.F.; Stein, S. Mouse Models for Atherosclerosis Research—Which Is My Line? Front. Cardiovasc. Med. 2019, 6, 46. [Google Scholar] [CrossRef]
- Lee, Y.T.; Lin, H.Y.; Chan, Y.W.F.; Li, K.H.C.; To, O.T.L.; Yan, B.P.; Liu, T.; Li, G.; Wong, W.T.; Keung, W.; et al. Mouse models of atherosclerosis: A historical perspective and recent advances. Lipids Health Dis. 2017, 16, 12. [Google Scholar] [CrossRef] [PubMed]
- Wolf, D.; Ley, K. Immunity and Inflammation in Atherosclerosis. Circ. Res. 2019, 124, 315–327. [Google Scholar] [CrossRef]
- Chaabane, C.; Otsuka, F.; Virmani, R.; Bochaton-Piallat, M.-L. Biological responses in stented arteries. Cardiovasc. Res. 2013, 99, 353–363. [Google Scholar] [CrossRef] [PubMed]
- Huebsch, N.; Mooney, D.J. Inspiration and application in the evolution of biomaterials. Nature 2009, 462, 426–432. [Google Scholar] [CrossRef]
- Yokoyama, S.; Takano, M.; Yamamoto, M.; Inami, S.; Sakai, S.; Okamatsu, K.; Okuni, S.; Seimiya, K.; Murakami, D.; Ohba, T.; et al. Extended Follow-Up by Serial Angioscopic Observation for Bare-Metal Stents in Native Coronary Arteries: From healing response to atherosclerotic transformation of neointima. Circ. Cardiovasc. Interv. 2009, 2, 205–212. [Google Scholar] [CrossRef] [PubMed]






Disclaimer/Publisher’s Note: The statements, opinions and data contained in all publications are solely those of the individual author(s) and contributor(s) and not of MDPI and/or the editor(s). MDPI and/or the editor(s) disclaim responsibility for any injury to people or property resulting from any ideas, methods, instructions or products referred to in the content. |
© 2023 by the authors. Licensee MDPI, Basel, Switzerland. This article is an open access article distributed under the terms and conditions of the Creative Commons Attribution (CC BY) license (https://creativecommons.org/licenses/by/4.0/).
Share and Cite
Morath, L.M.; Guillory, R.J., II; Oliver, A.A.; Liu, S.Q.; Bocks, M.L.; Levy, G.K.; Drelich, J.W.; Goldman, J. Conventional Platinum Metal Implants Provoke Restenosis Responses in Atherogenic but Not Healthy Arteries. Sci 2023, 5, 25. https://doi.org/10.3390/sci5020025
Morath LM, Guillory RJ II, Oliver AA, Liu SQ, Bocks ML, Levy GK, Drelich JW, Goldman J. Conventional Platinum Metal Implants Provoke Restenosis Responses in Atherogenic but Not Healthy Arteries. Sci. 2023; 5(2):25. https://doi.org/10.3390/sci5020025
Chicago/Turabian StyleMorath, Lea M., Roger J. Guillory, II, Alexander A. Oliver, Shu Q. Liu, Martin L. Bocks, Galit Katarivas Levy, Jaroslaw W. Drelich, and Jeremy Goldman. 2023. "Conventional Platinum Metal Implants Provoke Restenosis Responses in Atherogenic but Not Healthy Arteries" Sci 5, no. 2: 25. https://doi.org/10.3390/sci5020025
APA StyleMorath, L. M., Guillory, R. J., II, Oliver, A. A., Liu, S. Q., Bocks, M. L., Levy, G. K., Drelich, J. W., & Goldman, J. (2023). Conventional Platinum Metal Implants Provoke Restenosis Responses in Atherogenic but Not Healthy Arteries. Sci, 5(2), 25. https://doi.org/10.3390/sci5020025

