Effect of Replacing Fishmeal with Algal Meal on Growth Parameters and Meat Composition in Rainbow Trout (Oncorhynchus mykiss W.)
Abstract
1. Introduction
2. Materials and Methods
2.1. Recirculation System and Experimental Fish
2.2. Extrusion Treatment
- -
- Temperatures in the three zones of the extruder: t1 = 120 °C; t2 = 140 °C; t3 = 160 °C;
- -
- Working screw with a compression ratio K = 2:1;
- -
- Nozzle with internal diameter Do = 2 mm;
- -
- Feeding screw speed Nf = 40 min−1;
- -
- Working screw speed Nw = 140 min−1;
2.3. Hydrochemical Indicators
2.4. Growth Parameters of Experimental Fish
2.5. Histological Analyses
2.6. Chemical Composition of Fish Meat
2.7. Data Analysis
3. Results and Discussion
3.1. GrowthParameters
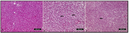
3.2. Histological and Micrometric Analyses
3.3. Chemical Composition of Meat
4. Conclusions
Author Contributions
Funding
Institutional Review Board Statement
Informed Consent Statement
Data Availability Statement
Conflicts of Interest
References
- Olaganathan, R.; Kar Mun, A. Impact of aquaculture on the livelihoods and food security of rural communities. Int. J. Fish. Aquat. Sci. 2017, 5, 278. [Google Scholar]
- Ocran, J.N. Feed resources and policy options on feed for aquaculture production in Africa: A review. Int. J. Fish. Aquat. Sci. 2020, 8, 19–23. [Google Scholar]
- Macusi, E.; Cayacay, M.; Borazon, E.; Sales, A.; Habib, A.; Fadli, N.; Santos, M. Protein Fishmeal Replacement in Aquaculture: A Systematic Review and Implications on Growth and Adoption Viability. Sustainability 2023, 15, 12500. [Google Scholar] [CrossRef]
- Oliva-Teles, A.; Enes, P.; Couto, A.; Peres, H. Replacing fish meal and fish oil in industrial fish feeds. Feed. Feed. Pract. Aquac. 2022, 231–268. [Google Scholar] [CrossRef]
- Naylor, R.L.; Hardy, R.W.; Buschmann, A.H.; Bush, S.R.; Cao, L.; Klinger, D.H.; Little, D.C.; Lubchenco, J.; Shumway, S.E.; Troell, M. A 20-Year Retrospective Review of Global Aquaculture. Nature 2021, 591, 551. [Google Scholar] [CrossRef] [PubMed]
- Hodar, A.; Vasava, R.; Mahavadiya, D.; Joshi, N. Fish meal and fish oil replacement for aqua feed formulation by using alternative sources: A review. J. Exp. Zool. India 2020, 23, 13–21. [Google Scholar]
- Hua, K.; Cobcroft, J.; Cole, A.; Condon, K.; Jerry, D.; Mangott, A.; Praeger, C.; Vucko, M.; Zeng, C.; Zenger, K.; et al. The future of aquatic protein: Implications for protein sources in aquaculture diets. One Earth 2019, 1, 316–329. [Google Scholar] [CrossRef]
- Tacon, A.; Webster, J.; Martinez, C. Use of solvent extracted sunflower seed meal in complete diets for fingerling rainbow trout (Salmo gairdneri Richardson). Aquaculture 1984, 43, 381–389. [Google Scholar] [CrossRef]
- Hughes, S.G. Use of lupin flour as a replacement for full-fat soy in diets for rainbow trout (Oncorhynchus mykiss). Aquaculture 1991, 93, 57–62. [Google Scholar] [CrossRef]
- Moyano, F.; Gardenete, G.; Higuera, M. Nutritive Value of Diets Containing a High Percentage of Vegetable Proteins for Trout, Oncorhynchus mykiss. Aquat. Living Resour. 1992, 5, 23–29. [Google Scholar] [CrossRef]
