Toxicity of Low-Level Multiple-Mycotoxin Mixture in Nile Tilapia (Oreochromis niloticus) Is Prevented with Organically Modified Clinoptilolite Feed Additive
Abstract
1. Introduction
2. Materials and Methods
2.1. Animals and Experimental Conditions
2.2. Experimental Diets
2.3. Sample Collection
2.4. Growth Determination
2.5. Blood Sampling and Hematological Parameters
2.6. Biochemical Parameters
2.7. Histopathological Examination
2.8. Statistical Analysis
3. Results
3.1. Growth Performance
3.2. Hematological Parameters
3.3. Biochemical Parameters
3.4. Clinical Signs
3.5. Histopathological Examination
3.5.1. Histopathological Changes in Liver of Nile Tilapia
3.5.2. Histopathological Changes in Intestines of Nile Tilapia
3.5.3. Histopathological Changes in Posterior Kidney of Nile Tilapia
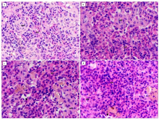
3.5.4. Histopathological Changes in Spleen of Nile Tilapia
4. Discussion
5. Conclusions
Supplementary Materials
Author Contributions
Funding
Institutional Review Board Statement
Informed Consent Statement
Data Availability Statement
Acknowledgments
Conflicts of Interest
List of Abbreviations
| AFB1 | aflatoxin B1 |
| FB | fumonisin B1 and B2 |
| ZEN | zearalenone |
| DON | deoxynivalenol |
| C | basal diet control |
| MZ | diet containing addition of 2 g/kg MinazelPlus® |
| MT | diet with multiple mycotoxins |
| MZ + MT | combination of MinazelPlus® and multiple mycotoxins |
References
- FAO. The State of World Fisheries and Aquaculture 2024. Blue Transformation in Action; FAO: Rome, Italy, 2024. [Google Scholar] [CrossRef]
- El-Sayed, A.F.M.; Fitzsimmons, K. From Africa to the world—The journey of Nile tilapia. Rev. Aquac. 2023, 15, 6–21. [Google Scholar] [CrossRef]
- FAO. The State of World Fisheries and Aquaculture 2022. Sustainability in Action; FAO: Rome, Italy, 2022. [Google Scholar] [CrossRef]
- Tacon, A.G. Trends in global aquaculture and aquafeed production: 2000–2017. Rev. Fish. Sci. Aquac. 2020, 28, 43–56. [Google Scholar] [CrossRef]
- Anater, A.; Manyes, L.; Meca, G.; Ferrer, E.; Luciano, F.B.; Pimpao, C.T.; Font, G. Mycotoxins and their consequences in aquaculture: A review. Aquaculture 2016, 451, 1–10. [Google Scholar] [CrossRef]
- Marijani, E.; Kigadye, E.; Okoth, S. Occurrence of fungi and mycotoxins in fish feeds and their impact on fish health. Int. J. Microbiol. 2019, 2019, 6743065. [Google Scholar] [CrossRef]
- Gonçalves, R.; Schatzmayr, D.; Hofstetter, U.; Santos, G. Occurrence of mycotoxins in aquaculture: Preliminary overview of Asian and European plant ingredients and finished feeds. World Mycotoxin J. 2017, 10, 183–194. [Google Scholar] [CrossRef]
- Gonçalves, R.A.; Naehrer, K.; Santos, G.A. Occurrence of mycotoxins in commercial aquafeeds in Asia and Europe: A real risk to aquaculture? Rev. Aquac. 2018, 10, 263–280. [Google Scholar] [CrossRef]
- Gruber-Dorninger, C.; Jenkins, T.; Schatzmayr, G. Global mycotoxin occurrence in feed: A ten-year survey. Toxins 2019, 11, 375. [Google Scholar] [CrossRef]
