Antibody Preparation, Protein Expression, and Function Analysis of Cyp19a1b in Ovarian Differentiation in a Natural Triploid Teleost Qi River Crucian Carp (Carassius auratus)
Abstract
1. Introduction
2. Materials and Methods
2.1. Construction of pCold I-Cyp19a1b Recombinant Plasmid
2.2. Expression and Purification of Recombinant Cyp19a1b Protein
2.3. Production of Cyp19a1b Polyclonal Antibody
2.4. Antiserum Titer Determination by ELISA
2.5. Sample Collation
2.6. Western Blotting
2.7. Immunohistochemistry Analysis
2.8. Letrozole Treatment
3. Results
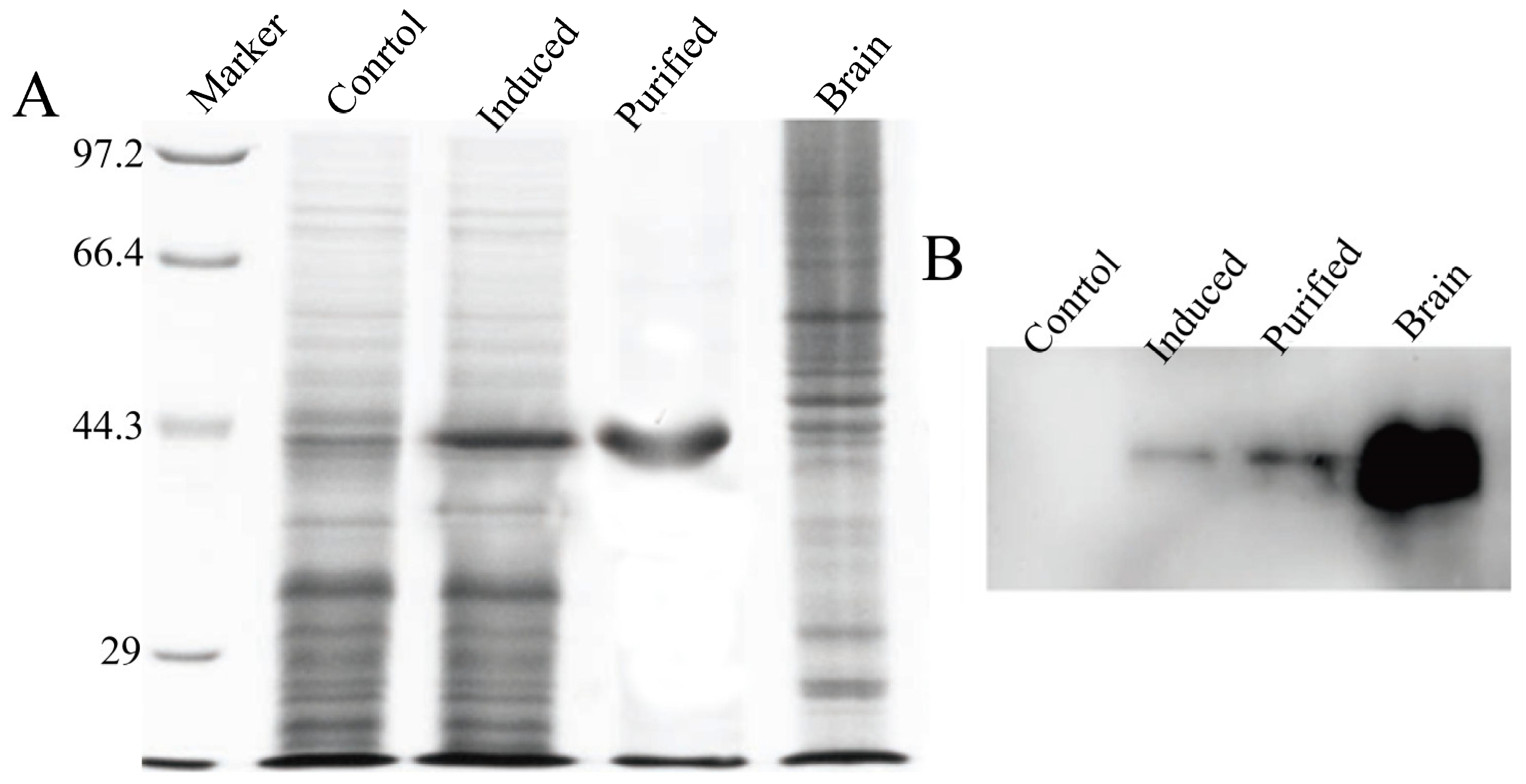
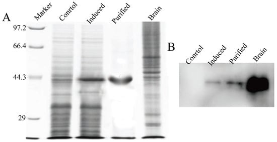
3.1. Protein Purification and Antibody Preparation
3.2. Tissue Distribution of Cyp19a1b in Qi River Crucian Carp
3.3. Expression of Cyp19a1b During Embryonic Development in Qi River Crucian Carp
3.4. Cellar Location of Cyp19a1b in the Brain
3.5. Cellar Location of Cyp19a1b in the Ovary
3.6. Expression of Cyp19a1b with Letrozole Treatment
4. Discussion
5. Conclusions
Author Contributions
Funding
Institutional Review Board Statement
Informed Consent Statement
Data Availability Statement
Conflicts of Interest
References
- Nugent, B.M.; Wright, C.L.; Shetty, A.C.; Hodes, G.E.; Lenz, K.M.; Mahurkar, A.; Russo, S.J.; Devine, S.E.; McCarthy, M.M. Brain feminization requires active repression of masculinization via DNA methylation. Nat. Neurosci. 2015, 18, 690–697. [Google Scholar] [CrossRef] [PubMed]
- King, S.R. Emerging Roles for Neurosteroids in Sexual Behavior and Function. J. Androl. 2008, 29, 524–533. [Google Scholar] [CrossRef] [PubMed]
- Guiguen, Y.; Fostier, A.; Piferrer, F.; Chang, C.-F. Ovarian aromatase and estrogens: A pivotal role for gonadal sex differentiation and sex change in fish. Gen. Comp. Endocrinol. 2010, 165, 352–366. [Google Scholar] [CrossRef] [PubMed]
- Luckenbach, J.A.; Borski, R.J.; Daniels, H.V.; Godwin, J. Sex determination in flatfishes: Mechanisms and environmental influences. Semin. Cell Dev. Biol. 2009, 20, 256–263. [Google Scholar] [CrossRef]
- Rasheeda, M.K.; Sridevi, P.; Senthilkumaran, B. Cytochrome P450 aromatases: Impact on gonadal development, recrudescence and effect of hCG in the catfish, Clarias gariepinus. Gen. Comp. Endocrinol. 2010, 167, 234–245. [Google Scholar] [CrossRef]
- Lau, E.S.-W.; Zhang, Z.; Qin, M.; Ge, W. Knockout of Zebrafish Ovarian Aromatase Gene (cyp19a1a) by TALEN and CRISPR/Cas9 Leads to All-male Offspring due to Failed Ovarian Differentiation. Sci. Rep. 2016, 6, 37357. [Google Scholar] [CrossRef]
- Pasmanik, M.; Callard, G.V. Aromatase and 5α-reductase in the teleost brain, spinal cord, and pituitary gland. Gen. Comp. Endocrinol. 1985, 60, 244–251. [Google Scholar] [CrossRef]
- Pasmanik, M.; Schlinger, B.A.; Callard, G.V. In vivo steroid regulation of aromatase and 5 alpha-reductase in goldfish brain and pituitary. Gen. Comp. Endocrinol. 1988, 71, 175–182. [Google Scholar] [CrossRef]
