Coronal Shear Fractures of the Distal Humerus
Abstract
:1. Introduction
2. Classification
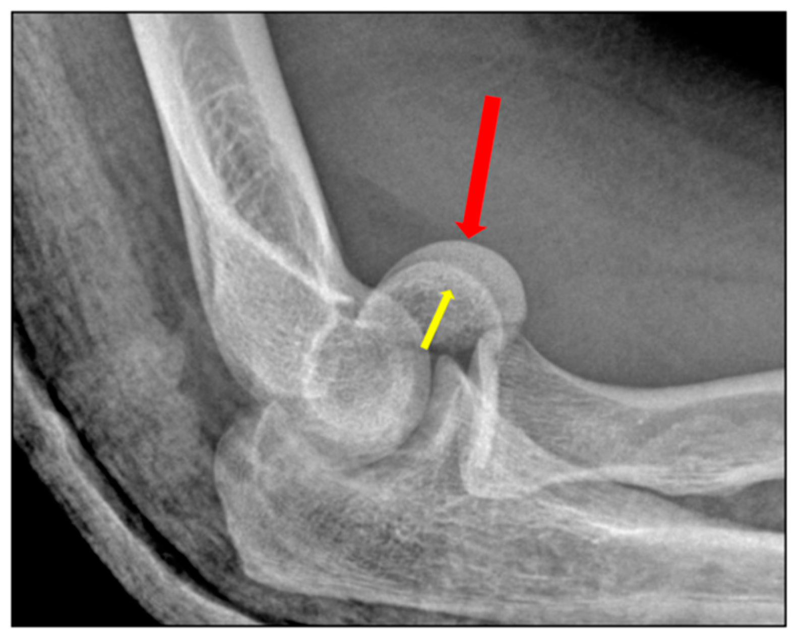
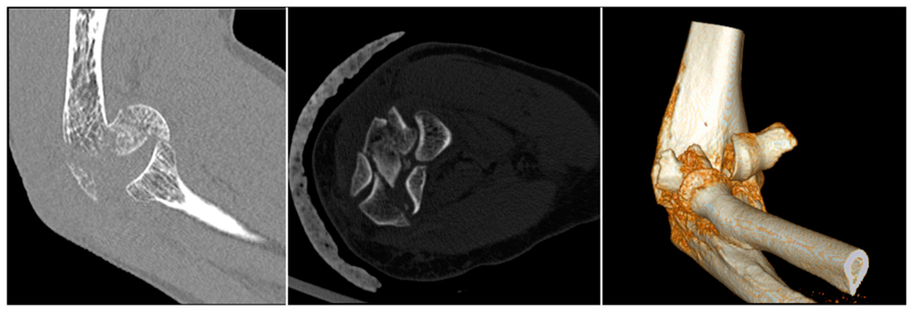
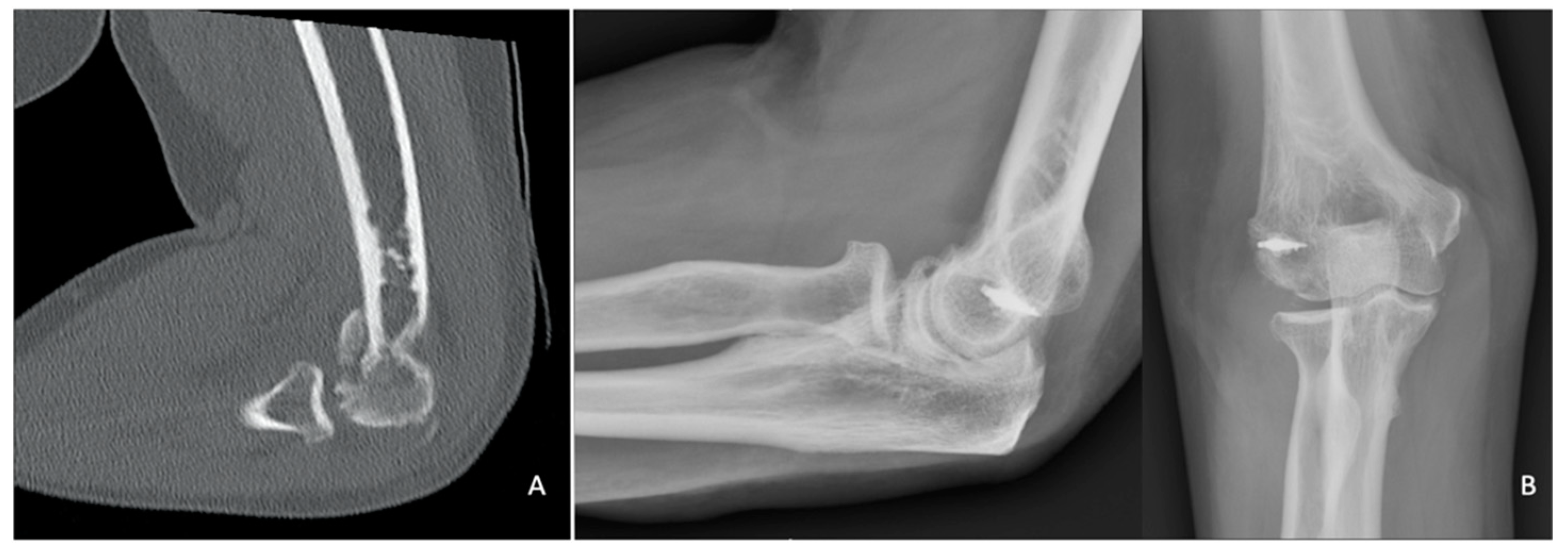
3. Imaging
4. Treatment Options and Results
4.1. Planning
4.2. Nonoperative Treatment
4.3. Fragment Excision
4.4. Arthroscopic Treatment
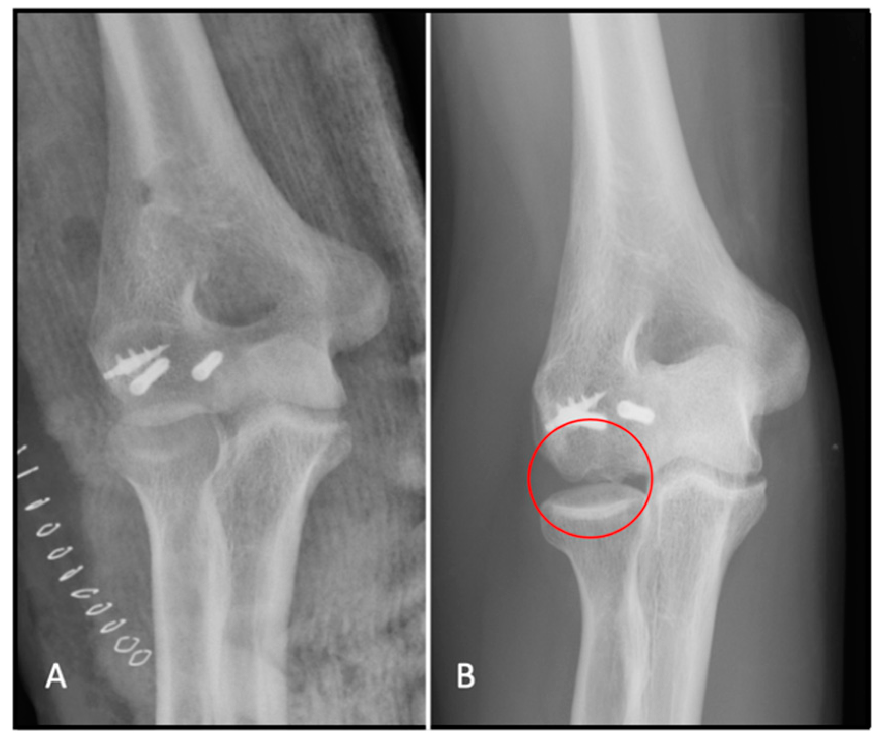
4.5. Open Reduction and Internal Fixation (ORIF)
4.6. Surgical Approaches
4.7. Fixation Techniques
4.7.1. Isolated Screw Fixation
4.7.2. Kirschner Wires
4.7.3. Plates
4.7.4. Alternative Treatments
4.8. Elbow Replacement
4.8.1. Total Elbow Arthroplasty (TEA)
4.8.2. Hemiarthroplasty (HA)
4.8.3. Other Prosthetic Options
5. Post-Operative Rehabilitation
6. Complications
- -
- Post-traumatic arthritis
- -
- Hardware loosening or breakage
- -
- Nonunion or malunion
- -
- Ulnar neuropathy
- -
- Infections
- -
- Avascular necrosis
- -
- Residual elbow instability
- -
- Stiffness
- -
- Complex regional pain syndrome (CRPS I)
7. Conclusions
Author Contributions
Funding
Institutional Review Board Statement
Informed Consent Statement
Data Availability Statement
Conflicts of Interest
References
- Grantham, S.A.; Norris, T.R.; Bush, D.C. Isolated Fracture of the Humeral Capitellum. Clin. Orthop. Relat. Res. 1981, 161, 262–269. [Google Scholar] [CrossRef]
- Lopiz, Y.; Rodríguez-González, A.; García-Fernández, C.; Marco, F. Open Reduction and Internal Fixation of Coronal Fractures of the Capitellum in Patients Older than 65 Years. J. Shoulder Elb. Surg. 2016, 25, 369–375. [Google Scholar] [CrossRef]
- John, H.; Rosso, R.; Neff, U.; Bodoky, A.; Regazzoni, P.; Harder, F. Operative Treatment of Distal Humeral Fractures in the Elderly. J. Bone Jt. Surg. 1994, 76, 793–796. [Google Scholar] [CrossRef]
- Palvanen, M.; Kannus, P.; Parkkari, J.; Pitka, T.; Èrvi, È.; Pasanen, M.; Vuori, I.; Èrvinen, M.J. The Injury Mechanisms of Osteoporotic Upper Extremity Fractures Among Older Adults: A Controlled Study of 287 Consecutive Patients and Their 108 Controls. Osteoporos Int. 2000, 11, 822–831. [Google Scholar] [CrossRef] [PubMed]
- Gonçalves, L.B.J.; Ring, D.C. Fractures of the Humeral Trochlea: Case Presentations and Review. J. Shoulder Elb. Surg. 2016, 25, e151–e155. [Google Scholar] [CrossRef]
- Dubberley, J.H.; Faber, K.J.; Macdermid, J.C.; Patterson, S.D.; King, G.J.W. Outcome after Open Reduction and Internal Fixation of Capitellar and Trochlear Fractures. J. Bone Jt. Surg. Am. 2006, 88, 46–54. [Google Scholar]
- Spiegel, P.G. Fracture and Dislocation Compendium. Orthopaedic Trauma Association Committee for Coding and Classification. J. Orthop. Trauma 1996, 10, 1–154. [Google Scholar]
- Stamatis, E.; Paxinos, O. The Treatment and Functional Outcome of Type IV Coronal Shear Fractures of the Distal Humerus: A Retrospective Review of Five Cases. J. Orthop. Trauma 2003, 17, 279–284. [Google Scholar] [CrossRef]
- Heck, S.; Zilleken, C.; Pennig, D.; Koslowsky, T.C. Reconstruction of Radial Capitellar Fractures Using Fine-Threaded Implants (FFS). Injury 2012, 43, 164–168. [Google Scholar] [CrossRef]
- Faber, K.J. Coronal Shear Fractures of the Distal Humerus: The Capitellum and Trochlea. Hand Clin. 2004, 20, 455–464. [Google Scholar] [CrossRef] [PubMed]