- Di Gregorio, M.C.; Neeff, D.V.; Jager, A.V.; Corassin, C.H.; Carão, Á.C.; Albuquerque, R.D.; Azevedo, A.C.; Oliveira, C.A. Mineral adsorbents for prevention of mycotoxins in animal feeds. Toxin Rev. 2014, 33, 125–135. [Google Scholar] [CrossRef]
- EC. Commission Regulation (EC) No 1881/2006 of 19 December 2006 setting maximum levels for certain contaminants in foodstuffs. Off. J. Eur. Union 2006, 364, 5–24. [Google Scholar]
- EC. Commission recommendation (EU) 2016/1319 of July 29, 2016 amending recommendation 2006/576/EC as regards deoxynivalenol, zearalenone and ochratoxin a in pet food. Off. J. Eur. Union 2016, 208, 58–60. [Google Scholar]
- Kolawole, O.; Graham, A.; Donaldson, C.; Owens, B.; Abia, W.A.; Meneely, J.; Alcorn, M.J.; Connolly, L.; Elliott, C.T. Low doses of mycotoxin mixtures below EU regulatory limits can negatively affect the performance of broiler chickens: A longitudinal study. Toxins 2020, 12, 433. [Google Scholar] [CrossRef] [PubMed]
- Tomašević-Čanović, M.; Daković, A.; Rottinghaus, G.; Matijašević, S.; Đuričić, M. Surfactant modified zeolites––New efficient adsorbents for mycotoxins. Microporous Mesoporous Mater. 2003, 61, 173–180. [Google Scholar] [CrossRef]
- Daković, A.; Tomašević-Čanović, M.; Dondur, V.; Rottinghaus, G.E.; Medaković, V.; Zarić, S. Adsorption of mycotoxins by organozeolites. Colloids Surf. B Biointerfaces 2005, 46, 20–25. [Google Scholar] [CrossRef] [PubMed]
- Kraljević Pavelić, S.; Simović Medica, J.; Gumbarević, D.; Filošević, A.; Pržulj, N.; Pavelić, K. Critical review on zeolite clinoptilolite safety and medical applications in vivo. Front. Pharmacol. 2018, 9, 1350. [Google Scholar] [CrossRef]
- Ariton, A.M.; Neculai Văleanu, A.S.; Sănduleanu, C.; Crivei, I.C.; Postolache, A.N.; Poroșnicu, I.; Mădescu, B.M.; Ungureanu, E.; Trincă, L.C. Applications of Clinoptilolite in Veterinary Medicine and Animal Husbandry. Sci. Pap. J. 2022, 65, 36–40. [Google Scholar]
- Kaya, D.; Genc, E.; Palić, D.; Genc, M.A.; Todorović, N.; Sevgili, H.; Vasiljević, M.; Kanyılmaz, M.; Guroy, D. Effect of dietary modified zeolite (clinoptilolite) on growth performance of gilthead sea bream (Sparus aurata) in the recirculating aquaculture system. Aquac. Res. 2022, 53, 1284–1292. [Google Scholar] [CrossRef]
- Obradović, S.; Vukašinović, M.; Šekler, M.; Rajković, M.; Kosanović, N. Adding zeolite ‘minazel-plus’ in feeding Oncorhynchus mykiss (Walbaum) and its influence on morphometrical characteristics. Vet. Glas. 2006, 60, 345–355. [Google Scholar] [CrossRef]
- Zahran, E.; Risha, E.; Hamed, M.; Ibrahim, T.; Palić, D. Dietary mycotoxicosis prevention with modified zeolite (Clinoptilolite) feed additive in Nile tilapia (Oreochromis niloticus). Aquaculture 2020, 515, 734562. [Google Scholar] [CrossRef]
- Fornari, D.; Peixoto, S.; Ksepka, S.P.; Bullard, S.A.; Rossi, W.; Dennis, N.E.; Davis, D.A. Effects of dietary mycotoxins and mycotoxin adsorbent additives on production performance, hematological parameters, and liver histology in juvenile Nile tilapia (Oreochromis niloticus). Front. Anim. Sci. 2023, 4, 1281722. [Google Scholar] [CrossRef]