- Gupta, S.; Moulik, S.R.; Pal, P.; Majumder, S.; Das, S.; Guha, P.; Juin, S.K.; Panigrahi, A.K.; Mukherjee, D. Estrogen-regulated expression of cyp19a1a and cyp19a1b genes in swim-up fry of Labeo rohita. Gen. Comp. Endocrinol. 2017, 251, 85–93. [Google Scholar] [CrossRef]
- Risalde, M.A.; Molina, A.M.; Lora, A.J.; Ayala, N.; Gómez-Villamandos, J.C.; Moyano, M.R. Immunohistochemical expression of aromatase cyp19a1a and cyp19a1b in the ovary and brain of zebrafish (Danio rerio) exposed to different concentrations of bisphenol A. Aquat. Toxicol. 2021, 237, 105876. [Google Scholar] [CrossRef]
- Piferrer, F.; Blázquez, M. Aromatase distribution and regulation in fish. Fish Physiol. Biochem. 2005, 31, 215–226. [Google Scholar] [CrossRef] [PubMed]
- Böhne, A.; Heule, C.; Boileau, N.; Salzburger, W. Expression and sequence evolution of aromatase cyp19a1 and other sexual development genes in East African cichlid fishes. Mol. Biol. Evol. 2013, 30, 2268–2285. [Google Scholar] [CrossRef] [PubMed]
- Shaw, K.; Therrien, M.; Lu, C.; Liu, X.; Trudeau, V.L. Mutation of brain aromatase disrupts spawning behavior and reproductive health in female zebrafish. Front. Endocrinol. 2023, 14, 1225199. [Google Scholar] [CrossRef]
- Huffman, L.S.; O’Connell, L.A.; Hofmann, H.A. Aromatase regulates aggression in the African cichlid fish Astatotilapia burtoni. Physiol. Behav. 2013, 112–113, 77–83. [Google Scholar] [CrossRef]
- Jalabert, C.; Quintana, L.; Pessina, P.; Silva, A. Extra-gonadal steroids modulate non-breeding territorial aggression in weakly electric fish. Horm. Behav. 2015, 72, 60–67. [Google Scholar] [CrossRef]
- Ekström, P.; Johnsson, C.M.; Ohlin, L.M. Ventricular proliferation zones in the brain of an adult teleost fish and their relation to neuromeres and migration (secondary matrix) zones. J. Comp. Neurol. 2001, 436, 92–110. [Google Scholar] [CrossRef] [PubMed]
- Malatesta, P.; Hartfuss, E.; Götz, M. Isolation of radial glial cells by fluorescent-activated cell sorting reveals a neuronal lineage. Development 2000, 127, 5253–5263. [Google Scholar] [CrossRef]
- Noctor, S.C.; Flint, A.C.; Weissman, T.A.; Dammerman, R.S.; Kriegstein, A.R. Neurons derived from radial glial cells establish radial units in neocortex. Nature 2001, 409, 714–720. [Google Scholar] [CrossRef]
- Rakic, P. Neuronal migration and contact guidance in the primate telencephalon. Postgrad. Med. J. 1978, 54 (Suppl. S1), 25–40. [Google Scholar]
- Li, X.; Zhang, B.; Li, N.; Ji, X.; Liu, K.; Jin, M. Zebrafish neurobehavioral phenomics applied as the behavioral warning methods for fingerprinting endocrine disrupting effect by lead exposure at environmentally relevant level. Chemosphere 2019, 231, 315–325. [Google Scholar] [CrossRef]
- Diotel, N.; Charlier, T.D.; Lefebvre d’Hellencourt, C.; Couret, D.; Trudeau, V.L.; Nicolau, J.C.; Meilhac, O.; Kah, O.; Pellegrini, E. Steroid Transport, Local Synthesis, and Signaling Within the Brain: Roles in Neurogenesis, Neuroprotection, and Sexual Behaviors. Front. Neurosci. 2018, 12, 84. [Google Scholar] [CrossRef]