- O’Driscoll, S.W.; Jupiter, J.B.; King, G.J.; Hotchkiss, R.N.; Morrey, B.F. The Unstable Elbow. Instr. Course Lect. 2001, 50, 89–104. [Google Scholar] [CrossRef] [PubMed] [Green Version]
- O’Driscoll, S.W.; Bell, D.F.; Morrey, B.F. Posterolateral Rotatory Instability of the Elbow. J. Bone Jt. Surg. Am. Vol. 1991, 73, 440–446. [Google Scholar] [CrossRef]
- Marinelli, A.; Cavallo, M.; Guerra, E.; Ritali, A.; Bettelli, G.; Rotini, R. Does the Presence of Posterior Comminution Modify the Treatment and Prognosis in Capitellar and Trochlear Fractures? Study Performed on 45 Consecutive Patients. Injury 2018, 49, S84–S93. [Google Scholar] [CrossRef] [PubMed]
- Wang, P.; Kandemir, U.; Zhang, K.; Zhang, B.; Song, Z.; Huang, H.; Wei, X.; Wang, H.; Cong, Y.; Zhuang, Y. Treatment of Capitellar and Trochlear Fractures with Posterior Comminution: Minimum 2-Year Follow-Up. J. Shoulder Elb. Surg. 2019, 28, 931–938. [Google Scholar] [CrossRef]
- Yamaguchi, K.; Sweet, F.A.; Bindra, R.; Morrey, B.F.; Gelberman, R.H. The Extraosseous and Intraosseous Arterial Anatomy of the Adult Elbow. J. Bone Jt. Surg. 1997, 79, 1653–1662. [Google Scholar] [CrossRef]
- Morrey, B.F. The Elbow and Its Disorders, 2nd ed.; Saunders: Philadelphia, PA, USA, 1993. [Google Scholar]
- McKee, M.D.; Jupiter, J.B.; Bamberger, H.B. Coronal Shear Fractures of the Distal End of the Humerus. J. Bone Jt. Surg. Am. Vol. 1996, 78, 49–54. [Google Scholar] [CrossRef]
- Watts, A.C.; Morris, A.; Robinson, C.M. Fractures of the Distal Humeral Articular Surface. J. Bone Jt. Surg. Br. Vol. 2007, 89, 510–515. [Google Scholar] [CrossRef]
- Watson, J.J.; Bellringer, S.; Phadnis, J. Coronal Shear Fractures of the Distal Humerus: Current Concepts and Surgical Techniques. Shoulder Elb. 2020, 12, 124–135. [Google Scholar] [CrossRef]
- Ring, D.; Jupiter, J.B.; Gulotta, L. Articular Fractures of the Distal Part of the Humerus. J. Bone Jt. Surg. Am. Vol. 2003, 85, 232–238. [Google Scholar] [CrossRef]
- Bandi, W.; Muller, M. Arbeitsgemeinschaft Fur Osteosynthesefragen. Manual of Internal Fixation: Techniques Recommended by the AO-Group; Springer: New York, NY, USA, 1979. [Google Scholar]
- O’Dwyer, H.; O’Sullivan, P.; Fitzgerald, D.; Lee, M.J.; McGrath, F.; Logan, P.M. The Fat Pad Sign Following Elbow Trauma in Adults: Its Usefulness and Reliability in Suspecting Occult Fracture. J. Comput. Assist. Tomogr. 2004, 28, 562–565. [Google Scholar] [CrossRef] [PubMed]
- Lamas, C.; Grau, A.; Almenara, M.; Trigo, L. Coronal Shear Fractures of the Capitellum and Trochlea: Interobserver Variability in Classifying the Fracture and the Need for a Computed Tomography Scan for the Correct Surgical Planning. JSES Int. 2021, 5, 314–319. [Google Scholar] [CrossRef]
- Doornberg, J.; Lindenhovius, A.; Kloen, P.; van Dijk, C.N.; Zurakowski, D.; Ring, D. Two and Three-Dimensional Computed Tomography for the Classification and Management of Distal Humeral Fractures. Evaluation of Reliability and Diagnostic Accuracy. J. Bone Jt. Surg. Am. Vol. 2006, 88, 1795–1801. [Google Scholar] [CrossRef]
- Sen, M.K.; Sama, N.; Helfet, D.L. Open Reduction and Internal Fixation of Coronal Fractures of the Capitellum. J. Hand Surg. 2007, 32, 1462–1465. [Google Scholar] [CrossRef]