- Pongmaneerat, J.; Watanabe, T. Utilization of soybean meal as protein source in diets for rainbow trout. Agric. Food Sci. 1992, 58, 1983–1990. [Google Scholar] [CrossRef]
- Sanz, A.; Morales, A.; Higuera, M.; Cardenete, G. Sunflower meal compared with soybean meal as substitutes for fish meal in rainbow trout (Oncorhynchus mykiss) diets: Protein and energy utilization. Aquaculture 1994, 128, 287–300. [Google Scholar] [CrossRef]
- Morales, A.; Gardenete, G.; Higuera, M.; Sanz, A. Effects of dietary protein source on growth, feed conversation and energy utilization in rainbow trout, Oncorhynchus mykiss. Aquaculture 1994, 124, 117–126. [Google Scholar] [CrossRef]
- Gomes, E.; Rema, P.; Kaushik, S. Replacament of fish meal by plant proteins in the diet of rainbow trout (Oncorhynchus mykiss): Digestibility and growth performance. Aquaculture 1995, 130, 177–186. [Google Scholar] [CrossRef]
- Cheng, Z.; Hardy, R. Apparent digestibility coefficients and nutritional value of cottonseed meal for rainbow trout (Oncorhynchus mykiss). Aquaculture 2002, 212, 361–372. [Google Scholar] [CrossRef]
- Thiessen, D.; Campbell, G.; Tyler, R. Utilization of thin distillers’ solubles as a palatability enhancer in rainbow trout (Oncorhynchus mykiss) diets containing canola meal or air-classified pea protein. Aquac. Nutr. 2003, 9, 1–10. [Google Scholar] [CrossRef]
- Luo, L.; Xue, M.; Wu, X.; Cai, X.; Cao, H.; Liang, Y. Partial or total replacement of fishmeal by solvent-extracted cottonseed meal in diets for juvenile rainbow trout (Oncorhynchus mykiss). Aquac. Nutr. 2006, 12, 418–424. [Google Scholar] [CrossRef]
- Appler, H.; Jauncey, K. The utilization of a filamentous green alga (Cladophora glomerata (L) Kutzin) as a protein source in pelleted feeds for Sarotherodon (Tilapia) niloticus fingerlings. Aquaculture 1983, 30, 21–30. [Google Scholar] [CrossRef]
- Appler, H.N. Evaluation of Hydrodictyon reticulatum as protein source in feeds for Oreochromis (Tilapia) niloticus and Tilapia zillii. J. Fish Biol. 1985, 27, 327–334. [Google Scholar] [CrossRef]
- Chow, C.; Woo, N. Bioenergetic studies on an omnivorous fish, Oreochromis mossambicus: Evaluation of utilization of Spirulina algae in feed. In The Second Asian Fisheries Forum; Hirano, R., Hanyu, I., Eds.; Asian Fisheries Society: Manila, Philippines, 1990; pp. 291–294. [Google Scholar]
- Kalla, A.; Yoshimatsu, T.; Araki, T.; Zhang, D.; Yamamoto, T.; Sakamoto, S. Use of Porphyra spheroplasts as feed additive for red sea bream. Fish. Sci. 2008, 74, 104–108. [Google Scholar] [CrossRef]
- Valente, L.; Gouveia, A.; Rema, P.; Matos, J.; Gomes, E.; Pinto, I. Evaluation of three seaweeds Gracilaria bursa-pastoris, Ulva rigida and Gracilaria cornea as dietary ingredients in European sea bass (Dicentrarchus labrax) juveniles. Aquaculture 2006, 252, 85–91. [Google Scholar] [CrossRef]
- Tacon, A.; Rausin, N.; Kadari, M.; Cornelis, P. The food and feeding of marine finfish in floating net cages at the National Seafarming Development Centre, Lampung, Indonesia: Rabbitfish, Siganus canaliculatus (Park). Aquac. Fish. Manag. 1990, 21, 375–390. [Google Scholar] [CrossRef]