- Zhou, C.; Li, B.; Ma, L.; Zhao, Y.; Kong, X. The complete mitogenome of natural triploid Carassius auratus in Qihe River. Mitochondrial DNA A DNA Mapp. Seq. Anal. 2016, 27, 605–606. [Google Scholar] [CrossRef]
- Gui, J.; Zhou, L. Genetic basis and breeding application of clonal diversity and dual reproduction modes in polyploid Carassius auratus gibelio. Sci. China Life Sci. 2010, 53, 409–415. [Google Scholar] [CrossRef]
- Li, Y.J.; Wu, L.M.; Wang, L.; Ma, X.; Li, X. Molecular cloning and characterization of cyp19a1b gene and the effect of Letrozole on its expression in Carassius auratus. J. Fish China 2018, 42, 1169–1180. [Google Scholar]
- Wu, L.; Li, Y.; Xu, Y.; Li, Y.; Wang, L.; Ma, X.; Liu, H.; Li, X.; Zhou, L. Cloning and characterization of wnt4a gene in a natural triploid teleost, Qi river crucian carp (Carassius auratus). Gen. Comp. Endocrinol. 2019, 277, 104–111. [Google Scholar] [CrossRef]
- Jeng, S.R.; Dufour, S.; Chang, C.F. Differential expression of neural and gonadal aromatase enzymatic activities in relation to gonadal development in Japanese eel, Anguilla japonica. J. Exp. Zool. A Comp. Exp. Biol. 2005, 303, 802–812. [Google Scholar] [CrossRef]
- Barney, M.L.; Patil, J.G.; Gunasekera, R.M.; Carter, C.G. Distinct cytochrome P450 aromatase isoforms in the common carp (Cyprinus carpio): Sexual dimorphism and onset of ontogenic expression. Gen. Comp. Endocrinol. 2008, 156, 499–508. [Google Scholar] [CrossRef]
- Blázquez, M.; Piferrer, F. Cloning, sequence analysis, tissue distribution, and sex-specific expression of the neural form of P450 aromatase in juvenile sea bass (Dicentrarchus labrax). Mol. Cell Endocrinol. 2004, 219, 83–94. [Google Scholar] [CrossRef]
- Chiang, E.F.; Yan, Y.L.; Tong, S.K.; Hsiao, P.H.; Guiguen, Y.; Postlethwait, J.; Chung, B.C. Characterization of duplicated zebrafish cyp19 genes. J. Exp. Zool. 2001, 290, 709–714. [Google Scholar] [CrossRef]
- Kuhl, A.J.; Manning, S.; Brouwer, M. Brain aromatase in Japanese medaka (Oryzias latipes): Molecular characterization and role in xenoestrogen-induced sex reversal. J. Steroid Biochem. Mol. Biol. 2005, 96, 67–77. [Google Scholar] [CrossRef]
- Chen, Y.; Zhou, P.; Zhang, Z.-P.; Xie, F.-J.; Cai, M.-Y.; Wang, Y.-L. Cloning and Expression of cyp19a/b Gene in Large Yellow Croaker Larimichthys crocea. J. Jimei Univ. 2014, 20, 81–89. [Google Scholar]
- Yu JuHua, Y.J.; Wu TingTing, W.T.; Li JianLin, L.J.; Cao LiPing, C.L.; Xia DeQuan, X.D. Cloning and sequence analysis of the cdna encoding p-450 aromatase from rice field eel. Acta Hydrobiol. Sin. 2005, 29, 550–556. [Google Scholar]
- Guangli, L.; Xiaochun, L.; Yong, Z.; Jinxin, B.; Haoran, L. Cloning and expression of two cytochrome P450 aromatase gene in red-spotted grouper, Epinephelus akaara. ACTA Zool. Sin. 2004, 50, 791–799. [Google Scholar]