- Ruchelsman, D.E.; Tejwani, N.C.; Kwon, Y.W.; Egol, K.A. Open Reduction and Internal Fixation of Capitellar Fractures with Headless Screws. Surgical Technique. J. Bone Jt. Surg. Am. Vol. 2009, 91 Pt 1 (Suppl. 2), 38–49. [Google Scholar] [CrossRef] [PubMed] [Green Version]
- Alvarez, E.; Patel, M.R.; Nimberg, G.; Pearlman, H.S. Fracture of the Capitulum Humeri. J. Bone Jt. Surg. Am. Vol. 1975, 57, 1093–1096. [Google Scholar] [CrossRef]
- Ochner, R.S.; Bloom, H.; Palumbo, R.C.; Coyle, M.P. Closed Reduction of Coronal Fractures of the Capitellum. J. Trauma 1996, 40, 199–203. [Google Scholar] [CrossRef] [PubMed]
- Letts, M.; Rumball, K.; Bauermeister, S.; McIntyre, W.; D’Astous, J. Fractures of the Capitellum in Adolescents. J. Pediatric Orthop. 1997, 17, 315–320. [Google Scholar] [CrossRef]
- Puloski, S.; Kemp, K.; Sheps, D.; Hildebrand, K.; Donaghy, J. Closed Reduction and Early Mobilization in Fractures of the Humeral Capitellum. J. Orthop. Trauma 2012, 26, 62–65. [Google Scholar] [CrossRef] [PubMed] [Green Version]
- Trinh, T.Q.; Harris, J.D.; Kolovich, G.P.; Griesser, M.J.; Schickendantz, M.S.; Jones, G.L. Operative Management of Capitellar Fractures: A Systematic Review. J. Shoulder Elb. Surg. 2012, 21, 1613–1622. [Google Scholar] [CrossRef]
- Cutbush, K.; Andrews, S.; Siddiqui, N.; Brown, L.M.; Ross, M. Capitellar Fractures-Is Open Reduction and Internal Fixation Necessary? J. Orthop. Trauma 2015, 29, 50–53. [Google Scholar] [CrossRef] [PubMed] [Green Version]
- Nauth, A.; McKee, M.D.; Ristevski, B.; Hall, J.; Schemitsch, E.H. Distal Humeral Fractures in Adults. J. Bone Jt. Surg. Am. Vol. 2011, 93, 686–700. [Google Scholar] [CrossRef]
- Lee, J.J.; Lawton, J.N. Coronal Shear Fractures of the Distal Humerus. J. Hand Surg. 2012, 37, 2412–2417. [Google Scholar] [CrossRef]
- Mighell, M.; Virani, N.A.; Shannon, R.; Echols, E.L.; Badman, B.L.; Keating, C.J. Large Coronal Shear Fractures of the Capitellum and Trochlea Treated with Headless Compression Screws. J. Shoulder Elb. Surg. 2010, 19, 38–45. [Google Scholar] [CrossRef]
- Suenghwan, J.; Morrey, B.F. Distal Humerus Fractures: Isolated Fracture of the Capitellum; Elsevier: Amsterdam, The Netherlands, 2017. [Google Scholar]
- Dushuttle, R.P.; Coyle, M.P.; Zawadsky, J.P.; Bloom, H. Fractures of the Capitellum. J. Trauma 1985, 25, 317–321. [Google Scholar] [CrossRef]
- Fowles, J.V.; Kassab, M.T. Fracture of the Capitulum Humeri. Treatment by Excision. J. Bone Jt. Surg. Am. Vol. 1974, 56, 794–798. [Google Scholar] [CrossRef]
- Dhurve, K.; Patil, V.S.; Chandanwale, A.S.; Puranik, R.G. Isolated Fracture of the Trochlea: Report of Two Cases with Review of the Literature on the Mechanism of Injury; Akshantala Enterprises Private Limited: Mysore, India, 2013. [Google Scholar]
- Feldman, M.D. Arthroscopic Excision of Type II Capitellar Fractures. Arthrosc. J. Arthrosc. Relat. Surg. 1997, 13, 743–748. [Google Scholar] [CrossRef]
- Hardy, P.; Menguy, F.; Guillot, S. Arthroscopic Treatment of Capitellum Fracture of the Humerus. Arthrosc. J. Arthrosc. Relat. Surg. 2002, 18, 422–426. [Google Scholar] [CrossRef]
- Kuriyama, K.; Kawanishi, Y.; Yamamoto, K. Arthroscopic-Assisted Reduction and Percutaneous Fixation for Coronal Shear Fractures of the Distal Humerus: Report of Two Cases. J. Hand Surg. 2010, 35, 1506–1509. [Google Scholar] [CrossRef] [PubMed]