- Briggs, M.; Funge-Smith, S. The potential use of Gracilaria sp. meal in diets for juvenile Penaeus monodon Fabricius. Aquac. Res. 1996, 27, 345–354. [Google Scholar]
- Ansa, E.; Allotey, G.; Lubberding, H.; Ampofo, J.; Gijzen, H. Performance of a hybrid algal and duckweed pond system treating raw domestic wastewater. Ghana J. Sci. 2012, 52, 3–16. [Google Scholar]
- El-Sheekh, M.; Mahmoud, Y.; Abo-Shady, A.; Hamza, W. Efficacy of Rhodotorula glutinis and Spirulina platensis carotenoids in immunopotentiation of mice infected with Candida albicans SC5314 and Pseudomonas aeruginosa 35. Folia Microbiol. 2010, 55, 61–67. [Google Scholar] [CrossRef]
- Becker, E.W. Microalgae: Biotechnology and Microbiology; Cambridge Studies in Biotechnology, 10; Cambridge University Press: Cambridge, UK, 2008; pp. 124–146. [Google Scholar]
- Mendes, R.; Nobre, B.; Cardoso, M.; Pereira, A. Supercritical carbon dioxide extraction of compounds with pharmaceutical importance from microalgae. Inorganica Chim. Acta 2003, 356, 328–334. [Google Scholar] [CrossRef]
- Ahmad, J.; Fathurrahman, L.; Siti Hajar, A. Bath phytoremediation of aquaculture wastewater of Silver Barramundi (Lates calcarifer) utilizing green microalgae Chlorella sp. J. Fish. Aquat. Sci. 2013, 8, 516–525. [Google Scholar]
- Borowitzka, M.A. Biology of microalgae. In Microalgae in Health and Disease Prevention; Elsevier: Amsterdam, The Netherlands, 2018; pp. 23–72. [Google Scholar]
- Saharan, V.; Jood, S. Nutritional composition of Spirulina platensis powder and its acceptability in food products. Int. J. Adv. Res. 2017, 5, 2295–2300. [Google Scholar] [CrossRef]
- Hussein, E. Effect of seaweed supplemented diets on Nile tilapia, Oreochromis niloticus performance. Int. J. Fish. Aquat. Stud. 2017, 5, 205–210. [Google Scholar]
- Nguyen, M.; Fotedar, R.; Pham, H. Can shrimp hydrolysate improve the efficacy of meat and bone meal diet in juvenile giant trevally Caranx ignobilis? Aquac. Int. 2023, 32, 1909–1926. [Google Scholar] [CrossRef]
- Hussein, E.; Dabrowski, K.; El-Saidy, D.; Lee, B. Enhancing the growth of Nile tilapia larvae/juveniles by replacing plant (gluten) protein with algae protein. Aquacult. Res. 2013, 44, 937–949. [Google Scholar] [CrossRef]
- Niccolai, A.; Chini Zittelli, G.; Rodolfi, L.; Biondi, N.; Tredici, M.R. Microalgae of interest as food source: Biochemical composition and digestibility. Algal Res. 2019, 42, 101617. [Google Scholar] [CrossRef]
- Raji, A.; Jimoh, W.; Bakar, N.; Taufek, N.; Muin, H.; Alias, Z.; Milow, P.; Razak, S. Dietary use of Spirulina (Arthrospira) and Chlorella instead of fish meal on growth and digestibility of nutrients, amino acids and fatty acids by African catfish. J. Appl. Phycol. 2020, 32, 1763–1770. [Google Scholar] [CrossRef]
- Badwy, T.; Ibrahim, E.; Zeinhom, M. Partial replacement of fish meal with dried microalga (Chlorella spp. and Scenedesmus spp.) in Nile tilapia (Oreochromis niloticus) diets. In From the Pharaohs to the Future: Proceedings of the 8th International Symposium on Tilapia in Aquaculture; Egypt Ministry of Agriculture: Cairo, Egypt, 2008; pp. 801–810. [Google Scholar]