- Mahboobifard, F.; Pourgholami, M.H.; Jorjani, M.; Dargahi, L.; Amiri, M.; Sadeghi, S.; Tehrani, F.R. Estrogen as a key regulator of energy homeostasis and metabolic health. Biomed. Pharmacother. 2022, 156, 113808. [Google Scholar] [CrossRef] [PubMed]
- Callard, G.V.; Tchoudakova, A.V.; Kishida, M.; Wood, E. Differential tissue distribution, developmental programming, estrogen regulation and promoter characteristics of cyp19 genes in teleost fish. J. Steroid Biochem. Mol. Biol. 2001, 79, 305–314. [Google Scholar] [CrossRef]
- Sawyer, S.J.; Gerstner, K.A.; Callard, G.V. Real-time PCR analysis of cytochrome P450 aromatase expression in zebrafish: Gene specific tissue distribution, sex differences, developmental programming, and estrogen regulation. Gen. Comp. Endocrinol. 2006, 147, 108–117. [Google Scholar] [CrossRef]
- Shanthanagouda, A.H.; Patil, J.G.; Nugegoda, D. Ontogenic and sexually dimorphic expression of cyp19 isoforms in the rainbowfish, Melanotaenia fluviatilis (Castelnau 1878). Comp. Biochem. Physiol. Part A Mol. Integr. Physiol. 2012, 161, 250–258. [Google Scholar] [CrossRef]
- Menuet, A.; Anglade, I.; Le Guevel, R.; Pellegrini, E.; Pakdel, F.; Kah, O. Distribution of aromatase mRNA and protein in the brain and pituitary of female rainbow trout: Comparison with estrogen receptor α. J. Comp. Neurol. 2003, 462, 180–193. [Google Scholar] [CrossRef]
- Menuet, A.; Pellegrini, E.; Brion, F.; Gueguen, M.-M.; Anglade, I.; Pakdel, F.; Kah, O. Expression and estrogen-dependent regulation of the zebrafish brain aromatase gene. J. Comp. Neurol. 2005, 485, 304–320. [Google Scholar] [CrossRef]
- Ramallo, M.R.; Morandini, L.; Birba, A.; Somoza, G.M.; Pandolfi, M. From molecule to behavior: Brain aromatase (cyp19a1b) characterization, expression analysis and its relation with social status and male agonistic behavior in a Neotropical cichlid fish. Horm. Behav. 2017, 89, 176–188. [Google Scholar] [CrossRef]
- Mouriec, K.; Lareyre, J.J.; Tong, S.K.; Le Page, Y.; Vaillant, C.; Pellegrini, E.; Pakdel, F.; Chung, B.C.; Kah, O.; Anglade, I. Early regulation of brain aromatase (cyp19a1b) by estrogen receptors during zebrafish development. Dev. Dyn. 2009, 238, 2641–2651. [Google Scholar] [CrossRef]
- Le Page, Y.; Scholze, M.; Kah, O.; Pakdel, F. Assessment of xenoestrogens using three distinct estrogen receptors and the zebrafish brain aromatase gene in a highly responsive glial cell system. Env. Environ. Health Perspect. 2006, 114, 752–758. [Google Scholar] [CrossRef] [PubMed]
- Pellegrini, E.; Mouriec, K.; Anglade, I.; Menuet, A.; Le Page, Y.; Gueguen, M.M.; Marmignon, M.H.; Brion, F.; Pakdel, F.; Kah, O. Identification of aromatase-positive radial glial cells as progenitor cells in the ventricular layer of the forebrain in zebrafish. J. Comp. Neurol. 2007, 501, 150–167. [Google Scholar] [CrossRef] [PubMed]
- Barha, C.K.; Lieblich, S.E.; Galea, L.A. Different forms of oestrogen rapidly upregulate cell proliferation in the dentate gyrus of adult female rats. J. Neuroendocr. Neuroendocrinol. 2009, 21, 155–166. [Google Scholar] [CrossRef]