- Mitani, M.; Nabeshima, Y.; Ozaki, A.; Mori, H.; Issei, N.; Fujii, H.; Fujioka, H.; Doita, M. Arthroscopic Reduction and Percutaneous Cannulated Screw Fixation of a Capitellar Fracture of the Humerus: A Case Report. J. Shoulder Elb. Surg. 2009, 18, e6–e9. [Google Scholar] [CrossRef] [PubMed]
- van Nguyen, T.; Kholinne, E.; AlSomali, K.; Cho, C.H.; Koh, K.H.; Jeon, I.H. Technique for Arthroscopic-Assisted Reduction and Cannulated Screw Fixation for Coronal Shear Fractures of the Distal Humerus. Arthrosc. Tech. 2021, 10, e949–e955. [Google Scholar] [CrossRef]
- Holt, M.S.; Savoie, F.H.; Field, L.D.; Ramsey, J.R. Arthroscopic Management of Elbow Trauma. Hand Clin. 2004, 20, 485–495. [Google Scholar] [CrossRef] [PubMed]
- Kocher, T. Textbook of Operative Surgery, 3rd ed.; Adam & Charles Black: London, UK, 1911. [Google Scholar]
- Bellato, E.; Castoldi, F.; Marmotti, A.; Greco, V.; Pautasso, A.; Blonna, D. Relationship Between the Lateral Collateral Ligament of the Elbow and the Kocher Approach: A Cadaver Study. J. Hand Surg. 2021, 46, 245.e1–245.e7. [Google Scholar] [CrossRef]
- Ring, D. Open Reduction and Internal Fixation of an Apparent Capitellar Fracture Using an Extended Lateral Exposure. J. Hand Surg. 2009, 34, 739–744. [Google Scholar] [CrossRef]
- Li, J.; Martin, V.T.; Su, Z.-W.; Li, D.-T.; Zhai, Q.-Y.; Yu, B. Lateral Epicondyle Osteotomy Approach for Coronal Shear Fractures of the Distal Humerus: Report of Three Cases and Review of the Literature. World J. Clin. Cases 2021, 9, 4318–4326. [Google Scholar] [CrossRef]
- Imatani, J.; Morito, Y.; Hashizume, H.; Inoue, H. Internal Fixation for Coronal Shear Fracture of the Distal End of the Humerus by the Anterolateral Approach. J. Shoulder Elb. Surg. 2001, 10, 554–556. [Google Scholar] [CrossRef] [PubMed]
- Ravishankar, M.R.; Kumar, M.N.; Raut, R. Choice of Surgical Approach for Capitellar Fractures Based on Pathoanatomy of Fractures: Outcomes of Surgical Management. Eur. J. Orthop. Surg. Traumatol. Orthop. Traumatol. 2017, 27, 233–242. [Google Scholar] [CrossRef]
- Hotchkiss, R.; Kasparyan, G. The Medial “Over the Top” Approach to the Elbow. Tech. Orthop. 2000, 15, 105–112. [Google Scholar] [CrossRef]
- Mighell, M.A.; Harkins, D.; Klein, D.; Schneider, S.; Frankle, M. Technique for Internal Fixation of Capitellum and Lateral Trochlea Fractures. J. Orthop. Trauma 2006, 20, 699–704. [Google Scholar] [CrossRef]
- Wolfson, T.S.; Lowe, D.; Egol, K.A. Capitellum Fracture Open Reduction and Internal Fixation with Headless Screws. J. Orthop. Trauma 2019, 33 (Suppl. 1), S5–S6. [Google Scholar] [CrossRef]
- Matache, B.A.; Culliton, K.; Chang, Y.; Cron, G.O.; Louati, H.; Pollock, J.W. Lateral Trochlear Ridge: A Non-Articulating Zone for Anterior-to-Posterior Screw Placement in Fractures Involving the Capitellum and Trochlea. J. Bone Jt. Surg. Am. Vol. 2019, 101, e75. [Google Scholar] [CrossRef]
- Elkowitz, S.J.; Polatsch, D.B.; Egol, K.A.; Kummer, F.J.; Koval, K.J. Capitellum Fractures: A Biomechanical Evaluation of Three Fixation Methods. J. Orthop. Trauma 2002, 16, 503–506. [Google Scholar] [CrossRef] [PubMed]
