Ultrasonographic Evaluation of the Patellar Tendon in Cyclists, Volleyball Players, and Non-Practitioners of Sports—The Influence of Gender, Age, Height, Dominant Limb, and Level of Physical Activity
Abstract
1. Introduction
2. Materials and Methods
2.1. Sampling
2.2. Study Design
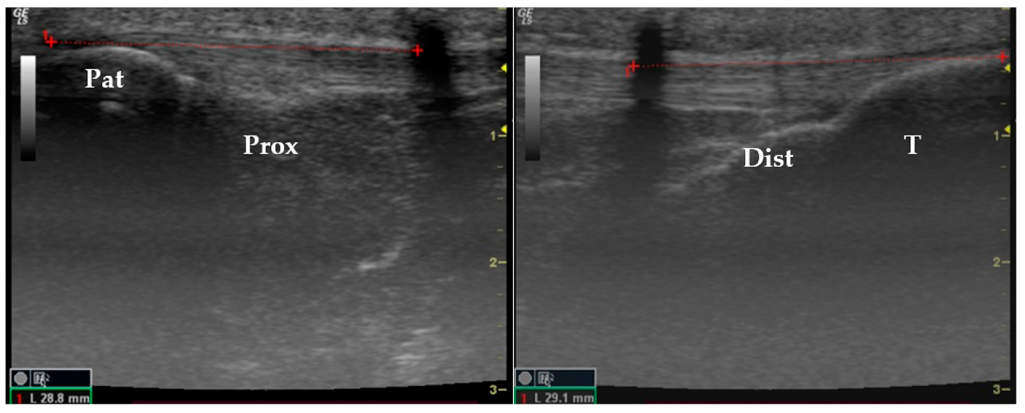
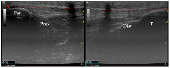
2.3. Data Collection
2.4. Data Analyses
3. Results
4. Discussion
5. Conclusions
Author Contributions
Funding
Institutional Review Board Statement
Informed Consent Statement
Data Availability Statement
Acknowledgments
Conflicts of Interest
References
- Megías, H. Características Morfológicas del Tendón Rotuliano a Través de Ecografía en Población Deportista y no Deportista Sana. Estudio Observacional; Universidad Camilo José Cela, Facultad de Salud: Madrid, Spain, 2017. [Google Scholar]
- Nordin, M.; Lorenz, T.; Campello, M. Biomechanics of Tendons and Ligaments: Basic Biomechanics of the Musculoskeletal System, 3rd ed.; Lippincott Williams & Wilkins: Philadelphia, PA, USA, 2001; ISBN 978-0683302479. [Google Scholar]
- Cohen, M.; Ferretti, M.; Marcondes, F.; Amaro, J.; Ejnisman, B. Tendinopatia patellar-Patellar tendinopathy. In. Rev. Bras. Ortop. 2008, 43, 309–318. [Google Scholar] [CrossRef][Green Version]
- André, M. Avaliação das Dimensões do Tendão Calcaneano em Atletas e Sedentários. Estudo Exploratório; Universidade de Coimbra, Faculdade de Ciências do Desporto e Educação Física: Coimbra, Portugal, 2011. [Google Scholar]
- Burgess, K.; Pearson, S.; Breen, L.; Onambélé, G. Tendon structural and mechanical properties do not differ between genders in a healthy community-dwelling elderly population. J. Orthop. Res. 2009, 27, 820–825. [Google Scholar] [CrossRef]
- Carroll, C.C.; Dickinson, J.M.; Haus, J.M.; Lee, G.A.; Hollon, C.J.; Aagaard, P.; Magnusson, S.P.; Trappe, T.A. Influence of aging on the in vivo properties of human patellar tendon. J. Appl. Physiol. 2008, 105, 1907–1915. [Google Scholar] [CrossRef] [PubMed]
- Fleck, S.; Kraemer, W. Fundamentos do Treinamento e Força Muscular, 4th ed.; Artmed Editora LTD: Porto Alegre, Brazil, 2017; ISBN 9788582713891. [Google Scholar]
- Hoffmann, J.K.; Tozetto, A.V.; Milistetd, M.; Medeiros, T.E.; Ignachewski, W.L. Influência da maturação, estatura e soma de dobras cutâneas na força de membros inferiores em adolescentes praticantes de futsal. Rev. Bras. Futsal Futebol 2014, 6, 202–221. [Google Scholar]