- Matejova, I.; Svobodova, Z.; Vakula, J.; Mares, J.; Modra, H. Impact of mycotoxins on aquaculture fish species: A review. J. World Aquac. Soc. 2017, 48, 186–200. [Google Scholar] [CrossRef]
- Sampantamit, T.; Ho, L.; Lachat, C.; Sutummawong, N.; Sorgeloos, P.; Goethals, P. Aquaculture production and its environmental sustainability in Thailand: Challenges and potential solutions. Sustainability 2020, 12, 2010. [Google Scholar] [CrossRef]
- Hassaan, M.S.; Nssar, K.M.; Mohammady, E.Y.; Amin, A.; Tayel, S.I.; El-Haroun, E.R. Nano-zeolite efficiency to mitigate the aflatoxin B1 (AFB1) toxicity: Effects on growth, digestive enzymes, antioxidant, DNA damage and bioaccumulation of AFB1 residues in Nile tilapia (Oreochromis niloticus). Aquaculture 2020, 523, 735123. [Google Scholar] [CrossRef]
- Abd El-Hack, M.E.; El-Saadony, M.T.; Nader, M.M.; Salem, H.M.; El-Tahan, A.M.; Soliman, S.M.; Khafaga, A.F. Effect of environmental factors on growth performance of Nile tilapia (Oreochromis niloticus). Int. J. Biometeorol. 2022, 66, 2183–2194. [Google Scholar] [CrossRef] [PubMed]
- EU. DIRECTIVE 2010/63/EU on the protection of animals used for scientific purposes. EU Off. J. 2010, L 276, 33–79. Available online: https://faolex.fao.org/docs/pdf/eur98296.pdf (accessed on 1 September 2024).
- Eroglu, N.; Emekci, M.; Athanassiou, C.G. Applications of natural zeolites on agriculture and food production. J. Sci. Food Agric. 2017, 97, 3487–3499. [Google Scholar] [CrossRef]
- Thiex, N.; Novotny, L.; Crawford, A. Determination of ash in animal feed: AOAC official method 942.05 revisited. J. AOAC Int. 2012, 95, 1392–1397. [Google Scholar] [CrossRef]
- Ng, W.K.; Romano, N. A review of the nutrition and feeding management of farmed tilapia throughout the culture cycle. Rev. Aquac. 2013, 5, 220–254. [Google Scholar] [CrossRef]
- Sardar, P.; Singha, K.P.; Shamna, N.; Sahu, N. Recent advances in tilapia nutrition. In Proceedings of the Twelfth International Symposium on Tilapia in Aquaculture (ISTA 12), Chennai, India, 19–21 June 2019. [Google Scholar]
- Royes, J.-A.B.; Chapman, F.A. Preparing Your Own Fish Feeds: Cir 97/FA097, 2/2003. EDIS 2003, 2003, 1–9. [Google Scholar]
- Gonzalez, C.; Allan, G. Preparing Farm-Made Fish Feed; NSW Department of Primary Industries: Queanbeyan, Australia, 2007. [Google Scholar]
- Witeska, M.; Kondera, E.; Ługowska, K.; Bojarski, B. Hematological methods in fish–Not only for beginners. Aquaculture 2022, 547, 737498. [Google Scholar] [CrossRef]
- Meyers, T.R. Standard necropsy procedures for finfish. In NWFHS Laboratory Procedures Manual, 5th ed.; US Fish and Wildlife Service: Washington, DC, USA, 2009; pp. 64–74. [Google Scholar]
- Salkova, E.; Gela, D.; Pecherkova, P.; Flajshans, M. Examination of white blood cell indicators for three different ploidy level sturgeon species reared in an indoor recirculation aquaculture system for one year. Vet. Med. 2022, 67, 138–149. [Google Scholar] [CrossRef]
- Braceland, M.; Houston, K.; Ashby, A.; Matthews, C.; Haining, H.; Rodger, H.; Eckersall, P. Technical pre-analytical effects on the clinical biochemistry of Atlantic salmon (Salmo salar L.). J. Fish Dis. 2017, 40, 29–40. [Google Scholar] [CrossRef] [PubMed]