- Martínez-Cerdeño, V.; Noctor, S.C.; Kriegstein, A.R. Estradiol stimulates progenitor cell division in the ventricular and subventricular zones of the embryonic neocortex. Eur. J. Neurosci. 2006, 24, 3475–3488. [Google Scholar] [CrossRef]
- Mouriec, K.; Pellegrini, E.; Anglade, I.; Menuet, A.; Adrio, F.; Thieulant, M.L.; Pakdel, F.; Kah, O. Synthesis of estrogens in progenitor cells of adult fish brain: Evolutive novelty or exaggeration of a more general mechanism implicating estrogens in neurogenesis? Brain Res. Bull. 2008, 75, 274–280. [Google Scholar] [CrossRef][Green Version]
- Ezagouri, M.; Yom-Din, S.; Goldberg, D.; Jackson, K.; Levavi-Sivan, B.; Degani, G. Expression of the two cytochrome P450 aromatase genes in the male and female blue gourami (Trichogaster trichopterus) during the reproductive cycle. Gen. Comp. Endocrinol. 2008, 159, 208–213. [Google Scholar] [CrossRef]
- Ijiri, S.; Kaneko, H.; Kobayashi, T.; Wang, D.S.; Sakai, F.; Paul-Prasanth, B.; Nakamura, M.; Nagahama, Y. Sexual dimorphic expression of genes in gonads during early differentiation of a teleost fish, the Nile tilapia Oreochromis niloticus. Biol. Reprod. 2008, 78, 333–341. [Google Scholar] [CrossRef]
- Breton, T.S.; DiMaggio, M.A.; Sower, S.A.; Berlinsky, D.L. Brain aromatase (cyp19a1b) and gonadotropin releasing hormone (gnrh2 and gnrh3) expression during reproductive development and sex change in black sea bass (Centropristis striata). Comp. Biochem. Physiol. Part A Mol. Integr. Physiol. 2015, 181, 45–53. [Google Scholar] [CrossRef] [PubMed]
- Zhang, D.; Tian, T.; Han, L.; Du, J.; Zhu, T.; Lei, C.; Song, H.; Li, S. Expression characteristics of the cyp19a1b aromatase gene and its response to 17β-estradiol treatment in largemouth bass (Micropterus salmoides). Fish Physiol. Biochem. 2024, 50, 575–588. [Google Scholar] [CrossRef]
- Jørgensen, A.; Nielsen, J.E.; Nielsen, B.F.; Morthorst, J.E.; Bjerregaard, P.; Leffers, H. Expression of prostaglandin synthases (pgds and pges) during zebrafish gonadal differentiation. Comp. Biochem. Physiol. Part A Mol. Integr. Physiol. 2010, 157, 102–108. [Google Scholar] [CrossRef]
- Trant, J.M.; Gavasso, S.; Ackers, J.; Chung, B.C.; Place, A.R. Developmental expression of cytochrome P450 aromatase genes (CYP19a and CYP19b) in zebrafish fry (Danio rerio). J. Exp. Zool. 2001, 290, 475–483. [Google Scholar] [CrossRef] [PubMed]
- Yamaguchi, A.; Tsunematsu, T.; Motojima, Y.; Toriyama, K.; Horinouchi, A.; Ishii, Y.; Murata, H.; Yoshikawa, S.; Nyuji, M.; Shimizu, A. Pituitary luteinizing hormone synthesis starts in aromatase (cyp19a1b)-positive cells expressing esr1 and esr2b at the onset of puberty in Takifugu rubripes (fugu). Cell Tissue Res. 2022, 389, 259–287. [Google Scholar] [CrossRef] [PubMed]
- Valle, L.D.; Ramina, A.; Vianello, S.; Belvedere, P.; Colombo, L. Cloning of two mRNA variants of brain aromatase cytochrome P450 in rainbow trout (Oncorhynchus mykiss Walbaum). J. Steroid Biochem. Mol. Biol. 2002, 82, 19–32. [Google Scholar] [CrossRef]