- Junior, N. Biomecánica Aplicada a la Locomoción y el Salto en el Voleibol. EFdeportes. Rev. Digit. 2012, 17, 1–23. [Google Scholar]
- Alencar, T.; Matias, K.; Oliveira, F. Cinesiologia e Biomecânica do Ciclismo: Uma revisão. Movimenta 2018, 3, 40–41. [Google Scholar]
- Cocco, G.; Ricci, V.; Corvino, A.; Abate, M.; Vaccaro, A.; Bernabei, C.; Cantisani, V.; Vallone, G.; Caiazzo, C.; Caulo, M.; et al. Musculoskeletal disorders in padel: From biomechanics to sonography. J. Ultrasound 2024, 1–20. [Google Scholar] [CrossRef] [PubMed]
- Giacchino, M.; Caresio, C.; Gorji, N.E.; Molinari, F.; Massazza, G.; Minetto, M.A. Quantitative analysis of patellar tendon size and structure in asymptomatic professional players: Sonographic study. Muscles Ligaments Tendons J. 2018, 7, 449–458. [Google Scholar] [CrossRef] [PubMed]
- Lian, O.; Holen, K.J.; Engebretsen, L.; Bahr, R. Relationship between symptoms of jumper’s knee and the ultrasound characteristics of the patellar tendon among high level male volleyball players. Scand. J. Med. Sci. Sports 1996, 6, 291–296. [Google Scholar] [CrossRef]
- Hernández, G.; Domínguez, D.; Moreno, J.; Til, L.; Capdevila, L.; Pedret, C.; Schie, H.; Rodas, G. Caracterización por Ultrasound Tissue Characterization de los tendones rotulianos de jugadores de baloncesto; comparación entre profesionales versus formativos y asintomáticos versus sintomáticos. Apunt. Med. L’esport 2017, 52, 45–52. [Google Scholar] [CrossRef]
- Visnes, H.; Tegnander, A.; Bahr, R. Ultrasound characteristics of the patellar and quadriceps tendons among young elite athletes. Scand. J. Med. Sci. Sports 2015, 25, 205–215. [Google Scholar] [CrossRef]
- Todd, D.; Ghasem, A.; Xerogeanes, J. Height, Weight, and Age Predict Quadriceps Tendon Length and Thickness in Skeletally Immature Patients. Am. J. Sports Med. 2017, 45, 945–952. [Google Scholar] [CrossRef]
- Ferrando, A. Comportamiento Morfo-Ecogénico y Textural del Tendón Rotuliano en Deportistas de Élite de la Superliga de Voleibol Española; Departamento de Ciencias de la Salud Universidad Católica San Antonio de Murcia: Murcia, Spain, 2019. [Google Scholar]
- Zhang, J.; Ng, F.; Lee, C.; Fu, N. Changes in morphological and elastic properties of patellar tendon in athletes with unilateral patellar tendinopathy and their relationships with pain and functional disability. PLoS ONE 2014, 9, e108337. [Google Scholar] [CrossRef] [PubMed]



| Variables | LPTR | LPTL | WPTR | WPTL | TPTR | TPTL | |||||||
|---|---|---|---|---|---|---|---|---|---|---|---|---|---|
| σ | σ | σ | σ | σ | σ | ||||||||