- Khor, L.; Delamare-Deboutteville, J.; Ali, S.; Chadag, V. Quick Fish Sampling Guide for Disease Diagnostics-Blood Sampling Guide; Worldfish: Penang, Malaysia, 2021. [Google Scholar]
- Mumford, S.L. Histology of Finfish; USFWS, Olympia Fish Health Center: Olympia, WA, USA, 2004. [Google Scholar]
- Hossain, M.K.; Hossain, M.D.; Rahman, M.H. Histopathology of some diseased fishes. J. Life Earth Sci. 2007, 2, 47–50. [Google Scholar] [CrossRef]
- Streit, E.; Schatzmayr, G.; Tassis, P.; Tzika, E.; Marin, D.; Taranu, I.; Tabuc, C.; Nicolau, A.; Aprodu, I.; Puel, O. Current situation of mycotoxin contamination and co-occurrence in animal feed—Focus on Europe. Toxins 2012, 4, 788–809. [Google Scholar] [CrossRef]
- Wielogórska, E.; MacDonald, S.; Elliott, C. A review of the efficacy of mycotoxin detoxifying agents used in feed in light of changing global environment and legislation. World Mycotoxin J. 2016, 9, 419–433. [Google Scholar] [CrossRef]
- Zachariasova, M.; Dzuman, Z.; Veprikova, Z.; Hajkova, K.; Jiru, M.; Vaclavikova, M.; Zachariasova, A.; Pospichalova, M.; Florian, M.; Hajslova, J. Occurrence of multiple mycotoxins in European feedingstuffs, assessment of dietary intake by farm animals. Anim. Feed. Sci. Technol. 2014, 193, 124–140. [Google Scholar] [CrossRef]
- Jakić-Dimić, D.; Jeremić, S.; Nešić, K.; Radosavljević, V. The influence of mycotoxins in food on fish health status. Zb. Matice Srp. Za Prir. Nauk. 2005, 109, 73–79. [Google Scholar] [CrossRef]
- Jestoi, M. Emerging Fusarium-mycotoxins fusaproliferin, beauvericin, enniatins, and moniliformin—A review. Crit. Rev. Food Sci. Nutr. 2008, 48, 21–49. [Google Scholar] [CrossRef]
- Wojnarowski, K.; Cholewińska, P.; Palić, D.; Bednarska, M.; Jarosz, M.; Wiśniewska, I. Estrogen receptors mediated negative effects of estrogens and xenoestrogens in teleost fishes. Int. J. Mol. Sci. 2022, 23, 2605. [Google Scholar] [CrossRef]
- Ruiz, M.-J.; Macáková, P.; Juan-García, A.; Font, G. Cytotoxic effects of mycotoxin combinations in mammalian kidney cells. Food Chem. Toxicol. 2011, 49, 2718–2724. [Google Scholar] [CrossRef]
- Hoseyni, S.Z.; Imani, A.; Vazirzadeh, A.; Moghanlou, K.S.; Farhadi, A.; Razi, M. Dietary aflatoxin B1 and zearalenone contamination affected growth performance, intestinal and hepatopancreas gene expression profiles and histology of the intestine and gill in goldfish, Carassius auratus. Aquac. Rep. 2024, 34, 101887. [Google Scholar] [CrossRef]
- José Mendes dos Reis, F.; Silva de Pádua Melo, E.; Marcos Jacques Barbosa, A.; de Cássia Avellaneda Guimarães, R.; Arunachalam, K.; Juliano Oliveira, R.; Carla Pinheiro Lima, A.; Fernanda Balestieri Mariano de Souza, M.; Carla Gomes Rosa, A.; Aratuza Pereira Ancel, M.; et al. Bentonite Clays as Adsorbent Material for Mycotoxins and the Hematological Parameters Involved in Tilapia Species: A Systematic Review. Aquac. Res. 2024, 2024, 4899256. [Google Scholar] [CrossRef]
