Genetic and Pathogenic Characterization of an Iridovirus from the Cultured Largemouth Bass Micropterus salmoides
Abstract
1. Introduction
2. Materials and Methods
2.1. Sample Collection
2.2. DNA Extraction
2.3. Virus Detection
2.4. Virus Proliferation
2.5. Transmission Electron Microscopy Analysis
2.6. Virus Titer Detection
2.7. Genome Sequencing, Assembly, and Annotation
2.8. Genome Analysis
2.9. Regressive Tests of the Isolated LMBV Strain
2.10. Pathological Analysis of the Tissues under LMBV Infection
2.11. Immune-Related Gene Expression Analysis under LMBV Infection
3. Results
3.1. Identification of the Etiological Agent
3.2. LMBV Proliferation and Titer Detection
3.3. Full-Length Genomic Sequencing and Phylogenetic Analysis
3.4. Gene Collinearity Analysis
3.5. Pathogenicity of the LMBV-GDSD in Largemouth Bass
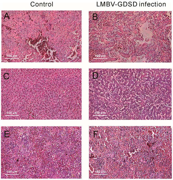
3.6. Histopathological Section Analysis under LMBV-GDSD Infection
3.7. LMBV-GDSD Infection Induced the Antiviral Immune-Related Gene Expression
4. Discussion
5. Conclusions
Supplementary Materials
Author Contributions
Funding
Institutional Review Board Statement
Informed Consent Statement
Data Availability Statement
Conflicts of Interest
References
- Eaton, H.E.; Ring, B.A.; Brunetti, C.R. The genomic diversity and phylogenetic relationship in the family Iridoviridae. Viruses 2010, 2, 1458–1475. [Google Scholar] [CrossRef] [PubMed]
- Leibovitz, L.; Koulish, S. A viral disease of the ivory barnacle, Balanus eburneus, Gould (Crustacea, Cirripedia). Biol. Bull. 1989, 176, 301–307. [Google Scholar] [CrossRef] [PubMed]
- Wang, G.; Luan, Y.; Wei, J.; Li, Y.; Shi, H.; Cheng, H.; Bai, A.; Xie, J.; Xu, W.; Qin, P. Genetic and pathogenic characterization of a new Iridovirus isolated from cage-cultured large yellow croaker (Larimichthys crocea) in China. Viruses 2022, 14, 208. [Google Scholar] [CrossRef] [PubMed]
- Whittington, R.J.; Becker, J.A.; Dennis, M.M. Iridovirus infections in finfish-critical review with emphasis on ranaviruses. J. Fish Dis. 2010, 33, 95–122. [Google Scholar] [CrossRef] [PubMed]
- Papp, T.; Marschang, R.E. Detection and characterization of invertebrate iridoviruses found in reptiles and prey insects in Europe over the past two decades. Viruses 2019, 11, 600. [Google Scholar] [CrossRef] [PubMed]
- Huang, Y.H.; Huang, X.H.; Liu, H.; Gong, J.; Ouyang, Z.L.; Cui, H.C.; Cao, J.H.; Zhao, Y.T.; Wang, X.J.; Jiang, Y.L.; et al. Complete sequence determination of a novel reptile iridovirus isolated from soft-shelled turtle and evolutionary analysis of Iridoviridae. BMC Genom. 2009, 10, 224. [Google Scholar] [CrossRef]
- Stöhr, A.C.; López-Bueno, A.; Blahak, S.; Caeiro, M.F.; Rosa, G.M.; de Matos, A.P.A.; Martel, A.; Alejo, A.; Marschang, R.E. Phylogeny and differentiation of reptilian and amphibian Ranaviruses detected in Europe. PLoS ONE 2015, 10, e0118633. [Google Scholar] [CrossRef] [PubMed]
- Johnson, A.J.; Pessier, A.P.; Wellehan, J.F.X.; Childress, A.; Norton, T.M.; Stedman, N.L.; Bloom, D.C.; Belzer, W.; Titus, V.R.; Wagner, R.; et al. Ranavirus infection of free-ranging and captive box turtles and tortoises in the United States. J. Wildl. Dis. 2008, 44, 851–863. [Google Scholar] [CrossRef]