| Group | Non-sports practitioners (n = 40) | 48.07 | 1.16 | 47.71 | 1.17 | 25.73 | 0.45 | 25.46 | 0.40 | 3.20 | 0.09 | 3.09 | 0.09 |
| Cycling (n = 37) | 55.71 | 1.57 | 55.12 | 1.57 | 24.84 | 0.57 | 24.29 | 0.43 | 3.70 | 0.12 | 3.51 | 0.10 | |
| Volleyball players (n = 38) | 55.97 | 1.54 | 56.19 | 1.62 | 24.45 | 0.44 | 23.77 | 0.50 | 3.69 | 0.12 | 3.52 | 0.12 | |
| Gender | Female (n = 51) | 46.92 | 0.98 | 46.38 | 0.91 | 23.88 | 0.45 | 23.34 | 0.38 | 3.16 | 0.08 | 3.03 | 0.08 |
| Male (n = 64) | 58.09 | 1.03 | 58.09 | 1.09 | 25.93 | 0.33 | 25.47 | 0.32 | 3.81 | 0.09 | 3.63 | 0.08 | |
| Age | 15–17 years (n = 15) | 51.37 | 2.21 | 51.25 | 2.21 | 24.26 | 0.89 | 24.02 | 0.66 | 3.46 | 0.19 | 3.36 | 0.21 |
| 17–19 years (n = 24) | 52.87 | 1.94 | 52.82 | 1.97 | 23.94 | 0.67 | 22.96 | 0.64 | 3.64 | 0.14 | 3.36 | 0.09 | |
| 19–21 years (n = 18) | 55.64 | 2.67 | 56.40 | 2.38 | 24.82 | 0.52 | 24.83 | 0.65 | 3.70 | 0.20 | 3.29 | 0.13 | |
| 21–23 years (n = 30) | 52.35 | 1.60 | 51.57 | 1.76 | 25.33 | 0.42 | 24.70 | 0.47 | 3.36 | 0.11 | 3.40 | 0.15 | |
| 23–25 years (n = 28) | 53.55 | 1.84 | 53.01 | 1.95 | 26.16 | 0.66 | 25.75 | 0.47 | 3.51 | 0.14 | 3.39 | 0.13 | |
| Height | 1500–1600 mm (n = 1) | 43.70 | ---- | 46.10 | ---- | 26.20 | ---- | 26.77 | ---- | 2.60 | ---- | 3.13 | ---- |
| 1600–1700 mm (n = 12) | 44.81 | 0.92 | 44.71 | 1.13 | 22.64 | 0.85 | 22.98 | 0.46 | 3.19 | 0.10 | 2.98 | 0.15 | |
| 1700–1800 mm (n = 35) | 47.82 | 1.38 | 47.29 | 1.15 | 24.07 | 0.49 | 23.16 | 0.48 | 3.20 | 0.11 | 3.10 | 0.11 | |
| >1800 mm (n = 67) | 57.55 | 1.03 | 57.39 | 1.14 | 25.92 | 0.34 | 25.48 | 0.32 | 3.76 | 0.09 | 3.58 | 0.08 | |
| Limb dominance | Right (n = 105) | 52.68 | 0.94 | 52.45 | 0.97 | 25.07 | 0.30 | 24.45 | 0.27 | 3.52 | 0.07 | 3.34 | 0.07 |
| Left (n = 10) | 57.95 | 1.71 | 57.62 | 1.83 | 24.50 | 0.91 | 25.30 | 1.09 | 3.53 | 0.19 | 3.66 | 0.16 | |
| LPA | Low (n = 40) | 48.07 | 1.16 | 47.71 | 1.17 | 25.73 | 2.45 | 25.46 | 2.14 | 3.20 | 1.14 | 3.09 | 1.18 |
| Moderate (n = 6) | 49.19 | 0.45 | 48.50 | 0.40 | 22.03 | 1.48 | 22.15 | 1.47 | 3.55 | 0.36 | 3.73 | 0.33 | |
| High (n = 69) | 56.42 | 0.09 | 56.29 | 0.09 | 24.87 | 0.27 | 24.19 | 0.53 | 3.71 | 0.09 | 3.49 | 0.07 | |
| Variable | LPTR | LPTL | WPTR | WPTL | TPTR | TPTL | |
|---|---|---|---|---|---|---|---|
| Gender | R | 0.587 | 0.601 | 0.336 | 0.374 | 0.449 | 0.450 |
| Sig level | 0.000 | 0.000 | 0.000 | 0.000 | 0.000 | 0.000 | |
| Group | R | 0.347 | 0.363 | −0.174 | −0.248 | 0.288 | 0.270 |