- Pożarska, A.; Karpiesiuk, K.; Kozera, W.; Czarnik, U.; Dąbrowski, M.; Zielonka, Ł. AFB1 Toxicity in Human Food and Animal Feed Consumption: A Review of Experimental Treatments and Preventive Measures. Int. J. Mol. Sci. 2024, 25, 5305. [Google Scholar] [CrossRef] [PubMed]
- Koletsi, P.; Schrama, J.W.; Graat, E.A.; Wiegertjes, G.F.; Lyons, P.; Pietsch, C. The occurrence of mycotoxins in raw materials and fish feeds in Europe and the potential effects of deoxynivalenol (DON) on the health and growth of farmed fish species—A Review. Toxins 2021, 13, 403. [Google Scholar] [CrossRef] [PubMed]
- Magouz, F.; Salem, M.; Hashad, M. Effect of some mycotoxin on growth performance and feed utilization of Nile tilapia (Oreochromis niloticus). Iraqi J. Vet. Sci. 2018, 32, 99–108. [Google Scholar] [CrossRef]
- Accensi, F.; Pinton, P.; Callu, P.; Abella-Bourges, N.; Guelfi, J.-F.; Grosjean, F.; Oswald, I.P. Ingestion of low doses of deoxynivalenol does not affect hematological, biochemical, or immune responses of piglets. J. Anim. Sci. 2006, 84, 1935–1942. [Google Scholar] [CrossRef]
- Bhujel, R.C.; Perera, A.D.; Todorović, N.; Raj, J.; Gonçalves, R.A.; Vasiljević, M. Evaluation of an Organically Modified Clinoptilolite (OMC) and a Multi-Component Mycotoxin Detoxifying Agent (MMDA) on Survival, Growth, Feed Utilization and Disease Resistance of Nile Tilapia (Oreochromis niloticus) Fingerlings Fed with Low Aflatoxin. Aquac. J. 2023, 3, 56–69. [Google Scholar] [CrossRef]
- Tóth, Á.; Zomborszky-Kovács, M.; Tornyos, G.; Szalai, N.; Kübler, K. Effect of low doses of the mycotoxin fumonisin B1 on the body mass gain, feed intake and feed conversion rate of pigs. Agriculture 2000, 6, 149–151. [Google Scholar]
- Alinezhad, S.; Faridi, M.; Falahatkar, B.; Nabizadeh, R.; Davoodi, D. Effects of nanostructured zeolite and aflatoxin B1 in growth performance, immune parameters and pathological conditions of rainbow trout Oncorhynchus mykiss. Fish Shellfish Immunol. 2017, 70, 648–655. [Google Scholar] [CrossRef]
- Marijani, E.; Charo-Karisa, H.; Gnonlonfin, G.J.B.; Kigadye, E.; Okoth, S. Effects of aflatoxin B1 on reproductive performance of farmed Nile tilapia. Int. J. Vet. Sci. Med. 2019, 7, 35–42. [Google Scholar] [CrossRef]
- Esmaeili, N. Blood performance: A new formula for fish growth and health. Biology 2021, 10, 1236. [Google Scholar] [CrossRef]
- Fazio, F. Fish hematology analysis as an important tool of aquaculture: A review. Aquaculture 2019, 500, 237–242. [Google Scholar] [CrossRef]
- Witeska, M.; Kondera, E.; Bojarski, B. Hematological and hematopoietic analysis in fish toxicology—A review. Animals 2023, 13, 2625. [Google Scholar] [CrossRef] [PubMed]
- Saei, M.; Taee, H.; Siahpoust, S.; Taheri, M. Effects of toxin binder biotox on growth performance survival, enzymatic activity, Hematologichal and biochemical parameters of fingerlings rainbow trout (Oncorhynchus mykiss) fed diets-contaminated with aflatoxin. J. Aquac. Res. Dev. S 2017, 2, 2. [Google Scholar] [CrossRef]