- Elkowitz, S.J.; Kubiak, E.N.; Polatsch, D.; Cooper, J.; Kummer, F.J.; Koval, K.J. Comparison of Two Headless Screw Designs for Fixation of Capitellum Fractures. Bul. NYU Hosp. Jt. Dis. 2003, 61, 123. [Google Scholar]
- Singh, A.P.; Singh, A.P.; Vaishya, R.; Jain, A.; Gulati, D. Fractures of Capitellum: A Review of 14 Cases Treated by Open Reduction and Internal Fixation with Herbert Screws. Int. Orthop. 2010, 34, 897–901. [Google Scholar] [CrossRef] [Green Version]
- Mahirogullari, M.; Kiral, A.; Solakoglu, C.; Pehlivan, O.; Akmaz, I.; Rodop, O. Treatment of Fractures of the Humeral Capitellum Using Herbert Screws. J. Hand Surg. 2006, 31, 320–325. [Google Scholar] [CrossRef] [PubMed]
- Yu, T.; Tao, H.; Xu, F.; Hu, Y.; Zhang, C.; Zhou, G. Management of Isolated Coronal Shear Fractures of the Humeral Capitellum with Herbert Screw Fixation through Anterolateral Approach. BMC Musculoskelet. Disord. 2018, 19, 108. [Google Scholar] [CrossRef] [PubMed] [Green Version]
- Tarallo, L.; Novi, M.; Porcellini, G.; Giorgini, A.; Micheloni, G.; Catani, F. Surgical Tips and Tricks for Coronal Shear Fractures of the Elbow. Arch. Orthop. Trauma Surg. 2021, 141, 261–270. [Google Scholar] [CrossRef]
- Wagner, F.C.; Post, A.; Yilmaz, T.; Maier, D.; Neubauer, J.; Feucht, M.J.; Südkamp, N.P.; Reising, K. Biomechanical Comparison of Biodegradable Magnesium Screws and Titanium Screws for Operative Stabilization of Displaced Capitellar Fractures. J. Shoulder Elb. Surg. 2020, 29, 1912–1919. [Google Scholar] [CrossRef]
- Hirvensalo, E.; Böstman, O.; Partio, E.; Törmälä, P.; Rokkanen, P. Fracture of the Humeral Capitellum Fixed with Absorbable Polyglycolide Pins: 1-Year Follow-up of 8 Adults. Acta Orthop. 1993, 64, 85–86. [Google Scholar] [CrossRef] [Green Version]
- Poynton, A.R.; Kelly, I.P.; O’Rourke, S.K. Fractures of the Capitellum—A Comparison of Two Fixation Methods. Injury 1998, 29, 341–343. [Google Scholar] [CrossRef]
- Polat, O.; Arikan, M.; Güngör, S.; Karatas, M. Bilateral Capitellum Humeri Fracture; a Case Report. Acta Chir. Belg. 2009, 109, 647–650. [Google Scholar] [CrossRef]
- Demir, M.T.; Ertan Birsel, S.; Salih, M.; Pirinçci, Y.; Birsel, O.; Kesmezacar, H. Outcome after the Surgical Treatment of the Dubberley Type B Distal Humeral Capitellar and Trochlear Fractures with a Buttress Plate. Acta Orthop. Traumatol. Turc. 2020, 54, 364–371. [Google Scholar] [CrossRef] [PubMed]
- He, S.-K.; Zhao, S.-C.; Guo, J.-H.; Qin, T.-W.; Huang, F.-G. Combined Use of Kirschner Wires and Hinged External Fixator for Capitellar and Trochlear Fractures: A Minimum 24-Month Follow-Up. ANZ J. Surg. 2019, 89, 196–200. [Google Scholar] [CrossRef]
- Brouwer, K.M.; Jupiter, J.B.; Ring, D. Nonunion of Operatively Treated Capitellum and Trochlear Fractures. J. Hand Surg. 2011, 36, 804–807. [Google Scholar] [CrossRef]
- Yoshida, S.; Sakai, K.; Nakama, K.; Matsuura, M.; Okazaki, S.; Jimbo, K.; Shirahama, M.; Shiba, N. Treatment of Capitellum and Trochlea Fractures Using Headless Compression Screws and a Combination of Dorsolateral Locking Plates. Cureus 2021, 13, e13740. [Google Scholar] [CrossRef]
- Hu, X.; Xiang, M.; Yang, G.; Chen, H.; Tang, H. Operative Treatment of Dubberley Type 3B Capitulum-Trochlea Fractures. Chin. J. Reparative Reconstr. Surg. 2014, 28, 1194–1198. [Google Scholar]