- Abdulrahman, N.; Ameen, H. Replacement of fishmeal with microalgae Spirulina on common carp weight gain, meat and sensitive composition and survival. Pak. J. Nutr. 2014, 13, 93–98. [Google Scholar] [CrossRef]
- Cherpokov, Y.; Sirakov, I.; Stoyanova, S.; Velichkova, K.; Simitchiev, A.; Nenov, V.; Slavov, T. The influence of Nu Pro® as a substitution of fish meal on the growth performance of rainbow trout (Oncorhynchus mykiss W.) cultivated in recirculating system. Bulg. J. Agric. Sci. 2020, 26, 223–231. [Google Scholar]
- Zhou, C.; Wu, H.; Tan, P.; Chi, Y.; Yang, H. Optimal dietary methionine requirement for juvenile cobia (Rachycentron canadum). Aquaculture 2006, 258, 551–557. [Google Scholar] [CrossRef]
- Van Hai, N. The use of medicinal plants as immunostimulants in aquaculture: A review. Aquaculture 2015, 446, 88–96. [Google Scholar] [CrossRef]
- Flores, G.; Hernández, L.; Araiza, M.; López, O. Effects of total replacement of fishmeal with spirulina powder and soybean meal on juvenile rainbow trout (Oncorhynchus mykiss Walbaum). Isr. J. Aquacul. Bamidgeh 2012, 64, 790. [Google Scholar]
- Xu, W.; Gao, Z.; Qi, Z.; Qiu, M.; Peng, J.; Shao, R. Effect of dietary Chlorella on the growth performance and physiological parameters of Gibel carp, Carassius auratus gibelio. Turk. J. Fish. Aquat. Sc. 2014, 14, 53–57. [Google Scholar]
- Cengic-Džomba, C.; Džomba, E.; Hadžic, D. An Overview of Using Algae Meal in Feeding Freshwater Fish Species. In 32nd Scientific-Expert Conference of Agriculture and Food Industry; Springer: Cham, Switzerland, 2023; pp. 171–182. [Google Scholar] [CrossRef]
- Raji, A.A.; Junaid, O.Q.; Milow, P.; Taufek, N.M.; Fada, A.M.; Kolawole, A.A.; Alias, Z.; Razak, S.A. Partial replacement of fishmeal with Spirulina platensis and Chlorella vulgaris and its effect on growth and body composition of African catfish Clarias gariepinus (Burchell 1822). Indian J. Fish. 2019, 66, 100–111. [Google Scholar] [CrossRef]
- Radhakrishnan, S.; Bhavan, P.; Seenivasan, C.; Muralisankar, T. Effect of dietary replacement of fishmeal with Chlorella vulgaris on growth performance, energy utilization and digestive enzymes in Macrobrachium rosenbergii postlarvae. Int. J. Fish. Aquac. 2016, 7, 62–70. [Google Scholar]
- Fadl, S.; ElGohary, M.; Elsadany, A.; Gad, D.; Hanaa, F.; El-Habashi, N. Contribution of microalgae-enriched fodder for the Nile tilapia to growth and resistance to infection with Aeromonas hydrophila. Algal Res. 2017, 27, 82–88. [Google Scholar] [CrossRef]
- Nandeesha, M.; Gangadhar, B.; Varghese, T.; Keshavanath, P. Effect of feeding Spirulina platensis on the growth, proximate composition and organoleptic quality of common carp. Cyprinus carpio L. Aquac. Res. 1998, 29, 305–312. [Google Scholar] [CrossRef]
- El-Sheekh, M.; El-Shourbagy, I.; Shalaby, S.; Hosny, S. Effect of feeding Arthrospira platensis (Spirulina) on growth and carcass composition of hybrid red tilapia (Oreochromis niloticus × Oreochromis mossambicus). Turk. J. Fish. Aquat. Sci. 2014, 14, 471–478. [Google Scholar] [CrossRef] [PubMed]