- Ma, D.; Bai, J.; Deng, G.; Li, S.; Ye, X.; Jiang, X. Sequence analysis of MCP gene from largemouth bass ulcerative syndrome virus and rapid detection by PCR assay. J. Fish. Sci. China 2010, 17, 1149–1156. [Google Scholar]
- Grizzle, J.M.; Altinok, I.; Fraser, W.A.; Francis-Floyd, R. First isolation of largemouth bass virus. Dis. Aquat. Org. 2002, 50, 233–235. [Google Scholar] [CrossRef]
- Plumb, J.A.; Grizzle, J.M.; Young, H.E.; Noyes, A.D.; Lamprecht, S. An iridovirus isolated from wild largemouth bass. J. Aquat. Anim. Health 1996, 8, 265–270. [Google Scholar] [CrossRef]
- Jin, Y.; Bergmann, S.M.; Mai, Q.; Yang, Y.; Liu, W.; Sun, D.; Chen, Y.; Yu, Y.; Liu, Y.; Cai, W.; et al. Simultaneous isolation and identification of largemouth bass virus and Rhabdovirus from moribund largemouth bass (Micropterus salmoides). Viruses 2022, 14, 1643. [Google Scholar] [CrossRef]
- Deng, G.; Xie, J.; Li, S.; Bai, J.; Chen, K.; Ma, D.; Jiang, X.; Lao, H. Isolation and preliminary identification of the pathogen from largemouth bass ulcerative syndrome. J. Fish. China 2009, 33, 871–877. [Google Scholar]
- Zou, P.F.; Tang, J.C.; Li, Y.; Feng, J.J.; Zhang, Z.P.; Wang, Y.L. MAVS splicing variants associated with TRAF3 and TRAF6 in NF-κB and IRF3 signaling pathway in large yellow croaker (Larimichthys crocea). Dev. Comp. Immunol. 2021, 121, 104076. [Google Scholar] [CrossRef] [PubMed]
- Zhang, J.X.; Li, Y.; Tang, J.C.; Li, K.Q.; Shen, J.J.; Liu, C.; Jiang, Y.H.; Zhang, Z.P.; Wang, Y.L.; Zou, P.F. SARM suppresses TRIF, TRAF3, and IRF3/7 mediated antiviral signaling in large yellow croaker (Larimichthys crocea). Front. Immunol. 2023, 13, 1021443. [Google Scholar] [CrossRef]
- Jiang, J.; Li, Y.; Li, K.Q.; Shen, Y.J.; Li, F.; Wang, Y.L.; Jiang, Y.H.; Zou, P.F. Functional characterization of RIP2 in large yellow croaker (Larimichthys crocea), a protein involved in the host antiviral responses via NF-kappaB, IRF3/7 related signaling. Fish Shellfish Immunol. 2024, 145, 109374. [Google Scholar] [CrossRef]
- Chen, Y.; Li, Y.; Li, P.T.; Luo, Z.H.; Zhang, Z.P.; Wang, Y.L.; Zou, P.F. Novel findings in teleost TRAF4, a protein acts as an enhancer in TRIF and TRAF6 mediated antiviral and inflammatory signaling. Front. Immunol. 2022, 13, 944528. [Google Scholar] [CrossRef] [PubMed]
- Chen, Y.X.; Chen, Y.S.; Shi, C.M.; Huang, Z.B.; Zhang, Y.; Li, S.K.; Li, Y.; Ye, J.; Yu, C.; Li, Z.; et al. SOAPnuke: A MapReduce acceleration-supported software for integrated quality control and preprocessing of high-throughput sequencing data. Gigascience 2017, 7, gix120. [Google Scholar] [CrossRef]
- Peng, Y.; Leung, H.C.M.; Yiu, S.M.; Chin, F.Y.L. IDBA-UD: A de novo assembler for single-cell and metagenomic sequencing data with highly uneven depth. Bioinformatics 2012, 28, 1420–1428. [Google Scholar] [CrossRef]
- Bankevich, A.; Nurk, S.; Antipov, D.; Gurevich, A.A.; Dvorkin, M.; Kulikov, A.S.; Lesin, V.M.; Nikolenko, S.I.; Pham, S.; Prjibelski, A.D.; et al. SPAdes: A new genome assembly algorithm and its applications to single-cell sequencing. J. Comput. Biol. 2012, 19, 455–477. [Google Scholar] [CrossRef]