- Song, Z.; Wang, Q.; Ma, T.; Wang, C.; Yang, N.; Xue, H.; Li, Z.; Zhu, Y.; Zhang, K. Anti-Sliding Plate Technique for Coronal Shear Fractures of the Distal Humerus. J. Orthop. Surg. Res. 2020, 15, 18. [Google Scholar] [CrossRef]
- Scapinelli, R. Treatment of Fractures of the Humeral Capitulum Using Fibrin Sealant. Arch. Orthop. Trauma Surg. 1990, 109, 235–237. [Google Scholar] [CrossRef]
- Kraan, G.A.; Krijnen, M.R.; Eerenberg, J.P. Internal Fixation for Coronal Shear Fracture of the Capitellum with Polylactide Resorbable Fixation. BMJ Case Rep. 2013, 2013, bcr2012006364. [Google Scholar] [CrossRef] [Green Version]
- Ashwood, N.; Verma, M.; Hamlet, M.; Garlapati, A.; Fogg, Q. Transarticular Shear Fractures of the Distal Humerus. J. Shoulder Elb. Surg. 2010, 19, 46–52. [Google Scholar] [CrossRef] [PubMed]
- Sommerson, M.; Morrey, B. Stabilizing the Osteochondritis Lesion. Tech. Orthop. 2016. [Google Scholar]
- Garcia, J.A.; Mykula, R.; Stanley, D. Complex Fractures of the Distal Humerus in the Elderly. The Role of Total Elbow Replacement as Primary Treatment. J. Bone Jt. Surg. Br. Vol. 2002, 84, 812–816. [Google Scholar] [CrossRef]
- Gambirasio, R.; Riand, N.; Stern, R.; Hoffmeyer, P. Total Elbow Replacement for Complex Fractures of the Distal Humerus. An Option for the Elderly Patient. J. Bone Jt. Surg. Br. Vol. 2001, 83, 974–978. [Google Scholar] [CrossRef]
- Athwal, G.S.; Goetz, T.J.; Pollock, J.W.; Faber, K.J. Prosthetic Replacement for Distal Humerus Fractures. Orthop. Clin. N. Am. 2008, 39, 201–212. [Google Scholar] [CrossRef]
- Morrey, M.E.; Morrey, B.F.; Sanchez-Sotelo, J.; Barlow, J.D.; O’Driscoll, S. A Review of the Surgical Management of Distal Humerus Fractures and Nonunions: From Fixation to Arthroplasty. J. Clin. Orthop. Trauma 2021, 20, 101477. [Google Scholar] [CrossRef]
- McKee, M.D.; Veillette, C.J.H.; Hall, J.A.; Schemitsch, E.H.; Wild, L.M.; McCormack, R.; Perey, B.; Goetz, T.; Zomar, M.; Moon, K.; et al. A Multicenter, Prospective, Randomized, Controlled Trial of Open Reduction—Internal Fixation versus Total Elbow Arthroplasty for Displaced Intra-Articular Distal Humeral Fractures in Elderly Patients. J. Shoulder Elb. Surg. 2009, 18, 3–12. [Google Scholar] [CrossRef]
- Dehghan, N.; Furey, M.; Schemitsch, L.; Ristevski, B.; Goetz, T.; Schemitsch, E.H.; Canadian Orthopaedic Trauma Society (COTS); McKee, M. Long-Term Outcomes of Total Elbow Arthroplasty for Distal Humeral Fracture: Results from a Prior Randomized Clinical Trial. J. Shoulder Elb. Surg. 2019, 28, 2198–2204. [Google Scholar] [CrossRef] [PubMed]
- Prasad, N.; Dent, C. Outcome of Total Elbow Replacement for Distal Humeral Fractures in the Elderly: A Comparison of Primary Surgery and Surgery after Failed Internal Fixation or Conservative Treatment. J. Bone Jt. Surg. Br. Vol. 2008, 90, 343–348. [Google Scholar] [CrossRef] [Green Version]
- Kamineni, S.; Morrey, B.F. Distal Humeral Fractures Treated with Noncustom Total Elbow Replacement. J. Bone Jt. Surg. Am. Vol. 2004, 86, 940–947. [Google Scholar] [CrossRef] [PubMed]