- James, R.; Sampath, K.; Thangarathinam, R.; Vasudevan, I. Effect of dietary spirulina level on growth, fertility, coloration and leucocyte count in red swordtail, Xiphophorus helleri. Isr. J. Aquac. Bamidgeh. 2006, 58, 97–104. [Google Scholar] [CrossRef]
- Khani, M.; Soltani, M.; Shamsaie Mehrjan, M.; Foroudi, F.; Ghaeni, M. The effects of Chlorella vulgaris supplementation on growth performance, blood characteristics and digestive enzymes in koi (Cyprinus carpio). Iran. J. Fish. Sci. 2017, 16, 832–843. [Google Scholar]
- Promya, J.; Chitmanat, C. The effects of Spirulina platensis and Cladophora Algae on the Growth Performance, Meat Quality and Immunity Stimulating Capacity of the African Sharptooth Catfish (Clarias gariepinus). Int. J. Agric. Biol. 2011, 13, 77–82. [Google Scholar]
- Rema, P.; Jorge, S.; Leite, F.; Basto, S. Efficacy of microalgae (Chlorella sp. and Spirulina sp.) and insect (Tenebrio molitor) meals as fishmeal replacers in feed for juvenile tench (Tinca tinca). Rev. Port. Zoot. 2021, 6, 37–48. [Google Scholar]
- Jobling, M. Nutrient partitioning and the influence of feed composition on body composition. In Food Intake in Fish; Houlihan, D., Boujard, T., Jobling, M., Eds.; Blackwell Science Ltd.: Oxford, UK, 2001; p. 414. [Google Scholar]
- Yılmaz, E.; Akyurt, İ.; Günal, G. Use of duckweed, Lemna minor, as a protein feedstuff in practical diets for common carp, Cyprinus carpio, fry. Turk. J. Fish. Aquat. Sci. 2004, 4, 18–25. [Google Scholar]




| Components, % | Groups | ||
|---|---|---|---|
| K | 50% | 100% | |
| Fish meal | 40 | 20 | - |
| Wheat | 19.2 | 5.44 | - |
| Soybean meal | 26 | 26.8 | 29 |
| Dicalcium phosphate | 2.0 | 2.5 | 2.9 |
| Salt | 0.3 | 0.3 | 0.3 |
| Sunflower meal | 12.0 | 12.0 | 12.0 |
| Spirulina | - | 10 | 20 |
| Chlorella | - | 10 | 20 |
| Bran | - | 10 | 10.06 |
| Lysine | - | 0.350 | 0.6 |
| Methionine | - | 0.110 | 0.140 |
| Chalk | - | 2.00 | 4.5 |
| Premix | 0.5 | 0.5 | 0.5 |
| Total: | 100 | 100 | 100 |
| Nutritional value: | |||
| Kcal/kg | 2819 | 2772 | 2832 |
| Protein, % | 41.91 | 41.70 | 41.75 |
| Calcium, % | 2.72 | 2.63 | 2.68 |
| Phosphorus, % | 1.97 | 1.58 | 1.10 |
| Absorbable phosphorus, % | 0.70 | 0.81 | 0.91 |
| Lysine, % | 2.72 | 2.74 | 2.67 |
| Methionine + cystine, % | 1.41 | 1.36 | 1.24 |
| Methionine, % | 0.93 | 0.99 | 0.96 |
| Parameters | n | ± SD | ||
|---|---|---|---|---|
| A (Control) | B (50%) | C (100%) | ||
| Temperature, °C | 60 | 17.0 ± 1.5 | 16.50 ± 1.7 | 16.30 ± 1.9 |
| Dissolved oxygen, mg·L−1 | 60 | 7.52 ± 0.74 | 7.97 ± 0.42 | 8.02 ± 0.22 |
| pH | 60 | 8.02 ± 0.21 | 7.90 ± 0.29 | 7.80 ± 0.32 |
| nitrates, mg·L−1 | 8 | 0.57 ± 0.13 | 0.49 ± 0.12 | 0.41 ± 0.16 |
| nitrites, mg·L−1 | 8 | 0.009 ± 0.01 | 0.007 ± 0.03 | 0.005 ± 0.01 |
| Electrical conductivity, μS·cm−1 | 60 | 589 ± 5.22 | 615.5 ± 5.00 | 635.5 ± 4.80 |
| Parameters | n | A (Control) | B (50%) | C (100%) |
|---|---|---|---|---|
| x ± SD | x ± SD | x ± SD | ||
| Initial body weight, g | 75 | 24.30 ± 7.3 | 24.16 ± 6.1 | 24.14 ± 6.8 |
| Final body weight, g | 75 | 49.52 ± 8.2 ab | 57.97 ± 7.9 a | 55.02 ± 12.1 b |
| Survival rate, % | 75 | 97.3% | 98.7% | 97.3% |