- Li, D.H.; Luo, R.B.; Liu, C.M.; Leung, C.M.; Ting, H.F.; Sadakane, K.; Yamashita, H.; Lam, T.W. MEGAHIT v1.0: A fast and scalable metagenome assembler driven by advanced methodologies and community practices. Methods 2016, 102, 3–11. [Google Scholar] [CrossRef] [PubMed]
- Li, H.; Durbin, R. Fast and accurate short read alignment with Burrows-Wheeler transform. Bioinformatics 2009, 25, 1754–1760. [Google Scholar] [CrossRef] [PubMed]
- Katoh, K.; Misawa, K.; Kuma, K.; Miyata, T. MAFFT: A novel method for rapid multiple sequence alignment based on fast Fourier transform. Nucleic Acids Res. 2002, 30, 3059–3066. [Google Scholar] [CrossRef] [PubMed]
- Kumar, S.; Stecher, G.; Tamura, K. MEGA7: Molecular evolutionary genetics analysis version 7.0 for bigger datasets. Mol. Biol. Evol. 2016, 33, 1870–1874. [Google Scholar] [CrossRef] [PubMed]
- Grant, J.R.; Enns, E.; Marinier, E.; Mandal, A.; Herman, E.K.; Chen, C.Y.; Graham, M.; Van Domselaar, G.; Stothard, P. Proksee: In-depth characterization and visualization of bacterial genomes. Nucleic Acids Res. 2023, 51, W484–W492. [Google Scholar] [CrossRef] [PubMed]
- Darling, A.C.; Mau, B.; Blattner, F.R.; Perna, N.T. Mauve: Multiple alignment of conserved genomic sequence with rearrangements. Genome Res. 2004, 14, 1394–1403. [Google Scholar] [CrossRef]
- Livak, K.J.; Schmittgen, T.D. Analysis of relative gene expression data using real-time quantitative PCR and the 2(-Delta Delta C(T)) Method method. Methods 2001, 25, 402–408. [Google Scholar] [CrossRef]
- Jancovich, J.K.; Steckler, N.K.; Waltzek, T.B. Ranavirus taxonomy and phylogeny. In Ranaviruses: Lethal Pathogens of Ectothermic Vertebrates; Gray, M.J., Chinchar, V.G., Eds.; Springer International Publishing: Cham, Switzerland, 2015; pp. 59–70. [Google Scholar]
- Grant, E.C.; Philipp, D.P.; Inendino, K.R.; Goldberg, T.L. Effects of temperature on the susceptibility of largemouth bass to largemouth bass virus. J. Aquat. Anim. Health 2003, 15, 215–220. [Google Scholar] [CrossRef]
- Hou, G.; Lv, Z.; Liu, W.; Xiong, S.; Zhang, Q.; Li, C.; Wang, X.; Hu, L.; Ding, C.; Song, R. An aquatic virus exploits the IL6-STAT3-HSP90 signaling axis to promote viral entry. PLoS Pathog. 2023, 19, e1011320. [Google Scholar]
- Boonthai, T.; Loch, T.P.; Yamashita, C.J.; Smith, G.D.; Winters, A.D.; Kiupel, M.; Brenden, T.O.; Faisal, M. Laboratory investigation into the role of largemouth bass virus (Ranavirus, Iridoviridae) in smallmouth bass mortality events in Pennsylvania rivers. BMC Vet. Res. 2018, 14, 62. [Google Scholar] [CrossRef]












| Primer Name | Accession No. | Sequence (5′ → 3′) | Application |
|---|---|---|---|
| ISKNV-MCP-F | NC_003494.1 | CCTTAATTTGCCCATTCCCCTCTTC | ISKNV detection |
| ISKNV-MCP-R | AGTAGTCTACTCCCATCTGGTGGAG | ||
| LYCIV-ATPase-F | AY779031.1 | ATTTGAATGCCAGCCTGAGG | LYCIV detection |
| LYCIV-ATPase-R | TGTGCACTTGCTTACACCAC | ||
| LYCIV-MCP-F | KY765672.1 | TGCTAATTTCGGCCAGGAGT | LYCIV detection |