- Raj, J.; Vasiljević, M.; Tassis, P.; Farkaš, H.; Bošnjak-Neumüller, J.; Männer, K. Effects of a modified clinoptilolite zeolite on growth performance, health status and detoxification of aflatoxin B1 and ochratoxin A in male broiler chickens. Br. Poult. Sci. 2021, 62, 601–610. [Google Scholar] [CrossRef]
- Tola, S.; Bureau, D.P.; Hooft, J.M.; Beamish, F.W.; Sulyok, M.; Krska, R.; Encarnação, P.; Petkam, R. Effects of wheat naturally contaminated with Fusarium mycotoxins on growth performance and selected health indices of red tilapia (Oreochromis niloticus× O. mossambicus). Toxins 2015, 7, 1929–1944. [Google Scholar] [CrossRef]
- Naiel, M.A.; Ismael, N.E.; Shehata, S.A. Ameliorative effect of diets supplemented with rosemary (Rosmarinus officinalis) on aflatoxin B1 toxicity in terms of the performance, liver histopathology, immunity and antioxidant activity of Nile Tilapia (Oreochromis niloticus). Aquaculture 2019, 511, 734264. [Google Scholar] [CrossRef]
- Deng, S.-X.; Tian, L.-X.; Liu, F.-J.; Jin, S.-J.; Liang, G.-Y.; Yang, H.-J.; Du, Z.-Y.; Liu, Y.-J. Toxic effects and residue of aflatoxin B1 in tilapia (Oreochromis niloticus× O. aureus) during long-term dietary exposure. Aquaculture 2010, 307, 233–240. [Google Scholar] [CrossRef]
- Selim, K.M.; El-hofy, H.; Khalil, R.H. The efficacy of three mycotoxin adsorbents to alleviate aflatoxin B 1-induced toxicity in Oreochromis niloticus. Aquac. Int. 2014, 22, 523–540. [Google Scholar] [CrossRef]
- Shahafve, S.; Banaee, M.; Haghi, B.N.; Mohiseni, M. Histopathological study of common carp (Cyprinus carpio) fed aflatoxin-contaminated diets. Int. J. Aquat. Biol. 2017, 5, 63–70. [Google Scholar] [CrossRef]
- Abu-Hassan, F.A.; Khalil, R.H.; Saad, T.T.; Amer, M.T.; Abdel-Latif, H.M. Histopathological outcomes designating the toxicological aspects of Fumonisin B1 on Cultured Nile Tilapia, Oreochromis niloticus. Int. J. Fish. Aquat. Stud. 2016, 4, 52–60. [Google Scholar]
- Huang, Y.; Han, D.; Xiao, X.; Zhu, X.; Yang, Y.; Jin, J.; Chen, Y.; Xie, S. Effect of dietary aflatoxin B1 on growth, fecundity and tissue accumulation in gibel carp during the stage of gonad development. Aquaculture 2014, 428, 236–242. [Google Scholar] [CrossRef]
- Tuan, N.A.; Grizzle, J.M.; Lovell, R.T.; Manning, B.B.; Rottinghaus, G.E. Growth and hepatic lesions of Nile tilapia (Oreochromis niloticus) fed diets containing aflatoxin B1. Aquaculture 2002, 212, 311–319. [Google Scholar] [CrossRef]
- Diab, A.M.; Salem, R.; Abeer, E.-K.M.; Ali, G.I.; El-Habashi, N. Experimental ochratoxicosis A in Nile tilapia and its amelioration by some feed additives. Int. J. Vet. Sci. Med. 2018, 6, 149–158. [Google Scholar] [CrossRef] [PubMed]
- Jain, S.K. Protective role of zeolite on short-and long-term lead toxicity in the teleost fish Heteropneustes fossilis. Chemosphere 1999, 39, 247–251. [Google Scholar] [CrossRef]






| Experimental Group | Diet |
|---|---|
| Control (C) | Basal diet |
| Mycotoxins (MT) | Basal diet + multiple mycotoxins * |
| MinazelPlus® (MZ) | Basal diet + 2 g/kg MinazelPlus® ** |
| MinazelPlus® and Mycotoxins (MZ + MT) | Basal diet + 2 g/kg MinazelPlus® ** + multiple mycotoxins * |