| Specific growth rate, %/day | 75 | 1.18 ± 0.02 a | 1.45 ± 0.06 b | 1.36 ± 0.13 |
| Average individual weight, g | 25.22 ± 0.5 a | 33.81 ± 2.1 b | 30.88 ± 4.4 | |
| FCR | 1.48 ± 0.15 | 1.07 ± 0.13 | 1.23 ± 0.18 |
| Experimental Group | Height of the Intestinal Epithelium (µm) | Height of the Villi (µm) | Crypt Depth (µm) | Thickness (µm) of the | ||||
|---|---|---|---|---|---|---|---|---|
| Lamina Propria mucosae | Lamina Muscularis mucosae | Tunica submucosa | Tunica muscularis Inner Layer | Tunica muscularis Outer Layer | ||||
| Control | 36.96 * ± 2.7 | 836.82 * ± 95.6 | 163.94 * ± 32.2 | 33.63 ± 4.3 | 38.03 ± 2.1 | 53.42 ± 7.1 | 767.51 * ± 84.4 | 52.84 ± 2.2 |
| 50% algae meal | 41.56 ± 4.3 | 895.23 ± 84.3 | 327.25 ± 24.4 | 48.87 ± 2.1 | 46.32 ± 3.2 | 54.45 ± 6.5 | 930.88 ± 75.5 | 97.25 ± 3.3 |
| 100% algae meal | 42.34 ± 3.7 | 897.42 ±5 9.5 | 328.25 ± 13.8 | 47.54 ± 4.1 | 46.52 ± 5.5 | 55.95 ± 4.2 | 929.25 ± 36.7 | 94.68 ± 1.2 |
| Parameters | n | A (Control) | B (50%) | C (100%) |
|---|---|---|---|---|
| Water | 6 | 74.23 ± 0.63 a | 76.17 ± 0.40 b | 76.15 ± 0.39 |
| Protein | 6 | 18.66 ± 0.29 | 18.88 ± 0.14 | 18.57 ± 0.16 |
| Lipids | 6 | 5.35 ± 0.21 ab | 3.40 ± 0.51 a | 3.65 ± 0.46 b |
| Crude ash | 6 | 1.75 ± 0.15 | 1.53 ± 0.09 | 1.62 ± 0.09 |
Disclaimer/Publisher’s Note: The statements, opinions and data contained in all publications are solely those of the individual author(s) and contributor(s) and not of MDPI and/or the editor(s). MDPI and/or the editor(s) disclaim responsibility for any injury to people or property resulting from any ideas, methods, instructions or products referred to in the content. |
© 2024 by the authors. Licensee MDPI, Basel, Switzerland. This article is an open access article distributed under the terms and conditions of the Creative Commons Attribution (CC BY) license (https://creativecommons.org/licenses/by/4.0/).
Share and Cite
Velichkova, K.; Sirakov, I.; Stoyanova, S.; Simitchiev, A.; Yovchev, D.; Stamatova-Yovcheva, K. Effect of Replacing Fishmeal with Algal Meal on Growth Parameters and Meat Composition in Rainbow Trout (Oncorhynchus mykiss W.). Fishes 2024, 9, 249. https://doi.org/10.3390/fishes9070249
Velichkova K, Sirakov I, Stoyanova S, Simitchiev A, Yovchev D, Stamatova-Yovcheva K. Effect of Replacing Fishmeal with Algal Meal on Growth Parameters and Meat Composition in Rainbow Trout (Oncorhynchus mykiss W.). Fishes. 2024; 9(7):249. https://doi.org/10.3390/fishes9070249
Chicago/Turabian StyleVelichkova, Katya, Ivaylo Sirakov, Stefka Stoyanova, Apostol Simitchiev, David Yovchev, and Kamelia Stamatova-Yovcheva. 2024. "Effect of Replacing Fishmeal with Algal Meal on Growth Parameters and Meat Composition in Rainbow Trout (Oncorhynchus mykiss W.)" Fishes 9, no. 7: 249. https://doi.org/10.3390/fishes9070249
APA StyleVelichkova, K., Sirakov, I., Stoyanova, S., Simitchiev, A., Yovchev, D., & Stamatova-Yovcheva, K. (2024). Effect of Replacing Fishmeal with Algal Meal on Growth Parameters and Meat Composition in Rainbow Trout (Oncorhynchus mykiss W.). Fishes, 9(7), 249. https://doi.org/10.3390/fishes9070249