| Sig level | 0.000 | 0.000 | 0.063 | 0.008 | 0.002 | 0.003 | |
| Age | R | 0.039 | 0.012 | 0.254 | 0.284 | −0.055 | 0.025 |
| Sig level | 0.676 | 0.901 | 0.006 | 0.002 | 0.556 | 0.794 | |
| Height | R | 0.534 | 0.520 | 0.349 | 0.337 | 0.378 | 0.359 |
| Sig level | 0.000 | 0.000 | 0.000 | 0.000 | 0.000 | 0.000 | |
| LPA | R | 0.420 | 0.422 | −0.118 | −0.199 | 0.334 | 0.281 |
| Sig level | 0.000 | 0.000 | 0.210 | 0.033 | 0.000 | 0.002 | |
| Limb dominance | R | 0.157 | 0.151 | −0.053 | 0.084 | 0.002 | 0.137 |
| Sig level | 0.093 | 0.108 | 0.577 | 0.370 | 0.979 | 0.143 |
| ANOVA Test | Post-Hoc Bonferroni Test | ||||||
|---|---|---|---|---|---|---|---|
| Variables | Z | Sig Level | Variables | Mean Difference | Sig. Level | ||
| Group | LPTR | 9.118 | 0.000 | NSP | Cyclists | −1.648 | 0.003 |
| Volleyball players | −1.912 | 0.000 | |||||
| Cyclists | Volleyball players | −0.264 | 1.000 | ||||
| LPTL | 9.545 | 0.000 | NSP | Cyclists | −1.804 | 0.002 | |
| Volleyball players | −2.066 | 0.000 | |||||
| Cyclists | Volleyball players | −0.262 | 1.000 | ||||
| WPTR | 1.608 | 0.205 | |||||
| WPTL | 2.723 | 0.070 | |||||
| TPTR | 8.387 | 0.000 | NSP | Cyclists | −0.539 | 0.001 | |
| Volleyball players | −0.508 | 0.003 | |||||
| Cyclists | Volleyball players | 0.031 | 1.000 | ||||
| TPTL | 4.058 | 0.020 | NSP | Cyclists | −0.319 | 0.107 | |
| Volleyball players | −0.400 | 0.025 | |||||
| Cyclists | Volleyball players | −0.081 | 1.000 | ||||
| Age | LPTR | 0.533 | 0.712 | ||||
| LPTL | 0.751 | 0.559 | |||||
| WPTR | 1.687 | 0.158 | |||||
| WPTL | 2.894 | 0.025 | 15–17 years | 17–19 years | 0.258 | 1.000 | |
| 19–21 years | −0.089 | 1.000 | |||||
| 21–23 years | −0.067 | 1.000 | |||||
| 23–25 years | −0.283 | 1.000 | |||||
| 17–19 years | 19–21 years | −0.347 | 0.569 | ||||
| 21–23 years | −0.325 | 0.427 | |||||
| 23–25 years | −0.542 | 0.011 | |||||
| 19–21 years | 21–23 years | 0.022 | 1.000 | ||||
| 23–25 years | −0.194 | 1.000 | |||||
| 21–23 years | 23–25 years | −0.217 | 1.000 | ||||
| TPTR | 0.389 | 0.816 | |||||
| TPTL | 0.192 | 0.942 | |||||
| LPA | LPTR | 10.695 | 0.000 | Low | Moderate | −0.342 | 1.000 |
| High | −1.907 | 0.000 | |||||
| Moderate | High | −1.565 | 0.258 | ||||
| LPTL | 11.550 | 0.000 | Low | Moderate | −0.250 | 1.000 | |
| High | −2.083 | 0.000 | |||||
| Moderate | High | −1.833 | 0.173 | ||||
| WPTR | 4.187 | 0.018 | Low | Moderate | 0.825 | 0.015 | |
| High | 0.151 | 0.747 | |||||
| Moderate | High | −0.674 | 0.052 | ||||
| WPTL | 3.527 | 0.033 | Low | Moderate | 0.650 | 0.038 | |