| Treatment | ||||
|---|---|---|---|---|
| C | MT | MZ | MZ + MT | |
| Weight gain (g) | 28.20 ± 4.31 | 22.21 ± 2.19 | 36.38 ± 5.41 | 26.48 ± 3.76 |
| Percentage weight gain (%) | 92.66 ± 14.16 | 72.98 ± 7.21 | 119.50 ± 17.79 | 87.00 ± 12.35 |
| Daily weight gain (g/day) | 0.67 ± 0.10 | 0.53 ± 0.05 | 0.87 ± 0.13 | 0.63 ± 0.09 |
| Specific growth rate (%/day) | 1.53 ± 0.19 | 1.29 ± 0.10 | 1.83 ± 0.20 | 1.47 ± 0.15 |
| Feed conversion ratio | 1.38 ± 0.32 | 1.58 ± 0.18 | 1.04 ± 0.19 | 1.38 ± 0.17 |
| Treatment | ||||
|---|---|---|---|---|
| C | MT | MZ | MZ + MT | |
| Total protein (g/L) | 27.90 ± 0.92 | 25.48 ± 1.06 | 29.07 ± 2.79 | 27.45 ± 1.16 |
| Albumin (g/L) | 9.55 ± 0.45 | 8.42 ± 0.49 | 9.97 ± 0.73 | 8.67 ± 0.55 |
| Globulin (g/L) | 18.35 ± 0.64 | 17.07 ± 0.61 | 19.11 ± 2.73 | 18.78 ± 0.76 |
| ALT (U/L) | 23.67 ± 3.33 | 29.83 ± 5.71 | 18.50 ± 2.28 | 26.33 ± 3.46 |
| AST (U/L) | 40.67 ± 2.99 | 50.83 ± 3.47 | 35.33 ± 5.61 | 41.83 ± 5.49 |
Disclaimer/Publisher’s Note: The statements, opinions and data contained in all publications are solely those of the individual author(s) and contributor(s) and not of MDPI and/or the editor(s). MDPI and/or the editor(s) disclaim responsibility for any injury to people or property resulting from any ideas, methods, instructions or products referred to in the content. |
© 2024 by the authors. Licensee MDPI, Basel, Switzerland. This article is an open access article distributed under the terms and conditions of the Creative Commons Attribution (CC BY) license (https://creativecommons.org/licenses/by/4.0/).
Share and Cite
Hussein, W.; Wojnarowski, K.; Cholewińska, P.; Thammatorn, W.; Szeligowska, N.; Todorović, N.; Baska, F.; Rojtinnakorn, J.; Palić, D. Toxicity of Low-Level Multiple-Mycotoxin Mixture in Nile Tilapia (Oreochromis niloticus) Is Prevented with Organically Modified Clinoptilolite Feed Additive. Fishes 2024, 9, 449. https://doi.org/10.3390/fishes9110449
Hussein W, Wojnarowski K, Cholewińska P, Thammatorn W, Szeligowska N, Todorović N, Baska F, Rojtinnakorn J, Palić D. Toxicity of Low-Level Multiple-Mycotoxin Mixture in Nile Tilapia (Oreochromis niloticus) Is Prevented with Organically Modified Clinoptilolite Feed Additive. Fishes. 2024; 9(11):449. https://doi.org/10.3390/fishes9110449
Chicago/Turabian StyleHussein, Wanvisa, Konrad Wojnarowski, Paulina Cholewińska, Worrayanee Thammatorn, Natalia Szeligowska, Nemanja Todorović, Ferenc Baska, Jiraporn Rojtinnakorn, and Dušan Palić. 2024. "Toxicity of Low-Level Multiple-Mycotoxin Mixture in Nile Tilapia (Oreochromis niloticus) Is Prevented with Organically Modified Clinoptilolite Feed Additive" Fishes 9, no. 11: 449. https://doi.org/10.3390/fishes9110449
APA StyleHussein, W., Wojnarowski, K., Cholewińska, P., Thammatorn, W., Szeligowska, N., Todorović, N., Baska, F., Rojtinnakorn, J., & Palić, D. (2024). Toxicity of Low-Level Multiple-Mycotoxin Mixture in Nile Tilapia (Oreochromis niloticus) Is Prevented with Organically Modified Clinoptilolite Feed Additive. Fishes, 9(11), 449. https://doi.org/10.3390/fishes9110449