- Ducrot, G.; Ehlinger, M.; Adam, P.; di Marco, A.; Clavert, P.; Bonnomet, F. Complex Fractures of the Distal Humerus in the Elderly: Is Primary Total Elbow Arthroplasty a Valid Treatment Alternative? A Series of 20 Cases. Orthop. Traumatol. Surg. Res. OTSR 2013, 99, 10–20. [Google Scholar] [CrossRef] [Green Version]
- Jukes, C.P.; Dirckx, M.; Phadnis, J. Current Concepts in Distal Humeral Hemiarthroplasty. J. Clin. Orthop. Trauma 2021, 19, 224–230. [Google Scholar] [CrossRef] [PubMed]
- Schultzel, M.; Scheidt, K.; Klein, C.; Narvy, S.J.; Lee, B.K.; Itamura, J.M. Hemiarthroplasty for the Treatment of Distal Humeral Fractures: Midterm Clinical Results. J. Shoulder Elb. Surg. Board Trustees 2017, 26, 389–393. [Google Scholar] [CrossRef] [PubMed]
- Rangarajan, R.; Papandrea, R.F.; Cil, A. Distal Humeral Hemiarthroplasty versus Total Elbow Arthroplasty for Acute Distal Humeral Fractures. Orthopedics 2017, 40, 13–23. [Google Scholar] [CrossRef] [Green Version]
- Desai, S.J.; Lalone, E.; Athwal, G.S.; Ferreira, L.M.; Johnson, J.A.; King, G.J.W. Hemiarthroplasty of the Elbow: The Effect of Implant Size on Joint Congruency. J. Shoulder Elb. Surg. 2016, 25, 297–303. [Google Scholar] [CrossRef]
- Chang, N.; King, G.J.W. Elbow Hemiarthroplasty for the Treatment of Distal Humerus Fractures. Orthop. Clin. N. Am. 2020, 51, 265–277. [Google Scholar] [CrossRef] [PubMed]
- Burkhart, K.J.; Nijs, S.; Mattyasovszky, S.G.; Wouters, R.; Gruszka, D.; Nowak, T.E.; Rommens, P.M.; Müller, L.P. Distal Humerus Hemiarthroplasty of the Elbow for Comminuted Distal Humeral Fractures in the Elderly Patient. J. Trauma 2011, 71, 635–642. [Google Scholar] [CrossRef] [PubMed] [Green Version]
- Adolfsson, L.; Nestorson, J. The Kudo Humeral Component as Primary Hemiarthroplasty in Distal Humeral Fractures. J. Shoulder Elb. Surg. 2012, 21, 451–455. [Google Scholar] [CrossRef] [PubMed]
- Parsons, M.; O’Brien, R.J.; Hughes, J.S. Elbow Hemiarthroplasty for Acute and Salvage Reconstruction of Intra-Articular Distal Humerus Fractures. Tech. Shoulder Elb. Surg. 2005, 6, 87–97. [Google Scholar] [CrossRef]
- Phadnis, J.; Watts, A.C.; Bain, G.I. Elbow Hemiarthroplasty for the Management of Distal Humeral Fractures: Current Technique, Indications and Results. Shoulder Elb. 2016, 8, 171–183. [Google Scholar] [CrossRef] [Green Version]
- Al-Hamdani, A.; Rasmussen, J.V.; Holtz, K.; Olsen, B.S. Elbow Hemiarthroplasty versus Open Reduction and Internal Fixation for AO/OTA Type 13 C2 and C3 Fractures of Distal Humerus in Patients Aged 50 Years or above: A Randomized Controlled Trial. Trials 2020, 21, 497. [Google Scholar] [CrossRef]
- Schmidt, I. A Complicated Course of a Coronal Shear Fracture Type IV of the Distal Part of Humerus Resulting in Resurfacing Radiocapitellar Joint Replacement. Open Orthop. J. 2017, 11, 248–254. [Google Scholar] [CrossRef]
- Garner, M.R.; Schottel, P.C.; Hotchkiss, R.N.; Daluiski, A.; Lorich, D.G. Capitellum Fracture Fragment Excision: A Case Series. HSS J. 2015, 11, 204–208. [Google Scholar] [CrossRef] [Green Version]
- Dunning, C.E.; Zarzour, Z.D.S.; Patterson, S.D.; Johnson, J.A.; King, G.J.W. Muscle Forces and Pronation Stabilize the Lateral Ligament Deficient Elbow. Clin. Orthop. Relat. Res. 2001, 388, 118–124. [Google Scholar] [CrossRef]