| High | 0.172 | 0.427 | |||||
| Moderate | High | −0.478 | 0.172 | ||||
| TPTR | 8.627 | 0.000 | Low | Moderate | −0.350 | 0.669 | |
| High | −0.538 | 0.000 | |||||
| Moderate | High | −0.188 | 1.000 | ||||
| TPTL | 4.035 | 0.020 | Low | Moderate | −0.233 | 1.000 | |
| High | −0.371 | 0.016 | |||||
| Moderate | High | −0.138 | 1.000 | ||||
| Variables | Group | Gender | Age (years) | Height (mm) | Limb Dominance | LPA | ||||||||||
|---|---|---|---|---|---|---|---|---|---|---|---|---|---|---|---|---|
| Female | Male | 15–17 | 17–19 | 19–21 | 21–23 | 23–25 | 1600–1700 | 1700–1800 | >1800 | Right | Left | Moderate | High | |||
| LPTR | Z | 0.002 | 1.877 | 1.734 | 10.762 | 0.887 | 0.055 | 0.313 | 0.001 | 1.626 | 0.452 | 0.158 | 0.304 | 3.325 | 0.010 | |
| Sig | 0.966 | 0.181 | 0.195 | 0.010 | 0.357 | 0.818 | 0.588 | 0.980 | 0.249 | 0.510 | 0.693 | 0.584 | 0.111 | 0.921 | ||
| t | −0.118 | 0.556 | −1.480 | 1.414 | 0.331 | −0.467 | −0.371 | −0.333 | −0.705 | 0.062 | −0.047 | −0.055 | 0.541 | −0.727 | −0.374 | |
| LPTL | Z | 0.207 | 0.143 | 0.056 | 12.649 | 1.118 | 0.062 | 0.222 | 1.564 | 3.620 | 0.350 | 0.407 | 0.766 | 2.247 | 0.231 | |
| Sig | 0.651 | 0.708 | 0.814 | 0.006 | 0.302 | 0.809 | 0.647 | 0.232 | 0.106 | 0.532 | 0.527 | 0.385 | 0.178 | 0.632 | ||
| t | −0.478 | 0.104 | −1.486 | 1.454 | 0.193 | −0.848 | −0.298 | −0.544 | −0.409 | −0.554 | −0.228 | −0.416 | 0.253 | −0.621 | −0.793 | |
| WPTR | Z | 2.940 | 1.794 | 0.253 | 3.068 | 7.949 | 1.584 | 2.571 | 0.376 | 3.876 | 1.632 | 0.144 | 1.212 | 18.159 | 3.415 | |
| Sig | 0.091 | 0.191 | 0.618 | 0.114 | 0.010 | 0.234 | 0.140 | 0.550 | 0.097 | 0.218 | 0.706 | 0.275 | 0.004 | 0.069 | ||
| t | 0.550 | −0.134 | 0.671 | 0.772 | 0.719 | 1.882 | −1.090 | −0.376 | −0.570 | 0.004 | 1.024 | 0.329 | 0.351 | −1.282 | 0.472 | |
| WPTL | Z | 0.591 | 0.457 | 2.744 | 0.366 | 1.491 | 0.480 | 0.069 | 0.237 | 4.735 | 0.961 | 2.095 | 0.107 | 0.690 | 0.351 | |
| Sig | 0.445 | 0.505 | 0.105 | 0.560 | 0.236 | 0.503 | 0.798 | 0.634 | 0.072 | 0.340 | 0.155 | 0.745 | 0.434 | 0.556 | ||
| t | 0.785 | 0.908 | −0.061 | 1.722 | 1.335 | 0.791 | −0.345 | −1.401 | 0.823 | 0.819 | 0.424 | 1.240 | −0.359 | 0.123 | 0.461 | |
| TPTR | Z | 0.150 | 0.050 | 0.092 | 0.651 | 0.497 | 0.000 | 6.743 | 1.167 | 2.253 | 0.292 | 0.058 | 0.267 | 4.567 | 0.135 | |
| Sig | 0.700 | 0.824 | 0.763 | 0.441 | 0.489 | 0.997 | 0.027 | 0.298 | 0.184 | 0.596 | 0.811 | 0.607 | 0.070 | 0.714 | ||