| LYCIV-MCP-R | CGCATGCCAATCATCTTGTT | ||
| FV3-MCP-F | DQ897669.1 | CGCAGTCAAGGCCTTGATGT | FV3 detection |
| FV3-MCP-R | AAAGACCCGTTTTGCAGCAAAC | ||
| LMBV-ATPase-F | AF462345.1 | ATGTACTACTTAAAACAAGATATGG | LMBV detection |
| LMBV-ATPase-R | CTCGTCGTCAGTCTCGCT | ||
| LMBV-RNRβS-F | UUY86245.1 | AAAGGTGTAGAGCATACGGTG | LMBV detection |
| LMBV-RNRβS-R | TCCCCCTCATAAAATCCAG | ||
| LMBV-MCP-F | ON418985.1 | ATGTCTTCTGTTACGGGTTCTG | LMBV detection |
| LMBV-MCP-R | CAGGATGGGGAAACCCAT | ||
| SGIV-MCP-F | AAS18179.1 | TGGCCACGTACGACAATCTC | SGIV detection |
| SGIV-MCP-R | GCGCCGAGCCTATTTGTATC | ||
| LCDV-C-MCP-F | AAS47819.1 | CAACCTCTAACTATTCCAAGTCCTA | LCDV detection |
| LCDV-C-MCP-R | AAGTATTTCCACCATTACCACC | ||
| SHIV-MCP-F | KY990032.1 | CCGTCCTCAACCCAAATC | SHIV detection |
| SHIV-MCP-R | TGGCTTCACCTTCACCCT | ||
| q-LMBV-MCP-F | ON418985.1 | CCTGTTGTTGGAGCGGGTAA | qRT-PCR |
| q-LMBV-MCP-R | GGAATGGCGGGTGCGTAGT | ||
| qMs-β-actin-F | NC_040022.1 | AAAGGGAAATCGTGCGTGAC | qRT-PCR |
| qMs-β-actin-R | AAGGAAGGCTGGAAGAGGG | ||
| qMs-IRF3-F | NC_040026.1 | TCTCATCTTTAAGGCGTGGGC | qRT-PCR |
| qMs-IRF3-R | GGGGTTAGCGGTGTCGTTC | ||
| qMs-IRF7-F | NC_040031.1 | AGAAAGCTGCCCCAGAATACC | qRT-PCR |
| qMs-IRF7-R | GAGGGACCACCTTGACTACGAT | ||
| qMs-Mx-F | NW_020852758.1 | TAAAATGGCTGGGGTCGGGG | qRT-PCR |
| qMs-Mx-R | CATTGCACGGAACGACCACC |
Disclaimer/Publisher’s Note: The statements, opinions and data contained in all publications are solely those of the individual author(s) and contributor(s) and not of MDPI and/or the editor(s). MDPI and/or the editor(s) disclaim responsibility for any injury to people or property resulting from any ideas, methods, instructions or products referred to in the content. |
© 2024 by the authors. Licensee MDPI, Basel, Switzerland. This article is an open access article distributed under the terms and conditions of the Creative Commons Attribution (CC BY) license (https://creativecommons.org/licenses/by/4.0/).
Share and Cite
Zhang, Y.-F.; Li, Y.; Li, P.-T.; Jiang, J.; Zeng, W.-H.; Ye, K.; Wang, Y.-L.; Zou, P.-F. Genetic and Pathogenic Characterization of an Iridovirus from the Cultured Largemouth Bass Micropterus salmoides. Fishes 2024, 9, 314. https://doi.org/10.3390/fishes9080314
Zhang Y-F, Li Y, Li P-T, Jiang J, Zeng W-H, Ye K, Wang Y-L, Zou P-F. Genetic and Pathogenic Characterization of an Iridovirus from the Cultured Largemouth Bass Micropterus salmoides. Fishes. 2024; 9(8):314. https://doi.org/10.3390/fishes9080314
Chicago/Turabian StyleZhang, Yi-Fan, Ying Li, Peng-Tian Li, Jing Jiang, Wei-Hang Zeng, Kun Ye, Yi-Lei Wang, and Peng-Fei Zou. 2024. "Genetic and Pathogenic Characterization of an Iridovirus from the Cultured Largemouth Bass Micropterus salmoides" Fishes 9, no. 8: 314. https://doi.org/10.3390/fishes9080314
APA StyleZhang, Y.-F., Li, Y., Li, P.-T., Jiang, J., Zeng, W.-H., Ye, K., Wang, Y.-L., & Zou, P.-F. (2024). Genetic and Pathogenic Characterization of an Iridovirus from the Cultured Largemouth Bass Micropterus salmoides. Fishes, 9(8), 314. https://doi.org/10.3390/fishes9080314