- Armstrong, A.D.; Dunning, C.E.; Faber, K.J.; Duck, T.R.; Johnson, J.A.; King, G.J.W. Rehabilitation of the Medial Collateral Ligament-Deficient Elbow: An in Vitro Biomechanical Study. J. Hand Surg. 2000, 25, 1051–1057. [Google Scholar] [CrossRef] [Green Version]
- Carroll, M.J.; Athwal, G.S.; King, G.J.W.; Faber, K.J. Capitellar and Trochlear Fractures. Hand Clin. 2015, 31, 615–630. [Google Scholar] [CrossRef] [PubMed]
- Yari, S.S. Management of Distal Humeral Coronal Shear Fractures. World J. Clin. Cases 2015, 3, 405. [Google Scholar] [CrossRef]
- Bellato, E.; Fitzsimmons, J.S.; Kim, Y.; Bachman, D.R.; Berglund, L.J.; Hooke, A.W.; O’Driscoll, S.W. Articular Contact Area and Pressure in Posteromedial Rotatory Instability of the Elbow. J. Bone Jt. Surg. Am. Vol. 2018, 100, e43. [Google Scholar] [CrossRef]
- Pollock, J.W.; Brownhill, J.; Ferreira, L.; McDonald, C.P.; Johnson, J.; King, G. The Effect of Anteromedial Facet Fractures of the Coronoid and Lateral Collateral Ligament Injury on Elbow Stability and Kinematics. J. Bone Jt. Surg. Am. Vol. 2009, 91, 1448–1458. [Google Scholar] [CrossRef]
- Dunning, C.E.; Zarzour, Z.D.; Patterson, S.D.; Johnson, J.A.; King, G.J. Ligamentous Stabilizers against Posterolateral Rotatory Instability of the Elbow. J. Bone Jt. Surg. Am. Vol. 2001, 83, 1823–1828. [Google Scholar] [CrossRef] [PubMed]
- Morrey, B.F.; Sanchez-Sotelo, J.; Morrey, M.E. Linked Elbow Arthroplasty: Rationale, Design, Concept, and Surgical Technique. In Morrey’s the Elbow and Its Disorders, 5th ed.; Elsevier: Amsterdam, The Netherlands, 2018. [Google Scholar]
- Karrasch, C.K.; Smith, E.J.; Armstrong, A.D. Distal Humerus Articular Malunion after an Open Reduction-Internal Fixation of a Capitellum-Trochlea Shear Fracture: A Case Report. J. Shoulder Elb. Surg. 2016, 25, e55–e60. [Google Scholar] [CrossRef] [PubMed]
- Sano, S.; Rokkaku, T.; Saito, S.; Tokunaga, S.; Abe, Y.; Moriya, H. Herbert Screw Fixation of Capitellar Fractures. J. Shoulder Elb. Surg. 2005, 14, 307–311. [Google Scholar] [CrossRef]









Publisher’s Note: MDPI stays neutral with regard to jurisdictional claims in published maps and institutional affiliations. |
© 2022 by the authors. Licensee MDPI, Basel, Switzerland. This article is an open access article distributed under the terms and conditions of the Creative Commons Attribution (CC BY) license (https://creativecommons.org/licenses/by/4.0/).
Share and Cite
Bellato, E.; Giai Via, R.; Bachman, D.; Zorzolo, I.; Marmotti, A.; Castoldi, F. Coronal Shear Fractures of the Distal Humerus. J. Funct. Morphol. Kinesiol. 2022, 7, 7. https://doi.org/10.3390/jfmk7010007
Bellato E, Giai Via R, Bachman D, Zorzolo I, Marmotti A, Castoldi F. Coronal Shear Fractures of the Distal Humerus. Journal of Functional Morphology and Kinesiology. 2022; 7(1):7. https://doi.org/10.3390/jfmk7010007
Chicago/Turabian StyleBellato, Enrico, Riccardo Giai Via, Daniel Bachman, Ilaria Zorzolo, Antonio Marmotti, and Filippo Castoldi. 2022. "Coronal Shear Fractures of the Distal Humerus" Journal of Functional Morphology and Kinesiology 7, no. 1: 7. https://doi.org/10.3390/jfmk7010007
APA StyleBellato, E., Giai Via, R., Bachman, D., Zorzolo, I., Marmotti, A., & Castoldi, F. (2022). Coronal Shear Fractures of the Distal Humerus. Journal of Functional Morphology and Kinesiology, 7(1), 7. https://doi.org/10.3390/jfmk7010007