| t | 0.012 | −0.072 | −0.256 | 0.349 | 1.721 | −1.087 | −0.800 | −0.450 | −0.856 | 0.507 | −0.174 | −0.019 | −0.397 | −0.531 | 0.028 | |
| TPTL | Z | 1.104 | 0.258 | 0.849 | 1.204 | 1.007 | 0.191 | 8.751 | 0.237 | 3.282 | 0.025 | 1.592 | 1.031 | 1.682 | 0.002 | |
| Sig | 0.297 | 0.615 | 0.362 | 0.301 | 0.327 | 0.670 | 0.014 | 0.634 | 0.120 | 0.877 | 0.214 | 0.314 | 0.236 | 0.961 | ||
| t | −0.045 | 0.484 | −0.830 | −0.339 | 1.399 | −0.797 | −0.935 | 0.473 | 0.976 | 0.333 | −0.641 | −0.042 | 0.346 | −0.572 | 0.430 | |
Disclaimer/Publisher’s Note: The statements, opinions and data contained in all publications are solely those of the individual author(s) and contributor(s) and not of MDPI and/or the editor(s). MDPI and/or the editor(s) disclaim responsibility for any injury to people or property resulting from any ideas, methods, instructions or products referred to in the content. |
© 2024 by the authors. Licensee MDPI, Basel, Switzerland. This article is an open access article distributed under the terms and conditions of the Creative Commons Attribution (CC BY) license (https://creativecommons.org/licenses/by/4.0/).
Share and Cite
Pissarra, Â.; Ribeiro, L.; Rodrigues, S. Ultrasonographic Evaluation of the Patellar Tendon in Cyclists, Volleyball Players, and Non-Practitioners of Sports—The Influence of Gender, Age, Height, Dominant Limb, and Level of Physical Activity. J. Funct. Morphol. Kinesiol. 2024, 9, 116. https://doi.org/10.3390/jfmk9030116
Pissarra Â, Ribeiro L, Rodrigues S. Ultrasonographic Evaluation of the Patellar Tendon in Cyclists, Volleyball Players, and Non-Practitioners of Sports—The Influence of Gender, Age, Height, Dominant Limb, and Level of Physical Activity. Journal of Functional Morphology and Kinesiology. 2024; 9(3):116. https://doi.org/10.3390/jfmk9030116
Chicago/Turabian StylePissarra, Ângela, Luís Ribeiro, and Sónia Rodrigues. 2024. "Ultrasonographic Evaluation of the Patellar Tendon in Cyclists, Volleyball Players, and Non-Practitioners of Sports—The Influence of Gender, Age, Height, Dominant Limb, and Level of Physical Activity" Journal of Functional Morphology and Kinesiology 9, no. 3: 116. https://doi.org/10.3390/jfmk9030116
APA StylePissarra, Â., Ribeiro, L., & Rodrigues, S. (2024). Ultrasonographic Evaluation of the Patellar Tendon in Cyclists, Volleyball Players, and Non-Practitioners of Sports—The Influence of Gender, Age, Height, Dominant Limb, and Level of Physical Activity. Journal of Functional Morphology and Kinesiology, 9(3), 116. https://doi.org/10.3390/jfmk9030116