- Patil, J.G.; Gunasekera, R.M. Tissue and sexually dimorphic expression of ovarian and brain aromatase mRNA in the Japanese medaka (Oryzias latipes): Implications for their preferential roles in ovarian and neural differentiation and development. Gen. Comp. Endocrinol. 2008, 158, 131–137. [Google Scholar] [CrossRef] [PubMed]
- Tchoudakova, A.; Callard, G.V. Identification of multiple CYP19 genes encoding different cytochrome P450 aromatase isozymes in brain and ovary. Endocrinology 1998, 139, 2179–2189. [Google Scholar] [CrossRef]
- Tang, H.; Chen, Y.; Liu, Y.; Yin, Y.; Li, G.; Guo, Y.; Liu, X.; Lin, H. New Insights into the Role of Estrogens in Male Fertility Based on Findings in Aromatase-Deficient Zebrafish. Endocrinology 2017, 158, 3042–3054. [Google Scholar] [CrossRef]







| Dilution Ratio | OD | Positive/Negative |
|---|---|---|
| 1:1000 | 3.213 | 36.9 |
| 1:2000 | 2.879 | 33.1 |
| 1:4000 | 2.507 | 28.8 |
| 1:8000 | 2.108 | 24.2 |
| 1:16,000 | 1.538 | 17.6 |
| 1:32,000 | 1.076 | 12.3 |
| 1:64,000 | 0.663 | 7.6 |
| 1:128,000 | 0.358 | 4.1 |
| Negative | 0.087 | 1 |
Disclaimer/Publisher’s Note: The statements, opinions and data contained in all publications are solely those of the individual author(s) and contributor(s) and not of MDPI and/or the editor(s). MDPI and/or the editor(s) disclaim responsibility for any injury to people or property resulting from any ideas, methods, instructions or products referred to in the content. |
© 2024 by the authors. Licensee MDPI, Basel, Switzerland. This article is an open access article distributed under the terms and conditions of the Creative Commons Attribution (CC BY) license (https://creativecommons.org/licenses/by/4.0/).
Share and Cite
Li, Y.; Jin, Y.; Wu, L.; Li, X. Antibody Preparation, Protein Expression, and Function Analysis of Cyp19a1b in Ovarian Differentiation in a Natural Triploid Teleost Qi River Crucian Carp (Carassius auratus). Fishes 2024, 9, 442. https://doi.org/10.3390/fishes9110442
Li Y, Jin Y, Wu L, Li X. Antibody Preparation, Protein Expression, and Function Analysis of Cyp19a1b in Ovarian Differentiation in a Natural Triploid Teleost Qi River Crucian Carp (Carassius auratus). Fishes. 2024; 9(11):442. https://doi.org/10.3390/fishes9110442
Chicago/Turabian StyleLi, Yongjing, Yujiao Jin, Limin Wu, and Xuejun Li. 2024. "Antibody Preparation, Protein Expression, and Function Analysis of Cyp19a1b in Ovarian Differentiation in a Natural Triploid Teleost Qi River Crucian Carp (Carassius auratus)" Fishes 9, no. 11: 442. https://doi.org/10.3390/fishes9110442
APA StyleLi, Y., Jin, Y., Wu, L., & Li, X. (2024). Antibody Preparation, Protein Expression, and Function Analysis of Cyp19a1b in Ovarian Differentiation in a Natural Triploid Teleost Qi River Crucian Carp (Carassius auratus). Fishes, 9(11), 442. https://doi.org/10.3390/fishes9110442
